Medial Inguino-Femoral Lymphadenectomy for Vulvar Cancer: An Approach to Decrease Lymphedema without Compromising Survival
Abstract
:Simple Summary
Abstract
1. Introduction
2. Materials and Methods
Statistical Methods
3. Results
4. Discussion
5. Conclusions
Author Contributions
Funding
Institutional Review Board Statement
Informed Consent Statement
Data Availability Statement
Conflicts of Interest
References
- Homesley, H.D.; Bundy, B.N.; Sedlis, A.; Yordan, E.; Berek, J.S.; Jahshan, A.; Mortel, R. Assessment of current International Federation of Gynecology and Obstetrics staging of vulvar carcinoma relative to prognostic factors for survival (a Gynecologic Oncology Group study). Am. J. Obstet. Gynecol. 1991, 164, 997–1003. [Google Scholar] [CrossRef]
- Wharton, J.T.; Gallager, S.; Rutledge, R.N. Microinvasive carcinoma of the vulva. Am. J. Obstet. Gynecol. 1974, 118, 159–165. [Google Scholar] [CrossRef]
- Parker, R.T.; Duncan, I.; Rampone, J.; Creasman, W. Operative management of early invasive epidermoid carcinoma of the vulva. Am. J. Obstet. Gynecol. 1975, 123, 349–355. [Google Scholar] [CrossRef]
- Kneale, B.L. Microinvasive cancer of the vulva. Report of the ISSVD Task Force. J. Reprod. Med. 1984, 29, 454–456. [Google Scholar]
- DiSaia, P.J.; Creasman, W.T.; Rich, W.M. An alternative approach to early cancer of the vulva. Am. J. Obstet. Gynecol. 1979, 133, 825–831. [Google Scholar] [CrossRef]
- Hacker, N.F.; Nieberg, R.K.; Berek, J.S.; Leuchter, R.S.; Lucas, W.E.; Tamimi, H.K.; Nolan, J.F.; Moore, J.G.; Lagasse, L.D. Superficially invasive vulvar cancer with nodal metastases. Gynecol. Oncol. 1983, 15, 65–77. [Google Scholar] [CrossRef]
- Stehman, F.B.; Bundy, B.N.; Dvoretsky, P.M.; Creasman, W.T. Early stage I carcinoma of the vulva treated with ipsilateral superficial inguinal lymphadenectomy and modified radical hemivulvectomy: A prospective study of the Gynecologic Oncology Group. Obstet. Gynecol. 1992, 79, 490–497. [Google Scholar] [PubMed]
- Stehman, F.B.; Bundy, B.N.; Thomas, G.; Varia, M.; Okagaki, T.; Roberts, J.; Bell, J.; Heller, P.B. Groin dissection versus groin radiation in carcinoma of the vulva: A Gynecologic Oncology Group study. Int. J. Radiat. Oncol. Biol. Phys. 1992, 24, 389–396. [Google Scholar] [CrossRef]
- Koh, W.J.; Chiu, M.; Stelzer, K.J.; Greer, B.E.; Mastras, D.; Comsia, N.; Russell, K.J.; Griffin, T.W. Femoral vessel depth and the implications for groin node radiation. Int. J. Radiat. Oncol. Biol. Phys. 1993, 27, 969–974. [Google Scholar] [CrossRef]
- Van der Zee, A.G.; Oonk, M.H.; De Hulla, J.A.; Ansink, A.C.; Vergote, I.; Verheijen, R.H.; Maggioni, A.; Gaarenstroom, K.N.; Baldwin, P.J.; Van Dorst, E.B.; et al. Sentinel node detection is safe in the treatment of early-stage vulvar cancer. J. Clin. Oncol. 2008, 26, 884–889. [Google Scholar] [CrossRef]
- Broach, V.; Abu-Rustum, N.R.; Sonoda, Y.; Brown, C.L.; Jewell, E.; Gardner, G.; Chi, D.S.; Zivanovic, O.; Leitao, M.M., Jr. Evolution and outcomes of sentinel lymph node mapping in vulvar cancer. Int. J. Gynecol. Cancer 2020, 30, 383–386. [Google Scholar] [CrossRef]
