Incidence and Risk Factors of Chest Wall Metastasis at Biopsy Sites in Patients with Malignant Pleural Mesothelioma
Abstract
Simple Summary
Abstract
1. Introduction
2. Material and Methods
2.1. Ethics
2.2. Study Design and Patient Selection
2.3. Therapeutic Strategy
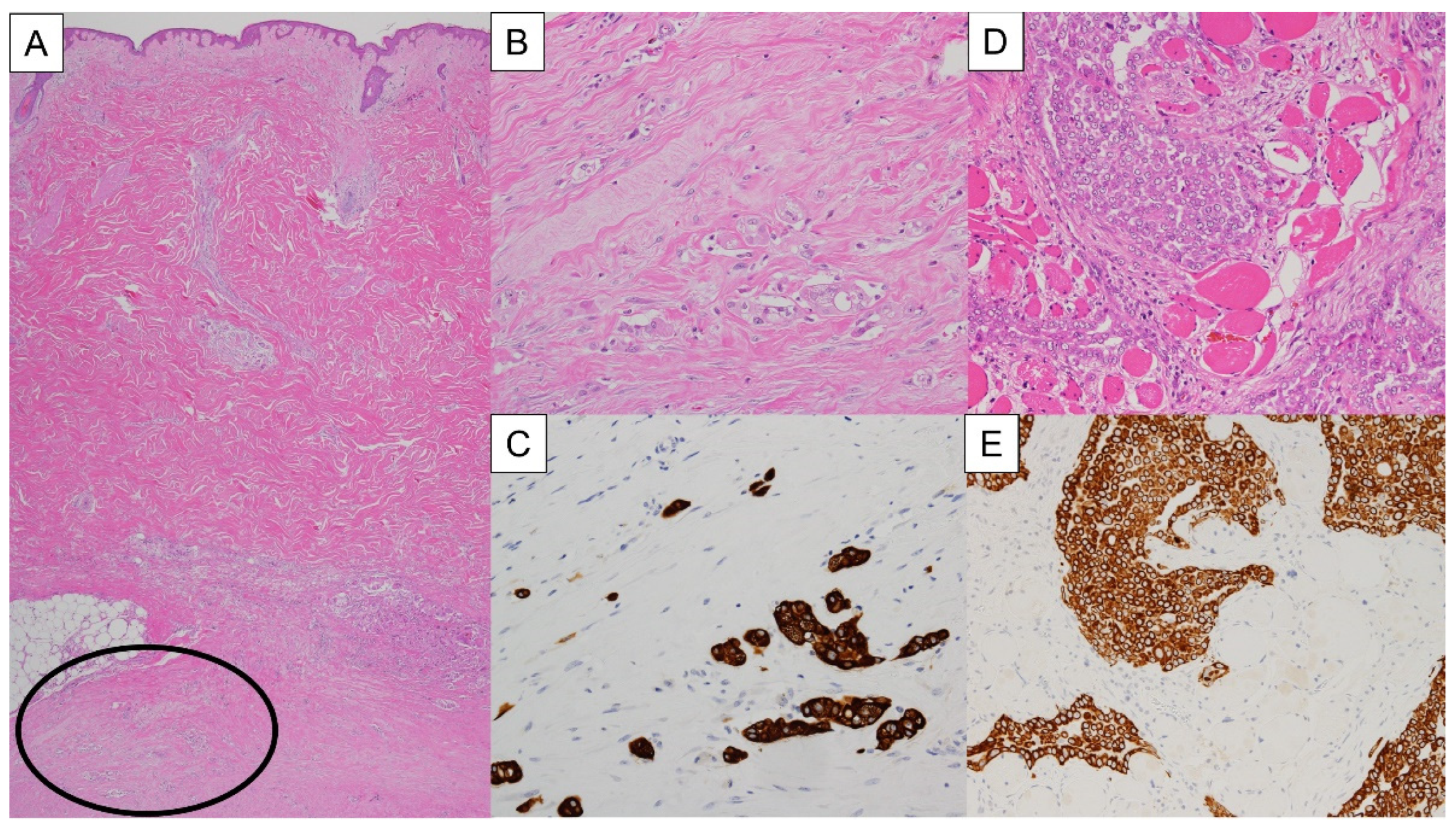
2.4. Evaluation of Chest Wall Metastasis at Biopsy Site and/or Drainage Tract
2.5. Data Collection
2.6. Statistical Analysis
3. Results
3.1. Study Flowchart and Patient Characteristics
3.2. Evaluation of CWM and Diagnostic Accuracy of Radiological Examination for p-CWM
3.3. Risk Factors of p-CWM
3.4. Prognostic Impact of p-CWM
4. Discussion
5. Conclusions
Author Contributions
Funding
Institutional Review Board Statement
Informed Consent Statement
Data Availability Statement
Acknowledgments
Conflicts of Interest
Abbreviations
| CT | computed tomography |
| CWM | chest wall metastasis |
| EPP | Extrapleural pneumonectomy |
| MMT | multimodal treatment |
| MPE | malignant pleural effusion |
| MPM | Malignant pleural mesothelioma |
| mRECIST | modified Response Evaluation Criteria in Solid Tumors |
| NAC | neoadjuvant chemotherapy |
| P/D | pleurectomy/decortication |
| PET | positron emission tomography-computer tomography |
| PS | performance status |
| RT | radiation therapy |
| r-CWM | Radiological CWM at biopsy site |
| p-CWM | Pathological CWM at biopsy site |
| VATS | Video-assisted thoracoscopic surgery |
References
- Opitz, I. Management of malignant pleural mesothelioma—The European experience. J. Thorac. Dis. 2014, 6 (Suppl. S2), S238–S252. [Google Scholar]
- Takuwa, T.; Hasegawa, S. Current surgical strategies for malignant pleural mesothelioma. Surg. Today 2016, 46, 887–894. [Google Scholar] [CrossRef] [PubMed]
- Miyoshi, S.; Sasada, S.; Izumo, T.; Matsumoto, Y.; Tsuchida, T. Diagnostic Utility of Pleural Fluid Cell Block versus Pleural Biopsy Collected by Flex-Rigid Pleuroscopy for Malignant Pleural Disease: A Single Center Retrospective Analysis. PLoS ONE 2016, 11, e0167186. [Google Scholar] [CrossRef] [PubMed]
- Davies, H.; Lee, Y.C.G. Pleurodesis for malignant pleural effusion: Talc, toxicity and what next? Thorax 2008, 63, 572–574. [Google Scholar] [CrossRef] [PubMed][Green Version]
- Gill, R.R.; Gerbaudo, V.H.; Sugarbaker, D.J.; Hatabu, H. Current trends in radiologic management of malignant pleural mesothelioma. Semin. Thorac. Cardiovasc. Surg. 2009, 21, 111–120. [Google Scholar] [CrossRef] [PubMed]
