Circulating Forms of Urokinase-Type Plasminogen Activator Receptor in Plasma Can Predict Recurrence and Survival in Patients with Urothelial Carcinoma of the Bladder
Abstract
Simple Summary
Abstract
1. Introduction
2. Materials and Methods
2.1. Tumour Tissue
2.2. Patients and Blood Samples
2.3. Histopathology
2.4. Postoperative Follow-Up
2.5. Blood Samples
2.6. Measurements of uPAR Forms in Plasma
2.7. Western Blot
2.8. Statistics
3. Results
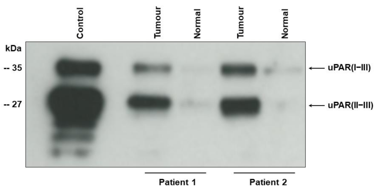
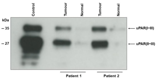
3.1. Intact and Cleaved uPAR in UCB Tumour Tissue
3.2. Association of Preoperative Plasma uPAR Forms with Clinical and Pathologic Characteristics
3.3. Association of Preoperative Plasma uPAR Forms with Clinical Outcome
3.4. Multivariable Survival Analysis
3.5. Application of Previous Determined Reference Intervals of the Different uPAR Forms
4. Discussion
5. Conclusions
Supplementary Materials
Author Contributions
Funding
Institutional Review Board Statement
Informed Consent Statement
Data Availability Statement
Acknowledgments
Conflicts of Interest
References
- Babjuk, M.B.M.; Compérat, E.; Gontero, P.; Mostafid, A.H.; Palou, J.; van Rhijn, B.W.G.; Rouprêt, M.; Shariat, S.F.; Sylvester, R.; Zigeuner, R. EAU Guidelines on Non-Muscle-invasive Urothelial Carcinoma of the Bladder: Update 2016. In Proceedings of the EAU Annual Congress, Amsterdam, The Netherlands, 20–24 March 2020; ISBN 978-94-92671-07-3. Available online: http://uroweb.org/guidelines/compilations-of-all-guidelines/ (accessed on 16 March 2021).
- Witjes, J.A.B.H.; Cathomas, R.; Compérat, E.; Cowan, N.C.; Gakis, G.; Hernández, V.; Lorch, A.; Ribal, M.J.; Thalmann, G.N.; van der Heijden, A.G.; et al. European Association of Urology Guidelines on Muscle-invasive and Metastatic Bladder Cancer: Summary of the 2020 Guidelines. In Proceedings of the EAU Annual Congress, Amsterdam, The Netherlands, 20–24 March 2020; ISBN 978-94-92671-07-3. Available online: http://uroweb.org/guidelines/compilations-of-all-guidelines/ (accessed on 16 March 2021).
- Hautmann, R.E.; de Petriconi, R.C.; Pfeiffer, C.; Volkmer, B.G. Radical cystectomy for urothelial carcinoma of the bladder without neoadjuvant or adjuvant therapy: Long-term results in 1100 patients. Eur. Urol. 2012, 61, 1039–1047. [Google Scholar] [CrossRef] [PubMed]
- Stein, J.P.; Lieskovsky, G.; Cote, R.; Groshen, S.; Feng, A.; Boyd, S.; Skinner, E.; Bochner, B.; Thangathurai, D.; Mikhail, M.; et al. Radical cystectomy in the treatment of invasive bladder cancer: Long-term results in 1054 patients. J. Clin. Oncol. 2001, 19, 666–675. [Google Scholar] [CrossRef] [PubMed]
- Yin, M.; Joshi, M.; Meijer, R.P.; Glantz, M.; Holder, S.; Harvey, H.A.; Kaag, M.; Fransen van de Putte, E.E.; Horenblas, S.; Drabick, J.J. Neoadjuvant Chemotherapy for Muscle-Invasive Bladder Cancer: A Systematic Review and Two-Step Meta-Analysis. Oncologist 2016, 21, 708–715. [Google Scholar] [CrossRef] [PubMed]
