Origanum vulgare Essential Oil Modulates the AFB1-Induced Oxidative Damages, Nephropathy, and Altered Inflammatory Responses in Growing Rabbits
Abstract
1. Introduction
2. Results
2.1. Effects on Kidney Function Markers
2.2. Effects on Oxidative Stress Biomarkers in Kidney
2.3. Effects on Inflammatory Biomarkers
2.4. Effects on Stress and Inflammatory Cytokines-Encoding Genes
2.5. Bioaccumulation of AFB1 Residues in Kidney Tissue
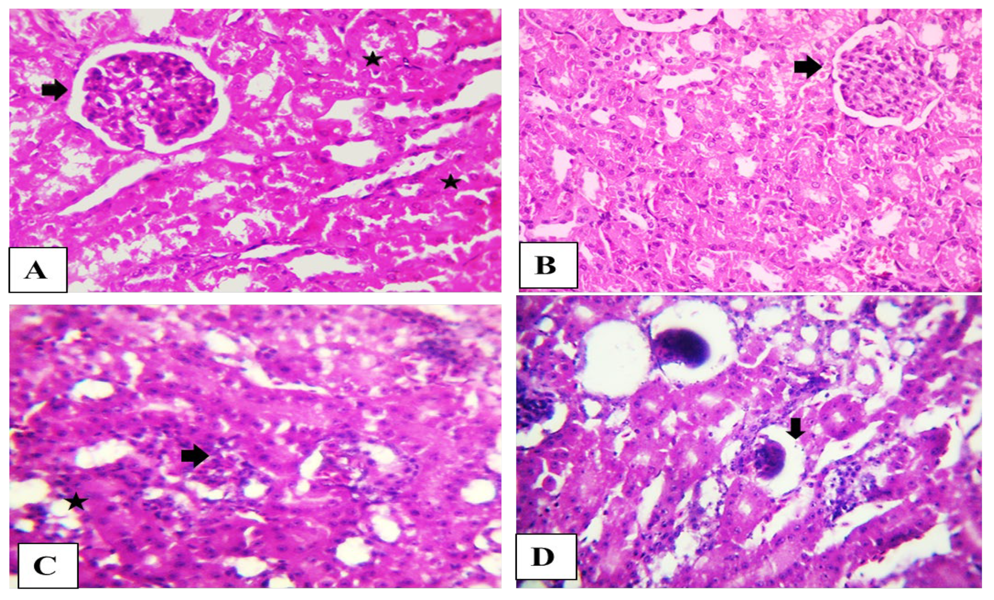
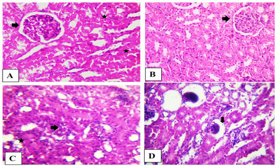
2.6. Histopathological Findings
3. Discussion
4. Conclusions
5. Materials and Methods
5.1. Chemicals
5.2. Animals and Experimental Design
5.3. Sampling and Analysis
5.4. Antioxidant Biomarkers
5.5. Oxidative Stress Biomarkers
5.6. Glomerular Filtration and Kidney Function Markers
5.7. Inflammatory Biomarkers
5.8. Vicam AflaTest Fluorometer Technique
5.9. Gene’s Transcriptional Analysis (qRT-PCR Study)
5.10. Histopathological Examination
5.11. Statistical Analysis
Author Contributions
Funding
Institutional Review Board Statement
Informed Consent Statement
Data Availability Statement
Acknowledgments
Conflicts of Interest
References
- Jedziniak, P.; Panasiuk, Ł.; Pietruszka, K.; Posyniak, A. Multiple mycotoxins analysis in animal feed with LC-MS/MS: Comparison of extract dilution and immunoaffinity clean-up. J. Sep. Sci. 2019, 42, 1240–1247. [Google Scholar] [CrossRef]
- Tahir, M.A.; Abbas, A.; Muneeb, M.; Bilal, R.M.; Hussain, K.; Abdel-Moneim, A.-M.E.; Farag, M.R.; Dhama, K.; Elnesr, S.S.; Alagawany, M. Ochratoxicosis in poultry: Occurrence, environmental factors, pathological alterations and amelioration strategies. World’s Poult. Sci. J. 2022, 78, 727–749. [Google Scholar] [CrossRef]
- Hassan, A.A.; Mogda, K.M.; Ibrahim, E.M.; Naglaa, M.A.; Flourage, A.M.A.; Rady, M.; Darwish, A.S. Aflatoxicosis in Rabbits with particular reference to their control by N. Acetyl Cysteine and Probiotic. Int. J. Curr. Res. 2016, 8, 25547–25560. [Google Scholar]
- Barati, M.; Chamani, M.; Mousavi, S.N.; Hoseini, S.A.; Taj Abadi Ebrahimi, M. Effects of biological and mineral compounds in aflatoxin-contaminated diets on blood parameters and immune response of broiler chickens. J. Appl. Anim. Res. 2018, 46, 707–713. [Google Scholar] [CrossRef]
- Reda, F.M.; Ismail, I.E.; El-Mekkawy, M.M.; Farag, M.R.; Mahmoud, H.K.; Alagawany, M. Dietary supplementation of potassium sorbate, hydrated sodium calcium almuniosilicate and methionine enhances growth, antioxidant status and immunity in growing rabbits exposed to aflatoxin B1 in the diet. J. Anim. Physiol. Anim. Nutr. 2020, 104, 196–203. [Google Scholar] [CrossRef] [PubMed]
