Susceptibility to Secondary Bacterial Infections in Growing Rabbits Exposed to Ochratoxin A and Protected or Not by Herbal Supplements
Abstract
1. Introduction
2. Results
2.1. Clinical Signs, Feed Intake, and Clinical Microbiology
2.2. Body Weight and Feed Intake
2.3. Immunological Findings
2.4. Macroscopic Changes at Necropsy
2.5. Pathomorphological Changes
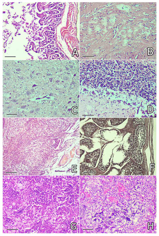
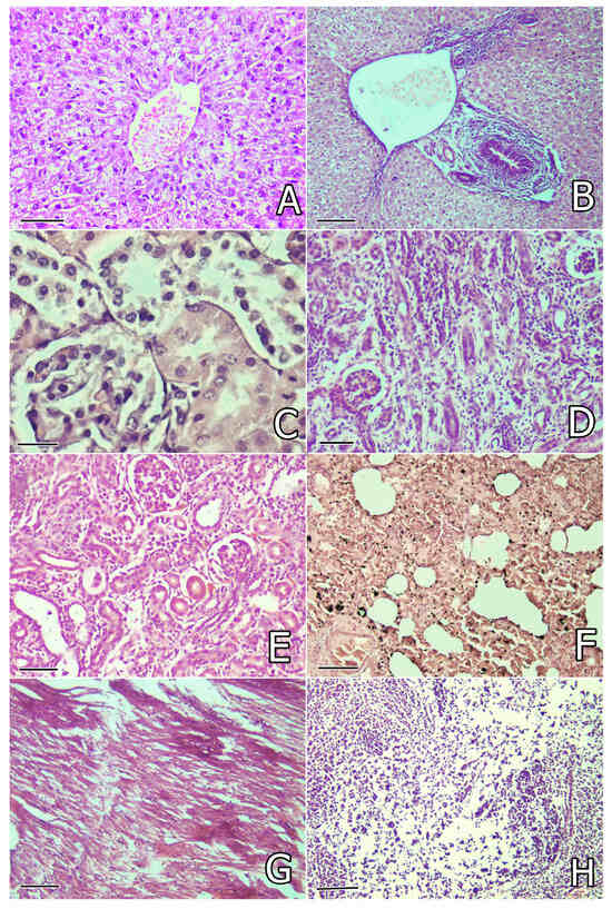
2.5.1. Pathomorphological Changes on the 30th and 80th Day of the Study
2.5.2. Pathomorphological Changes in Rabbits That Died of Pasteurellosis
3. Discussion
4. Conclusions
5. Materials and Methods
5.1. OTA Supply
5.2. Herbal Supplements
5.3. Study Design
5.4. Immunization
5.5. Serological Examinations and Assessment of Immune Response
5.6. Clinical Microbiology
5.7. Body Weight and Weight of Feed Consumed
5.8. Pathomorphological Investigations
5.9. Statistical Methods
Author Contributions
Funding
Institutional Review Board Statement
Informed Consent Statement
Data Availability Statement
Acknowledgments
Conflicts of Interest
References
- Lin, X.; Yu, W.; Tong, X.; Li, C.; Duan, N.; Wang, Z.; Wu, S. Application of nanomaterials for coping with mycotoxin contamination in food safety: From detection to control. Crit. Rev. Anal. Chem. 2022, 54, 355–388. [Google Scholar] [CrossRef] [PubMed]
- Stoev, S.D. Foodborne mycotoxicoses, risk assessment and underestimated hazard of masked mycotoxins and joint mycotoxin effects or interaction. Environ. Toxicol. Pharmacol. 2015, 9, 794–809. [Google Scholar] [CrossRef] [PubMed]
- Stoev, S.D. Foodborne Diseases due to Underestimated Hazard of Joint Mycotoxin Exposure at Low Levels and Possible Risk Assessment. Toxins 2023, 15, 464. [Google Scholar] [CrossRef] [PubMed]
- Stoev, S.D.; Denev, S.A. Porcine/Chicken or Human Nephropathy as the Result of Joint Mycotoxins Interaction. Toxins 2013, 5, 1503–1530. [Google Scholar] [CrossRef]
- Stoev, S.D.; Denev, S.; Dutton, M.; Njobeh, P.; Mosonik, J.; Steenkamp, P.; Petkov, I. Complex etiology and pathology of mycotoxic nephropathy in South African pigs. Mycotoxin Res. 2010, 26, 31–46. [Google Scholar] [CrossRef]
- Ponnuchamy, V. Studies on pathology and immunology of ochratoxin-A induced toxicosis and its interaction with Salmonella typhimurium infection in guinea pigs. Master’s Thesis, Indian Veterinary Research Institute, Izatnagar, India, 2000. [Google Scholar]
- Dwivedi, P.; Wangikar, P.B.; Sinha, N. Teratogenic effects of ochratoxin A in rabbits. World Rabbit Sci. 2004, 12, 159–171. [Google Scholar]
- Mir, M.S.; Dwivedi, P.; Charan, K. Ochratoxin-A induced acute toxicity in rabbits. Indian J. Vet. Pathol. 1999, 23, 8–13. [Google Scholar]
- Eggers Carroll, E.; Kumar, A.; Romao, P.; Ross, C.L.; Henderson, W.; Sharma, A.K. Spontaneous histopathology in New Zealand White rabbits: Ten years of control data. J. Toxicol. Pathol. 2024, 37, 109–126. [Google Scholar] [CrossRef]
