IMP3 Protein Overexpression Is Linked to Unfavorable Outcome in Laryngeal Squamous Cell Carcinoma
Abstract
:Simple Summary
Abstract
1. Introduction
2. Materials and Methods
2.1. Study Cohort
2.2. Immunohistochemistry
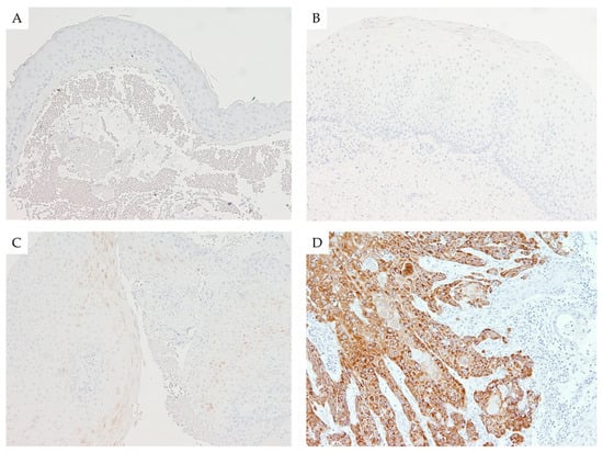
2.3. Evaluation of Immunoreactivity
2.4. Statistical Analysis
3. Results
3.1. Study Cohort
3.2. IMP3, Ki-67, p53, and Cyclin D1 Expression
3.3. Correlation of IMP3 with Ki-67, p-53, Cyclin D1, and Histopathological and Clinical Data
3.4. Impact of IMP3 on Disease-Free Survival (DFS) and Disease-Specific Survival (DSS)
4. Discussion
5. Conclusions
Author Contributions
Funding
Institutional Review Board Statement
Informed Consent Statement
Data Availability Statement
Acknowledgments
Conflicts of Interest
References
- Ludwig, M.L.; Birkeland, A.C.; Hoesli, R.; Swiecicki, P.; Spector, M.E.; Brenner, J.C. Changing the paradigm: The potential for targeted therapy in laryngeal squamous cell carcinoma. Cancer Biol. Med. 2016, 13, 87–100. [Google Scholar] [CrossRef]
- Faisal, M.; Hartenbach, S.; Schratter, A.; Kostler, W.J.; Kaufmann, H.; Seemann, R.; Lill, C.; Hamzavi, S.; Wutzl, A.; Erovic, B.M. Lymphoepithelial Carcinoma of Larynx and Hypopharynx: A Rare Clinicopathological Entity. Cancers 2020, 12, 2431. [Google Scholar] [CrossRef]
- Grasl, S.; Schmid, E.; Heiduschka, G.; Brunner, M.; Marijic, B.; Grasl, M.C.; Faisal, M.; Erovic, B.M.; Janik, S. A New Classification System to Predict Functional Outcome after Laryngectomy and Laryngopharyngectomy. Cancers 2021, 13, 1474. [Google Scholar] [CrossRef]
- Parzefall, T.; Wolf, A.; Grasl, S.; Altorjai, G.; Czeiger, S.; Grasl, M.C.; Erovic, B.M. Post-laryngectomy adjuvant radiotherapy in patients with pharyngocutaneous fistulae: Treatment regimens, outcomes and complications in 67 patients. Clin. Otolaryngol. 2019, 44, 810–814. [Google Scholar] [CrossRef]
- Parzefall, T.; Wolf, A.; Czeiger, S.; Frei, K.; Formanek, M.; Erovic, B.M. Effect of postoperative use of diclofenac on pharyngocutaneous fistula development after primary total laryngopharyngectomy: Results of a single-center retrospective study. Head Neck 2016, 38 (Suppl. 1), E1515–E1520. [Google Scholar] [CrossRef]
- Stanisz, I.; Janik, S.; Grasl, M.C.; Erovic, B.M. Panendoscopy during follow-up in laryngeal carcinoma patients after radiotherapy. Head Neck 2020, 42, 3601–3608. [Google Scholar] [CrossRef] [PubMed]
- Grasl, S.; Janik, S.; Parzefall, T.; Formanek, M.; Grasl, M.C.; Heiduschka, G.; Erovic, B.M. Lymph node ratio as a prognostic marker in advanced laryngeal and hypopharyngeal carcinoma after primary total laryngopharyngectomy. Clin. Otolaryngol. 2020, 45, 73–82. [Google Scholar] [CrossRef] [PubMed]
