Domain Shuffling between Vip3Aa and Vip3Ca: Chimera Stability and Insecticidal Activity against European, American, African, and Asian Pests
Abstract
1. Introduction
2. Results
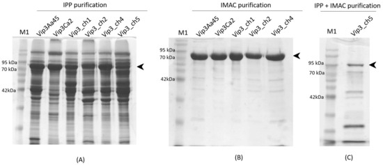
2.1. Sequence Analysis of the Vip3Aa and Vip3Ca Proteins and Determination of the Vip3 Protein Fragment Combinations that Generate Stable Chimeric Proteins
2.2. Proteolytic and Thermal Stability of The Parental and Chimeric Proteins
2.3. Insecticidal Activity of the Parental and Chimeric Vip3 Proteins
3. Discussion
4. Conclusions
5. Materials and Methods
5.1. Design and Construction of Chimeric Vip3 Proteins
5.2. Expression and Purification of Vip3Aa, Vip3Ca, and Chimeric Proteins
5.2.1. Expression of the Parental and Chimeric Vip3 Proteins
5.2.2. Purification of Vip3Aa, Vip3Ca, and Chimeric Vip3 Proteins by Isoelectric Point Precipitation
5.2.3. Purification of Vip3Aa, Vip3Ca, and Chimeric Vip3 Proteins by Ion Metal Affinity Chromatography
5.3. Thermal and Protease Stability of the Parental and the Chimeric Vip3 Proteins
5.4. Insect Colonies and Toxicity Assays
Supplementary Materials
Author Contributions
Funding
Acknowledgments
Conflicts of Interest
References
- Palma, L.; Muñoz, D.; Berry, C.; Murillo, J.; Caballero, P. Bacillus thuringiensis toxins: An overview of their biocidal activity. Toxins 2014, 6, 3296–3325. [Google Scholar] [CrossRef]
- Jouzani, G.S.; Valijanian, E.; Sharafi, R. Bacillus thuringiensis: A successful insecticide with new environmental features and tidings. Appl. Microbiol. Biotechnol. 2017, 101, 2691–2711. [Google Scholar]
- Adang, M.N.; Crickmore, N.; Jurat-Fuentes, J.L. Diversity of Bacillus thuringiensis crystal toxins and mechanism of action. In Advances in Insect Physiology 2014, Volume 47: Insect Midgut and Insecticidal Proteins; Dhadialla, T.S.S., Ed.; Academic Press: San Diego, CA, USA, 2014. [Google Scholar]
- Chakroun, M.; Banyuls, N.; Bel, Y.; Escriche, B.; Ferré, J. Bacterial Vegetative Insecticidal Proteins (Vip) from Entomopathogenic Bacteria. Microbiol. Mol. Biol. Rev. 2016, 80, 329–350. [Google Scholar] [CrossRef] [PubMed]
- Crickmore, N.; Zeigler, D.R.; Schnepf, E.; Van Rie, J.; Lereclus, D.; Baum, J.; Bravo, A.; Dean, D.H. Bacillus thuringiensis Toxin Nomenclature. Available online: http://www.lifesci.sussex.ac.uk/Home/Neil_Crickmore/Bt/ (accessed on 2 December 2019).
- Kunthic, T.; Watanabe, H.; Kawano, R.; Tanaka, Y.; Promdonkoy, B.; Yao, M.; Boonserm, P. pH regulates pore formation of a protease activated Vip3Aa from Bacillus thuringiensis. Biochim. Biophys. Acta Biomembr. 2017, 1859, 2234–2241. [Google Scholar] [CrossRef] [PubMed]
- Palma, L.; Scott, D.J.; Harris, G.; Din, S.U.; Williams, T.L.; Roberts, O.J.; Young, M.T.; Caballero, P.; Berry, C. The Vip3Ag4 insecticidal protoxin from Bacillus thuringiensis adopts a tetrameric configuration that is maintained on proteolysis. Toxins 2017, 9, 165. [Google Scholar] [CrossRef] [PubMed]
- Zack, M.D.; Sopko, M.S.; Frey, M.L.; Wang, X.; Tan, S.Y.; Arruda, J.M.; Letherer, T.T.; Narva, K.E. Functional characterization of Vip3Ab1 and Vip3Bc1: Two novel insecticidal proteins with differential activity against lepidopteran pests. Sci. Rep. 2017, 7, 11112. [Google Scholar] [CrossRef] [PubMed]
- Gomis-Cebolla, J. Mining of new insecticidal protein genes plus determination of the insecticidal spectrum and mode of action of Bacillus thuringiensis Vip3Ca protein. Ph.D. Thesis, University of Valencia, Valencia, Spain, 22 February 2019. [Google Scholar]
