Management of Ground-Glass Nodules: When and How to Operate?
Abstract
Simple Summary
Abstract
1. Introduction
2. Predicting Malignant GGN
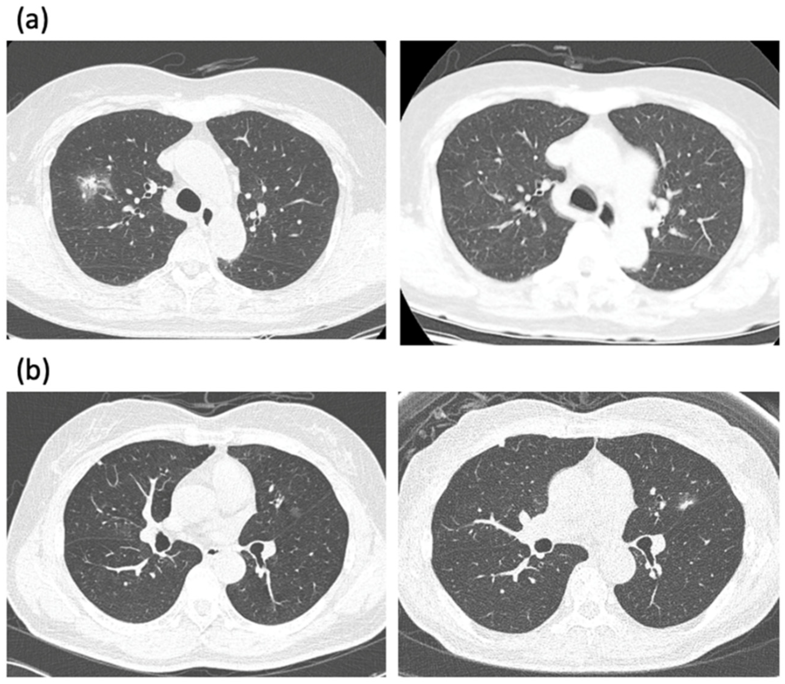
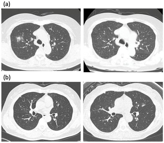
3. The First Dilemma: When to Intervene?
4. The Second Dilemma: Can We Make a Preoperative Tissue Diagnosis?
5. The Third Dilemma: How to Localize GGN?
6. The Fourth Dilemma: How Much Should We Resect?
7. The Fifth Dilemma: Concerns of Sublobar Resection
8. Conclusions
Funding
Conflicts of Interest
References
- Chong, S.; Lee, K.S.; Chung, M.J.; Kim, T.S.; Kim, H.; Kwon, O.J.; Choi, Y.H.; Rhee, C.H. Lung cancer screening with low-dose helical CT in Korea: Experiences at the Samsung Medical Center. J. Korean Med. Sci. 2005, 20, 402–408. [Google Scholar] [CrossRef] [PubMed]
- Zhang, Y.; Jheon, S.; Li, H.; Zhang, H.; Xie, Y.; Qian, B.; Lin, K.; Wang, S.; Fu, C.; Hu, H.; et al. Results of low-dose computed tomography as a regular health examination among Chinese hospital employees. J. Thorac. Cardiovasc. Surg. 2020, 160, 824–831.e4. [Google Scholar] [CrossRef] [PubMed]
- Scholten, E.T.; de Jong, P.A.; de Hoop, B.; van Klaveren, R.; van Amelsvoort-van de Vorst, S.; Oudkerk, M.; Vliegenthart, R.; de Koning, H.J.; van der Aalst, C.M.; Vernhout, R.M.; et al. Towards a close computed tomography monitoring approach for screen detected subsolid pulmonary nodules? Eur. Respir. J. 2015, 45, 765–773. [Google Scholar] [CrossRef]
- Silva, M.; Prokop, M.; Jacobs, C.; Capretti, G.; Sverzellati, N.; Ciompi, F.; van Ginneken, B.; Schaefer-Prokop, C.M.; Galeone, C.; Marchiano, A.; et al. Long-Term active surveillance of screening detected subsolid nodules is a safe strategy to reduce overtreatment. J. Thorac. Oncol. 2018, 13, 1454–1463. [Google Scholar] [CrossRef] [PubMed]
- Silva, M.; Sverzellati, N.; Manna, C.; Negrini, G.; Marchiano, A.; Zompatori, M.; Rossi, C.; Pastorino, U. Long-Term surveillance of ground-glass nodules: Evidence from the MILD trial. J. Thorac. Oncol. 2012, 7, 1541–1546. [Google Scholar] [CrossRef] [PubMed]
- Lee, H.J.; Goo, J.M.; Lee, C.H.; Yoo, C.G.; Kim, Y.T.; Im, J.G. Nodular ground-glass opacities on thin-section CT: Size change during follow-up and pathological results. Korean J. Radiol. 2007, 8, 22–31. [Google Scholar] [CrossRef][Green Version]