- Sorger, P.K.; Schoeberl, B. An expanding role for cell biologists in drug discovery and pharmacology. Mol. Biol. Cell 2012, 23, 4162–4164. [Google Scholar] [CrossRef]
- Zahavi, D.; Weiner, L. Monoclonal Antibodies in Cancer Therapy. Antibodies 2020, 9, 34. [Google Scholar] [CrossRef] [PubMed]
- Kozakiewicz, P.; Grzybowska-Szatkowska, L. Application of molecular targeted therapies in the treatment of head and neck squamous cell carcinoma. Oncol. Lett. 2018, 15, 7497–7505. [Google Scholar] [CrossRef] [Green Version]
- Moreira, J.; Tobias, A.; O’Brien, M.P.; Agulnik, M. Targeted Therapy in Head and Neck Cancer: An Update on Current Clinical Developments in Epidermal Growth Factor Receptor-Targeted Therapy and Immunotherapies. Drugs 2017, 77, 843–857. [Google Scholar] [CrossRef]
- Chen, L.; Xie, Y.; Li, X.; Gu, L.; Gao, Y.; Tang, L.; Chen, J.; Zhang, X. Prognostic value of high IMP3 expression in solid tumors: A meta-analysis. OncoTargets Ther. 2017, 10, 2849–2863. [Google Scholar] [CrossRef] [Green Version]
- Mueller-Pillasch, F.; Pohl, B.; Wilda, M.; Lacher, U.; Beil, M.; Wallrapp, C.; Hameister, H.; Knochel, W.; Adler, G.; Gress, T.M. Expression of the highly conserved RNA binding protein KOC in embryogenesis. Mech. Dev. 1999, 88, 95–99. [Google Scholar] [CrossRef]
- Burdelski, C.; Jakani-Karimi, N.; Jacobsen, F.; Moller-Koop, C.; Minner, S.; Simon, R.; Sauter, G.; Steurer, S.; Clauditz, T.S.; Wilczak, W. IMP3 overexpression occurs in various important cancer types and is linked to aggressive tumor features: A tissue microarray study on 8877 human cancers and normal tissues. Oncol. Rep. 2018, 39, 3–12. [Google Scholar] [CrossRef] [Green Version]
- Chen, K.; Cornejo, K.M.; Ye, W.; Wu, Q.; Liang, J.; Jiang, Z. Oncofetal protein IMP3: A new diagnostic biomarker for laryngeal carcinoma. Hum. Pathol. 2013, 44, 2126–2131. [Google Scholar] [CrossRef] [PubMed]
- Gadara, M.R.; Gonzalez, M.; Cartun, R.W.; Ligato, S. IMP3 Immunoreactivity is More Sensitive than AMACR in Detecting Dysplastic Epithelium and Early Adenocarcinoma in Barrett Esophagus. Appl. Immunohistochem. Mol. Morphol. 2017, 25, 386–391. [Google Scholar] [CrossRef]
- Wang, B.J.; Wang, L.; Yang, S.Y.; Liu, Z.J. Expression and clinical significance of IMP3 in microdissected premalignant and malignant pancreatic lesions. Clin. Transl. Oncol. 2015, 17, 215–222. [Google Scholar] [CrossRef]
- Vercellini, P.; Cribiu, F.M.; Del Gobbo, A.; Carcangiu, M.L.; Somigliana, E.; Bosari, S. The oncofetal protein IMP3: A novel biomarker and triage tool for premalignant atypical endometriotic lesions. Fertil. Steril. 2013, 99, 1974–1979. [Google Scholar] [CrossRef] [PubMed]