- Dalcero, A.; Magnoli, C.; Hallak, C.; Chiacchiera, S.M.; Palacio, G.; Rosa, C.A.R. Detection of ochratoxin A in animal feeds and capacity to produce this mycotoxin by Aspergillus section Nigri in Argentina. Food Addit. Contam. 2002, 19, 1065–1072. [Google Scholar] [CrossRef]
- Mir, M.S.; Dwivedi, P. Haematological alterations in New Zealand White rabbits (Oryctolagus cuniculus) due to subacute ochratoxicosis-A. SKUAST J. Res. 2008, 10, 242–250. [Google Scholar]
- Mir, M.S.; Dwivedi, P. Pathology of induced ochratoxicosis-A in rabbits (Oryctolagus cuniculus). SKUAST J. Res. 2008, 10, 99–111. [Google Scholar]
- Mir, M.S.; Dwivedi, P. Ochratoxin A-induced serum biochemical alterations in New Zealand white rabbits (Oryctolagus cuniculus). Turk. J. Vet. Anim. Sci. 2009, 34, 525–531. [Google Scholar] [CrossRef]
- Hassan, F.F.; Al-Aamery, R.A.; Hussein, S.N.; Hashim, R.T. Evaluation of the Expression of RCC and KIM-1 Biomarkers in Nephrotoxicity of Rabbits Treated with Ochratoxins A. J. Popul. Ther. Clin. Pharmacol. 2023, 30, e337–e343. [Google Scholar] [CrossRef]
- Fathi, A. Immunosuppressive and cytotoxic properties of Ochratoxin-A and protective role of Selenium in Rabbits. Suez Canal Vet. Med. J. 2014, 19, 39–50. [Google Scholar] [CrossRef]
- Tene, V.; Malago, O.; Finzi, P.V.; Vidari, G. An ethnobotanical survey of medicinal plants used in Loja and Zamora chinchipi, Equador. J. Ethnopharmacol. 2007, 111, 63–81. [Google Scholar] [CrossRef]
- Mukherjee, P.K.; Wahile, A. Integrated approaches towards drug development from Ayurveda and other Indian system of medicines. J. Ethnopharmacol. 2006, 103, 25–35. [Google Scholar] [CrossRef]
- Gilani, A.H.; Rahman, A.U. Trends Ethnopharmacology. J. Ethnopharmacol. 2005, 100, 43–49. [Google Scholar] [CrossRef]
- Kaur, R.; Kaur, H.; Dhindsa, A.S. Glycyrrhiza glabra: A phytopharmacological review. Int. J. Pharm. Sci. Res. 2013, 4, 2470–2477. [Google Scholar]
- Gohil, K.J.; Patel, J.A.; Gajjar, A.K. Pharmacological review on Centella asiatica: A potential herbal cure-all. Indian J. Pharm. Sci. 2010, 72, 546–556. [Google Scholar] [CrossRef]
- Katiyar, S.K. Silymarin and skin cancer prevention: Anti-inflammatory, antioxidant and immunomodulatory effects (Review). Int. J. Oncol. 2005, 26, 169–176. [Google Scholar] [CrossRef]
- Pradhan, S.C.; Girish, C. Hepatoprotective herbal drug, silymarin from experimental pharmacology to clinical medicine. Indian J. Med. Res. 2006, 124, 491–504. [Google Scholar]
- Pradeep, K.; Mohan, C.V.; Gobianand, K.; Karthikeyan, S. Silymarin modulates the oxidant-antioxidant imbalance during diethylnitrosamine induced oxidative stress in rats. Eur. J. Pharmacol. 2007, 560, 110–116. [Google Scholar] [CrossRef] [PubMed]
- Pradeep, K.; Mohan, C.V.; Gobianand, K.; Karthikeyan, S. Silymarin: An effective hepatoprotective agent against diethylnitrosamine- induced hepatotoxicity in rats. Pharm. Biol. 2007, 45, 707–714. [Google Scholar] [CrossRef]
