Possible Toxic Mechanisms of Deoxynivalenol (DON) Exposure to Intestinal Barrier Damage and Dysbiosis of the Gut Microbiota in Laying Hens
Abstract
1. Introduction
2. Results
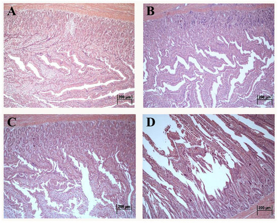
2.1. Effect of DON Treatment on the Intestinal Histopathology
2.2. Effect of DON Treatment on the Expression of Inflammatory Factors in the Duodenum of Laying Hens
2.3. Effect of DON Treatment on the Expression of Tight Junction Proteins in the Duodenum of Laying Hens
2.4. Effect of DON Treatment on Diversity of Fecal Microbiota in the Laying Hens
2.5. Effect of DON Treatment on the Abudance of Intestinal microbiota in Laying Hens
2.6. Effect of DON Treatment on the Correlations between Tight Junction Proteins and Intestinal Microbiota in Laying Hens
3. Discussion
4. Conclusions
5. Materials and Methods
5.1. Chemicals
5.2. Experimental Design and Birds Feeding Management
5.3. Sampling
5.4. Histopathology
5.5. Real-Time Quantitative PCR (RT-qPCR)
5.6. Protein Extraction and Western Blotting
5.7. 16S rRNA High-Throughput Sequencing
5.8. Data Preprocessing and Statistical Analysis
Author Contributions
Funding
Institutional Review Board Statement
Informed Consent Statement
Data Availability Statement
Conflicts of Interest
References
- Adányi, N.; Nagy, Á.G.; Takács, B.; Szendrő, I.; Szakacs, G.; Szűcs, R.; Tóth-Szeles, E.; Lagzi, I.; Weiser, D.; Bódai, V.; et al. Sensitivity enhancement for mycotoxin determination by optical waveguide lightmode spectroscopy using gold nanoparticles of different size and origin. Food Chem. 2018, 267, 10–14. [Google Scholar] [CrossRef] [PubMed]
- Pinton, P.; Oswald, I.P. Effect of deoxynivalenol and other Type B trichothecenes on the intestine: A review. Toxins 2014, 6, 1615–1643. [Google Scholar] [CrossRef] [PubMed]
- Yao, Y.; Long, M. The biological detoxification of deoxynivalenol: A review. Food Chem. Toxicol. 2020, 145, 111649. [Google Scholar] [CrossRef]
- Liu, M.; Zhang, L.; Chu, X.H.; Ma, R.; Wang, Y.W.; Liu, Q.; Zhang, N.Y.; Karrow, N.A.; Sun, L.H. Effects of deoxynivalenol on the porcine growth performance and intestinal microbiota and potential remediation by a modified HSCAS binder. Food Chem. Toxicol. 2020, 141, 111373. [Google Scholar] [CrossRef] [PubMed]
- Tardivel, C.; Airault, C.; Djelloul, M.; Guillebaud, F.; Barbouche, R.; Troadec, J.D.; Gaigé, S.; Dallaporta, M. The food born mycotoxin deoxynivalenol induces low-grade inflammation in mice in the absence of observed-adverse effects. Toxicol. Lett. 2015, 232, 601–611. [Google Scholar] [CrossRef] [PubMed]
- Shi, D.; Zhou, J.; Zhao, L.; Rong, X.; Fan, Y.; Hamid, H.; Li, W.; Ji, C.; Ma, Q. Alleviation of mycotoxin biodegradation agent on zearalenone and deoxynivalenol toxicosis in immature gilts. J. Anim. Sci. Biotechnol. 2018, 9, 42. [Google Scholar] [CrossRef] [PubMed]
- Hussein, H.S.; Brase, J.M. Toxicity, metabolism, and impact of mycotoxins on humans and animals. Toxicology 2001, 167, 101–134. [Google Scholar] [CrossRef]
- Antonissen, G.; Van Immerseel, F.; Pasmans, F.; Ducatelle, R.; Haesebrouck, F.; Timbermont, L.; Verlinden, M.; Janssens, G.P.; Eeckhaut, V.; Eeckhout, M.; et al. The mycotoxin deoxynivalenol predisposes for the development of Clostridium perfringens-induced necrotic enteritis in broiler chickens. PLoS ONE 2014, 9, e108775. [Google Scholar] [CrossRef]
