Small Bowel Adenocarcinomas Featuring Special AT-Rich Sequence-Binding Protein 2 (SATB2) Expression and a Colorectal Cancer-Like Immunophenotype: A Potential Diagnostic Pitfall
Abstract
Simple Summary
Abstract
1. Introduction
2. Results
2.1. Clinico-Pathologic Features of SBA Cases
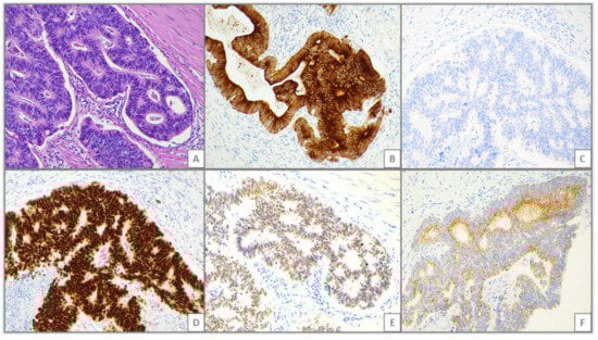
2.2. SATB2 Expression in SBAs and its Association with Clinico-Pathological Features
2.3. Association Between SATB2 and Other Phenotypic Marker Expression in SBAs
2.4. Survival Analysis
3. Discussion
4. Materials and Methods
4.1. Patients
4.2. Histology and Immunohistochemistry
4.3. Statistical Analysis
5. Conclusions
Author Contributions
Funding
Acknowledgments
Conflicts of Interest
References
- Adsay, N.V.; Nagtegaal, I.D.; Reid, M.D. Non-ampullary adenocarcinoma. In WHO Classification of Tumours Editorial Board. Digestive System Tumours, 5th ed.; International Agency for Research on Cancer: Lyon, France, 2019; pp. 124–126. [Google Scholar]
- Pedersen, K.S.; Raghav, K.; Overman, M.J. Small bowel adenocarcinoma: Etiology, presentation, and molecular alterations. J. Natl. Compr. Cancer Netw. 2019, 17, 1135–1141. [Google Scholar] [CrossRef]
- Giuffrida, P.; Vanoli, A.; Arpa, G.; Bonometti, A.; Luinetti, O.; Solcia, E.; Corazza, G.R.; Paulli, M.; Di Sabatino, A. Small bowel carcinomas associated with immune-mediated intestinal disorders: The current knowledge. Cancers 2018, 11, 31. [Google Scholar] [CrossRef]
- Salto-Tellez, M.; Rugge, M. Tumours of the small intestine and ampulla: Introduction. In WHO Classification of Tumours Editorial Board. Digestive System Tumours, 5th ed.; International Agency for Research on Cancer: Lyon, France, 2019; pp. 116–117. [Google Scholar]
- Aparicio, T.; Henriques, J.; Manfredi, S.; Tougeron, D.; Bouché, O.; Pezet, D.; Piessen, G.; Coriat, R.; Zaanan, A.; Legoux, J.L.; et al. Small bowel adenocarcinoma: Results from a nationwide prospective ARCAD-NADEGE cohort study of 347 patients. Int. J. Cancer 2020, 147, 967–977. [Google Scholar] [CrossRef]
- Young, J.I.; Mongoue-Tchokote, S.; Wieghard, N.; Mori, M.; Vaccaro, G.M.; Sheppard, B.C.; Tsikitis, V.L. Treatment and survival of small-bowel adenocarcinoma in the United States: A comparison with colon cancer. Dis. Colon Rectum 2016, 59, 306–315. [Google Scholar] [CrossRef]
- Schrock, A.B.; Devoe, C.E.; McWilliams, R.; Sun, J.; Aparicio, T.; Stephens, P.J.; Ross, J.S.; Wilson, R.; Miller, V.A.; Ali, S.M.; et al. Genomic profiling of small-bowel adenocarcinoma. JAMA Oncol. 2017, 3, 1546–1553. [Google Scholar] [CrossRef]
- Hänninen, U.A.; Katainen, R.; Tanskanen, T.; Plaketti, R.M.; Laine, R.; Hamberg, J.; Ristimäki, A.; Pukkala, E.; Taipale, M.; Mecklin, J.P.; et al. Exome-wide somatic mutation characterization of small bowel adenocarcinoma. PLoS Genet. 2018, 14, e1007200. [Google Scholar] [CrossRef]
