Complete Loss of EPCAM Immunoexpression Identifies EPCAM Deletion Carriers in MSH2-Negative Colorectal Neoplasia
Simple Summary
Abstract
1. Introduction
2. Results
2.1. Immunohistochemical Staining
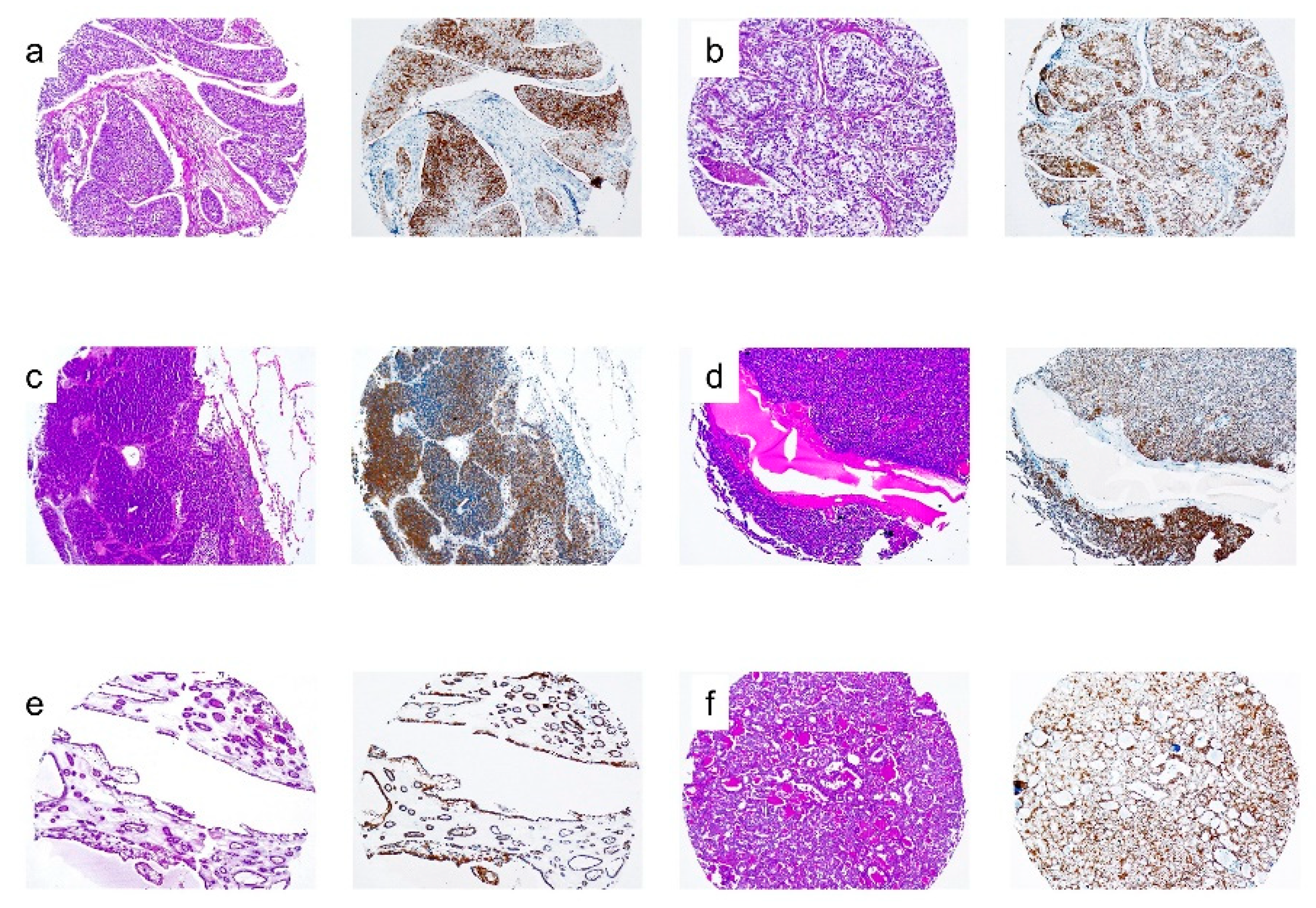
2.1.1. Malignant Neoplasms
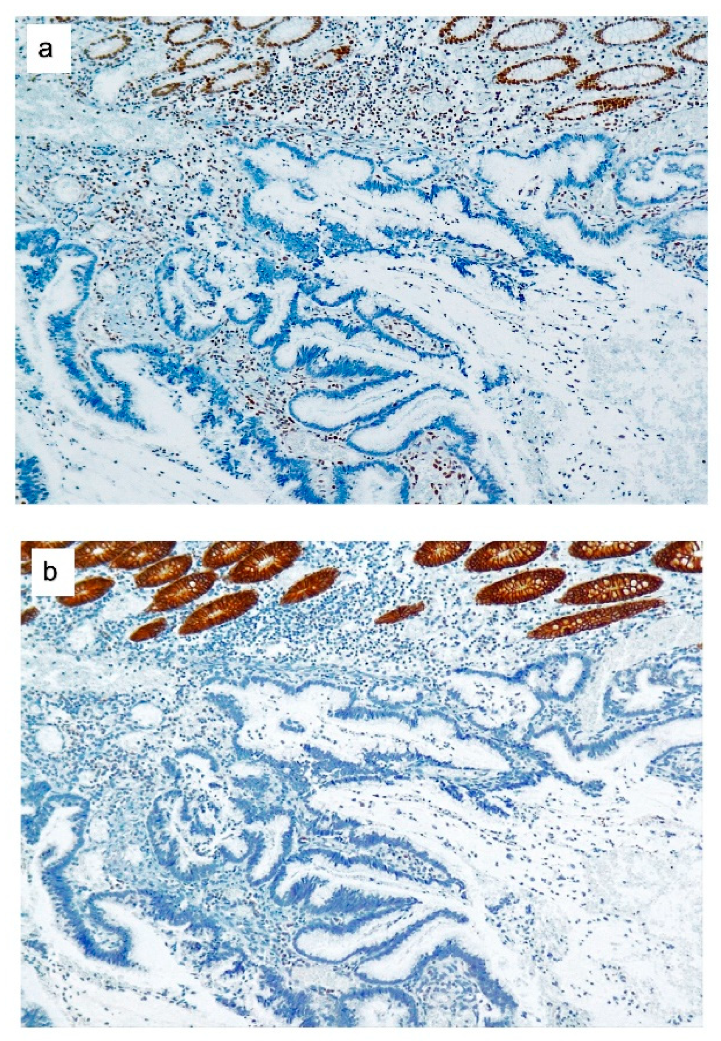
2.1.2. Precursor Lesions of GI Origin (Colorectal Polyps)
2.1.3. Precursor Lesions of Extra-GI Origin and Benign Neoplasms
2.1.4. Relation between MSH2 and EPCAM Immunostaining
2.2. EPCAM Immunostaining in TMAs
2.2.1. Normal Tissues
2.2.2. Tumor Tissues
2.3. Germ-Line Analysis
2.4. Distribution of MSH2 and EPCAM Expression According to Germ-Line-Mutated Genes
2.4.1. MSH2 and EPCAM Expression in Lesions from All Patients
2.4.2. MSH2 and EPCAM Expression in Lesions from EPCAM-3′-End Deletion Carriers
3. Discussion
3.1. MSH2 Expression
3.1.1. MSH2 in Precursor Lesions of GI Origin (Colorectal Polyps)
3.1.2. Aberrant Cytoplasmic MSH2 Expression
3.2. EPCAM Expression
3.2.1. EPCAM Tumor Spectrum
3.2.2. EPCAM Expression in TMAs
3.2.3. EPCAM Expression in Malignant Neoplasms
3.2.4. EPCAM Expression in Precursor Lesions of GI Origin (Colorectal Polyps)
4. Materials and Methods
4.1. Cases
4.2. Tissue Microarrays
4.3. Immunohistochemistry
4.4. Germ-Line Mutations
4.5. Statistical Analysis
5. Conclusions
Supplementary Materials
Author Contributions
Funding
Acknowledgments
Conflicts of Interest
References
- Lynch, H.T.; Snyder, C.L.; Shaw, T.G.; Heinen, C.D.; Hitchins, M.P. Milestones of Lynch syndrome: 1895–2015. Nat. Rev. Cancer 2015, 15, 181–194. [Google Scholar] [CrossRef] [PubMed]
- Tiwari, A.K.; Roy, H.K.; Lynch, H.T. Lynch syndrome in the 21st century: Clinical perspectives. QJM 2016, 109, 151–158. [Google Scholar] [CrossRef] [PubMed]
- Giardiello, F.M.; Allen, J.I.; Axilbund, J.E.; Boland, C.R.; Burke, C.A.; Burt, R.W.; Church, J.M.; Dominitz, J.A.; Johnson, D.A.; Kaltenbach, T.; et al. Guidelines on genetic evaluation and management of Lynch syndrome: A consensus statement by the US Multi-Society Task Force on colorectal cancer. Gastroenterology 2014, 147, 502–526. [Google Scholar] [CrossRef] [PubMed]
- Kovacs, M.E.; Papp, J.; Szentirmay, Z.; Otto, S.; Olah, E. Deletions removing the last exon of TACSTD1 constitute a distinct class of mutations predisposing to Lynch syndrome. Hum. Mutat. 2009, 30, 197–203. [Google Scholar] [CrossRef] [PubMed]
- Jasperson, K.W.; Tuohy, T.M.; Neklason, D.W.; Burt, R.W. Hereditary and familial colon cancer. Gastroenterology 2010, 138, 2044. [Google Scholar] [CrossRef]
- Rumilla, K.; Schowalter, K.V.; Lindor, N.M.; Thomas, B.C.; Mensink, K.A.; Gallinger, S.; Holter, S.; Newcomb, P.A.; Potter, J.D.; Jenkins, M.A.; et al. Frequency of deletions of EPCAM (TACSTD1) in MSH2-associated Lynch syndrome cases. J. Mol. Diagn. 2011, 13, 93–99. [Google Scholar] [CrossRef]
- Niessen, R.C.; Hofstra, R.M.W.; Westers, H.; Ligtenberg, M.J.L.; Kooi, K.; Jager, P.O.J.; de Groote, M.L.; Dijkhuizen, T.; Olderode-Berends, M.J.W.; Hollema, H.; et al. Germline hypermethylation of MLH1 and EPCAM deletions are a frequent cause of Lynch syndrome. Genes Chromosomes Cancer 2009, 48, 737–744. [Google Scholar] [CrossRef]
