Efficacy of Two Commercially Available Adsorbents to Reduce the Combined Toxic Effects of Dietary Aflatoxins, Fumonisins, and Zearalenone and Their Residues in the Tissues of Weaned Pigs
Abstract
:1. Introduction
2. Results
2.1. Growth Performance
2.2. Serum Biochemistry
2.3. Relative Organ Weights
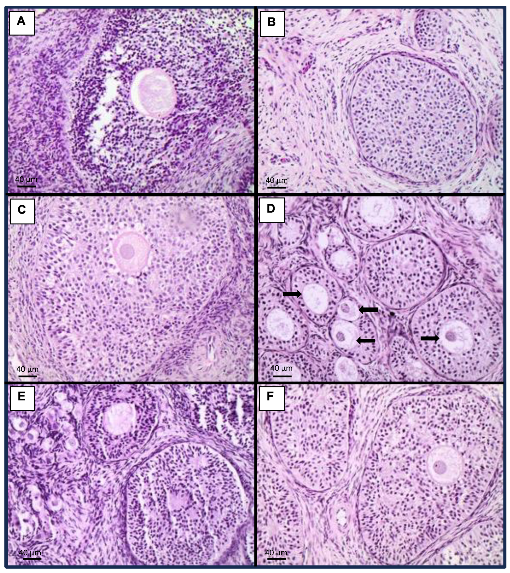
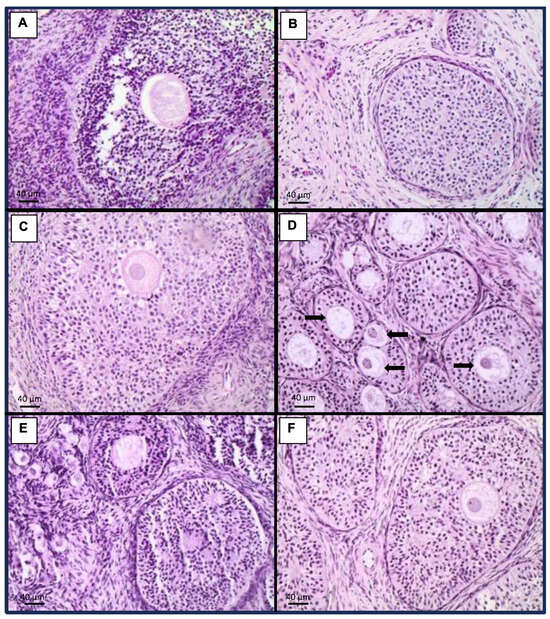
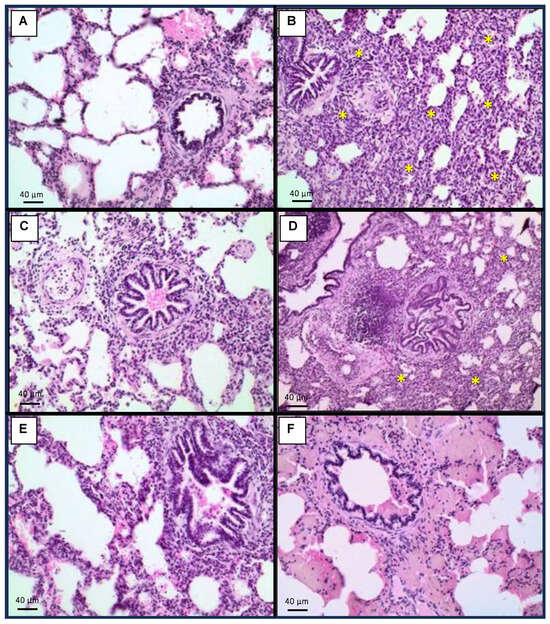
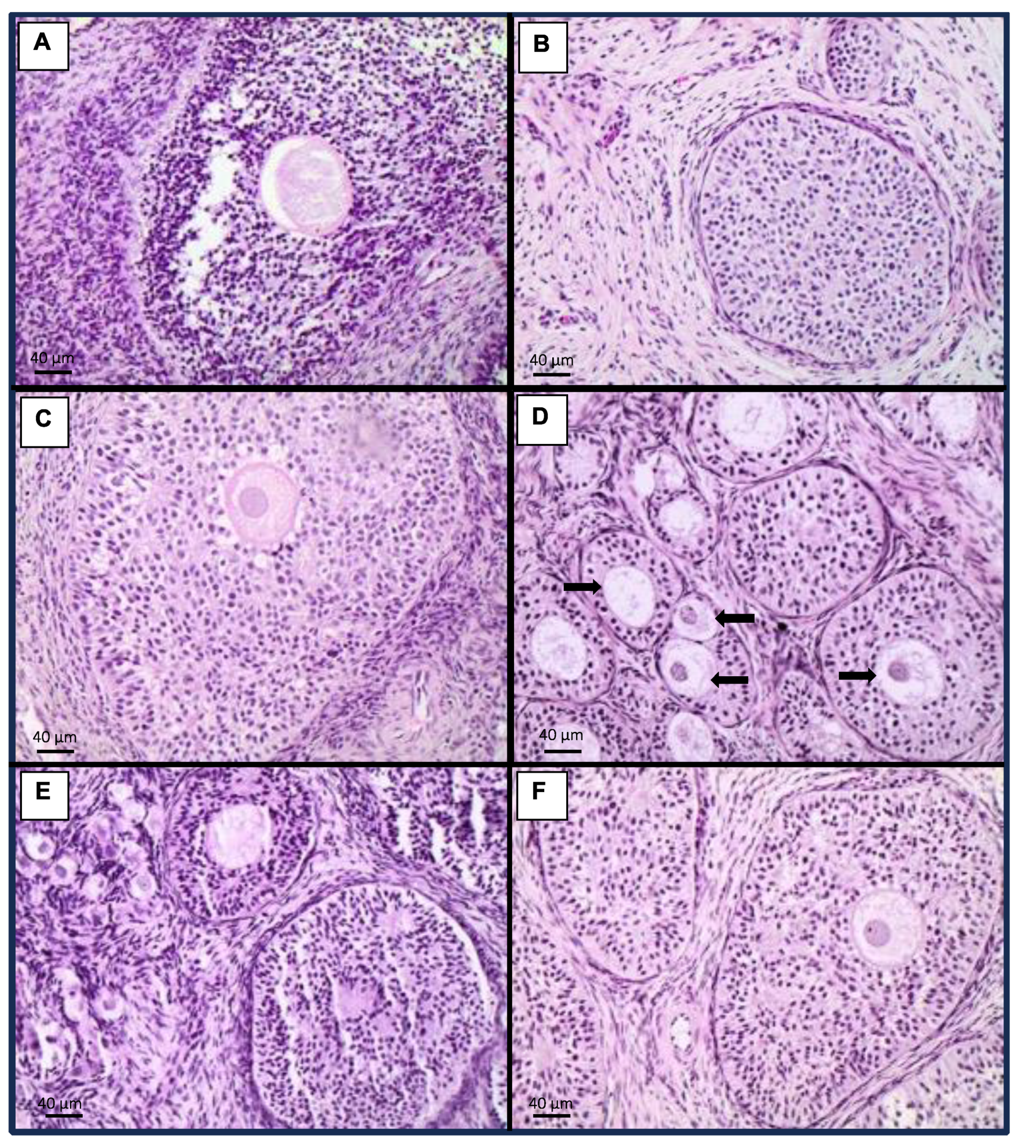
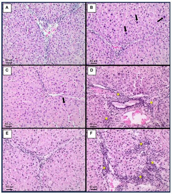
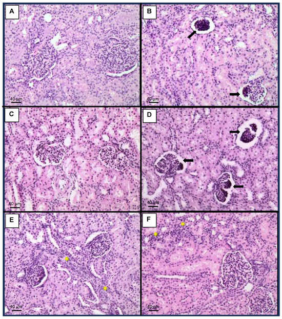
2.4. Histopathology
2.5. Mycotoxin Residues in Liver and Kidneys
3. Discussion
4. Conclusions
5. Materials and Methods
5.1. Animals, Diets, and Experimental Design
5.2. Sample Collection, Biochemical and Histological Analyses
5.3. Determination of Mycotoxin Residues in Liver and Kidneys
5.4. Statistical Analysis
Supplementary Materials
Author Contributions
Funding
Institutional Review Board Statement
Informed Consent Statement
Data Availability Statement
Conflicts of Interest
References
- Alshannaq, A.; Yu, J.-H. Occurrence, Toxicity, and Analysis of Major Mycotoxins in Food. Int. J. Env. Res. Public. Health 2017, 14, 632. [Google Scholar] [CrossRef] [PubMed]
- Eskola, M.; Kos, G.; Elliott, C.T.; Hajšlová, J.; Mayar, S.; Krska, R. Worldwide Contamination of Food-Crops with Mycotoxins: Validity of the Widely Cited ‘FAO Estimate’ of 25%. Crit. Rev. Food Sci. Nutr. 2020, 60, 2773–2789. [Google Scholar] [CrossRef] [PubMed]
- Lu, Q.; Ruan, H.-N.; Sun, X.-Q.; Luo, J.-Y.; Yang, M.-H. Contamination Status and Health Risk Assessment of 31 Mycotoxins in Six Edible and Medicinal Plants Using a Novel Green Defatting and Depigmenting Pretreatment Coupled with LC-MS/MS. LWT 2022, 161, 113401. [Google Scholar] [CrossRef]
- Schrenk, D.; Bignami, M.; Bodin, L.; Chipman, J.K.; del Mazo, J.; Grasl-Kraupp, B.; Hogstrand, C.; Leblanc, J.; Nielsen, E.; Ntzani, E.; et al. Assessment of Information as Regards the Toxicity of Fumonisins for Pigs, Poultry and Horses. EFSA J. 2022, 20, e07534. [Google Scholar] [CrossRef] [PubMed]
