Effect of Previous Alkylating Agent Exposure on Follicle Numbers in Cryopreserved Prepubertal and Young Adult Ovarian Tissue after Long-Term Xenografting
Abstract
:Simple Summary
Abstract
1. Introduction
2. Materials and Methods
2.1. Collection of Ovarian Tissue
2.2. Ovarian Tissue Freezing and Thawing
2.3. Xenotransplantation to SCID Mice
2.4. Gonadotropin Stimulation
2.5. Histologic Analysis and Follicle Classification
2.6. Statistical Analysis
3. Results
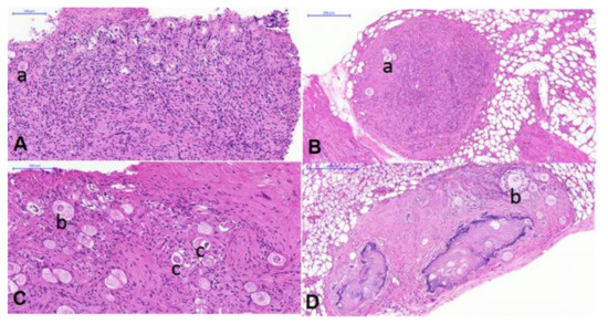
3.1. Analysis of Grafts
3.2. Impact of Chemotherapy on Follicle Numbers
3.3. Impact of Leukemia Contamination on Follicle Numbers
3.4. Impact of Pubertal Maturation on Follicle Numbers
3.5. Risk Factors for Decreased Follicle Numbers
3.6. Leukemia Spread into the Host Animals
4. Discussion
5. Conclusions
Author Contributions
Funding
Institutional Review Board Statement
Informed Consent Statement
Data Availability Statement
Acknowledgments
Conflicts of Interest
References
- Oeffinger, K.C.; Mertens, A.C.; Sklar, C.A.; Kawashima, T.; Hudson, M.M.; Meadows, A.T.; Friedman, D.L.; Marina, N.; Hobbie, W.; Kadan-Lottick, N.S.; et al. Chronic health conditions in adult survivors of childhood cancer. N. Engl. J. Med. 2006, 355, 1572–1582. [Google Scholar] [CrossRef] [PubMed]
- Dolmans, M.M.; Falcone, T.; Patrizio, P. Importance of patient selection to analyze in vitro fertilization outcome with transplanted cryopreserved ovarian tissue. Fertil. Steril. 2020, 114, 279–280. [Google Scholar] [CrossRef]
- Ernst, E.; Kjærsgaard, M.; Birkebæk, N.H.; Clausen, N.; Andersen, C.Y. Case report: Stimulation of puberty in a girl with chemo- and radiation therapy induced ovarian failure by transplantation of a small part of her frozen/thawed ovarian tissue. Eur. J. Cancer 2013, 49, 911–914. [Google Scholar] [CrossRef]
- Poirot, C.; Abirached, F.; Prades, M.; Coussieu, C.; Bernaudin, F.; Piver, P. Induction of puberty by autograft of cryopreserved ovarian tissue. Lancet 2012, 379, 588. [Google Scholar] [CrossRef]
- Demeestere, I.; Simon, P.; Dedeken, L.; Moffa, F.; Tsepelidis, S.; Brachet, C.; Delbaere, A.; Devreker, F.; Ferster, A. Live birth after autograft of ovarian tissue cryopreserved during childhood. Hum. Reprod. 2015, 30, 2107–2109. [Google Scholar] [CrossRef] [Green Version]
- Matthews, S.J.; Picton, H.; Ernst, E.; Andersen, C.Y. Successful pregnancy in a woman previously suffering from beta-thalassemia following transplantation of ovarian tissue cryopreserved before puberty. Minerva Ginecol. 2018, 70, 432–435. [Google Scholar]
- Wallace, W.H.; Smith, A.G.; Kelsey, T.W.; Edgar, A.E.; Anderson, R.A. Fertility preservation for girls and young women with cancer: Population-based validation of criteria for ovarian tissue cryopreservation. Lancet Oncol. 2014, 15, 1129–1136. [Google Scholar] [CrossRef] [Green Version]
