Functional EL-HN Fragment as a Potent Candidate Vaccine for the Prevention of Botulinum Neurotoxin Serotype E
Abstract
1. Introduction
2. Results
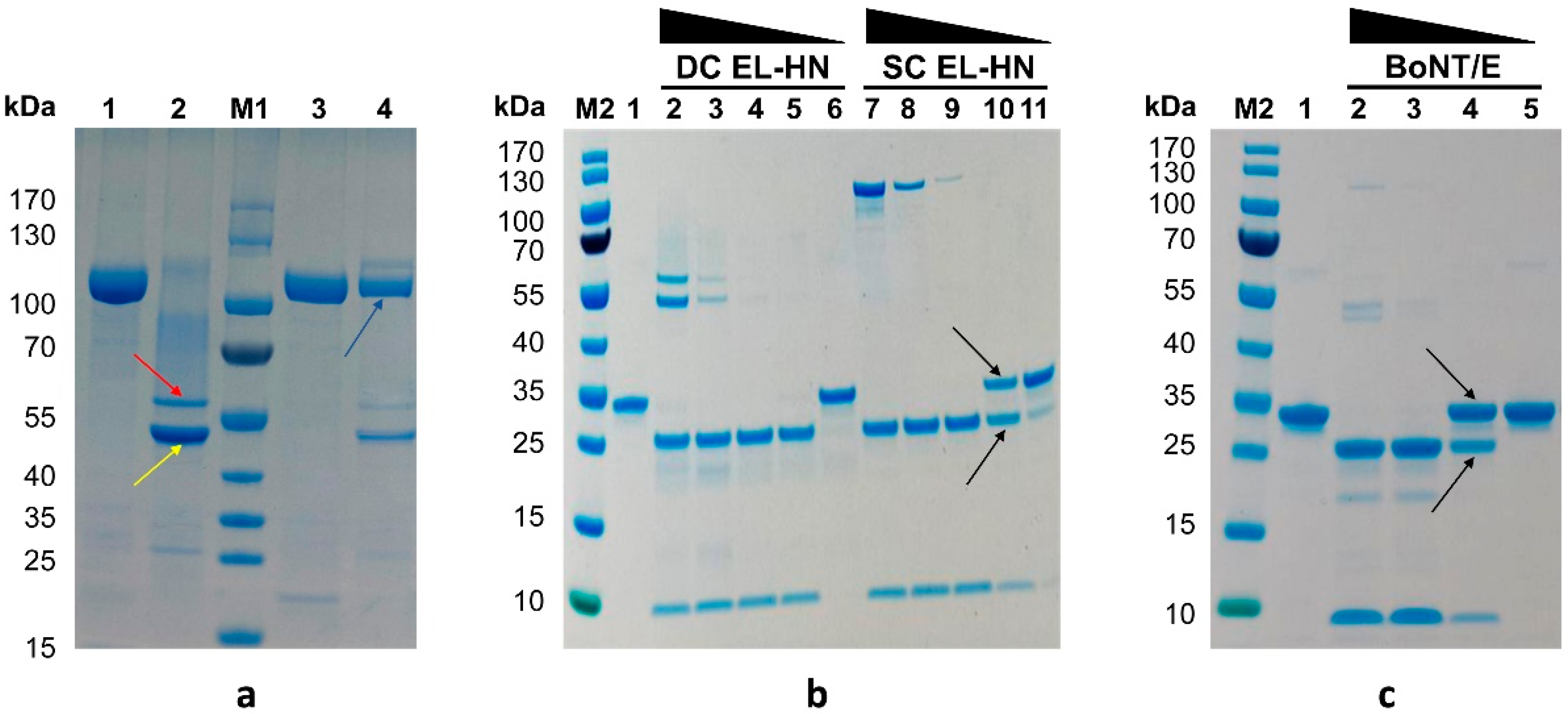
2.1. Purification and Analysis of Recombinant Functional Fragment Antigens
2.2. Function and Property of the Recombinant EL-HN Fragment
2.3. Specific Neurotoxicity of the Recombinant EL-HN Fragment
2.4. Immunoprotective Efficacy of the Functional Fragment Antigens
2.5. Determination of the Humoral Immune Response after Immunization with Different Functional Fragment Antigens
2.6. Dose-Dependent Protective Potency of the Recombinant Antigens
3. Discussion
4. Conclusions
5. Materials and Methods
5.1. Animals and Ethics Statement
5.2. Production of Recombinant Functional Fragment Antigens Derived from BoNT/E
5.3. Enzymatic Activity of EL-HN
5.4. Neurotoxicity of EL-HN In Vivo
5.5. Immunization of Mice and Challenge with BoNT/E
5.6. Determination of Humoral Immune Response after Immunization with Recombinant Functional Fragment Antigens
5.7. Determination of the Titer of Neutralizing Antibodies in Mouse Serum
5.8. Statistical Analysis
Author Contributions
Funding
Institutional Review Board Statement
Informed Consent Statement
Data Availability Statement
Conflicts of Interest
References
- Rossetto, O.; Montecucco, C. Tables of Toxicity of Botulinum and Tetanus Neurotoxins. Toxins 2019, 11, 686. [Google Scholar] [CrossRef] [PubMed]
- Pirazzini, M.; Rossetto, O.; Eleopra, R.; Montecucco, C. Botulinum Neurotoxins: Biology, Pharmacology, and Toxicology. Pharmacol. Rev. 2017, 69, 200–235. [Google Scholar] [CrossRef] [PubMed]
- Janik, E.; Ceremuga, M.; Saluk-Bijak, J.; Bijak, M. Biological Toxins as the Potential Tools for Bioterrorism. Int. J. Mol. Sci. 2019, 20, 1181. [Google Scholar] [CrossRef]
- Berger, T.; Eisenkraft, A.; Bar-Haim, E.; Kassirer, M.; Aran, A.A.; Fogel, I. Toxins as biological weapons for terror-characteristics, challenges and medical countermeasures: A mini-review. Disaster Mil. Med. 2016, 2, 7. [Google Scholar] [CrossRef] [PubMed]
- Tehran, D.A.; Pirazzini, M. Novel Botulinum Neurotoxins: Exploring Underneath the Iceberg Tip. Toxins 2018, 10, 190. [Google Scholar] [CrossRef] [PubMed]
- Hill, K.K.; Xie, G.; Foley, B.T.; Smith, T.J. Genetic diversity within the botulinum neurotoxin-producing bacteria and their neurotoxins. Toxicon Off. J. Int. Soc. Toxinol. 2015, 107 Pt A, 2–8. [Google Scholar] [CrossRef]
- Simpson, L.L. The binding fragment from tetanus toxin antagonizes the neuromuscular blocking actions of botulinum toxin. J. Pharmacol. Exp. Ther. 1984, 229, 182–187. [Google Scholar]
- Simpson, L.L. Botulinum toxin and tetanus toxin recognize similar membrane determinants. Brain Res. 1984, 305, 177–180. [Google Scholar] [CrossRef]
