Molecular Pathological Characteristics of Thyroid Follicular-Patterned Tumors Showing Nodule-in-Nodule Appearance with Poorly Differentiated Component
Abstract
Simple Summary
Abstract
1. Introduction
2. Materials and Methods
2.1. Sample Collection and Preparation
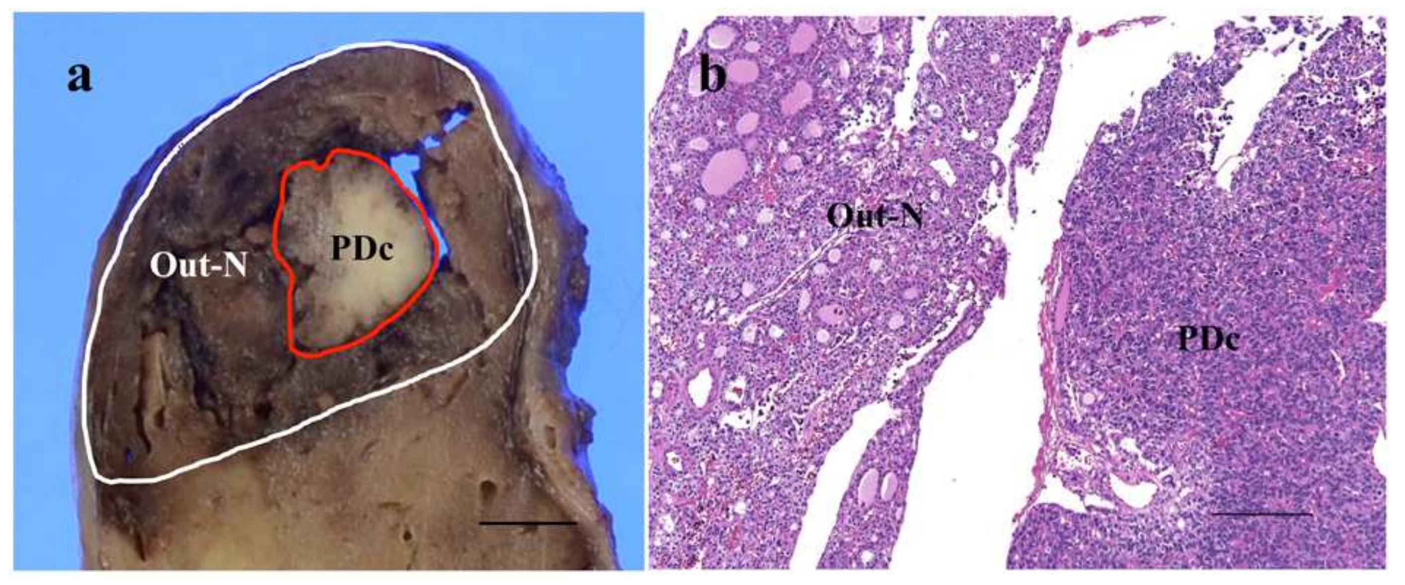
- Well-circumscribed, well-differentiated follicular tumor macroscopically and histologically exhibits NN appearance regardless of encapsulation.
- Inner nodule predominantly comprises PDc, such as STI-patterned follicular cells, occasionally admixed with microfollicular components.
- Out-N comprises well-formed follicular-patterned follicular cells.
- Tumors with metastasis or PTC-like nuclear features are excluded.