- Radziszewski, J.; Kowalewska, M.; Jedrzejczak, T.; Kozlowicz-Gudzinska, I.; Nasierowska-Guttmejer, A.; Bidzinski, M.; Siedlecki, J.A. The accuracy of the sentinel node concept in early-stage squamous cell vulvar carcinoma. Gynecol. Oncol. 2010, 116, 473–477. [Google Scholar] [CrossRef]
- Hampl, M.; Hantschmann, P.; Michels, W.; Hillemanns, P. Validation of the accuracy of the sentinel node procedure in patients with vulvar cancer: Results of a multicenter study in Germany. Gynecol. Oncol. 2008, 111, 282–288. [Google Scholar] [CrossRef]
- Meads, C.; Sutton, A.J.; Rosenthal, A.N.; Malysiak, S.; Kowalska, M.; Zapalska, A.; Rogozińska, E.; Baldwin, P.; Ganesan, R.; Borowiack, E.; et al. Sentinel lymph node biopsy in vulvar cancer: Systematic review and meta-analysis. Br. J. Cancer 2014, 110, 2837–2846. [Google Scholar] [CrossRef]
- Robinson, K.; Roque, D.; McCourt, C.; Stuckey, A.; Di Silvestro, P.A.; Sung, C.A.; Steinhoff, M.; Granai, C.O.; Moore, R.G. Long-term follow-up of vulvar cancer patients evaluated with sentinel lymph node biopsy alone. Gynecol. Oncol. 2014, 133, 416–420. [Google Scholar] [CrossRef] [PubMed]
- Te Grootenhuis, N.C.; van der Zee, A.G.J.; van Doon, H.C.; van der Velden, J.; Vergote, I.; Zanagnolo, V.; Baldwin, P.J.; Gaarenstroom, K.N.; van Dorst, E.B.; Trum, J.W.; et al. Sentinel nodes in vulvar cancer: Long-term follow-up of the GROingen International Study in Sentinel nodes in Vulvar cancer (GROINSS-V) 1. Gynecol. Oncol. 2016, 140, 8–14. [Google Scholar] [CrossRef] [PubMed]
- Hacker, N.F.; Eifel, P.J. Vulvar Cancer. In Gynecologic Oncology, 7th ed.; Berek, J.S., Hacker, N.F., Eds.; Wolters Kluwer: Philadelphia, PA, USA, 2020. [Google Scholar]
- Pouwer, A.W.; Mus, R.; IntHout, J.; van der Zee, A.G.; Bulten, J.; Massuger, L.F.; de Hullu, J.A. The efficacy of ultrasound in the follow-up after a negative sentinel lymph node in women with vulvar cancer: A prospective single centre study. BJOG Int. J. Obstet. Gynaecol. 2018, 125, 1461–1468. [Google Scholar] [CrossRef]
- Hyde, S.E.; Valmadre, S.; Hacker, N.F.; Schilthuis, M.S.; Grant, P.T.; van der Velden, J. Squamous cell carcinoma of the vulva with bulky positive groin nodes—nodal dissection versus full groin dissection prior to radiation therapy. Int. J. Gynecol. Cancer 2007, 17, 154–158. [Google Scholar] [CrossRef] [PubMed]
- Nooij, L.S.; Ongkiehong, P.J.; van Zwet, E.W.; Bosse, T.; Creutzberg, C.L.; Gaarenstroom, K.N.; van Poelgeest, M.I. Groin surgery and risk of recurrence in lymph nodes positive patients with vulvar squamous cell carcinoma. Gynecol. Oncol. 2015, 139, 458–464. [Google Scholar] [CrossRef]
- Rob, L.; Robova, H.; Pluta, M.; Strnad, P.; Kacirek, J.; Skapa, P.; Taborska, K. Further data on sentinel lymph node mapping in vulvar cancer by blue dye and radiocolloid Tc99. Int. J. Gynecol. Cancer 2007, 17, 147–153. [Google Scholar] [CrossRef] [PubMed]
- Collarino, A.; Donswijk, M.I.; van Driel, W.J.; Stokkel, M.P.; Valdes Olmos, R.A. The use of SPECT/CT for anatomical mapping of lymphatic drainage in vulvar cancer: Possible implications for the extent of inguinal lymph node dissection. Eur. Urol. 2015, 42, 2064–2071. [Google Scholar] [CrossRef] [PubMed]