- Mulder, R.L.; Font-Gonzalez, A.; Hudson, M.M.; van Santen, H.M.; Loeffen, E.A.H.; Burns, K.C.; Quinn, G.P.; van Dulmen-den Broeder, E.; Byrne, J.; Haupt, R.; et al. Fertility preservation for female patients with childhood, adolescent, and young adult cancer: Recommendations from the PanCareLIFE Consortium and the International Late Effects of Childhood Cancer Guideline Harmonization Group. Lancet Oncol. 2021, 22, e45–e56. [Google Scholar] [CrossRef]
- Wallace, W.H.; Kelsey, T.W.; Anderson, R.A. Fertility preservation in pre-pubertal girls with cancer: The role of ovarian tissue cryopreservation. Fertil. Steril. 2016, 105, 6–12. [Google Scholar] [CrossRef] [Green Version]
- Balduzzi, A.; Dalle, J.H.; Jahnukainen, K.; von Wolff, M.; Lucchini, G.; Ifversen, M.; Macklon, K.T.; Poirot, C.; Diesch, T.; Jarisch, A.; et al. Fertility preservation issues in pediatric hematopoietic stem cell transplantation: Practical approaches from the consensus of the Pediatric Diseases Working Party of the EBMT and the International BFM Study Group. Bone Marrow Transplant. 2017, 52, 1406–1415. [Google Scholar] [CrossRef] [Green Version]
- Luyckx, V.; Scalercio, S.; Jadoul, P.; Amorim, C.A.; Soares, M.; Donnez, J.; Dolmans, M.M. Evaluation of cryopreserved ovarian tissue from prepubertal patients after long-term xenografting and exogenous stimulation. Fertil. Steril. 2013, 100, 1350–1357. [Google Scholar] [CrossRef] [PubMed]
- Dolmans, M.-M.; von Wolff, M.; Poirot, C.; Diaz-Garcia, C.; Cacciottola, L.; Boissel, N.; Liebenthron, J.; Pellicer, A.; Donnez, J.; Andersen, C.Y. Transplantation of cryopreserved ovarian tissue in a series of 285 women: A review of five leading European centers. Fertil. Steril. 2021, 115, 1102–1115. [Google Scholar] [CrossRef] [PubMed]
- Asadi-Azarbaijani, B.; Sheikhi, M.; Nurmio, M.; Tinkanen, H.; Juvonen, V.; Dunkel, L.; Hovatta, O.; Oskam, I.C.; Jahnukainen, K. Minimal residual disease of leukemia and the quality of cryopreserved human ovarian tissue in vitro. Leuk. Lymphoma 2016, 57, 700–707. [Google Scholar] [CrossRef]
- Asadi Azarbaijani, B.A.; Sheikhi, M.; Oskam, I.C.; Nurmio, M.; Laine, T.; Tinkanen, H.; Makinen, S.; Tanbo, T.G.; Hovatta, O.; Jahnukainen, K. Effect of Previous Chemotherapy on the Quality of Cryopreserved Human Ovarian Tissue In Vitro. PLoS ONE 2015, 10, e0133985. [Google Scholar]
- Green, D.M.; Nolan, V.G.; Goodman, P.J.; Whitton, J.A.; Srivastava, D.; Leisenring, W.M.; Neglia, J.; Sklar, C.A.; Kaste, S.C.; Hudson, M.M.; et al. The cyclophosphamide equivalent dose as an approach for quantifying alkylating agent exposure: A report from the childhood cancer survivor study. Pediatr. Blood Cancer 2014, 61, 53–67. [Google Scholar] [CrossRef] [Green Version]