- Davies, J.R.; Liu, S.M.; Acharya, K.R. Variations in the Botulinum Neurotoxin Binding Domain and the Potential for Novel Therapeutics. Toxins 2018, 10, 421. [Google Scholar] [CrossRef]
- Arnon, S.S.; Schechter, R.; Inglesby, T.V.; Henderson, D.A.; Bartlett, J.G.; Ascher, M.S.; Eitzen, E.; Fine, A.D.; Hauer, J.; Layton, M.; et al. Botulinum toxin as a biological weapon: Medical and public health management. JAMA 2001, 285, 1059–1070. [Google Scholar] [CrossRef]
- Lacy, D.B.; Tepp, W.; Cohen, A.C.; DasGupta, B.R.; Stevens, R.C. Crystal structure of botulinum neurotoxin type A and implications for toxicity. Nat. Struct. Biol. 1998, 5, 898–902. [Google Scholar] [CrossRef]
- Swaminathan, S.; Eswaramoorthy, S. Structural analysis of the catalytic and binding sites of Clostridium botulinum neurotoxin B. Nat. Struct. Biol. 2000, 7, 693–699. [Google Scholar] [CrossRef] [PubMed]
- Kumaran, D.; Eswaramoorthy, S.; Furey, W.; Navaza, J.; Sax, M.; Swaminathan, S. Domain organization in Clostridium botulinum neurotoxin type E is unique: Its implication in faster translocation. J. Mol. Biol. 2009, 386, 233–245. [Google Scholar] [CrossRef] [PubMed]
- Sundeen, G.; Barbieri, J.T. Vaccines against Botulism. Toxins 2017, 9, 268. [Google Scholar] [CrossRef] [PubMed]
- Rasetti-Escargueil, C.; Popoff, M.R. Antibodies and Vaccines against Botulinum Toxins: Available Measures and Novel Approaches. Toxins 2019, 11, 528. [Google Scholar] [CrossRef]
- Khouri, J.M.; Motter, R.N.; Arnon, S.S. Safety and immunogenicity of investigational recombinant botulinum vaccine, rBV A/B, in volunteers with pre-existing botulinum toxoid immunity. Vaccine 2018, 36, 2041–2048. [Google Scholar] [CrossRef]
- Keller, J.E.; Cai, F.; Neale, E.A. Uptake of botulinum neurotoxin into cultured neurons. Biochemistry 2004, 43, 526–532. [Google Scholar] [CrossRef]
- Bever, C.S.; Scotcher, M.; Cheng, L.W.; Hnasko, R.M.; Stanker, L.H. Development and Characterization of Monoclonal Antibodies to Botulinum Neurotoxin Type E. Toxins 2019, 11, 407. [Google Scholar] [CrossRef]
- Shone, C.C.; Hambleton, P.; Melling, J. Inactivation of Clostridium botulinum type A neurotoxin by trypsin and purification of two tryptic fragments. Proteolytic action near the COOH-terminus of the heavy subunit destroys toxin-binding activity. Eur. J. Biochem. 1985, 151, 75–82. [Google Scholar] [CrossRef] [PubMed]
- Baldwin, M.R.; Tepp, W.H.; Pier, C.L.; Bradshaw, M.; Ho, M.; Wilson, B.A.; Fritz, R.B.; Johnson, E.A.; Barbieri, J.T. Characterization of the antibody response to the receptor binding domain of botulinum neurotoxin serotypes A and E. Infect. Immun. 2005, 73, 6998–7005. [Google Scholar] [CrossRef][Green Version]
- Baldwin, M.R.; Tepp, W.H.; Przedpelski, A.; Pier, C.L.; Bradshaw, M.; Johnson, E.A.; Barbieri, J.T. Subunit vaccine against the seven serotypes of botulism. Infect. Immun. 2008, 76, 1314–1318. [Google Scholar] [CrossRef] [PubMed]