- Schrenk, D.; Bignami, M.; Bodin, L.; Chipman, J.K.; del Mazo, J.; Grasl-Kraupp, B.; Hogstrand, C.; Hoogenboom, L.; Leblanc, J.; Nebbia, C.S.; et al. Risk Assessment of Aflatoxins in Food. EFSA J. 2020, 18, e06040. [Google Scholar] [CrossRef] [PubMed]
- EFSA. Evaluation of the Increase of Risk for Public Health Related to a Possible Temporary Derogation from the Maximum Level of Deoxynivalenol, Zearalenone and Fumonisins for Maize and Maize Products. EFSA J. 2014, 12, e03699. [Google Scholar] [CrossRef]
- Gao, X.; Sun, L.; Zhang, N.; Li, C.; Zhang, J.; Xiao, Z.; Qi, D. Gestational Zearalenone Exposure Causes Reproductive and Developmental Toxicity in Pregnant Rats and Female Offspring. Toxins 2017, 9, 21. [Google Scholar] [CrossRef]
- Schoevers, E.J.; Santos, R.R.; Colenbrander, B.; Fink-Gremmels, J.; Roelen, B.A.J. Transgenerational Toxicity of Zearalenone in Pigs. Reprod. Toxicol. 2012, 34, 110–119. [Google Scholar] [CrossRef]
- Kępińska-Pacelik, J.; Biel, W. Alimentary Risk of Mycotoxins for Humans and Animals. Toxins 2021, 13, 822. [Google Scholar] [CrossRef]
- Souto, P.C.M.C.; Ramalho, L.N.Z.; Ramalho, F.S.; Gregorio, M.C.; Bordin, K.; Cossalter, A.-M.; Oswald, I.P.; Oliveira, C.A.F. Ganho de Peso, Consumo de Ração e Histologia de Órgãos de Leitões Alimentados Com Rações Contendo Baixos Níveis de Fumonisina B1. Pesqui. Veterinária Bras. 2015, 35, 451–455. [Google Scholar] [CrossRef]
- Holanda, D.M.; Kim, S.W. Mycotoxin Occurrence, Toxicity, and Detoxifying Agents in Pig Production with an Emphasis on Deoxynivalenol. Toxins 2021, 13, 171. [Google Scholar] [CrossRef] [PubMed]
- Raj, J.; Vasiljević, M.; Tassis, P.; Farkaš, H.; Männer, K. Efficacy of a Multicomponent Mycotoxin Detoxifying Agent on Concurrent Exposure to Zearalenone and T-2 Mycotoxin in Weaned Pigs. Livest. Sci. 2020, 242, 104295. [Google Scholar] [CrossRef]
