Rescue Surgery after Immunotherapy/Tyrosine Kinase Inhibitors for Initially Unresectable Lung Cancer
Abstract
:Simple Summary
Abstract
1. Introduction
2. Materials and Methods
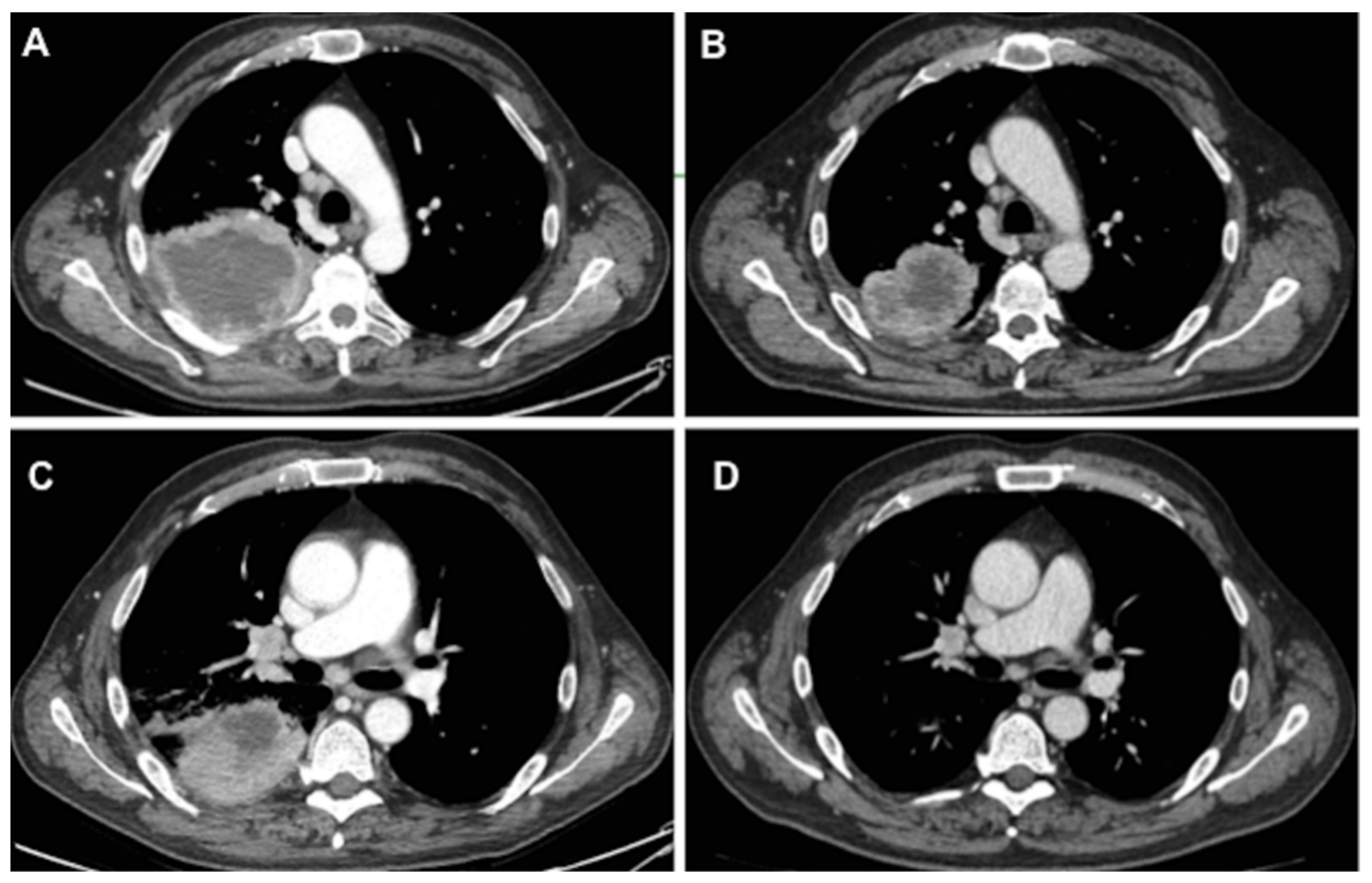
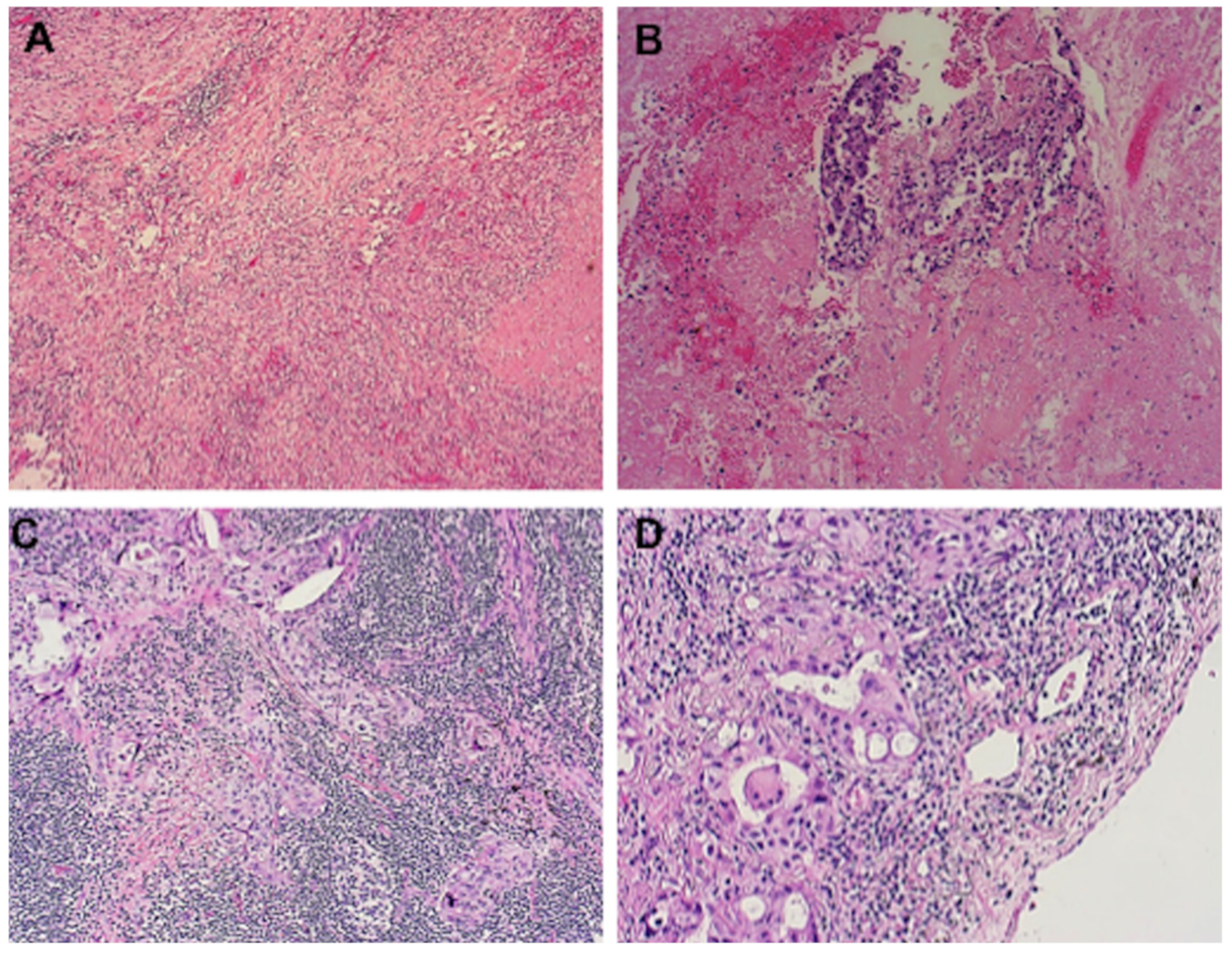
3. Results
4. Discussion
5. Conclusions
Author Contributions
Funding
Institutional Review Board Statement
Informed Consent Statement
Data Availability Statement
Conflicts of Interest
References
- Schiller, J.H.; Harringhton, D.; Belani, C.P.; Corey, L.; Sandler, A.; Krook, J.; Zhu, J.; Johnson, D.H.; Eastern Cooperative Oncology Group. Comparison of four chemotherapy regimens for advanced non-small cell lung cancer. N. Engl. J. Med. 2002, 346, 92–98. [Google Scholar] [CrossRef] [PubMed]
- Tan, C.S.; Gilligan, D.; Pacey, S. Treatment approaches for EGFR-inhibitor-resistant patients with non-small cell lung cancer. Lancet Oncol. 2015, 16, e447–e459. [Google Scholar] [CrossRef]
- Fukuoka, M.; Wu, Y.L.; Thongprasert, S.; Sunpaweravong, P.; Leong, S.S.; Sriuranpong, V.; Chao, T.Y.; Nakagawa, K.; Chu, D.T.; Saijo, N.; et al. Biomarker analysis of final overall survival results from a phase III, randomized, open-label, first-line study of gefitinib versus carboplatin/paclitaxel in clinically selected patients with advanced non-small cell lung cancer in Asia (IPASS). J. Clin. Oncol. 2011, 29, 2866–2874. [Google Scholar] [CrossRef] [PubMed]
- Gattinger, S.; Horn, L.; Jackman, D.; Spigel, D.; Hellmann, S.A.M.; Powderly, J.; Heist, R.; Sequist, L.V.; Smith, D.C.; Leming, P.; et al. Five-year follow-up of nivolumab in previous treated advanced non-small cell lung cancer: Results from the CA209-003 study. J. Clin. Oncol. 2018, 36, 1675–1684. [Google Scholar] [CrossRef]
- Horn, L.; Spigel, D.R.; Vokes, E.E.; Holgado, E.; Ready, N.; Steins, M.; Poddubskaya, E.; Borghaei, H.; Felip, E.; Paz-Ares, L.; et al. Nivolumab versus docetaxel in previous treated patients with advanced non-small cell lung cancer: Two year outcomes from two randomized, open-label, phase III trials (Checkmate 017 and Checkmate 057). J. Clin. Oncol. 2017, 35, 3924–3933. [Google Scholar] [CrossRef]
