Comprehensive Clinical Profile of Amanita exitialis Poisoning: Integrating Toxin Detection and Autopsy Pathology
Abstract
1. Introduction
2. Results
2.1. Clinical Manifestations
2.2. Laboratory Examination
2.3. Amatoxin Detection
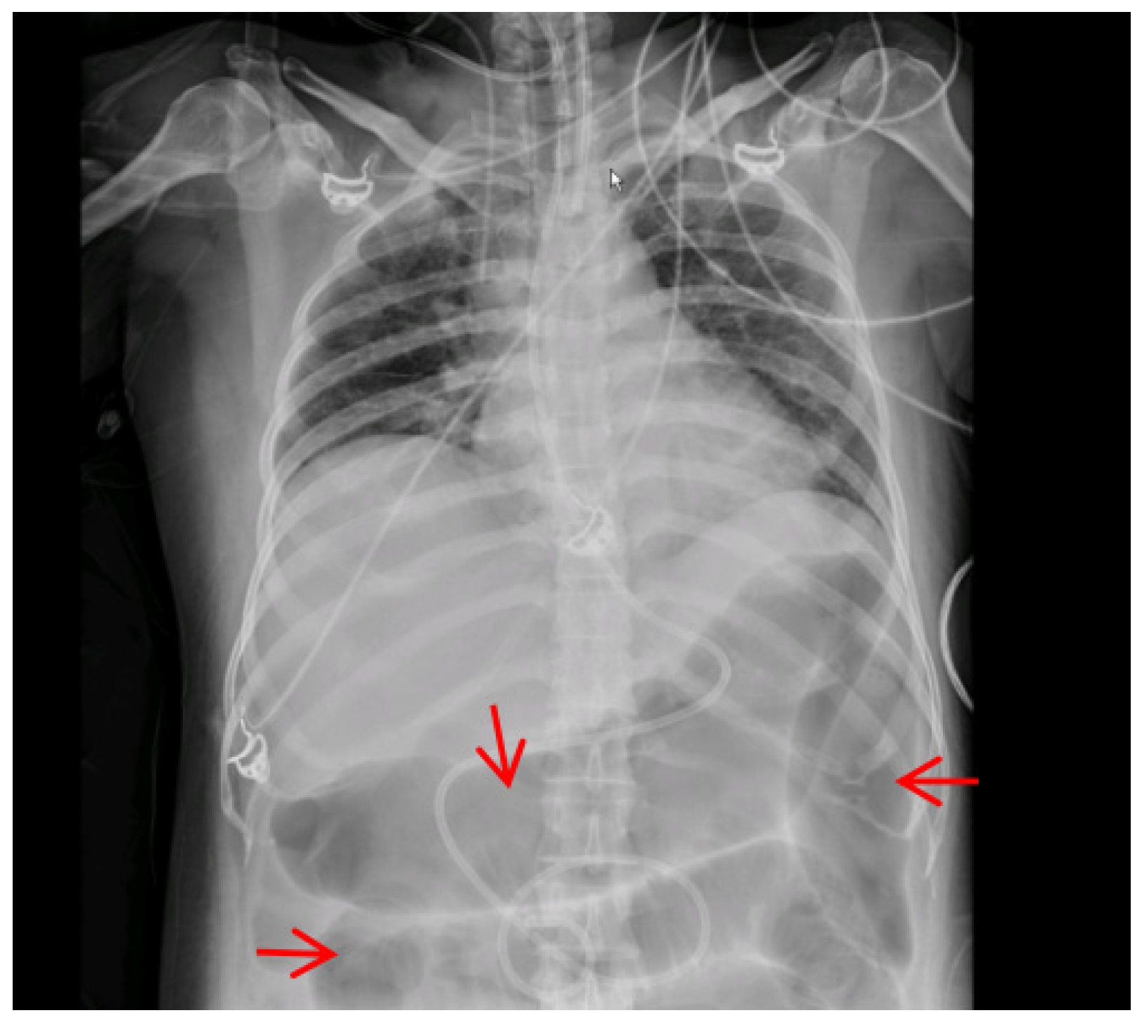
2.4. Pathological Feature
2.5. Clinical Treatment
3. Discussion
4. Conclusions
5. Materials and Methods
5.1. Patients and Study Design
5.2. Data Collection and Definitions
5.3. Grouping
5.4. Identification of Toxic Mushrooms
5.5. Toxin Detection
5.6. Statistical Analysis
Author Contributions
Funding
Institutional Review Board Statement
Informed Consent Statement
Data Availability Statement
Acknowledgments
Conflicts of Interest
References
- Giannini, L.; Vannacci, A.; Missanelli, A.; Mastroianni, R.; Mannaioni, P.F.; Moroni, F.; Masini, E. Amatoxin poisoning: A 15-year retrospective analysis and follow-up evaluation of 105 patients. Clin. Toxicol. 2007, 45, 539–542. [Google Scholar] [CrossRef]
- Chen, Z.H.; Zhang, P.; Zhang, Z.G. Investigation and analysis of 102 mushroom poisoning cases in Southern China from 1994 to 2012. Fungal Divers. 2014, 64, 123–131. [Google Scholar] [CrossRef]
- Barbee, G.; Berry-Cabán, C.; Barry, J.; Borys, D.; Ward, J.; Salyer, S. Analysis of mushroom exposures in Texas requiring hospitalization, 2005–2006. J. Med. Toxicol. 2009, 5, 59–62. [Google Scholar] [CrossRef][Green Version]
- Caré, W.; Bruneau, C.; Rapior, S.; Langrand, J.; Le Roux, G.; Vodovar, D. Syndrome phalloïdien: Mise au point [Amatoxin-containing mushroom poisoning: An update]. Rev. Med. Interne. 2024, 45, 423–430. [Google Scholar] [CrossRef]
- Enjalbert, F.; Rapior, S.; Nouguier-Soulé, J.; Guillon, S.; Amouroux, N.; Cabot, C. Treatment of amatoxin poisoning: 20-year retrospective analysis. J. Toxicol. Clin. Toxicol. 2002, 40, 715–757. [Google Scholar] [CrossRef]
- Karvellas, C.J.; Tillman, H.; Leung, A.A.; Lee, W.M.; Schilsky, M.L.; Hameed, B.; Stravitz, R.T.; McGuire, B.M.; Fix, O.K. Acute liver injury and acute liver failure from mushroom poisoning in North America. Liver Int. 2016, 36, 1043–1050. [Google Scholar] [CrossRef]
- Diaz, J.H. Amatoxin-Containing Mushroom Poisonings: Species, Toxidromes, Treatments, and Outcomes. Wilderness Environ. Med. 2018, 29, 111–118. [Google Scholar] [CrossRef] [PubMed]
