Genes Encoding the Virulence and the Antimicrobial Resistance in Enterotoxigenic and Shiga-toxigenic E. coli Isolated from Diarrheic Calves
Abstract
1. Introduction
2. Results
2.1. Prevalence and Phenotypic Identification of E. coli
2.2. Serotyping of E. coli Isolates
2.3. Congo Red (CR) Binding Test
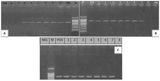
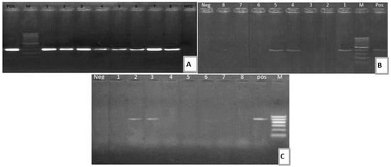
2.4. The Antimicrobial Resistance Profiles and the Antimicrobial Resistance Genes of the Isolated E. coli Strains
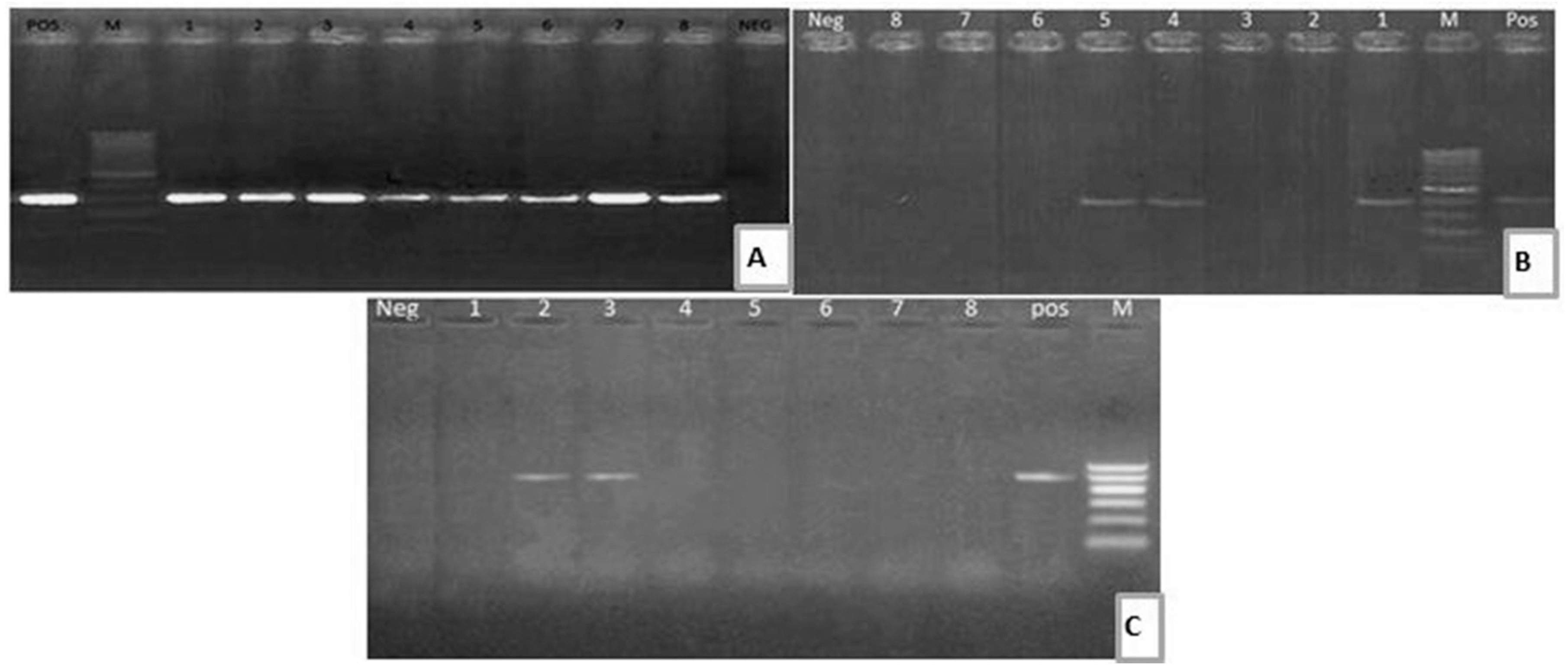
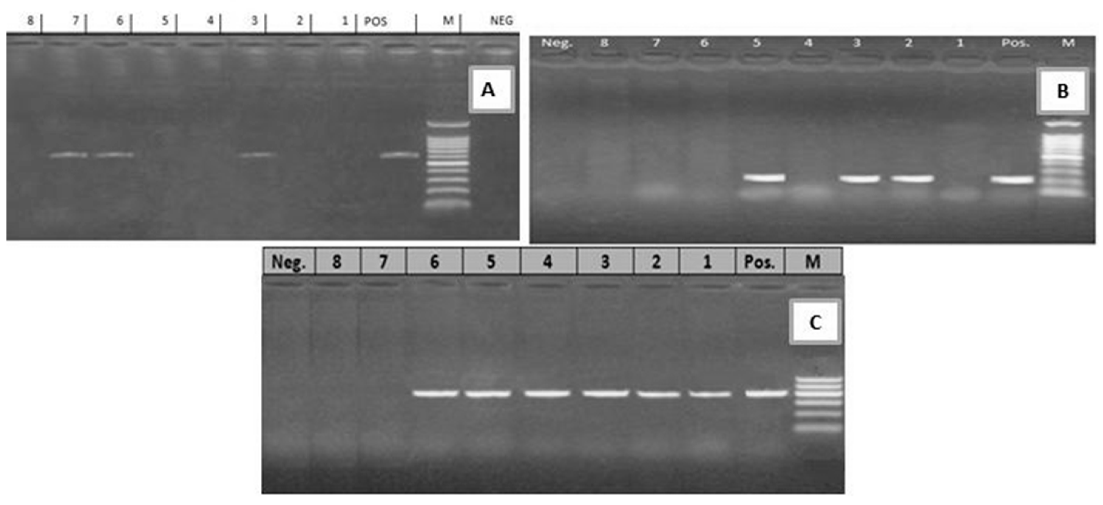
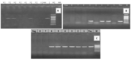
2.5. The Distribution of Virulence Genes Among the Isolated E. coli Strains
3. Discussion
4. Materials and Methods
4.1. Sampling
4.2. Isolation and Identification of E. coli
4.3. Serotyping of Isolated E. coli
4.4. Congo Red Test
4.5. Antimicrobial Susceptibility Testing
4.6. PCR Based Detection of Virulence Genes and Antmicrobial Resistance Genes
4.7. Statistical Analysis
Author Contributions
Acknowledgments
Conflicts of Interest
References
- Tajik, J.; Nazifi, S.; Naghib, S.M.; Ghasrodashti, A.R. Comparison of electrocardiographic parameters and serum electrolytes and microelements between single infection of Rotavirus and Coronavirus and concurrent infection of Cryptosporidium parvum with Rotavirus and Coronavirus in diarrheic dairy calves. Comp. Haematol. Int. 2010, 21, 241–244. [Google Scholar] [CrossRef] [PubMed]
- Cho, Y.-I.; Yoon, K.-J. An overview of calf diarrhea-infectious etiology, diagnosis, and intervention. J. Vet. Sci. 2014, 15, 1–17. [Google Scholar] [CrossRef] [PubMed]
- Aref, N.-E.M.; Abdel-Raheem, A.-R.A.; Kamaly, H.F.; Hussien, S.Z. Clinical and sero-molecular characterization of Escherichia coli with an emphasis on hybrid strain in healthy and diarrheic neonatal calves in Egypt. Open Vet. J. 2018, 8, 351–359. [Google Scholar] [CrossRef] [PubMed]
- Foster, D.M.; Smith, G.W. Pathophysiology of diarrhea in calves. Vet. Clin. N. Am. Food Anim. Pract. 2009, 25, 13–36. [Google Scholar] [CrossRef] [PubMed]
- Eid, H.M.; Algammal, A.M.; Elfeil, W.K.; Youssef, F.M.; Harb, S.M.; Abd-Allah, E.M. Prevalence, molecular typing, and antimicrobial resistance of bacterial pathogens isolated from ducks. Vet. World 2019, 12, 677–683. [Google Scholar] [CrossRef] [PubMed]
- Olaogun, S.; Jeremiah, O.; Jubril, A.; Adewuyi, O. Calf Diarrhea: Epidemiological Prevalence and Bacterial Load in Oyo and Ogun States, Nigeria. Alex. J. Vet. Sci. 2016, 51, 90. [Google Scholar] [CrossRef]