- Yi, J.S.; Ready, N.; Healy, P.; Dumbauld, C.; Osborne, R.; Berry, M.; Shoemaker, D.; Clarke, J.; Crawford, J.; Tong, B.; et al. Immune activation in early-stage non-small cell lung cancer patients receiving neoadjuvant chemotherapy plus ipilimumab. Clin. Cancer Res. 2017, 23, 7474–7482. [Google Scholar] [CrossRef] [Green Version]
- Forde, P.M.; Chaft, J.E.; Smith, K.N.; Anagnostou, V.; Cottrell, T.R.; Hellmann, M.D.; Zahurak, M.; Yang, S.C.; Jones, D.R.; Broderick, S.; et al. Neoadjuvant PD-1 blockade in resectable lung cancer. N. Engl. J. Med. 2018, 378, 1976–1986. [Google Scholar] [CrossRef]
- Azzoli, C.G.; Baker, S., Jr.; Temin, S.; Pao, W.; Aliff, T.; Brahmer, J.; Johnson, D.H.; Laskin, J.L.; Masters, G.; Milton, D.; et al. American Society of Clinical Oncology clinical practice guideline update on chemotherapy for stage IV non-small cell lung cancer. J. Clin. Oncol. 2009, 27, 6251–6266. [Google Scholar] [CrossRef]
- Takamochi, K.; Suzuki, K.; Sugimura, H.; Funai, K.; Mori, H.; Bashar, A.H.M.; Kazui, T. Surgical resection after gefitinib treatment in patients with lung adenocarcinoma harboring epidermal growth factor receptor gene mutation. Lung. Cancer. 2007, 58, 149–155. [Google Scholar] [CrossRef]
- Hishida, T.; Nagai, K.; Mitsudoni, T.; Yokoi, K.; Kondo, H.; Horinouchi, H.; Akiyama, H.; Nagayasu, T.; Tsuboi, M.; Japan Clinical Oncology Group. Salvage surgery for advanced nonsmall cell lung cancer after response to gefitinib. J. Thorac. Cardiovasc Surg. 2010, 140, e69–e71. [Google Scholar] [CrossRef] [Green Version]
- Ning, Y.; Bao, M.; Yan, X.; Hie, D.; Jiang, G. Surgery for advanced non-small cell lung cancer patients after epidermal growth factor receptor tyrosine kinase inhibitor neoadjuvant therapy. Ann. Transl. Med. 2018, 6, 407. [Google Scholar] [CrossRef] [PubMed]
- Bott, M.J.; Cools-Lartigue, J.; Tan, K.S.; Dycoco, J.; Bains, M.S.; Downey, R.J.; Huang, J.; Isbell, J.M.; Molena, D.; Park, B.J.; et al. Safety and feasibility of lung resection after immunotherapy for metastatic or unresectable tumors. Ann. Thorac. Surg. 2018, 106, 178–183. [Google Scholar] [CrossRef] [PubMed] [Green Version]
