A Comparison of the Anti-Tumor Effects of a Chimeric versus Murine Anti-CD19 Immunotoxins on Human B Cell Lymphoma and Pre-B Acute Lymphoblastic Leukemia Cell Lines
Abstract
:1. Introduction
2. Materials and Methods
2.1. Construction and Expression of the cHD37 MAb
2.2. Purification of cHD37
2.3. Preparation of ITs
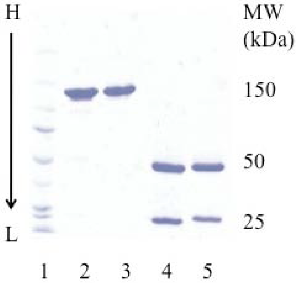
2.4. Sodium Dodecyl Sulfate Polyacrylamide Gel Electrophoresis (SDS-PAGE)
2.5. Cells
2.6. Antigen-Binding Activity of ITs and MAbs
2.7. [3H]Thymidine Incorporation
2.8. Therapy of SCID/NALM-6 Mice
3. Results
3.1. Construction, Expression and Purification of cHD37
3.2. Preparation of ITs


3.3. Binding of ITs and MAbs to CD19+ Cells

3.4. Cytotoxicity of the ITs in Vitro

3.5. Therapeutic Efficacy of the ITs in SCID/NALM-6 Mice

4. Discussion
Acknowledgments
References
- Xie, Y.; Davies, S.M.; Yiang, Y.; Robison, L.L.; Ross, J.A. Trends in leukemia incidence and survival in the United States (1973-1998). Cancer 2003, 97, 2229–2235. [Google Scholar] [CrossRef] [PubMed]
- Moricke, A.; Reiter, A.; Zimmermann, M.; Gadner, H.; Stanulla, M.; Dördelmann, M.; Löning, L.; Beier, R.; Ludwig, W.D.; Ratei, R.; et al. Risk-adjusted therapy of acute lymphoblastic leukemia can decrease treatment burden and improve survival: Treatment results of 2169 unselected pediatric and adolescent patients enrolled in the trial ALL-BFM 95. Blood 2008, 111, 4477–4489. [Google Scholar] [PubMed]
- Hoelzer, D.; Gökbuget, N.; Ottmann, O.; Pui, C.H.; Relling, M.V.; Appelbaum, F.R.; van Dongen, J.J.M.; Szczepanski, T. Acute lymphoblastic leukemia. Hematol. Am. Soc. Hematol. Educ. Progr. 2002, 162–192. [Google Scholar]
- Pui, C.H.; Evans, W.E. Treatment of acute lymphoblastic leukemia. N. Engl. J. Med. 2006, 354, 166–178. [Google Scholar] [CrossRef] [PubMed]
- Chabner, B.A.; Roberts, T.G., Jr. Timeline: Chemotherapy and the war on cancer. Nat. Rev. Cancer 2005, 5, 65–72. [Google Scholar] [CrossRef] [PubMed]
- Bhat, S.A.; Czuczman, M.S. Novel antibodies in the treatment of non-Hodgkin’s lymphoma. Neth. J. Med. 2009, 67, 311–321. [Google Scholar] [PubMed]
- Stashenko, P.; Nadler, L.M.; Hardy, R.; Schlossman, S.F. Characterization of a human B lymphocyte-specific antigen. J. Immunol. 1980, 125, 1678–1685. [Google Scholar]
- Press, O.W.; Howell-Clark, J.; Anderson, S.; Bernstein, I. Retention of B-cell-specific monoclonal antibodies by human lymphoma cells. Blood 1994, 83, 1390–1397. [Google Scholar] [PubMed][Green Version]
- Tedder, T.F.; Isaacs, C.M. Isolation of cDNAs encoding the CD19 antigen of human and mouse B lymphocytes. A new member of the immunoglobulin superfamily. J. Immunol. 1989, 143, 712–717. [Google Scholar] [PubMed][Green Version]
- Scheuermann, R.H.; Racila, E. CD19 antigen in leukemia and lymphoma diagnosis and immunotherapy. Leuk. Lymphoma 1995, 18, 385–397. [Google Scholar] [CrossRef] [PubMed]
- Anderson, K.C.; Bates, M.P.; Slaughenhoupt, B.L.; Pinkus, G.S.; Schlossman, S.F.; Nadler, L.M. Expression of human B cell-associated antigens on leukemias and lymphomas: A model of human B cell differentiation. Blood 1984, 63, 1424–1433. [Google Scholar] [PubMed]