- Li, C.; Liu, X.; Wu, J.; Ji, X.; Xu, Q. Research Progress in Toxicological Effects and Mechanism of Aflatoxin B1 Toxin. PeerJ 2022, 10, e13850. [Google Scholar] [CrossRef] [PubMed]
- Neeff, D.V.; Ledoux, D.R.; Rottinghaus, G.E.; Bermudez, A.J.; Dakovic, A.; Murarolli, R.A.; Oliveira, C.A.F. In Vitro and in Vivo Efficacy of a Hydrated Sodium Calcium Aluminosilicate to Bind and Reduce Aflatoxin Residues in Tissues of Broiler Chicks Fed Aflatoxin B1. Poult. Sci. 2013, 92, 131–137. [Google Scholar] [CrossRef] [PubMed]
- Vila-Donat, P.; Marín, S.; Sanchis, V.; Ramos, A.J. A Review of the Mycotoxin Adsorbing Agents, with an Emphasis on Their Multi-Binding Capacity, for Animal Feed Decontamination. Food Chem. Toxicol. 2018, 114, 246–259. [Google Scholar] [CrossRef] [PubMed]
- Raj, J.; Vasiljević, M.; Tassis, P.; Farkaš, H.; Bošnjak-Neumüller, J.; Männer, K. Effects of a Modified Clinoptilolite Zeolite on Growth Performance, Health Status and Detoxification of Aflatoxin B 1 and Ochratoxin A in Male Broiler Chickens. Br. Poult. Sci. 2021, 62, 601–610. [Google Scholar] [CrossRef]
- Latham, R.L.; Boyle, J.T.; Barbano, A.; Loveman, W.G.; Brown, N.A. Diverse Mycotoxin Threats to Safe Food and Feed Cereals. Essays Biochem. 2023, 67, 797–809. [Google Scholar] [CrossRef] [PubMed]
- Alassane-Kpembi, I.; Schatzmayr, G.; Taranu, I.; Marin, D.; Puel, O.; Oswald, I.P. Mycotoxins Co-Contamination: Methodological Aspects and Biological Relevance of Combined Toxicity Studies. Crit. Rev. Food Sci. Nutr. 2017, 57, 3489–3507. [Google Scholar] [CrossRef]
- Dilkin, P.; Zorzete, P.; Mallmann, C.A.; Gomes, J.D.F.; Utiyama, C.E.; Oetting, L.L.; Corrêa, B. Toxicological Effects of Chronic Low Doses of Aflatoxin B1 and Fumonisin B1-Containing Fusarium Moniliforme Culture Material in Weaned Piglets. Food Chem. Toxicol. 2003, 41, 1345–1353. [Google Scholar] [CrossRef]
- Harvey, R.B.; Kubena, L.F.; Elissalde, M.H.; Corrier, D.E.; Huff, W.E.; Rottinghaus, G.E.; Clement, B.A. Cocontamination of Swine Diets by Aflatoxin and Diacetoxyscirpenol. J. Vet. Diagn. Investig. 1991, 3, 155–160. [Google Scholar] [CrossRef]