- Svatek, R.S.; Shariat, S.F.; Novara, G.; Skinner, E.C.; Fradet, Y.; Bastian, P.J.; Kamat, A.M.; Kassouf, W.; Karakiewicz, P.I.; Fritsche, H.M.; et al. Discrepancy between clinical and pathological stage: External validation of the impact on prognosis in an international radical cystectomy cohort. BJU Int. 2011, 107, 898–904. [Google Scholar] [CrossRef]
- Vind-Kezunovic, S.; Bouchelouche, K.; Ipsen, P.; Høyer, S.; Bell, C.; Bjerggaard Jensen, J. Detection of Lymph Node Metastasis in Patients with Bladder Cancer using Maximum Standardised Uptake Value and (18)F-fluorodeoxyglucose Positron Emission Tomography/Computed Tomography: Results from a High-volume Centre Including Long-term Follow-up. Eur. Urol. Focus 2019, 5, 90–96. [Google Scholar] [CrossRef]
- Dano, K.; Behrendt, N.; Hoyer-Hansen, G.; Johnsen, M.; Lund, L.R.; Ploug, M.; Rømer, J. Plasminogen activation and cancer. Thromb. Haemost. 2005, 93, 676–681. [Google Scholar]
- Hoyer-Hansen, G.; Lund, I.K. Urokinase receptor variants in tissue and body fluids. Adv. Clin. Chem. 2007, 44, 65–102. [Google Scholar]
- Thurison, T.; Lomholt, A.F.; Rasch, M.G.; Lund, I.K.; Nielsen, H.J.; Christensen, I.J.; Hoyer-Hansen, G. A new assay for measurement of the liberated domain I of the urokinase receptor in plasma improves the prediction of survival in colorectal cancer. Clin. Chem. 2010, 56, 1636–1640. [Google Scholar] [CrossRef]
- Almasi, C.E.; Brasso, K.; Iversen, P.; Pappot, H.; Hoyer-Hansen, G.; Danø, K.; Christensen, I.J. Prognostic and predictive value of intact and cleaved forms of the urokinase plasminogen activator receptor in metastatic prostate cancer. Prostate 2011, 71, 899–907. [Google Scholar] [CrossRef]
- Almasi, C.E.; Hoyer-Hansen, G.; Christensen, I.J.; Danø, K.; Pappot, H. Prognostic impact of liberated domain I of the urokinase plasminogen activator receptor in squamous cell lung cancer tissue. Lung Cancer 2005, 48, 349–355. [Google Scholar] [CrossRef] [PubMed]
- Dohn, L.H.; Illemann, M.; Hoyer-Hansen, G.; Christensen, I.J.; Hostmark, J.; Litlekalsoy, J.; von der Maase, H.; Pappot, H.; Laerum, O.D. Urokinase-type plasminogen activator receptor (uPAR) expression is associated with T-stage and survival in urothelial carcinoma of the bladder. Urol. Oncol. 2015, 33, 165.e115–165.e124. [Google Scholar] [CrossRef]
- Dohn, L.H.; Pappot, H.; Iversen, B.R.; Illemann, M.; Hoyer-Hansen, G.; Christensen, I.J.; Thind, P.; Salling, L.; von der Maase, H.; Laerum, O.D. uPAR Expression Pattern in Patients with Urothelial Carcinoma of the Bladder—Possible Clinical Implications. PLoS ONE 2015, 10, e0135824. [Google Scholar] [CrossRef] [PubMed][Green Version]
