Modulation of the Morphological Architecture of Mn2O3 Nanoparticles to MnCoO Nanoflakes by Loading Co3+ Via a Co-Precipitation Approach for Mosquitocidal Development
Abstract
1. Introduction
2. Experimental Section
2.1. Reagents
2.2. Synthesis of Mn2O3 and MnCoO, Mn:Co (75:25 wt.%) Nanoparticles
2.3. Characterization of the Prepared Samples
2.4. Mosquito Rearing
2.5. Larvicidal Activity
2.6. Scanning Electron Microscopy (SEM)
2.7. Histopathological Examination
3. Results and Discussion
3.1. Phase Content and Purity of the Chemical Composition
3.2. Morphological and Thermal Analysis
3.3. Optical Analysis
3.4. Toxicity of Nanoparticles to Larvae and Pupae of C. Pipiens
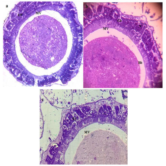
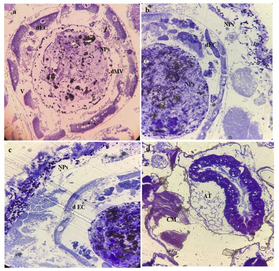
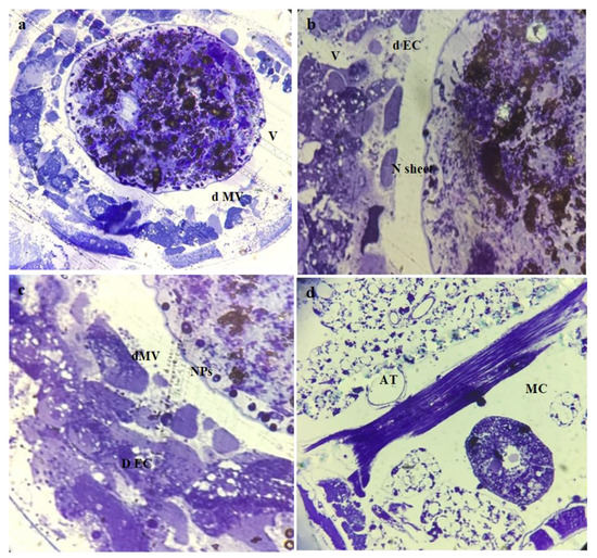
3.5. Histological Observations of Treated Larvae and Pupa
4. Conclusions
Author Contributions
Funding
Data Availability Statement
Conflicts of Interest
References
- Ogunsonaa, E.O.; Muthuraj, R.; Ojogboa, E.; Valerioc, O.; Mekonnen, T.H. Engineered nanomaterials for antimicrobial applications: A review. Appl. Mater. Today 2020, 18, 100473. [Google Scholar] [CrossRef]
- World Health Organization (WHO). Dengue and Severe Dengue. 2022. Available online: https://www.who.int/news-room/fact-sheets/detail/dengue-and-severe-dengue (accessed on 30 April 2022).