- Uckun, F.M.; Jaszcz, W.; Ambrus, J.L.; Fauci, A.S.; Gajl-Peczalska, K.; Song, C.W.; Wick, M.R.; Myers, D.E.; Waddick, K.; Ledbetter, J.A. Detailed studies on expression and function of CD19 surface determinant by using B43 monoclonal antibody and the clinical potential of anti-CD19 immunotoxins. Blood 1988, 71, 13–29. [Google Scholar] [PubMed]
- Foxwell, B.M.J.; Blakey, D.C.; Brown, A.N.; Donovan, T.A.; Thorpe, P.E. The preparation of deglycosylated ricin by recombination of glycosidase-treated A- and B-chains; effects of deglycosylation on toxicity and in vivo distribution. Biochim. Biophys. Acta 1987, 923, 59–65. [Google Scholar] [PubMed]
- O'Hare, M.; Roberts, L.M.; Thorpe, P.E.; Watson, G.J.; Prior, B.; Lord, J.M. Expression of ricin A chain in Escherichia coli. FEBS Lett. 1987, 216, 73–78. [Google Scholar] [CrossRef] [PubMed]
- Smallshaw, J.E.; Ghetie, V.; Rizo, J.; Fulmer, J.R.; Trahan, L.L.; Ghetie, M.A.; Vitetta, E.S. Genetic engineering of an immunotoxin to eliminate pulmonary vascular leak in mice. Nat. Biotechnol. 2003, 21, 387–391. [Google Scholar] [PubMed]
- Ghetie, M.A.; May, R.D.; Till, M.; Uhr, J.W.; Ghetie, V.; Knowles, P.P.; Relf, M.; Brown, A.; Wallace, P.M.; Janossy, G.; et al. Evaluation of ricin A chain-containing immunotoxins directed against CD19 and CD22 antigens on normal and malignant human B-cells as potential reagents for in vivo therapy. Cancer Res. 1988, 48, 2610–2617. [Google Scholar] [PubMed]
- Herrera, L.; Farah, R.A.; Pellegrini, V.A.; Aquino, D.B.; Sandler, E.S.; Buchanan, G.R.; Vitetta, E.S. Immunotoxins against CD19 and CD22 are effective in killing precursor-B acute lymphoblastic leukemia cells in vitro. Leukemia 2000, 14, 853–858. [Google Scholar] [CrossRef] [PubMed]
- Herrera, L.; Stanciu-Herrera, C.; Morgan, C.; Ghetie, V.; Vitetta, E.S. Anti-CD19 immunotoxin enhances the activity of chemotherapy in severe combined immunodeficient mice with human pre-B acute lymphoblastic leukemia. Leuk. Lymphoma 2006, 47, 2380–2387. [Google Scholar] [CrossRef] [PubMed]
- Herrera, L.; Yarbrough, S.; Ghetie, V.; Aquino, D.B.; Vitetta, E.S. Treatment of SCID/human B cell precursor ALL with anti-CD19 and anti-CD22 immunotoxins. Leukemia 2003, 17, 334–338. [Google Scholar] [CrossRef] [PubMed]
- Ghetie, M.A.; Tucker, K.; Richardson, J.; Uhr, J.W.; Vitetta, E.S. Eradication of minimal disease in severe combined immunodeficient mice with disseminated Daudi lymphoma using chemotherapy and an immunotoxin cocktail. Blood 1994, 84, 702–707. [Google Scholar] [PubMed][Green Version]
- Ghetie, M.A.; Tucker, K.; Richardson, J.; Uhr, J.W.; Vitetta, E.S. The antitumor activity of an anti-CD22 immunotoxin in SCID mice with disseminated Daudi lymphoma is enhanced by either an anti-CD19 antibody or an anti-CD19 immunotoxin. Blood 1992, 80, 2315–2320. [Google Scholar] [PubMed][Green Version]
- Conry, R.M.; Khazaeli, M.B.; Saleh, M.N.; Ghetie, V.; Vitetta, E.S.; Liu, T.; LoBuglio, A.F. Phase I trial of an anti-CD19 deglycosylated ricin A chain immunotoxin in non-Hodgkin’s lymphoma: Effect of an intensive schedule of administration. J. Immunother. Emphas. Tumor Immunol. 1995, 18, 231–241. [Google Scholar] [Green Version]
