The Use of Artificial Intelligence in the Differentiation of Malignant and Benign Lung Nodules on Computed Tomograms Proven by Surgical Pathology
Abstract
1. Introduction
2. Results
2.1. Baseline Description: 75 Nodules with Final Surgical Pathology
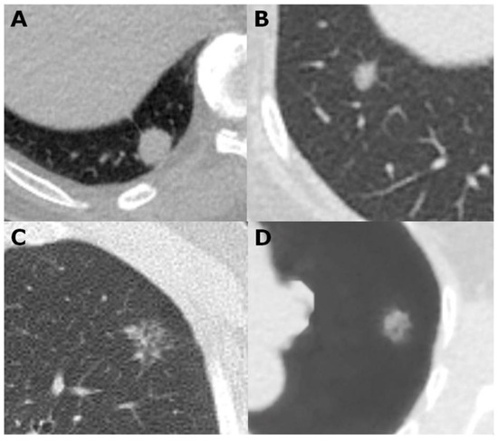
2.2. Proposed Application of VS-CAD AI System in Detecting Lung Cancer and Excluding Benign Lesions
2.3. Synchronous Multiple Primary Lung Cancers (SMPLCs)
3. Discussion
4. Materials and Methods
4.1. Study Population and Data Collection
4.2. CT Techniques and Image Acquisition
4.3. Retrospective Study with Laboratory Setting
4.3.1. Vessel-Suppressed CT as VS-CAD AI Postprocessing
4.3.2. Detection and Output of CAD AI Analyzer
4.4. Lung-Nodule Characteristics and Images Interpretation
4.5. Statistical Analysis
5. Conclusions
Author Contributions
Funding
Conflicts of Interest
References
- Bray, F.; Ferlay, J.; Soerjomataram, I.; Siegel, R.L.; Torre, L.A.; Jemal, A. Global cancer statistics 2018: GLOBOCAN estimates of incidence and mortality worldwide for 36 cancers in 185 countries. CA Cancer J. Clin. 2018, 68, 394–424. [Google Scholar] [CrossRef] [PubMed]
- Jemal, A.; Miller, K.D.; Ma, J.; Siegel, R.L.; Fedewa, S.A.; Islami, F.; Devesa, S.S.; Thun, M.J. Higher lung cancer incidence in young women than young men in the United States. N. Engl. J. Med. 2018, 378, 1999–2009. [Google Scholar] [CrossRef] [PubMed]
- Woodard, G.A.; Jones, K.D.; Jablons, D.M. Lung cancer staging and prognosis. Cancer Treat Res. 2016, 170, 47–75. [Google Scholar] [CrossRef] [PubMed]
- Matsuguma, H.; Mori, K.; Nakahara, R.; Suzuki, H.; Kasai, T.; Kamiyama, Y.; Igarashi, S.; Kodama, T.; Yokoi, K. Characteristics of subsolid pulmonary nodules showing growth during follow-up with CT Scanning. Chest 2013, 143, 436–443. [Google Scholar] [CrossRef]
- Si, M.J.; Tao, X.F.; Du, G.Y.; Cai, L.L.; Han, H.X.; Liang, X.Z.; Zhao, J.M. Thin-section computed tomography–histopathologic comparisons of pulmonary focal interstitial fibrosis, atypical adenomatous hyperplasia, adenocarcinoma in situ, and minimally invasive adenocarcinoma with pure ground-glass opacity. Eur. J. Radiol. 2016, 85, 1708–1715. [Google Scholar] [CrossRef]
- Fu, J.Y.; Wan, Y.L.; Huang, T.Y.; Wu, C.F.; Liu, Y.H.; Hsieh, M.J.; Wu, Y.C.; Wu, C.Y. Correlation between image characteristics and pathologic findings in non small cell lung cancer patients after anatomic resection. PLoS ONE 2019, 14, e0212461. [Google Scholar] [CrossRef]
- Lee, K.H.; Goo, J.M.; Park, S.J.; Wi, J.Y.; Chung, O.H.; Go, H.; Park, H.S.; Park, C.M.; Lee, S.M. Correlation between the size of the solid component on thin-section CT and the invasive component on pathology in small lung adenocarcinomas manifesting as ground-glass nodules. J. Thorac. Oncol. 2014, 9, 74–82. [Google Scholar] [CrossRef]
- Yanagawa, M.; Kusumoto, M.; Johkoh, T.; Noguchi, M.; Minami, Y.; Sakai, F.; Asamura, H.; Tomiyama, N.; Awai, K.; Minami, M.; et al. Radiologic–pathologic correlation of solid portions on thin-section CT Images in lung adenocarcinoma: A multicenter study. Clin. Lung Cancer 2018, 19, e303–e312. [Google Scholar] [CrossRef]