- Ismail, I.E.; Farag, M.R.; Alagawany, M.; Mahmoud, H.K.; Reda, F.M. Efficacy of some feed additives to attenuate the hepato-renal damage induced by aflatoxin B1 in rabbits. J. Anim. Physiol. Anim. Nutr. 2020, 104, 1343–1350. [Google Scholar] [CrossRef] [PubMed]
- Dalle Zotte, A. Rabbit farming for meat purposes. Anim. Front. 2014, 4, 62–67. [Google Scholar] [CrossRef]
- Farombi, O.E. Aflatoxin contamination of foods in developing countries: Implications for hepatocellular carcinoma and chemopreventive strategies. Afr. J. Biotechnol. 2006, 5, 1–14. [Google Scholar]
- El-Nahla, S.M.; Imam, H.M.; Moussa, E.A.; Ibrahim, A.M.; Ghanam, A.R. Teratogenic effects of aflatoxin in Rabbits (Oryctolagus cuniculus). J. Vet. Anat. 2013, 6, 67–85. [Google Scholar] [CrossRef]
- Mohsenzadeh, M.S.; Hedayati, N.; Riahi-Zanjani, B.; Karimi, G. Immunosuppression following dietary aflatoxin B1 exposure: A review of the existing evidence. Toxin Rev. 2016, 35, 121–127. [Google Scholar] [CrossRef]
- Bakkali, F.; Averbeck, S.; Averbeck, D.; Idaomar, M. Biological effects of essential oils—A review. Food Chem. Toxicol. 2008, 46, 446–475. [Google Scholar] [CrossRef]
- Wang, L.; Liu, B.; Jin, J.; Ma, L.; Dai, X.; Pan, L.; Liu, Y.; Zhao, Y.; Xing, F. The Complex Essential Oils Highly Control the Toxigenic Fungal Microbiome and Major Mycotoxins During Storage of Maize. Front. Microbiol. 2019, 10, 1643. [Google Scholar] [CrossRef] [PubMed]
- Iseppi, R.; Di Cerbo, A.; Aloisi, P.; Manelli, M.; Pellesi, V.; Provenzano, C.; Camellini, S.; Messi, P.; Sabia, C. In Vitro Activity of Essential Oils Against Planktonic and Biofilm Cells of Extended-Spectrum beta-Lactamase (ESBL)/Carbapenamase-Producing Gram-Negative Bacteria Involved in Human Nosocomial Infections. Antibiotics 2020, 9, 272. [Google Scholar] [CrossRef] [PubMed]
- Carson, C.F.; Hammer, K.A. Chemistry and Bioactivity of Essential Oils. In Lipids and Essential Oils as Antimicrobial Agents; John Wiley & Sons: Hoboken, NJ, USA, 2011; pp. 203–238. [Google Scholar] [CrossRef]
- Carmo, E.S.; de Oliveira Lima, E.; de Souza, E.L. The potential of Origanum vulgare L. (Lamiaceae) essential oil in inhibiting the growth of some food-related Aspergillus species. Braz. J. Microbiol. 2008, 39, 362–367. [Google Scholar] [CrossRef]
- Alagawany, M.; Farag, M.R.; Salah, A.S.; Mahmoud, M.A. The role of oregano herb and its derivatives as immunomodulators in fish. Rev. Aquac. 2020, 12, 2481–2492. [Google Scholar] [CrossRef]
- Di Cerbo, A.; Morales-Medina, J.C.; Palmieri, B.; Pezzuto, F.; Cocco, R.; Flores, G.; Iannitti, T. Functional foods in pet nutrition: Focus on dogs and cats. Res. Vet. Sci. 2017, 112, 161–166. [Google Scholar] [CrossRef]
