Teratoid Hepatoblastoma—Our Experience
Abstract
Simple Summary
Abstract
1. Introduction
2. Materials and Methods
3. Results
3.1. Clinical
3.2. Pathology
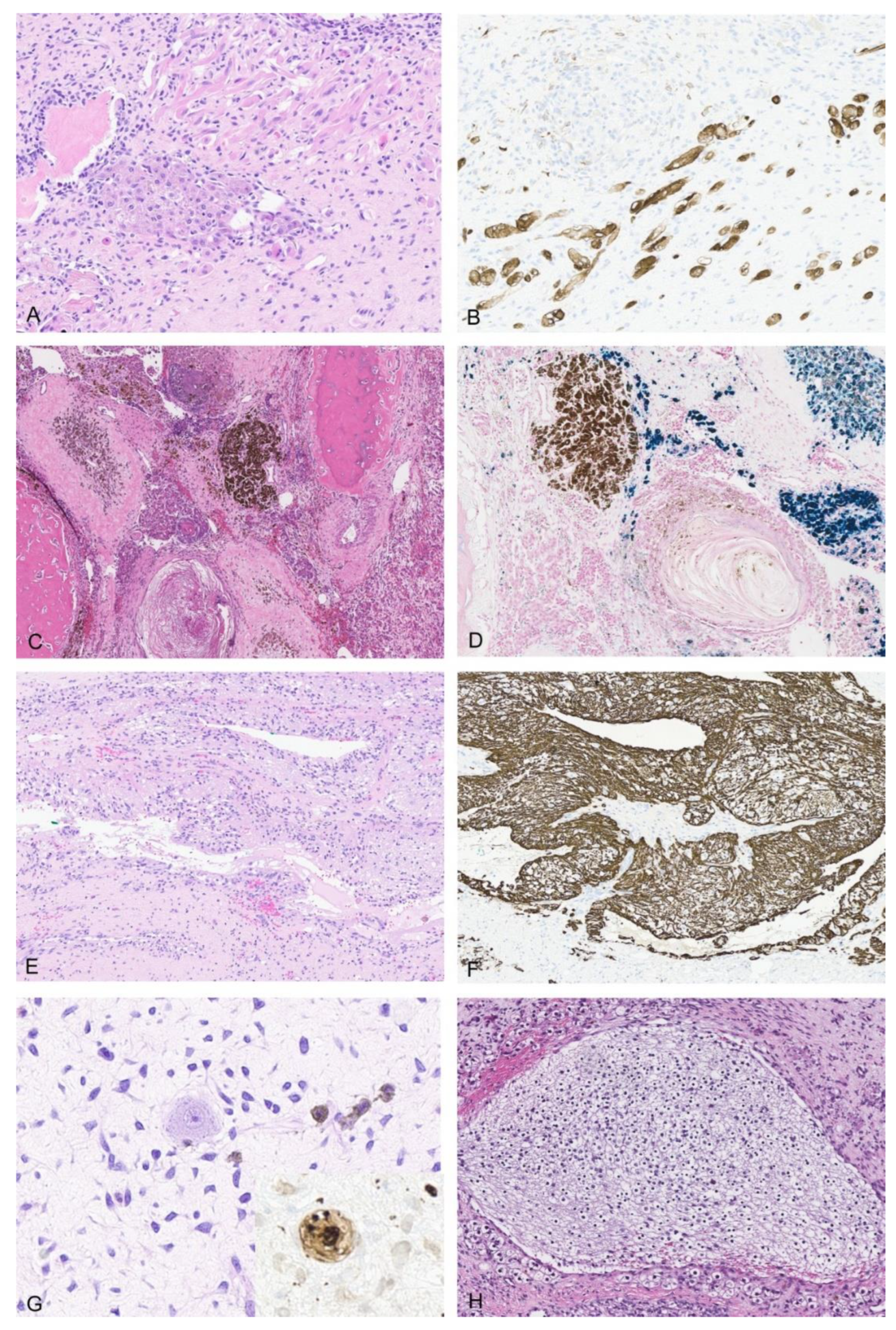
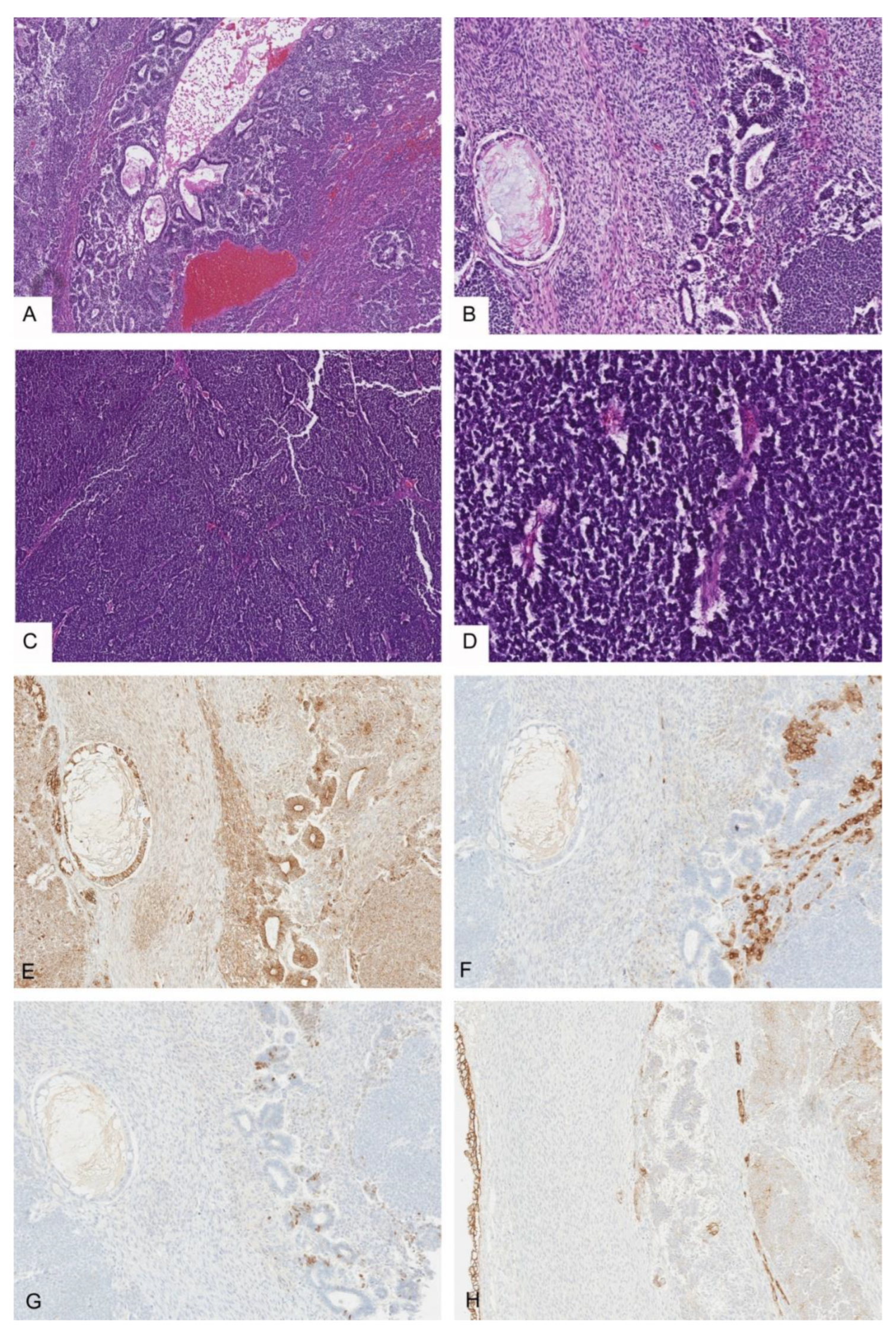
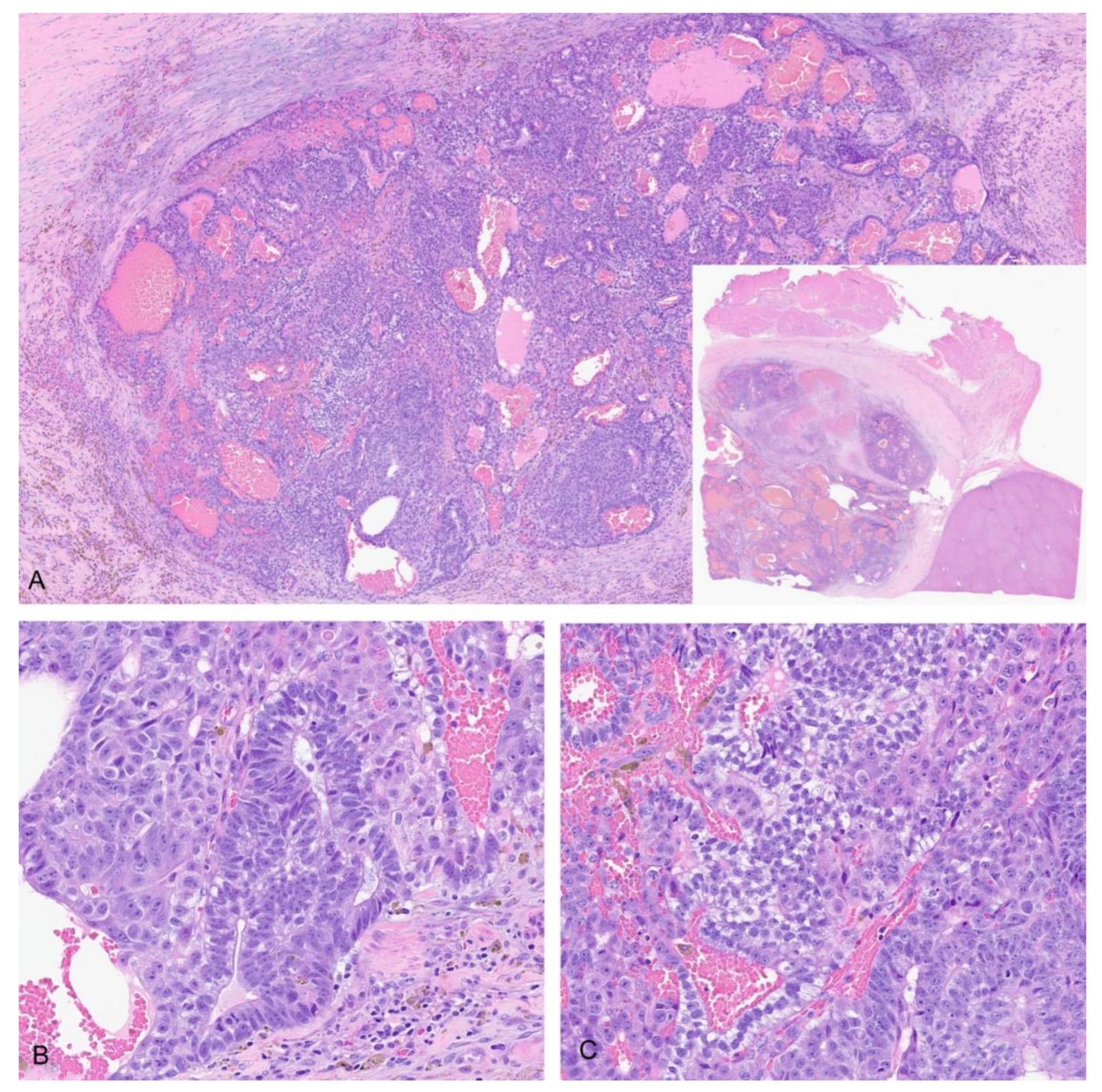
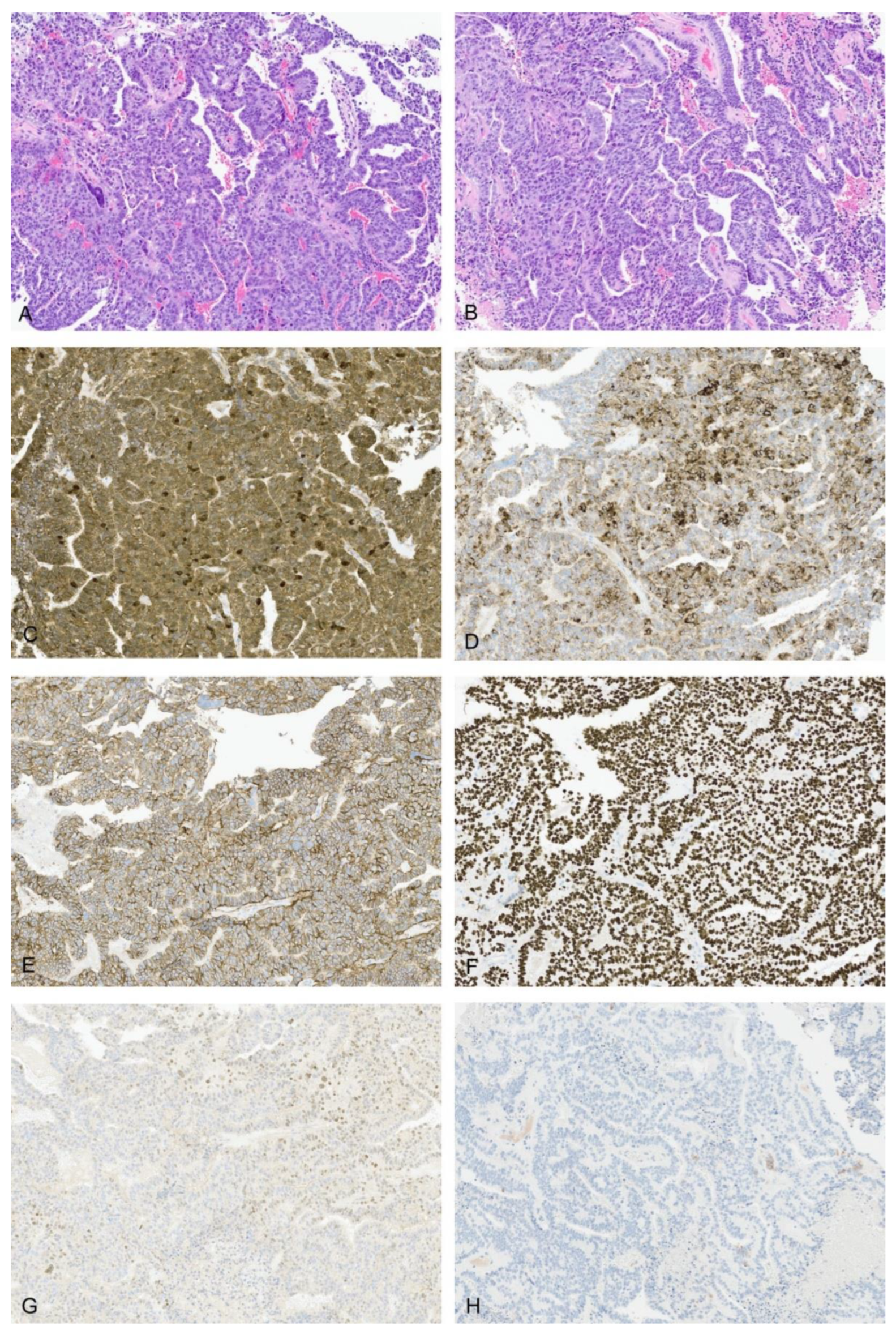
3.2.1. Histology
3.2.2. Immunohistochemistry
4. Discussion
5. Conclusions
Author Contributions
Funding
Institutional Review Board Statement
Informed Consent Statement
Data Availability Statement
Acknowledgments
Conflicts of Interest
References
- López-Terrada, D.; Alaggio, R.; De Dávila, M.T.; Czauderna, P.; Hiyama, E.; Katzenstein, H.; Leuschner, I.; Malogolowkin, M.; Meyers, R.; Ranganathan, S.; et al. Towards an international pediatric liver tumor consensus classification: Proceedings of the Los Angeles COG liver tumors symposium. Mod. Pathol. 2014, 27, 472–491. [Google Scholar] [CrossRef] [PubMed]
- Ranganathan, S.; Lopez-Terrada, D.; Alaggio, R. Hepatoblastoma and Pediatric Hepatocellular Carcinoma: An Update. Pediatr. Dev. Pathol. 2020, 23, 79–95. [Google Scholar] [CrossRef] [PubMed]
- Smith, J.A.; Ranganathan, S. Teratoid Hepatoblastoma With Yolk Sac-Like and Neuroendocrine Elements. Pediatr. Dev. Pathol. 2020, 23, 387–391. [Google Scholar] [CrossRef] [PubMed]
- Misugi, K.; Reiner, C.B. A malignant true teratoma of liver in childhood. Arch. Pathol. 1965, 80, 409–412. [Google Scholar]
- Forouhar, F.A.; Quinn, J.J.; Cooke, R.; Foster, J.H. The effect of chemotherapy on hepatoblastoma. Arch. Pathol. Lab. Med. 1984, 108, 311–314. [Google Scholar]
- Manivel, C.; Wick, M.R.; Abenoza, P.; Dehner, L.P. Teratoid hepatoblastoma. The nosologic dilemma of solid embryonic neoplasms of childhood. Cancer 1986, 57, 2168–2174. [Google Scholar] [CrossRef]
- Lackner, H.; Urban, C.; Sauer, H.; Lammer, J.; Pakisch, B.; Kaulfersch, W.; Gamillscheg, A.; Slavc, I.; Riccabona, M.; Klos, I. Primary and secondary inoperable teratoid hepatoblastoma--multidisciplinary management. Padiatr. Padol. 1990, 25, 299–312. [Google Scholar]
- Cross, S.S.; Variend, S. Combined hepatoblastoma and yolk sac tumor of the liver. Cancer 1992, 69, 1323–1326. [Google Scholar] [CrossRef]