- Kaur, M.; Agarwal, R. Silymarin and epithelial cancer chemoprevention: How close we are to bedside? Toxicol. Appl. Pharmacol. 2007, 224, 350–359. [Google Scholar] [CrossRef] [PubMed]
- Vajdi, M.; Adeli, S.; Karimi, A.; Asghariazar, V.; Jazani, A.M.; Azgomi, R.N. The Impact of Silymarin on Inflammation and Oxidative Stress: A Systematic Review and Meta-Analysis of Randomized Controlled Trials. Int. J. Clin. Pract. 2025, 1, 3985207. [Google Scholar] [CrossRef]
- Mohammadi, S.; Ashtary-Larky, D.; Asbaghi, O.; Farrokhi, V.; Jadidi, Y.; Mofidi, F.; Mohammadian, M.; Afrisham, R. Effects of silymarin supplementation on liver and kidney functions: A systematic review and dose–response meta-analysis. Phytother. Res. 2024, 38, 2572–2593. [Google Scholar] [CrossRef]
- Muhammad, D.; Chand, N.; Khan, S.; Sultan, A.; Mushtaq, M.; Ullah, R. Hepatoprotective role of milk thistle (Silybum marianum) in meat type chicken fed aflatoxin B1 contaminated feed. Pak. Vet. J. 2012, 32, 443–446. [Google Scholar]
- Shaarawy, S.M.; Tohamy, A.A.; Elgendy, S.M.; Abd Elmageed, Z.A.; Bahnasy, A.; Mohamed, M.S.; Kandil, E.; Matrougui, K. Protective effects of garlic and silymarin on NDEA-induced rats hepatotoxicity. Int. J. Biol. Sci. 2009, 5, 549–557. [Google Scholar] [CrossRef]
- Cullere, M.; Dalle Zotte, A.; Celia, C.; Renteria-Monterrubio, A.L.; Gerencsér, Z.; Szendrő, Z.; Kovács, M.; Kachlek, M.L.; Matics, Z. Effect of Silybum marianum herb on the productive performance, carcass traits and meat quality of growing rabbits. Livest. Sci. 2016, 194, 31–36. [Google Scholar] [CrossRef]
- Kosina, P.; Dokoupilová, A.; Janda, K.; Sládková, K.; Silberová, P.; Pivodová, V.; Ulrichová, J. Effect of Silybum marianum fruit constituents on the health status of rabbits in repeated 42-day fattening experiment. Anim. Feed Sci. Technol. 2017, 223, 128–140. [Google Scholar] [CrossRef]
- Seo, M.G.; Jo, M.J.; Hong, N.I.; Kim, M.J.; Shim, K.S.; Shin, E.; Lee, J.J.; Park, S.J. Anti-inflammatory and anti-vascular leakage effects by combination of Centella asiatica and Vitis vinifera L. leaf extracts. Evid.-Based Complement. Altern. Med. 2021, 1, 7381620. [Google Scholar] [CrossRef]
- Altiz, J.; Garcia, M.S.P.; Garcia, E.R.M. Growth Performance of Rabbit Fed with Salvinia (Salvinia molesta) and Gotu Kola (Centella asiatica) as Feed Supplement in the Diet. Int. J. Innov. Sci. Res. Technol. 2023, 8, 2391–2394. [Google Scholar]
- Oyedeji, O.A.; Afolayan, A.J. Chemical composition and antibacterial activity of the essential oil of Centella asiatica growing in South Africa. Pharm. Biol. 2005, 43, 249–252. [Google Scholar] [CrossRef]
- Stoev, S.D.; Njobeh, P.; Zarkov, I.; Mircheva, T.; Zapryanova, T.; Denev, S.; Dimitrova, B. Selected herbal feed additives showing protective effects against ochratoxin A toxicosis in broiler chicks. World Mycotoxin J. 2019, 12, 257–268. [Google Scholar] [CrossRef]
- Stoev, S.D.; Anguelov, G.; Ivanov, I.; Pavlov, D. Influence of ochratoxin A and an extract of artichoke on the vaccinal immunity and health in broiler chicks. Exp. Toxicol. Pathol. 2000, 52, 43–55. [Google Scholar] [CrossRef]