- Kunthic, T.; Surya, W.; Promdonkoy, B.; Torres, J.; Boonserm, P. Conditions for homogeneous preparation of stable monomeric and oligomeric forms of activated Vip3A toxin from Bacillus thuringiensis. Eur Biophys. J. 2017, 46, 257–264. [Google Scholar] [CrossRef] [PubMed]
- Lee, M.K.; Miles, P.; Chen, J.S. Brush border membrane binding properties of Bacillus thuringiensis Vip3A toxin to Heliothis virescens and Helicoverpa zea midguts. Biochem. Biophys. Res. Commun. 2006, 339, 1043–1047. [Google Scholar] [CrossRef]
- Sena, J.A.; Hernández-Rodríguez, C.S.; Ferré, J. Interaction of Bacillus thuringiensis Cry1 and Vip3Aa proteins with Spodoptera frugiperda midgut binding sites. Appl. Environ. Microbiol. 2009, 75, 2236–2237. [Google Scholar] [CrossRef]
- Gouffon, C.; Van Vliet, A.; Van Rie, J.; Jansens, S.; Jurat-Fuentes, J.L. Binding sites for Bacillus thuringiensis Cry2Ae toxin on heliothine brush border membrane vesicles are not shared with Cry1A, Cry1F, or Vip3A toxin. Appl. Environ. Microbiol. 2011, 77, 3182–3188. [Google Scholar] [CrossRef]
- Chakroun, M.; Ferré, J. In vivo and in vitro binding of Vip3Aa to Spodoptera frugiperda midgut and characterization of binding sites by 125I radiolabeling. Appl. Environ. Microbiol. 2014, 80, 6258–6265. [Google Scholar] [CrossRef] [PubMed]
- Abdelkefi-Mesrati, L.; Rouis, S.; Sellami, S.; Jaoua, S. Prays oleae midgut putative receptor of Bacillus thuringiensis vegetative insecticidal protein Vip3LB differs from that of cry1Ac toxin. Mol. Biotechnol. 2009, 43, 15–19. [Google Scholar] [CrossRef]
- Gomis-Cebolla, J.; Ruiz de Escudero, I.; Vera-Velasco, N.M.; Hernández-Martínez, P.; Hernández-Rodríguez, C.S.; Ceballos, T.; Palma, L.; Escriche, B.; Caballero, P.; Ferré, J. Insecticidal spectrum and mode of action of the Bacillus thuringiensis Vip3Ca insecticidal protein. J. Invertebr. Pathol. 2017, 142, 60–67. [Google Scholar] [CrossRef] [PubMed]
- Banyuls, N.; Hernández-Rodríguez, C.S.; Van Rie, J.; Ferré, J. Critical amino acids for the insecticidal activity of Vip3Af from Bacillus thuringiensis: Inference on structural aspects. Sci. Rep. 2018, 8, 7539. [Google Scholar] [CrossRef] [PubMed]
- Sellami, S.; Jemli, S.; Abdelmalek, N.; Cherif, M.; Abdelkefi-Mesrati, L.; Tonusi, S.; Jamoussi, K. A novel Vip3Aa16-Cry1Ac chimera toxin: Enhancement of toxicity against Ephestia kuehniella structural study and molecular docking. Int. J. Biol. Macromol. 2018. [Google Scholar]
- Quan, Y.; Ferré, J. Structural Domains of the Bacillus thuringiensis Vip3Af protein unraveled by tryptic digestion of alanine mutants. Toxins 2019, 11, 368. [Google Scholar] [CrossRef] [PubMed]
- Wang, Y.; Wang, J.; Fu, X.; Nageotte, J.R.; Silverman, J.; Bretsnyder, E.C.; Chen, D.; Rydel, T.J.; Bean, G.J.; Li, K.S.; et al. Bacillus thuringiensis Cry1Da_7 and Cry1B.868 protein interactions with novel receptors allow control of resistant fall armyworms, Spodoptera frugiperda (J.E. Smith). Appl. Environ. Microbiol 2019, 85, e00579-19. [Google Scholar] [CrossRef]
- Palma, L.; Hernández-Rodríguez, C.S.; Maeztu, M.; Hernández-Martínez, P.; Ruíz de Escudero, I.; Escriche, B.; Muñoz, D.; Van Rie, J.; Ferré, J.; Caballero, P. Vip3Ca, a novel class of vegetative insecticidal proteins from Bacillus thuringiensis. Appl. Environ. Microbiol. 2012, 78, 7163–7165. [Google Scholar] [CrossRef]
- Ruíz de Escudero, I.; Banyuls, N.; Bel, Y.; Maeztu, M.; Escriche, B.; Muñoz, D.; Caballero, P.; Ferré, J. A screening of five Bacillus thuringiensis Vip3A proteins for their activity against lepidopteran pests. J. Invertebr. Pathol. 2014, 117, 51–55. [Google Scholar]
- GM Approval Database. Available online: http://www.isaaa.org/gmapprovaldatabase/ (accessed on 2 December 2019).