- Ferens, W.A.; Hovde, C.J. Escherichia coli O157:H7: Animal reservoir and sources of human infection. Foodborne Pathog. Dis. 2011, 8, 465–487. [Google Scholar] [CrossRef] [PubMed]
- Nguyen, V.D.; Bennett, S.D.; Mungai, E.; Gieraltowski, L.; Hise, K.; Gould, L.H. Increase in multistate foodborne disease outbreaks—United States, 1973–2010. Foodborne Pathog. Dis. 2015, 12, 867–872. [Google Scholar] [CrossRef] [PubMed]
- Algammal, A.M.; Eid, H.I.; Nasef, S.A.; Elfeil, W.; Mansour, G.H. Genetic variation among avian pathogenic E. coli Strains isolated from broiler chickens. Asian J. Anim. Vet. Adv. 2016, 11, 350–356. [Google Scholar] [CrossRef][Green Version]
- Hashish, E.A.; El Damaty, H.M.; Tartor, Y.H.; Abdelaal, A.M. Epidemiological study of diarrheagenic Escherichia coli virulence genes in newborn calves. Pak. Vet. J. 2016, 36, 54–58. [Google Scholar]
- Algammal, A.M.; Mahmoud, E.E.; Fatma, M.Y.; Shefaa, A.S.; Mahmoud, M.E.; Gaber, E.B.; Wael, N.H.; Madeha, O.I.G. Prevalence, the antibiogram and the frequency of virulence genes of the most predominant bacterial pathogens incriminated in calf pneumonia. AMB Express 2020, 10, 1–8. [Google Scholar] [CrossRef]
- Yamamoto, S.; Iwabuchi, E.; Hasegawa, M.; Esaki, H.; Muramatsu, M.; Hirayama, N.; Hirai, K. Prevalence and molecular epidemiological characterization of antimicrobial-resistant Escherichia coli Isolates from Japanese Black Beef Cattle. J. Food Prot. 2013, 76, 394–404. [Google Scholar] [CrossRef]
- Enany, M.; Algammal, A.M.; Nasef, S.A.; Abo-Eillil, S.A.M.; Bin-Jumah, M.N.; Taha, A.E.; Allam, A. The occurrence of the multidrug resistance (MDR) and the prevalence of virulence genes and QACs resistance genes in E. coli isolated from environmental and avian sources. AMB Express 2019, 9, 1–9. [Google Scholar] [CrossRef] [PubMed]
- Osman, K.M.; Mustafa, A.M.; ElHariri, M.; Abdelhamed, G.S. The distribution of Escherichia coli serovars, virulence genes, gene association and combinations and virulence genes encoding serotypes in pathogenic E. coli recovered from diarrhoeic calves, sheep and goat. Transbound Emerg. Dis. 2012, 60, 69–78. [Google Scholar] [CrossRef] [PubMed]
- Gebregiorgis, A.; Tessema, T.S. Characterization of Escherichia coli isolated from calf diarrhea in and around Kombolcha, South Wollo, Amhara Region, Ethiopia. Trop. Anim. Health Prod. 2015, 48, 273–281. [Google Scholar] [CrossRef] [PubMed]