- Attia, M.M.; Soliman, S.M.; Khalaf, M.A. Hydrophilic nanosilica as a new larvicidal and molluscicidal agent for controlling of major infectious diseases in Egypt. Vet. World 2017, 10, 1046–1051. [Google Scholar] [CrossRef]
- Benelli, G.; Beier, J.C. Current vector control challenges in the fight against malaria. Acta Trop. 2017, 174, 91–96. [Google Scholar] [CrossRef] [PubMed]
- Hamama, H.M.; Zyaan, O.H.; Ali, O.A.A.; Saleh, D.I.; El-Akkad, H.A.; El-Saadony, M.T.; Farag, S.M. Virulence of entomopathogenic fungi against Culex pipiens: Impact on biomolecules availability and life table parameters. Saudi J. Biol. Sci. 2022, 29, 385–393. [Google Scholar] [CrossRef] [PubMed]
- Githeko, A.K.; Lindsay, S.W.; Confalonieri, U.E.; Patz, J.A. Climate change and vector-borne diseases: A regional analysis. Bull. World Health Org. Anophels 2000, 78, 1136–1147. [Google Scholar]
- Haider, Z.; Ahmad, F.Z.; Mahmood, A.; Waseem, T.; Shafiq, I.; Raza, T.; Qazi, J.; Siddique, N.; Humayun, M.A. Dengue fever in Pakistan: A paradigm shift; changing epidemiology and clinical patterns. Perspect. Public Health 2015, 135, 294–298. [Google Scholar] [CrossRef]
- Isman, M.B. A renaissance for botanical insecticides? Pest Manag. Sci. 2015, 71, 1587–1590. [Google Scholar] [CrossRef]
- Shenashen, M.A.; Emran, M.Y.; El Sabagh, A.; Selim, M.M.; Elmarakbi, A.; El-Safty, S.A. Progress in sensory devices of pesticides, pathogens, coronavirus, and chemical additives and hazards in food assessment: Food safety concerns. Prog. Mater. Sci. 2022, 124, 100866. [Google Scholar]
- Cestaro, R.; Schweizer, P.; Philippe, L.; Maeder, X.; Serr, A. Phase and microstructure control of electrodeposited Manganese Oxide with enhanced optical properties. Appl. Surf. Sci. 2022, 580, 152289. [Google Scholar] [CrossRef]
- Noelson, E.A.; Anandkumar, M.; Marikkannan, M.; Ragavendran, V.; Sagadevan, T.A.; Annaraj, S.J.; Mayandi, J. Excellent photocatalytic activity of Ag2O loaded ZnO/NiO nanocomposites in sun-light and their biological applications. Chem. Phys. Lett. 2022, 796, 139566. [Google Scholar] [CrossRef]
- Mohamed, R.A.; Ghazali, N.M.; Kassem, L.M.; Elgazzar, E.; Mostafa, W.A. Synthesis of MnCoO/CNT nanoflakes for the photocatalytic degradation of methyl orange dye and the evaluation of their activity against Culex pipiens larvae in the purification of fresh water. RSC Adv. 2022, 12, 29048. [Google Scholar] [CrossRef]
- Nethravathi, P.V.; Suresh, D. Silver-doped ZnO embedded reduced graphene oxide hybrid nanostructured composites for superior photocatalytic hydrogen generation, dye degradation, nitrite sensing and antioxidant activities. Inorg. Chem. Commun. 2021, 134, 109051. [Google Scholar] [CrossRef]
- Liu, J.; Wang, Y.; Ma, J.; Peng, Y.; Wang, A. A review on bidirectional analogies between the photocatalysis and antibacterial properties of ZnO. J. Alloys Compd. 2019, 783, 898–918. [Google Scholar] [CrossRef]
- Kelani, K.M.; Abdel-Raoof, A.M.; Ashmawy, A.M.; Omran, G.A.; Morshedy, S.; Ahmed, M.; Nassar, W.; Talaat, W.; Elgazzar, E. Electrochemical determination of dinitolmide in poultry product samples using a highly sensitive Mn2O3/MCNTs-NPs carbon paste electrode aided by greenness assessment tools. Food Chem. 2022, 382, 131702. [Google Scholar] [CrossRef]