- Di Cerbo, A.; Palmieri, B.; Chiavolelli, F.; Guidetti, G.; Canello, S. Functional Foods in Pets and Humans. Int. J. Appl. Res. Veterianry Med. 2014, 12, 192–199. [Google Scholar]
- Guidetti, G.; Di Cerbo, A.; Giovazzino, A.; Rubino, V.; Palatucci, A.T.; Centenaro, S.; Fraccaroli, E.; Cortese, L.; Bonomo, M.G.; Ruggiero, G.; et al. In Vitro Effects of Some Botanicals with Anti-Inflammatory and Antitoxic Activity. J. Immunol. Res. 2016, 2016, 5457010. [Google Scholar] [CrossRef]
- Araújo, D.L.; Machado, B.A.d.S.; Mascarenhas, J.M.F.; Alves, S.P.; Sousa, S.L.F.d.; Moura, L.C.d.; Melo, B.C.; Luz, T.E.M.; Loures, L.L.d.S.; Apolinário, J.M.d.S.d.S.; et al. Analysis of the antimicrobial activity of the essential oil of oregano (Origanum vulgare): A review study on the main effects on pathogens. Res. Soc. Dev. 2021, 10, e36810212584. [Google Scholar] [CrossRef]
- Mirza Alizadeh, A.; Golzan, S.A.; Mahdavi, A.; Dakhili, S.; Torki, Z.; Hosseini, H. Recent advances on the efficacy of essential oils on mycotoxin secretion and their mode of action. Crit. Rev. Food Sci. Nutr. 2022, 62, 4726–4751. [Google Scholar] [CrossRef]
- Tahir, N.I.; Hussain, S.; Javed, M.; Rehman, H.; Shahzady, T.G.; Parveen, B.; Ali, K.G. Nature of aflatoxins: Their extraction, analysis, and control. J. Food Saf. 2018, 38, e12561. [Google Scholar] [CrossRef]
- Yilmaz, S.; Kaya, E.; Karaca, A.; Karatas, O. Aflatoxin B(1) induced renal and cardiac damage in rats: Protective effect of lycopene. Res. Vet. Sci. 2018, 119, 268–275. [Google Scholar] [CrossRef]
- Zowail, M.; El-Balshy, R.; Asran, A.; Khidr, F.; Amer, N. Protective effect of Origanum majorana against the toxicity of bromadialone on adult male albino rat. Egypt. J. Exp. Biol. (Zool.) 2019, 15, 263. [Google Scholar] [CrossRef]
- Filler, G.; Bokenkamp, A.; Hofmann, W.; Le Bricon, T.; Martinez-Bru, C.; Grubb, A. Cystatin C as a marker of GFR--history, indications, and future research. Clin. Biochem. 2005, 38, 1–8. [Google Scholar] [CrossRef]
- Orsi, R.B.; Oliveira, C.A.; Dilkin, P.; Xavier, J.G.; Direito, G.M.; Correa, B. Effects of oral administration of aflatoxin B1 and fumonisin B1 in rabbits (Oryctolagus cuniculus). Chem. Biol. Interact. 2007, 170, 201–208. [Google Scholar] [CrossRef] [PubMed]
- Abdou, I.M.; Abdel-Hamied, M.N.; Mohamady, S.N.; Abdullah, S.H.; Gehan, N.A.G. The Positive effects of vitamin E and selenium with activated charcoal against aflatoxin induced oxidative stress and cytotoxic damage in rabbits. Egypt. J. Chem. Environ. Health 2015, 1, 798–820. [Google Scholar] [CrossRef]