- Picco, N.Y.; Alustiza, F.E.; Bellingeri, R.V.; Grosso, M.C.; Motta, C.E.; Larriestra, A.J.; Vissio, C.; Tiranti, K.I.; Terzolo, H.R.; Moreira, A.R.; et al. Molecular screening of pathogenic Escherichia coli strains isolated from dairy neonatal calves in Cordoba province, Argentina. Rev. Argent. Microbiol. 2015, 47, 95–102. [Google Scholar] [CrossRef] [PubMed]
- Srivani, M.; Reddy, Y.N.; Subramanyam, K.V.; Reddy, M.R.; Rao, T.S. Prevalence and antimicrobial resistance pattern of Shiga toxigenic Escherichia coli in diarrheic buffalo calves. Vet. World 2017, 10, 774–778. [Google Scholar] [CrossRef] [PubMed][Green Version]
- Lee, S.-H.; Kim, H.-Y.; Choi, E.W.; Kim, D. Causative agents and epidemiology of diarrhea in Korean native calves. J. Vet. Sci. 2019, 20. [Google Scholar] [CrossRef]
- Uhde, F.L.; Kaufmann, T.; Sager, H.; Albini, S.; Zanoni, R.; Schelling, E.; Meylan, M. Prevalence of four enteropathogens in the faeces of young diarrhoeic dairy calves in Switzerland. Vet. Rec. 2008, 163, 362–366. [Google Scholar] [CrossRef] [PubMed]
- Vu-Khac, H.; Cornick, N.A. Prevalence and genetic profiles of Shiga toxin-producing Escherichia coli strains isolated from buffaloes, cattle, and goats in central Vietnam. Vet. Microbiol. 2008, 126, 356–363. [Google Scholar] [CrossRef]
- Vagh, A.; Jani, R. Prevalence and comparative studies of some major serotype of E. coli from cattle and buffalo calf scour. Vet. World 2010, 3, 458. [Google Scholar]
- Wani, S.; Hussain, I.; Beg, S.; Rather, M.; Kabli, Z.; Mir, M.; Nishikawa, Y. Diarrhoeagenic Escherichia coli and Salmonella in calves and lambs in Kashmir: Absence, prevalence and antibiogram. Rev. Sci. Tech. 2013, 32, 833–840. [Google Scholar] [CrossRef] [PubMed]
- Käppeli, U.; Hächler, H.; Giezendanner, N.; Beutin, L.; Stephan, R. Human infections with non-O157 Shiga toxin–producing Escherichia coli, Switzerland. Emerg. Infect. Dis. 2011, 17, 180–185. [Google Scholar] [CrossRef] [PubMed]
- Osman, K.M.; Hessain, A.M.; Abo-Shama, U.H.; Girh, Z.M.; Kabli, S.A.; Hemeg, H.A.; Moussa, I.M. An alternative approach for evaluating the phenotypic virulence factors of pathogenic Escherichia coli. Saudi J. Boil. Sci. 2018, 25, 195–197. [Google Scholar] [CrossRef] [PubMed]
- Panigrahy, B.; Yushen, L. Differentiation of pathogenic and nonpathogenic Escherichia coli isolated from poultry. Avian Dis. 1990, 34, 941. [Google Scholar] [CrossRef] [PubMed]