- Lin, J.; Song, T.; Liu, Z.; Yang, D.; Xiang, R.; Hua, W.; Wan, H. Effects of biodegradable biomedical porous MnO2 nanoparticles on blood components and functions. Colloids Surf. B Biointerfaces 2022, 217, 112667. [Google Scholar] [CrossRef] [PubMed]
- Siddique, M.; Fayaz, N.; Saeed, M. Synthesis, characterization, photocatalytic activity, and gas sensing properties of zinc doped manganese oxide nanoparticle. Phys. B 2012, 602, 412504. [Google Scholar] [CrossRef]
- Dral, A.B.; Elshof, J.E. 2D metal oxide nanoflakes for sensing applications: Review and perspective. Sens. Actuators B. Chem. 2018, 272, 369–392. [Google Scholar] [CrossRef]
- Yang, X.; Peng, W.; Fu, K.; Mao, L.; Jin, J.; Yang, S.; Li, G. Nanocomposites of honeycomb double-layered MnO2 nanosheets/cobalt doped hollow carbon nanofibers for application in supercapacitor and primary zinc-air battery. Electrochim. Acta 2020, 340, 135989. [Google Scholar] [CrossRef]
- Okeke, I.S.; Agwu, K.K.; Ubachukwu, A.A.; Ezema, F.I. Influence of transition metal doping on physiochemical and antibacterial properties of ZnO–Nanoparticles: A review. Appl. Surf. Sci. Adv. 2022, 8, 100227. [Google Scholar] [CrossRef]
- Mohamed, R.A.; Mostafa, W.A.; Kassem, L.M.; Ghazali, N.M.; El-Shamy, A.G. Comparative Study of Larvicidal Activity of Spinel Co3O4 Nanorods and Entomopathogenic Metarhizium brunneum Conidia against Culex pipiens. Molecules 2022, 27, 7035. [Google Scholar] [CrossRef] [PubMed]
- Islam, M.A.; Ali, I.; Abdul Karim, S.M.; Firoz, M.S.; Chowdhury, A.; Morton, D.W.; Angove, M.J. Removal of dye from polluted water using novel nano manganese oxidebased materials. J. Water Process Eng. 2019, 32, 100911. [Google Scholar] [CrossRef]
- Mostafa, W.A.; Elgazzar, E.; Beall, G.W.; Rashed, S.S.; Rashad, E.M. Insecticidal effect of zinc oxide and aluminum oxide nanoparticles synthesized by co-precipitation technique on Culex quinquefasciatus larvae (Diptera: Culicidae). Int. J. Appl. Res. 2018, 4, 290–297. [Google Scholar]
- Salem, S.S.; Fouda, M.M.; Fouda, A.; Awad, M.A.; Al-Olayan, E.M.; Allam, A.A.; Shaheen, T.I. Antibacterial, cytotoxicity and larvicidal activity of green synthesized selenium nanoparticles using Penicillium corylophilum. J. Clust. Sci. 2020, 32, 351–361. [Google Scholar] [CrossRef]
- Bancroft, J.D.; Gamble, M. Theory, and Practice of Histological Techniques, 6th ed.; Livingstone, C., Ed.; Elsevier: Beijing, China, 2008. [Google Scholar]
- Hou, H.; Li, J.; Lan, J.; Chen, F.; Huang, B. Porous walnut-like Mn2O3 anode derived from the waste graphene production effluent. J. Porous Mater. 2022, 29, 837–847. [Google Scholar] [CrossRef]
- Yadav, V.; Shukla, R.; Sharma, K.S. Impact of Zn-doped Manganese Oxide Nanoparticles on Structural and Optical Properties. J. Sci. Res. 2022, 14, 867–876. [Google Scholar] [CrossRef]
- Zhao, Y.; Liu, C.; Yi, R.; Li, Z.; Chen, Y.; Li, Y.; Mitrovic, I.; Taylor, S.; Chalker, P.; Yang, L.; et al. Facile preparation of Co3O4 nanoparticles incorporating with highly conductive MXene nanosheets as high-performance anodes for lithium-ion batteries. Electrochim. Acta 2020, 345, 136203. [Google Scholar] [CrossRef]