- Li, H.J.; Zhang, Y.Z.; Zhang, H.S.; Zhou, J.; Chen, Z.H.; Liang, J.Q.; Yin, Y.; He, Q.; Jiang, S.F.; Zhang, Y.T.; et al. Mushroom Poisoning Outbreaks-China, 2023. China CDC Wkly. 2024, 6, 64–68. [Google Scholar] [CrossRef] [PubMed]
- Li, H.J.; Zhang, Y.Z.; Zhang, H.S.; Zhou, J.; Liang, J.Q.; Yin, Y.; He, Q.; Jiang, S.F.; Zhang, Y.T.; Yuan, Y.; et al. Mushroom Poisoning Outbreaks-China, 2022. China CDC Wkly. 2023, 5, 45–50. [Google Scholar] [CrossRef]
- Sun, J.; Li, H.J.; Zhang, H.S.; Zhang, Y.Z.; Xie, J.W.; Ma, P.B.; Guo, C.; Sun, C.Y. Investigating and analyzing three cohorts of mushroom poisoning caused by Amanita exitialis in Yunnan, China. Hum. Exp. Toxicol. 2018, 37, 665–678. [Google Scholar] [CrossRef]
- Zhong, J.J.; Yao, Q.M.; Li, H.J.; Zhang, Y.Z.; Peng, J.M.; Yu, C.M. Amanita exitialis poisoning in five patients. Clin. Toxicol. 2023, 61, 408–409. [Google Scholar] [CrossRef]
- Meng, H.; Chen, Z.Y.; Chen, L.C.; Tang, W.X.; He, F.; Yan, X.R.; Lin, X.H.; Se, X.L.; Xie, M.F.; Li, Z.H.; et al. An outbreak of Amanita exitialis poisoning. Clin. Toxicol. 2023, 61, 270–275. [Google Scholar] [CrossRef]
- Chen, L.; Yan, X.; Yu, X. Pneumatosis intestinalis and hepatic portal venous gas in patient with Amanita exitialis poisoning: A case report from Shenzhen, China. Toxicon 2023, 234, 107276. [Google Scholar] [CrossRef]
- Yang, Z.L. Fungi of China; Science Press: Beijing, China, 2019; Volume 52. [Google Scholar]
- Liang, J.Q.; Zhang, Y.Z.; Li, H.J.; Sun, C.Y. Research progress on Amanita exitialis in Chinese. Chin. J. Emerg. Med. 2023, 43, 689–695. [Google Scholar] [CrossRef]
- Deng, W.Q.; Li, T.H.; Xi, P.G.; Gan, L.X.; Xiao, Z.D.; Jiang, Z.D. Peptide toxin components of Amanita exitialis basidiocarps. Mycologia 2011, 103, 946–949. [Google Scholar] [CrossRef]
- Zhong, J.J.; Yao, Q.M.; Li, H.J.; Pu, Y.; Li, C.H.; Yu, C.M. Detection and analysis of cyclic peptide toxins in Amanita exitialis from Chuxiong, Yunnan in China. Acta Mycol. Sin. 2020, 39, 1766–1773. [Google Scholar] [CrossRef]
- Hu, J.S.; Zhang, P.; Zeng, J.; Chen, Z.H. Determination of amatoxins in different tissues and development stages of Amanita exitialis. J. Sci. Food Agric. 2012, 92, 2664–2667. [Google Scholar] [CrossRef] [PubMed]
- Tang, S.S.; Zhou, Q.; Chen, Z.H. Cyclopeptide toxins of lethal amanitas: Compositions, distribution and phylogenetic implication. Toxicon 2016, 15, 78–88. [Google Scholar] [CrossRef] [PubMed]