- Grossmann, N.C.; Schuettfort, V.M.; Pradere, B.; Moschini, M.; Quhal, F.; Mostafaei, H.; Soria, F.; Katayama, S.; Laukhtina, E.; Mori, K.; et al. Further Understanding of Urokinase Plasminogen Activator Overexpression in Urothelial Bladder Cancer Progression, Clinical Outcomes and Potential Therapeutic Targets. Onco Targets Ther. 2021, 14, 315–324. [Google Scholar] [CrossRef] [PubMed]
- Sobin, L.H.G.M.; Wittekind, C. TNM Classification of malignant tumours. In UICC International Union Against Cancer, 7th ed.; Wiley-Blackwell: New York, NY, USA, 2009. [Google Scholar]
- Tumours of the urinary system. In World Health Organization Classification of Tumours. Pathology and Genetics of Tumours of the Urinary System and Male Genital Organs; Eble, J.N., Sauter, G., Epstein, J.I., Sesterhenn, I.A., Eds.; IARCPress: Lyon, France, 2004; pp. 90–157. [Google Scholar]
- Punt, C.J.; Buyse, M.; Kohne, C.H.; Hohenberger, P.; Labianca, R.; Schmoll, H.J.; Påhlman, L.; Sobrero, A.; Douillard, J.Y. Endpoints in adjuvant treatment trials: A systematic review of the literature in colon cancer and proposed definitions for future trials. J. Natl. Cancer Inst. 2007, 99, 998–1003. [Google Scholar] [CrossRef]
- Thurison, T.; Christensen, I.J.; Lund, I.K.; Nielsen, H.J.; Hoyer-Hansen, G. Circulating intact and cleaved forms of the urokinase-type plasminogen activator receptor: Biological variation, reference intervals and clinical useful cut-points. Clin. Chim. Acta 2015, 439, 84–90. [Google Scholar] [CrossRef]
- Piironen, T.; Laursen, B.; Pass, J.; List, K.; Gårdsvoll, H.; Ploug, M.; Danø, K.; Hoyer-Hansen, G. Specific immunoassays for detection of intact and cleaved forms of the urokinase receptor. Clin. Chem. 2004, 50, 2059–2068. [Google Scholar] [CrossRef]
- Olson, F.J.; Thurison, T.; Ryndel, M.; Hoyer-Hansen, G.; Fagerberg, B. Soluble urokinase-type plasminogen activator receptor forms in plasma as markers of atherosclerotic plaque vulnerability. Clin. Biochem. 2010, 43, 124–130. [Google Scholar] [CrossRef]
- Behrendt, N.; Ronne, E.; Ploug, M.; Petri, T.; Løber, D.; Nielsen, L.S.; Schleuning, W.D.; Blasi, F.; Appella, E.; Danø, K. The human receptor for urokinase plasminogen activator. NH2-terminal amino acid sequence and glycosylation variants. J. Biol. Chem. 1990, 265, 6453–6460. [Google Scholar] [CrossRef]
- Hoyer-Hansen, G.; Ploug, M.; Behrendt, N.; Rønne, E.; Danø, K. Cell-surface acceleration of urokinase-catalyzed receptor cleavage. Eur. J. Biochem. 1997, 243, 21–26. [Google Scholar] [CrossRef] [PubMed]
- Thurison, T.; Almholt, K.; Gardsvoll, H.; Ploug, M.; Hoyer-Hansen, G.; Lund, I.K. Urokinase receptor cleavage correlates with tumor volume in a transgenic mouse model of breast cancer. Mol. Carcinog. 2016, 55, 717–731. [Google Scholar] [CrossRef]