- Ligtenberg, M.J.L.; Kuiper, R.P.; Chan, T.L.; Goossens, M.; Hebeda, K.M.; Voorendt, M.; Lee, T.Y.H.; Bodmer, D.; Hoenselaar, E.; Hendriks-Cornelissen, S.J.B.; et al. Heritable somatic methylation and inactivation of MSH2 in families with Lynch syndrome due to deletion of the 3′ exons of TACSTD1. Nat. Genet. 2009, 41, 112–117. [Google Scholar] [CrossRef]
- Nagasaka, T.; Rhees, J.; Kloor, M.; Gebert, J.; Naomoto, Y.; Boland, C.R.; Goel, A. Somatic hypermethylation of MSH2 is a frequent event in Lynch Syndrome colorectal cancers. Cancer Res. 2010, 70, 3098–3108. [Google Scholar] [CrossRef]
- Kloor, M.; Voigt, A.Y.; Schackert, H.K.; Schirmacher, P.; von Knebel Doeberitz, M.; Bläker, H. Analysis of EPCAM protein expression in diagnostics of Lynch syndrome. J. Clin. Oncol. 2011, 29, 223–227. [Google Scholar] [CrossRef]
- Huth, C.; Kloor, M.; Voigt, A.Y.; Bozukova, G.; Evers, C.; Gaspar, H.; Tariverdian, M.; Schirmacher, P.; von Knebel Doeberitz, M.; Bläker, H. The molecular basis of EPCAM expression loss in Lynch syndrome-associated tumors. Mod. Pathol. 2012, 25, 911–916. [Google Scholar] [CrossRef] [PubMed]
- Musulen, E.; Blanco, I.; Carrato, C.; Fernandez-Figueras, M.T.; Pineda, M.; Capella, G.; Ariza, A. Usefulness of epithelial cell adhesion molecule expression in the algorithmic approach to Lynch syndrome identification. Hum. Pathol. 2013, 44, 412–416. [Google Scholar] [CrossRef] [PubMed]
- Musulén, E.; Sanz, C.; Muñoz-Mármol, A.M.; Ariza, A. Mismatch repair protein immunohistochemistry: A useful population screening strategy for Lynch syndrome. Hum. Pathol. 2014, 45, 1388–1396. [Google Scholar] [CrossRef] [PubMed]
- Spaepen, M.; Neven, E.; Sagaert, X.; De Hertogh, G.; Beert, E.; Wimmer, K.; Matthijs, G.; Legius, E.; Brems, H. EPCAM germline and somatic rearrangements in Lynch syndrome: Identification of a novel 3′EPCAM deletion. Genes Chromosomes Cancer 2013, 52, 845–854. [Google Scholar] [CrossRef] [PubMed]
- Kim, J.H.; Bae, J.M.; Song, Y.S.; Cho, N.Y.; Lee, H.S.; Kang, G.H. Clinicopathologic, molecular, and prognostic implications of the loss of EPCAM expression in colorectal carcinoma. Oncotarget 2016, 7, 13372–13387. [Google Scholar] [CrossRef]
- Kempers, M.J.E.; Kuiper, R.P.; Ockeloen, C.W.; Chappuis, P.O.; Hutter, P.; Rahner, N.; Schackert, H.K.; Steinke, V.; Holinski-Feder, E.; Morak, M.; et al. Risk of colorectal and endometrial cancers in EPCAM deletion-positive Lynch syndrome: A cohort study. Lancet Oncol. 2011, 12, 49–55. [Google Scholar] [CrossRef]
- Perez-Cabornero, L.; Sanz, M.I.; Sampedro, E.V.; Aras, E.L.; Becares, A.A.; Pino, C.M.; Dominguez, M.D. Frequency of rearrangements in lynch syndrome cases associated with MSH2: Characterization of a New deletion involving both EPCAM and the 5′ part of MSH2. Cancer Prev. Res. 2011, 4, 1556–1562. [Google Scholar] [CrossRef]
- Ryan, E.; Sheahan, K.; Creavin, B.; Mohan, H.M.; Winter, D.C. The current value of determining the mismatch repair status of colorectal cancer: A rationale for routine testing. Crit. Rev. Oncol. Hematol. 2017, 116, 38–57. [Google Scholar] [CrossRef]
- Vangala, D.B.; Cauchin, E.; Balmaña, J.; Wyrwicz, L.; van Cutsem, E.; Güller, U.; Castells, A.; Carneiro, F.; Hammel, P.; Ducreux, M.; et al. Screening and surveillance in hereditary gastrointestinal cancers: Recommendations from the European Society of Digestive Oncology (ESDO) expert discussion at the 20th European Society for Medical Oncology (ESMO)/World Congress on Gastrointestinal Cancer. Eur. J. Cancer 2018, 104, 91–103. [Google Scholar] [CrossRef]