- Liu, M.; Gan, L.X.; Zhang, L.P.; Li, T.H.; Deng, W.Q. Optimization of ultrasonic extraction process for α-amanitin from Amanita exitialis using Box–Behnken response surface methodology in Chinese. Acta Edulis Fungi 2021, 28, 93–101. [Google Scholar] [CrossRef]
- Hu, J.S. Detection, Separation, and Functional Study of Major Peptide Toxins in Amanita exitialis. Master’s Thesis, Hunan Normal University, Changsha, China, 2013. [Google Scholar]
- Wu, Z.J.; Dai, J.; Fan, J.G.; Ding, C.G.; Zhao, W.J.; Yu, C.M.; Yao, Q.M.; Sun, J.; Li, H.J.; Sun, C.Y. Determination of protein-bound α-amanitin in mouse plasma: A potential new indicator of poisoning with the mushroom toxin α-amanitin. Toxicon 2023, 226, 107067. [Google Scholar] [CrossRef]
- Petzinger, E.; Burckhardt, G.; Schwenk, M.; Faulstich, H. Lack of intestinal transport of [3H]-demethylphalloin: Comparative studies with phallotoxins and bile acids on isolated small intestinal cells and ileal brush border membrane vesicles. Naunyn-Schmiedeberg’s Arch. Pharmacol. 1982, 320, 196–200. [Google Scholar] [CrossRef]
- Sun, J.; Niu, Y.M.; Zhang, Y.T.; Li, H.J.; Yin, Y.; Zhang, Y.Z.; Ma, P.B.; Zhou, J.; Huang, L.; Zhang, H.S.; et al. Toxicity and toxicokinetics of Amanita exitialis in beagle dogs. Toxicon 2018, 143, 59–67. [Google Scholar] [CrossRef] [PubMed]
- Yang, S.; Wen, D.; Zheng, F.S.; Pu, S.B.; Chen, Z.N.; Chen, M.B.; Di, B.; Liu, W.; Shi, Y. Simple and rapid detection of three amatoxins and three phallotoxins in human body fluids by UPLC-MS-MS and its application in 15 poisoning cases. J. Anal. Toxicol. 2024, 48, 44–53. [Google Scholar] [CrossRef] [PubMed]
- Letschert, K.; Faulstich, H.; Keller, D.; Keppler, D. Molecular characterization and inhibition of amanitin uptake into human hepatocytes. Toxicol. Sci. 2006, 91, 140–149. [Google Scholar] [CrossRef] [PubMed]
- Tiewsoh, I.; Bhattacharya, P.K.; Barman, B.; Barman, H.; Rapthap, K.; Sangla, L.; Lynrah, K.G. Delayed liver toxicity and delayed gastroenteritis: A 5 year retrospective analysis of the cause of death in Mushroom poisoning. Family Med. Prim. Care 2022, 11, 1963–1969. [Google Scholar] [CrossRef]
- Gong, M.Q.; Li, Z.; Xu, H.; Ma, B.; Gao, P.X.; Wang, L.L.; Li, J.K.; Wu, Q.L.; Wu, J.F.; Xie, J.W. Amanitin-induced variable cytotoxicity in various cell lines is mediated by the different expression levels of OATP1B3. Food Chem. Toxicol. 2024, 188, 114665. [Google Scholar] [CrossRef]