- Hashimoto, M.; Sato, A.; Kuroda, A.; Nakamura, A.; Nakamichi, T.; Kondo, N.; Yuki, M.; Nabeshima, K.; Tsujimura, T.; Hasegawa, S. Clinical feature of diagnostic challenging cases for pleural biopsy in patient with malignant pleural mesothelioma. Gen Thorac. Cardiovasc. Surg. 2020, 68, 820–827. [Google Scholar] [CrossRef]
- Opitz, I.; Scherpereel, A.; Berghmans, T.; Psallidas, I.; Glatzer, M.; Rigau, D.; Astoul, P.; Bölükbas, S.; Boyd, J.; Coolen, J.; et al. ERS/ESTS/EACTS/ESTRO guidelines for the management of malignant pleural mesothelioma. Eur. J. Cardiothorac. Surg. 2020, 58, 1900953. [Google Scholar] [CrossRef]
- Husain, A.N.; Colby, T.V.; Ordóñez, N.G.; Allen, T.C.; Attanoos, R.L.; Beasley, M.B.; Butnor, K.J.; Chirieac, L.R.; Churg, A.M.; Dacic, S.; et al. Guidelines for Pathologic Diagnosis of Malignant Mesothelioma 2017 Update of the Consensus Statement from the International Mesothelioma Interest Group. Arch. Pathol. Lab. Med. 2018, 142, 89–108. [Google Scholar] [CrossRef]
- Bölükbas, S.; Eberlein, M.; Kudelin, N.; Demes, M.; Stallmann, S.; Fisseler-Eckhoff, A.; Schirren, J. Factors predicting poor survival after lung-sparing radical pleurectomy of IMIG stage III malignant pleural mesothelioma. Eur. J. Cardiothorac. Surg. 2013, 44, 119–123. [Google Scholar] [CrossRef]
- Richards, W.G.; Godleski, J.J.; Yeap, B.Y.; Corson, J.M.; Chirieac, L.R.; Zellos, L.; Mujoomdar, A.; Jaklitsch, M.T.; Bueno, R.; Sugarbaker, D.J. Proposed adjustments to pathologic staging of epithelial malignant pleural mesothelioma based on analysis of 354 cases. Cancer 2010, 116, 1510–1517. [Google Scholar] [CrossRef]
- Bayman, N.; Appel, W.; Ashcroft, L.; Baldwin, D.R.; Bates, A.; Darlison, L.; Edwards, J.G.; Ezhil, V.; Gilligan, D.; Hatton, M.; et al. Prophylactic Irradiation of Tracts in Patients with Malignant Pleural Mesothelioma: An Open-Label, Multicenter, Phase III Randomized Trial. J. Clin. Oncol. 2019, 37, 1200–1208. [Google Scholar] [CrossRef] [PubMed]
- Boutin, C.; Rey, F.; Viallat, J.R. Prevention of malignant seeding after invasive diagnostic procedures in patients with pleural mesothelioma. A randomized trial of local radiotherapy. Chest 1995, 108, 754–758. [Google Scholar] [CrossRef] [PubMed]
- Bibby, A.C.; Dorn, P.; Psallidas, I.; Porcel, J.M.; Janssen, J.; Froudarakis, M.; Subotic, D.; Astoul, P.; Licht, P.; Schmid, R.; et al. ERS/EACTS statement on the management of malignant pleural effusions. Eur. J. Cardiothorac. Surg. 2019, 55, 116–132. [Google Scholar] [CrossRef] [PubMed]