- Schiffman, M.; Doorbar, J.; Wentzensen, N.; de Sanjosé, S.; Fakhry, C.; Monk, B.J.; Stanley, M.A.; Franceschi, S. Carcinogenic human papillomavirus infection. Nat. Rev. Dis. Prim. 2016, 2, 16086. [Google Scholar] [CrossRef]
- Konstantinou, E.; Fotopoulou, F.; Drosos, A.; Dimakopoulou, N.; Zagoriti, Z.; Niarchos, A.; Makrynioti, D.; Kouretas, D.; Farsalinos, K.; Lagoumintzis, G.; et al. Tobacco-specific nitrosamines: A literature review. Food Chem. Toxicol. 2018, 118, 198–203. [Google Scholar] [CrossRef] [PubMed]
- Kahn, R.M.; Gordhandas, S.; Maddy, B.P.; Baltich Nelson, B.; Askin, G.; Christos, P.J.; Caputo, T.A.; Chapman-Davis, E.; Holcomb, K.; Frey, M.K. Universal endometrial cancer tumor typing: How much has immunohistochemistry, microsatellite instability, and MLH1 methylation improved the diagnosis of Lynch syndrome across the population? Cancer 2019, 125, 3172–3183. [Google Scholar] [CrossRef] [PubMed]
- Ryan, N.A.J.; Glaire, M.A.; Blake, D.; Cabrera-Dandy, M.; Evans, D.G.; Crosbie, E.J. The proportion of endometrial cancers associated with Lynch syndrome: A systematic review of the literature and meta-analysis. Genet. Med. 2019, 21, 2167–2180. [Google Scholar] [CrossRef] [PubMed]
- Porkka, N.K.; Olkinuora, A.; Kuopio, T.; Ahtiainen, M.; Eldfors, S.; Almusa, H.; Mecklin, J.-P.; Peltomäki, P. Does breast carcinoma belong to the Lynch syndrome tumor spectrum?—Somatic mutational profiles vs. ovarian and colorectal carcinomas. Oncotarget 2020, 11, 1244. [Google Scholar] [CrossRef]
- Iino, H.; Simms, L.; Young, J.; Arnold, J.; Winship, I.M.; Webb, S.I.; Furlong, K.L.; Leggett, B.; Jass, J.R. DNA microsatellite instability and mismatch repair protein loss in adenomas presenting in hereditary non-polyposis colorectal cancer. Gut 2000, 47, 37–42. [Google Scholar] [CrossRef]
- De Jong, A.E.; Morreau, H.; Van Puijenbroek, M.; Eilers, P.H.; Wijnen, J.; Nagengast, F.M.; Griffioen, G.; Cats, A.; Menko, F.H.; Kleibeuker, J.H.; et al. The role of mismatch repair gene defects in the development of adenomas in patients with HNPCC. Gastroenterology 2004, 126, 42–48. [Google Scholar] [CrossRef]
- Sekine, S.; Mori, T.; Ogawa, R.; Tanaka, M.; Yoshida, H.; Taniguchi, H.; Nakajima, T.; Sugano, K.; Yoshida, T.; Kato, M.; et al. Mismatch repair deficiency commonly precedes adenoma formation in Lynch Syndrome-Associated colorectal tumorigenesis. Mod. Pathol. 2017, 30, 1144–1151. [Google Scholar] [CrossRef]
- Dabir, P.D.; Bruggeling, C.E.; van der Post, R.S.; Dutilh, B.E.; Hoogerbrugge, N.; Ligtenberg, M.J.L.; Boleij, A.; Nagtegaal, I.D. Microsatellite instability screening in colorectal adenomas to detect Lynch syndrome patients? A systematic review and meta-analysis. Eur. J. Hum. Genet. 2020, 28, 277–286. [Google Scholar] [CrossRef]
- Pino, M.S.; Mino-Kenudson, M.; Wildemore, B.M.; Ganguly, A.; Batten, J.; Sperduti, I.; Iafrate, A.J.; Chung, D.C. Deficient DNA mismatch repair is common in lynch syndrome-associated colorectal adenomas. J. Mol. Diagn. 2009, 11, 238. [Google Scholar] [CrossRef]
- van Lier, M.G.F.; Leenen, C.H.M.; Wagner, A.; Ramsoekh, D.; Dubbink, H.J.; van den Ouweland, A.M.W.; Westenend, P.J.; de Graaf, E.J.R.; Wolters, L.M.M.; Vrijland, W.W.; et al. Yield of routine molecular analyses in colorectal cancer patients ≤70 years to detect underlying Lynch syndrome. J. Pathol. 2012, 226, 764–774. [Google Scholar] [CrossRef]