- Yu, C.M.; Li, H.J. Expert consensus on clinical diagnosis and treatment of mushroom poisoning containing amanitoxin in China Amanita. Chin. J. Crit. Care Med. (Electron. Ed.) 2020, 13, 20–28. [Google Scholar] [CrossRef]
- Yang, C.F.; Sheng, C.Q.; Ao, Y.; Li, Y.M. Timing of liver transplantation for pediatric acute liver failure due to mushroom poisoning: A case report and literature review. BMC Pediatr. 2020, 20, 351–355. [Google Scholar] [CrossRef]
- Visser, M.; Hof, W.F.J.; Broek, A.M.; Van Hoek, A.; De Jong, J.J.; Touw, D.J.; Dekkers, B.G.J. Unexpected Amanita phalloides-Induced Hematotoxicity -Results from a Retrospective Study. Toxins 2024, 16, 67–78. [Google Scholar] [CrossRef]
- Tan, J.L.; Stam, J.; Van den Berg, A.P.; Van Rheenen, P.F.; Dekkers, B.G.J.; Touw, D.J. Amanitin intoxication: Effects of therapies on clinical outcomes-a review of 40 years of reported cases. Clin. Toxicol. 2022, 60, 1251–1265. [Google Scholar] [CrossRef]
- Liu, J.; Chen, Y.; Gao, Y.; Walline, J.H.; Lu, X.; Yu, S.; Zhao, L.; Ge, Z.; Li, Y. N-acetylcysteine as a treatment for amatoxin poisoning: A systematic review. Clin. Toxicol. 2020, 58, 1015–1022. [Google Scholar] [CrossRef]
- Poucheret, P.; Fons, F.; Doré, J.C.; Didier, M.; Sylvie, R. Amatoxin poisoning treatment decision-making: Pharmaco-therapeutic clinical strategy assessment using multidimensional multivariate statistic analysis. Toxicon 2010, 55, 1338–1345. [Google Scholar] [CrossRef]
- Jander, S.; Bischoff, J.; Woodcock, B.G. Plasmapheresis in the treatment of Amanita phalloides poisoning: II. A review and recommendations. Ther. Apher. Dial. 2000, 4, 308–312. [Google Scholar] [CrossRef] [PubMed]
- Nakae, H.; Eguchi, Y.; Saotome, T.; Yoshiok, T.; Yoshimura, N.; Kishi, Y.; Naka, T.; Furuya, T. Multicenter study of plasma diafiltration in patients with acute liver failure. Ther. Apher. Dial. 2010, 14, 444–450. [Google Scholar] [CrossRef] [PubMed]
- Kantola, T.; Koivusalo Amanita, M.; Hockerstedt, K.; Isoniemi, H. Early molecular adsorbents recirculating system treatment of Amanita mushroom poisoning. Ther. Apher. Dial. 2009, 13, 399–403. [Google Scholar] [CrossRef] [PubMed]
- Zuker-Herman, R.; Tong, R.; Wong, A. Intravenous rifampicin use in the management of amanita phalloides toxicity. Clin. Toxicol. 2021, 59, 843–845. [Google Scholar] [CrossRef]