- Rang, C.; Gil, P.; Neisner, N.; Van Rie, J.; Frutos, R. Novel vip3-related protein from Bacillus thuringiensis. Appl. Environ. Microbiol. 2005, 71, 6276–6281. [Google Scholar] [CrossRef]
- Lemes, A.R.N.; Figueiredo, C.S.; Sebastião, I.; Marques da Silva, L.; Da Costa Alves, R.; De Siqueira, H.Á.A.; Lemos, M.V.F.; Fernandes, O.A.; Desidério, J.A. Cry1Ac and Vip3Aa proteins from Bacillus thuringiensis targeting Cry toxin resistance in Diatraea flavipennella and Elasmopalpus lignosellus from sugarcane. Peer J. 2017, 5, e2866. [Google Scholar] [CrossRef]
- Gomis-Cebolla, J.; Wang, Y.; Quan, Y.; He, K.; Walsh, T.; James, B.; Downes, S.; Kain, W.; Wang, P.; Leonard, K.; et al. Analysis of cross-resistance to Vip3 proteins in eight insect colonies, from four insect species, selected for resistance to Bacillus thuringiensis insecticidal proteins. J. Invertebr. Pathol. 2018, 155, 64–70. [Google Scholar] [CrossRef] [PubMed]
- Yang, J.; Quan, Y.; Sivaprasath, P.; Shabbir, M.Z.; Wang, Z.; Ferré, J.; He, K. Insecticidal activity and synergistic combinations of ten different Bt toxins against Mythimna separata (Walker). Toxins 2018, 10, 454. [Google Scholar] [CrossRef]
- Lemes, A.R.N.; Figueiredo, C.S.; Sebastião, I.; Desidério, J.A. Synergism of the Bacillus thuringiensis Cry1, Cry2, and Vip3 Proteins in Spodoptera frugiperda Control. Appl. Biochem. Biotechnol. 2019, 188, 798–809. [Google Scholar]
- Kahn, T.W.; Chakroun, M.; Williams, J.; Walsh, T.; James, B.; Monserrate, J.; Ferré, J. Efficacy and resistance management potential of a modified Vip3C protein for control of Spodoptera frugiperda in maize. Sci. Rep. 2018, 8, 16204. [Google Scholar] [CrossRef] [PubMed]
- Palma, L.; Ruiz de Escudero, I.; Maeztu, M.; Caballero, P.; Muñoz, D. Screening of vip genes from a Spanish Bacillus thuringiensis collection and characterization of two Vip3 proteins highly toxic to five lepidopteran crop pests. Biol. Control 2013, 66, 141–149. [Google Scholar] [CrossRef]
- Chakroun, M.; Bel, Y.; Caccia, S.; Abdelkefi-Mesrati, L.; Escriche, B.; Ferré, J. Susceptibility of Spodoptera frugiperda and S. exigua to Bacillus thuringiensis Vip3A insecticidal protein. J. Invertebr. Pathol. 2012, 110, 334–339. [Google Scholar] [CrossRef]
- Bradford, M.M. A rapid and sensitive method for the quantitation of microgram quantities of protein utilizing the principle of protein-dye binding. Anal. Biochem. 1976, 72, 248–254. [Google Scholar] [CrossRef]
- Lavinder, J.J.; Hari, S.B.; Sullivan, B.J.; Magliery, T.J. High-throughput thermal scanning: A general rapid dye-binding thermal shift screen for proteinengineering. J. Am. Chem. Soc 2009, 131, 3794–3795. [Google Scholar] [CrossRef]
- Greene, G.L.; Leppla, N.C.; Dickerson, W.A. Velvetbean caterpillar: A rearing procedure and artificial medium. J. Econ. Entomol. 1976, 69, 487–488. [Google Scholar] [CrossRef]