- Hasegawa, S.; Kondo, N.; Matsumoto, S.; Takuwa, T.; Hashimoto, M.; Kuroda, A.; Nakamichi, T.; Kamikonya, N.; Tsujimura, T.; Nakano, T. Surgical Risk and Survival Associated With Less Invasive Surgery for Malignant Pleural Mesothelioma. Semin. Thorac. Cardiovasc. Surg. 2019, 31, 301–309. [Google Scholar] [CrossRef]
- Hashimoto, M.; Takeuchi, J.; Takuwa, T.; Kuroda, A.; Nakamura, A.; Nakamichi, T.; Matsumoto, S.; Kondo, N.; Nakano, T.; Morimoto, T.; et al. Pleural thickness after neoadjuvant chemotherapy is a prognostic factor in malignant pleural mesothelioma. J. Thorac. Cardiovasc. Surg. 2019, 157, 404–413. [Google Scholar] [CrossRef] [PubMed]
- Hashimoto, M.; Hasegawa, S. Surgical technique of pleurectomy/decortication. Shanghai Chest 2018, 2, 44. [Google Scholar] [CrossRef]
- Armato, S.G., 3rd; Nowak, A.K. Revised Modified Response Evaluation Criteria in Solid Tumors for Assessment of Response in Malignant Pleural Mesothelioma (Version 1.1). J. Thorac. Oncol. 2018, 13, 1012–1021. [Google Scholar] [CrossRef]
- Nowak, A.K.; Chansky, K.; Rice, D.C.; Pass, H.I.; Kindler, H.L.; Shemanski, L.; Billé, A.; Rintoul, R.C.; Batirel, H.F.; Thomas, C.F.; et al. Staging and Prognostic Factors Committee, Advisory Boards and Participating Institutions. The IASLC Mesothelioma Staging Project: Proposals for Revisions of the T Descriptors in the Forthcoming Eighth Edition of the TNM Classification for Pleural Mesothelioma. J. Thorac. Oncol. 2016, 11, 2089–2099. [Google Scholar] [PubMed]
- Rice, D.; Chansky, K.; Nowak, A.; Pass, H.; Kindler, H.; Shemanski, L.; Opitz, I.; Call, S.; Hasegawa, S.; Kernstine, K.; et al. Mesothelioma Domain of the IASLC Staging and Prognostic Factors Committee, advisory boards and participating institutions. The IASLC Mesothelioma Staging Project: Proposals for Revisions of the N Descriptors in the Forthcoming Eighth Edition of the TNM Classification for Pleural Mesothelioma. J. Thorac. Oncol. 2016, 11, 2100–2111. [Google Scholar]
- Rusch, V.W.; Chansky, K.; Kindler, H.L.; Nowak, A.K.; Pass, H.I.; Rice, D.C.; Shemanski, L.; Galateau-Sallé, F.; McCaughan, B.C.; Nakano, T.; et al. IASLC Staging and Prognostic Factors Committee, advisory boards, and participating institutions. The IASLC Mesothelioma Staging Project: Proposals for the M Descriptors and for Revision of the TNM Stage Groupings in the Forthcoming (Eighth) Edition of the TNM Classification for Mesothelioma. J. Thorac. Oncol. 2016, 11, 2112–2119. [Google Scholar]