- Harrell, F.E., Jr.; Lee, K.L.; Mark, D.B. Multivariable prognostic models: Issues in developing models, evaluating assumptions and adequacy, and measuring and reducing errors. Stat. Med. 1996, 15, 361–387. [Google Scholar] [CrossRef]
- Shariat, S.F.; Monoski, M.A.; Andrews, B.; Wheeler, T.M.; Lerner, S.P.; Slawin, K.M. Association of plasma urokinase-type plasminogen activator and its receptor with clinical outcome in patients undergoing radical cystectomy for transitional cell carcinoma of the bladder. Urology 2003, 61, 1053–1058. [Google Scholar] [CrossRef]
- Rasch, M.G.; Lund, I.K.; Almasi, C.E.; Hoyer-Hansen, G. Intact and cleaved uPAR forms: Diagnostic and prognostic value in cancer. Front. Biosci. 2008, 13, 6752–6762. [Google Scholar] [CrossRef] [PubMed]
- Illemann, M.; Laerum, O.D.; Hasselby, J.P.; Thurison, T.; Hoyer-Hansen, G.; Nielsen, H.J.; Danish Study Group on Early Detection of Colorectal Cancer; Christensen, I.J. Urokinase-type plasminogen activator receptor (uPAR) on tumor-associated macrophages is a marker of poor prognosis in colorectal cancer. Cancer Med. 2014, 3, 855–864. [Google Scholar] [CrossRef] [PubMed]
- Janicke, F.; Prechtl, A.; Thomssen, C.; Harbeck, N.; Meisner, C.; Untch, M.; Sweep, C.G.; Selbmann, H.K.; Graeff, H.; Schmitt, M.; et al. Randomized adjuvant chemotherapy trial in high-risk, lymph node-negative breast cancer patients identified by urokinase-type plasminogen activator and plasminogen activator inhibitor type 1. J. Natl. Cancer Inst. 2001, 93, 913–920. [Google Scholar] [CrossRef][Green Version]
- Riisbro, R.; Christensen, I.J.; Piironen, T.; Greenall, M.; Larsen, B.; Stephens, R.W.; Han, C.; Hoyer-Hansen, G.; Smith, K.; Brünner, N.; et al. Prognostic significance of soluble urokinase plasminogen activator receptor in serum and cytosol of tumor tissue from patients with primary breast cancer. Clin. Cancer Res. 2002, 8, 1132–1141. [Google Scholar]
- Shariat, S.F.; Roehrborn, C.G.; McConnell, J.D.; Park, S.; Alam, N.; Wheeler, T.M.; Slawin, K.M. Association of the circulating levels of the urokinase system of plasminogen activation with the presence of prostate cancer and invasion, progression, and metastasis. J. Clin. Oncol. 2007, 25, 349–355. [Google Scholar] [CrossRef]
- Hoyer-Hansen, G.; Pessara, U.; Holm, A.; Holm, A.; Pass, J.; Weidle, U.; Danø, K.; Behrendt, N. Urokinase-catalysed cleavage of the urokinase receptor requires an intact glycolipid anchor. Biochem. J. 2001, 358, 673–679. [Google Scholar] [CrossRef]
- Kamat, A.M.; Hegarty, P.K.; Gee, J.R.; Clark, P.E.; Svatek, R.S.; Hegarty, N.; Shariat, S.F.; Xylinas, E.; Schmitz-Dräger, B.J.; Lotan, Y.; et al. ICUD-EAU International Consultation on Bladder Cancer 2012: Screening, diagnosis, and molecular markers. Eur. Urol. 2013, 63, 4–15. [Google Scholar] [CrossRef]