- Song, Y.; Zhou, D.; He, K. Studies on mass rearing of Asian corn borer: Development of a satisfactory non-agar semi-artificial diet and its use. Acta Phytophylacica Sin. 1999, 26, 324–328. [Google Scholar]
- He, K.; Wang, Z.; Wen, L.; Bai, S.; Ma, X.; Yao, Z. Determination of baseline susceptibility to Cry1Ab protein for Asian corn borer (Lep., Crambidae). J. Appl. Entomol. 2005, 129, 407–412. [Google Scholar] [CrossRef]
- Hughes, P.R.; Wood, H.A. A synchronous peroral technique for the bioassay of insect viruses. J. Invert. Pathol. 1981, 37, 154–159. [Google Scholar] [CrossRef]




| Insect Family | Insect Genus | Insect Species (Instar Tested) | Concentration | % of Corrected Mortality (Mean ± SD *) ẞ | |||||
|---|---|---|---|---|---|---|---|---|---|
| Vip3Aa | Vip3Aa Chimeras | Vip3Ca | Vip3Ca Chimeras | ||||||
| Vip3_ch1 | Vip3_ch5 | Vip3_ch2 | Vip3_ch4 | ||||||
| µg/cm2 | |||||||||
| Noctuidae | Spodoptera | S. exigua (neonate) | 4.1 | 85.9 ± 4.6 | 86.7 ± 3.3 | 6.5 ± 0.2 | - | - | - |
| 0.5 ζ | 70.8 ± 10.4 (a) | 68.2 ± 0.5 (a) | 6.3 ± 6.3 (b) | - | - | - | |||
| 7 | - | - | - | 51.8 ± 1.4 | 41.5 ± 10.3 | 9.4 ± 0.0 | |||
| 0.7 ζ | - | - | - | 29.7 ± 1.6 (c) | 32.6 ± 4.5 (c) | 3.4 ± 0.3 (d) | |||
| S. littoralis (neonate) | 4.1 | 98.4 ± 1.6 | 100.0 ± 1.6 | 7.8 ± 1.6 | - | - | - | ||
| 0.5 ζ | 98.4 ± 1.6 (b) | 70.0 ± 17.0 (c) | 3.1 ± 3.1 (d) | - | - | - | |||
| 7 | - | - | - | 32.3 ± 2.1 | 34.3 ± 12.6 | 4.6 ± 1.6 | |||
| 0.7 ζ | - | - | - | 6.3 ± 6.3 (e) | 11.5 ± 0.8 (e) | 4.7 ± 4.7 (f) | |||
| S. frugiperda (neonate) | 4.1 | 97.0 ± 3.1 | 98.4 ± 1.6 | 1.6 ± 1.6 | - | - | - | ||
| 0.5 ζ | 91.0 ± 0.0 (g) | 59.4 ± 9.4 (h) | 1.6 ± 1.6 (i) | - | - | - | |||
| 7 | - | - | - | 53.0 ± 6.6 | 98.4 ± 1.6 | 1.6 ± 1.6 | |||
| 0.7 ζ | - | - | - | 6.2 ± 6.2 (j) | 92.2 ± 7.8 (k) | 1.6 ± 1.6 (l) | |||
| Helicoverpa | H. armigera‡ (neonate) | 2.5 | 100 ± 0.0 | 66.5 ± 11.5 | 17.0 ± 4.0 | - | - | - | |
| 0.3 ζ | 83.5 ± 3.5 (m) | 9.0 ± 1.0 (o) | 6.5 ± 2.5 (p) | - | - | ||||
| 4 | - | - | - | 61.5 ± 9.5 | 82.0 ± 4.0 | 2.0 ± 2.0 | |||
| 0.4 ζ | - | - | - | 15.5 ± 5.5 (q) | 15.0 ± 2.0 (q) | 1.0 ± 1.0 (r) | |||
| µg/cm2 | |||||||||
| Noctuidae | Anticarsia | A. gemmatalis (neonate) | 4.1 | 98.4 ± 1.5 | 6.3 ± 6.3 | 7.8 ± 4.7 | - | - | - |
| 0.5 ζ | 98.4 ± 1.5 (s) | 0.0 ± 0.0 (t) | 6.3 ± 6.3 (v) | - | - | - | |||
| 7 | - | - | - | 90.0 ± 3.3 | 54.7 ± 14.1 | 7.8 ± 7.8 | |||
| 0.7 ζ | - | - | - | 54.7 ± 11.8 (w) | 21.9 ± 6.3 (y) | 1.6 ± 1.6 (z) | |||
| µg/ml | |||||||||
| Mamestra | M. brassicae‡ (L2) | 2.5 | 79.3 ± 0.9 | 69.0 ± 6.0 | 22.0 ± 7.0 | - | - | - | |
| 0.3 ζ | 56.5 ± 8.5 (aa) | 31.0 ± 2.0 (ab) | 14.0 ± 1.0 (ac) | - | - | - | |||
| 4 | - | - | - | 65.6 ± 12.3 | 26.0 ± ND δ | 15.5 ± 4.0 | |||