- Elgazzar, E.; Attala, K.; Abdel-Atty, S.; Abdel-Raoof, A.M. A screen printed methodology optimized by molecular dynamics simulation and Lean Six Sigma for the determination of xylometazoline in the presence of benzalkonium chloride in nasal drops. Talanta 2022, 242, 123321. [Google Scholar] [CrossRef]
- Kumari, K.; Kumar, S.; Huh, S.; Kumar, A.; Kim, M.; Shin, M.; Devi, N.; Koo, B. Effect of PVP Assisted Growth of α-Mn2O3 Nanoparticles on the Structural, Microstructural, Magnetic and Optical Properties. J. Electron. Mater. 2022, 51, 5842–5856. [Google Scholar] [CrossRef]
- Yu, M.; Sun, Y.; Du, H.; Wang, C.; Li, W.; Dong, R.; Sun, H.; Geng, B. Hollow porous carbon spheres doped with a low content of Co3O4 as anode materials for high performance lithium-ion batteries. Electrochim. Acta 2019, 317, 562–569. [Google Scholar] [CrossRef]
- Abdel-Atty, S.; Abdel-Raoof, A.M.; Mohamed, T.F.; Nasr, Z.A.; Mohamed, G.F.; Elgazzar, E. The Fabrication of a Highly Sensitive Nano Green Carbon Paste Electrode Modified with Yttrium Doped Manganese Oxide (Mn2O3/Y2O3) for Electrochemical Determination of Marbofloxacin and Its Residues in Bovine Meat and Milk Samples. J. Electrochem. Soc. 2020, 167, 107509. [Google Scholar] [CrossRef]
- Abdel-Raoof, A.M.; Osman, A.O.; El-Desouky, E.A.; Abdel-Fattah, A.; Abdul-Kareem, R.F.; Elgazzar, E. Fabrication of an (α-Mn2O3:Co)-decorated CNT highly sensitive screen printed electrode for the optimization and electrochemical determination of cyclobenzaprine hydrochloride using response surface methodology. RSC Adv. 2020, 10, 24985. [Google Scholar] [CrossRef] [PubMed]
- Qasim, M.; Hou, J.; Qadeer, M.A.; Butt, S.; Farooq, M.H.; Farooq, M.Q.; Idrees, F.; Tanveer, M.; Zou, J.; Tahir, M. Nitrogen-Doped Carbon Nanosheets Decorated with Mn2O3 Nanoparticles for Excellent Oxygen Reduction Reaction. Front. Chem. 2019, 7, 741. [Google Scholar] [CrossRef] [PubMed]
- Ramesh, S.; Amiriyan, M.; Meenaloshini, S.; Tolouei, R.; Hamdi, M.; Pruboloksono, J.; Teng, W.D. Densification behavior and properties of manganese oxide doped Y-TZP ceramics. Ceram. Int. 2011, 37, 3583–3590. [Google Scholar] [CrossRef]
- Swathi, S.; Yuvakkumar, R.; Senthil Kumar, P.; Ravi, G.; Thambidurai, M.; Dang, C.; Velauthapillai, D.; Vo, D.N. Nickel and cobalt co-doped MnCO3 nanostructures for water oxidation reaction. Int. J. Hydrog. Energy 2022, 47, 30810–30818. [Google Scholar] [CrossRef]
- Augustin, M.; Fenske, D.; Bardenhagen, I.; Westphal, A.; Knipper, M.; Plaggenborg, T.; Kolny-Olesiak, J.; Parisi, J. Manganese oxide phases and morphologies: A study on calcination temperature and atmospheric dependence. Beilstein J. Nanotechnol. 2015, 6, 47–59. [Google Scholar] [CrossRef]
- Rajyashree, L.; Manoharan, C.; Loganathan, A.; Venkateshwarlu, M.; Arasumani, S. The effect of reaction temperature on structural and morphological properties of Mn2O3 nanoparticles and its application of electrochemical and gas sensor. Mater. Technol. 2022, 37, 3051–3062. [Google Scholar] [CrossRef]
- Khalaji, A.D.; Ghorbani, M. Mn2O3 Nanoparticles Synthesized from Thermal Decomposition of Manganese (II) Schiff Base Complexes. Acta Phys. Pol. A 2018, 133, 7–9. [Google Scholar] [CrossRef]