- Stone, M.J.; Sausville, E.A.; Fay, J.W.; Headlee, D.; Collins, R.H.; Figg, W.D.; Stetler-Stevenson, M.; Jain, V.; Jaffe, E.S.; Solomon, D.; et al. A phase I study of bolus versus continuous infusion of the anti-CD19 immunotoxin, IgG-HD37-dgA, in patients with B-cell lymphoma. Blood 1996, 88, 1188–1197. [Google Scholar] [PubMed][Green Version]
- Messmann, R.A.; Vitetta, E.S.; Headlee, D.; Senderowicz, A.M.; Figg, W.D.; Schindler, J.; Michiel, D.F.; Creekmore, S.; Steinberg, S.M.; Kohler, D.; et al. A phase I study of combination therapy with immunotoxins IgG-HD37-deglycosylated ricin A chain (dgA) and IgG-RFB4-dgA (Combotox) in patients with refractory CD19(+), CD22(+) B cell lymphoma. Clin. Cancer Res. 2000, 6, 1302–1313. [Google Scholar] [PubMed][Green Version]
- Coloma, M.J.; Hastings, A.; Wims, L.A.; Morrison, S.L. Novel vectors for the expression of antibody molecules using variable regions generated by polymerase chain reaction. J. Immunol. Methods 1992, 152, 89–104. [Google Scholar] [CrossRef] [PubMed]
- Ghetie, V.; Till, M.A.; Ghetie, M.A.; Tucker, T.; Porter, J.; Patzer, E.J.; Richardson, J.A.; Uhr, J.W.; Vitetta, E.S. Preparation and characterization of conjugates of recombinant CD4 and deglycosylated ricin A chain using different cross-linkers. Bioconjug. Chem. 1990, 1, 24–31. [Google Scholar] [CrossRef] [PubMed]
- Ghetie, V.; Thorpe, P.; Ghetie, M.A.; Knowles, P.; Uhr, J.W.; Vitetta, E.S. The GLP large scale preparation of immunotoxins containing deglycosylated ricin A chain and a hindered disulfide bond. J. Immunol. Methods 1991, 142, 223–230. [Google Scholar] [CrossRef] [PubMed]
- Knowles, P.P.; Thorpe, P.E. Purification of immunotoxins containing ricin A-chain and abrin A-chain using blue sepharose CL-6B. Anal. Biochem. 1987, 160, 440–443. [Google Scholar] [CrossRef] [PubMed]
© 2011 by the authors; licensee MDPI, Basel, Switzerland. This article is an open-access article distributed under the terms and conditions of the Creative Commons Attribution license (http://creativecommons.org/licenses/by/3.0/).
Share and Cite
Tsai, L.K.; Pop, L.M.; Liu, X.; Vitetta, E.S. A Comparison of the Anti-Tumor Effects of a Chimeric versus Murine Anti-CD19 Immunotoxins on Human B Cell Lymphoma and Pre-B Acute Lymphoblastic Leukemia Cell Lines. Toxins 2011, 3, 409-419. https://doi.org/10.3390/toxins3040409
Tsai LK, Pop LM, Liu X, Vitetta ES. A Comparison of the Anti-Tumor Effects of a Chimeric versus Murine Anti-CD19 Immunotoxins on Human B Cell Lymphoma and Pre-B Acute Lymphoblastic Leukemia Cell Lines. Toxins. 2011; 3(4):409-419. https://doi.org/10.3390/toxins3040409
Chicago/Turabian StyleTsai, Lydia K., Laurentiu M. Pop, Xiaoyun Liu, and Ellen S. Vitetta. 2011. "A Comparison of the Anti-Tumor Effects of a Chimeric versus Murine Anti-CD19 Immunotoxins on Human B Cell Lymphoma and Pre-B Acute Lymphoblastic Leukemia Cell Lines" Toxins 3, no. 4: 409-419. https://doi.org/10.3390/toxins3040409
APA StyleTsai, L. K., Pop, L. M., Liu, X., & Vitetta, E. S. (2011). A Comparison of the Anti-Tumor Effects of a Chimeric versus Murine Anti-CD19 Immunotoxins on Human B Cell Lymphoma and Pre-B Acute Lymphoblastic Leukemia Cell Lines. Toxins, 3(4), 409-419. https://doi.org/10.3390/toxins3040409