- Chaft, J.E.; Hellmann, D.; Velez, M.J.; Travis, W.D.; Rusch, V.W. Initial experience with lung cancer resection after treatments with T-cell checkpoint inhibitors. Ann. Thorac. Surg. 2017, 104, e217–e218. [Google Scholar] [CrossRef] [Green Version]
- Bott, M.J.; Yang, S.C.; Park, B.J.; Adusumilli, P.S.; Rusch, V.W.; Isbell, J.M.; Downey, R.J.; Brahmer, J.R.; Battafarano, R.; Bush, E.; et al. Initial results of pulmonary resection after neoadjuvant nivolumab in patients with resectable non-small cell lung cancer. J. Thorac. Cardiovasc. Surg. 2019, 158, 269–276. [Google Scholar] [CrossRef] [PubMed]
- Mok, T.S.; Wu, Y.L.; Thongprasert, S.; Yang, C.H.; Chu, D.T.; Saijo, N.; Sunpaweravong, P.; Han, B.; Margono, B.; Ichinose, Y.; et al. Gefitinib or carboplatin-paclitaxel pulmonary adenocarcinoma. N. Engl. J. Med. 2009, 361, 947–957. [Google Scholar] [CrossRef] [PubMed]
- Wang, Q.; Wang, H.; Li, P.; Zhu, H.; He, C.; Wei, B.; Ma, J.; Ma, Z. Erlotinib-based perioperative adjuvant therapy for a case of unresectable stage IIIA (N2) nonsmall cell lung cancer. Am. J. Med. Sci. 2010, 340, 321–325. [Google Scholar] [CrossRef]
- Shen, H.; Zhong, X.; Ge, X.Q.; Huang, J.J.; Yuan, Y. Surgical resection of lung adenocarcinoma without EGFR mutation after neoadjuvant gefitinib treatment. Clin. Resp. J. 2010, 4, 192–193. [Google Scholar] [CrossRef]
- Funakoshi, Y.; Takeuchi, Y.; Maeda, H. Pneumonectomy after response to gefitinib treatment for lung adenocarcinoma. Asian Cardiovasc Thorac. Ann. 2013, 21, 482–484. [Google Scholar] [CrossRef]
- Borghaei, H.; Paz-Ares, L.; Horn, L.; Spigel, D.R.; Steins, M.; Ready, N.E.; Chow, L.Q.; Vokes, E.E.; Felip, E.; Holgado, E.; et al. Nivolumab versus docetaxel in advanced nonsquamous non-small cell lung cancer. N. Engl. J. Med. 2015, 373, 1627–1639. [Google Scholar] [CrossRef]
- Gandhi, L.; Rodriguez-Abreu, D.; Gadgeel, S.; Esteban, E.; Felip, E.; De Angelis, F.; Domine, M.; Clingan, P.; Hochmair, M.J.; Powell, S.F.; et al. Pembrolizumab plus chemotherapy in metastatic non-small cell lung cancer. N. Engl. J. Med. 2018, 378, 2078–2092. [Google Scholar] [CrossRef]