- Kawaguchi, K.; Taniguchi, T.; Usami, N.; Fukui, T.; Ishiguro, F.; Nakamura, S.; Yokoi, K. FDG PET/CT is useful for detecting infiltration to the port site in patients with malignant pleural mesothelioma. Gen. Thorac. Cardiovasc. Surg. 2014, 62, 157–162. [Google Scholar] [CrossRef] [PubMed]
- Chapman, A.; Mulrennan, S.; Ladd, B.; Muers, M.F. Population based epidemiology and prognosis of mesothelioma in Leeds, UK. Thorax 2008, 63, 435–439. [Google Scholar] [CrossRef] [PubMed]
- Chen, F.; Yoshizawa, A.; Okubo, K.; Date, H. Tumor extension along chest wall tract after diagnostic intervention in malignant pleural mesothelioma. Interact. Cardiovasc. Thorac. Surg. 2011, 12, 1060–1062. [Google Scholar] [CrossRef] [PubMed][Green Version]
- Metintas, M.; Ak, G.; Parspour, S.; Yildirim, H.; Erginel, S.; Alatas, F.; Batirel, H.F.; Sivrikoz, C.; Metintas, S.; Dundar, E. Local recurrence of tumor at sites of intervention in malignant pleural mesothelioma. Lung Cancer 2008, 61, 255–261. [Google Scholar] [CrossRef] [PubMed]
- Agarwal, P.P.; Seely, J.M.; Matzinger, F.R.; MacRae, R.M.; Peterson, R.A.; Maziak, D.E.; Dennie, C.J. Pleural mesothelioma: Sensitivity and incidence of needle track seeding after image-guided biopsy versus surgical biopsy. Radiology 2006, 241, 589–594. [Google Scholar] [CrossRef] [PubMed]
- Nakamura, A.; Takuwa, T.; Hashimoto, M.; Kuroda, A.; Nakamichi, T.; Matsumoto, S.; Kondo, N.; Kijima, T.; Yamakado, K.; Hasegawa, S. Clinical Outcomes With Recurrence After Pleurectomy/Decortication for Malignant Pleural Mesothelioma. Ann. Thorac. Surg. 2020, 109, 1537–1543. [Google Scholar] [CrossRef]
- Kostron, A.; Friess, M.; Crameri, O.; Inci, I.; Schneiter, D.; Hillinger, S.; Stahel, R.; Weder, W.; Opitz, I. Relapse pattern and second-line treatment following multimodality treatment for malignant pleural mesothelioma. Eur. J. Cardiothorac. Surg. 2016, 49, 1516–1523. [Google Scholar] [CrossRef]
- Andrici, J.; Sheen, A.; Sioson, L.; Wardell, K.; Clarkson, A.; Watson, N.; Ahadi, M.S.; Farzin, M.; Toon, C.W.; Gill, A.J. Loss of expression of BAP1 is a useful adjunct, which strongly supports the diagnosis of mesothelioma in effusion cytology. Mod. Pathol. 2015, 28, 1360–1368. [Google Scholar] [CrossRef]
- Kinoshita, Y.; Hida, T.; Hamasaki, M.; Matsumoto, S.; Sato, A.; Tsujimura, T.; Kawahara, K.; Hiroshima, K.; Oda, Y.; Nabeshima, K. A combination of MTAP and BAP1 immunohistochemistry in pleural effusion cytology for the diagnosis of mesothelioma. Cancer Cytopathol. 2018, 126, 54–63. [Google Scholar] [CrossRef]