- Zhong, J.J.; Xu, P.; Li, H.J.; Sun, C.Y.; Tong, Y.; Yao, Q.M.; Yu, C.M. Acute hepatic and kidney injury after ingestion of Lepiota brunneoincarnata: Report of 2 cases. Toxicon 2024, 239, 107605. [Google Scholar] [CrossRef]









| Specimen Number | ITS GenBank Accession Number | Location |
|---|---|---|
| CX2550 | PQ394610 | Chuxiong City |
| CX1906 | PQ394599 | Yao’an County |
| CX2676 | PQ394605 | Wuding County |
| CX2111 | PQ394600 | Yongren County |
| CX2388 | PQ394602 | Dayao County |
| CX2613 | PQ394604 | Wuding County |
| CX2479 | PQ394609 | Wuding County |
| CX2141 | PQ394601 | Yuanmou County |
| CX2461 | PQ394603 | Wuding County |
| CX2112 | PQ394608 | Chuxiong City |
| Characteristics | Total (n = 27) | Survivors (n = 22) | Non-Survivors (n = 5) | p Value |
|---|---|---|---|---|
| Gender, n (%) | ||||
| Male | 13 (48) | 12 (92) | 1 (8) | 0.3259 |
| age (year) | 46.8 ± 22.1 | 46.5 ± 21.6 | 48.2 ± 27.0 | 0.7590 |
| Month, n (%) | ||||
| June | 13 (48) | 11 (85) | 2 (15) | / |
| July | 10 (37) | 7 (70) | 3 (30) | / |
| August | 4 (15) | 4 (100) | 0 (0) | / |
| latency (h) | 12.0 ± 5.0 | 12.5 ± 5.2 | 10.0 ± 3.9 | 0.3240 |
| Ingestion to hospital admission (h) | 45.9 ± 8.6 | 45.3 ± 8.9 | 48.7 ± 7.8 | 0.4400 |
| Hospital duration (days) | 8.2 ± 5.8 | 8.9 ± 6.2 | 5.0 ± 2.3 | 0.1770 |
| Complications (%) | ||||
| Gastrointestinal Symptoms | 27 (100) | 22 (81) | 5 (19) | 1.0000 |
| liver injury | 21 (78) | 16 (76) | 5 (24) | 0.5550 |
| Kidney injury | 17 (63) | 14 (82) | 3 (17) | 1.0000 |
| Myocardial injury | 24 (89) | 19 (79) | 5 (21) | 1.0000 |
| Coagulopathy dysfunction | 10 (37) | 6 (60) | 4 (40) | 0.0470 |
| Thrombocytopenia | 15 (56) | 11 (73) | 4 (27) | 0.3420 |
| Hyperlactatemia | 8 (30) | 4 (50) | 4 (50) | 0.0172 |
| Anemia | 13 (48) | 10 (77) | 3 (23) | 0.6480 |
| Paralytic ileus | 1 (4) | 0 (0) | 1 (100) | 0.1852 |
| Laboratory Finding | Reference Range | Survivors (n = 22) | Non-Survivors (n = 5) | p Value |
|---|---|---|---|---|
| Initial TBIL (umol/L) | 3–22 | 23.3 ± 14.7 | 51.4 ± 10.0 | 0.0004 |
| Peak TBIL (umol/L) | 3–22 | 36.7 ± 35.0 | 112.6 ± 71.0 | 0.0037 |
| Initial ALT (U/L) | <50 | 32 (27, 860) | 1842 (733, 4963) | 0.0164 |
| Peak ALT (U/L) | <50 | 85 (38, 1685) | 2008 (1925, 7640) | 0.0021 |
| Initial AST (U/L) | 15–46 | 43 (29, 1333) | 1900 (501, 7110) | 0.0243 |