- Mousa, M.; Akeila, M.; Khaliel, S.; Abdellrazeq, G. Virulence factors of Escherichia coli isolated from diarrheic sheep and goats. J. Vet. Sci. 2010, 30, 137–147. [Google Scholar]
- Hakim, A.; Omara, S.; Syame, S.; Fouad, E.A. Serotyping, antibiotic susceptibility, and virulence genes screening of Escherichia coli isolates obtained from diarrheic buffalo calves in Egyptian farms. Vet. World 2017, 10, 769–773. [Google Scholar] [CrossRef] [PubMed]
- Shahrani, M.; Dehkordi, F.S.; Momtaz, H. Characterization of Escherichia coli virulence genes, pathotypes and antibiotic resistance properties in diarrheic calves in Iran. Biol. Res. 2014, 47, 28. [Google Scholar] [CrossRef] [PubMed]
- Cohen, M.L. Changing patterns of infectious disease. Nature 2000, 406, 762–767. [Google Scholar] [CrossRef]
- Szmolka, A.; Nagy, B. Multidrug resistant commensal Escherichia coli in animals and its impact for public health. Front. Microbiol. 2013, 4, 258. [Google Scholar] [CrossRef] [PubMed]
- Du, X.; Shen, Z.; Wu, B.; Xia, S.; Shen, J. Characterization of class 1 integrons-mediated antibiotic resistance among calf pathogenic Escherichia coli. FEMS Microbiol. Lett. 2005, 245, 295–298. [Google Scholar] [CrossRef] [PubMed][Green Version]
- Nguyen, T.D.; Vo, T.T.; Vu-Khac, H. Virulence factors in Escherichia coli isolated from calves with diarrhea in Vietnam. J. Vet. Sci. 2011, 12, 159–164. [Google Scholar] [CrossRef] [PubMed]
- Jørgensen, R.L.; Friis-Møller, A.; Fjeldsøe-Nielsen, H.; Schønning, K.; Nielsen, J.B. Prevalence and molecular characterization of clinical isolates of Escherichia coli expressing an AmpC phenotype. J. Antimicrob. Chemother. 2010, 65, 460–464. [Google Scholar] [CrossRef] [PubMed]
- Blanco, M.; Blanco, J.; Mora, A.; Dahbi, G.; Alonso, M.P.; Gonzalez, E.A.; Bernardez, M.I.; Blanco, J. Serotypes, virulence genes, and intimin types of Shiga toxin (Verotoxin)-producing Escherichia coli Isolates from cattle in Spain and identification of a new intimin variant gene (eae-ξ). J. Clin. Microbiol. 2004, 42, 645–651. [Google Scholar] [CrossRef] [PubMed]
- Kolenda, R.; Burdukiewicz, M.; Schierack, P. A systematic review and meta-analysis of the epidemiology of pathogenic Escherichia coli of calves and the role of calves as reservoirs for human pathogenic E. coli. Front. Microbiol. 2015, 5, 23–35. [Google Scholar] [CrossRef] [PubMed]