- Henschke, C.I.; Yankelevitz, D.F.; Mirtcheva, R.; McGuinness, G.; McCauley, D.; Miettinen, O.S.; Group, E. CT screening for lung cancer: Frequency and significance of part-solid and nonsolid nodules. AJR Am. J. Roentgenol. 2002, 178, 1053–1057. [Google Scholar] [CrossRef]
- Hwang, E.J.; Park, C.M.; Ryu, Y.; Lee, S.M.; Kim, Y.T.; Kim, Y.W.; Goo, J.M. Pulmonary adenocarcinomas appearing as part-solid ground-glass nodules: Is measuring solid component size a better prognostic indicator? Eur. Radiol. 2015, 25, 558–567. [Google Scholar] [CrossRef]
- Travis, W.D.; Asamura, H.; Bankier, A.A.; Beasley, M.B.; Detterbeck, F.; Flieder, D.B.; Goo, J.M.; MacMahon, H.; Naidich, D.; Nicholson, A.G.; et al. The IASLC lung cancer staging project: Proposals for coding T categories for subsolid nodules and assessment of tumor size in part-solid tumors in the forthcoming eighth edition of the TNM classification of lung cancer. J. Thorac. Oncol. 2016, 11, 1204–1223. [Google Scholar] [CrossRef]
- Hwang, E.J.; Park, C.M.; Kim, Y.T.; Kim, H.; Goo, J.M. Microscopic invasions, prognoses, and recurrence patterns of stage I adenocarcinomas manifesting as part-solid ground-glass nodules: Comparison with adenocarcinomas appearing as solid nodules after matching their solid parts’ size. Medicine 2016, 95, e3419. [Google Scholar] [CrossRef]
- Kim, H.; Goo, J.M.; Kim, Y.T.; Park, C.M. Validation of the eighth edition clinical T categorization system for clinical stage IA, resected lung adenocarcinomas: Prognostic implications of the ground-glass opacity component. J. Thorac. Oncol. 2020, 15, 580–588. [Google Scholar] [CrossRef] [PubMed]
- Hattori, A.; Suzuki, K.; Takamochi, K.; Wakabayashi, M.; Aokage, K.; Saji, H.; Watanabe, S.I. Prognostic impact of a ground-glass opacity component in clinical stage IA non-small cell lung cancer. J. Thorac. Cardiovasc. Surg. 2021, 161, 1469–1480. [Google Scholar] [CrossRef] [PubMed]
- NCCN. NCCN Guidelines Version 5.2021. Available online: https://www.nccn.org/professionals/physician_gls/pdf/nscl.pdf (accessed on 30 June 2021).