- Vignesh, R.; Prabha, C.N.; Sivakumar, R.; Sanjeeviraja, C. Optical constants, optical dispersion, and group index parameters of Mn2O3 thin films. Phys. B 2022, 624, 413431. [Google Scholar] [CrossRef]
- Amsaveni, P.; Nivetha, A.; Sakthivel, C.; Philip, C.S.; Prabha, I. Effectiveness of surfactants for unique hierarchical Mn2O3 nanomaterials as enhanced oxidative catalysts, antibacterial agents, and photocatalysts. J. Phys. Chem. Solids 2020, 144, 109429. [Google Scholar] [CrossRef]
- Bayram, O.; İgman, E.; Guney, H.; Simsek, O. The role of cobalt doping on the optical and structural properties of Mn3O4 nanostructured thin films obtained by SILAR technique. Superlattices Microstruct. 2019, 128, 212–220. [Google Scholar] [CrossRef]
- Pugazhvadivu, K.S.; Ramachandran, K.; Tamilarasan, K. Synthesis and Characterization of Cobalt doped Manganese Oxide Nanoparticles by Chemical Route. Phys. Procedia 2013, 49, 205–216. [Google Scholar] [CrossRef]
- Kainat, K.M.; Ali, F.; Faisal, S.; Rizwan, M.; Hussain, Z.; Zaman, N.; Afsheen, Z.; Uddin, M.N.; Bibi, N. Exploring the therapeutic potential of Hibiscus rosa sinensis synthesized cobalt oxide (Co3O4 -NPs) and magnesium oxide nanoparticles (MgO-NPs). Saudi J. Biol. Sci. 2021, 28, 5157–5167. [Google Scholar] [CrossRef] [PubMed]
- Surachetpong, W.; Pakpour, N.; Cheung, K.W.; Luckhart, S. Reactive oxygen species-dependent cell signaling regulates the mosquito immune response to Plasmodium falciparum. Antioxid. Redox Signal. 2011, 14, 943–955. [Google Scholar] [CrossRef]
- Caragata, E.P.; Dutra, H.L.; Moreira, L.A. Exploiting intimate relationships: Controlling mosquito-transmitted disease with Wolbachia. Trends Parasitol. 2016, 32, 207–218. [Google Scholar] [CrossRef]
- Magdolenova, Z.; Collins, A.; Kumar, A.; Dhawan, A.; Stone, V.; Dusinska, M. Mechanisms of genotoxicity. A review of in vitro and in vivo studies with engineered nanoparticles. Nanotoxicology 2014, 8, 233–278. [Google Scholar] [CrossRef]
- Leung, Y.H.; Ng, A.M.C.; Xu, X.; Shen, Z.; Gethings, L.A.; Wong, M.T.; Chan, C.M.N.; Guo, M.Y.; Ng, Y.H.; Djurišić, A.B.; et al. Mechanisms of antibacterial activity of MgO: Non-ROS mediated toxicity of MgO nanoparticles towards Escherichia coli. Small 2014, 10, 1171–1183. [Google Scholar] [CrossRef] [PubMed]
- Somerton, B.; Lindsay, D.; Palmer, J.; Brooks, J.; Flint, S. Changes in sodium, calcium, and magnesium ion concentrations that inhibit Geobacillus biofilms have no effect on Anoxybacillus flavithermus biofilms. Appl. Environ. Microbiol. 2015, 81, 5115–5122. [Google Scholar] [CrossRef]
- Sheplay, A.W.; Bradley, T.J. A comparative study of magnesium sulphate tolerance in saline-water mosquito larvae. J. Insect Physiol. 1982, 28, 641–646. [Google Scholar] [CrossRef]
- Abutaha, N.; Mashaly, A.M.A.; Al-Mekhalfi, F.A.; Muhammed, F.; Al-shami, M.; Wadaan, M.A. Larvicidal activity of endophytic fungal extract of Cochliobolus spicifer on Aedes caspius and Culex pipiens (Diptera: Culicidae). Appl. Entomol. Zool. 2015, 50, 405–414. [Google Scholar] [CrossRef]