2.2. IF Analysis for 53BP1 Expression
2.3. DNA Extraction
2.4. Droplet Digital PCR (ddPCR) for NRAS Codon 61 Mutation
2.5. ddPCR for TERT-Promoter Mutation
2.6. Immunohistochemical Analyses for Conventional Biomarkers of Thyroid Carcinomas
2.7. Statistical Analyses
3. Results
3.1. Type of 53BP1 Expression in TFTs Showing NN Appearance with PDc
3.2. Frequency of NRAS Codon 61 and TERT Promoter Mutations and Their Association with Abnormal Type 53BP1 Expression in TFTs
3.3. Immunohistochemical Analyses for Conventional Biomarkers of Thyroid Carcinomas in NN with PDc and PDTC
4. Discussion
5. Conclusions
Supplementary Materials
Author Contributions
Funding
Institutional Review Board Statement
Informed Consent Statement
Data Availability Statement
Conflicts of Interest
References
- Lloyd, R.V.; Osamura, R.Y.; Klöppel, G.; Rosai, J. WHO Classification of Tumours of Endocrine Organs, 4th ed.; International Agency for Research on Cancer: Lyon, France, 2017; pp. 65–143. [Google Scholar]
- Lengauer, C.; Kinzler, K.W.; Vogelstein, B. Genetic Instabilities in Human Cancers. Nature 1998, 396, 643–649. [Google Scholar] [CrossRef] [PubMed]
- Zhu, C.; Mills, K.D.; Ferguson, D.O.; Lee, C.; Manis, J.; Fleming, J.; Gao, Y.; Morton, C.C.; Alt, F.W. Unrepaired DNA Breaks in p53-Deficient Cells Lead to Oncogenic Gene Amplification Subsequent to Translocations. Cell 2002, 109, 811–821. [Google Scholar] [CrossRef]
- Coleman, W.B.; Tsongalis, G.J. The role of genomic instability in human carcinogenesis. Anticancer Res. 1999, 19, 4645–4664. [Google Scholar] [PubMed]
- Negrini, S.; Gorgoulis, V.G.; Halazonetis, T.D. Genomic instability—An evolving hallmark of cancer. Nat. Rev. Mol. Cell Biol. 2010, 11, 220–228. [Google Scholar] [CrossRef] [PubMed]
- Suzuki, K.; Yokoyama, S.; Waseda, S.; Kodama, S.; Watanabe, M. Delayed Reactivation of p53 in the Progeny of Cells Surviving Ionizing Radiation. Cancer Res. 2003, 63, 936–941. [Google Scholar] [PubMed]
- Schultz, L.B.; Chehab, N.H.; Malikzay, A.; Halazonetis, T.D. p53 Binding protein 1 (53BP1) Is an Early Participant in the Cellular Response to DNA Double-Strand Breaks. J. Cell Biol. 2000, 151, 1381–1390. [Google Scholar] [CrossRef] [PubMed]
- Xia, Z.; Morales, J.C.; Dunphy, W.G.; Carpenter, P.B. Negative cell cycle regulation and DNA damage-inducible phosphorylation of the BRCT protein 53BP1. J. Biol. Chem. 2001, 276, 2708–2718. [Google Scholar] [CrossRef]
- Anderson, L.; Henderson, C.; Adachi, Y. Phosphorylation and rapid relocalization of 53BP1 to nuclear foci upon DNA damage. Mol. Cell. Biol. 2001, 21, 1719–1729. [Google Scholar] [CrossRef]
- Rappold, I.; Iwabuchi, K.; Date, T.; Chen, J. Tumor suppressor p53 binding protein 1 (53BP1) is involved in DNA damage-signaling pathways. J. Cell Biol. 2001, 153, 613–620. [Google Scholar] [CrossRef]