- Walsh, M.D.; Buchanan, D.D.; Pearson, S.-A.; Clendenning, M.; Jenkins, M.A.; Win, A.K.; Walters, R.J.; Spring, K.J.; Nagler, B.; Pavluk, E.; et al. Immunohistochemical testing of conventional adenomas for loss of expression of mismatch repair proteins in Lynch syndrome mutation carriers: A case series from the Australasian site of the colon cancer family registry. Mod. Pathol. 2012, 25, 722–730. [Google Scholar] [CrossRef] [PubMed]
- Yurgelun, M.B.; Goel, A.; Hornick, J.L.; Sen, A.; Turgeon, D.K.; Ruffin, M.T.; Marcon, N.E.; Baron, J.A.; Bresalier, R.S.; Syngal, S.; et al. Microsatellite instability and DNA mismatch repair protein deficiency in lynch syndrome colorectal polyps. Cancer Prev. Res. 2012, 5, 574–582. [Google Scholar] [CrossRef] [PubMed]
- Halvarsson, B.; Lindblom, A.; Johansson, L.; Lagerstedt, K.; Nilbert, M. Loss of mismatch repair protein immunostaining in colorectal adenomas from patients with hereditary nonpolyposis colorectal cancer. Mod. Pathol. 2005, 18, 1095–1101. [Google Scholar] [CrossRef]
- Valo, S.; Kaur, S.; Ristimäki, A.; Renkonen-Sinisalo, L.; Järvinen, H.; Mecklin, J.-P.; Nyström, M.; Peltomäki, P. DNA hypermethylation appears early and shows increased frequency with dysplasia in Lynch syndrome-associated colorectal adenomas and carcinomas. Clin. Epigenet. 2015, 7, 71. [Google Scholar] [CrossRef] [PubMed]
- Basterra, M.; Gomez, M.; Mercado, M.D.R.; Irisarri, R.; Amorena, E.; Arrospide, A.; Montes, M.; Aisa, G.; Cambra, K.I.; Urman, J. Prevalence of altered mismatch repair protein nuclear expression detected by immunohistochemistry on adenomas with high-grade dysplasia and features associated with this risk in a population-based study. Gastroenterol. Hepatol. 2016, 39, 500–507. [Google Scholar] [CrossRef]
- Tanaka, M.; Nakajima, T.; Sugano, K.; Yoshida, T.; Taniguchi, H.; Kanemitsu, Y.; Nagino, M.; Sekine, S. Mismatch repair deficiency in Lynch syndrome-associated colorectal adenomas is more prevalent in older patients. Histopathology 2016, 69, 322–328. [Google Scholar] [CrossRef]
- Meijer, T.W.H.; Hoogerbrugge, N.; Nagengast, F.M.; Ligtenberg, M.J.L.; van Krieken, J.H.J.M. In Lynch syndrome adenomas, loss of mismatch repair proteins is related to an enhanced lymphocytic response. Histopathology 2009, 55, 414–422. [Google Scholar] [CrossRef]
- Sekine, S.; Ogawa, R.; Saito, S.; Ushiama, M.; Shida, D.; Nakajima, T.; Taniguchi, H.; Hiraoka, N.; Yoshida, T.; Sugano, K. Cytoplasmic MSH2 immunoreactivity in a patient with Lynch syndrome with an EPCAM-MSH2 fusion. Histopathology 2017, 70, 664–669. [Google Scholar] [CrossRef]
- Sivagnanam, M.; Mueller, J.L.; Lee, H.; Chen, Z.; Nelson, S.F.; Turner, D.; Zlotkin, S.H.; Pencharz, P.B.; Ngan, B.-Y.; Libiger, O.; et al. Identification of EpCAM as the gene for congenital tufting enteropathy. Gastroenterology 2008, 135, 429–437. [Google Scholar] [CrossRef]
- Pathak, S.J.; Mueller, J.L.; Okamoto, K.; Das, B.; Hertecant, J.; Greenhalgh, L.; Cole, T.; Pinsk, V.; Yerushalmi, B.; Gurkan, O.E.; et al. EPCAM mutation update: Variants associated with congenital tufting enteropathy and Lynch syndrome. Hum. Mutat. 2019, 40, 142–161. [Google Scholar] [CrossRef]