- Al-Mekhlaf, F.A. Larvicidal, ovicidal activities and histopathological alterations induced by Carum copticum (Apiaceae) extract against Culex pipiens (Diptera: Culicidae). Saudi J. Biol. Sci. 2018, 25, 52–56. [Google Scholar] [CrossRef] [PubMed]
- Hixson, B.; Taracena, M.L.; Buchon, N. Midgut epithelial dynamics are central to mosquitoes’ physiology and fitness, and to the transmission of vector borne disease. Front. Cell. Infect. Microbiol. 2021, 11, 653156. [Google Scholar] [CrossRef] [PubMed]
- Gusmão, D.S.; Páscoa, V.; Mathias, L.; Vieira, I.J.C.; Braz-Filho, R.; Lemos, F.J.A. Derris (Lonchocarpus) urucu (leguminosae) extract modifies the peritrophic matrix structure of Aedes aegypti (Diptera: Culicidae). Mem. Inst. Oswaldo Cruz 2002, 97, 371–375. [Google Scholar] [CrossRef] [PubMed]
- Sundararajan, B.; Kumari, B.D.R. Novel synthesis of gold nanoparticles using Artemisia vulgaris L. leaf extract and their efficacy of larvicidal activity against dengue fever vector Aedes aegypti L. J. Trace Elem. Med. Biol. 2017, 43, 187–196. [Google Scholar] [CrossRef]
- Feng, Q.L.; Wu, J.; Chen, G.Q.; Cui, F.Z.; Kim, T.N.; Kim, J.O. A mechanistic study of the antibacterial effect of silver ions on Escherichia coli and Staphylococcus aureus. J. Biomed. Mater. Res. 2002, 52, 662–668. [Google Scholar] [CrossRef]
- Patil, S.V.; Borase, H.P.; Patil, C.D.; Salunke, B.K. Biosynthesis of silver nanoparticles using latex from few Euphorbian plants and their antimicrobial potential. Appl. Biochem. Biotechnol. 2012, 167, 776–790. [Google Scholar] [CrossRef]
- Fiaz, M.; Martínez, L.C.; Da Silva Costa, M.; Cossolin, J.F.S.; Plata-Rueda, A.; Gonçalves, W.G.; Sant’Ana, A.E.G.; Zanuncio, J.C.; Serrão, J.E. Squamocin induce histological and ultrastructural changes in the midgut cells of Anticarsia gemmatalis (Lepidoptera: Noctuidae). Ecotoxicol. Environ. Saf. 2018, 156, 1–8. [Google Scholar] [CrossRef] [PubMed]
- Martínez, L.C.; Plata-Rueda, A.; Da Silva Neves, G.; Gonçalves, W.G.; Zanuncio, J.C.; Bozdoğan, H.; Serrão, J.E. Permethrin induces histological and cytological changes in the midgut of the predatory bug, Podisus nigrispinus. Chemosphere 2018, 212, 629–637. [Google Scholar] [CrossRef] [PubMed]
- Kalimuthua, K.; Panneerselvamb, C.; Chouc, C.; Tseng, L.; Murugand, K.; Tsai, K.; Alarfajf, A.A.; Higuchi, A.; Canale, A.; Hwang, J.; et al. Control of dengue and Zika virus vector Aedes aegypti using the predatory copepod Megacyclops formosanus: Synergy with Hedychium coronarium-synthesized silver nanoparticles and related histological changes in targeted mosquitoes. Process Saf. Environ. Prot. 2017, 9, 82–96. [Google Scholar] [CrossRef]
- Shamseldean, M.S.M.; Attia, M.M.; Korany, R.M.S.; Othamn, N.A.; Allam, S.F.M. Insecticidal efficacy of nanomaterials used to control mosquito, Culex quinquefasciatus Say, 1823 with special reference to their hepatotoxicity in rats. Biosci. Rep. 2022, 42, BSR20220630. [Google Scholar] [CrossRef] [PubMed]
- Borase, H.P.; Patil, C.D.; Salunkhe, R.B.; Salunke, B.K.; Patil, S.V. Mosquito larvicidal and silver nanoparticles synthesis potential of some plant latex. J. Entomol. Acarol. Res. 2014, 46, 59–65. [Google Scholar] [CrossRef]