- Valipour, E.; Moosavi, M.L.; Amani, J.; Nazarian, S. High level expression, purification and immunogenicity analysis of a protective recombinant protein against botulinum neurotoxin type E. World J. Microbiol. Biotechnol. 2014, 30, 1861–1867. [Google Scholar] [CrossRef] [PubMed]
- Sahay, B.; Colliou, N.; Zadeh, M.; Ge, Y.; Gong, M.; Owen, J.L.; Valletti, M.; Jobin, C.; Mohamadzadeh, M. Dual-route targeted vaccine protects efficiently against botulinum neurotoxin A complex. Vaccine 2018, 36, 155–164. [Google Scholar] [CrossRef] [PubMed]
- Bagheripour, M.J.; Ebrahimi, F.; Hajizade, A.; Nazarian, S. Immunogenicity evaluation of rBoNT/E nanovaccine after mucosal administration. Iran. J. Basic Med. Sci. 2019, 22, 353–359. [Google Scholar]
- Lou, J.; Marks, J.D. Botulinum Neurotoxins (BoNTs)-Antibody and Vaccine. Toxins 2018, 10, 495. [Google Scholar] [CrossRef]
- Shi, D.Y.; Liu, F.J.; Mao, Y.Y.; Cui, R.T.; Lu, J.S.; Yu, Y.Z.; Dong, X.J.; Yang, Z.X.; Sun, Z.W.; Pang, X.B. Development and evaluation of candidate subunit vaccine and novel antitoxin against botulinum neurotoxin serotype E. Hum. Vaccines Immunother. 2020, 16, 100–108. [Google Scholar] [CrossRef]
- Yu, Y.Z.; Li, N.; Zhu, H.Q.; Wang, R.L.; Du, Y.; Wang, S.; Yu, W.Y.; Sun, Z.W. The recombinant Hc subunit of Clostridium botulinum neurotoxin serotype A is an effective botulism vaccine candidate. Vaccine 2009, 27, 2816–2822. [Google Scholar] [CrossRef]
- Shi, D.Y.; Chen, B.Y.; Mao, Y.Y.; Zhou, G.; Lu, J.S.; Yu, Y.Z.; Zhou, X.W.; Sun, Z.W. Development and evaluation of candidate subunit vaccine against botulinum neurotoxin serotype B. Hum. Vaccines Immunother. 2019, 15, 755–760. [Google Scholar] [CrossRef]
- Yu, Y.Z.; Li, N.; Wang, R.L.; Zhu, H.Q.; Wang, S.; Yu, W.Y.; Sun, Z.W. Evaluation of a recombinant Hc of Clostridium botulinum neurotoxin serotype F as an effective subunit vaccine. Clin. Vaccine Immunol. CVI 2008, 15, 1819–1823. [Google Scholar] [CrossRef]
- Ayyar, B.V.; Tajhya, R.B.; Beeton, C.; Atassi, M.Z. Antigenic sites on the HN domain of botulinum neurotoxin A stimulate protective antibody responses against active toxin. Sci. Rep. 2015, 5, 15776. [Google Scholar] [CrossRef]
- Ahmed, S.A.; Smith, L.A. Light chain of botulinum A neurotoxin expressed as an inclusion body from a synthetic gene is catalytically and functionally active. J. Protein Chem. 2000, 19, 475–487. [Google Scholar] [CrossRef]
- Chauhan, R.; Chauhan, V.; Rao, M.K.; Chaudhary, D.; Bhagyawant, S.; Dhaked, R.K. High level expression and immunochemical characterization of botulinum neurotoxin type F light chain. Protein Expr. Purif. 2018, 146, 51–60. [Google Scholar] [CrossRef]
- Aoki, K.R.; Smith, L.A.; Atassi, M.Z. Mode of action of botulinum neurotoxins: Current vaccination strategies and molecular immune recognition. Crit. Rev. Immunol. 2010, 30, 167–187. [Google Scholar] [CrossRef]