- Conran, R.M.; Hitchcock, C.L.; Waclawiw, M.A.; Stocker, J.T.; Ishak, K.G. Hepatoblastoma: The prognostic significance of histologic type. Pediatr. Pathol. 1992, 12, 167–183. [Google Scholar] [CrossRef]
- Ruck, P.; Kaiserling, E. Melanin-containing hepatoblastoma with endocrine differentiation. An immunohistochemical and ultrastructural study. Cancer 1993, 72, 361–368. [Google Scholar] [CrossRef]
- Conrad, R.J.; Gribbin, D.; Walker, N.I.; Ong, T.H. Combined cystic teratoma and hepatoblastoma of the liver. Probable divergent differentiation of an uncommitted hepatic precursor cell. Cancer 1993, 72, 2910–2913. [Google Scholar] [CrossRef] [PubMed]
- Schlecht, I.; Riebel, T.; Henze, G. Unusually intensively ossified hepatoblastoma (teratoid type) in a 1-year-old girl. Rofo 1996, 165, 201–203. [Google Scholar] [CrossRef] [PubMed]
- Kim, L.; Park, Y.N.; Kim, S.E.; Noh, T.W.; Park, C. Teratoid Hepatoblastoma: Multidirectional Differentiation of Stem Cell of the Liver. Yonsei Med. J. 2001, 42, 431. [Google Scholar] [CrossRef] [PubMed]
- Zhang, S.H.; Xu, A.M.; Lin, W.H.; Zhang, X.Y. Mixed hepatoblastoma with teratoid features in an adult. Pathology 2007, 39, 453–456. [Google Scholar] [CrossRef] [PubMed]
- Buccoliero, A.M.; Castiglione, F.; Maio, V.; Moncini, D.; Sardi, I.; Taddei, A.; Martin, A.; Messineo, A.; Taddei, G.L. Teratoid hepatoblastoma. Fetal Pediatr. Pathol. 2008, 27, 274–281. [Google Scholar] [CrossRef] [PubMed]
- Moll, A.; Krenauer, A.; Bierbach, U.; Till, H.; Hirsch, W.; Leuschner, I.; Schmitz, N.; Wittekind, C.; Aigner, T. Mixed hepatoblastoma and teratoma of the liver in a 3-year-old child: A unique combination and clinical challenge. Diagn. Pathol. 2009, 4, 37. [Google Scholar] [CrossRef]
- Grunewald, T.G.; von Luettichau, I.; Welsch, U.; Dörr, H.G.; Höpner, F.; Kovacs, K.; Burdach, S.; Rabl, W. First report of ectopic ACTH syndrome and PTHrP-induced hypercalcemia due to a hepatoblastoma in a child. Eur. J. Endocrinol. 2010, 162, 813–818. [Google Scholar] [CrossRef]
- Rabah, R. Teratoid Hepatoblastoma with Abundant Neuroendocrine and Squamous Differentiation with Extensive Parenchymal Metastasis. Arch. Pathol. Lab. Med. 2012, 136, 911–914. [Google Scholar] [CrossRef]