- Madariaga, M.L.; Lennes, I.T.; Best, T.; Shepard, J.-A.O.; Fintelmann, F.J.; Mathisen, D.J.; Gaissert, H.A.; Davis, K.; Hawari, S.; Willers, H.; et al. Multidisciplinary selection of pulmonary nodules for surgical resection: Diagnostic results and long-term outcomes. J. Thorac. Cardiovasc. Surg. 2020, 159, 1558–1566.e3. [Google Scholar] [CrossRef]
- Cho, J.H.; Choi, Y.S.; Kim, J.; Kim, H.K.; Zo, J.I.; Shim, Y.M. Long-term outcomes of wedge resection for pulmonary ground-glass opacity nodules. Ann. Thorac. Surg. 2015, 99, 218–222. [Google Scholar] [CrossRef]
- Henschke, C.I.; Yip, R.; Smith, J.P.; Wolf, A.S.; Flores, R.M.; Liang, M.; Salvatore, M.M.; Liu, Y.; Xu, D.M.; Yankelevitz, D.F.; et al. CT Screening for lung cancer: Part-solid nodules in baseline and annual repeat rounds. Am. J. Roentgenol. 2016, 207, 1176–1184. [Google Scholar] [CrossRef] [PubMed]
- Yankelevitz, D.F.; Yip, R.; Smith, J.P.; Liang, M.; Liu, Y.; Xu, D.M.; Salvatore, M.M.; Wolf, A.S.; Flores, R.M.; Henschke, C.I. CT Screening for lung cancer: Nonsolid nodules in baseline and annual repeat rounds. Radiology 2015, 277, 555–564. [Google Scholar] [CrossRef] [PubMed]
- Aberle, D.R.; Adams, A.M.; Berg, C.D.; Black, W.C.; Clapp, J.D.; Fagerstrom, R.M.; Gareen, I.F.; Gatsonis, C.; Marcus, P.M.; Sicks, J.D. Reduced lung-cancer mortality with low-dose computed tomographic screening. N. Engl. J. Med. 2011, 365, 395–409. [Google Scholar] [CrossRef]
- Moyer, V.A.; Force, U.P.S.T. Screening for lung cancer: U.S. Preventive Services Task Force recommendation statement. Ann. Intern. Med. 2014, 160, 330–338. [Google Scholar] [CrossRef]
- Chiles, C.; Caroline, C. Lung cancer screening with low-dose computed tomography. Radiol. Clin. N. Am. 2014, 52, 27–46. [Google Scholar] [CrossRef]
- Del Ciello, A.; Franchi, P.; Contegiacomo, A.; Cicchetti, G.; Bonomo, L.; Larici, A.R. Missed lung cancer: When, where, and why? Diagn. Interv. Radiol. 2017, 23, 118–126. [Google Scholar] [CrossRef] [PubMed]
- Naidich, D.P.; Rusinek, H.; McGuinness, G.; Leitman, B.S.; McCauley, D.I.; Henschke, C.I. Variables affecting pulmonary nodule detection with computed tomography. J. Thorac. Imaging 1993, 8, 291–299. [Google Scholar] [CrossRef] [PubMed]
- Fardanesh, R.; White, C. Missed lung cancer on chest radiography and computed tomography. Semin. Ultrasound CT MRI 2012, 33, 280–287. [Google Scholar] [CrossRef] [PubMed]
- White, C.S.; Salis, A.I.; Meyer, C.A. Missed lung cancer on chest radiography and computed tomography: Imaging and medicolegal issues. J. Thorac. Imaging 1999, 14, 63–68. [Google Scholar] [CrossRef] [PubMed]
- Cai, J.; Xu, D.; Liu, S.; Cham, M.D. The added value of computer-aided detection of small pulmonary nodules and missed lung cancers. J. Thorac. Imaging 2018, 33, 390–395. [Google Scholar] [CrossRef]
- Ebner, L.; Roos, J.E.; Christensen, J.D.; Dobrocky, T.; Leidolt, L.; Brela, B.; Obmann, V.C.; Joy, S.; Huber, A.; Christe, A. Maximum-intensity-projection and computer-aided-detection algorithms as stand-alone reader devices in lung cancer screening using different dose levels and reconstruction kernels. Am. J. Roentgenol. 2016, 207, 282–288. [Google Scholar] [CrossRef]