- Przedpelski, A.; Tepp, W.H.; Zuverink, M.; Johnson, E.A.; Pellet, S.; Barbieri, J.T. Enhancing toxin-based vaccines against botulism. Vaccine 2018, 36, 827–832. [Google Scholar] [CrossRef] [PubMed]
- Shone, C.; Agostini, H.; Clancy, J.; Gu, M.; Yang, H.H.; Chu, Y.; Johnson, V.; Taal, M.; McGlashan, J.; Brehm, J.; et al. Bivalent recombinant vaccine for botulinum neurotoxin types A and B based on a polypeptide comprising their effector and translocation domains that is protective against the predominant A and B subtypes. Infect. Immun. 2009, 77, 2795–2801. [Google Scholar] [CrossRef] [PubMed]
- Liu, F.J.; Shi, D.Y.; Mao, Y.Y.; Xiong, X.H.; Lu, J.S.; Pang, X.B.; Dong, X.J.; Yang, Z.X.; Yu, Y.Z. Immunological characterisation and immunoprotective efficacy of functional domain antigens of botulinum neurotoxin serotype A. Vaccine 2020, 38, 2978–2983. [Google Scholar] [CrossRef] [PubMed]
- Li, Z.; Lu, J.S.; Liu, S.; Wang, R.; Xu, Q.; Yu, Y.Z.; Yang, Z.X. Recombinant L-HN Fusion Antigen Derived from the L and HN Domains of Botulinum Neurotoxin B Stimulates a Protective Antibody Response Against Active Neurotoxin. Neurotox. Res. 2021, 39, 1044–1053. [Google Scholar] [CrossRef]
- Miethe, S.; Rasetti-Escargueil, C.; Avril, A.; Liu, Y.; Chahboun, S.; Korkeala, H.; Mazuet, C.; Popoff, M.R.; Pelat, T.; Thullier, P.; et al. Development of Human-Like scFv-Fc Neutralizing Botulinum Neurotoxin E. PLoS ONE 2015, 10, e0139905. [Google Scholar] [CrossRef]
- Garcia-Rodriguez, C.; Geren, I.N.; Lou, J.; Conrad, F.; Forsyth, C.; Wen, W.; Chakraborti, S.; Zao, H.; Manzanarez, G.; Smith, T.J.; et al. Neutralizing human monoclonal antibodies binding multiple serotypes of botulinum neurotoxin. Protein Eng. Des. Sel. PEDS 2011, 24, 321–331. [Google Scholar] [CrossRef]
- Kubota, T.; Watanabe, T.; Yokosawa, N.; Tsuzuki, K.; Indoh, T.; Moriishi, K.; Sanda, K.; Maki, Y.; Inoue, K.; Fujii, N. Epitope regions in the heavy chain of Clostridium botulinum type E neurotoxin recognized by monoclonal antibodies. Appl. Environ. Microbiol. 1997, 63, 1214–1218. [Google Scholar] [CrossRef]
- Bakherad, H.; Mousavi Gargari, S.L.; Rasooli, I.; Rajabibazl, M.; Mohammadi, M.; Ebrahimizadeh, W.; Safaee Ardakani, L.; Zare, H. In vivo neutralization of botulinum neurotoxins serotype E with heavy-chain camelid antibodies (VHH). Mol. Biotechnol. 2013, 55, 159–167. [Google Scholar] [CrossRef] [PubMed]
- Garcia-Rodriguez, C.; Razai, A.; Geren, I.N.; Lou, J.; Conrad, F.; Wen, W.H.; Farr-Jones, S.; Smith, T.J.; Brown, J.L.; Skerry, J.C.; et al. A Three Monoclonal Antibody Combination Potently Neutralizes Multiple Botulinum Neurotoxin Serotype E Subtypes. Toxins 2018, 10, 105. [Google Scholar] [CrossRef] [PubMed]