- Lynch, H.T.; Lynch, J.F.; Snyder, C.L.; Riegert-Johnson, D. EPCAM deletions, Lynch syndrome, and cancer risk. Lancet Oncol. 2011, 12, 5–6. [Google Scholar] [CrossRef]
- Grandval, P.; Baert-Desurmont, S.; Bonnet, F.; Bronner, M.; Buisine, M.-P.; Colas, C.; Noguchi, T.; North, M.-O.; Rey, J.-M.; Tinat, J.; et al. Colon-specific phenotype in Lynch syndrome associated with EPCAM deletion. Clin. Genet. 2012, 82, 97–99. [Google Scholar] [CrossRef] [PubMed]
- Schmelzer, E.; Reid, L.M. EpCAM expression in normal, non-pathological tissues. Front. Biosci. 2008, 13, 3096–3100. [Google Scholar] [CrossRef] [PubMed]
- Spizzo, G.; Fong, D.; Wurm, M.; Ensinger, C.; Obrist, P.; Hofer, C.; Mazzoleni, G.; Gastl, G.; Went, P. EpCAM expression in primary tumour tissues and metastases: An immunohistochemical analysis. J. Clin. Pathol. 2011, 64, 415–420. [Google Scholar] [CrossRef] [PubMed]
- Giuffrè, G.; Müller, A.; Brodegger, T.; Bocker-Edmonston, T.; Gebert, J.; Kloor, M.; Dietmaier, W.; Kullmann, F.; Büttner, R.; Tuccari, G.; et al. Microsatellite analysis of hereditary nonpolyposis colorectal cancer-associated colorectal adenomas by laser-assisted microdissection: Correlation with mismatch repair protein expression provides new insights in early steps of tumorigenesis. J. Mol. Diagn. 2005, 7, 160–170. [Google Scholar] [CrossRef]
- Shia, J.; Stadler, Z.K.; Weiser, M.R.; Vakiani, E.; Mendelsohn, R.; Markowitz, A.J.; Shike, M.; Boland, C.R.; Klimstra, D.S. Mismatch repair deficient-crypts in non-neoplastic colonic mucosa in Lynch syndrome: Insights from an illustrative case. Fam. Cancer 2015, 14, 61–68. [Google Scholar] [CrossRef]
- Pai, R.K.; Dudley, B.; Karloski, E.; Brand, R.E.; O’Callaghan, N.; Rosty, C.; Buchanan, D.D.; Jenkins, M.A.; Thibodeau, S.N.; French, A.J.; et al. DNA mismatch repair protein deficient non-neoplastic colonic crypts: A novel indicator of Lynch syndrome. Mod. Pathol. 2018, 31, 1608–1618. [Google Scholar] [CrossRef]
- Susswein, L.R.; Marshall, M.L.; Nusbaum, R.; Postula, K.J.V.; Weissman, S.M.; Yackowski, L.; Vaccari, E.M.; Bissonnette, J.; Booker, J.K.; Cremona, M.L.; et al. Pathogenic and likely pathogenic variant prevalence among the first 10,000 patients referred for next-generation cancer panel testing. Genet. Med. 2016, 18, 823. [Google Scholar] [CrossRef]
- Thompson, B.A.; Spurdle, A.B.; Plazzer, J.P.; Greenblatt, M.S.; Akagi, K.; Al-Mulla, F.; Bapat, B.; Bernstein, I.; Capellá, G.; den Dunnen, J.T.; et al. Application of a 5-tiered scheme for standardized classification of 2360 unique mismatch repair gene variants in the InSiGHT locus-specific database. Nat. Genet. 2014, 46, 107–115. [Google Scholar] [CrossRef]





| Malignant Neoplasms | MSH2 Expression | p-Value | EPCAM Expression | p-Value | |||||
|---|---|---|---|---|---|---|---|---|---|
| − | + | Total | − | + | Total | ||||
| I | NI | ||||||||
| Location | 0.000 | 0.000 | |||||||
| GI | |||||||||
| Stomach | 1 | 0 | 0 | 0 | 1 | ||||
| Duodenum | 2 | 0 | 0 | 0 | 2 | ||||
| Colon, unknown | 20 | 0 | 4 | 0 | 16 | ||||
| Right colon | 24 | 0 | 5 | 0 | 19 | ||||
| Left colon | 8 | 0 | 1 | 0 | 7 | ||||
| Rectum | 6 | 0 | 0 | 0 | 6 | ||||
| Pancreas | 1 | 0 | 0 | 0 | 1 | ||||
| Endometrium | 15 | 2 | 0 | 0 | 17 | ||||
| Skin | 6 | 0 | 0 | 6 | 0 | ||||
| Urinary bladder | 3 | 2 | 0 | 0 | 5 | ||||
| Ovary | 2 | 0 | 0 | 0 | 2 | ||||