- Kulacoglu, S.; Erkilinc, G. Imp3 expression in benign and malignant thyroid tumors and hyperplastic nodules. Balkan Med. J. 2015, 32, 30–37. [Google Scholar] [CrossRef] [PubMed]
- Marzic, D.; Coklo, M.; Marijic, B.; Hadzisejdic, I.; Dekanic, A.; Krstulja, M.; Sepic, T.; Avirovic, M.; Braut, T. The expression of ribonuclear protein IMP3 in laryngeal carcinogenesis. Pathol. Res. Pract. 2020, 216, 152974. [Google Scholar] [CrossRef] [PubMed]
- Marijic, B.; Braut, T.; Babarovic, E.; Krstulja, M.; Marzic, D.; Avirovic, M.; Kujundzic, M.; Hadzisejdic, I. Nuclear EGFR Expression Is Associated with Poor Survival in Laryngeal Carcinoma. Appl. Immunohistochem. Mol. Morphol. 2021. [Google Scholar] [CrossRef]
- Braut, T.; Krstulja, M.; Marijic, B.; Marzic, D.; Kujundzic, M.; Brumini, G.; Vucinic, D.; Ostarijas, E. Immunohistochemical analysis of vocal cord polyps applying markers of squamous cell carcinogenesis. Pathol. Res. Pract. 2019, 215, 144–150. [Google Scholar] [CrossRef] [PubMed]
- Erovic, B.M.; Goldstein, D.P.; Asa, S.L.; Janik, S.; Mete, O.; Irish, J.C. VEGFR-2 is downregulated in sestamibi-negative parathyroid adenomas. Head Neck 2019, 41, 3564–3569. [Google Scholar] [CrossRef]
- Erovic, B.M.; Al Habeeb, A.; Harris, L.; Goldstein, D.P.; Kim, D.; Ghazarian, D.; Irish, J.C. Identification of novel target proteins in sebaceous gland carcinoma. Head Neck 2013, 35, 642–648. [Google Scholar] [CrossRef]
- Vukelic, J.; Dobrila-Dintinjana, R.; Marijic, B.; Marzic, D.; Braut, T.; Velepic, M. New insights into erythropoietin and erythropoietin receptor in laryngeal cancer tissue. Medicine 2021, 100, e23943. [Google Scholar] [CrossRef] [PubMed]
- Vukelic, J.; Dobrila-Dintinjana, R.; Dekanic, A.; Marijic, B.; Cubranic, A.; Braut, T. The Relevance of Assessing the Cell Proliferation Factor Ki-67 in Squamous Cell Carcinoma of the Larynx. Biomed. Res. Int. 2019, 2019, 8142572. [Google Scholar] [CrossRef] [PubMed]
- Gong, Y.; Woda, B.A.; Jiang, Z. Oncofetal protein IMP3, a new cancer biomarker. Adv. Anat. Pathol. 2014, 21, 191–200. [Google Scholar] [CrossRef] [PubMed]
- Mueller-Pillasch, F.; Lacher, U.; Wallrapp, C.; Micha, A.; Zimmerhackl, F.; Hameister, H.; Varga, G.; Friess, H.; Buchler, M.; Beger, H.G.; et al. Cloning of a gene highly overexpressed in cancer coding for a novel KH-domain containing protein. Oncogene 1997, 14, 2729–2733. [Google Scholar] [CrossRef] [Green Version]
- Mancarella, C.; Scotlandi, K. IGF2BP3 from Physiology to Cancer: Novel Discoveries, Unsolved Issues, and Future Perspectives. Front. Cell Dev. Biol. 2019, 7, 363. [Google Scholar] [CrossRef]