- Zhao, W.; Wang, L.; Liu, M.; Jiang, K.; Wang, M.; Yang, G.; Qi, C.; Wang, B. Transcriptome, antioxidant enzyme activity and histopathology analysis of hepatopancreas from the white shrimp Litopenaeus vannamei fed with aflatoxin B1(AFB1). Dev. Comp. Immunol. 2017, 74, 69–81. [Google Scholar] [CrossRef]
- Shen, H.M.; Ong, C.N.; Shi, C.Y. Involvement of reactive oxygen species in aflatoxin B1-induced cell injury in cultured rat hepatocytes. Toxicology 1995, 99, 115–123. [Google Scholar] [CrossRef]
- Akinrinde, A.S.; Adebiyi, O.E.; Asekun, A. Amelioration of Aflatoxin B1-induced gastrointestinal injuries by Eucalyptus oil in rats. J. Complement. Integr. Med. 2019, 17, 20190002. [Google Scholar] [CrossRef]
- Rodriguez-Garcia, I.; Silva-Espinoza, B.A.; Ortega-Ramirez, L.A.; Leyva, J.M.; Siddiqui, M.W.; Cruz-Valenzuela, M.R.; Gonzalez-Aguilar, G.A.; Ayala-Zavala, J.F. Oregano Essential Oil as an Antimicrobial and Antioxidant Additive in Food Products. Crit. Rev. Food Sci. Nutr. 2016, 56, 1717–1727. [Google Scholar] [CrossRef]
- Alagawany, M.; Abd El-Hack, M.E.; Farag, M.R.; Shaheen, H.M.; Abdel-Latif, M.A.; Noreldin, A.E.; Patra, A.K. The usefulness of oregano and its derivatives in poultry nutrition. World’s Poult. Sci. J. 2018, 74, 463–474. [Google Scholar] [CrossRef]
- Zhang, L.Y.; Peng, Q.Y.; Liu, Y.R.; Ma, Q.G.; Zhang, J.Y.; Guo, Y.P.; Xue, Z.; Zhao, L.H. Effects of oregano essential oil as an antibiotic growth promoter alternative on growth performance, antioxidant status, and intestinal health of broilers. Poult. Sci. 2021, 100, 101163. [Google Scholar] [CrossRef]
- Marin, D.E.; Bulgaru, C.V.; Anghel, C.A.; Pistol, G.C.; Dore, M.I.; Palade, M.L.; Taranu, I. Grape Seed Waste Counteracts Aflatoxin B1 Toxicity in Piglet Mesenteric Lymph Nodes. Toxins 2020, 12, 800. [Google Scholar] [CrossRef] [PubMed]
- Dey, D.K.; Chang, S.N.; Kang, S.C. The inflammation response and risk associated with aflatoxin B1 contamination was minimized by insect peptide CopA3 treatment and act towards the beneficial health outcomes. Environ. Pollut. 2021, 268, 115713. [Google Scholar] [CrossRef]
- Cruceriu, D.; Baldasici, O.; Balacescu, O.; Berindan-Neagoe, I. The dual role of tumor necrosis factor-alpha (TNF-alpha) in breast cancer: Molecular insights and therapeutic approaches. Cell. Oncol. 2020, 43, 1–18. [Google Scholar] [CrossRef] [PubMed]
- Arranz, E.; Jaime, L.; López de las Hazas, M.C.; Reglero, G.; Santoyo, S. Supercritical fluid extraction as an alternative process to obtain essential oils with anti-inflammatory properties from marjoram and sweet basil. Ind. Crops Prod. 2015, 67, 121–129. [Google Scholar] [CrossRef]