- Popescu, R.G.; Bulgaru, C.; Untea, A.; Vlassa, M.; Filip, M.; Hermenean, A.; Marin, D.; Țăranu, I.; Georgescu, S.E.; Dinischiotu, A. The Effectiveness of Dietary Byproduct Antioxidants on Induced CYP Genes Expression and Histological Alteration in Piglets Liver and Kidney Fed with Aflatoxin B1 and Ochratoxin A. Toxins 2021, 13, 148. [Google Scholar] [CrossRef] [PubMed]
- Buszewska-Forajta, M. Mycotoxins, Invisible Danger of Feedstuff with Toxic Effect on Animals. Toxicon 2020, 182, 34–53. [Google Scholar] [CrossRef] [PubMed]
- Engin, A.B.; Engin, A. DNA Damage Checkpoint Response to Aflatoxin B1. Env. Toxicol. Pharmacol. 2019, 65, 90–96. [Google Scholar] [CrossRef] [PubMed]
- Dohnal, V.; Wu, Q.; Kuča, K. Metabolism of Aflatoxins: Key Enzymes and Interindividual as Well as Interspecies Differences. Arch. Toxicol. 2014, 88, 1635–1644. [Google Scholar] [CrossRef] [PubMed]
- Bertero, A.; Moretti, A.; Spicer, L.J.; Caloni, F. Fusarium Molds and Mycotoxins: Potential Species-Specific Effects. Toxins 2018, 10, 244. [Google Scholar] [CrossRef] [PubMed]
- Zinedine, A.; Soriano, J.M.; Moltó, J.C.; Mañes, J. Review on the Toxicity, Occurrence, Metabolism, Detoxification, Regulations and Intake of Zearalenone: An Oestrogenic Mycotoxin. Food Chem. Toxicol. 2007, 45, 1–18. [Google Scholar] [CrossRef]
- Obremski, K.; Gajęcki, M.; Zwierzchowski, W.; Bakuła, T.; Apoznański, J.; Wojciechowski, J. The Level of Zearalenone and α-Zearalenol in the Blood of Gilts with Clinical Symptoms of Toxicosis, Fed Diets with a Low Zearalenone Content. J. Anim. Feed. Sci. 2003, 12, 529–538. [Google Scholar] [CrossRef]
- Fu, J.-C.; Chen, Q.; Du, J.; Shi, B.-M.; Shan, A.-S. Effectiveness of Maifanite in Reducing the Detrimental Effects of Aflatoxin B1 on Hematology, Aflatoxin B1 Residues, and Antioxidant Enzymes Activities of Weanling Piglets. Livest. Sci. 2013, 157, 218–224. [Google Scholar] [CrossRef]