- Huasai, S.; Chen, A.; Wang, C.-J.; Li, Y.; Tongrige, B. Occurrence and characteristics of virulence genes of Escherichia coli strains isolated from healthy dairy cows in Inner Mongolia, China. Braz. J. Microbiol. 2012, 43, 528–534. [Google Scholar] [CrossRef] [PubMed][Green Version]
- Borriello, G.; Lucibelli, M.; De Carlo, E.; Auriemma, C.; Cozza, D.; Ascione, G.; Scognamiglio, F.; Iovane, G.; Galiero, G. Characterization of enterotoxigenic E. coli (ETEC), Shiga-toxin producing E. coli (STEC) and necrotoxigenic E. coli (NTEC) isolated from diarrhoeic Mediterranean water buffalo calves (Bubalus bubalis). Res. Vet. Sci. 2012, 93, 18–22. [Google Scholar] [CrossRef] [PubMed]
- Quinn, P.J.; Markey, B.K.; Leonard, F.C.; Hartigan, P.; Fanning, S.; FitzPatrick, E. Veterinary Microbiology and Microbial Disease; John Wiley & Sons: Hoboken, NJ, USA, 2011. [Google Scholar]
- Edwards, P.R.; Ewing, W.H. Identification of Enterobacteriaceae; Elsevier Science: Amsterdam, The Netherlands, 1962. [Google Scholar]
- Watts, J.L.; Shryock, T.R.; Apley, M.; Bade, D.J.; Brown, S.D.; Gray, J.T.; Heine, H.; Hunter, R.P.; Mevius, D.J.; Papich, M.G.; et al. Performance Standards for Antimicrobial Disk and Dilution Susceptibility Tests for Bacteria Isolated from Animals: Approved Standard; National Committee for Clinical Laboratory Standards: Dublin, OH, USA, 2008. [Google Scholar]
- Bisi-Johnson, M.; Obi, C.L.; Vasaikar, S.; Baba, K.A.; Hattori, T. Molecular basis of virulence in clinical isolates of Escherichia coli and Salmonella species from a tertiary hospital in the Eastern Cape, South Africa. Gut Pathog. 2011, 3, 9. [Google Scholar] [CrossRef] [PubMed]
- Dhanashree, B.; Mallya, P.S. Detection of shiga-toxigenic Escherichia coli (STEC) in diarrhoeagenic stool & meat samples in Mangalore, India. Indian J. Med. Res. 2008, 128, 271. [Google Scholar] [PubMed]
- Lee, J.H.; Hur, J.; Stein, B. Occurrence and characteristics of enterohemorrhagic Escherichia coli O26 and O111 in calves associated with diarrhea. Vet. J. 2008, 176, 205–209. [Google Scholar] [CrossRef] [PubMed]
- Franck, S.M.; Bosworth, B.T.; Moon, H.W. Multiplex PCR for enterotoxigenic, attaching and effacing, and Shiga toxin-producing Escherichia coli strains from calves. J. Clin. Microbiol. 1998, 36, 1795–1797. [Google Scholar] [CrossRef] [PubMed]