| Peak AST (U/L) | 15–46 | 78 (41, 2098) | 4414 (2792, 9179) | 0.0028 |
| Initial LDH (U/L) | 313–618 | 266 (204, 2140) | 5700 (2302, 20,597) | 0.0104 |
| Peak LDH (U/L) | 313–618 | 421 (256, 3515) | 9380 (7322, 29,271) | 0.0027 |
| Initial Cr (umol/L) | 62–106 | 68.3 (41.0, 143.7) | 67.4 (44.7, 361.0) | 0.9357 |
| Peak Cr (umol/L) | 62–106 | 81.5 (56.9, 143.7) | 144.4 (65.6, 437.0) | 0.2316 |
| Initial BUN (mmol/L) | 2.5–6.1 | 6.5 ± 2.6 | 9.7 ± 9.1 | 0.7932 |
| Peak BUN (mmol/L) | 2.5–6.1 | 8.7 ± 5.5 | 12.2 ± 8.4 | 0.4848 |
| Initial PT (S) | 11–13 | 12.1 (11.4, 12.9) | 25.8 (17.9, 45.4) | 0.0025 |
| Peak PT (S) | 11–13 | 14.0 (11.9, 26.0) | 90.0 (37.1, 103.6) | 0.0122 |
| Initial APTT (S) | 23–37 | 27.2 (24.9, 29.9) | 53.7 (32.3, 88.4) | 0.0104 |
| Peak APTT (S) | 23–37 | 34.3 (26.1, 92.1) | 120.0 (73.5, 120.0) | 0.0264 |
| Initial INR | 0.8–1.5 | 1.05 (0.99, 1.12) | 2.30 (1.58, 4.16) | 0.003 |
| Peak INR | 0.8–1.5 | 1.10 (0.99, 2.34) | 9.26 (3.50, 9.99) | 0.0045 |
| Initial CK (U/L) | 30–153 | 94 (66, 186) | 214 (151, 1600) | 0.0341 |
| Peak CK (U/L) | 30–153 | 166 (101, 269) | 394 (218, 13,091) | 0.0126 |
| Initial CK-MB (U/L) | 0–24 | 27.7 (15.7, 40.0) | 36.8 (23.1, 132.1) | 0.3512 |
| Peak CK-MB (U/L) | 0–24 | 38 (25, 57) | 67 (23, 431) | 0.0043 |
| Initial IL-6 (pg/mL) | 0–7 | 5.0 (1.5, 19.3) | 88.3 (24.4, 169.0) | 0.0036 |
| Peak IL-6 (pg/mL) | 0–7 | 17.8 (5.0, 49.5) | 210.5 (174.5, 2616.0) | 0.0002 |
| Initial GLU (mmol/L) | 3.5–6.1 | 6.8 (5.0, 8.1) | 6.2 (5.7, 8.7) | 0.8867 |
| Peak GLU (mmol/L) | 3.5–6.1 | 8.2 (7.0, 10.1) | 11.0 (10.6, 18.2) | 0.0033 |
| Initial Lac (mmol/L) | 0.5–2.2 | 1.10 (0.90, 1.35) | 4.70 (2.35, 5.00) | 0.0047 |
| Peak Lac (mmol/L) | 0.5–2.2 | 1.9 (1.3, 3.4) | 15.0 (7.8, 16.0) | 0.0010 |
| Initial Amon (umol/L) | 9–30 | 30.7 ± 16.7 | 97.3 ± 40.7 | 0.0011 |
| Peak Amon (umol/L) | 9–30 | 53.4 ± 29.8 | 186.2 ± 86.7 | 0.0013 |
| Treatment Modality | Number of Cases | Number of Deaths | Mortality Rate (%) |
|---|---|---|---|
| Supportive therapy | 6 | 1 | 16.7% |
| Pharmacological therapy | |||
| NAC + SIL | 5 | 1 | 20% |
| NAC + PEN | 3 | 1 | 33.3% |
| NAC + SIL + PEN | 19 | 3 | 15.8% |
| Activated charcoal | 23 | 5 | 21.7% |
| Ganoderma decoction | 11 | 2 | 18.2% |
| Extracorporeal blood purification | |||
| HP | 5 | 0 | 0% |
| CVVHDF | 1 | 0 | 0% |
| HP + CVVHDF | 4 | 0 | 0% |