- Ward, I.M.; Minn, K.; Jorda, K.G.; Chen, J. Accumulation of checkpoint protein 53BP1 at DNA breaks involves its binding to phosphorylated histone H2AX. J. Biol. Chem. 2003, 278, 19579–19582. [Google Scholar] [CrossRef]
- Nakashima, M.; Suzuki, K.; Meirmanov, S.; Naruke, Y.; Matsuu-Matsuyama, M.; Shichijo, K.; Saenko, V.; Kondo, H.; Hayashi, T.; Ito, M.; et al. Foci Formation of P53-Binding protein 1 in Thyroid Tumors: Activation of Genomic Instability during Thyroid Carcinogenesis. Int. J. Cancer 2008, 122, 1082–1088. [Google Scholar] [CrossRef]
- Naruke, Y.; Nakashima, M.; Suzuki, K.; Matsuu-Matsuyama, M.; Shichijo, K.; Kondo, H.; Sekine, I. Alteration of p53-Binding protein 1 Expression During Skin Carcinogenesis: Association with Genomic Instability. Cancer Sci. 2008, 99, 946–951. [Google Scholar] [CrossRef]
- Matsuda, K.; Miura, S.; Kurashige, T.; Suzuki, K.; Kondo, H.; Ihara, M.; Nakajima, H.; Masuzaki, H.; Nakashima, M. Significance of p53-Binding protein 1 Nuclear Foci in Uterine Cervical Lesions: Endogenous DNA Double-Strand Breaks and Genomic Instability During Carcinogenesis. Histopathology 2011, 59, 441–451. [Google Scholar] [CrossRef]
- Matsuda, K.; Kawasaki, T.; Akazawa, Y.; Hasegawa, Y.; Kondo, H.; Suzuki, K.; Iseki, M.; Nakashima, M. Expression Pattern of p53-Binding protein 1 as a New Molecular Indicator of Genomic Instability in Bladder Urothelial Carcinoma. Sci. Rep. 2018, 8, 15477. [Google Scholar] [CrossRef]
- Otsubo, R.; Matsuda, K.; Mussazhanova, Z.; Sato, A.; Matsumoto, M.; Yano, H.; Oikawa, M.; Kondo, H.; Ito, M.; Miyauchi, A.; et al. A Novel Diagnostic Method for Thyroid Follicular Tumors Based on Immunofluorescence Analysis of p53-Binding Protein 1 Expression: Detection of Genomic Instability. Thyroid 2019, 29, 657–665. [Google Scholar] [CrossRef]
- Ueki, N.; Akazawa, Y.; Miura, S.; Matsuda, K.; Kurohama, H.; Imaizumi, T.; Kondo, H.; Nakashima, M. Significant Association Between 53 BP1 Expression and Grade of Intraepithelial Neoplasia of Esophagus: Alteration During Esophageal Carcinogenesis. Pathol. Res. Pract. 2019, 215, 152601. [Google Scholar] [CrossRef]
- Imaizumi, T.; Matsuda, K.; Tanaka, K.; Kondo, H.; Ueki, N.; Kurohama, H.; Otsubo, C.; Matsuoka, Y.; Akazawa, Y.; Miura, S.; et al. Detection of Endogenous DNA Double-Strand Breaks in Oral Squamous Epithelial Lesions by P53-Binding Protein 1. Anticancer Res. 2021, 41, 4771–4779. [Google Scholar] [CrossRef]
- Luong, T.M.H.; Matsuda, K.; Niino, D.; Kurohama, H.; Ito, M.; Nakashima, M. Significance of Abnormal 53BP1 Expression as a Novel Molecular Pathologic Parameter of Follicular-Shaped B-Cell Lymphoid Lesions in Human Digestive Tract. Sci. Rep. 2021, 11, 3074. [Google Scholar] [CrossRef]
- Kondo, T.; Ezzat, S.; Asa, S.L. Pathogenetic Mechanisms in Thyroid Follicular-Cell Neoplasia. Nat. Rev. Cancer 2006, 6, 292–306. [Google Scholar] [CrossRef]