- Locher, C.; Batumona, B.; Afchain, P.; Carrère, N.; Samalin, E.; Cellier, C.; Aparicio, T.; Becouarn, Y.; Bedenne, L.; Michel, P.; et al. Small bowel adenocarcinoma: French intergroup clinical practice guidelines for diagnosis, treatments and follow-up (SNFGE, FFCD, GERCOR, UNICANCER, SFCD, SFED, SFRO). Dig. Liver Dis. 2018, 50, 15–19. [Google Scholar] [CrossRef]
- Benson, A.B.; Venook, A.P.; Al-Hawary, M.M.; Arain, M.A.; Chen, Y.J.; Ciombor, K.K.; Cohen, S.A.; Cooper, H.S.; Deming, D.A.; Garrido-Laguna, I.; et al. Small bowel adenocarcinoma, version 1.2020, NCCN clinical practice guidelines in oncology. J. Natl. Compr. Cancer Netw. 2019, 17, 1109–1133. [Google Scholar] [CrossRef]
- Chen, Z.M.; Wang, H.L. Alteration of cytokeratin 7 and cytokeratin 20 expression profile is uniquely associated with tumorigenesis of primary adenocarcinoma of the small intestine. Am. J. Surg. Pathol. 2004, 28, 1352–1359. [Google Scholar] [CrossRef]
- Xue, Y.; Vanoli, A.; Balci, S.; Reid, M.M.; Saka, B.; Bagci, P.; Memis, B.; Choi, H.; Ohike, N.; Tajiri, T.; et al. Non-ampullary-duodenal carcinomas: Clinicopathologic analysis of 47 cases and comparison with ampullary and pancreatic adenocarcinomas. Mod. Pathol. 2017, 30, 255–266. [Google Scholar] [CrossRef]
- Zhang, M.Q.; Lin, F.; Hui, P.; Chen, Z.M.; Ritter, J.H.; Wang, H.L. Expression of mucins, SIMA, villin, and CDX2 in small-intestinal adenocarcinoma. Am. J. Clin. Pathol. 2007, 128, 808–816. [Google Scholar] [CrossRef] [PubMed]
- Lee, M.J.; Lee, H.S.; Kim, W.H.; Choi, Y.; Yang, M. Expression of mucins and cytokeratins in primary carcinomas of the digestive system. Mod. Pathol. 2003, 16, 403–410. [Google Scholar] [CrossRef]
- Lugli, A.; Tzankov, A.; Zlobec, I.; Terracciano, L.M. Differential diagnostic and functional role of the multi-marker phenotype CDX2/CK20/CK7 in colorectal cancer stratified by mismatch repair status. Mod. Pathol. 2008, 21, 1403–1412. [Google Scholar] [CrossRef]
- Kim, C.J.; Baruch-Oren, T.; Lin, F.; Fan, X.S.; Yang, X.J.; Wang, H.L. Value of SATB2 immunostaining in the distinction between small intestinal and colorectal adenocarcinomas. J. Clin. Pathol. 2016, 69, 1046–1050. [Google Scholar] [CrossRef]
- FitzPatrick, D.R.; Carr, I.M.; McLaren, L.; Leek, J.P.; Wightman, P.; Williamson, K.; Gautier, P.; McGill, N.; Hayward, C.; Firth, H.; et al. Identification of SATB2 as the cleft palate gene on 2q32-q33. Hum. Mol. Genet. 2003, 12, 2491–2501. [Google Scholar] [CrossRef]
- Britanova, O.; Akopov, S.; Lukyanov, S.; Gruss, P.; Tarabykin, V. Novel transcription factor Satb2 interacts with matrix attachment region DNA elements in a tissue-specific manner and demonstrates cell-type-dependent expression in the developing mouse CNS. Eur. J. Neurosci. 2005, 21, 658–668. [Google Scholar] [CrossRef]
- Dobreva, G.; Chahrour, M.; Dautzenberg, M.; Chirivella, L.; Kanzler, B.; Fariñas, I.; Karsenty, G.; Grosschedl, R. SATB2 is a multifunctional determinant of craniofacial patterning and osteoblast differentiation. Cell 2006, 125, 971–986. [Google Scholar] [CrossRef]