- Stoev, S.D.; Goundasheva, D.; Mirtcheva, T.; Mantle, P.G. Susceptibility to secondary bacterial infections in growing pigs as an early response in ochratoxicosis. Exp. Toxicol. Pathol. 2000, 52, 287–296. [Google Scholar] [CrossRef]
- Stoev, S.D. Biocontrol Agents and Natural Feed Supplements as a Safe and Cost-Effective Way for Preventing Health Ailments Provoked by Mycotoxins. Foods 2025, 14, 1960. [Google Scholar] [CrossRef]
- Mikulska, P.; Malinowska, M.; Ignacyk, M.; Szustowski, P.; Nowak, J.; Pesta, K.; Szeląg, M.; Szklanny, D.; Judasz, E.; Kaczmarek, G.; et al. Ashwagandha (Withania somnifera)—Current research on the health-promoting activities: A Narrative Review. Pharmaceutics 2023, 15, 1057. [Google Scholar] [CrossRef]
- Mishra, L.C.; Singh, M.D.; Dagenais, B.B. Scientific basis for the therapeutic use of Withania somnifera (Ashwagandha): A Review. Altern. Med. Rev. 2000, 5, 334–346. [Google Scholar]
- Elberry, A.A.; Harraz, F.M.; Ghareib, S.A.; Nagy, A.A.; Gabr, S.A.; Suliaman, M.I.; Abdel-Sattar, E. Antihepatotoxic effect of Marrubium vulgare and Withania somnifera extracts on carbon tetrachloride-induced hepatotoxicity in rats. J. Basic Clin. Pharm. 2010, 1, 247–254. [Google Scholar]
- Anwar, H.; Rahman, Z.; Sohail, M.U.; Iftikhar, A.; Hussain, G.; Ullah, M.I.; Ali, M.A.; Shaukat, A. Evaluation of Health Biomarkers in Hyperlipidemic Albino Rabbits after Treatment with Withania somnifera and Lactuca scariola. Pak. J. Life Soc. Sci. 2015, 13, 31–36. [Google Scholar]
- Harris, J.P.; Mantle, P.G. The biosynthesis of ochratoxins by Aspergillus ochraceus. Phytochemistry 2001, 58, 709–716. [Google Scholar] [CrossRef] [PubMed]
- Stoev, S.D.; Dutton, M.; Njobeh, P.; Mosonik, M.; Steenkamp, P. Mycotoxic nephropathy in Bulgarian pigs and chickens: Complex aetiology and similarity to Balkan Enedemic Nephropathy. Food Addit. Contam. Part A 2010, 27, 72–88. [Google Scholar] [CrossRef]
- Assar, D.H.; Asa, S.A.; El-Abasy, M.A.; Elbialy, Z.I.; Shukry, M.; Latif, A.A.E.; BinMowyna, M.N.; Althobaiti, N.A.; El-Magd, M.A. Aspergillus awamori attenuates ochratoxin A-induced renal and cardiac injuries in rabbits by activating the Nrf2/HO-1 signaling pathway and downregulating IL1β, TNFα, and iNOS gene expressions. Environ. Sci. Pollut. Res. 2022, 29, 69798–69817. [Google Scholar]
- Kumar, M.; Dwivedi, P.; Sharma, A.K.; Telang, A.G.; Patil, R.D.; Singh, N.D. Immunotoxicity of Ochratoxin and Citrinin in New Zealand White rabbits. World Rabbit Sci. 2008, 16, 7–12. [Google Scholar]
- Wangikar, P.B.; Dwivedi, P.; Sinha, N.; Sharma, A.K.; Telang, A.G. Teratogenic effects in rabbits of simultaneous exposure to ochratoxin A and aflatoxin B1 with special reference to microscopic effects. Toxicology 2005, 215, 37–47. [Google Scholar] [CrossRef]
- Shalini, M. Studies on ochratoxin contamination and ochratoxicosis in rabbits. Ph.D. Thesis, Bhavnagar University, Bhavnagar, India, 1996; pp. 1–124. [Google Scholar]