- Yang, C.J.; McSherry, F.; Mayne, N.R.; Wang, X.; Berry, M.F.; Tong, B.; Harpole, D.H., Jr.; D’Amico, T.A.; Christensen, J.D.; Ready, N.E.; et al. Surgical outcomes after neoadjuvant chemotherapy and ipilimumab for non-small cell lung cancer. Ann. Thorac. Surg. 2018, 105, 924–929. [Google Scholar] [CrossRef] [PubMed] [Green Version]
- Gilligan, D.; Nicolson, M.; Smith, I.; Groen, H.; Dalesio, O.; Goldstraw, P.; Hatton, M.; Hopwood, P.; Manegold, C.; Schramel, F.; et al. Preoperative chemotherapy in patients with resectable non-small cell lung cancer: Results of the MRC LU22/NVALT 2 EORTC 08012 multicenter randomized trial and update of systematic review. Lancet 2007, 369, 1929–1937. [Google Scholar] [CrossRef]
- Barnet, S.A.; Rusch, V.W.; Zheng, J.; Park, B.J.; Rizk, N.P.; Plourde, G.; Bains, M.S.; Downey, R.J.; Shen, R.; Kris, M.G. Contemporary results of surgical resection of NSCLC after induction therapy: A review of 549 consecutive cases. J. Thoracic. Oncol. 2001, 6, 1530–1536. [Google Scholar] [CrossRef] [Green Version]
- Roth, J.A.; Fossella, F.; Komaki, R.; Ryan, M.B.; Putnam, J.B., Jr.; Lee, J.S.; Dhingra, H.; De Caro, L.; Chasen, M.; McGavran, M.; et al. A randomized trial comparing preoperative chemotherapy and surgery with surgery lone in resectable IIIA non-small cell lung cancer. J. Natl. Cancer Inst. 1994, 86, 673–680. [Google Scholar] [CrossRef]
- Rosell, R.; Gomez-Codina, J.; Camps, C.; Maestre, J.; Padille, J.; Cantó, A.; Mate, J.L.; Li, S.; Roig, J.; Olazábal, A.; et al. A randomized trial comparing preoperative chemotherapy plus surgery with surgery alone in patients with non-small cell lung cancer. N. Engl. J. Med. 1994, 330, 153–158. [Google Scholar] [CrossRef] [Green Version]
- Pesters, K.M.; Vallieres, E.; Crowley, J.J.; Franklin, W.A.; Bunn, P.A., Jr.; Ginsberg, R.J.; Putnam, J.B., Jr.; Chansky, K.; Gandara, D. Surgery with or without preoperative paclitaxel and carboplatin in early stage non-small cell lung cancer: Southwest Oncology Group Trial S9900, an intergroup, randomized, phase III trial. J. Clin. Oncol. 2010, 28, 1843–1849. [Google Scholar] [CrossRef]