- Sihoe, A.D.L. Should sublobar resection be offered for screening-detected lung nodules? Transl. Lung Cancer Res. 2021, 10, 2418–2426. [Google Scholar] [CrossRef] [PubMed]
- Lee, J.J.; Park, S.; Park, H.; Kim, S.; Lee, J.; Lee, J.; Youk, J.; Yi, K.; An, Y.; Park, I.K.; et al. Tracing oncogene rearrangements in the mutational history of lung adenocarcinoma. Cell 2019, 177, 1842–1857.e21. [Google Scholar] [CrossRef] [PubMed]
- Suh, Y.J.; Park, C.M.; Han, K.; Jeon, S.K.; Kim, H.; Hwang, E.J.; Lee, J.H.; Paeng, J.C.; Lee, C.H.; Kim, Y.T.; et al. Utility of FDG PET/CT for preoperative staging of non-small cell lung cancers manifesting as subsolid nodules with a solid portion of 3 cm or smaller. AJR Am. J. Roentgenol. 2020, 214, 514–523. [Google Scholar] [CrossRef] [PubMed]
- Suzuki, K.; Asamura, H.; Kusumoto, M.; Kondo, H.; Tsuchiya, R. “Early” peripheral lung cancer: Prognostic significance of ground glass opacity on thin-section computed tomographic scan. Ann. Thorac. Surg. 2002, 74, 1635–1639. [Google Scholar] [CrossRef]
- Kim, H.S.; Lee, H.J.; Jeon, J.H.; Seong, Y.W.; Park, I.K.; Kang, C.H.; Kim, K.B.; Goo, J.M.; Kim, Y.T. Natural history of ground-glass nodules detected on the chest computed tomography scan after major lung resection. Ann. Thorac. Surg. 2013, 96, 1952–1957. [Google Scholar] [CrossRef]
- Lee, J.H.; Park, C.M.; Kim, H.; Hwang, E.J.; Park, J.; Goo, J.M. Persistent part-solid nodules with solid part of 5 mm or smaller: Can the ‘follow-up and surgical resection after interval growth’ policy have a negative effect on patient prognosis? Eur. Radiol. 2017, 27, 195–202. [Google Scholar] [CrossRef] [PubMed]
- Yamagami, T.; Yoshimatsu, R.; Miura, H.; Yamada, K.; Takahata, A.; Matsumoto, T.; Hasebe, T. Diagnostic performance of percutaneous lung biopsy using automated biopsy needles under CT-fluoroscopic guidance for ground-glass opacity lesions. Br. J. Radiol. 2013, 86, 20120447. [Google Scholar] [CrossRef]
- Yang, J.S.; Liu, Y.M.; Mao, Y.M.; Yuan, J.H.; Yu, W.Q.; Cheng, R.D.; Hu, T.Y.; Cheng, J.M.; Wang, H.Y. Meta-Analysis of CT-guided transthoracic needle biopsy for the evaluation of the ground-glass opacity pulmonary lesions. Br. J. Radiol. 2014, 87, 20140276. [Google Scholar] [CrossRef]
- Kim, T.J.; Lee, J.H.; Lee, C.T.; Jheon, S.H.; Sung, S.W.; Chung, J.H.; Lee, K.W. Diagnostic accuracy of CT-guided core biopsy of ground-glass opacity pulmonary lesions. AJR Am. J. Roentgenol. 2008, 190, 234–239. [Google Scholar] [CrossRef] [PubMed]
- Lu, C.H.; Hsiao, C.H.; Chang, Y.C.; Lee, J.M.; Shih, J.Y.; Wu, L.A.; Yu, C.J.; Liu, H.M.; Shih, T.T.; Yang, P.C. Percutaneous computed tomography-guided coaxial core biopsy for small pulmonary lesions with ground-glass attenuation. J. Thorac. Oncol. 2012, 7, 143–150. [Google Scholar] [CrossRef] [PubMed]
- Shimizu, K.; Ikeda, N.; Tsuboi, M.; Hirano, T.; Kato, H. Percutaneous CT-guided fine needle aspiration for lung cancer smaller than 2 cm and revealed by ground-glass opacity at CT. Lung Cancer 2006, 51, 173–179. [Google Scholar] [CrossRef] [PubMed]