- Magnusson, K.; de Wit, M.; Brennan, D.J.; Johnson, L.B.; McGee, S.F.; Lundberg, E.; Naicker, K.; Klinger, R.; Kampf, C.; Asplund, A.; et al. SATB2 in combination with cytokeratin 20 identifies over 95% of all colorectal carcinomas. Am. J. Surg. Pathol. 2011, 35, 937–948. [Google Scholar] [CrossRef]
- Ma, C.; Olevian, D.C.; Lowenthal, B.M.; Jayachandran, P.; Kozak, M.M.; Chang, D.T.; Pai, R.K. Loss of SATB2 expression in colorectal carcinoma is associated with DNA mismatch repair protein deficiency and BRAF mutation. Am. J. Surg. Pathol. 2018, 42, 1409–1417. [Google Scholar] [CrossRef]
- Bellizzi, A.M. SATB2 in neuroendocrine neoplasms: Strong expression is restricted to well-differentiated tumours of lower gastrointestinal tract origin and is most frequent in Merkel cell carcinoma among poorly differentiated carcinomas. Histopathology 2020, 76, 251–264. [Google Scholar] [CrossRef]
- De Michele, S.; Remotti, H.E.; Del Portillo, A.; Lagana, S.M.; Szabolcs, M.; Saqi, A. SATB2 in neoplasms of lung, pancreatobiliary, and gastrointestinal origins. Am. J. Clin. Pathol. 2020. [Google Scholar] [CrossRef] [PubMed]
- Chen, Z.M.; Ritter, J.H.; Wang, H.L. Differential expression of alpha-methylacyl coenzyme A racemase in adenocarcinomas of the small and large intestines. Am. J. Surg. Pathol. 2005, 29, 890–896. [Google Scholar] [CrossRef] [PubMed]
- Vanoli, A.; Di Sabatino, A.; Martino, M.; Klersy, C.; Grillo, F.; Mescoli, C.; Nesi, G.; Volta, U.; Fornino, D.; Luinetti, O.; et al. Small bowel carcinomas in celiac or Crohn’s disease: Distinctive histophenotypic, molecular and histogenetic patterns. Mod. Pathol. 2017, 30, 1453–1466. [Google Scholar] [CrossRef] [PubMed]
- Vanoli, A.; Di Sabatino, A.; Furlan, D.; Klersy, C.; Grillo, F.; Fiocca, R.; Mescoli, C.; Rugge, M.; Nesi, G.; Fociani, P.; et al. Small bowel carcinomas in coeliac or Crohn’s disease: Clinico-pathological, molecular, and prognostic features. A study from the Small Bowel Cancer Italian Consortium. J. Crohns Colitis 2017, 11, 942–953. [Google Scholar] [CrossRef]
- Vanoli, A.; Di Sabatino, A.; Martino, M.; Dallera, E.; Furlan, D.; Mescoli, C.; Macciomei, M.C.; Biancone, L.; Neri, B.; Grillo, F.; et al. Epstein-Barr virus-positive ileal carcinomas associated with Crohn’s disease. Virchows Arch. 2017, 471, 549–552. [Google Scholar] [CrossRef]
- Arpa, G.; Grillo, F.; Giuffrida, P.; Nesi, G.; Klersy, C.; Mescoli, C.; Lenti, M.V.; Lobascio, G.; Martino, M.; Latella, G.; et al. Separation of low- versus high-grade Crohn’s disease-associated small bowel carcinomas is improved by invasive front prognostic marker analysis. J. Crohns Colitis 2020, 14, 295–302. [Google Scholar] [CrossRef]
- Giuffrida, P.; Arpa, G.; Grillo, F.; Klersy, C.; Sampietro, G.; Ardizzone, S.; Fociani, P.; Fiocca, R.; Latella, G.; Sessa, F.; et al. PD-L1 in small bowel adenocarcinoma is associated with etiology and tumor-infiltrating lymphocytes, in addition to microsatellite instability. Mod. Pathol. 2020, 33, 1398–1409. [Google Scholar] [CrossRef]