- Han, X.; Parker, T.L. Anti-inflammatory, tissue remodeling, immunomodulatory, and anticancer activities of oregano (Origanum vulgare) essential oil in a human skin disease model. Biochim. Open 2017, 4, 73–77. [Google Scholar] [CrossRef] [PubMed]
- Li, H.; Li, S.; Yang, H.; Wang, Y.; Wang, J.; Zheng, N. l-Proline Alleviates Kidney Injury Caused by AFB1 and AFM1 through Regulating Excessive Apoptosis of Kidney Cells. Toxins 2019, 11, 226. [Google Scholar] [CrossRef]
- Gallo, A.; Landi, R.; Rubino, V.; Di Cerbo, A.; Giovazzino, A.; Palatucci, A.T.; Centenaro, S.; Guidetti, G.; Canello, S.; Cortese, L.; et al. Oxytetracycline induces DNA damage and epigenetic changes: A possible risk for human and animal health? PeerJ 2017, 5, e3236. [Google Scholar] [CrossRef]
- Di Cerbo, A.; Rubino, V.; Morelli, F.; Ruggiero, G.; Landi, R.; Guidetti, G.; Canello, S.; Terrazzano, G.; Alessandrini, A. Mechanical phenotyping of K562 cells by the Micropipette Aspiration Technique allows identifying mechanical changes induced by drugs. Sci. Rep. 2018, 8, 1219. [Google Scholar] [CrossRef]
- Habibi, E.; Shokrzadeh, M.; Ahmadi, A.; Chabra, A.; Naghshvar, F.; Keshavarz-Maleki, R. Genoprotective effects of Origanum vulgare ethanolic extract against cyclophosphamide-induced genotoxicity in mouse bone marrow cells. Pharm. Biol. 2015, 53, 92–97. [Google Scholar] [CrossRef] [PubMed]
- Arami, S.; Ahmadi, A.; Haeri, S.A. The radioprotective effects of Origanum vulgare extract against genotoxicity induced by (131)I in human blood lymphocyte. Cancer Biother. Radiopharm. 2013, 28, 201–206. [Google Scholar] [CrossRef] [PubMed]
- Smigielski, K.; Dolot, M.; Raj, A. Composition of the Essential Oils of Ginseng Roots of Panax quinquefolium L. and Panax ginseng C.A. Meyer. J. Essent. Oil Bearing Plants 2006, 9, 261–266. [Google Scholar] [CrossRef]
- Livak, K.J.; Schmittgen, T.D. Analysis of relative gene expression data using real-time quantitative PCR and the 2(-Delta Delta C(T)) Method. Methods 2001, 25, 402–408. [Google Scholar] [CrossRef]
- Suvarna, K.S.; Layton, C.; Bancroft, J.D. Bancroft’s Theory and Practice of Histological Techniques E-Book; Elsevier Health Sciences: Amsterdam, The Netherlands, 2018. [Google Scholar]



| Items | Kidney Function Markers | |||||
|---|---|---|---|---|---|---|
| Urea (mg/dL) | Creatinine (mg/dL) | Total Bilirubin (mg/dL) | Direct Bilirubin (mg/dL) | B2 Microglobulin (ng/mL) | Cystatin C (ng/mL) | |
| Control | 31.47 ± 0.93 c | 1.20 ± 0.01 b | 1.01 ± 0.00 c | 0.61 ± 0.01 b | 0.14 ± 0.00 a | 0.11 ± 0.00 b |
| OEO | 31.18 ± 0.63 c | 1.20 ± 0.01 b | 1.01 ± 0.01 c | 0.54 ± 0.03 b | 0.14 ± 0.00 a | 0.10 ± 0.00 b |