- Inoue, D.; Gobara, H.; Hiraki, T.; Mimura, H.; Kato, K.; Shibamoto, K.; Iishi, T.; Matsui, Y.; Toyooka, S.; Kanazawa, S. CT fluoroscopy-guided cutting needle biopsy of focal pure ground-glass opacity lung lesions: Diagnostic yield in 83 lesions. Eur. J. Radiol. 2012, 81, 354–359. [Google Scholar] [CrossRef][Green Version]
- Choi, J.W.; Park, C.M.; Goo, J.M.; Park, Y.K.; Sung, W.; Lee, H.J.; Lee, S.M.; Ko, J.Y.; Shim, M.S. C-Arm cone-beam CT-guided percutaneous transthoracic needle biopsy of small (≤20 mm) lung nodules: Diagnostic accuracy and complications in 161 patients. AJR Am. J. Roentgenol. 2012, 199, W322–W330. [Google Scholar] [CrossRef]
- Kim, J.I.; Park, C.M.; Kim, H.; Lee, J.H.; Goo, J.M. Non-Specific benign pathological results on transthoracic core-needle biopsy: How to differentiate false-negatives? Eur. Radiol. 2017, 27, 3888–3895. [Google Scholar] [CrossRef]
- Ikezawa, Y.; Shinagawa, N.; Sukoh, N.; Morimoto, M.; Kikuchi, H.; Watanabe, M.; Nakano, K.; Oizumi, S.; Nishimura, M. Usefulness of endobronchial ultrasonography with a guide sheath and virtual bronchoscopic navigation for ground-glass opacity lesions. Ann. Thorac. Surg. 2017, 103, 470–475. [Google Scholar] [CrossRef][Green Version]
- Lee, S.M.; Park, C.M.; Song, Y.S.; Kim, H.; Kim, Y.T.; Park, Y.S.; Goo, J.M. CT assessment-based direct surgical resection of part-solid nodules with solid component larger than 5 mm without preoperative biopsy: Experience at a single tertiary hospital. Eur. Radiol. 2017, 27, 5119–5126. [Google Scholar] [CrossRef]
- Lee, J.H.; Park, C.M.; Lee, S.M.; Kim, H.; McAdams, H.P.; Goo, J.M. Persistent pulmonary subsolid nodules with solid portions of 5 mm or smaller: Their natural course and predictors of interval growth. Eur. Radiol. 2016, 26, 1529–1537. [Google Scholar] [CrossRef]
- Ikeda, K.; Nomori, H.; Mori, T.; Kobayashi, H.; Iwatani, K.; Yoshimoto, K.; Kawanaka, K. Impalpable pulmonary nodules with ground-glass opacity: Success for making pathologic sections with preoperative marking by lipiodol. Chest 2007, 131, 502–506. [Google Scholar] [CrossRef]
- Zaman, M.; Bilal, H.; Woo, C.Y.; Tang, A. In patients undergoing video-assisted thoracoscopic surgery excision, what is the best way to locate a subcentimetre solitary pulmonary nodule in order to achieve successful excision? Interact. Cardiovasc. Thorac. Surg. 2012, 15, 266–272. [Google Scholar] [CrossRef] [PubMed]
- Hyun, K.; Park, I.K.; Song, J.W.; Park, S.; Kang, C.H.; Kim, Y.T. Electromagnetic navigation bronchoscopic dye marking for localization of small subsolid nodules: Retrospective observational study. Medicine 2019, 98, e14831. [Google Scholar] [CrossRef] [PubMed]
- Ginsberg, R.J.; Rubinstein, L.V. Randomized trial of lobectomy versus limited resection for T1 N0 non-small cell lung cancer. Lung cancer study group. Ann. Thorac. Surg. 1995, 60, 615–622; discussion 622–623. [Google Scholar] [CrossRef]
- Cao, C.; Gupta, S.; Chandrakumar, D.; Tian, D.H.; Black, D.; Yan, T.D. Meta-Analysis of intentional sublobar resections versus lobectomy for early stage non-small cell lung cancer. Ann. Cardiothorac. Surg. 2014, 3, 134–141. [Google Scholar] [CrossRef] [PubMed]