- Petersen, R.P.; Pham, D.; Toloza, E.M.; Burfeind, W.R.; Harpole, D.H., Jr.; Hanish, S.I.; D’Amico, T.A. Thoracoscopic lobectomy: A safe and effective strategy for patients receiving induction therapy for non-small cell lung cancer. Ann. Thoracic. Surg. 2006, 82, 214–218. [Google Scholar] [CrossRef] [PubMed]
- Kamel, M.K.; Nasar, A.; Stiles, B.M.; Altorki, N.K.; Port, J.L. Video-assisted thoracoscopic lobectomy is the preferred approach following induction chemotherapy. J. Laparoendosc. Adv. Tech. A 2017, 27, 495–500. [Google Scholar] [CrossRef]
- Park, B.J.; Yang, H.X.; Woo, K.M.; Sima, C.S. Minimally invasive (robotic assisted thoracic surgery and video-assisted thoracic surgery) lobectomy for the treatment of locally advanced non-small cell lung cancer. J. Thorac. Disease. 2016, 8, S406–S413. [Google Scholar] [CrossRef] [Green Version]
- Nelson, D.B.; Mehran, R.J.; Mitchell, K.G.; Rajaram, R.; Correa, A.M.; Bassett, R.L., Jr.; Antonoff, M.B.; Hofstetter, W.L.; Roth, J.A.; Sepesi, B.; et al. Robotic-Assisted Lobectomy for Non-Small Cell Lung Cancer: A Comprehensive Institutional Experience. Ann. Thorac. Surg. 2019, 108, 370–376. [Google Scholar] [CrossRef]
- Krantz, S.B.; Mitzman, B.; Lufti, W.; Kuchta, K.; Wang, C.H.; Howington, J.A.; Kim, K.W. Neoadjuvant chemoradiation shows no survival advantage to chemotherapy alone in stage IIIA patients. Ann. Thorac. Surg. 2018, 105, 1008–1016. [Google Scholar] [CrossRef] [PubMed] [Green Version]
- AACR Annual Meeting 2021. Checkmate 816 trial in NSCLC. Lancet Oncol. 2021, 22, E185. [Google Scholar]
- Lococo, F.; Chiappetta, M.; Sassorossi, C.; Nachira, D.; Evangelista, J.; Ciavarella, L.P.; Congedo, M.T.; Porziella, V.; Boldrini, L.; Larici, A.; et al. Is surgery worthwhile in locally-advanced NSCLC patients with persistent N2-disease after neoadjuvant therapy? Rev. Recent Clin. Trials. 2022. In press. [Google Scholar] [CrossRef] [PubMed]
- Ashworth, A.B.; Senan, S.; Palma, D.A.; Riquet, M.; Ahn, Y.C.; Ricardi, U.; Congedo, M.T.; Gomez, D.R.; Wright, G.M.; Melloni, G.; et al. An Individual Patient Data Metanalysis of Outcomes and Prognostic Factors after Treatment of Oligometastatic Non-small-cell Lung Cancer. Clin. Lung. Cancer 2014, 15, 346–355. [Google Scholar] [CrossRef]