- Kinoshita, Y.; Hamasaki, M.; Matsumoto, S.; Yoshimura, M.; Sato, A.; Tsujimura, T.; Kamei, T.; Kawahara, K.; Iwasaki, A.; Nabeshima, K. Fluorescence in situ hybridization detection of chromosome 22 monosomy in pleural effusion cytology for the diagnosis of mesothelioma. Cancer Cytopathol. 2021, 129, 526–536. [Google Scholar] [CrossRef]
- Jo, V.Y.; Cibas, E.S.; Pinkus, G.S. Claudin-4 immunohistochemistry is highly effective in distinguishing adenocarcinoma from malignant mesothelioma in effusion cytology. Cancer Cytopathol. 2014, 122, 299–306. [Google Scholar] [CrossRef] [PubMed]
- Hiroshima, K.; Wu, D.; Hamakawa, S.; Tsuruoka, S.; Ozaki, D.; Orikasa, H.; Hasegawa, M.; Koh, E.; Sekine, Y.; Yonemori, Y.; et al. HEG1, BAP1, and MTAP are useful in cytologic diagnosis of malignant mesothelioma with effusion. Diagn. Cytopathol. 2021, 49, 622–632. [Google Scholar] [CrossRef] [PubMed]
- Hjerpe, A.; Ascoli, V.; Bedrossian, C.W.; Boon, M.E.; Creaney, J.; Davidson, B.; Dejmek, A.; Dobra, K.; Fassina, A.; Field, A.; et al. Guidelines for the cytopathologic diagnosis of epithelioid and mixed-type malignant mesothelioma: Complementary Statement from the International Mesothelioma Interest Group, Also Endorsed by the International Academy of Cytology and the Papanicolaou Society of Cytopathology. Diagn. Cytopathol. 2015, 43, 563–576. [Google Scholar] [PubMed]
- Rojas, L.; Cardona, A.F.; Trejo-Rosales, R.; Zatarain-Barrón, Z.L.; Ramírez-Tirado, L.A.; Ruiz-Patiño, A.; Campos Gómez, S.; Corrales, L.; Oblitas, G.; Bacon, L.; et al. Characteristics and long-term outcomes of advanced pleural mesothelioma in Latin America (MeSO-CLICaP). Thorac. Cancer 2019, 10, 508–518. [Google Scholar] [CrossRef] [PubMed]
- Aelony, Y.; Yao, J.F. Prolonged survival after talc poudrage for malignant pleural mesothelioma: Case series. Respirology 2005, 10, 649–655. [Google Scholar] [CrossRef]
- Abdul Rahim, S.N.; Ho, G.Y.; Coward, J.I. The role of interleukin-6 in malignant mesothelioma. Transl. Lung Cancer Res. 2015, 4, 55–66. [Google Scholar]
- Strizzi, L.; Catalano, A.; Vianale, G.; Orecchia, S.; Casalini, A.; Tassi, G.; Puntoni, R.; Mutti, L.; Procopio, A. Vascular endothelial growth factor is an autocrine growth factor in human malignant mesothelioma. J. Pathol. 2001, 193, 468–475. [Google Scholar] [CrossRef]