- Vinagre, J.; Almeida, A.; Pópulo, H.; Batista, R.; Lyra, J.; Pinto, V.; Coelho, R.; Celestino, R.; Prazeres, H.; Lima, L.; et al. Frequency of Tert Promoter Mutations in Human Cancers. Nat. Commun. 2013, 4, 2185. [Google Scholar] [CrossRef]
- Xing, M. Molecular Pathogenesis and Mechanisms of Thyroid Cancer. Nat. Rev. Cancer 2013, 13, 184–199. [Google Scholar] [CrossRef]
- Liu, X.; Bishop, J.; Shan, Y.; Pai, S.; Liu, D.; Murugan, A.K.; Sun, H.; El-Naggar, A.K.; Xing, M. Highly prevalent TERT promoter mutations in aggressive thyroid cancers. Endocr. Relat. Cancer 2013, 20, 603–610. [Google Scholar] [CrossRef]
- Fukahori, M.; Yoshida, A.; Hayashi, H.; Yoshihara, M.; Matsukuma, S.; Sakuma, Y.; Koizume, S.; Okamoto, N.; Kondo, T.; Masuda, M.; et al. The Associations between RAS Mutations and Clinical Characteristics in Follicular Thyroid Tumors: New Insights from a Single Center and a Large Patient Cohort. Thyroid 2012, 22, 683–689. [Google Scholar] [CrossRef]
- Tanaka, A.; Matsuse, M.; Saenko, V.; Nakao, T.; Yamanouchi, K.; Sakimura, C.; Yano, H.; Nishihara, E.; Hirokawa, M.; Suzuki, K.; et al. TERT mRNA Expression as a Novel Prognostic Marker in Papillary Thyroid Carcinomas. Thyroid 2019, 29, 1105–1114. [Google Scholar] [CrossRef]
- Nakao, T.; Matsuse, M.; Saenko, V.; Rogounovitch, T.; Tanaka, A.; Suzuki, K.; Higuchi, M.; Sasai, H.; Sano, T.; Hirokawa, M.; et al. Preoperative detection of the TERT promoter mutations in papillary thyroid carcinomas. Clin. Endocrinol. 2021, 95, 790–799. [Google Scholar] [CrossRef]
- Sato, A.; Matsuda, K.; Motoyama, T.; Mussazhanova, Z.; Otsubo, R.; Kondo, H.; Akazawa, Y.; Higuchi, M.; Suzuki, A.; Hirokawa, M.; et al. 53BP1 Expression as a Biomarker to Differentiate Thyroid Follicular Tumors. Endocr. Connect. 2021, 10, 309–315. [Google Scholar] [CrossRef]
- Kim, Y.H.; Choi, Y.W.; Han, J.H.; Lee, J.; Soh, E.Y.; Park, S.H.; Kim, J.H.; Park, T.J. TSH signaling overcomes B-RafV600E-induced senescence in papillary thyroid carcinogenesis through regulation of DUSP6. Neoplasia 2014, 16, 1107–1120. [Google Scholar] [CrossRef][Green Version]
- Rivera, M.; Ricarte-Filho, J.; Patel, S.; Tuttle, M.; Shaha, A.; Shah, J.P.; Fagin, J.A.; Ghossein, R.A. Encapsulated Thyroid Tumors of Follicular Cell Origin with High Grade Features (High Mitotic Rate/Tumor Necrosis): A Clinicopathologic and Molecular Study. Hum. Pathol. 2010, 41, 172–180. [Google Scholar] [CrossRef]
- Kobayashi, K.; Ota, H.; Hirokawa, M.; Yabuta, T.; Fukushima, M.; Masuoka, H.; Higashiyama, T.; Kihara, M.; Ito, Y.; Miya, A.; et al. ‘Nodule in Nodule’ on Thyroid Ultrasonography: Possibility of Follicular Carcinoma Transformed from Benign Thyroid Tumor. Eur. Thyroid J. 2017, 6, 101–107. [Google Scholar] [CrossRef][Green Version]