- Casiraghi, M.; Bertolaccini, L.; Sedda, G.; Petrella, F.; Galetta, D.; Guarize, J.; Maisonneuve, P.; De Marinis, F.; Spaggiari, L. Lung cancer surgery in oligometastatic patients: Outcome and survival. Eur. J. Cardiothorac. Surg. 2020, 57, 1173–1180. [Google Scholar] [CrossRef]
- Hamada, A.; Soh, J.; Mitsudomi, T. Salvage surgery after definitive chemoradiotherapy for patients with non-small cell lung cancer. Transl. Lung. Cancer Res. 2021, 10, 555–562. [Google Scholar] [CrossRef]





| Characteristics | No. (%) |
|---|---|
| Median Age (range), y | 64 (41–78) |
| Sex | 26M/16F |
| Smoking history | |
| Former or current | 42 (100) |
| FEV1 (mean % predicted ± SD) | 78.64 ± 14.32 |
| FVC (mean % predicted ± SD) | 81.58 ± 15.58 |
| DLCO (mean % ± SD) | 79.42 ± 14.86 |
| Histology (%) | |
| Adenocarcinoma | 33 (78.5) |
| Squamous cell carcinoma | 5 (11.9) |
| Adenosquamous | 2 (4.8) |
| Sarcomatoid | 2 (4.8) |
| Clinical stage before TKIs/ICIs | |
| IIIA | 11 (26.1) |
| T1cN2 | 2 (4.8) |
| T2aN2 | 2 (4.8) |
| T2bN2 | 3 (7.0) |
| T4N0 | 4 (9.5) |
| IIIB | 10 (23.8) |
| T3N2 | 8 (19.0) |
| T4N2 | 2 (4.8) |
| IIIC | 5 (12.0) |
| T1bN3 | 1 (2.4) |
| T1cN3 | 1 (2.4) |
| T3N3 | 2 (4.8) |
| T4N3 | 1 (2.4) |
| IV | 16 (38.1) |
| IVa | 14 (33.3) |
| IVb | 2 (4.8) |
| Drug regimen | |
| TKIs | 23 (54.9) |
| Gefitinib | 5 (12.0) |
| Erlotinib | 4 (9.5) |
| Afatinib | 6 (14.2) |
| Osimertinib | 5 (12.0) |
| Crizotinib | 2 (4.8) |
| Alectinib | 1 (2.4) |
| ICIs | 19 (45.1) |
| Pembrolizumab | 14 (33.3) |
| Nivolumab | 3 (7.0) |
| Atezolizumab | 2 (4.8) |
| Months from start therapy and surgery (median, range) | 15 (6–23) |
| Characteristics | No. (%) |
|---|---|
| Type of resection | |
| Lobectomy | 30 (76.9) |
| Bilobectomy | 1 (2.6) |
| Right-upper sleeve lobectomy | 1 (2.6) |
| Pneumonectomy | 5 (12.7) |
| Tracheal sleeve pneumonectomy | 1 (2.6) |
| Wedge resection | 1 (2.6) |
| Side | |
| Right | 28 (71.8) |
| Left | 11 (28.2) |
| Surgical approach | |
| Open | 29 (74.4) |
| Robotic | 8 (20.5) |
| VATS | 2 (5.1) |