- Fujii, M.; Nakanishi, H.; Toyoda, T.; Tanaka, I.; Kondo, Y.; Osada, H.; Sekido, Y. Convergent signaling in the regulation of connective tissue growth factor in malignant mesothelioma: TGFβ signaling and defects in the Hippo signaling cascade. Cell Cycle 2012, 11, 3373–3379. [Google Scholar] [CrossRef]
- Acencio, M.M.; Vargas, F.S.; Marchi, E.; Carnevale, G.G.; Teixeira, L.R.; Antonangelo, L.; Broaddus, V.C. Pleural mesothelial cells mediate inflammatory and profibrotic responses in talc-induced pleurodesis. Lung 2007, 185, 343–348. [Google Scholar] [CrossRef]
- Bayman, N.; Ardron, D.; Ashcroft, L.; Baldwin, D.R.; Booton, R.; Darlison, L.; Edwards, J.G.; Lang-Lazdunski, L.; Lester, J.F.; Peake, M.; et al. Protocol for PIT: A phase III trial of prophylactic irradiation of tracts in patients with malignant pleural mesothelioma following invasive chest wall intervention. BMJ Open 2016, 6, e010589. [Google Scholar] [CrossRef]
- Di Salvo, M.; Gambaro, G.; Pagella, S.; Manfredda, I.; Casadio, C.; Krengli, M. Prevention of malignant seeding at drain sites after invasive procedures (surgery and/or thoracoscopy) by hypofractionated radiotherapy in patients with pleural mesothelioma. Acta Oncol. 2008, 47, 1094–1098. [Google Scholar] [CrossRef] [PubMed]
- Bydder, S.; Phillips, M.; Joseph, D.J.; Cameron, F.; Spry, N.A.; DeMelker, Y.; Musk, A.W. A randomised trial of single-dose radiotherapy to prevent procedure tract metastasis by malignant mesothelioma. Br. J. Cancer 2004, 91, 9–10. [Google Scholar] [CrossRef] [PubMed]



| Age | Median (Range) | 67 (16–79) |
|---|---|---|
| sex | female | 44 |
| male | 193 | |
| PS | 0 | 217 |
| 1 | 20 | |
| side | left | 101 |
| right | 136 | |
| histology | epithelioid | 211 |
| non-epithelioid | 26 | |
| yc-T factor | 1/2/3 | 145/43/49 |
| diagnostic modality | VATS | 197 |
| medical thoracoscopy | 40 | |
| prophylactic radiation therapy | presence | 2 |
| none | 235 | |
| pleurodesis | yes | 74 |
| no | 163 | |
| r-CWM | positive | 43 |
| negative | 194 | |
| surgical procedure | EPP | 47 |
| P/D | 170 | |
| exploratory | 20 | |
| response of NAC | PR | 43 |
| SD | 194 |
| p-CWM | |||
|---|---|---|---|
| Positive | Negative | ||
| r-CWM | Positive | 31 | 12 |
| Negative | 104 | 90 | |
| Variables | Positive | Negative | p-Value | |
|---|---|---|---|---|
| Histological type | Epithelioid | 119 | 92 | 0.68 |
| non-epithelioid | 16 | 10 | ||
| Pleurodesis | present | 57 | 17 | <0.001 |
| none | 78 | 85 | ||