| Lip | 1 | 0 | 0 | 1 | 0 | ||||
| Breast | 0 | 1 | 0 | 1 | 0 | ||||
| Adrenal gland | 1 | 0 | 0 | 1 | 0 | ||||
| Renal Pelvis | 1 | 0 | 0 | 0 | 1 | ||||
| Ureter | 1 | 0 | 0 | 0 | 1 | ||||
| Prostate | 1 | 0 | 0 | 0 | 1 | ||||
| Unknown | 1 | 0 | 0 | 0 | 1 | ||||
| 94 | 5 | 99 | 10 | 9 | 80 | 99 | |||
| Mutated gene | 0.62 | 0.003 | |||||||
| EPCAM | 21 | 0 | 10 | 11 | |||||
| EPCAM-MSH2 | 2 | 0 | 0 | 2 | |||||
| MSH2 | 69 | 5 | 9 | 65 | |||||
| Unknown | 2 | 0 | 0 | 2 | |||||
| 94 | 5 | 99 | 19 | 80 | 99 | ||||
| Colorectal Polyps | MSH2 Expression | p-Value | EPCAM Expression | p-Value | ||||||
|---|---|---|---|---|---|---|---|---|---|---|
| − | + | Total | − | + | Total | |||||
| I | NI | |||||||||
| CL | FL | |||||||||
| Location | 0.178 | 0.08 | ||||||||
| Right colon | 21 | 16 | 1 | 0 | 0 | 36 | ||||
| Left colon and rectum | 17 | 8 | 1 | 4 | 0 | 20 | ||||
| Unknown | 8 | 1 | 0 | 1 | 0 | 8 | ||||
| 46 | 25 | 71 | 2 | 5 | 0 | 64 | 71 | |||
| Size (mm) | 0.020 | 0.597 | ||||||||
| ≤5 | 14 | 16 | 0 | 2 | 0 | 28 | ||||
| 6-10 | 21 | 7 | 1 | 3 | 0 | 24 | ||||
| ≥11 | 11 | 2 | 1 | 0 | 0 | 12 | ||||
| 46 | 25 | 71 | 2 | 5 | 0 | 64 | 71 | |||
| Histology | 0.018 | 0.766 | ||||||||
| TA | 25 | 10 | 1 | 2 | 0 | 32 | ||||
| TVA | 2 | 0 | 0 | 0 | 0 | 2 | ||||
| HP | 0 | 4 | 0 | 0 | 0 | 4 | ||||
| SSL | 15 | 11 | 1 | 2 | 0 | 23 | ||||
| TSA | 4 | 0 | 0 | 1 | 0 | 3 | ||||
| 46 | 25 | 71 | 2 | 5 | 0 | 64 | 71 | |||
| Dysplasia | 0.000 | 0.086 | ||||||||
| WD | 1 | 9 | 0 | 0 | 0 | 10 | ||||
| LGD | 19 | 9 | 0 | 1 | 0 | 27 | ||||
| HGD | 26 | 7 | 2 | 4 | 0 | 27 | ||||
| 46 | 25 | 71 | 2 | 5 | 0 | 64 | 71 | |||
| Mutated gene | 0.042 | 0.000 | ||||||||
| EPCAM | 13 | 2 | 1 | 4 | 0 | 10 | ||||
| EPCAM-MSH2 | 3 | 0 | 1 | 1 | 0 | 1 | ||||
| MSH2 | 30 | 23 | 0 | 0 | 0 | 53 | ||||
| 46 | 25 | 71 | 2 | 5 | 0 | 64 | 71 | |||
| MSH2 Expression | p-Value | EPCAM Expression | p-Value | ||||||
|---|---|---|---|---|---|---|---|---|---|
| − | + | Total | − | + | Total | ||||
| I | NI | ||||||||
| Lesion | |||||||||
| Benign | 8 | 0 | 0 | 8 | 0 | ||||
| Precursor extra GI | 6 | 3 | 0 | 3 | 6 | ||||
| 14 | 3 | 17 | 0 | 11 | 6 | 17 | |||
| Location | 0.000 | ||||||||
| Skin | 8 | 0 | 0 | 8 | 0 | ||||
| Breast | 0 | 1 | 0 | 1 | 0 | ||||
| Cervix | 0 | 2 | 0 | 2 | 0 | ||||
| Endometrium | 6 | 0 | 0 | 0 | 6 | ||||
| 14 | 3 | 17 | 0 | 11 | 6 | 17 | |||
| Histology | 0.004 | ||||||||
| Sebaceoma | 3 | 0 | 0 | 3 | 0 | ||||
| Sebaceous adenoma | 5 | 0 | 0 | 5 | 0 | ||||
| DCIS | 0 | 1 | 0 | 1 | 0 | ||||
| HSIL | 0 | 2 | 0 | 2 | 0 | ||||
| SH | 2 | 0 | 0 | 0 | 2 | ||||
| CH | 4 | 0 | 0 | 0 | 4 | ||||
| 14 | 3 | 17 | 0 | 11 | 6 | 17 | |||
| Mutated gene | 0.22 | ||||||||
| MSH2 | 14 | 1 | 0 | 9 | 6 | ||||
| EPCAM | 0 | 2 | 0 | 2 | 0 | ||||
| 14 | 3 | 17 | 0 | 11 | 6 | 17 | |||
| EPCAM Expression | p-Value | |||||
|---|---|---|---|---|---|---|
| − | + | Total | ||||
| I | NI | |||||
| 17 | 16 | 0.165 | ||||
| MSH2 expression | - | 33 | 121 | 154 | ||
| 0 | 4 | |||||
| + | 4 | 29 | 33 | |||
| Total | 37 | 150 | 187 | |||
| Lesions From EPCAM 3′-End Deletion Carriers | MSH2 Expression | p-Value | EPCAM Expression | p-Value | ||||||
|---|---|---|---|---|---|---|---|---|---|---|
| (−) | (+) | Total | (−) | (+) | Total | |||||
| I | NI | |||||||||
| CL | FL | |||||||||
| 0.000 | 0.510 * | |||||||||