- Jahnukainen, K.; Tinkanen, H.; Wikström, A.; Dunkel, L.; Saarinen-Pihkala, U.M.; Mäkinen, S.; Asadi Azarbaijani, B.; Oskam, I.C.; Vettenranta, K.; Laine, T.; et al. Bone marrow remission status predicts leukemia contamination in ovarian biopsies collected for fertility preservation. Leukemia 2013, 27, 1183–1185. [Google Scholar] [CrossRef] [PubMed]
- Poirot, C.; Fortin, A.; Dhédin, N.; Brice, P.; Socié, G.; Lacorte, J.M.; Akakpo, J.P.; Genestie, C.; Vernant, J.P.; Leblanc, T.; et al. Post-transplant outcome of ovarian tissue cryopreserved after chemotherapy in hematologic malignancies. Haematologica 2019, 104, e360–e363. [Google Scholar] [CrossRef] [PubMed]
- Pampanini, V.; Wagner, M.; Asadi-Azarbaijani, B.; Oskam, I.C.; Sheikhi, M.; Sjödin, M.O.D.; Lindberg, J.; Hovatta, O.; Sahlin, L.; Björvang, R.D.; et al. Impact of first-line cancer treatment on the follicle quality in cryopreserved ovarian samples from girls and young women. Hum. Reprod. 2019, 34, 1674–1685. [Google Scholar] [CrossRef]
- Abir, R.; Ben-Haroush, A.; Felz, C.; Okon, E.; Raanani, H.; Orvieto, R.; Nitke, S.; Fisch, B. Selection of patients before and after anticancer treatment for ovarian cryopreservation. Hum. Reprod. 2008, 23, 869–877. [Google Scholar] [CrossRef] [Green Version]
- Poirot, C.; Fortin, A.; Lacorte, J.M.; Akakpo, J.P.; Genestie, C.; Vernant, J.P.; Brice, P.; Morice, P.; Leblanc, T.; Gabarre, J.; et al. Impact of cancer chemotherapy before ovarian cortex cryopreservation on ovarian tissue transplantation. Hum. Reprod. 2019, 34, 1083–1094. [Google Scholar] [CrossRef] [PubMed]
- Anderson, R.A.; McLaughlin, M.; Wallace, W.H.; Albertini, D.F.; Telfer, E.E. The immature human ovary shows loss of abnormal follicles and increasing follicle developmental competence through childhood and adolescence. Hum. Reprod. 2014, 29, 97–106. [Google Scholar] [CrossRef] [Green Version]
- Lande, Y.; Fisch, B.; Tsur, A.; Farhi, J.; Prag-Rosenberg, R.; Ben-Haroush, A.; Kessler-Icekson, G.; Zahalka, M.A.; Ludeman, S.M.; Abir, R. Short-term exposure of human ovarian follicles to cyclophosphamide metabolites seems to promote follicular activation in vitro. Reprod. Biomed. Online 2017, 34, 104–114. [Google Scholar] [CrossRef] [PubMed] [Green Version]
- Van Eyck, A.-S.; Bouzin, C.; Feron, O.; Romeu, L.; Van Langendonckt, A.; Donnez, J.; Dolmans, M.-M. Both host and graft vessels contribute to revascularization of xenografted human ovarian tissue in a murine model. Fertil. Steril. 2010, 93, 1676–1685. [Google Scholar] [CrossRef] [PubMed]
- Hernandez-Fonseca, H.; Bosch, P.; Sirisathien, S.; Wininger, J.; Massey, J.B.; Brackett, B.G. Effect of site of transplantation on follicular development of human ovarian tissue transplanted into intact or castrated immunodeficient mice. Fertil. Steril. 2004, 81 (Suppl. S1), 888–892. [Google Scholar] [CrossRef] [PubMed]