- Shinaoka, A.; Koshimune, S.; Suami, H.; Yamada, K.; Kumagishi, K.; Boyages, J.; Kumata, Y.; Ohtsuka, A. Lower-limb lymphatic drainage pathways and lymph nodes: A CT lymphangiography cadaver study. Radiology 2020, 294, 223–229. [Google Scholar] [CrossRef] [PubMed]
- Barlow, E.L.; Donoghoe, M.W.; Hacker, N.F. Morbidity related to the groin lymph node dissection for vulvar cancer. Int. J. Gynecol. Clin. Pract. 2019, 6, 149. [Google Scholar] [CrossRef]
- Leijte, J.A.P.; Valdes Olmos, R.A.; Nieweg, O.E.; Horenblas, S. Anatomical mapping of lymphatic drainage in penile carcinoma with SPECT-CT: Implications for the extent of inguinal lymph node dissection. Eur. Urol. 2008, 54, 885–890. [Google Scholar] [CrossRef] [PubMed]
- Daseler, E.H.; Anson, B.J.; Reimann, A.F. Radical excision of the inguinal and iliac lymph glands;a study based upon 450 anatomical dissections and upon supportive clinical observations. Surg. Gynecol. Obstet. 1948, 87, 679–694. [Google Scholar]
- Rufini, V.; Garganese, G.; Ieria, F.P.; Pascuito, T.; Fragomeni, S.M.; Gui, B.; Florit, A.; Inzani, F.; Zannoni, G.F.; Scambia, G.; et al. Diagnostic performance of preoperative [18F] FDG-PET/CT for lymph node staging in vulvar cancer: A large single-centre study. Eur. J. Nucl. Med. Mol. Imaging 2021, 48, 3303–3314. [Google Scholar] [CrossRef]
- Garganese, G.; Fragomeni, S.M.; Pasciuto, T.; Leombroni, M.; Moro, F.; Evangelista, M.T.; Bove, S.; Gentileschi, S.; Tagliaferri, I.; Paris, I.; et al. Ultrasound morphometric and cytologic preoperative assessment of inguinal lymph-node ststus in women with vulvar cancer: MorphoNode study. Ultrasound Obstet. Gynecol. 2020, 55, 401–410. [Google Scholar] [CrossRef] [PubMed]
- Collarino, A.; Ganganese, G.; Fragomeni, S.M.; Arias-Bouda, L.M.P.; Ieria, F.P.; Boellaard, R.; Rufini, V.; de Geus-Oei, L.F.; Scambia, G.; Olmos, R.A.V.; et al. Radiomics in vulvar cancer: First clinical experience using 18F-FDG PET/CT images. J. Nucl. Med. 2019, 60, 199–206. [Google Scholar] [CrossRef] [Green Version]
- Hatt, M.; Tixier, F.; Pierce, L.; Kinahan, P.E.; Le Rest, C.C.; Visvikis, D. Characterization of PET/CT images using texture analysis: The past, the present… any future? Eur. J. Nucl. Med. Mol. Imaging 2017, 44 (Suppl. S1), 151–165. [Google Scholar] [CrossRef]
- Serrado, M.A.; Horta, M.; Cunha, T.M. State of the art in vulvar cancer imaging. Radiol. Bras. 2019, 52, 316–324. [Google Scholar] [CrossRef] [Green Version]

| Characteristic | Number |
|---|---|
| Number of patients | 76 |
| Median age (years) | 71 years (range 34–96) |
| FIGO Stage | |
| IB | 44 |
| II | 2 |
| IIIA | 12 |
| IIIB | 1 |
| IIIC | 13 |
| IVA1 | 2 |
| IVB | 2 |
| Histological type | |
| Squamous cell carcinoma | 70 |
| Melanoma | 3 |
| Bartholin gland (adenoid cystic) | 2 |
| Invasive Paget’s disease | 1 |
| Complete I-F lymphadenectomy | 59 patients (83 groins) |
| Bilateral | 24 |
| Unilateral | 35 |
| Unilateral LND + contralateral sentinel node | 3 patients (6 groins) |
| Bilateral sentinel nodes | 1 patient (2 groins) |
| Lymph node debulking | 13 patients (21 groins) |