- Soria, F.; Krabbe, L.M.; Todenhofer, T.; Dobruch, J.; Mitra, A.P.; Inman, B.A.; Gust, K.M.; Lotan, Y.; Shariat, S.F. Molecular markers in bladder cancer. World J. Urol. 2019, 37, 31–40. [Google Scholar] [CrossRef]
- Laukhtina, E.; Pradere, B.; Mori, K.; Schuettfort, V.M.; Quhal, F.; Mostafaei, H.; Sari Motlangh, R.; Katayama, S.; Grossmann, N.C.; Moschini, M.; et al. Catalog of prognostic tissue-based biomarkers in patients treated with neoadjuvant systemic therapy for urothelial carcinoma of the bladder: A systematic review. Urol. Oncol. 2021, 39, 180–190. [Google Scholar] [CrossRef] [PubMed]
- Kamoun, A.d.R.A.; Allory, Y.; Sjödahl, G.; Robertson, A.G.; Seiler, R.; Hoadley, K.A.; Groeneveld, C.S.; Al-Ahmadie, H.; Choi, W.; Castro, M.A.A.; et al. A consensus molecular classification of muscle-invasive bladder cancer. Eur Urol. 2020, 77, 420–433. [Google Scholar] [CrossRef] [PubMed]
- Grossman, H.B.; Bellmunt, J.; Black, P.C. Can Biomarkers Guide the Use of Neoadjuvant Chemotherapy in T2 Bladder Cancer? Eur. Urol. Oncol. 2019, 2, 597–602. [Google Scholar] [CrossRef] [PubMed]
- Bellmunt, J.; Kim, J.; Reardon, B.; Perera-Bel, J.; Orsola, A.; Rodriguez-Vida, A.; Wankowicz, S.A.; Bowden, M.; Barletta, J.A.; Morote, J.; et al. Genomic Predictors of Good Outcome, Recurrence, or Progression in High-Grade T1 Non-Muscle-Invasive Bladder Cancer. Cancer Res. 2020, 80, 4476–4486. [Google Scholar] [CrossRef]
- Karakiewicz, P.I.; Shariat, S.F.; Palapattu, G.S.; Gilad, A.E.; Lotan, Y.; Rogers, C.G.; Vazina, A.; Gupta, A.; Bastian, P.J.; Perrotte, P.; et al. Nomogram for predicting disease recurrence after radical cystectomy for transitional cell carcinoma of the bladder. J. Urol. 2006, 176, 1354–1361; discussion 1352–1361. [Google Scholar] [CrossRef]
- Shariat, S.F.; Karakiewicz, P.I.; Palapattu, G.S.; Amiel, G.E.; Lotan, Y.; Rogers, C.G.; Vazina, A.; Bastian, P.J.; Gupta, A.; Sagalowsky, A.I.; et al. Nomograms provide improved accuracy for predicting survival after radical cystectomy. Clin. Cancer Res. 2006, 12, 6663–6676. [Google Scholar] [CrossRef]
- Kluth, L.A.; Black, P.C.; Bochner, B.H.; Catto, J.; Lerner, S.P.; Stenzl, A.; Sylvester, R.; Vickers, A.J.; Xylinas, E.; Shariat, S.F. Prognostic and Prediction Tools in Bladder Cancer: A Comprehensive Review of the Literature. Eur. Urol. 2015, 68, 238–253. [Google Scholar] [CrossRef]
- Kluth, L.A.; Xylinas, E.; Rieken, M.; Kent, M.; Ikeda, M.; Matsumoto, K.; Hagiwara, M.; Kikuchi, E.; Bing, M.T.; Gupta, A.; et al. Prognostic Model for Predicting Survival in Patients with Disease Recurrence Following Radical Cystectomy. Eur. Urol. Focus 2015, 1, 75–81. [Google Scholar] [CrossRef]
- Kollberg, P.; Chebil, G.; Eriksson, P.; Sjödahl, G.; Liedberg, F. Molecular subtypes applied to a population-based modern cystectomy series do not predict cancer-specific survival. Urol. Oncol. 2019, 37, 791–799. [Google Scholar] [CrossRef] [PubMed]