- Abdel-Ghani, M.A.; Abe, Y.; Asano, T.; Suzuki, H. Effect of graft site and gonadotrophin treatment on follicular development of canine ovarian grafts transplanted to NOD-SCID mice. Reprod. Med. Biol. 2011, 10, 259–266. [Google Scholar] [CrossRef] [Green Version]
- Soleimani, R.; Heytens, E.; Broecke, R.V.D.; Rottiers, I.; Dhont, M.; Cuvelier, C.A.; De Sutter, P. Xenotransplantation of cryopreserved human ovarian tissue into murine back muscle. Hum. Reprod. 2010, 25, 1458–1470. [Google Scholar] [CrossRef] [Green Version]
- Gavish, Z.; Peer, G.; Hadassa, R.; Yoram, C.; Meirow, D. Follicle activation and ‘burn-out’ contribute to post-transplantation follicle loss in ovarian tissue grafts: The effect of graft thickness. Hum. Reprod. 2014, 29, 989–996. [Google Scholar] [CrossRef] [Green Version]
- Gook, D.A.; Edgar, D.; Borg, J.; Archer, J.; McBain, J. Diagnostic assessment of the developmental potential of human cryopreserved ovarian tissue from multiple patients using xenografting. Hum. Reprod. 2005, 20, 72–78. [Google Scholar] [CrossRef] [PubMed]
- Maltaris, T.; Koelbl, H.; Fischl, F.; Seufert, R.; Schmidt, M.; Kohl, J.; Beckmann, M.W.; Binder, H.; Hoffmann, I.; Mueller, A.; et al. Xenotransplantation of human ovarian tissue pieces in gonadotropin-stimulated SCID mice: The effect of ovariectomy. Anticancer Res. 2006, 26, 4171–4176. [Google Scholar] [PubMed]
- Raffel, N.; Lotz, L.; Hoffmann, I.; Liebenthron, J.; Söder, S.; Beckmann, M.W.; Dittrich, R. Repetitive Maturation of Oocytes From Non-Stimulated Xenografted Ovarian Tissue from a Prepubertal Patient Indicating the Independence of Human Ovarian Tissue. Geburtshilfe Frauenheilkd. 2017, 77, 1304–1311. [Google Scholar] [CrossRef] [Green Version]
- Greve, T.; Clasen-Linde, E.; Andersen, M.T.; Andersen, M.K.; Sørensen, S.D.; Rosendahl, M.; Ralfkiær, E.; Andersen, C.Y.; Ralfkiaer, E. Cryopreserved ovarian cortex from patients with leukemia in complete remission contains no apparent viable malignant cells. Blood 2012, 120, 4311–4316. [Google Scholar] [CrossRef] [Green Version]
- Dolmans, M.-M.; Marinescu, C.; Saussoy, P.; Van Langendonckt, A.; Amorim, C.; Donnez, J. Reimplantation of cryopreserved ovarian tissue from patients with acute lymphoblastic leukemia is potentially unsafe. Blood 2010, 116, 2908–2914. [Google Scholar] [CrossRef] [PubMed]
- Shapira, M.; Raanani, H.; Barshack, I.; Amariglio, N.; Derech-Haim, S.; Marciano, M.N.; Schiff, E.; Orvieto, R.; Meirow, D. First delivery in a leukemia survivor after transplantation of cryopreserved ovarian tissue, evaluated for leukemia cells contamination. Fertil. Steril. 2018, 109, 48–53. [Google Scholar] [CrossRef] [PubMed] [Green Version]