- Lo, S.B.; Freedman, M.T.; Gillis, L.B.; White, C.S.; Mun, S.K. JOURNAL CLUB: Computer-aided detection of lung nodules on CT with a computerized pulmonary vessel suppressed function. Am. J. Roentgenol. 2018, 210, 480–488. [Google Scholar] [CrossRef] [PubMed]
- Milanese, G.; Eberhard, M.; Martini, K.; De Martini, I.V.; Frauenfelder, T.; Gianluca, M.; Matthias, E.; Katharina, M.; Ilaria, V.D.M.; Thomas, F. Vessel suppressed chest computed tomography for semi-automated volumetric measurements of solid pulmonary nodules. Eur. J. Radiol. 2018, 101, 97–102. [Google Scholar] [CrossRef] [PubMed]
- MacMahon, H.; Naidich, D.P.; Goo, J.M.; Han, B.K.; Leung, A.N.C.; Mayo, J.R.; Mehta, A.C.; Ohno, Y.; Powell, C.A.; Prokop, M.; et al. Guidelines for management of incidental pulmonary nodules detected on CT images: From the Fleischner Society 2017. Radiology 2017, 284, 228–243. [Google Scholar] [CrossRef] [PubMed]
- Ko, J.P.; Azour, L. Management of incidental lung nodules. Semin. Ultrasound CT MRI 2018, 39, 249–259. [Google Scholar] [CrossRef]
- Bow, S.T. Part III. Data Preprocessing for Pictorial Pattern Recognition–Chapter 12. Preprocessing in Spatial Domain. In Pattern Recognition and Image Preprocessing, 2nd ed.; CRC Press: Boca Raton, FL, USA, 2002; pp. 271–357. [Google Scholar]
- Kohli, M.D.; Prevedello, L.M.; Filice, R.W.; Geis, J.R. Implementing machine learning in radiology practice and research. Am. J. Roentgenol. 2017, 208, 1–7. [Google Scholar] [CrossRef]
- Knapp, J. (Riverain Technologies LLC, Miamisburg, OH, USA). Personal communication, 16 July 2020.
- Suzuki, K. A review of computer-aided diagnosis in thoracic and colonic imaging. Quant. Imaging Med. Surg. 2012, 2, 163–176. [Google Scholar] [CrossRef]
- Zhao, Y.; De Bock, G.H.; Vliegenthart, R.; Van Klaveren, R.J.; Wang, Y.; Bogoni, L.; De Jong, P.A.; Mali, W.P.; Van Ooijen, P.M.; Oudkerk, M. Performance of computer-aided detection of pulmonary nodules in low-dose CT: Comparison with double reading by nodule volume. Eur. Radiol. 2012, 22, 2076–2084. [Google Scholar] [CrossRef]
- Tan, M.; Deklerck, R.; Jansen, B.; Bister, M.; Cornelis, J. A novel computer-aided lung nodule detection system for CT images. Med. Phys. 2011, 38, 5630–5645. [Google Scholar] [CrossRef]
- Ye, X.; Lin, X.; Dehmeshki, J.; Slabaugh, G.; Beddoe, G. Shape-based computer-aided detection of lung nodules in thoracic CT images. IEEE Trans. Biomed. Eng. 2009, 56, 1810–1820. [Google Scholar] [CrossRef]
- Jacobs, C.; Sánchez, C.I.; Saur, S.C.; Twellmann, T.; De Jong, P.A.; Van Ginneken, B. Computer-aided detection of ground glass nodules in thoracic CT images using shape, intensity and context features. Comput. Vis. 2011, 14, 207–214. [Google Scholar] [CrossRef]
- Lin, Y.P.; Pan, K.T.; Wu, P.W.; Wang, C.W.; Wu, Y.C.; Yeow, K.M.; Cheung, Y.C.; Wan, Y.L. Analysis and CT findings of lung nodules proved by surgical pathology after CT-guided localization. J. Radiol. Sci. 2018, 43, 133–139. [Google Scholar] [CrossRef]
- Nakata, M.; Saeki, H.; Takata, I.; Segawa, Y.; Mogami, H.; Mandai, K.; Eguchi, K. Focal ground-glass opacity detected by low-dose helical CT. Chest 2002, 121, 1464–1467. [Google Scholar] [CrossRef] [PubMed]