- Dilkin, P.; Direito, G.; Simas, M.M.S.; Mallmann, C.A.; Corrêa, B. Toxicokinetics and Toxicological Effects of Single Oral Dose of Fumonisin B1 Containing Fusarium Verticillioides Culture Material in Weaned Piglets. Chem. Biol. Interact. 2010, 185, 157–162. [Google Scholar] [CrossRef]
- Weaver, A.C.; See, M.T.; Kim, S.W. Protective Effect of Two Yeast Based Feed Additives on Pigs Chronically Exposed to Deoxynivalenol and Zearalenone. Toxins 2014, 6, 3336–3353. [Google Scholar] [CrossRef]
- Horky, P.; Nevrkla, P.; Kopec, T.; Bano, I.; Skoric, M.; Skladanka, J.; Skalickova, S. Is a New Generation of Mycotoxin Clay Adsorbents Safe in a Pig’s Diet? Porc. Health Manag. 2022, 8, 31. [Google Scholar] [CrossRef]
- Grenier, B.; Bracarense, A.-P.F.L.; Schwartz, H.E.; Trumel, C.; Cossalter, A.-M.; Schatzmayr, G.; Kolf-Clauw, M.; Moll, W.-D.; Oswald, I.P. The Low Intestinal and Hepatic Toxicity of Hydrolyzed Fumonisin B1 Correlates with Its Inability to Alter the Metabolism of Sphingolipids. Biochem. Pharmacol. 2012, 83, 1465–1473. [Google Scholar] [CrossRef]
- Franco, L.T.; Petta, T.; Rottinghaus, G.E.; Bordin, K.; Gomes, G.A.; Alvito, P.; Assunção, R.; Oliveira, C.A.F. Assessment of Mycotoxin Exposure and Risk Characterization Using Occurrence Data in Foods and Urinary Biomarkers in Brazil. Food Chem. Toxicol. 2019, 128, 21–34. [Google Scholar] [CrossRef] [PubMed]
- Cao, X.; Li, X.; Li, J.; Niu, Y.; Shi, L.; Fang, Z.; Zhang, T.; Ding, H. Quantitative Determination of Carcinogenic Mycotoxins in Human and Animal Biological Matrices and Animal-Derived Foods Using Multi-Mycotoxin and Analyte-Specific High Performance Liquid Chromatography-Tandem Mass Spectrometric Methods. J. Chromatogr. B 2018, 1073, 191–200. [Google Scholar] [CrossRef]




| Treatment 2 | Body-Weight Gain (kg) | Feed Consumption (kg) | Feed: Gain |
|---|---|---|---|
| A | 29.8 ± 0.97 a | 8.12 ± 0.59 a | 0.21 ± 0.01 a |
| B | 24.4 ± 2.15 b | 6,74 ± 1.24 a | 0.19 ± 0.02 a |
| C | 26.7 ± 3.23 ab | 6.39 ± 1.22 a | 0.20 ± 0.03 a |