- Frana, T.S.; Carlson, S.A.; Griffith, R.W. Relative distribution and conservation of genes encoding aminoglycoside-modifying enzymes in Salmonella enterica serotype Typhimurium phage type DT104. Appl. Environ. Microbiol. 2001, 67, 445–448. [Google Scholar] [CrossRef] [PubMed]
- Colom, K.; Pérez, J.; Alonso, R.; Fernã¡ndez-Aranguiz, A.; Lariño, E.; Cisterna, R.; Pérez, J.; Cisterna, R. Simple and reliable multiplex PCR assay for detection of blaTEM, blaSHV and blaOXA-1 genes in Enterobacteriaceae. FEMS Microbiol. Lett. 2003, 223, 147–151. [Google Scholar] [CrossRef]
- Ibekwe, A.M.; Murinda, S.E.; Graves, A.K. Genetic diversity and antimicrobial resistance of Escherichia coli from human and animal sources uncovers multiple resistances from human sources. PLoS ONE 2011, 6, e20819. [Google Scholar] [CrossRef] [PubMed]



| Ages (Months) | Number of Samples | No. of E. coli | Prevalence (%) |
|---|---|---|---|
| 1–2 days | 45 | 15 | 33.3 |
| 2–4 | 144 | 41 | 28.5 |
| 4–6 | 85 | 23 | 27.1 |
| Total | 274 | 79 | 28.8 |
| Serotypes | Number (%) | |
|---|---|---|
| O 128 | 13 (16.5) | |
| O 111 | 11(13.9) | |
| O 125 | 9 (11.4) | |
| O 26 | 9 (11.4) | |
| O 91 | 8 (10.1) | |
| O 45 | 7 (8.9) | |
| O 119 | 7 (8.9) | |
| Total | Typable | 64 (81.01) |
| Untypable | 15 (18.99) | |
| Antibiotics | Sensitive | Intermediate | Resistant | |||
|---|---|---|---|---|---|---|
| No. | % | No. | % | No. | % | |
| Amoxicillin/Clavulanic acid | 62 | 78.5 | 0 | 0 | 17 | 21.5 |
| Ampicillin/Sulbactam | 62 | 78.5 | 0 | 0 | 17 | 21.5 |
| Enrofloxacin | 67 | 84.9 | 7 | 8.8 | 5 | 6.3 |
| Trimethoprim/Sulfamethoxazole | 30 | 38 | 20 | 25.3 | 29 | 36.7 |
| Gentamycin | 0 | 0 | 4 | 5 | 75 | 95 |
| Neomycin | 0 | 0 | 3 | 3.8 | 76 | 96.2 |
| Florfenicol | 65 | 82.4 | 10 | 12.6 | 4 | 5 |
| Streptomycin | 0 | 0 | 4 | 5 | 75 | 95 |
| Amikacin | 0 | 0 | 5 | 6.3 | 74 | 93.7 |
| Chi-Square value p value | 442.4663 p < 0.0001 | 56.4924 p < 0.0001 | 468.007 p < 0.0001 | |||
| No of Isolates | % of Isolates | The Multidrug Resistance Patterns | The Antimicrobial Resistance Genes |
|---|---|---|---|
| 33 | 41.8 | Neomycin, gentamicin, streptomycin, and amikacin | aadB |
| 22 | 27.8 | Neomycin, gentamicin, streptomycin, amikacin, and trimethoprim/sulfamethoxazole | aadB, sul1 |
| 17 | 21.5 | Neomycin, gentamicin, streptomycin, amikacin, amoxicillin/clavulanic acid, and ampicillin/sulbactam | aadB, blaTEM |
| 3 | 3.8 | Neomycin, gentamicin, streptomycin, trimethoprim/sulfamethoxazole, enrofloxacin, and florfenicol | sul1 |