- Bellizzi, A.M. An algorithmic immunohistochemical approach to define tumor type and assign site of origin. Adv. Anat. Pathol. 2020, 27, 114–163. [Google Scholar] [CrossRef]
- Emilsson, L.; Semrad, C.; Lebwohl, B.; Green, P.H.; Ludvigsson, J.F. Risk of small bowel adenocarcinoma, adenomas, and carcinoids in a nationwide cohort of individuals with celiac disease. Gastroenterology 2020. [Google Scholar] [CrossRef]
- Whitcomb, E.; Liu, X.; Xiao, S.Y. Crohn enteritis-associated small bowel adenocarcinomas exhibit gastric differentiation. Hum. Pathol. 2014, 45, 359–367. [Google Scholar] [CrossRef]
- Iwaya, M.; Ota, H.; Tateishi, Y.; Nakajima, T.; Riddell, R.; Conner, J.R. Colitis-associated colorectal adenocarcinomas are frequently associated with non-intestinal mucin profiles and loss of SATB2 expression. Mod. Pathol. 2019, 32, 884–892. [Google Scholar] [CrossRef] [PubMed]
- Overman, M.J.; Pozadzides, J.; Kopetz, S.; Wen, S.; Abbruzzese, J.L.; Wolff, R.A.; Wang, H. Immunophenotype and molecular characterisation of adenocarcinoma of the small intestine. Br. J. Cancer 2010, 102, 144–150. [Google Scholar] [CrossRef] [PubMed]
- González, I.; Goyal, B.; Xia, M.D.; Pai, R.K.; Ma, C. DNA mismatch repair deficiency but not ARID1A loss is associated with prognosis in small intestinal adenocarcinoma. Hum. Pathol. 2019, 85, 18–26. [Google Scholar] [CrossRef] [PubMed]
- Vanoli, A.; Grillo, F.; Guerini, C.; Neri, G.; Arpa, G.; Klersy, C.; Nesi, G.; Giuffrida, P.; Sampietro, G.; Ardizzone, S.; et al. Prognostic role of mismatch repair status, histotype and high-risk pathologic features in stage ii small bowel adenocarcinomas. Ann. Surg. Oncol. 2020. [Google Scholar] [CrossRef] [PubMed]
- Jun, S.; Eom, D.W.; Park, H.; Bae, Y.K.; Jang, K.; Yu, E.; Hong, S. Prognostic significance of CDX2 and mucin expression in small intestinal adenocarcinoma. Mod. Pathol. 2014, 27, 1364–1374. [Google Scholar] [CrossRef]
- Wang, S.; Zhou, J.; Wang, X.Y.; Hao, J.M.; Chen, J.Z.; Zhang, X.M.; Jin, H.; Liu, L.; Zhang, Y.F.; Liu, J.; et al. Down-regulated expression of SATB2 is associated with metastasis and poor prognosis in colorectal cancer. J. Pathol. 2009, 219, 114–122. [Google Scholar] [CrossRef]
- Eberhard, J.; Gaber, A.; Wangefjord, S.; Nodin, B.; Uhlén, M.; Ericson Lindquist, K.; Jirström, K. A cohort study of the prognostic and treatment predictive value of SATB2 expression in colorectal cancer. Br. J. Cancer 2012, 106, 931–938. [Google Scholar] [CrossRef]
- Ma, C.; Olevian, D.; Miller, C.; Herbst, C.; Jayachandran, P.; Kozak, M.M.; Chang, D.T.; Pai, R.K. SATB2 and CDX2 are prognostic biomarkers in DNA mismatch repair protein deficient colon cancer. Mod. Pathol. 2019, 32, 1217–1231. [Google Scholar] [CrossRef]