- Ramirez-Moreno, E.; Lozano-Lozano, M.; O’Valle Ravassa, F.; Ramirez-Tortosa, C.; Ruiz-Villaverde, R. Expression of IMP3 in a retrospective cohort of melanomas with selective lymph node biopsy. Dermatol. Ther. 2020, 33, e14413. [Google Scholar] [CrossRef] [PubMed]
- Jiang, Z.; Chu, P.G.; Woda, B.A.; Rock, K.L.; Liu, Q.; Hsieh, C.C.; Li, C.; Chen, W.; Duan, H.O.; McDougal, S.; et al. Analysis of RNA-binding protein IMP3 to predict metastasis and prognosis of renal-cell carcinoma: A retrospective study. Lancet Oncol. 2006, 7, 556–564. [Google Scholar] [CrossRef]
- Er, L.M.; Li, Y.; Wu, M.L.; Li, B.; Tan, B.B.; Gao, Y.; Wang, S.J. Insulin-like growth factor II mRNA binding protein 3 regulates proliferation, invasion and migration of neuroendocrine cancer cells. Int. J. Clin. Exp. Pathol. 2017, 10, 10269–10275. [Google Scholar] [PubMed]



| Variable | Supraglottic Tumors | GlotticTumors | Subglottic Tumors | Transglottic Tumors | p | |
|---|---|---|---|---|---|---|
| Sex | Female | 0 | 2 | 0 | 3 | 0.900 |
| Male | 1 | 30 | 1 | 25 | ||
| Age | <59.3 year | 1 | 11 | 0 | 5 | 0.165 |
| ≥59.3 year | 0 | 21 | 1 | 23 | ||
| Smoking | Yes | 1 | 26 | 0 | 23 | 0.216 |
| No | 0 | 6 | 1 | 5 | ||
| Alcohol | Yes | 1 | 16 | 0 | 16 | 0.508 |
| No | 0 | 16 | 1 | 12 | ||
| Smoking and alcohol | Yes | 1 | 14 | 0 | 15 | 0.461 |
| No | 0 | 18 | 1 | 13 | ||
| Variable | Control Group | Low-Grade Dysplasia | High-Grade Dysplasia | SCC | p |
|---|---|---|---|---|---|
| Ki-67 | 20.3 ± 13.74 | 14.9 ± 10.06 | 24.7 ± 12.16 | 36.9 ± 17.65 | p < 0.001 |
| P53 | 43.0 ± 43.0 | 69.4 ± 48.58 | 82.7 ± 65.22 | 119.8 ± 95.27 | p < 0.001 |
| Cyclin D1 | 124.0 ± 60.1 | 98.1 ± 47.62 | 99.5 ± 40.46 | 126.5 ± 59.73 | p = 0.079 |
| IMP3 | 7.29 ± 13.14 | 4.95 ± 7.31 | 7.25 ± 18.32 | 109.5 ± 86.60 | p < 0.001 |
| Variable | Ki-67 | p53 | Cyclin D1 | IMP3 | |
|---|---|---|---|---|---|
| Ki-67 | Pearson correlation | 1 | 0.429 ** | 0.232 ** | 0.497 ** |
| Sig. (two- tailed) | 0.000 | 0.007 | 0.000 | ||
| n | 134 | 126 | 132 | 134 | |
| p53 | Pearson correlation | 0.429 ** | 1 | 0.320 ** | 0.433 ** |
| Sig. (two- tailed) | 0.000 | 0.000 | 0.000 | ||
| n | 126 | 132 | 130 | 132 | |
| Cyclin D1 | Pearson correlation | 0.232 ** | 0.320 ** | 1 | 0.190 * |
| Sig. (two- tailed) | 0.007 | 0.000 | 0.026 | ||
| n | 132 | 130 | 137 | 137 | |
| IMP3 | Pearson correlation | 0.497 ** | 0.433 ** | 0.190 * | 1 |
| Sig. (two- tailed) | 0.000 | 0.000 | 0.026 | ||
| n | 134 | 132 | 137 | 145 | |
| Patients | Ki-67 | p53 | Cyclin D1 | IMP3 | |||||||
|---|---|---|---|---|---|---|---|---|---|---|---|
| Variable | Number | Mean ± SD | p | Mean ± SD | p | Mean ± SD | p | Mean ± SD | p | ||
| Sex | |||||||||||