| Bilateral | 8 |
| Unilateral | 5 |
| Type of Lymphadenectomy | Median | Range |
|---|---|---|
| Nodes removed at I-F LND per groin (n = 83) | ||
| Total nodes | 9.4 | 2–22 |
| Medial inguinal nodes | 5.3 | 1–13 |
| Lateral inguinal nodes | 3.2 | 0–9 |
| Femoral nodes | 1.5 | 0–6 |
| Nodes removed at nodal debulking per groin (n = 17) | ||
| Total nodes | 3.3 | 1–7 |
| Medial inguinal nodes | 2.5 | 1–7 |
| Lateral inguinal nodes | 0.8 | 0–4 |
| Femoral node (only one groin had a bulky femoral node) |
| Nodal Location | Number | Total Groins Dissected | Percent |
|---|---|---|---|
| Groins with positive medial inguinal nodes | 37 | 112 | 33.0% |
| Groins with positive lateral inguinal nodes | 5 | 91 | 5.5% |
| Groins with positive sentinel nodes | 0 | 5 | 0% |
| Groins with positive femoral nodes | 2 | 74 | 2.7% |
| Groins with neg medial, pos lateral nodes | 0 | 91 | 0% |
| Patient | Positive Medial Nodes | Positive Lateral Nodes | ||
|---|---|---|---|---|
| Number | Largest Diameter | Number | Largest Diameter | |
| 1 (debulking) | 3/3 | 23 mm | 1/2 | 15 mm |
| 2 (debulking) | 3/3 | 56 mm | 1/1 | 17 mm |
| 3 (debulking) | 1/1 | 12 mm | 1/2 | 6.5 mm |
| 4 (debulking) | 1/3 | 50 mm | 1/1 | 18 mm |
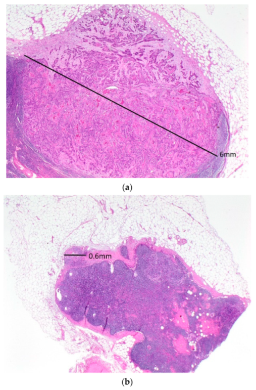
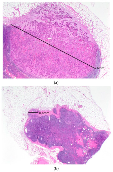
| 5 (I-F LND) | 1/5 | 6 mm | 1/4 | 0.6 mm |
| Patient | Size and Histology of Primary Cancer |
|---|---|
| 1 | 5 × 3 cm SCC. Posterior midline lesion extending 4 cm into the vagina |
| 2 | 8 × 5 cm SCC. Left lateral lesion extending up vagina almost to cervix |
| 3 | 6 cm SCC of Bartholin’s gland |
| 4 | 8 × 4 cm SCC. Left lateral and posterior lesion extending 2.5 cm up vagina |
| 5 | 4 cm SCC of clitoris |
Publisher’s Note: MDPI stays neutral with regard to jurisdictional claims in published maps and institutional affiliations. |
© 2021 by the authors. Licensee MDPI, Basel, Switzerland. This article is an open access article distributed under the terms and conditions of the Creative Commons Attribution (CC BY) license (https://creativecommons.org/licenses/by/4.0/).
Share and Cite
Hacker, N.F.; Barlow, E.; Morrell, S.; Tang, K. Medial Inguino-Femoral Lymphadenectomy for Vulvar Cancer: An Approach to Decrease Lymphedema without Compromising Survival. Cancers 2021, 13, 5806. https://doi.org/10.3390/cancers13225806
Hacker NF, Barlow E, Morrell S, Tang K. Medial Inguino-Femoral Lymphadenectomy for Vulvar Cancer: An Approach to Decrease Lymphedema without Compromising Survival. Cancers. 2021; 13(22):5806. https://doi.org/10.3390/cancers13225806
Chicago/Turabian StyleHacker, Neville F., Ellen Barlow, Stephen Morrell, and Katrina Tang. 2021. "Medial Inguino-Femoral Lymphadenectomy for Vulvar Cancer: An Approach to Decrease Lymphedema without Compromising Survival" Cancers 13, no. 22: 5806. https://doi.org/10.3390/cancers13225806
APA StyleHacker, N. F., Barlow, E., Morrell, S., & Tang, K. (2021). Medial Inguino-Femoral Lymphadenectomy for Vulvar Cancer: An Approach to Decrease Lymphedema without Compromising Survival. Cancers, 13(22), 5806. https://doi.org/10.3390/cancers13225806