- Fan, R.; Lin, J. CDX2 highlights mucinous epithelium in hepatoblastoma with teratoid components. Fetal Pediatr. Pathol. 2013, 32, 316–317. [Google Scholar] [CrossRef]
- Zhou, S.; Ranganathan, S.; Venkatramani, R.; Gomulia, E.; Wang, L. Teratoid hepatoblastoma with abundant cholangioblastic component in a child with full trisomy 13. Pediatr. Dev. Pathol. 2013, 16, 438–441. [Google Scholar] [CrossRef]
- Sarin, Y.K. Mixed Epithelial and Mesenchymal Hepatoblastoma with Teratoid Features-A Diagnostic Dilemma. Res. Pediatr. Neonatol. 2018, 2, 1–5. [Google Scholar] [CrossRef]
- Khera, S.; Singh, V.; Parikh, B.; Chand, K. Growing teratoma syndrome in mixed hepatoblastoma with teratoid features. BMJ Case Rep. 2021, 14, e241197. [Google Scholar] [CrossRef] [PubMed]
- Bharti, S.; Bharti, J.N.; Sinha, A.; Yadav, T. Common and Rare Histological Variants of Hepatoblastoma in Children: A Pathological Diagnosis and Review of the Literature. Gastrointest Tumors 2021, 8, 41–46. [Google Scholar] [CrossRef] [PubMed]
- Parkhi, M.; Mitra, S.; Chatterjee, D.; Peters, N.J. Teratoid Hepatoblastoma with Multi-Lineage Differentiation: An Uncommon Histological Variant and Review of Literature. J. Clin. Exp. Hepatol. 2022, 12, 1393–1401. [Google Scholar] [CrossRef]
- Feng, J.; Zhu, R.; Yin, Y.; Wang, S.; Zhou, L.; Lv, F.; Zhao, D. Re-Recognizing the Cellular Origin of the Primary Epithelial Tumors of the Liver. J. Hepatocell. Carcinoma 2021, 8, 1537–1563. [Google Scholar] [CrossRef]
- Weinberg, A.G.; Finegold, M.J. Primary hepatic tumors of childhood. Hum. Pathol. 1983, 14, 512–537. [Google Scholar] [CrossRef]
- Zimmermann, A. Pediatric liver tumors and hepatic ontogenesis: Common and distinctive pathways. Med. Pediatr. Oncol. 2002, 39, 492–503. [Google Scholar] [CrossRef]
- Lagasse, E.; Connors, H.; Al-Dhalimy, M.; Reitsma, M.; Dohse, M.; Osborne, L.; Wang, X.; Finegold, M.; Weissman, I.L.; Grompe, M. Purified hematopoietic stem cells can differentiate into hepatocytes in vivo. Nat. Med. 2000, 6, 1229–1234. [Google Scholar] [CrossRef]