- Zofair, S.M.; Shalini, M.; Verma, R.J. Ochratoxin induced hemolysis in rabbits. Indian J. Exp. Biol. 1996, 34, 592–593. [Google Scholar]
- Salama, M.S.A.; Morsy, W.A.M.; Mohamed, R.A.; El-midany, S.A. Effect of some feed-additives on the growth performance, physiological response and histopathological changes of rabbits subjected to ochratoxin A feed contamination. Slov. Vet. Res. 2019, 56, 499–508. [Google Scholar]
- Rahimtula, A.D.; Bereziat, J.C.; Bussacchini-Griot, V.; Bartsch, H. Lipid peroxidation as a possible cause of ochratoxin A toxicity. Biochem. Pharmacol. 1988, 37, 4469–4477. [Google Scholar] [CrossRef]
- Orrenius, S.; Bellomo, G. Toxicological implications of perturbation of Ca2+ homeostasis in hepatocytes. In Calcium and Cell Function; Cheung, W.Y., Ed.; Academic Press: Orlando, FL, USA, 1986; p. 185. [Google Scholar]
- Mohiudin, S.M.; Warasi, S.M.A.; Reddy, M.V. Haematological and biochemical changes in broiler chicken. Indian Vet. J. 1993, 70, 613–617. [Google Scholar]
- Stoev, S.D.; Djuvinov, D.; Mirtcheva, T.; Pavlov, D.; Mantle, P. Studies on some feed additives giving partial protection against ochratoxin A toxicity in chicks. Toxicol. Lett. 2002, 135, 33–50. [Google Scholar] [CrossRef] [PubMed]
- Stoev, S.D.; Stefanov, M.; Denev, S.; Radic, B.; Domijan, A.M.; Peraica, M. Experimental mycotoxicosis in chickens induced by ochratoxin A and penicillic acid and intervention by natural plant extracts. Vet. Res. Commun. 2004, 28, 727–746. [Google Scholar] [PubMed]
- Prabu, P.C.; Dwivedi, P.; Sharma, A.K. Toxicopathological studies on the effects of aflatoxin B1, ochratoxin A and their interaction in New Zealand White rabbits. Exp. Toxicol. Pathol. 2013, 65, 277–286. [Google Scholar] [CrossRef] [PubMed]
- Roth, A.; Chakor, K.; Creppy, E.E.; Kane, A.; Roschenthaler, R.; Dirheimer, G. Evidence for an enterohepatic circulation of ochratoxin A in mice. Toxicology 1988, 48, 293–308. [Google Scholar] [CrossRef]
- Fuchs, R.; Radic, B.; Peraica, M.; Hult, K.; Plestina, R. Enterohepatic circulation of ochratoxin A in rats. Period. Biol. 1988, 90, 39–42. [Google Scholar]
- Groves, C.E.; Morales, M.N.; Wright, S.H. Peritubular transport of ochratoxin A in rabbit renal proximal tubules. J. Pharmacol. Exp. Ther. 1998, 284, 943–948. [Google Scholar] [CrossRef]
- Mézes, M.; Balogh, K. Mycotoxins in rabbit feed: A review. World Rabbit Sci. 2009, 17, 53–62. [Google Scholar]
- Deeb, B.J. Respiratory Disease and Pasteurellosis. In Ferrets, Rabbits, and Rodents; Saunders: Collingwood, ON, Canada, 2004; pp. 172–182. [Google Scholar] [CrossRef] [PubMed Central]
- Mir, M.S.; Dwivedi, P. Immunopathology of Ochratoxicosis-A in New Zealand White Rabbits (Oryctolagus cuniculus). VetScan Online Vet. J. 2010, 5, 54. [Google Scholar]
- Dwivedi, P.; Burns, R.B. Pathology of ochratoxicosis A in young broiler chicks. Res. Vet. Sci. 1984, 36, 92–103. [Google Scholar] [CrossRef]