| Conversion from robotic to open | 2 (5.1) |
| Intraoperative morbidity and mortality | 0 |
| Median operative time (range), min | 190 (80–426) |
| Median estimated blood loss, mL | 200 (35–780) |
| Complete resection (R0) | 38 (97.4) |
| Overall pathological downstaging | 29 (74.4) |
| Nodal pathological downstaging (pN2-1 to pN0) | 16 (41.0) |
| Complete pathological response | 9 (23.1) |
| Variable | No. (%) |
|---|---|
| 30-day mortality | 0 |
| 90-day mortality (%) | 0 |
| Overall morbidity (%) | 13 (33.4) |
| Major | 2 (5.2) |
| Broncho-pleural fistula | 1 (2.6) |
| Hemothorax | 1 (2.6) |
| Minor | 11 (28.2) |
| Prolonged air leak | 5 (12.7) |
| Vocal cord paresis | 2 (5.2) |
| Arrhythmia | 3 (7.7) |
| Respiratory failure | 1 (2.6) |
| ICU stay, median (range), days | 0 (0–1) |
| Hospital stay, median (range), days | 6.5 (4–23) |
Publisher’s Note: MDPI stays neutral with regard to jurisdictional claims in published maps and institutional affiliations. |
© 2022 by the authors. Licensee MDPI, Basel, Switzerland. This article is an open access article distributed under the terms and conditions of the Creative Commons Attribution (CC BY) license (https://creativecommons.org/licenses/by/4.0/).
Share and Cite
Galetta, D.; De Marinis, F.; Spaggiari, L. Rescue Surgery after Immunotherapy/Tyrosine Kinase Inhibitors for Initially Unresectable Lung Cancer. Cancers 2022, 14, 2661. https://doi.org/10.3390/cancers14112661
Galetta D, De Marinis F, Spaggiari L. Rescue Surgery after Immunotherapy/Tyrosine Kinase Inhibitors for Initially Unresectable Lung Cancer. Cancers. 2022; 14(11):2661. https://doi.org/10.3390/cancers14112661
Chicago/Turabian StyleGaletta, Domenico, Filippo De Marinis, and Lorenzo Spaggiari. 2022. "Rescue Surgery after Immunotherapy/Tyrosine Kinase Inhibitors for Initially Unresectable Lung Cancer" Cancers 14, no. 11: 2661. https://doi.org/10.3390/cancers14112661
APA StyleGaletta, D., De Marinis, F., & Spaggiari, L. (2022). Rescue Surgery after Immunotherapy/Tyrosine Kinase Inhibitors for Initially Unresectable Lung Cancer. Cancers, 14(11), 2661. https://doi.org/10.3390/cancers14112661