- Witjes, J.A.; Babjuk, M.; Bellmunt, J.; Bruins, H.M.; De Reijke, T.M.; De Santis, M.; Gillessen, S.; James, N.; Maclennan, S.; Palou, J.; et al. EAU-ESMO Consensus Statements on the Management of Advanced and Variant Bladder Cancer-An International Collaborative Multistakeholder Effort(dagger): Under the Auspices of the EAU-ESMO Guidelines Committees. Eur. Urol. 2020, 77, 223–250. [Google Scholar] [CrossRef]
- Altman, D.G.; McShane, L.M.; Sauerbrei, W.; Taube, S.E. Reporting Recommendations for Tumor Marker Prognostic Studies (REMARK): Explanation and elaboration. PLoS Med. 2012, 9, e1001216. [Google Scholar] [CrossRef]


| Characteristics | N (%) |
|---|---|
| Age | |
| Years median (range) | 67 (44–81) |
| Gender | |
| Female | 20 (19) |
| Male | 87 (81) |
| Pathologic stage (cystectomy specimen) | |
| T0 | 36 (34) |
| CIS | 15 (14) |
| Ta | 4 (4) |
| T1 | 4 (4) |
| T2 | 22 (20, 5) |
| T3 | 22 (20, 5) |
| T4 | 4 (4) |
| Pathologic stage (cystectomy specimen) | |
| pT ≤ pT2 pN0 | 76 (71) |
| pT ≥ pT3 pN0 | 17 (16) |
| pTany pN+ | 14 (13) |
| Pathologic grade (cystectomy specimen) | |
| LG | 2 (2) |
| HG | 69 (64) |
| Concomitant CIS 1 | |
| No | 65 (61) |
| Yes | 42 (39) |
| Lymph vascular invasion | |
| No | 93 (87) |
| Yes | 14 (13) |
| Resection margin | |
| No | 101 (94) |
| Yes | 6 (6) |
| Lymph node metastasis | |
| No | 93 (87) |
| Yes | 14 (13) |
| Neoadjuvant chemotherapy | |
| No | 79 (74) |
| Yes | 28 (26) |
| Characteristics | uPAR (I−III) | uPAR (I−III) + uPAR (II−III) | uPAR (I) | |||
|---|---|---|---|---|---|---|
| pmol/L | pmol/L | pmol/L | ||||
| Median (Min-Max) | p-Value | Median (Min-Max) | p-Value | Median (Min-Max) | p-Value | |
| Age | ||||||
| 67 (44–81) a | 0.15 | 0.13 | 0.13 | 0.17 | −0.03 | 0.78 |
| Gender | ||||||
| Female | 53.65 (31.98–91.43) | 94.73 (68.90–226.21) | 38.85 (17.04–754.88) | |||
| Male | 42.69 (19.34–76.66) | 0.003 | 84.68 (51.60–156.67) | 0.02 | 35.60 (16.40–124.15) | 0.05 |
| Pathologic stage (cystectomy specimen) b | ||||||
| pT ≤ pT2 pN0 | 42.72 (19.34–76.66) | 85.14 (51.60–156.67) | 34.09 (16.40–124.15) | |||
| pT ≥ pT3 pN0 | 53.28 (31.44–68.37) | 0.15 | 101.25 (73.52–145.19) | 0.03 | 42.99 (17.04–86.66) | 0.06 |
| pTany pN+ | 42.25 (27.47–91.43) | 84.99 (55.20–226.21) | 34.00 (21.08–754.88) | |||
| Pathologic grade | ||||||
| LG | 54.96 (45.91–64.00) | 107.33 (79.36–135.29) | 58.14 (57.62–58.65) | |||
| HG | 44.50 (25.62–91.43) | 0.59 | 87.51 (51.60–226.21) | 0.71 | 36.45 (16.40–754.88) | 0.38 |
| Concomitant CIS | ||||||
| No | 42.71 (19.34–91.43) | 88.19 (53.07–226.21) | 35.91 (19.38–754.88) | |||
| Yes | 48.09 (26.49–76.66) | 0.39 | 89.56 (51.60–132.43) | 0.96 | 38.89 (16.40–142.10) | 0.44 |
| Lymph vascular invasion | ||||||