- Harvey, R.B.; Elissalde, M.H.; Kubena, L.F.; Weaver, E.A.; Corrier, D.E.; Clement, B.A. Immunotoxicity of ochratoxin A to growing gilts. Am. J. Vet. Res. 1992, 53, 1966–1970. [Google Scholar] [CrossRef]
- Dwivedi, P.; Burns, R.B. Immunosuppressive effects of Ochratoxin a in young Turkeys. Avian Pathol. 1985, 14, 213–225. [Google Scholar] [CrossRef] [PubMed]
- Mir, M.S.; Dwivedi, P.; Shafi, M. Effects of Ochratoxin—A Intoxication on Susceptibility to Pasteurella multocida 12:A Infection in New Zealand White Rabbits (Oryctolagus cuniculus). SKUAST J. Res. 2013, 15, 128–136. [Google Scholar]
- Tedesco, D.; Domeneghini, C.; Sciannimanico, D.; Tameni, M.; Steidler, S.; Galletti, S. Efficacy of silymarin-phospholipid complex in reducing the toxicity of aflatoxin B1 in broiler chicks. J. Poult. Sci. 2004, 83, 1839–1843. [Google Scholar] [CrossRef] [PubMed]
- Rahman, S.A.; Jamal, M.A.H.; Parvin, A.; Al-Mamun, M.; Islam, R. Antidiabetic activity of Centella asiatica (L.) urbana in alloxan induced Type 1 diabetic model rats. J. Biosci. 2011, 19, 23–27. [Google Scholar] [CrossRef]
- Ghonaim, A.H.; Hopo, M.G.; Ismail, A.K.; AboElnaga, T.R.; Elgawish, R.A.; Abdou, R.H.; Elhady, K.A. Hepatoprotective and renoprotective effects of silymarin against salinomycin-induced toxicity in adult rabbits. Vet. World 2022, 15, 2244–2252. [Google Scholar] [CrossRef]
- Jahan, S.; Khan, M.; Imran, S.; Sair, M. The hepatoprotective role of Silymarin in isoniazid induced liver damage of rabbits. J. Pak. Med. Assoc. 2015, 65, 620–622. [Google Scholar]
- Abid Ali, W.D.; Khudair, A.R.N.; Al-Masoudi, E.A. Influence of silymarin extracted from Silybum marianum seeds compared to legalon against nickel chloride induced hematological and biochemical changes in male rabbits. Bas. J. Vet. Res. 2015, 14, 293–305. [Google Scholar]
- Varzi, H.N.; Esmailzadeh, S.; Morovvati, H.; Avizeh, R.; Shahriari, A.; Givi, M.E. Effect of silymarin and vitamin E on gentamicin-induced nephrotoxicity in dogs. J. Vet. Pharmacol. Ther. 2007, 30, 477–481. [Google Scholar] [CrossRef]
- Soto, C.; Pérez, J.; García, V.; Uría, E.; Vadillo, M.; Raya, L. Effect of silymarin on kidneys of rats suffering from alloxan-induced diabetes mellitus. Phytomedicine 2010, 17, 1090–1094. [Google Scholar] [CrossRef]
- Upadhyay, G.; Tiwari, M.N.; Prakash, O.; Jyoti, A.; Shanker, R.; Singh, M.P. Involvement of multiple molecular events in pyrogallol-induced hepatotoxicity and silymarin-mediated protection: Evidence from gene expression profiles. Food Chem. Toxicol. 2010, 48, 1660–1670. [Google Scholar] [CrossRef]
- Ludovico, A.; Capasso, R.; Milic, N.; Capasso, F. Milk thistle in liver diseases: Past, present, future. Phytother. Res. 2010, 24, 1423–1432. [Google Scholar]
- Stoev, S.D. Natural feed additives and bioactive supplements versus chemical additives as a safe and practical approach to combat foodborne mycotoxicoses. Front. Nutr. 2024, 11, 1335779. [Google Scholar] [CrossRef]



| Group | Body Weight (b.w.) |
|---|---|
| (kg) | |