- Atassi, M.Z.; Dolimbek, B.Z.; Steward, L.E.; Aoki, K.R. Molecular bases of protective immune responses against botulinum neurotoxin A—How antitoxin antibodies block its action. Crit. Rev. Immunol. 2007, 27, 319–341. [Google Scholar] [CrossRef] [PubMed]
- Cheng, L.W.; Stanker, L.H.; Henderson, T.D.; Lou, J.; Marks, J.D. Antibody protection against botulinum neurotoxin intoxication in mice. Infect. Immun. 2009, 77, 4305–4313. [Google Scholar] [CrossRef]
- Ayyar, B.V.; Aoki, K.R.; Atassi, M.Z. The C-terminal heavy-chain domain of botulinum neurotoxin a is not the only site that binds neurons, as the N-terminal heavy-chain domain also plays a very active role in toxin-cell binding and interactions. Infect. Immun. 2015, 83, 1465–1476. [Google Scholar] [CrossRef] [PubMed]
- Volk, W.A.; Bizzini, B.; Snyder, R.M.; Bernhard, E.; Wagner, R.R. Neutralization of tetanus toxin by distinct monoclonal antibodies binding to multiple epitopes on the toxin molecule. Infect. Immun. 1984, 45, 604–609. [Google Scholar] [CrossRef]
- Ghotloo, S.; Golsaz-Shirazi, F.; Amiri, M.M.; Jeddi-Tehrani, M.; Shokri, F. Epitope Mapping of Tetanus Toxin by Monoclonal Antibodies: Implication for Immunotherapy and Vaccine Design. Neurotox. Res. 2020, 37, 239–249. [Google Scholar] [CrossRef] [PubMed]
- Miyashita, S.I.; Zhang, J.; Zhang, S.; Shoemaker, C.B.; Dong, M. Delivery of single-domain antibodies into neurons using a chimeric toxin-based platform is therapeutic in mouse models of botulism. Sci. Transl. Med. 2021, 13, eaaz4197. [Google Scholar] [CrossRef]
- McNutt, P.M.; Vazquez-Cintron, E.J.; Tenezaca, L.; Ondeck, C.A.; Kelly, K.E.; Mangkhalakhili, M.; Machamer, J.B.; Angeles, C.A.; Glotfelty, E.J.; Cika, J.; et al. Neuronal delivery of antibodies has therapeutic effects in animal models of botulism. Sci. Transl. Med. 2021, 13, eabd7789. [Google Scholar] [CrossRef]
- Webb, R.P.; Smith, T.J.; Smith, L.A.; Wright, P.M.; Guernieri, R.L.; Brown, J.L.; Skerry, J.C. Recombinant Botulinum Neurotoxin Hc Subunit (BoNT Hc) and Catalytically Inactive Clostridium botulinum Holoproteins (ciBoNT HPs) as Vaccine Candidates for the Prevention of Botulism. Toxins 2017, 9, 269. [Google Scholar] [CrossRef]






| Functional Fragment | Amino Acid Sequence | Fragment Size | Protein Molecular Weight | Fragment Feature |
|---|---|---|---|---|
| EL | 1–422 | 1263 bp | 50 kDa | Light chain enzyme active region |
| EHN | 423–840 | 1254 bp | 50 kDa | Transmembrane region |
| EL-HN | 2–840 | 2517 bp | 100 kDa | Light chain enzyme Transmembrane region |
| EHc | 841–1252 | 1236 bp | 50 kDa | Receptor-binding region |
| EHc-N | 841–1063 | 669 bp | 27 kDa | C-terminal of receptor-binding region |
| EHc-C | 1056–1252 | 591 bp | 24 kDa | N-terminal of receptor-binding region |
| Vaccine (10 μg) | Number of Survivors a | NA (IU/mL) c | ||||||
|---|---|---|---|---|---|---|---|---|