- Pierron, A.; Alassane-Kpembi, I.; Oswald, I.P. Impact of two mycotoxins deoxynivalenol and fumonisin on pig intestinal health. Porcine Health Manag. 2016, 2, 21. [Google Scholar] [CrossRef]
- Pinton, P.; Nougayrède, J.P.; Del Rio, J.C.; Moreno, C.; Marin, D.E.; Ferrier, L.; Bracarense, A.P.; Kolf-Clauw, M.; Oswald, I.P. The food contaminant deoxynivalenol, decreases intestinal barrier permeability and reduces claudin expression. Toxicol. Appl. Pharmacol. 2009, 237, 41–48. [Google Scholar] [CrossRef]
- Yang, J.; Zhao, Z.; Guo, W.; Guo, J. Effects of deoxynivalenol on intestinal microbiota of mice analyzed by Illumina-MiSeq high-throughput sequencing technology. Chin. J. Anim. Nutr. 2017, 29, 158–167. [Google Scholar]
- Lee, J.T.; Jessen, K.A.; Beltran, R.; Starkl, V.; Schatzmayr, G.; Borutova, R.; Caldwell, D.J. Mycotoxin-contaminated diets and deactivating compound in laying hens: 1. effects on performance characteristics and relative organ weight. Poult. Sci. 2012, 9, 2089–2095. [Google Scholar] [CrossRef]
- Ruhnau, D.; Hess, C.; Grenier, B.; Doupovec, B.; Schatzmayr, D.; Hess, M.; Awad, W.A. The mycotoxin deoxynivalenol (DON) promotes campylobacter jejuni multiplication in the intestine of broiler chickens with consequences on bacterial translocation and gut integrity. Front. Vet. Sci. 2020, 7, 573894. [Google Scholar] [CrossRef]
- Awad, W.A.; Ruhnau, D.; Hess, C.; Doupovec, B.; Schatzmayr, D.; Hess, M. Feeding of deoxynivalenol increases the intestinal paracellular permeability of broiler chickens. Arch. Toxicol. 2019, 93, 2057–2064. [Google Scholar] [CrossRef]
- Paraskeuas, V.; Griela, E.; Bouziotis, D.; Fegeros, K.; Antonissen, G.; Mountzouris, K.C. Effects of deoxynivalenol and fumonisins on broiler gut cytoprotective capacity. Toxins 2021, 13, 729. [Google Scholar] [CrossRef]
- Kim, J.H.; Park, G.H.; Han, G.P.; Kil, D.Y. Effect of feeding corn distillers dried grains with solubles naturally contaminated with deoxynivalenol on growth performance, meat quality, intestinal permeability, and utilization of energy and nutrients in broiler chickens. Poult. Sci. 2021, 100, 101215. [Google Scholar] [CrossRef]
- Osselaere, A.; Santos, R.; Hautekiet, V.; De Backer, P.; Chiers, K.; Ducatelle, R.; Croubels, S. Deoxynivalenol impairs hepatic and intestinal gene expression of selected oxidative stress, tight junction and inflammation proteins in broiler chickens, but addition of an adsorbing agent shifts the effects to the distal parts of the small intestine. PLoS ONE 2013, 8, e69014. [Google Scholar] [CrossRef]
- Guo, J.; Zhao, Z.; Guo, W.; Sun, Z.; Yang, J.; Zhang, D. Effects of deoxynivalenol on performance, blood indices and antioxidant capacity in laying hens. J. Nanjing Agric. Univ. 2018, 41, 534–541. [Google Scholar]
- al-Batshan, H.A.; Scheideler, S.E.; Black, B.L.; Garlich, J.D.; Anderson, K.E. Duodenal calcium uptake, femur ash, and eggshell quality decline with age and increase following molt. Poult. Sci. 1994, 73, 1590–1596. [Google Scholar] [CrossRef]
- Santos, R.R.; van Eerden, E. Impaired performance of broiler chickens fed diets naturally contaminated with moderate levels of deoxynivalenol. Toxins 2021, 13, 170. [Google Scholar] [CrossRef]
- Cheat, S.; Gerez, J.R.; Cognié, J.; Alassane-Kpembi, I.; Bracarense, A.P.; Raymond-Letron, I.; Oswald, I.P.; Kolf-Clauw, M. Nivalenol has a greater impact than deoxynivalenol on pig jejunum mucosa in vitro on explants and in vivo on intestinal loops. Toxins 2015, 7, 1945–1961. [Google Scholar] [CrossRef]