| Prophylactic RT | present | 1 | 1 | 1 |
| none | 134 | 101 | ||
| Procedure of pleural biopsy | VATS | 116 | 81 | 0.22 |
| medical thoracoscopy | 19 | 21 | ||
| Response of NAC | PR | 21 | 22 | 0.24 |
| SD | 114 | 80 | ||
| yc-T | yc-T1 | 85 | 60 | 0.59 |
| yc-T2-3 | 50 | 42 | ||
| PS | 0 | 123 | 94 | 0.82 |
| 1 | 12 | 8 | ||
| Sex | male | 115 | 78 | 0.09 |
| female | 20 | 24 | ||
| Side | right | 83 | 53 | 0.12 |
| left | 52 | 51 |
| OR | 95%CI | p-Value | ||
|---|---|---|---|---|
| yc-T | ycT2-3 | 0.99 | 0.70–1.41 | 0.97 |
| pleurodesis | present | 3.46 | 1.84–6.52 | <0.001 |
| NAC | SD | 1.3 | 0.63–2.68 | 0.48 |
| histology | non-epithelioid | 1.33 | 0.55–3.22 | 0.53 |
| procedure | VATS | 1.28 | 0.63–2.61 | 0.37 |
Publisher’s Note: MDPI stays neutral with regard to jurisdictional claims in published maps and institutional affiliations. |
© 2022 by the authors. Licensee MDPI, Basel, Switzerland. This article is an open access article distributed under the terms and conditions of the Creative Commons Attribution (CC BY) license (https://creativecommons.org/licenses/by/4.0/).
Share and Cite
Hashimoto, M.; Yuki, M.; Kitajima, K.; Fukuda, A.; Nakamichi, T.; Nakamura, A.; Kuroda, A.; Matsumoto, S.; Kondo, N.; Sato, A.; et al. Incidence and Risk Factors of Chest Wall Metastasis at Biopsy Sites in Patients with Malignant Pleural Mesothelioma. Cancers 2022, 14, 4356. https://doi.org/10.3390/cancers14184356
Hashimoto M, Yuki M, Kitajima K, Fukuda A, Nakamichi T, Nakamura A, Kuroda A, Matsumoto S, Kondo N, Sato A, et al. Incidence and Risk Factors of Chest Wall Metastasis at Biopsy Sites in Patients with Malignant Pleural Mesothelioma. Cancers. 2022; 14(18):4356. https://doi.org/10.3390/cancers14184356
Chicago/Turabian StyleHashimoto, Masaki, Michiko Yuki, Kazuhiro Kitajima, Akihiro Fukuda, Toru Nakamichi, Akifumi Nakamura, Ayumi Kuroda, Seiji Matsumoto, Nobuyuki Kondo, Ayuko Sato, and et al. 2022. "Incidence and Risk Factors of Chest Wall Metastasis at Biopsy Sites in Patients with Malignant Pleural Mesothelioma" Cancers 14, no. 18: 4356. https://doi.org/10.3390/cancers14184356
APA StyleHashimoto, M., Yuki, M., Kitajima, K., Fukuda, A., Nakamichi, T., Nakamura, A., Kuroda, A., Matsumoto, S., Kondo, N., Sato, A., Yamakado, K., Tsujimura, T., & Hasegawa, S. (2022). Incidence and Risk Factors of Chest Wall Metastasis at Biopsy Sites in Patients with Malignant Pleural Mesothelioma. Cancers, 14(18), 4356. https://doi.org/10.3390/cancers14184356