| 2 | 2.5 | Amikacin, trimethoprim/sulfamethoxazole, and enrofloxacin | sul1 |
| 1 | 1.3 | Neomycin, trimethoprim/sulfamethoxazole, and florfenicol | sul1 |
| 1 | 1.3 | Trimethoprim/sulfamethoxazole | sul1 |
| Antimicrobial Resistance Genes | E. coli | |
|---|---|---|
| No | % | |
| sul1, aadB | 22 | 27.8 |
| aadB | 18 | 22.7 |
| aadB, blaTEM | 17 | 21.5 |
| sul1 | 7 | 8.8 |
| aadB | 15 (untypable strains) | 19 |
| Target Genes | O 128 n = 13 | O 111 n = 11 | O 125 n = 9 | O 26 n = 9 | O 91 n = 8 | O 45 n = 7 | O 119 n = 7 | Untypable n = 15 | Total | |
|---|---|---|---|---|---|---|---|---|---|---|
| Virulence genes | stx1 | 1 | 1 | 0 | 1 | 1 | 0 | 0 | 0 | 4 |
| stx2 | 1 | 1 | 0 | 1 | 0 | 0 | 0 | 0 | 3 | |
| stx1 + stx2 | 1 | 0 | 0 | 1 | 0 | 0 | 0 | 0 | 2 | |
| stx1 + stx2 + eaeA | 2 | 1 | 1 | 1 | 1 | 0 | 1 | 0 | 7 | |
| lt, f41 | 1 | 1 | 1 | 2 | 2 | 2 | 1 | 0 | 10 | |
| sta | 1 | 0 | 2 | 1 | 1 | 1 | 1 | 0 | 7 | |
| lt, sta | 1 | 0 | 1 | 1 | 0 | 0 | 1 | 0 | 4 | |
| lt, f41, sta | 1 | 0 | 0 | 1 | 0 | 0 | 1 | 0 | 3 | |
| Total | 9 | 4 | 5 | 9 | 5 | 3 | 5 | 0 | 40 | |
| Antibiotic resistance genes | sul1, aadB | 6 | 4 | 4 | 4 | 1 | 1 | 2 | 0 | 22 |
| aadB | 3 | 3 | 2 | 3 | 2 | 2 | 3 | 15 | 33 | |
| aadB, blaTEM | 3 | 4 | 2 | 1 | 3 | 3 | 1 | 0 | 17 | |
| sul1 | 1 | 0 | 1 | 1 | 2 | 1 | 1 | 0 | 7 | |
| Total | 13 | 11 | 9 | 9 | 8 | 7 | 7 | 15 | 79 | |
| Pathogenic E. coli | Virulence Genes | E. coli | p-Value | |
|---|---|---|---|---|
| No | % | |||
| Shiga-toxigenic E. coli (STEC) | stx1 | 4 | 5 | 0.19 NS |
| stx2 | 3 | 3.7 | ||
| stx1, stx2 | 2 | 2.5 | ||
| stx1, stx2, eaeA | 7 | 8.9 | ||
| Sub-total | 16 | 20.2 | ||
| Enterotoxigenic E. coli (ETEC) | lt, f41 | 10 | 12.7 | 0.09 NS |
| sta | 7 | 8.9 | ||
| lt, sta | 4 | 5 | ||
| lt, f41, sta | 3 | 3.7 | ||
| Sub-total | 24 | 30.4 | ||
| Total | 40 | 50.6 | ||
| Target Gene | Oligonucleotide Sequence (5′-3′) | Product Size (bp) | Denat. | Cycling (35) | Final E | References | ||
|---|---|---|---|---|---|---|---|---|
| D | A | E | ||||||
| eaeA | F: GTGGCGAATACTGGCGAGACT R: CCCCATTCTTTTTCACCGTCG | 248 | 95 °C 5 min | 95 °C 30 s | 60 °C 30 s | 72 °C 30 s | 72 °C 10 min | [41] |
| stx1 | F: ACACTGGATGATCTCAGTGG R: CTGAATCCCCCTCCATTATG | 614 | 95 °C 5 min | 95 °C 3 min | 59 °C 45 s | 72 °C 90 s | 72 °C 10 min | [42] |
| stx2 | F: CCATGACAACGGACAGCAGTT R: CCTGTCAACTGAGCAGCACTTTG | 779 | 95 °C 5 min | 95 °C 3 min | 59 °C 45 s | 72 °C 90 s | 72 °C 10 min | [42] |