- Zhou, Y.; Qi, S.; Meng, X.; Lin, X.; Duan, N.; Zhang, Y.; Yuan, W.; Wu, S.; Wang, Z. Deoxynivalenol photocatalytic detoxification products alleviate intestinal barrier damage and gut flora disorder in BLAB/c mice. Food Chem. Toxicol. 2021, 156, 112510. [Google Scholar] [CrossRef]
- Diesing, A.K.; Nossol, C.; Panther, P.; Walk, N.; Post, A.; Kluess, J.; Kreutzmann, P.; Dänicke, S.; Rothkötter, H.J.; Kahlert, S. Mycotoxin deoxynivalenol (DON) mediates biphasic cellular response in intestinal porcine epithelial cell lines IPEC-1 and IPEC-J2. Toxicol. Lett. 2011, 200, 8–18. [Google Scholar] [CrossRef]
- Wang, X.C.; Zhang, Y.F.; Cao, L.; Zhu, L.; Huang, Y.Y.; Chen, X.F.; Chu, X.Y.; Zhu, D.F.; Ur Rahman, S.; Feng, S.B.; et al. Deoxynivalenol Induces Intestinal Damage and Inflammatory Response through the Nuclear Factor-κB Signaling Pathway in Piglets. Toxins 2019, 11, 663. [Google Scholar] [CrossRef]
- Wang, X.; Zhang, Y.; Zhao, J.; Cao, L.; Zhu, L.; Huang, Y.; Chen, X.; Rahman, S.U.; Feng, S.; Li, Y.; et al. Deoxynivalenol Induces Inflammatory Injury in IPEC-J2 Cells via NF-κB Signaling Pathway. Toxins 2019, 11, 733. [Google Scholar] [CrossRef]
- Andres-Hernando, A.; Li, N.; Cicerchi, C.; Inaba, S.; Chen, W.; Roncal-Jimenez, C.; Le, M.T.; Wempe, M.F.; Milagres, T.; Ishimoto, T.; et al. Protective role of fructokinase blockade in the pathogenesis of acute kidney injury in mice. Nat. Commun. 2017, 8, 14181. [Google Scholar] [CrossRef]
- Sziksz, E.; Pap, D.; Lippai, R.; Béres, N.J.; Fekete, A.; Szabó, A.J.; Vannay, Á. Fibrosis related inflammatory mediators: Role of the IL-10 cytokine family. Med. Inflamm. 2015, 2015, 764641. [Google Scholar] [CrossRef]
- Huang, C.; Feng, L.; Jiang, W.D.; Wu, P.; Liu, Y.; Zeng, Y.Y.; Jiang, J.; Kuang, S.Y.; Tang, L.; Zhou, X.Q. Deoxynivalenol decreased intestinal immune function related to NF-κB and TOR signalling in juvenile grass carp (Ctenopharyngodon idella). Fish Shellfish Immunol. 2019, 84, 470–484. [Google Scholar] [CrossRef]
- da Silva, E.; Santos, J.; Morey, A.; Yamauchi, L.; Bracarense, A. Phytic acid modulates the morphology, immunological response of cytokines and β-defensins in porcine intestine exposed to deoxynivalenol and fumonisin B1. World Mycotoxin J. 2021, 14, 441–450. [Google Scholar] [CrossRef]
- Michaudel, C.; Sokol, H. The gut microbiota at the service of immunometabolism. Cell Metab. 2020, 32, 514–523. [Google Scholar] [CrossRef]
- Zhao, L.; Lou, H.; Peng, Y.; Chen, S.; Fan, L.; Li, X. Elevated levels of circulating short-chain fatty acids and bile acids in type 2 diabetes are linked to gut barrier disruption and disordered gut microbiota. Diabetes Res. Clin. Pract. 2020, 169, 108418. [Google Scholar] [CrossRef]
- Han, Z.; Willer, T.; Li, L.; Pielsticker, C.; Rychlik, I.; Velge, P.; Kaspers, B.; Rautenschlein, S. Influence of the gut microbiota composition on campylobacter jejuni colonization in chickens. Infect. Immun. 2017, 85, e00380-17. [Google Scholar] [CrossRef]
- Wang, C.; Huang, L.; Wang, P.; Liu, Q.; Wang, J. The effects of deoxynivalenol on the ultrastructure of the sacculus rotundus and vermiform appendix, as well as the intestinal microbiota of weaned rabbits. Toxins 2020, 12, 569. [Google Scholar] [CrossRef]