| No | 44.05 (19.34–91.43) | 88.19 (51.60–156.67) | 35.91 (16.40–754.88) | |||
| Yes | 46.06 (32.02–78.11) | 0.53 | 89.15 (57.15–226.21) | 0.31 | 39.60 (24.68–142.10) | 0.20 |
| Resection margin | ||||||
| Negative | 43.23 (19.34–91.43) | 87.51 (51.60–156.67) | 35.91 (16.40–754.88) | |||
| Positive | 51.12 (44.41–78.11) | 0.09 | 128.56 (77.47–226.21) | 0.05 | 46.75 (25.00–107.60) | 0.27 |
| Lymph node metastasis | ||||||
| No | 44.41 (19.34–76.66) | 89.35 (51.60–156.67) | 36.45 (16.40–124.15) | |||
| Yes | 42.25 (27.47–91.43) | 0.92 | 84.99 (55.20–226.21) | 0.87 | 34.00 (21.08–754.88) | 0.05 |
| Neoadjuvant chemotherapy | ||||||
| No | 44.41(/19.34–78.11) | 87.51 (5160–228.21) | 35.60 (16.40–142.10) | |||
| Yes | 43.55 (25.62–91.43) | 0.85 | 89.42 (57.04–156.67) | 0.97 | 37.61 (19.38–754.88) | 0.17 |
| Patient Characteristics | RFS a | CSS a | OS a | ||||||
|---|---|---|---|---|---|---|---|---|---|
| HR | 95% CI | p-Value | HR | 95% CI | p-Value | HR | 95% CI | p-Value | |
| uPAR levels log transformed base 2 | |||||||||
| uPAR (I−III) | 3.11 | 1.03–9.44 | 0.045 | 3.41 | 1.00–11.67 | 0.051 | 3.85 | 1.26–11.72 | 0.018 |
| uPAR (I−III) + uPAR (II−III) | 4.20 | 1.39–12.67 | 0.011 | 4.03 | 1.37–11.87 | 0.012 | 4.95 | 1.90–12.92 | 0.001 |
| uPAR (I) | 2.26 | 1.45–3.50 | 0.0003 | 2.63 | 1.58–4.38 | 0.0002 | 2.56 | 1.64–4.00 | 0.0001 |
| uPAR levels dichotomised according to reference intervals b | |||||||||
| uPAR (I−III) | 1.90 | 0.87–4.17 | 0.109 | 1.74 | 0.74–4.09 | 0.207 | 1.97 | 0.93–4.20 | 0.078 |
| uPAR (I−III) + uPAR (II−III) | 2.02 | 0.89–4.56 | 0.093 | 2.19 | 0.91–5.30 | 0.081 | 2.93 | 1.37–6.27 | 0.006 |
| uPAR (I) | 1.62 | 0.74–3.56 | 0.226 | 1.57 | 0.67–3.69 | 0.303 | 1,84 | 0.86–3.91 | 0.115 |
| Clinicopathological characteristics | |||||||||
| Age pr. 10 yr. age diff. | 1.00 | 0.63–1.60 | 1.000 | 0.87 | 0.53–1.44 | 0.594 | 0.98 | 0.62–1.54 | 0.922 |
| Gender | |||||||||
| Female vs. Male | 3.60 | 1.26–8.00 | 1.00 | 3.73 | 1.57–8.85 | 0.003 | 2.35 | 1.05–5.24 | 0.038 |
| Tumor stage (cystectomy specimen) | |||||||||
| pT ≥ pT3 pN0 vs. pT ≤ pT2 pN0 | 8.07 | 2.79–23.31 | 0.0001 | 9.00 | 2.94–27.58 | 0.0001 | 5.30 | 2.15–13.10 | 0.0003 |
| pTany pN+ vs. pT ≤ pT2 pN0 | 17.51 | 6.38–48.05 | <0.0001 | 11.71 | 3.08–35.93 | <0.0001 | 6.32 | 2.48–16.12 | 0.0001 |
| Lymph node metastasis | |||||||||
| Yes vs. No | 8.62 | 3.85–19.23 | 0.0001 | 5.26 | 2.17–12.66 | 0.0002 | 3.85 | 1.67–8.85 | 0.0015 |
| Pathologic grade | |||||||||
| HG vs. LG | NA c | 1.00 | NA c | 1.00 | NA c | 0.99 | |||
| Vascular invasion | |||||||||
| Yes vs. No | 6.99 | 3.09–15.87 | 0.0001 | 5.20 | 2.15–12.66 | 0.0003 | 3.86 | 1.68–8.93 | 0.002 |
| Resection margin | |||||||||
| Positive vs. Negative | 6.80 | 2.54–18.18 | 0.0001 | 5.13 | 1.72–15.38 | 0.003 | 3.65 | 1.26–10.64 | 0.017 |