| AFB1 | 64.26 ± 1.63 a | 1.84 ± 0.02 a | 1.82 ± 0.03 a | 0.87 ± 0.1 a | 0.14 ± 0.00 a | 0.39 ± 0.01 a |
| AFB1 + OEO | 43.59 ± 1.85 b | 1.20 ± 0.01 b | 1.34 ± 0.06 b | 0.64 ± 0.09 b | 0.14 ± 0.00 a | 0.12 ± 0.00 b |
| p-value | <0.001 | <0.001 | <0.001 | <0.001 | 0.859 | <0.001 |
| Items | Antioxidant and Oxidative Stress Parameters | |||||
|---|---|---|---|---|---|---|
| SOD (μg/g tissue) | CAT (μg/g tissue) | GSH (μg/g tissue) | MDA (nmol/g tissue) | PC (nmol/g tissue) | 8-OHdG (ng/mL) | |
| Control | 0.20 ± 0.01 | 0.54 ± 1.90 b | 0.21 ± 0.00 a | 0.17 ± 0.00 b | 5.58 ± 0.08 b | 0.23 ± 0.01 b |
| OEO | 0.20 ± 0.01 | 0.80 ± 1.01 a | 0.20 ± 0.00 a | 0.11 ± 0.00 c | 5.35 ± 0.07 b | 0.19 ± 0.01 b |
| AFB1 | 0.20 ± 0.03 | 0.30 ± 0.01 c | 0.15 ± 0.00 b | 0.46 ± 0.00 a | 8.92 ± 0.15 a | 0.35 ± 0.00 a |
| AFB1 + OEO | 0.20 ± 0.01 | 0.28 ± 0.01 c | 0.07 ± 0.01 c | 0.17 ± 0.01 b | 5.57 ± 0.04 b | 0.24 ± 0.01 b |
| p-value | 0.992 | <0.001 | <0.001 | <0.001 | <0.001 | <0.001 |
| Items. | Inflammatory Biomarkers | |||
|---|---|---|---|---|
| TNFα (pg/mL) | NO (nmol/µL) | VEGF (pg/mL) | TGF-β1 (pg/mL) | |
| Control | 174.29 ± 0.69 b | 87.11 ± 0.62 a | 4.42 ± 0.02 c | 12.29 ± 0.13 c |
| OEO | 169.50 ± 0.89 b | 87.19 ± 0.53 a | 4.03 ± 0.09 c | 9.64 ± 0.22 d |
| AFB1 | 237.87 ± 2.46 a | 87.51 ± 0.17 a | 15.85 ± 0.27 a | 27.82 ± 1.09 a |
| AFB1 + OEO | 173.19 ± 0.29 b | 87.54 ± 0.48 a | 5.58 ± 0.36 b | 19.84 ± 0.83 b |
| p-value | <0.001 | 0.891 | <0.001 | <0.001 |
| No. | Bioactive Chemical Constituents | RT (min) | Peak Area, % |
|---|---|---|---|
| 1 | 19-Octanol | 9.61 | 0.27 |
| 2 | ci10s-trans Sabinene hydrate | 10.33 | 3.47 |
| 3 | Cycl11ohexanol | 10.33 | 3.47 |
| 4 | Terpinen-4-ol | 12.03 | 1.24 |
| 5 | Estragole | 12.36 | 2.61 |
| 6 | Thymol methyl ether | 12.37 | 2.3 |
| 7 | Carvacrol methyl ether | 12.41 | 5.6 |
| 8 | 2,4-Decadienal | 14.32 | 3.70 |
| 9 | 2-Pentene | 15.72 | 1.77 |
| 10 | Methyleugenol | 16.45 | 0.06 |
| 11 | Epiglobulol | 18.48 | 0.48 |
| 12 | Junipene | 18.48 | 0.48 |
| 13 | Naphthalene | 18.62 | 0.37 |
| 14 | Nerolidyl acetate | 18.76 | 0.12 |
| 15 | l-(+)-Ascorbic acid | 29.11 | 16.11 |
| 16 | 5-Amino-2-methyl-2-phenyl-2 | 29.66 | 6.20 |
| 17 | cis-13-Octadecenoic acid | 32.63 | 32.63 |
| 18 | Oleic Acid | 32.63 | 48.57 |
| 19 | Oleic acid, eicosyl ester | 32.85 | 1.15 |
| Items | Basal Diet |
|---|---|
| Ingredient | |
| Soybean meal | 15 |
| Wheat bran | 25 |
| Berseem hay | 30 |
| Barely grain | 28 |
| Limestone | 1 |
| NaCl | 0.5 |
| Premix * | 0.5 |
| Total | 100 |
| Calculated composition, % | |
| Digestible energy, MJ/kg | 10.85 |
| Crude protein | 17.29 |
| Calcium | 0.87 |
| Phosphorus | 0.54 |