- Li, L.; Liu, Z.; Huang, H.; Lin, M.; Luo, D. Evaluating the performance of a deep learning-based computer-aided diagnosis (DL-CAD) system for detecting and characterizing lung nodules: Comparison with the performance of double reading by radiologists. Thorac. Cancer 2018, 10, 183–192. [Google Scholar] [CrossRef]
- Bogoni, L.; Ko, J.P.; Alpert, J.; Anand, V.; Fantauzzi, J.; Florin, C.H.; Koo, C.W.; Mason, D.; Rom, W.; Shiau, M.; et al. Impact of a computer-aided detection (CAD) system integrated into a picture archiving and communication system (PACS) on reader sensitivity and efficiency for the detection of lung nodules in thoracic CT exams. J. Digit. Imaging 2012, 25, 771–781. [Google Scholar] [CrossRef]
- Jacobs, C.; Van Rikxoort, E.M.; Murphy, K.; Prokop, M.; Schaefer-Prokop, C.M.; Van Ginneken, B. Computer-aided detection of pulmonary nodules: A comparative study using the public LIDC/IDRI database. Eur. Radiol. 2015, 26, 2139–2147. [Google Scholar] [CrossRef]
- Kazerooni, E.A.; Austin, J.H.M.; Black, W.C.; Dyer, D.S.; Hazelton, T.R.; Leung, A.N.; McNitt-Gray, M.F.; Munden, R.F.; Pipavath, S. ACR–STR practice parameter for the performance and reporting of lung cancer screening thoracic computed tomography (CT). J. Thorac. Imaging 2014, 29, 310–316. [Google Scholar] [CrossRef]
- Snoeckx, A.; Reyntiens, P.; Desbuquoit, D.; Spinhoven, M.J.; Van Schil, P.E.; Van Meerbeeck, J.P.; Parizel, P.M. Evaluation of the solitary pulmonary nodule: Size matters, but do not ignore the power of morphology. Insights Imaging 2017, 9, 73–86. [Google Scholar] [CrossRef]
- Kim, H.; Park, C.M.; Koh, J.M.; Lee, S.M.; Goo, J.M. Pulmonary subsolid nodules: What radiologists need to know about the imaging features and management strategy. Diagn. Interv. Radiol. 2013, 20, 47–57. [Google Scholar] [CrossRef]
- Fan, L.; Liu, S.-Y.; Li, Q.-C.; Yu, H.; Xiao, X.-S. Multidetector CT features of pulmonary focal ground-glass opacity: Differences between benign and malignant. Br. J. Radiol. 2012, 85, 897–904. [Google Scholar] [CrossRef]





| Variables | Benign | Malignant | p-Value |
|---|---|---|---|
| Patients (n = 50) | |||
| Age (mean ± SD) | 57.47 ± 10.97 | 55.06 ± 8.33 | 0.399 |
| Gender (n = 50) | 15 (30%) | 35 (70%) | |
| Female (n = 32) | 9 (28.1%) | 23 (71.9%) | 0.754 |
| Male (n = 18) | 6 (33.3%) | 12 (66.7%) | |
| Nodules (n = 75) | 28 (37.3%) | 47 (62.7%) | |
| Diameter (mm) (mean ± SD) | 7.16 ± 3.29 | 7.82 ± 3.06 | 0.193 |
| ≥6 mm | 17 (34.7%) | 32 (65.3%) | 0.618 |
| <6 mm | 11 (42.3%) | 15 (57.7%) | |
| Ground glass nodule (n = 38) | 13 (34.2%) | 25 (65.8%) | 0.743 |
| Peripheral (n = 31) | 11 (35.5%) | 20 (64.5%) | 1.000 |
| Central (n = 7) | 2 (28.6%) | 5 (71.4%) | |
| Part-solid nodule (n = 22) | 2 (9.1%) | 20 (90.9%) | 0.001 |
| Peripheral (n = 15) | 1 (6.7%) | 14 (93.3%) | 1.000 |
| Central (n = 7) | 1 (14.3%) | 6 (85.7%) | |
| Solid (n = 15) | 13 (86.7%) | 2 (13.3%) | <0.001 |
| Peripheral (n = 13) | 11 (84.6%) | 2 (15.4%) | 1.000 |
| Central (n = 2) | 2 (100%) | 0 (0%) | |
| Nodules location | |||
| Upper lobe (n = 33) | 13 (39.4%) | 20 (60.6%) | 0.812 |
| Not upper lobe (n = 42) | 15 (35.7%) | 27 (64.3%) | |
| Peripheral (n = 59) | 23 (39.0%) | 36 (61.0%) | 0.772 |
| Central (n = 16) | 5 (31.2%) | 11 (68.8%) |
| AI vs. Radiologists | Malignant vs. Benign | Pathology | Total | ||
| Malignant | Benign | ||||