| D | 30.2 ± 1.73 a | 6.63 ± 1.02 a | 0.19 ± 0.02 a |
| E | 28.5 ± 2.08 a | 6.22 ± 0.27 a | 0.20 ± 0.03 a |
| F | 27.9 ± 1.19 a | 6.67 ± 0.57 a | 0.19 ± 0.02 a |
| Treatment 2 | TP (g/dL) | ALB (g/dL) | AST (g/dL) | ALT (IU/L) | ALP (IU/L) |
|---|---|---|---|---|---|
| A | 5.05 ± 0.78 a | 3.13 ± 0.59 a | 31.5 ± 12.2 a | 58.6 ± 28.5 a | 392 ± 207 a |
| B | 4.76 ± 0.36 a | 3.00 ± 0.38 a | 35.8 ± 8.24 a | 60.8 ± 27.8 a | 367 ± 186 a |
| C | 5.01 ± 0.86 a | 3.37 ± 0.64 a | 32.1 ± 16.0 a | 53.1 ± 20.7 a | 378 ± 154 a |
| D | 4.95 ± 0.94 a | 3.35 ± 0.62 a | 34.5 ± 11.5 a | 58.0 ± 24.0 a | 419 ± 180 a |
| E | 4.80 ± 0.64 a | 3.42 ± 0.50 a | 33.4 ± 10.7 a | 48.6 ± 15.0 a | 405 ± 184 a |
| F | 5.06 ± 1.21 a | 3.11 ± 0.53 a | 24.1 ± 8.64 a | 45.3 ± 13.1 a | 379 ± 121 a |
| Treatment 2 | Liver | Kidneys | Uterus | Ovarium | Lungs |
|---|---|---|---|---|---|
| A | 2.36 ± 0.28 b | 0.51 ± 0.04 a | 0.12 ± 0.01 b | 0.01 ± 0.00 a | 1.27 ± 0.14 a |
| B | 3.43 ± 0.41 a | 0.51 ± 0.05 a | 0.22 ± 0.09 a | 0.01 ± 0.01 a | 1.24 ± 0.21 a |
| C | 3.61 ± 0.69 a | 0.54 ± 0.04 a | 0.19 ± 0.05 ab | 0.00 ± 0.00 a | 1.40 ± 0.21 a |
| D | 2.89 ± 0.21 ab | 0.49 ± 0.03 a | 0.15 ± 0.03 b | 0.00 ± 0.00 a | 1.23 ± 0.14 a |
| E | 3.13 ± 0.60 ab | 0.54 ± 0.10 a | 0.19 ± 0.05 ab | 0.01 ± 0.02 a | 1.55 ± 0.82 a |
| F | 3.03 ± 0.36 ab | 0.47 ± 0.02 a | 0.16 ± 0.02 b | 0.01 ± 0.01 a | 1.34 ± 0.53 a |
| Treatment 2 | Width | Height | Length |
|---|---|---|---|
| A | 2.13 ± 0.40 c | 2.37 ± 0.35 c | 1.72 ± 0.25 c |
| B | 2.76 ± 0.81 a | 3.54 ± 0.52 a | 2.34 ± 0.31 a |
| C | 2.50 ± 0.40 ab | 3.19 ± 0.14 ab | 1.90 ± 0.33 bc |
| D | 2.49 ± 0.43 ab | 3.20 ± 0.39 ab | 2.13 ± 0.40 b |
| E | 2.31 ± 0.23 b | 2.89 ± 0.45 b | 2.09 ± 0.25 b |
| F | 2.44 ± 0.18 ab | 2.96 ± 0.29 b | 2.03 ± 0.25 bc |
| Treatment 2 | AFM1 (µg/kg) | AFs 3 (µg/kg) | FBs 4 (µg/kg) | ZEN (µg/kg) | α-ZEL (µg/kg) | β-ZEL (µg/kg) |
|---|---|---|---|---|---|---|
| A | <LOQ | <LOQ | <LOQ | <LOQ | <LOQ | <LOQ |