| PE + CVVHDF | 8 | 3 | 37.5% |
| HP + PE + CVVHDF | 2 | 1 | 50% |
| PE + CVVHDF + DPMAS | 1 | 0 | 0% |
| Toxin Type | Linear Relationship | Correlation Coefficients | Detection Limits (ng/mL) | Quantification Limits (ng/mL) |
|---|---|---|---|---|
| α-AMA | y = 646.32x + 1890.00 | R2 = 0.9990 | 1.00 | 1.00 |
| β-AMA | y = 804.66x − 1586.30 | R2 = 0.9971 | 1.00 | 1.00 |
| PCD | y = 3458.60x − 1086.00 | R2 = 0.9953 | 0.01 | 1.00 |
| PSC | y = 1886.10x − 621.93 | R2 = 0.9998 | 0.01 | 1.00 |
Disclaimer/Publisher’s Note: The statements, opinions and data contained in all publications are solely those of the individual author(s) and contributor(s) and not of MDPI and/or the editor(s). MDPI and/or the editor(s) disclaim responsibility for any injury to people or property resulting from any ideas, methods, instructions or products referred to in the content. |
© 2025 by the authors. Licensee MDPI, Basel, Switzerland. This article is an open access article distributed under the terms and conditions of the Creative Commons Attribution (CC BY) license (https://creativecommons.org/licenses/by/4.0/).
Share and Cite
Chen, C.-G.; Xu, P.; Li, J.-P.; Bi, X.-L.; Yao, Q.-M.; Yu, C.-M.; Tang, Y.; Sun, C.-Y.; Wu, Z.-J.; Zhong, J.-J.; et al. Comprehensive Clinical Profile of Amanita exitialis Poisoning: Integrating Toxin Detection and Autopsy Pathology. Toxins 2025, 17, 576. https://doi.org/10.3390/toxins17120576
Chen C-G, Xu P, Li J-P, Bi X-L, Yao Q-M, Yu C-M, Tang Y, Sun C-Y, Wu Z-J, Zhong J-J, et al. Comprehensive Clinical Profile of Amanita exitialis Poisoning: Integrating Toxin Detection and Autopsy Pathology. Toxins. 2025; 17(12):576. https://doi.org/10.3390/toxins17120576
Chicago/Turabian StyleChen, Chong-Gui, Ping Xu, Ji-Pin Li, Xiao-Li Bi, Qun-Mei Yao, Cheng-Min Yu, Yan Tang, Cheng-Ye Sun, Zhi-Jun Wu, Jia-Ju Zhong, and et al. 2025. "Comprehensive Clinical Profile of Amanita exitialis Poisoning: Integrating Toxin Detection and Autopsy Pathology" Toxins 17, no. 12: 576. https://doi.org/10.3390/toxins17120576
APA StyleChen, C.-G., Xu, P., Li, J.-P., Bi, X.-L., Yao, Q.-M., Yu, C.-M., Tang, Y., Sun, C.-Y., Wu, Z.-J., Zhong, J.-J., & Wu, H.-Y. (2025). Comprehensive Clinical Profile of Amanita exitialis Poisoning: Integrating Toxin Detection and Autopsy Pathology. Toxins, 17(12), 576. https://doi.org/10.3390/toxins17120576