| 47 | 28 | 75 | |||
| VS-CAD AI | Malignant | 44 | 17 | 61 | |
| Benign | 3 | 11 | 14 | ||
| Radiologists | Malignant | 42 | 5 | 47 | |
| Benign | 5 | 23 | 28 | ||
| AI vs. Radiologists | Sensitivity | Specificity | Positive Predictive Value | Negative Predictive Value | Accuracy |
| VS-CAD AI | 93.6% (82.5–98.7%) | 39.3% (21.5–59.4%) | 72.1% (65.6–77.9%) | 78.6% (52.8–92.3%) | 73.3% (61.9–82.9%) |
| Radiologists | 89.4% (76.1–96.0%) | 82.1% (62.4–93.2%) | 89.4% (76.1–96.0%) | 82.1% (62.4–93.2%) | 86.7% (76.4–93.1%) |
| p value | 0.712 | 0.003 | 0.050 | 0.999 | 0.066 |
| AI Software for Screening Lung Cancer | Study Data Source | # of Cases (with nodule) | # of Non- nodule Cases | AI Sensitivity | AI FP Rate (per scan) | Evaluated Nodule Size | Radiologists Baseline Performance | Remarks and References # |
|---|---|---|---|---|---|---|---|---|
| VS-CAD AI | Selected cases from the NLST CT arm | 108 (179) | 206 | 90% (cancer) 82% (nodule) | 0.58 | ≥0.5 mm | 60.1% with 0.17 FP/scan | Vessel suppression prior to nodule detection and analysis [22] |
| σ-Discover | Smokers in Beijing and Shenzhen met the inclusion criteria like the NLST | 314 (812) | 32 | 86.2%–96.5% (nodule) | 1.53 | ≥0.3 mm and ≥0.5 mm | 79.2–88% with 0.13 FP/scan | Vessel and artifacts were two main causes of FPs in both σ-Discover and after double reading [36] |
| Syngo Lung CAD Manager | Early Detection Research Network – NYU study cohort | 39 (134) | 4 | 67%–66% (nodule) | 2.8 | ≥0.3 mm and ≥0.5 mm | 44–48% with 0.07 FP/scan | Majority of FPs accepted by radiologists were vessels and peribronchial findings [37] |
© 2020 by the authors. Licensee MDPI, Basel, Switzerland. This article is an open access article distributed under the terms and conditions of the Creative Commons Attribution (CC BY) license (http://creativecommons.org/licenses/by/4.0/).
Share and Cite
Wan, Y.-L.; Wu, P.W.; Huang, P.-C.; Tsay, P.-K.; Pan, K.-T.; Trang, N.N.; Chuang, W.-Y.; Wu, C.-Y.; Lo, S.B. The Use of Artificial Intelligence in the Differentiation of Malignant and Benign Lung Nodules on Computed Tomograms Proven by Surgical Pathology. Cancers 2020, 12, 2211. https://doi.org/10.3390/cancers12082211
Wan Y-L, Wu PW, Huang P-C, Tsay P-K, Pan K-T, Trang NN, Chuang W-Y, Wu C-Y, Lo SB. The Use of Artificial Intelligence in the Differentiation of Malignant and Benign Lung Nodules on Computed Tomograms Proven by Surgical Pathology. Cancers. 2020; 12(8):2211. https://doi.org/10.3390/cancers12082211
Chicago/Turabian StyleWan, Yung-Liang, Patricia Wanping Wu, Pei-Ching Huang, Pei-Kwei Tsay, Kuang-Tse Pan, Nguyen Ngoc Trang, Wen-Yu Chuang, Ching-Yang Wu, and ShihChung Benedict Lo. 2020. "The Use of Artificial Intelligence in the Differentiation of Malignant and Benign Lung Nodules on Computed Tomograms Proven by Surgical Pathology" Cancers 12, no. 8: 2211. https://doi.org/10.3390/cancers12082211
APA StyleWan, Y.-L., Wu, P. W., Huang, P.-C., Tsay, P.-K., Pan, K.-T., Trang, N. N., Chuang, W.-Y., Wu, C.-Y., & Lo, S. B. (2020). The Use of Artificial Intelligence in the Differentiation of Malignant and Benign Lung Nodules on Computed Tomograms Proven by Surgical Pathology. Cancers, 12(8), 2211. https://doi.org/10.3390/cancers12082211