- Reddy, K.E.; Jeong, J.Y.; Song, J.; Lee, Y.; Lee, H.J.; Kim, D.W.; Jung, H.J.; Kim, K.H.; Kim, M.; Oh, Y.K. Colon microbiome of pigs fed diet contaminated with commercial purified deoxynivalenol and zearalenone. Toxins 2018, 10, 347. [Google Scholar] [CrossRef]
- Liao, Y.; Peng, Z.; Chen, L.; Nüssler, A.K.; Liu, L.; Yang, W. Deoxynivalenol, gut microbiota and immunotoxicity: A potential approach? Food Chem. Toxicol. 2018, 112, 342–354. [Google Scholar] [CrossRef]
- Scaldaferri, F.; Gerardi, V.; Lopetuso, L.R.; Del Zompo, F.; Mangiola, F.; Boškoski, I.; Bruno, G.; Petito, V.; Laterza, L.; Cammarota, G.; et al. Gut microbial flora, prebiotics, and probiotics in IBD: Their current usage and utility. Biomed. Res. Int. 2013, 2013, 435268. [Google Scholar] [CrossRef]
- Branton, W.G.; Ellestad, K.K.; Maingat, F.; Wheatley, B.M.; Rud, E.; Warren, R.L.; Holt, R.A.; Surette, M.G.; Power, C. Brain microbial populations in HIV/AIDS: α-proteobacteria predominate independent of host immune status. PLoS ONE 2013, 8, e54673. [Google Scholar] [CrossRef]
- Hampson, D.J.; Ahmed, N. Spirochaetes as intestinal pathogens: Lessons from a Brachyspira genome. Gut Pathog. 2009, 1, 10. [Google Scholar] [CrossRef]
- Pestka, J.J.; Zhou, H.R.; Moon, Y.; Chung, Y.J. Cellular and molecular mechanisms for immune modulation by deoxynivalenol and other trichothecenes: Unraveling a paradox. Toxicol. Lett. 2004, 153, 61–73. [Google Scholar] [CrossRef]
- Pushpanathan, P.; Mathew, G.S.; Selvarajan, S.; Seshadri, K.G.; Srikanth, P. Gut microbiota and its mysteries. Indian J. Med. Microbiol. 2019, 37, 268–277. [Google Scholar] [CrossRef]
- Grigor’eva, I.N. Gallstone disease, obesity and the firmicutes/bacteroidetes ratio as a possible biomarker of gut dysbiosis. J. Pers. Med. 2020, 11, 13. [Google Scholar] [CrossRef]
- de Souza, M.; Baptista, A.; Valdiviezo, M.; Justino, L.; Menck-Costa, M.; Ferraz, C.; da Gloria, E.; Verri, W.; Bracarense, A. Lactobacillus spp. reduces morphological changes and oxidative stress induced by deoxynivalenol on the intestine and liver of broilers. Toxicon 2020, 185, 203–212. [Google Scholar] [CrossRef]
- Eun, C.S.; Kim, Y.S.; Han, D.S.; Choi, J.H.; Lee, A.R.; Park, Y.K. Lactobacillus casei prevents impaired barrier function in intestinal epithelial cells. APMIS 2011, 119, 49–56. [Google Scholar] [CrossRef]
- Zhou, X.; Qi, W.; Hong, T.; Xiong, T.; Gong, D.; Xie, M.; Nie, S. Exopolysaccharides from Lactobacillus plantarum NCU116 regulate intestinal barrier function via STAT3 signaling pathway. J. Agric. Food Chem. 2018, 66, 9719–9727. [Google Scholar] [CrossRef]
- Sunderman, F.W.; Plowman, M.C.; Hopfer, S.M. Embryotoxicity and teratogenicity of cadmium chloride in Xenopus laenis, assayed by the FETAX procedure. Ann. Clin. Lab. Sci. 1991, 21, 381–391. [Google Scholar]
- EFSA Panel on Contaminants in the Food Chain (CONTAM); Knutsen, H.K.; Alexander, J.; Barregård, L.; Bignami, M.; Brüschweiler, B.; Ceccatelli, S.; Cottrill, B.; Dinovi, M.; Grasl-Kraupp, B.; et al. Risks to human and animal health related to the presence of deoxynivalenol and its acetylated and modified forms in food and feed. EFSA J. 2017, 15, e04718. [Google Scholar]
- GB 13078-2017; State Administration for Market Regulation. Hygienical Standard for Feeds. Standards Press of China: Beijing, China, 2017.