| Two Immunizations | Three Immunizations | Two Immunizations | Three Immunizations | |||||
| 102 b | 103 b | 104 b | 102 b | 103 b | 104 b | |||
| EHc-N | 0 * | 0 | ND | 0 * | ND | ND | <0.25 | <0.25 |
| EHc-C | 6 | 0 * | ND | 10 | 10 | 10 | <0.25 | 1 |
| EHc-N + EHc-C | 2 & | 0 * | ND | 10 | 8 | ND | <0.25 | 0.25 |
| EHc | 10 | 10 | 10 | 10 | 10 | 10 | 4 | 32 |
| EL-HN | 10 | 10 | 10 | 10 | 10 | 10 | 29.3 | 136.6 |
| EHc + EL-HN | 10 | 10 | 10 | 10 | 10 | 10 | 12.8 | 120 |
| EHc + EHN | 10 | 10 | 10 | 10 | 10 | 10 | 1 | 16 |
| EHN | 5 # | 0 * | ND | 10 | 7 | ND | <0.25 | 0.25 |
| EL | 10 | 6 | 0 * | 10 | 10 | 10 | 0.5 | 2.25 |
| EL + EHN | 10 | 10 | 10 | 10 | 10 | 10 | 0.5 | 8 |
| PBS | 0 | ND | ND | ND | ND | ND | <0.25 | <0.25 |
| EHc (ng) a | NA (IU/mL) b | Number of Survivors c | EL-HN (ng) a | NA (IU/mL) b | Number of Survivors c | EL-HN + EHc (ng) a | NA (IU/mL) b | Number of Survivors c | |||
|---|---|---|---|---|---|---|---|---|---|---|---|
| 2 d | 1 d | 2 d | 2 d | 1 d | 2 d | 2 d | 1 d | 2 d | |||
| 4000 | 1.5 | 6 | 10 | 4000 | 29.3 | 10 | 10 | 4000 | 12.8 | 8 | 10 |
| 1000 | 0.5 | 3 | 10 | 1000 | 14.6 | 10 | 10 | 1000 | 8.5 | 8 | 10 |
| 250 | <0.25 | 0 | 6 | 250 | 4 | 6 | 10 | 250 | 2.0 | 2 | 10 |
| 62.5 | <0.25 | 0 | 4 | 62.5 | 1 | 0 | 10 | 62.5 | 0.5 | 0 | 10 |
| 15.6 | <0.25 | 0 | 2 | 15.6 | <0.25 | 0 | 4 | 15.6 | <0.25 | 0 | 2 |
| 3.9 | <0.25 | 0 | 0 | 3.9 | <0.25 | 0 | 0 | 3.9 | <0.25 | 0 | 0 |
Publisher’s Note: MDPI stays neutral with regard to jurisdictional claims in published maps and institutional affiliations. |
© 2022 by the authors. Licensee MDPI, Basel, Switzerland. This article is an open access article distributed under the terms and conditions of the Creative Commons Attribution (CC BY) license (https://creativecommons.org/licenses/by/4.0/).
Share and Cite
Li, Z.; Lu, J.; Tan, X.; Wang, R.; Xu, Q.; Yu, Y.; Yang, Z. Functional EL-HN Fragment as a Potent Candidate Vaccine for the Prevention of Botulinum Neurotoxin Serotype E. Toxins 2022, 14, 135. https://doi.org/10.3390/toxins14020135
Li Z, Lu J, Tan X, Wang R, Xu Q, Yu Y, Yang Z. Functional EL-HN Fragment as a Potent Candidate Vaccine for the Prevention of Botulinum Neurotoxin Serotype E. Toxins. 2022; 14(2):135. https://doi.org/10.3390/toxins14020135
Chicago/Turabian StyleLi, Zhen, Jiansheng Lu, Xiao Tan, Rong Wang, Qing Xu, Yunzhou Yu, and Zhixin Yang. 2022. "Functional EL-HN Fragment as a Potent Candidate Vaccine for the Prevention of Botulinum Neurotoxin Serotype E" Toxins 14, no. 2: 135. https://doi.org/10.3390/toxins14020135
APA StyleLi, Z., Lu, J., Tan, X., Wang, R., Xu, Q., Yu, Y., & Yang, Z. (2022). Functional EL-HN Fragment as a Potent Candidate Vaccine for the Prevention of Botulinum Neurotoxin Serotype E. Toxins, 14(2), 135. https://doi.org/10.3390/toxins14020135