| Male | 123 | 36.5 ± 18.0 | 118.1 ± 94.0 | 123.0 ± 59.2 | 109.0 ± 86.8 | ||||||
| Female | 22 | 41.8 ± 13.3 | 0.980 | 138.1 ± 118.9 | 0.519 | 164.3 ± 58.6 | 0.387 | 115.4 ± 93.6 | 0.541 | ||
| Age | |||||||||||
| ≥59.3 | 72 | 37.4 ± 17.9 | 126.7 ± 101.2 | 133.6 ± 60.4 | 106.0 ± 87.1 | ||||||
| <59.3 | 73 | 35.5 ± 17.6 | 0.773 | 101.1 ± 77.0 | 0.278 | 106.7 ± 54.8 | 0.255 | 118.7 ± 87.3 | 0.476 | ||
| T-Classification | |||||||||||
| T1 | 10 | 37.7 ± 22.7 | 150.8 ± 82.2 | 112.1 ± 45.2 | 96.5 ± 71.7 | ||||||
| T2 | 11 | 38.2 ± 8.5 | 117.7 ± 113.2 | 145.0 ± 50.8 | 70.8 ± 60.0 | ||||||
| T3 | 28 | 40.4 ± 20.2 | 128.7 ± 100.6 | 133.5 ± 64.3 | 128.4 ± 96.7 | ||||||
| T4a | 13 | 27.9 ± 10.3 | 0.479 | 81.5 ± 73.0 | 0.548 | 106.2 ± 63.7 | 0.415 | 111.5 ± 88.9 | 0.469 | ||
| N-Classification | |||||||||||
| N0 | 50 | 33.5 ± 15.5 | 121.7 ± 95.9 | 126.0 ± 55.3 | 94.3 ± 82.1 | ||||||
| N+ | 12 | 50.8 ± 19.8 | 0.002 | 112.4 ± 96.8 | 0.766 | 128.3 ± 77.9 | 0.908 | 172.6 ± 78.5 | 0.004 | ||
| Tumor Stage | |||||||||||
| Stage I | 10 | 37.7 ± 22.7 | 150.8 ± 82.2 | 112.1 ± 45.2 | 96.5 ± 71.7 | ||||||
| Stage II | 12 | 37.9 ± 8.2 | 116.1 ± 107.5 | 148.5 ± 49.9 | 86.0 ± 77.8 | ||||||
| Stage III | 23 | 38.9 ± 21.3 | 133.2 ± 101.6 | 127.4 ± 59.1 | 112.6 ± 95.3 | ||||||
| Stage IV | 17 | 33.1 ± 14.6 | 0.546 | 88.5 ± 83.1 | 0.431 | 117.3 ± 72.6 | 0.412 | 129.6 ± 90.0 | 0.459 | ||
| Grading | |||||||||||
| Unknown | 4 | 35.0 ± 30.9 | 131.2 ± 132.5 | 118.2 ± 67.5 | 78.4 ± 65.0 | ||||||
| G1 | 12 | 32.7 ± 19.2 | 86.2 ± 78.5 | 131.4 ± 49.0 | 90.5 ± 84.5 | ||||||
| G2 | 33 | 35.3 ± 12.9 | 127.8 ± 94.5 | 116.0 ± 57.9 | 98.6 ± 76.1 | ||||||
| G3 | 13 | 45.4 ± 21.2 | 0.345 | 125.6 ± 103.7 | 0.753 | 150.5 ± 69.2 | 0.456 | 164.3 ± 104.1 | 0.382 | ||
| Recurrence | |||||||||||
| No | 50 | 36.6 ± 17.8 | 118.0 ± 97.8 | 125.0 ± 54.5 | 102.6 ± 85.7 | ||||||
| Yes | 12 | 38.2 ± 17.8 | 126.8 ± 88.4 | 132.2 ± 80.1 | 138.0 ± 88.1 | ||||||
| Local | 6 | 33.1 ± 6.5 | 114.9 ± 111.5 | 172.0 ± 73.0 | 157.0 ± 89.1 | ||||||
| Regional | 4 | 50.5 ± 26.3 | 140.9 ± 44.3 | 111.0 ± 83.0 | 166.9 ± 65.2 | ||||||
| Distant | 2 | 29.0 ± 15.6 | 0.156 | 135.0 ± 127.3 | 0.170 | 55.0 ± 1.4 | 0.410 | 23.4 ± 33.1 | 0.468 | ||
| Survival | |||||||||||
| Alive | 33 | 35.7 ± 15.7 | 115.8 ± 97.7 | 134.6 ± 52.9 | 82.8 ± 76.5 | ||||||
| Dead | 29 | 38.3 ± 19.8 | 0.350 | 123.9 ± 94.3 | 0.422 | 117.7 ± 66.1 | 0.542 | 139.8 ± 88.6 | 0.476 | ||
| Univariate Analysis | Multivariate Analysis | ||||||
| Disease-Specific Survival | HR | p | 95% CI | HR | p | 95% CI | |
| Sex (female vs. male) | 0.043 | 0.484 | 0.00–294.7 | ||||
| Age (<59.3 vs. ≥59.3) | 1.563 | 0.476 | 0.46–5.35 | ||||
| T3-T4a vs. T1-T2 | 45.45 | 0.141 | 0.28–100.0 | ||||