| IHC Stain | Company | Dilution | Retrieval Process |
|---|---|---|---|
| beta-catenin | Roche 1 | RTU | Mild CC1 |
| SALL4 | Roche 1 | RTU | Standard CC1 |
| PROX-1 | Abcam 2 | 1:400 | Standard CC1 |
| synaptophysin | Roche 1 | RTU | Standard CC1 |
| glutamine synthetase | Roche 1 | RTU | Mild CC1 |
| MOC31 | Roche 1 | RTU | Mild CC1 |
| glypican-3 | Roche 1 | RTU | Standard CC1 |
| GFAP | Roche 1 | RTU | Mild CC1 |
| arginase | Roche 1 | RTU | Standard CC1 |
| Case | Age (mo) | Sex | AFP (ng/mL) | Clinical Features | Surgery | Mets | FU | Pathology |
|---|---|---|---|---|---|---|---|---|
| THB1 | 18 | F | 559,400 | Transplant | N | AWOD | CF, E, mesen, YST, neuroepi, sq | |
| THB2 | 12 | F | N/A | R lobectomy | N | AWOD | F, CF, E, blastema, mesen, neuroepi | |
| THB3 | 48 | F | N/A | Transplant | N | AWOD at 14 years, died 18 years with renal failure | WDF, CF, E, mesen, melanin, sq, PNET-like | |
| THB4 | 10 | M | N/A | Partial hepatectomy | N | AWOD at 25 years | Bx: WDF, E, mesen; Resection: osteoid, mesen, neural, sq, E, F | |
| THB5 | 12 | F | N/A | BWS | L lobectomy | N | AWOD at 9 years | Teratoid glands, CF, E, blastema, bone, neuroepi |
| THB6 | 24 | F | 1,973,536 | R lobectomy | N | AWOD at 6 years | Teratoid glands, sq, schwan, pleo F, CF, cholangio | |
| THB7 | 24 | M | 1,260,000 | Transplant | Y, lung | AWOD at 5 years | Primary: neuroepi, glands, CF, mesen; Mets: fetal pleo (HCC-like) | |
| THB8 | 36 | M | 3183 | BWS, WHS-endodermal | R lobectomy | N | AWOD at 6 years | Bx: E, CF; Resection: primitive glandular, CF, E |
| THB9 | 24 | F | 140,000 | Transplant | N | AWOD at 3 years | Bx: F, E with mucinous matrix; Explant: CF, pleo F, E, primitive glandular, bone | |
| THB10 | 24 | F | 262,970 | R and L lobe resections | N | AWOD | F, CF, E, mesen, melanin | |
| THB11 | 12 | F | 468,590 | Prematurity (25 weeks) | Transplant | N | AWOD | Bx: CF, E, WDF, M; Explant: cholangio, teratoid glands, CF, E |
| THB12 | 36 | M | 282,000 | Prematurity (27 weeks) | Resection | Y | DOD | Primary: E, mesen, neuroendocrine-like, CF; Mets: YST |
| THB13 | 18 | F | Elevated | Trisomy 13 | Resection | UK | UK | F, CF, E, cholangio, neuroepi, teratoid glands |