| Malignant neoplasms | 23 | 0 | 10 | 0 | 0 | 13 | ||||
| Colorectal polyps | 16 | 2 | 2 | 5 | 0 | 11 | ||||
| Precursor lesions extra-GI origin | 0 | 2 | 0 | 0 | 2 | 0 | ||||
| 39 | 4 | 43 | 12 | 5 | 2 | 24 | 43 | |||
| Normal Tissues | EPCAM Expression | Tumor Tissues | EPCAM Expression | ||
|---|---|---|---|---|---|
| 1 | Parotid | + weak | 1 | Pleomorphic adenoma | − |
| 2 | Myoepithelioma | − | |||
| 3 | Mucoepidermoid carcinoma | + | |||
| 2 | Thyroid | + | 4 | Papillary carcinoma | + |
| 5 | Follicular adenoma | + | |||
| 6 | Medullary carcinoma | − | |||
| 3 | Parathyroid | + | 7 | Parathyroid adenoma | + |
| 4 | Lung # | − | 8 | Squamous cell lung carcinoma | + |
| 9 | Lung adenocarcinoma | + | |||
| 10 | Bronchial-alveolar carcinoma | + | |||
| 11 | Lung neuroendocrine carcinoma | + | |||
| 5 | Lymph node | − | 12 | Large cell diffuse B-cell lymphoma | − |
| 13 | Chronic lymphocytic leukemia | − | |||
| 14 | Follicular lymphoma | − | |||
| 15 | Mantle lymphoma | − | |||
| 16 | Peripheral T lymphoma | − | |||
| 17 | T angioimmunoblastic lymphoma | − | |||
| 6 | Thymus | − | 18 | Thymoma | − |
| 7 | Esophagus | − | 19 | Squamous cell esophageal carcinoma | − |
| 8 | Stomach α | − | 20 | Intestinal gastric adenocarcinoma | + |
| 21 | Diffuse gastric adenocarcinoma | + | |||
| 9 | Small bowel | + | 22 | Carcinoma | + |
| 10 | Colon | + | 23 | Colon adenocarcinoma | + |
| 11 | Liver β | − | 24 | Hepatic adenoma | − |
| 25 | Hepatocellular carcinoma | − | |||
| 26 | Cholangiocarcinoma | + | |||
| 12 | Pancreas δ | + | 27 | Pancreatic ductal adenocarcinoma | + |
| 28 | Neuroendocrine carcinoma | + | |||
| 13 | Kidney ε | + | 29 | Renal clear cell carcinoma | + weak |
| 30 | Chromophobe renal cell carcinoma | + | |||
| 31 | Kidney oncocytoma | − | |||
| 14 | Adrenal gland | − | 32 | Adrenal adenoma | − |
| 33 | Adrenal carcinoma | − | |||
| 34 | Pheochromocytoma | − | |||
| 15 | Prostate | + | 35 | Prostate adenocarcinoma | + |
| 16 | Testis | − | 36 | Testicular seminoma | + |
| 37 | Testicular yolk sac carcinoma | + | |||
| 38 | Testicular embryonic carcinoma | + | |||
| 17 | Endometrium | + | 39 | Endometrioid carcinoma | + |
| 18 | Endocervix | + | 40 | Squamous cell carcinoma of cervix | − |
| 19 | Ovary | - | 41 | Serous papillary carcinoma | + |
| 42 | Clear cell carcinoma | + | |||
| 20 | Urinary bladder | − | 43 | Low-grade urothelial carcinoma | + weak |
| 44 | High-grade urothelial carcinoma | + weak | |||
| 21 | Breast | + | 45 | Fibroadenoma | + |
| 46 | Ductal carcinoma | + weak | |||
| 47 | Lobular carcinoma | + weak | |||
| 22 | Skin | − | 48 | Skin melanoma | − |
| 49 | Merkel cell carcinoma | − | |||
| 50 | Kaposi’s sarcoma | − | |||
| 23 | Skeletal muscle | 51 | Rhabdomyosarcoma | − | |
| 24 | Smooth muscle | 52 | Leiomyoma | − | |
| 53 | Leiomyosarcoma | − | |||
| Others | Others | ||||
| 25 | White matter | − | 54 | Malignant mesothelioma | − |
| 26 | Gray matter | − | 55 | Pituitary adenoma | − |
| 27 | Cerebellum | − | 56 | Synovial sarcoma | − |
| 28 | Palatine tonsil | − | 57 | Schwannoma peripheral nerve | − |
| 29 | Spleen | − | |||
| 30 | Myocardium | − | |||
| 31 | Placenta | − | |||
| 32 | Adipose tissue | − | |||
| 33 | Seminal vesicle | + | |||
| 34 | Aorta | − | |||
| Mutated Genes | MSH2 Expression | p-Value | EPCAM Expression | p-Value | |||||