| 0.4 ζ | - | - | - | 30.5 ± 1.5 (ad) | 7.0 ± ND δ (ae) | 10.0 ± 1.0 (af) | |||
| µg/g | |||||||||
| Crambidae | Ostrinia | O. furnacalis * (neonate) | 50 | 55.2 ± 1.0 | 14.6 ± 4.2 | 21.8 ± 3.1 | 96.8 ± 1.0 | 98.9 ± 1.0 | 85.4 ± 2.1 |
| 5 ζ | 16.6 ± 4.2 (ah) | 8.3 ± 0.0 (ai) | 16.6 ± 0.0 (ah) | 91.6 ± 2.1 (aj) | 79.2 ± 2.1 (ak) | 65.6 ± 1.0 (al) | |||
| Insect Species | Toxin | Number of Insects Tested | Slope Factor | Lethal Concentration | Goodness of Fit | |||||||
|---|---|---|---|---|---|---|---|---|---|---|---|---|
| Slope | SE * | CI95 † | LC50 ζ | SE * | CI95 † | R2 | Absolute Sum Squares | Sy.x ‡ | Df ¥ | |||
| O. furnacalis | µg/g | |||||||||||
| Vip3Ca | 768 | 1.4 | 0.06 | 1.3–1.6 | 1.2 (a) | 1.0 | 1.1–1.3 | 0.99 | 129 | 2.7 | 18 | |
| Vip3_ch2 | 768 | 1.0 | 0.05 | 0.9–1.1 | 2.3 (b) | 1.0 | 2.0–2.5 | 0.99 | 195 | 3.3 | 18 | |
| Vip3_ch4 | 768 | 1.2 | 0.07 | 1.0–1.3 | 3.9 (c) | 1.0 | 3.5–4.5 | 0.98 | 327 | 4.3 | 18 | |
| ng/cm2 | ||||||||||||
| S. frugiperda | Vip3Aa | 512 | 1.6 | 0.25 | 1.1–2.2 | 162.0 (d) | 1.1 | 130–202 | 0.95 | 1616 | 9.2 | 19 |
| Vip3_ch2 | 336 | 1.6 | 0.25 | 1.1–2.2 | 133.1 (d) | 1.1 | 107–166 | 0.97 | 1086 | 8.2 | 16 | |
© 2020 by the authors. Licensee MDPI, Basel, Switzerland. This article is an open access article distributed under the terms and conditions of the Creative Commons Attribution (CC BY) license (http://creativecommons.org/licenses/by/4.0/).
Share and Cite
Gomis-Cebolla, J.; Ferreira dos Santos, R.; Wang, Y.; Caballero, J.; Caballero, P.; He, K.; Jurat-Fuentes, J.L.; Ferré, J. Domain Shuffling between Vip3Aa and Vip3Ca: Chimera Stability and Insecticidal Activity against European, American, African, and Asian Pests. Toxins 2020, 12, 99. https://doi.org/10.3390/toxins12020099
Gomis-Cebolla J, Ferreira dos Santos R, Wang Y, Caballero J, Caballero P, He K, Jurat-Fuentes JL, Ferré J. Domain Shuffling between Vip3Aa and Vip3Ca: Chimera Stability and Insecticidal Activity against European, American, African, and Asian Pests. Toxins. 2020; 12(2):99. https://doi.org/10.3390/toxins12020099
Chicago/Turabian StyleGomis-Cebolla, Joaquín, Rafael Ferreira dos Santos, Yueqin Wang, Javier Caballero, Primitivo Caballero, Kanglai He, Juan Luis Jurat-Fuentes, and Juan Ferré. 2020. "Domain Shuffling between Vip3Aa and Vip3Ca: Chimera Stability and Insecticidal Activity against European, American, African, and Asian Pests" Toxins 12, no. 2: 99. https://doi.org/10.3390/toxins12020099
APA StyleGomis-Cebolla, J., Ferreira dos Santos, R., Wang, Y., Caballero, J., Caballero, P., He, K., Jurat-Fuentes, J. L., & Ferré, J. (2020). Domain Shuffling between Vip3Aa and Vip3Ca: Chimera Stability and Insecticidal Activity against European, American, African, and Asian Pests. Toxins, 12(2), 99. https://doi.org/10.3390/toxins12020099