- Ascolani, M.; Mescoli, C.; Palmieri, G.; Sica, G.; Calabrese, E.; Petruzziello, C.; Onali, S.; Albertoni, L.; Lolli, E.; Condino, G.; et al. Colonic phenotype of the ileum in Crohn’s disease: A prospective study before and after ileocolonic resection. Inflamm. Bowel Dis. 2014, 20, 1555–1561. [Google Scholar] [CrossRef]
- Di Sabatino, A.; Corazza, G.R. Celiac disease. Lancet 2009, 373, 1480–1493. [Google Scholar] [CrossRef]
- Gomollón, F.; Dignass, A.; Annese, V.; Tilg, H.; Van Assche, G.; Lindsay, J.O.; Peyrin-Biroulet, L.; Cullen, G.J.; Daperno, M.; Kucharzik, T.; et al. 3rd European evidence-based consensus on the diagnosis and management of Crohn’s Disease 2016: Part 1: Diagnosis and medical management. J. Crohns Colitis 2017, 11, 3–25. [Google Scholar] [CrossRef] [PubMed]
- Coit, D.G.; Kelsen, D.; Tang, L.H.; Erasmus, J.; Gerdes, H.; Hofstetter, W.L. Small intestine. In AJCC Cancer Staging Manual, 8th ed.; Springer: New York, NY, USA, 2017; pp. 221–234. [Google Scholar]


| Variable | Total | SATB2+ | SATB2− | p-Value |
|---|---|---|---|---|
| Number of cases | 100 | 20 | 80 | |
| Age at SBA diagnosis, years (mean + SD) | 63.6 ± 11.9 | 61.1 ± 15.3 | 0.497 | |
| Male sex, N (%) | 61 | 14 (23) | 47 (77) | 0.446 |
| Site, N (%) | 0.797 | |||
| Duodenum | 11 | 3 (27) | 8 (73) | |
| Jejunum | 45 | 9 (20) | 36 (80) | |
| Ileum | 44 | 8 (18) | 36 (82) | |
| Etiology, N (%) | 0.333 | |||
| Celiac disease | 28 | 7 (25) | 21 (75) | |
| Crohn’s disease | 34 | 4 (12) | 30 (88) | |
| Sporadic | 38 | 9 (24) | 29 (76) | |
| Histologic subtype, N (%) | 0.277 | |||
| Glandular | 63 | 15 (24) | 48 (76) | |
| Medullary | 7 | 2 (29) | 5 (71) | |
| Diffuse | 11 | 0 (0) | 11 (100) | |
| Mixed | 19 | 3 (16) | 16 (84) | |
| Grade, N (%) | 0.496 | |||
| Low | 63 | 14 (22) | 49 (78) | |
| High | 37 | 6 (16) | 31 (84) | |
| AJCC stage, N (%) | 0.876 | |||
| I | 11 | 3 (27) | 8 (73) | |
| II | 49 | 10 (20) | 39 (80) | |
| III | 31 | 5 (16) | 26 (84) | |
| IV | 9 | 2 (22) | 7 (78) | |
| CK20+, N (%) | 62 | 15 (24) | 47 (76) | 0.208 |
| CK7+, N (%) | 33 | 4 (12) | 29 (88) | 0.194 |
| CK patterns, N (%) | 0.243 | |||
| CK7+/CK20+ | 12 | 1 (8) | 11 (92) | |
| CK7−/CK20+ | 50 | 14 (28) | 36 (72) | |
| CK7+/CK20- | 21 | 3 (14) | 18 (86) | |
| CK7−/CK20- | 17 | 2 (12) | 15 (88) | |
| CDX2+, N (%) | 67 | 17 (25) | 50 (75) | 0.066 |
| Profile CK7−/CK20+/CDX2+, N (%) | 46 | 14 (30) | 32 (70) | 0.023 |
| MMR-d, N (%) | 37 | 8 (22) | 29 (78) | 0.798 |
| Variable | No. of Cases (%) | MMR-p, N (%) | MMR-d, N (%) | p-Value |
|---|---|---|---|---|
| CK7 expression | 0.028 | |||
| CK7+ | 33 (33) | 26 (79) | 7 (21) | |
| CK7− | 67 (67) | 37 (55) | 30 (45) | |
| CK20 expression | 0.286 | |||
| CK20+ | 62 (62) | 42 (68) | 20 (32) | |
| CK20− | 38 (38) | 21 (55) | 17 (45) | |
| CK patterns | 0.007 | |||
| CK7+/CK20+ | 12 (12) | 10 (84) | 2 (16) | |
| CK7+/CK20− | 21 (21) | 16 (76) | 5 (24) | |
| CK7−/CK20+ | 50 (50) | 32 (64) | 18 (36) | |
| CK7−/CK20− | 17 (17) | 5 (29) | 12 (71) | |
| CDX2 expression | 0.383 | |||
| CDX2+ | 67 (67) | 40 (60) | 27 (40) | |
| CDX2− | 33 (33) | 23 (70) | 10 (30) | |