| Items | DON Concentration/(mg/kg.bw) | |||
|---|---|---|---|---|
| 0 | 1 | 5 | 10 | |
| Chao index | 1805.16 ± 28.30 Bd | 1545.95 ± 17.18 Abc | 1391.13 ± 66.77 Aa | 1584.86 ± 43.84 Ac |
| ACE index | 1800.42 ± 12.86 Cc | 1561.65 ± 22.71 ABb | 1418.78 ± 60.52 ABa | 1608.07 ± 33.70 Bb |
| Simpson index | 0.9567 ± 0.0051 | 0.9587 ± 0.0183 | 0.9507 ± 0.0298 | 0.9376 ± 0.0147 |
| Shannon index | 6.55 ± 0.24 Bc | 6.80 ± 0.29 Bc | 4.30 ± 0.72 Aa | 5.55 ± 0.40 ABb |
| Target Microbes | DON Concentration/(mg/kg.bw) | |||
|---|---|---|---|---|
| 0 | 1 | 5 | 10 | |
| Phylum | ||||
| Firmicutes | 0.4237 ± 0.0344 b | 0.3405 ± 0.1147 ab | 0.2768 ± 0.094 ab | 0.2253 ± 0.0527 a |
| Bacteroidetes | 0.1642 ± 0.0377 a | 0.283 ± 0.0484 ab | 0.2562 ± 0.0412 ab | 0.3235 ± 0.1088 b |
| Fusobacteria | 0.1126 ± 0.0608 a | 0.138 ± 0.1035 ab | 0.2753 ± 0.07 b | 0.1592 ± 0.048 ab |
| Proteobacteria | 0.0538 ± 0.0243 a | 0.0369 ± 0.0135 ab | 0.0632 ± 0.0091 ab | 0.1012 ± 0.0302 b |
| Spirochaeta | 0.0019 ± 0.0017 a | 0.0037 ± 0.0027 ab | 0.0035 ± 0.0034 ab | 0.008 ± 0.0018 b |
| Actinobacteria | 0.0043 ± 0.0008 b | 0.0036 ± 0.0009 ab | 0.0031 ± 0.0009 ab | 0.0025 ± 0.0002 a |
| Genus | ||||
| Bacteroides | 0.1026 ± 0.0678 | 0.1415 ± 0.0772 | 0.107 ± 0.0979 | 0.1345 ± 0.0921 |
| Clostridium | 0.1144 ± 0.0129 b | 0.0659 ± 0.0402 ab | 0.0395 ± 0.0293 a | 0.0466 ± 0.0041 a |
| Lactobacillus | 0.0412 ± 0.0167 b | 0.0294 ± 0.0156 ab | 0.0133 ± 0.0055 a | 0.0094 ± 0.005 a |
| Barnesiella | 0.0148 ± 0.0103 | 0.0202 ± 0.0115 | 0.0164 ± 0.0157 | 0.0274 ± 0.0148 |
| Alkanindiges | 0.0046 ± 0.0076 a | 0.0005 ± 0.0001 a | 0.0014 ± 0.002 a | 0.0263 ± 0.0157 b |
| Succinispira | 0.0039 ± 0.0027 | 0.0057 ± 0.0032 | 0.0061 ± 0.0027 | 0.0065 ± 0.0037 |
| Prevotella | 0.0036 ± 0.0022 | 0.0057 ± 0.0031 | 0.0051 ± 0.0023 | 0.0071 ± 0.0041 |
| Spirochaeta | 0.0019 ± 0.0005 a | 0.0037 ± 0.0011 ab | 0.003 ± 0.0022 ab | 0.0058 ± 0.001 b |
| Helicobacter | 0.0065 ± 0.004 | 0.0041 ± 0.0054 | 0.0074 ± 0.0058 | 0.0183 ± 0.0257 |
| Euryarchaeota | 0.0029 ± 0.0018 | 0.0061 ± 0.0036 | 0.0041 ± 0.0043 | 0.0056 ± 0.0056 |
| Ingredients | Level/% | Calculated Nutrient Values | Level/% |
|---|---|---|---|
| Corn | 61.3 | Metabolizable energy (2) | 12.26 |
| Wheat bran | 3.0 | Crude protein | 19.79 |
| Shell powder | 4.0 | Crude fiber | 6.43 |
| Soybean meal | 23.8 | Ether extract | 3.54 |
| Soybean oil | 1.40 | Ca | 2.27 |