- Nakao, M.; Yoshida, J.; Goto, K.; Ishii, G.; Kawase, A.; Aokage, K.; Hishida, T.; Nishimura, M.; Nagai, K. Long-Term outcomes of 50 cases of limited-resection trial for pulmonary ground-glass opacity nodules. J. Thorac. Oncol. 2012, 7, 1563–1566. [Google Scholar] [CrossRef] [PubMed]
- Shao, G.; Ren, W.; Feng, Z.; Peng, Z. The role of video-assisted thoracoscopic surgery in management of the multiple ground-glass nodules. Indian J. Cancer 2015, 52 (Suppl. 2), e75–e79. [Google Scholar] [CrossRef]
- Fu, F.; Zhang, Y.; Wang, S.; Li, Y.; Wang, Z.; Hu, H.; Chen, H. Computed tomography density is not associated with pathological tumor invasion for pure ground-glass nodules. J. Thorac. Cardiovasc. Surg. 2021, 162, 451–459.e3. [Google Scholar] [CrossRef]
- Marchevsky, A.M.; Changsri, C.; Gupta, I.; Fuller, C.; Houck, W.; McKenna, R.J., Jr. Frozen section diagnoses of small pulmonary nodules: Accuracy and clinical implications. Ann. Thorac. Surg. 2004, 78, 1755–1759. [Google Scholar] [CrossRef]
- Xu, X.; Chung, J.H.; Jheon, S.; Sung, S.W.; Lee, C.T.; Lee, J.H.; Choe, G. The accuracy of frozen section diagnosis of pulmonary nodules: Evaluation of inflation method during intraoperative pathology consultation with cryosection. J. Thorac. Oncol. 2010, 5, 39–44. [Google Scholar] [CrossRef]
- Eguchi, T.; Kameda, K.; Lu, S.; Bott, M.J.; Tan, K.S.; Montecalvo, J.; Chang, J.C.; Rekhtman, N.; Jones, D.R.; Travis, W.D.; et al. Lobectomy is associated with better outcomes than sublobar resection in spread through AIR spaces (STAS)-positive T1 lung adenocarcinoma: A propensity score-matched analysis. J. Thorac. Oncol. 2019, 14, 87–98. [Google Scholar] [CrossRef]
- Robinson, E.M.; Ilonen, I.K.; Tan, K.S.; Plodkowski, A.J.; Bott, M.; Bains, M.S.; Adusumilli, P.S.; Park, B.J.; Rusch, V.W.; Jones, D.R.; et al. Prevalence of occult peribronchial N1 nodal metastasis in peripheral clinical N0 small (≤2 cm) non-small cell lung cancer. Ann. Thorac. Surg. 2020, 109, 270–276. [Google Scholar] [CrossRef] [PubMed]


Publisher’s Note: MDPI stays neutral with regard to jurisdictional claims in published maps and institutional affiliations. |
© 2022 by the author. Licensee MDPI, Basel, Switzerland. This article is an open access article distributed under the terms and conditions of the Creative Commons Attribution (CC BY) license (https://creativecommons.org/licenses/by/4.0/).
Share and Cite
Kim, Y.T. Management of Ground-Glass Nodules: When and How to Operate? Cancers 2022, 14, 715. https://doi.org/10.3390/cancers14030715
Kim YT. Management of Ground-Glass Nodules: When and How to Operate? Cancers. 2022; 14(3):715. https://doi.org/10.3390/cancers14030715
Chicago/Turabian StyleKim, Young Tae. 2022. "Management of Ground-Glass Nodules: When and How to Operate?" Cancers 14, no. 3: 715. https://doi.org/10.3390/cancers14030715
APA StyleKim, Y. T. (2022). Management of Ground-Glass Nodules: When and How to Operate? Cancers, 14(3), 715. https://doi.org/10.3390/cancers14030715