| Case | Etiology | Age at SBA Diagnosis | Sex | Site | Histological Subtype | Grade | pT | AJCC Stage | CK20 (%) | CDX2 (%) | SATB2 (H-Score) | AMACR (%) | MMR-d | Status | Follow-up (mo) |
|---|---|---|---|---|---|---|---|---|---|---|---|---|---|---|---|
| #1 | Sporadic | 62 | M | Ileum | Glandular | Low | 4 | 3 | 40 | 90 | 100 | 70 | No | DOD | 3 |
| #2 | Sporadic | 65 | M | Jejunum | Glandular | Low | 3 | 2 | 60 | 90 | 25 | 40 | No | Alive | 37 |
| #3 | Sporadic | 53 | F | Ileum | Glandular | Low | 3 | 2 | 25 | 90 | 210 | 15 | No | Alive | 28 |
| #4 | Sporadic | 82 | M | Jejunum | Glandular | Low | 3 | 3 | 80 | 80 | 20 | 20 | No | Alive | 11 |
| #5 | Celiac | 65 | F | Duodenum | Glandular | Low | 2 | 1 | 60 | 100 | 10 | 70 | No | Alive | 30 |
| #6 | Celiac | 83 | M | Jejunum | Mixed | Low | 3 | 3 | 70 | 100 | 80 | 80 | No | Alive | 12 |
Publisher’s Note: MDPI stays neutral with regard to jurisdictional claims in published maps and institutional affiliations. |
© 2020 by the authors. Licensee MDPI, Basel, Switzerland. This article is an open access article distributed under the terms and conditions of the Creative Commons Attribution (CC BY) license (http://creativecommons.org/licenses/by/4.0/).
Share and Cite
Neri, G.; Arpa, G.; Guerini, C.; Grillo, F.; Lenti, M.V.; Giuffrida, P.; Furlan, D.; Sessa, F.; Quaquarini, E.; Viglio, A.; et al. Small Bowel Adenocarcinomas Featuring Special AT-Rich Sequence-Binding Protein 2 (SATB2) Expression and a Colorectal Cancer-Like Immunophenotype: A Potential Diagnostic Pitfall. Cancers 2020, 12, 3441. https://doi.org/10.3390/cancers12113441
Neri G, Arpa G, Guerini C, Grillo F, Lenti MV, Giuffrida P, Furlan D, Sessa F, Quaquarini E, Viglio A, et al. Small Bowel Adenocarcinomas Featuring Special AT-Rich Sequence-Binding Protein 2 (SATB2) Expression and a Colorectal Cancer-Like Immunophenotype: A Potential Diagnostic Pitfall. Cancers. 2020; 12(11):3441. https://doi.org/10.3390/cancers12113441
Chicago/Turabian StyleNeri, Giuseppe, Giovanni Arpa, Camilla Guerini, Federica Grillo, Marco Vincenzo Lenti, Paolo Giuffrida, Daniela Furlan, Fausto Sessa, Erica Quaquarini, Alessandra Viglio, and et al. 2020. "Small Bowel Adenocarcinomas Featuring Special AT-Rich Sequence-Binding Protein 2 (SATB2) Expression and a Colorectal Cancer-Like Immunophenotype: A Potential Diagnostic Pitfall" Cancers 12, no. 11: 3441. https://doi.org/10.3390/cancers12113441
APA StyleNeri, G., Arpa, G., Guerini, C., Grillo, F., Lenti, M. V., Giuffrida, P., Furlan, D., Sessa, F., Quaquarini, E., Viglio, A., Ubezio, C., Pasini, A., Ferrero, S., Sampietro, G., Ardizzone, S., Latella, G., Mescoli, C., Rugge, M., Zingone, F., ... Vanoli, A. (2020). Small Bowel Adenocarcinomas Featuring Special AT-Rich Sequence-Binding Protein 2 (SATB2) Expression and a Colorectal Cancer-Like Immunophenotype: A Potential Diagnostic Pitfall. Cancers, 12(11), 3441. https://doi.org/10.3390/cancers12113441