| NaCl | 0.5 | P | 0.56 |
| Limestone | 4.0 | Lysine | 0.76 |
| Premix (1) | 2.0 | Methionine | 0.38 |
| Total | 100.00 |
| Target Genes | GenBank Accession Number | Primer Sequences (5′–3′) | Product Length/bp | Annealing Temperature/°C |
|---|---|---|---|---|
| IL-1β | NM_204524.1 | F: TACGAGATGGAAACCAGCAAC | 84 | 58 |
| R: GGTCAACATCGCCACCTACAA | ||||
| IL-8 | NM_205498.1 | F: CATCTTTACCAGCGTCCTACC | 106 | 55 |
| R: GAAAACAAGCCAAACACTCCT | ||||
| IL-10 | EF554720 | F: TAAGGACTATTTTCAATCCAGGG | 142 | 55 |
| R: ACGGGGCAGGACCTCATC | ||||
| TNF-α | NM_204267.1 | F: ACAGGGTAGGGGTGAGGATAG | 184 | 55 |
| R: TGGGAGTGGGCTTTAAGAAGA | ||||
| ZO-1 | XM_413773.4 | F: TATTCTGAGGTGGAGGAGGGT | 217 | 55 |
| R: TCTAAGGGGAAGCCAACTGAT | ||||
| claudin-1 | NM_001013611.2 | F: TCTCCAAATGCTTCTACTACCA | 122 | 55 |
| R: AGTGAAACATCCTACCCACCC | ||||
| β-actin | NM_205518 | F: TGCGTGACATCAAGGAGAAG | 300 | 60 |
| R: TGCCAGGGTACATTGTGGTA |
Publisher’s Note: MDPI stays neutral with regard to jurisdictional claims in published maps and institutional affiliations. |
© 2022 by the authors. Licensee MDPI, Basel, Switzerland. This article is an open access article distributed under the terms and conditions of the Creative Commons Attribution (CC BY) license (https://creativecommons.org/licenses/by/4.0/).
Share and Cite
Zhai, X.; Qiu, Z.; Wang, L.; Luo, Y.; He, W.; Yang, J. Possible Toxic Mechanisms of Deoxynivalenol (DON) Exposure to Intestinal Barrier Damage and Dysbiosis of the Gut Microbiota in Laying Hens. Toxins 2022, 14, 682. https://doi.org/10.3390/toxins14100682
Zhai X, Qiu Z, Wang L, Luo Y, He W, Yang J. Possible Toxic Mechanisms of Deoxynivalenol (DON) Exposure to Intestinal Barrier Damage and Dysbiosis of the Gut Microbiota in Laying Hens. Toxins. 2022; 14(10):682. https://doi.org/10.3390/toxins14100682
Chicago/Turabian StyleZhai, Xiaohu, Zhi Qiu, Lihua Wang, Youwen Luo, Weihua He, and Junhua Yang. 2022. "Possible Toxic Mechanisms of Deoxynivalenol (DON) Exposure to Intestinal Barrier Damage and Dysbiosis of the Gut Microbiota in Laying Hens" Toxins 14, no. 10: 682. https://doi.org/10.3390/toxins14100682
APA StyleZhai, X., Qiu, Z., Wang, L., Luo, Y., He, W., & Yang, J. (2022). Possible Toxic Mechanisms of Deoxynivalenol (DON) Exposure to Intestinal Barrier Damage and Dysbiosis of the Gut Microbiota in Laying Hens. Toxins, 14(10), 682. https://doi.org/10.3390/toxins14100682