| THB14 | 18 | M | 950,000 | Extended L hepatectomy, bilateral lung wedge resections | Y, lung | AWD at 1 months fu | Primary: F, CF, E, cholangio, mesen, glial, neuroepi, melanin, ganglion cells, glandular (YST-like), blastema, sq, ductular, rhabdo; Mets: osteoid | |
| THB15 | 84 | M | 307,012 | Multiple thoracotomies and left hepatic resection | Y, lung | DOD | F, pleomorphic F, E, blastema, primitive glands, macrotrabecular | |
| THB16 | 24 | M | >900,000 | Right hemihepatectomy, left liver wedge resections, multiple lung wedge resections | Y, lung | AWD at 2 years fu, recurrence in left liver | Bx: F, CF, E, keratin and sq, pleomorphic F, macrotrabecular, blastema; Resection: CF, E, pleo F, bone, melanin, sq, blastema; Mets: pleo F, HCC-like | |
| THB17 | 36 | M | Elevated | R extended hemihepatectomy | UK | UK | CF, E, blastema, cholangio, mesen, bone, melanin, glial, primtive neuroepi, minor YST | |
| THB18 | 6 | F | BWS (loss of DNA methylation at DMR2, VSD, leg-length discrepancy) | R partial hepactectomy | N | AWOD at 5 month fu | Bx: CF, E, blastema, osteoid, neuroepi; Resection: CF, blastema, bone, adipose, skeletal muscle, chondromyxoid, colonic, sq, neural | |
| THB19 | 24 | F | 620,752 | UK | UK | CF, pleo F, E, macrotrabecular, blastema, neuroepi, melanin | ||
| THB20 | 5 | F | UK | Right hepatic lobectomy, lung wedge resections | Y, lung | DOD at 17 months | Primary: F, E, sq, osteoid, pigment, glandular/neuroectodermal, blastema, pleo; Mets: F, E, melanin, sq, ganglion cells, mesen | |
| THB21 | 11 | M | 570,000 | Extended R hemihepatectomy with caudate lobe resection | N | AWOD at 1 month fu | Bx: F, E, mesen, macrotrabecular, pleo (HCC-like); resection: F, E, mesen, osteoid, bone, sq, melanin, cholangio | |
| THB22 | 18 | F | Elevated | Right hepatic lobectomy | N | AWOD at 17 years | F, E, osteoid, sq, melanin | |
| THB23 | 48 | M | UK | L partial hepatectomy, R liver resection, bilateral lung wedge resections | Y, lung, abdominal nodes, peritoneal, omental | AWD, relapse x2, progression abdominal/pelvic carcinomatosis 3 years after dx | Bx: E; Resection: CF, E, blastema, mesen, osteoid, YST-like, neuroepi, pleo; Lymph node mets: pleo F, E, CF; Peritoneal mets: tubulopapillary YST-like, pleo | |