- Rodriguez-Wallberg, K.A.; Milenkovic, M.; Papaikonomou, K.; Keros, V.; Gustafsson, B.; Sergouniotis, F.; Wikander, I.; Perot, R.; Borgström, B.; Ljungman, P.; et al. Successful pregnancies after transplantation of ovarian tissue retrieved and cryopreserved at time of childhood acute lymphoblastic leukemia—A case report. Haematologica 2021, 106, 2783–2787. [Google Scholar] [CrossRef] [PubMed]


| ID | Age (y) | Tanner Stage | Cryo-Protectant | Cancer Diagnosis | CED (mg/m2) | DIE (mg/ m2) | Interval from Last Chemotherapy to Ovarian Biopsy (d) | Ovarian Leukemic MRD (%)/Sensitivity of Analysis (%) | Number of Grafted/Recovered Grafts | Total Follicles Grafted/Mean per Graft * | Total Follicles Recovered/Mean per Graft |
|---|---|---|---|---|---|---|---|---|---|---|---|
| Patients biopsied before chemotherapy | |||||||||||
| 5 | 15 | 5 | PrOH | Neuroblastoma | - | - | - | - | 12/9 | 824 | 2 |
| 10 | 20 | 5 | EG | Hodgkin Lymphoma | - | - | - | - | 10/10 | 1538 | 207 |
| 11 | 23 | 5 | EG | Hodgkin Lymphoma | - | 13/4 | 4420 | 0 | |||
| 12 | 14 | 4 | EG | Hodgkin Lymphoma | - | - | - | - | 12/7 | 1250 | 57 |
| 13 | 22 | 5 | PrOH | Acute Lymphocytic Leukemia | - | - | - | 0.7/0.002 | 5/2 | 278 | 1 |
| 16 | 15 | 5 | PrOH | Aplastic Anemia | - | - | - | - | 12/3 | 2938 | 8 |
| Patients biopsied after chemotherapy | |||||||||||
| 19 | 2 | 1 | PrOH | Neuroblastoma | 11,400 | 12,090 | 14 | - | 11/8 | 25,766 | 1031 |
| 20 | 1 | 1 | PrOH | Neuroblastoma | 20,840 | 225 | 55 | - | 11/6 | 7449 | 31 |
| 22 | 12 | 1 | PrOH | Ewing Sarcoma | 31,560 | 300 | 21 | - | 11/6 | 9778 | 514 |
| 25 | 20 | 5 | PrOH | Non-Hodgkin Lymphoma | 6200 | 300 | 35 | - | 8/5 | 2262 | 2 |
| 26 | 1 | 1 | PrOH | Acute Lymphocytic Leukemia | 2000 | 120 | 28 | Neg/0.001 | 10/2 | 111 | 1 |
| 29 | 16 | 5 | PrOH | Acute Lymphocytic Leukemia | 2000 | 120 | 18 | Neg/0.001 | 13/6 | 2396 | 123 |
| 30 | 5 | 1 | PrOH | Acute Lymphocytic Leukemia | 3600 | 210 | 11 | <0.01/0.0007 | 9/5 | 2777 | 176 |
| 33 | 6 | 1 | PrOH | Acute Myeloid Leukemia | 0 | 300 | 30 | Neg/0.0003 | 13/8 | 3644 | 177 |
| 34 | 15 | 3 | PrOH | Acute Lymphocytic Leukemia | 9500 | 260 | 9 | Neg/0.007 | 13/7 | 2115 | 0 |
| 36 | 24 | 5 | EG | Acute Lymphocytic Leukemia | 4800 | 200 | 21 | Neg/0.001 | 12/6 | 195 | 136 |
| 37 | 8 | 1 | PrOH | Acute Lymphocytic Leukemia | 6000 | 300 | 30 | 0,2/0.006 | 13/6 | 826 | 21 |
| 38 | 5 | 1 | PrOH | Rhabdomyo-sarcoma | 10,248 | 90 | 17 | - | 11/6 | 4983 | 70 |
| Chemotherapy | Prepubertal Stage | |||||
|---|---|---|---|---|---|---|
| No n = 6 Mean ± SD (Range) | Yes n = 12 Mean ± SD (Range) | p-Value | No n = 8 Mean ± SD (Range) | Yes n = 10 Mean ± SD (Range) | p-Value | |