- Nalini, M.; Lena, M.; Sumathi, P.; Sundaravadivelan, C. Effect of phyto-synthesized silver nanoparticles on developmental stages of malaria vector, Anopheles stephensi and dengue vector, Aedes aegypti. Egypt J. Basic Appl. Sci. 2017, 4, 212–218. [Google Scholar] [CrossRef]











| Nanoparticles | Larval Mortality | LC50 | LC90 (ppm) | Regression Equation | Pupal Mortality | LC50 (ppm) | Regression Equation | |
|---|---|---|---|---|---|---|---|---|
| Conc.(ppm) | (Mean ± S.E) | (95%LCU: UCL) | (X2) | (Mean ± S.E) | (95%LCU: UCL) | (X2) | ||
| Mn2O3 | 100 | 25 ± 0.478 a | 182.94 (168.90:196.0) | 324.56 (300.11: 359.40) | Y = −2.25 + (X × 0.125) (9.87) | 10 ± 0.288 a | 277.83 (258.14:305.64) | Y= −2.5 + 0.1 X (8.24) |
| 150 | 36 ± 0.408 b | 15 ± 0.478 b | ||||||
| 200 | 56 ± 0.577 c | 30 ± 0.645 c | ||||||
| 250 | 70 ± 0.645 d | 45 ± 0.629 d | ||||||
| 300 | 88 ± 1.22 e | 60 ± 0.912 d | ||||||
| CoMnO | 100 | 36 ± 0.408 a | 159.78 (147.10:171.20) | 263.20 (246.26:286.13) | Y = −1.83 + (X × 0.133) (14.06) | 16 ± 0.408 a | 227.40 (212.53:244.44) | Y= −2.75 + 0.125 X (6.46) |
| 150 | 48 ± 0.324 b | 16 ± 0.408 a | ||||||
| 200 | 63 ± 0.478 c | 42 ± 0.645 c | ||||||
| 250 | 86 ± 0.645 d | 58 ± 0.288 d | ||||||
| 300 | 100 ± 0.00 e | 71 ± 1.030 d | ||||||
Disclaimer/Publisher’s Note: The statements, opinions and data contained in all publications are solely those of the individual author(s) and contributor(s) and not of MDPI and/or the editor(s). MDPI and/or the editor(s) disclaim responsibility for any injury to people or property resulting from any ideas, methods, instructions or products referred to in the content. |
© 2023 by the authors. Licensee MDPI, Basel, Switzerland. This article is an open access article distributed under the terms and conditions of the Creative Commons Attribution (CC BY) license (https://creativecommons.org/licenses/by/4.0/).
Share and Cite
Mohamed, R.A.; Kassem, L.M.; Ghazali, N.M.; Elgazzar, E.; Mostafa, W.A. Modulation of the Morphological Architecture of Mn2O3 Nanoparticles to MnCoO Nanoflakes by Loading Co3+ Via a Co-Precipitation Approach for Mosquitocidal Development. Micromachines 2023, 14, 567. https://doi.org/10.3390/mi14030567
Mohamed RA, Kassem LM, Ghazali NM, Elgazzar E, Mostafa WA. Modulation of the Morphological Architecture of Mn2O3 Nanoparticles to MnCoO Nanoflakes by Loading Co3+ Via a Co-Precipitation Approach for Mosquitocidal Development. Micromachines. 2023; 14(3):567. https://doi.org/10.3390/mi14030567
Chicago/Turabian StyleMohamed, Rania A., Lamyaa M. Kassem, Niveen M. Ghazali, Elsayed Elgazzar, and Wageha A. Mostafa. 2023. "Modulation of the Morphological Architecture of Mn2O3 Nanoparticles to MnCoO Nanoflakes by Loading Co3+ Via a Co-Precipitation Approach for Mosquitocidal Development" Micromachines 14, no. 3: 567. https://doi.org/10.3390/mi14030567
APA StyleMohamed, R. A., Kassem, L. M., Ghazali, N. M., Elgazzar, E., & Mostafa, W. A. (2023). Modulation of the Morphological Architecture of Mn2O3 Nanoparticles to MnCoO Nanoflakes by Loading Co3+ Via a Co-Precipitation Approach for Mosquitocidal Development. Micromachines, 14(3), 567. https://doi.org/10.3390/mi14030567