- Bongiovanni, M.; Mazzucchelli, L.; Giovanella, L.; Frattini, M.; Pusztaszeri, M. Well-Differentiated Follicular Patterned Tumors of the Thyroid with High-Grade Features Can Metastasize in the Absence of Capsular or Vascular Invasion: Report of a Case. Int. J. Surg. Pathol. 2014, 22, 749–756. [Google Scholar] [CrossRef]
- Vitagliano, D.; Portella, G.; Troncone, G.; Francione, A.; Rossi, C.; Bruno, A.; Giorgini, A.; Coluzzi, S.; Nappi, T.C.; Rothstein, J.L.; et al. Thyroid Targeting of the N-ras(Gln61Lys) Oncogene in Transgenic Mice Results in Follicular Tumors That Progress to Poorly Differentiated Carcinomas. Oncogene 2006, 25, 5467–5474. [Google Scholar] [CrossRef] [PubMed]
- Downward, J. Targeting RAS signalling pathways in cancer therapy. Nat. Rev. Cancer 2003, 3, 11–22. [Google Scholar] [CrossRef] [PubMed]
- Garcia-Rostan, G.; Zhao, H.; Camp, R.L.; Pollan, M.; Herrero, A.; Pardo, J.; Wu, R.; Carcangiu, M.L.; Costa, J.; Tallini, G. ras Mutations Are Associated with Aggressive Tumor Phenotypes and Poor Prognosis in Thyroid Cancer. J. Clin. Oncol. 2003, 21, 3226–3235. [Google Scholar] [CrossRef] [PubMed]
- Ibrahimpasic, T.; Ghossein, R.; Shah, J.P.; Ganly, I. Poorly Differentiated Carcinoma of the Thyroid Gland: Current Status and Future Prospects. Thyroid 2019, 29, 311–321. [Google Scholar] [CrossRef]







| Histological Type | n | Age (Range) | Men/ Women | Size [mm] (Range) | Nodal Metastasis | Distant Metastasis |
|---|---|---|---|---|---|---|
| AG | 30 | 54.8 (27–79) | 8/22 | 45.5 (15–87) | N/A | N/A |
| FA | 31 | 51.1 (20–80) | 6/25 | 38.1 (13–86) | N/A | N/A |
| NN with PDc | 16 | 55.5 (36–79) | 5/11 | 42.0 (11–80) | N/A | N/A |
| MFC | 15 | 52.9 (22–78) | 4/11 | 30.8 (7–58) | 0 (0%) | 0 (0%) |
| WFC | 11 | 57.5 (31–84) | 3/8 | 47.6 (19–144) | 0 (0%) | 2 * (18.2%) |
| Histological Type | n | Counted Nuclei | Ki-67 Expression (%) | Type of 53BP1 Expression (%) | Co-Expression of 53BP1 and Ki-67 (%) | |||
|---|---|---|---|---|---|---|---|---|
| Stable | Low DDR | Abnormal | ||||||
| Normal follicles | AG | 25 | 6242 | 0.1 ± 0.2 | 91.4 ± 6.3 | 7.8 ± 5.5 | 0.8 ± 1.1 | 0.01 ± 0.06 |
| FA | 24 | 6730 | 0.3 ± 0.5 | 94.4 ± 3.0 | 5.1 ± 2.8 | 0.5 ± 0.7 | 0.02 ± 0.08 | |
| NN with PDc | 14 | 3084 | 0.2 ± 0.4 | 90.9 ± 5.0 | 7.2 ± 4.2 | 1.9 ± 1.9 | 0.00 ± 0.00 | |
| MFC | 15 | 5049 | 1.3 ± 2.8 | 86.3 ± 6.4 | 9.2 ± 3.5 | 4.5 ± 4.2 | 0.40 ± 1.22 | |
| WFC | 11 | 3258 | 0.9 ± 1.2 | 88.4 ± 6.3 | 8.7 ± 4.7 | 3.0 ± 2.9 | 0.28 ± 0.64 | |
| p = 0.0056 * | p < 0.0001 * | p = 0.0189 * | ||||||
| TFTs | AG | 30 | 16,518 | 0.1 ± 0.2 | 74.6 ± 12.3 | 19.8 ± 8.9 | 5.6 ± 5.0 | 0.03 ± 0.06 |
| FA | 31 | 21,568 | 0.5 ± 0.6 | 74.8 ± 10.4 | 18.6 ± 6.3 | 6.5 ± 4.8 | 0.12 ± 0.23 | |
| NN with PDc | ||||||||
| Out-N | 16 | 5111 | 0.6 ± 0.6 | 73.5 ± 15.4 | 14.8 ± 11.7 | 11.7 ± 5.5 | 0.08 ± 0.21 | |
| PDc | 16 | 7680 | 2.5 ± 2.5 | 77.7 ± 14.9 | 12.0 ± 11.6 | 10.3 ± 5.5 | 0.36 ± 0.40 | |