| sta | F: GAAACAACATGACGGGAGGT R: GCACAGGCAGGATTACAACA | 229 | 94 °C 5 min | 94 °C 30 s | 57 °C 45 s | 72 °C 45 s | 72 °C 10 min | [43] |
| lt | F: GGTTTCTGCGTTAGGTGGAA R: GGGACTTCGACCTGAAATGT | 605 | 94 °C 5 min | 94 °C 30 s | 57 °C 45 s | 72 °C 45 s | 72 °C 10 min | [43] |
| f41 | F: GCATCAGCGGCAGTATCT R: GTCCCTAGCTCAGTATTATCACCT | 380 | 94 °C 5 min | 94 °C 30 s | 50 °C 45 s | 72 °C 90 s | 72 °C 10 min | [44] |
| aadB | F: GAGCGAAATCTGCCGCTCTGG R: CTGTTACAACGGACTGGCCGC | 319 | 94 °C 5 min | 94 °C 30 s | 55 °C 45 s | 72 °C 45 s | 72 °C 10 min | [45] |
| blaTEM | F: ATCAGCAATAAACCAGC R: CCCCGAAGAAC GTTTTC | 516 | 94 °C 5 min | 94 °C 30 s | 55 °C 45 s | 72 °C 45 s | 72 °C 10 min | [46] |
| sul1 | F: CGGCGTGGGCTACCTGAACG R: GCCGATCGCGTGAAGTTCCG | 433 | 94 °C 5 min | 94 °C 30 s | 55 °C 45 s | 72 °C 45 s | 72 °C 10 min | [47] |
© 2020 by the authors. Licensee MDPI, Basel, Switzerland. This article is an open access article distributed under the terms and conditions of the Creative Commons Attribution (CC BY) license (http://creativecommons.org/licenses/by/4.0/).
Share and Cite
Algammal, A.M.; El-Kholy, A.W.; Riad, E.M.; Mohamed, H.E.; Elhaig, M.M.; Yousef, S.A.A.; Hozzein, W.N.; Ghobashy, M.O.I. Genes Encoding the Virulence and the Antimicrobial Resistance in Enterotoxigenic and Shiga-toxigenic E. coli Isolated from Diarrheic Calves. Toxins 2020, 12, 383. https://doi.org/10.3390/toxins12060383
Algammal AM, El-Kholy AW, Riad EM, Mohamed HE, Elhaig MM, Yousef SAA, Hozzein WN, Ghobashy MOI. Genes Encoding the Virulence and the Antimicrobial Resistance in Enterotoxigenic and Shiga-toxigenic E. coli Isolated from Diarrheic Calves. Toxins. 2020; 12(6):383. https://doi.org/10.3390/toxins12060383
Chicago/Turabian StyleAlgammal, Abdelazeem M., Ali W. El-Kholy, Emad M. Riad, Hossam E. Mohamed, Mahmoud M. Elhaig, Sulaiman A. Al Yousef, Wael N. Hozzein, and Madeha O. I. Ghobashy. 2020. "Genes Encoding the Virulence and the Antimicrobial Resistance in Enterotoxigenic and Shiga-toxigenic E. coli Isolated from Diarrheic Calves" Toxins 12, no. 6: 383. https://doi.org/10.3390/toxins12060383
APA StyleAlgammal, A. M., El-Kholy, A. W., Riad, E. M., Mohamed, H. E., Elhaig, M. M., Yousef, S. A. A., Hozzein, W. N., & Ghobashy, M. O. I. (2020). Genes Encoding the Virulence and the Antimicrobial Resistance in Enterotoxigenic and Shiga-toxigenic E. coli Isolated from Diarrheic Calves. Toxins, 12(6), 383. https://doi.org/10.3390/toxins12060383