| THB24 | 24 | M | UK | R hepatic lobectomy | UK | UK | F, CF, cholangio, mesen, smooth muscle, skeletal muscle, mucinous glands, ganglion cells | |
| THB25 | 24 | M | 303,000 | Precocious puberty, elevated testosterone, 17-OH progesterone, and beta- HCG | L liver lobe resection, adrenal mass excision, splenectomy, partial gastrectomy, omentectomy | Y, omental | UK | CF, E, microcystic YST-like, blastema, glandular, sq, neuroendocrine-like |
| THB26 | 72 | M | 20,603.6 | Biopsy | UK | UK | F, E, blastema, mesen, osteoid, neuroglial | |
| THB27 | 24 | M | 480,000 | Transplant | N | AWOD at 3 years | Primary: F, bone, melanin, sq, glandular/YST-like, cholangio, E; Mets: F, bone, melanin, sq | |
| THB28 | Resection | Primitive glands, neuroepi, CF, E, blastema |
| Case | Age | Sex | AFP | Treatment | Clinical Features | Follow Up | Pathology |
|---|---|---|---|---|---|---|---|
| Case 1 [4] | 2.5 yr | M | UK | UK | UK | Mixed HB with striated muscle, respiratory tract tissue, CNS tissue | |
| Case 2 [5] | 15 mo | F | Neoadjuvant chemo, surgical resection | UK | Mesenchymal, E, mature intestinal epithelium | ||
| Case 3 [6] | 8 mo | F | 122,100 IU/mL | Partial hepatectomy, second resection, chemo, radiation | Lung mets at autopsy | DOD | Melanin, glandular, ganglion cells, osteoid, E, F (no heterologous elements in second resection or autopsy) |
| Case 4 [7] | 15 mo | M | UK | Chemo, radiation, resection | UK | UK | |
| Case 5 [8] | 6 mo | M | UK | None | DOD | F, E, osteoid, glandular YST-like, Schiller-Duval bodies | |
| Cases 6–14 [9] | UK | UK | UK | At least one with mets | 6 cases with complete resection (50% survival), 3 cases with incomplete resection (33% survival) overall 44% | Cartilage, skeletal muscle, intestinal-type, squamous, and melanin | |
| Case 15 [10] | 15 mo | F | 105,000 ng/mL | Partial resection of R lobe of the liver, cytostatic agents | 17 mo post-op AWOD | E, F, osteoid, melanin, positive for chromogranin A and serotonin | |