| B | 0.92 ± 0.07 | 3.99 ± 0.22 | 2.59 ± 0.97 a | 23.3 ± 3.7 a | <LOQ | <LOQ |
| C | <LOQ | <LOQ | 1.67 ± 0.10 c | 19.3 ± 3.2 b | <LOQ | <LOQ |
| D | <LOQ | <LOQ | 1.99 ± 0.78 b | 16.1 ± 3.6 c | <LOQ | <LOQ |
| E | <LOQ | <LOQ | 1.52 ± 0.88 c | 15.7 ± 2.4 c | <LOQ | <LOQ |
| F | <LOQ | <LOQ | 1.65 ± 0.59 c | 10.5 ± 1.7 d | <LOQ | <LOQ |
| Treatment 2 | AFM1 (µg/kg) | Afs 3 (µg/kg) | FBs 4 (µg/kg) | ZEN (µg/kg) | α-ZEL (µg/kg) | β-ZEL (µg/kg) |
|---|---|---|---|---|---|---|
| A | <LOQ | <LOQ | <LOQ | <LOQ | <LOQ | <LOQ |
| B | 2.63 ± 0.31 a | 9.13 ± 0.25 a | 4.32 ± 0.65 a | 41.6 ± 5.7 a | <LOQ | <LOQ |
| C | <LOQ | <LOQ | 2.98 ± 1.11 b | 34.3 ± 3.3 b | <LOQ | <LOQ |
| D | <LOQ | <LOQ | 3.25 ± 1.56 b | 30.5 ± 4.2 c | <LOQ | <LOQ |
| E | 1.06 ± 0.20 b | 4.25 ± 0.53 b | 2.77 ± 1.02 c | 23.1 ± 2.9 d | <LOQ | <LOQ |
| F | 0.80 ± 0.11 b | 1.92 ± 0.24 c | 2.63 ± 1.32 c | 17.4 ± 2.1 d | <LOQ | <LOQ |
| Treatment 2 | AFB1 (μg/kg) | AFB2 (μg/kg) | AFG1 (μg/kg) | AFG1 (μg/kg) | FB1 (μg/kg) | FB2 (μg/kg) | ZEN (μg/kg) |
|---|---|---|---|---|---|---|---|
| A | <LOQ | <LOQ | <LOQ | <LOQ | <LOQ | <LOQ | <LOQ |
| B | 310 ± 40.2 | 43.1 ± 9.80 | 132 ± 23.4 | 11.3 ± 12.7 | 935 ± 105 | 210 ± 98.2 | 847 ± 43,5 |
| C | 284 ± 32.3 | 34.0 ± 10.2 | 123 ± 22.1 | 14.8 ± 9.60 | 847 ± 98.5 | 232 ± 101 | 985 ± 73.4 |
| D | 275 ± 23.0 | 32.8 ± 9.65 | 113 ± 30.2 | 10.3 ± 9.6 | 997 ± 99.7 | 324 ± 97.3 | 943 ± 64.7 |
| E | 314 ± 95.2 | 33.5 ± 9.76 | 121 ± 22.5 | 9.88 ± 9.66 | 955 ± 102 | 298 ± 100 | 939 ± 62.2 |
| F | 312 ± 98.5 | 38.6 ± 10.3 | 134 ± 42.3 | 11.4 ± 9.75 | 998 ± 98.8 | 196 ± 98.5 | 995 ± 82.3 |
Disclaimer/Publisher’s Note: The statements, opinions and data contained in all publications are solely those of the individual author(s) and contributor(s) and not of MDPI and/or the editor(s). MDPI and/or the editor(s) disclaim responsibility for any injury to people or property resulting from any ideas, methods, instructions or products referred to in the content. |