| Accession No. | Genes Sequence | |
|---|---|---|
| NM_001101683.1 | F: 5′-CTGGAACGGTGAAGGTGACA-3′ R: 5′-CGGCCACATTGCAGAACTTT-3′ | β-actin |
| XM_002719559.3 | F: 5′-CGTGGAGTCCTACACCTACAAC-3′ R: 5′-ACTCGTCTTTCTCGGCCATC-3′ | HSP70 |
| NM_001082263 | F: 5′-CTGCACTTCAGGGTGATCG-3′ R: 5′-CTACGTGGGCTAGAGGCTTG-3′ | TNF-α |
| NM_001082201 | F: 5′-TTGAAGAAGAACCCGTCCTCTG-3′ R: 5′-CTCATACGTGCCAGACAACACC-3′ | IL-1β |
| NM_001081991 | F: 5′-TGCCAGGACACACTAACCAGAG-3′ R: 5′-TGTCACTCTCCTCTTTCCAATTCC-3′ | IFN-γ |
Disclaimer/Publisher’s Note: The statements, opinions and data contained in all publications are solely those of the individual author(s) and contributor(s) and not of MDPI and/or the editor(s). MDPI and/or the editor(s) disclaim responsibility for any injury to people or property resulting from any ideas, methods, instructions or products referred to in the content. |
© 2023 by the authors. Licensee MDPI, Basel, Switzerland. This article is an open access article distributed under the terms and conditions of the Creative Commons Attribution (CC BY) license (https://creativecommons.org/licenses/by/4.0/).
Share and Cite
Hassan, M.A.; Abo-Elmaaty, A.M.A.; Zaglool, A.W.; Mohamed, S.A.M.; Abou-Zeid, S.M.; Farag, M.R.; Alagawany, M.; Di Cerbo, A.; Azzam, M.M.; Alhotan, R.; et al. Origanum vulgare Essential Oil Modulates the AFB1-Induced Oxidative Damages, Nephropathy, and Altered Inflammatory Responses in Growing Rabbits. Toxins 2023, 15, 69. https://doi.org/10.3390/toxins15010069
Hassan MA, Abo-Elmaaty AMA, Zaglool AW, Mohamed SAM, Abou-Zeid SM, Farag MR, Alagawany M, Di Cerbo A, Azzam MM, Alhotan R, et al. Origanum vulgare Essential Oil Modulates the AFB1-Induced Oxidative Damages, Nephropathy, and Altered Inflammatory Responses in Growing Rabbits. Toxins. 2023; 15(1):69. https://doi.org/10.3390/toxins15010069
Chicago/Turabian StyleHassan, Mona A., Azza M. A. Abo-Elmaaty, Asmaa W. Zaglool, Sally A. M. Mohamed, Shimaa M. Abou-Zeid, Mayada R. Farag, Mahmoud Alagawany, Alessandro Di Cerbo, Mahmoud M. Azzam, Rashed Alhotan, and et al. 2023. "Origanum vulgare Essential Oil Modulates the AFB1-Induced Oxidative Damages, Nephropathy, and Altered Inflammatory Responses in Growing Rabbits" Toxins 15, no. 1: 69. https://doi.org/10.3390/toxins15010069
APA StyleHassan, M. A., Abo-Elmaaty, A. M. A., Zaglool, A. W., Mohamed, S. A. M., Abou-Zeid, S. M., Farag, M. R., Alagawany, M., Di Cerbo, A., Azzam, M. M., Alhotan, R., & EL-Hady, E. (2023). Origanum vulgare Essential Oil Modulates the AFB1-Induced Oxidative Damages, Nephropathy, and Altered Inflammatory Responses in Growing Rabbits. Toxins, 15(1), 69. https://doi.org/10.3390/toxins15010069