| OTA | 2.14 ± 0.05 a |
| WS + OTA | 2.7 ± 0.04 ab |
| CA + OTA | 2.87 ± 0.04 ab |
| SM + OTA | 2.69 ± 0.03 ab |
| SIL + OTA | 2.71 ± 0.03 ab |
| Control | 3.19 ± 0.04 b |
| Group | 0 Day | 28th Day |
|---|---|---|
| OTA | 0.10 ± 0.021 | 0.51 ± 0.06 a |
| WS + OTA | 0.09 ± 0.001 | 0.93 ± 0.20 bc |
| CA + OTA | 0.09 ± 0.005 | 0.53 ± 0.07 a |
| SM + OTA | 0.10 ± 0.008 | 0.60 ± 0.06 a |
| SIL + OTA | 0.09 ± 0.002 | 1.14 ± 0.12 bc |
| Control | 0.10 ± 0.011 | 1.01 ± 0.02 bc |
| Pathomorphological Changes | OTA + SIL | OTA + SM | OTA + WS | OTA + CA | OTA |
|---|---|---|---|---|---|
| Liver | |||||
| Degenerative lesions in hepatocytes | ++ | ++ | ++ | ++ | ++++ |
| Congestion or perivascular mononuclear infiltration | + | + | + | + | +++ |
| Activation of endothelial cells and Kupffer’s cells | + | + | + | + | ++ |
| Bile duct proliferation and fibrosis or edema around bile ducts | ++ | ++ | + | + | +++ |
| Focal necroses and/or fibrin accumulation in rabbits with pasteurellosis # | - | ++ | - | ++ | +++++ |
| Kidneys | |||||
| Granular degeneration in proximal tubules | ++ | ++ | ++ | ++ | ++++ |
| Congestion of peritubular capillaries | + | + | + | + | ++ |
| Inflammatory cells infiltration in interstitium | + | + | + | + | +++ |
| Endothelial proliferation in peritubular capillary | + | + | + | + | ++ |
| Proliferation of connective tissue on the 80th day * | + | - | + | - | +++ |
| Sclerosis of some glomerules on the 80th day * | - | + | + | + | +++ |
| Tubular atrophy and retention cysts on the 80th day * | - | - | + | - | +++ |
| Thrombosis of some vessels (fibrin clots) in rabbits with pasteurellosis # | - | + | - | + | ++ |
| Lung | |||||
| Congestion of vessels and presence of siderocytes | + | + | + | + | ++ |
| Peribronchial or perivascular mononuclear infiltration | + | + | + | + | ++ |
| Focal catarrhal pneumonia | + | + | + | + | ++ |
| Purulent or croupous pneumonia and/or abscesses in rabbits with pasteurellosis # | - | +++++ | - | +++++ | +++++ |
| Fibrinous pleurisy and pericarditis, incl. adhesions in rabbits with pasteurellosis # | - | +++ | - | +++ | +++++ |
| Thrombosis (fibrin clots) in vessels in rabbits with pasteurellosis # | - | +++ | - | +++ | +++++ |
| Myocardium | |||||
| Vascular congestion | + | + | + | + | ++ |
| Mononuclear cells infiltration | + | + | - | + | ++ |
| Slight granular degeneration and/or lytic changes | + | + | + | + | ++ |
| Strong granular degeneration and/or thrombosis (fibrin clots) in vessels in rabbits with pasteurellosis # | - | ++ | - | ++ | +++++ |
| Spleen | |||||
| Degenerative lesions in white pulp | - | + | - | + | ++ |
| Depletion of cells in white pulp | - | + | + | ++ | +++ |
| White pulp reduction and predomination of red pulp in rabbits with pasteurellosis # | - | ++ | - | ++ | +++ |
| Thymus | |||||
| Degenerative lesions or depletion of cells in cortex | + | + | + | ++ | +++ |
| Intestines | |||||
| Degenerative lesions of surface/glandular epithelium | + | + | + | + | ++ |