| Case 16 [11] | 17 mo | M | 77,200 μg/L | Extended L hemihepatectomy, adjuvant chemo | AWOD 37 mo post-op | F, E, sq cysts with pilosebaceous units, eccrine glands, adipose, bone | |
| Case 17 [12] | 12 mo | F | UK | UK | UK | osteoid | |
| Case 18 [13] | 22 mo | F | 418.4 IU/mL; 50,000 IU/mL; 16,686 IU/mL | Neoadjuvant chemo, extended L lobectomy | Died due to septic shock and NEC | E, F, osteoid, neural, melanocytic, endocrine, mucinous | |
| Case 19 [14] | 34 yr | M | 56,500 μg/L | R lobectomy | Cirrhosis and hepatitis B | DOD, 3 m | E, F, immature glands, primitive mesenchyme, small cell, YST-like, skeletal muscle, neural |
| Case 20 [15] | 8 mo | M | 523 IU/mL | L hepatectomy, chemo | No mets | Alive, 12 m | F, E, osteoid, sq, mucinous |
| Case 21 [16] | 3 yr | M | Increased | Neoadjuvant and adjuvant chemo, extended R hemihepatectomy | AWOD 36 mo post-dx | F, E, neuroblastoma-like, rhabdomyoblastic, cystic epithelial structures, sq, osteoid | |
| Case 22 [17] | 6 yr 9 mo | F | Normal | R lobectomy and adjuvant chemo | Cushing’s syndrome, ACTH 184–819 pg/mL, hypercalciuria, nephroclacinosis, hypercalcemia, elevated urinary steroids, tumor secreting ACTH, CRH, and PTHrP | AWOD 20 years post-surgery | Infantile sarcoma, typical HB, hormone granules by EM |
| Case 23 [18] | 18 mo | F | UK | Neoadjuvant chemo, liver transplant | Stage IV, lungs mets at presentation | AWOD 1 year post-op | (Pre-tx) keratin/squamous; (explant) squamous, F, E, neuroepithelial, small cells reminiscent of neuroendocrine, spindle cell mesenchyme, melanin |
| Case 24 [19] | UK | UK | UK | Resection | Lung mets, mucinous differentiation in original HB resection | UK | CDX2 positive mucinous differentiation |
| Case 25 [20] | 15 mo | F | 55,300 ng/mL | R lobectomy and adjuvant chemo | Trisomy 13, born at 36 weeks | AWOD at 8 mo after dx | F, E, primitive glandular with well-differentiated adenocarcinoma-like, keratin, osteoid, primitive neuroepithelium, mucinous |
| Case 26 [21] | 18 mo | M | >20,000 ng/mL | Neoadjuvant and adjuvant chemo, R extended liver resection with excision of R hemi-diaphragm | Bx called germ cell tumor, positive surgical resection margin on intitial wedge resection, intravascular cartilage on extended resection | Died due to sepsis 7 days post-op (9 mo after initiation of therapy) | (Extended resection) F, E, osseous metaplasia, cartilage |