| MFC | 15 | 16,790 | 2.1 ± 1.7 | 68.1 ± 17.4 | 17.7 ± 10.7 | 14.2 ± 8.7 | 0.67 ± 0.62 | |
| WFC | 11 | 12,782 | 2.3 ± 1.6 | 61.6 ± 19.0 | 21.3 ± 11.7 | 17.1 ± 9.2 | 0.68 ± 0.48 | |
| p < 0.0001 * | p < 0.0001 * | p < 0.0001 * | ||||||
| Histological Type | n | NRAS codon 61 Mutation (%) | TERT-Promoter Mutation (%) |
|---|---|---|---|
| AG | 30 | 1 (3.3) | N/A |
| FA | 30 | 6 (20.0) | N/A |
| NN with PDc | |||
| Out-N | 16 | 9 (56.3) | 2 (12.5) |
| PDc | 16 | 9 (56.3) | 4 (25.0) |
| MFC | 15 | 4 (26.7) | 2 (13.3) |
| WFC | 11 | 4 (36.4) | 4 (36.4) |
| Type of NRAS codon 61/TERT-Promoter | n | Abnormal Type 53BP1 Expression (%) | Co-Expression of 53BP1 and Ki-67 (%) |
|---|---|---|---|
| NRAS codon 61 | |||
| Wild | 7 | 9.8 ± 4.5 | 0.54 ± 0.41 |
| Mutant | 9 | 10.6 ± 6.4 | 0.22 ± 0.36 |
| TERT-promoter | |||
| Wild | 12 | 9.5 ± 5.9 | 0.24 ± 0.29 |
| Mutant | 4 | 12.7 ± 3.9 | 0.73 ± 0.53 |
Publisher’s Note: MDPI stays neutral with regard to jurisdictional claims in published maps and institutional affiliations. |
© 2022 by the authors. Licensee MDPI, Basel, Switzerland. This article is an open access article distributed under the terms and conditions of the Creative Commons Attribution (CC BY) license (https://creativecommons.org/licenses/by/4.0/).
Share and Cite
Ueda, M.; Matsuda, K.; Kurohama, H.; Mussazhanova, Z.; Sailaubekova, Y.; Kondo, H.; Shimizu, T.; Takada, N.; Matsuoka, Y.; Otsubo, C.; et al. Molecular Pathological Characteristics of Thyroid Follicular-Patterned Tumors Showing Nodule-in-Nodule Appearance with Poorly Differentiated Component. Cancers 2022, 14, 3577. https://doi.org/10.3390/cancers14153577
Ueda M, Matsuda K, Kurohama H, Mussazhanova Z, Sailaubekova Y, Kondo H, Shimizu T, Takada N, Matsuoka Y, Otsubo C, et al. Molecular Pathological Characteristics of Thyroid Follicular-Patterned Tumors Showing Nodule-in-Nodule Appearance with Poorly Differentiated Component. Cancers. 2022; 14(15):3577. https://doi.org/10.3390/cancers14153577
Chicago/Turabian StyleUeda, Mayu, Katsuya Matsuda, Hirokazu Kurohama, Zhanna Mussazhanova, Yerkezhan Sailaubekova, Hisayoshi Kondo, Tomoki Shimizu, Nami Takada, Yuki Matsuoka, Chieko Otsubo, and et al. 2022. "Molecular Pathological Characteristics of Thyroid Follicular-Patterned Tumors Showing Nodule-in-Nodule Appearance with Poorly Differentiated Component" Cancers 14, no. 15: 3577. https://doi.org/10.3390/cancers14153577
APA StyleUeda, M., Matsuda, K., Kurohama, H., Mussazhanova, Z., Sailaubekova, Y., Kondo, H., Shimizu, T., Takada, N., Matsuoka, Y., Otsubo, C., Sato, S., Yamashita, H., Kawakami, A., & Nakashima, M. (2022). Molecular Pathological Characteristics of Thyroid Follicular-Patterned Tumors Showing Nodule-in-Nodule Appearance with Poorly Differentiated Component. Cancers, 14(15), 3577. https://doi.org/10.3390/cancers14153577