|---|---|---|---|---|---|---|---|---|---|
| - | + | Total | − | + | Total | ||||
| I | NI | ||||||||
| 0.311 | 0.000 * | ||||||||
| EPCAM | 34 | 4 | 38 | 15 | 2 | 21 | 38 | ||
| EPCAM-MSH2 | 5 | 0 | 5 | 2 | 0 | 3 | 5 | ||
| MSH2 | 113 | 29 | 142 | 0 | 18 | 124 | 142 | ||
| Unknown | 2 | 0 | 2 | 0 | 0 | 2 | 2 | ||
| 154 | 33 | 187 | 17 | 20 | 150 | 187 | |||
| Lesion From EPCAM 3′-End Deletion Carriers | MSH2 Expression | p-Value | EPCAM Expression | p-Value * | ||||||
|---|---|---|---|---|---|---|---|---|---|---|
| (−) | (+) | Total | (−) | (+) | Total | |||||
| I | NI | |||||||||
| CL | FL | |||||||||
| 0.000 | 0.510 * | |||||||||
| Malignant neoplasms | ||||||||||
| Location | ||||||||||
| Stomach | 1 | 0 | 0 | 0 | 0 | 1 | ||||
| Duodenum | 1 | 0 | 0 | 0 | 0 | 1 | ||||
| Colon and rectum | 19 | 0 | 10 | 0 | 0 | 9 | ||||
| Endometrium | 1 | 0 | 0 | 0 | 0 | 1 | ||||
| Ovary | 1 | 0 | 0 | 0 | 0 | 1 | ||||
| 23 | 0 | 23 | 10 | 0 | 0 | 13 | 23 | |||
| Colorectal polyps | ||||||||||
| Histology | ||||||||||
| TA | 6 | 0 | 1 | 2 | 0 | 3 | ||||
| TVA | 1 | 0 | 0 | 0 | 0 | 1 | ||||
| HP | 0 | 2 | 0 | 0 | 0 | 2 | ||||
| SSL | 7 | 0 | 1 | 2 | 0 | 4 | ||||
| TSA | 2 | 0 | 0 | 1 | 0 | 1 | ||||
| 16 | 2 | 18 | 2 | 5 | 0 | 11 | 18 | |||
| Precursor lesions extra-GI origin | ||||||||||
| Location | ||||||||||
| Cervix | 0 | 2 | 2 | 0 | 0 | 2 | 0 | 2 | ||
| 43 | 43 | |||||||||
| Mutated gene | 0.598 | 0.665 * | ||||||||
| EPCAM | 34 | 4 | 15 | 0 | 0 | 21 | ||||
| EPCAM-MSH2 | 5 | 0 | 2 | 0 | 0 | 3 | ||||
| 39 | 4 | 43 | 17 | 0 | 0 | 24 | 43 | |||
© 2020 by the authors. Licensee MDPI, Basel, Switzerland. This article is an open access article distributed under the terms and conditions of the Creative Commons Attribution (CC BY) license (http://creativecommons.org/licenses/by/4.0/).
Share and Cite
Cuatrecasas, M.; Gorostiaga, I.; Riera, C.; Saperas, E.; Llort, G.; Costa, I.; Matias-Guiu, X.; Carrato, C.; Navarro, M.; Pineda, M.; et al. Complete Loss of EPCAM Immunoexpression Identifies EPCAM Deletion Carriers in MSH2-Negative Colorectal Neoplasia. Cancers 2020, 12, 2803. https://doi.org/10.3390/cancers12102803
Cuatrecasas M, Gorostiaga I, Riera C, Saperas E, Llort G, Costa I, Matias-Guiu X, Carrato C, Navarro M, Pineda M, et al. Complete Loss of EPCAM Immunoexpression Identifies EPCAM Deletion Carriers in MSH2-Negative Colorectal Neoplasia. Cancers. 2020; 12(10):2803. https://doi.org/10.3390/cancers12102803
Chicago/Turabian StyleCuatrecasas, Míriam, Iñigo Gorostiaga, Cristina Riera, Esteban Saperas, Gemma Llort, Irmgard Costa, Xavier Matias-Guiu, Cristina Carrato, Matilde Navarro, Marta Pineda, and et al. 2020. "Complete Loss of EPCAM Immunoexpression Identifies EPCAM Deletion Carriers in MSH2-Negative Colorectal Neoplasia" Cancers 12, no. 10: 2803. https://doi.org/10.3390/cancers12102803
APA StyleCuatrecasas, M., Gorostiaga, I., Riera, C., Saperas, E., Llort, G., Costa, I., Matias-Guiu, X., Carrato, C., Navarro, M., Pineda, M., Dueñas, N., Brunet, J., Marco, V., Trias, I., Busteros, J. I., Mateu, G., Balaguer, F., Fernández-Figueras, M.-T., Esteller, M., & Musulén, E. (2020). Complete Loss of EPCAM Immunoexpression Identifies EPCAM Deletion Carriers in MSH2-Negative Colorectal Neoplasia. Cancers, 12(10), 2803. https://doi.org/10.3390/cancers12102803