| Case 27 [3] | 3 yr | M | 282,000 ng/mL | 4 rounds of chemotherapy, L extended hepatectomy, 2 additional rounds of chemotherapy | Recurrence post salvage chemo, perirenal mets, retroperitoneal lymphadenopathy | UK | F, E, osteoid, YST-like, neuroendocrine-like |
| Case 28 [22] | 8 mo | F | 998 U/mL | Neoadjuvant chemo, extended R hepatectomy | Growing teratoma syndrome (paradoxical increase in tumor despite chemo with normalization of tumor markers) | AWOD 1 mo post-op | (Bx) F, E; (re-bx) teratoid (calling based on sq), osteoid, sq; (resection) ectodermal, mesodermal, endodermal (called teratoma), HB < 2%, adipose, glands CK7 positive |
| Case 29 [23] | 24 mo | M | >830 IU/mL | R hepatectomy, chemo | UK | F, E, melanin | |
| Case 30 [24] | 12 mo | F | >400,000 IU/mL | Neoadjuvant chemo, R hepatectomy | Died, air embolism in surgery | F, E, cholangioblastic/primitive glandular, neural, ganglion cells, sq, adipocytes, muscle, cartilage, mucinous, smooth muscle, rhabdomyosarcomatous, osteoid, cartilage |
Publisher’s Note: MDPI stays neutral with regard to jurisdictional claims in published maps and institutional affiliations. |
© 2022 by the authors. Licensee MDPI, Basel, Switzerland. This article is an open access article distributed under the terms and conditions of the Creative Commons Attribution (CC BY) license (https://creativecommons.org/licenses/by/4.0/).
Share and Cite
Berklite, L.; Ranganathan, S. Teratoid Hepatoblastoma—Our Experience. Cancers 2022, 14, 6135. https://doi.org/10.3390/cancers14246135
Berklite L, Ranganathan S. Teratoid Hepatoblastoma—Our Experience. Cancers. 2022; 14(24):6135. https://doi.org/10.3390/cancers14246135
Chicago/Turabian StyleBerklite, Lara, and Sarangarajan Ranganathan. 2022. "Teratoid Hepatoblastoma—Our Experience" Cancers 14, no. 24: 6135. https://doi.org/10.3390/cancers14246135
APA StyleBerklite, L., & Ranganathan, S. (2022). Teratoid Hepatoblastoma—Our Experience. Cancers, 14(24), 6135. https://doi.org/10.3390/cancers14246135