| N+ vs. N− | 4.44 | 0.014 | 1.35–14.7 | 2.747 | 0.171 | 0.65–1.16 | |
| G1 vs. G2 vs. G3 (continuous) | 2.541 | 0.046 | 1.02–6.35 | 1.709 | 0.306 | 0.61–4.77 | |
| Ki-67 (high vs. low) | 0.465 | 0.223 | 0.14–1.59 | ||||
| p53 (high vs. low) | 0.789 | 0.695 | 0.24–2.58 | ||||
| Cyclin D1 (high vs. low) | 0.886 | 0.841 | 0.27–2.91 | ||||
| IMP-3 (high vs. low) | 3.509 | 0.038 | 1.07–11.49 | 1.385 | 0.692 | 0.28–6.90 | |
| Disease-Free Survival | |||||||
| Sex (female) | 0.043 | 0.465 | 0.00–201.2 | ||||
| Age (<59.3a) | 1.381 | 0.598 | 0.42–4.56 | ||||
| T3-T4a vs. T1-T2 | 2.994 | 0.158 | 0.65–13.7 | ||||
| N+ vs. N− | 3.817 | 0.022 | 1.21–12.1 | 3.597 | 0.173 | 0.66–10.3 | |
| G1 vs. G2 vs. G3 (continuous) | 2.317 | 0.054 | 0.99–5.44 | 1.720 | 0.270 | 0.22–4.51 | |
| Ki-67 (high vs. low) | 0.389 | 0.124 | 0.12–1.30 | ||||
| p53 (high vs. low) | 0.947 | 0.927 | 0.31–2.94 | ||||
| Cyclin D1 (high vs. low) | 1.046 | 0.938 | 0.34–3.25 | ||||
| IMP-3 (high vs. low) | 2.967 | 0.064 | 0.94–9.35 | 1.205 | 0.815 | 0.25–5.68 | |
Publisher’s Note: MDPI stays neutral with regard to jurisdictional claims in published maps and institutional affiliations. |
© 2021 by the authors. Licensee MDPI, Basel, Switzerland. This article is an open access article distributed under the terms and conditions of the Creative Commons Attribution (CC BY) license (https://creativecommons.org/licenses/by/4.0/).
Share and Cite
Maržić, D.; Marijić, B.; Braut, T.; Janik, S.; Avirović, M.; Hadžisejdić, I.; Tudor, F.; Radobuljac, K.; Čoklo, M.; Erovic, B.M. IMP3 Protein Overexpression Is Linked to Unfavorable Outcome in Laryngeal Squamous Cell Carcinoma. Cancers 2021, 13, 4306. https://doi.org/10.3390/cancers13174306
Maržić D, Marijić B, Braut T, Janik S, Avirović M, Hadžisejdić I, Tudor F, Radobuljac K, Čoklo M, Erovic BM. IMP3 Protein Overexpression Is Linked to Unfavorable Outcome in Laryngeal Squamous Cell Carcinoma. Cancers. 2021; 13(17):4306. https://doi.org/10.3390/cancers13174306
Chicago/Turabian StyleMaržić, Diana, Blažen Marijić, Tamara Braut, Stefan Janik, Manuela Avirović, Ita Hadžisejdić, Filip Tudor, Katarina Radobuljac, Miran Čoklo, and Boban M. Erovic. 2021. "IMP3 Protein Overexpression Is Linked to Unfavorable Outcome in Laryngeal Squamous Cell Carcinoma" Cancers 13, no. 17: 4306. https://doi.org/10.3390/cancers13174306
APA StyleMaržić, D., Marijić, B., Braut, T., Janik, S., Avirović, M., Hadžisejdić, I., Tudor, F., Radobuljac, K., Čoklo, M., & Erovic, B. M. (2021). IMP3 Protein Overexpression Is Linked to Unfavorable Outcome in Laryngeal Squamous Cell Carcinoma. Cancers, 13(17), 4306. https://doi.org/10.3390/cancers13174306