| Vascular congestion | + | + | + | + | ++ |
| Brain | |||||
| Lytic/pyknotic changes in tigroid substance of neurons | + | + | + | + | ++ |
| Lytic changes in brain substance | + | + | + | + | ++ |
| Pericapillary and pericellular edema | + | + | + | + | ++ |
| Pericapillary infiltration with lymphocytes | - | - | - | - | ++ |
| Focal proliferation of microglia | - | - | - | - | ++ |
| Cerebellum | |||||
| Lytic changes in lamina medullaris or Purkinje cells | + | + | + | + | ++ |
| Ovary | |||||
| Connective tissue proliferation and interstitial edema on the 80th day * | + | + | + | + | ++ |
| Vascular congestion | - | - | - | - | + |
| Testicles | |||||
| Degenerative lesions in seminiferous tubules on the 80th day * | + | + | + | + | ++ |
| Interstitial edema on the 80th day * | + | + | + | + | ++ |
| Group | OTA in Feed | Herbal Supplements in Feed |
|---|---|---|
| (ppm-mg/kg) | (ppm or mg/kg.b.w.) | |
| OTA | 2 | none |
| WS + OTA | 2 | 4000 ppm W. somnifera radix powder (around 200 mg/kg b.w.) |
| CA + OTA | 2 | 4600 ppm C. asiatica leaves powder (around 230 mg/kg b.w.) |
| SM + OTA | 2 | 5000 ppm S. marianum fruits powder (around 250 mg/kg b.w.) |
| SIL + OTA | 2 | 25,000 ppm Extract Powder of Silymarin (around 1250 mg/kg b.w.) |
| CONTROL | none | none |
Disclaimer/Publisher’s Note: The statements, opinions and data contained in all publications are solely those of the individual author(s) and contributor(s) and not of MDPI and/or the editor(s). MDPI and/or the editor(s) disclaim responsibility for any injury to people or property resulting from any ideas, methods, instructions or products referred to in the content. |
© 2025 by the authors. Licensee MDPI, Basel, Switzerland. This article is an open access article distributed under the terms and conditions of the Creative Commons Attribution (CC BY) license (https://creativecommons.org/licenses/by/4.0/).
Share and Cite
Zhivkova, K.; Stoev, S.; Petrov, V.; Ivanov, V. Susceptibility to Secondary Bacterial Infections in Growing Rabbits Exposed to Ochratoxin A and Protected or Not by Herbal Supplements. Toxins 2025, 17, 507. https://doi.org/10.3390/toxins17100507
Zhivkova K, Stoev S, Petrov V, Ivanov V. Susceptibility to Secondary Bacterial Infections in Growing Rabbits Exposed to Ochratoxin A and Protected or Not by Herbal Supplements. Toxins. 2025; 17(10):507. https://doi.org/10.3390/toxins17100507
Chicago/Turabian StyleZhivkova, Kalina, Stoycho Stoev, Vladimir Petrov, and Vesselin Ivanov. 2025. "Susceptibility to Secondary Bacterial Infections in Growing Rabbits Exposed to Ochratoxin A and Protected or Not by Herbal Supplements" Toxins 17, no. 10: 507. https://doi.org/10.3390/toxins17100507
APA StyleZhivkova, K., Stoev, S., Petrov, V., & Ivanov, V. (2025). Susceptibility to Secondary Bacterial Infections in Growing Rabbits Exposed to Ochratoxin A and Protected or Not by Herbal Supplements. Toxins, 17(10), 507. https://doi.org/10.3390/toxins17100507