| Neoadjuvant chemotherapy | |||||||||
| Yes vs. No | 0.71 | 0.27–1.89 | 0.49 | 0.95 | 0.35–2.61 | 0.92 | 1.41 | 0.61–3.26 | 0.42 |
| Patient Characteristics | RFS (C-Index = 0.83) | CSS (C-Index = 0.81) | OS (C-Index = 0.78) | ||||||
|---|---|---|---|---|---|---|---|---|---|
| HR | 95% CI | p-Value | HR | 95% CI | p-Value | HR | 95% CI | p-Value | |
| Clinicopathological characteristics | |||||||||
| pT ≥ pT3 pN0 vs. pT ≤ pT2 pN0 | 4.5 | 1.51–13.84 | 0.007 | 7.8 | 2.56–24.19 | 0.0003 | 4.55 | 1.84–11.26 | 0.001 |
| pTany pN+ vs. pT ≤ pT2 pN0 | 19.54 | 6.00–63.61 | <0.0001 | 11.06 | 3.50–34.87 | <0.0001 | 5.70 | 2.15–15.13 | 0.0005 |
| Vascular invasion | 2.56 | 1.02–6.25 | 0.045 | ||||||
| uPAR (I−III) + uPAR (II−III) | 7.55 | 2.03–28.03 | 0.003 | ||||||
| uPAR (I) | 2.12 | 1.28–3.51 | 0.004 | 2.11 | 1.35–3.31 | 0.001 | |||
Publisher’s Note: MDPI stays neutral with regard to jurisdictional claims in published maps and institutional affiliations. |
© 2021 by the authors. Licensee MDPI, Basel, Switzerland. This article is an open access article distributed under the terms and conditions of the Creative Commons Attribution (CC BY) license (https://creativecommons.org/licenses/by/4.0/).
Share and Cite
Dohn, L.H.; Thind, P.; Salling, L.; Lindberg, H.; Oersted, S.; Christensen, I.J.; Laerum, O.D.; Illemann, M.; von der Maase, H.; Høyer-Hansen, G.; et al. Circulating Forms of Urokinase-Type Plasminogen Activator Receptor in Plasma Can Predict Recurrence and Survival in Patients with Urothelial Carcinoma of the Bladder. Cancers 2021, 13, 2377. https://doi.org/10.3390/cancers13102377
Dohn LH, Thind P, Salling L, Lindberg H, Oersted S, Christensen IJ, Laerum OD, Illemann M, von der Maase H, Høyer-Hansen G, et al. Circulating Forms of Urokinase-Type Plasminogen Activator Receptor in Plasma Can Predict Recurrence and Survival in Patients with Urothelial Carcinoma of the Bladder. Cancers. 2021; 13(10):2377. https://doi.org/10.3390/cancers13102377
Chicago/Turabian StyleDohn, Line H., Peter Thind, Lisbeth Salling, Henriette Lindberg, Sofie Oersted, Ib J. Christensen, Ole D. Laerum, Martin Illemann, Hans von der Maase, Gunilla Høyer-Hansen, and et al. 2021. "Circulating Forms of Urokinase-Type Plasminogen Activator Receptor in Plasma Can Predict Recurrence and Survival in Patients with Urothelial Carcinoma of the Bladder" Cancers 13, no. 10: 2377. https://doi.org/10.3390/cancers13102377
APA StyleDohn, L. H., Thind, P., Salling, L., Lindberg, H., Oersted, S., Christensen, I. J., Laerum, O. D., Illemann, M., von der Maase, H., Høyer-Hansen, G., & Pappot, H. (2021). Circulating Forms of Urokinase-Type Plasminogen Activator Receptor in Plasma Can Predict Recurrence and Survival in Patients with Urothelial Carcinoma of the Bladder. Cancers, 13(10), 2377. https://doi.org/10.3390/cancers13102377