| Age (y) | 18.2 ± 4.0 (14–23) | 9.6 ± 7.7 (1–24) | 0.041 | 18.4 ± 3.8 (14–24) | 5.0 ± 3.7 (1–12) | 0.001 |
| CED a (mg/m2) | 0 | 8866.2 ± 9316.3 (0–31,650) | 0.001 | 2248.6 ± 3416.4 (0–9496) | 10,706.0 ± 10,699.4 (0–31,560) | 0.027 |
| DIE b (mg/m2) | 0 | 212.8 ± 81.4 (90–300) | 0.001 | 88.0 ± 122.3 (0–300) | 208.88.7 (90–300) | 0.034 |
| Number of grafts | ||||||
| Xenografted | 10.7 ± 2.9 (5–13) | 11.3 ± 1.7 (8–13) | 0.924 | 11.0 ± 2.6 (5–13) | 11.1 ± 1.4 (9–13) | 0.573 |
| Recovered | 5.8 ± 3.3 (2–10) | 5.9 ± 1.6 (2–8) | 1.000 | 5.9 ± 2.5 (2–10) | 5.9 ± 1.9 (2–8) | 1.000 |
| % recovered | 55.3 ± 28.4 (25–100) | 52.7 ± 12.6 (20–72) | 1.000 | 54.4 ± 21.5 (25–100) | 52.4 ± 15.1 (20–72) | 0.829 |
| Follicle number before xenografting (per graft) | ||||||
| Total | 211.2 ± 146.5 (74–464)) | 506.3 ± 665.4 (11–2428) | 0.385 | 203.7 ± 135.6 (20–464) | 663.2 ± 776.7 (11–2428) | 0.122 |
| Atretic | 19.1 ± 38.8 (0–97) | 182.4 ± 212.7 (0–717) | 0.018 | 40.0 ± 54.3 (0–156) | 237.9 ± 242.4 (2–717) | 0.016 |
| Primordial | 121.2 ± 86.1 (40–280) | 282.5 ± 543.6 (0–1925) | 0.964 | 105.9 ± 88.4 (7–280) | 382.4 ± 652.7 (0–1925) | 0.696 |
| Growing | 20.9 ± 19.6 (8–60) | 7.1 ± 7.0 (0–22) | 0.083 | 14.9 ± 16.9 (0–60) | 7.8 ± 7.9 (0–22) | 0.408 |
| Ratio growing/total (%) | 10.7 ± 6.4 (3.8–20.0) | 10.6 ± 22.9 (0–81.0) | 0.102 | 9.6 ± 6.2 (0–20) | 11.9 ± 28.3 (0–82) | 0.055 |
| Follicle number after xenografting (per graft) | ||||||
| Total | 5.1 ± 7.5 (0–19) | 27.6 ± 39.8 (0–129) | 0.125 | 6.9 ± 8.9 (0–22) | 36.6 ± 46.5 (1–129) | 0.043 |
| Atretic | 0.8 ± 1.9 (0–5) | 18.7 ± 31.1 (0–84) | 0.102 | 2.8 ± 6.6 (0–21) | 25.2 ± 36.5 (0–84) | 0.051 |
| Primordial | 4.0 ± 6.7 (0–16) | 8.5 ± 15.1 (0–5) | 0.385 | 3.9 ± 6.3 (0–16) | 10.9 ± 17.8 (46–88) | 0.237 |
| Growing | 0.5 ± 1.1 (0–3) | 0.6 ± 1,4 (0–5) | 0.892 | 0.8 ± 1.7 (0–5) | 0.2 ± 0.4 (0–1) | 0.829 |
| Ratio growing/total (%) | 33.3 ±51.6 (0–100) | 8.0 ± 16.1 (0–50) | 0.892 | 28.2 ± 41.6 (0–100) | 1.8 ± 3.1 (0–9) | 0.573 |
| Age | Pubertal Stage | CED | DIE | MRD * | ||||||
|---|---|---|---|---|---|---|---|---|---|---|
| Rho | p | Rho | p | Rho | p | Rho | p | Rho | p | |
| Before xenografting | ||||||||||
| Total follicles | –0.321 | 0.194 | –0.388 | 0.112 | 0.480 | 0.044 | 0.192 | 0.446 | 0.055 | 0.898 |
| Atretic follicles | –0.536 | 0.022 | –0.588 | 0.010 | 0.591 | 0.010 | 0.500 | 0.035 | –0.343 | 0.406 |
| Primordial follicles | –0.095 | 0.707 | –0.108 | 0.670 | 0.255 | 0.307 | –0.025 | 0.920 | 0.082 | 0.847 |
| Ratio growing/total | 0.473 | 0.047 | 0.464 | 0.053 | –0.558 | 0.016 | –0.473 | 0.047 | 0.164 | 0.699 |
| After xenografting | ||||||||||
| Total follicles | –0.215 | 0.213 | –0.485 | 0.041 | 0.311 | 0.208 | 0.247 | 0.323 | –0.041 | 0.923 |