© 2023 by the authors. Licensee MDPI, Basel, Switzerland. This article is an open access article distributed under the terms and conditions of the Creative Commons Attribution (CC BY) license (https://creativecommons.org/licenses/by/4.0/).
Share and Cite
Aoyanagi, M.M.d.C.C.; Budiño, F.E.L.; Raj, J.; Vasiljević, M.; Ali, S.; Ramalho, L.N.Z.; Ramalho, F.S.; Corassin, C.H.; Ghantous, G.F.; Oliveira, C.A.F.d. Efficacy of Two Commercially Available Adsorbents to Reduce the Combined Toxic Effects of Dietary Aflatoxins, Fumonisins, and Zearalenone and Their Residues in the Tissues of Weaned Pigs. Toxins 2023, 15, 629. https://doi.org/10.3390/toxins15110629
Aoyanagi MMdCC, Budiño FEL, Raj J, Vasiljević M, Ali S, Ramalho LNZ, Ramalho FS, Corassin CH, Ghantous GF, Oliveira CAFd. Efficacy of Two Commercially Available Adsorbents to Reduce the Combined Toxic Effects of Dietary Aflatoxins, Fumonisins, and Zearalenone and Their Residues in the Tissues of Weaned Pigs. Toxins. 2023; 15(11):629. https://doi.org/10.3390/toxins15110629
Chicago/Turabian StyleAoyanagi, Micheli Midori de Cerqueira Costa, Fábio Enrique Lemos Budiño, Jog Raj, Marko Vasiljević, Sher Ali, Leandra Naira Zambelli Ramalho, Fernando Silva Ramalho, Carlos Humberto Corassin, Giovana Fumes Ghantous, and Carlos Augusto Fernandes de Oliveira. 2023. "Efficacy of Two Commercially Available Adsorbents to Reduce the Combined Toxic Effects of Dietary Aflatoxins, Fumonisins, and Zearalenone and Their Residues in the Tissues of Weaned Pigs" Toxins 15, no. 11: 629. https://doi.org/10.3390/toxins15110629
APA StyleAoyanagi, M. M. d. C. C., Budiño, F. E. L., Raj, J., Vasiljević, M., Ali, S., Ramalho, L. N. Z., Ramalho, F. S., Corassin, C. H., Ghantous, G. F., & Oliveira, C. A. F. d. (2023). Efficacy of Two Commercially Available Adsorbents to Reduce the Combined Toxic Effects of Dietary Aflatoxins, Fumonisins, and Zearalenone and Their Residues in the Tissues of Weaned Pigs. Toxins, 15(11), 629. https://doi.org/10.3390/toxins15110629