| Atretic follicles | –0.255 | 0.307 | –0.474 | 0.047 | 0.481 | 0.043 | 0.345 | 0.161 | –0.291 | 0.485 |
| Primordial follicles | –0.255 | 0.391 | –0.286 | 0.232 | 0.000 | 1.000 | 0.038 | 0.888 | –0.218 | 0.604 |
| Ratio growing/total | 0.047 | 0.853 | 0.172 | 0.496 | –0.208 | 0.407 | –0.080 | 0.754 | –0.188 | 0.657 |
| % recovered grafts | –0.111 | 0.661 | –0.054 | 0.831 | 0.087 | 0.732 | 0.095 | 0.708 | –0.247 | 0.555 |
| Outcome Variable | Predictor | B | SEB | p-Value | R2–adj. |
|---|---|---|---|---|---|
| Before xenografting | |||||
| Atretic follicles | Pubertal stage | 83.232 | 73.397 | 0.276 | 79.7% |
| DIE | –0.186 | 0,314 | 0.562 | ||
| CED | 0.016 | 0.005 | 0.003 | ||
| Ratio growing/total | Pubertal stage | 12.160 | 11.055 | 0.290 | 39.0% |
| DIE | –0.030 | 0.047 | 0.529 | ||
| CED | –0.001 | 0.001 | 0.301 | ||
| After xenografting | |||||
| Atretic follicles | Pubertal stage | 9.234 | 12,130 | 0.459 | 69.9% |
| DIE | –0.041 | 0.052 | 0.437 | ||
| CED | 0.002 | 0.001 | 0.013 | ||
Publisher’s Note: MDPI stays neutral with regard to jurisdictional claims in published maps and institutional affiliations. |
© 2022 by the authors. Licensee MDPI, Basel, Switzerland. This article is an open access article distributed under the terms and conditions of the Creative Commons Attribution (CC BY) license (https://creativecommons.org/licenses/by/4.0/).
Share and Cite
Nurmio, M.; Asadi-Azarbaijani, B.; Hou, M.; Kiviö, R.; Toppari, J.; Tinkanen, H.; Laine, T.; Oskam, I.C.; Jahnukainen, K. Effect of Previous Alkylating Agent Exposure on Follicle Numbers in Cryopreserved Prepubertal and Young Adult Ovarian Tissue after Long-Term Xenografting. Cancers 2022, 14, 399. https://doi.org/10.3390/cancers14020399
Nurmio M, Asadi-Azarbaijani B, Hou M, Kiviö R, Toppari J, Tinkanen H, Laine T, Oskam IC, Jahnukainen K. Effect of Previous Alkylating Agent Exposure on Follicle Numbers in Cryopreserved Prepubertal and Young Adult Ovarian Tissue after Long-Term Xenografting. Cancers. 2022; 14(2):399. https://doi.org/10.3390/cancers14020399
Chicago/Turabian StyleNurmio, Mirja, Babak Asadi-Azarbaijani, Mi Hou, Ronja Kiviö, Jorma Toppari, Helena Tinkanen, Tiina Laine, Irma C. Oskam, and Kirsi Jahnukainen. 2022. "Effect of Previous Alkylating Agent Exposure on Follicle Numbers in Cryopreserved Prepubertal and Young Adult Ovarian Tissue after Long-Term Xenografting" Cancers 14, no. 2: 399. https://doi.org/10.3390/cancers14020399
APA StyleNurmio, M., Asadi-Azarbaijani, B., Hou, M., Kiviö, R., Toppari, J., Tinkanen, H., Laine, T., Oskam, I. C., & Jahnukainen, K. (2022). Effect of Previous Alkylating Agent Exposure on Follicle Numbers in Cryopreserved Prepubertal and Young Adult Ovarian Tissue after Long-Term Xenografting. Cancers, 14(2), 399. https://doi.org/10.3390/cancers14020399

