Biomarker Evaluation and Toxic Effects of an Acute Oral and Systemic Fumonisin Exposure of Pigs with a Special Focus on Dietary Fumonisin Esterase Supplementation
Abstract
1. Introduction
2. Results
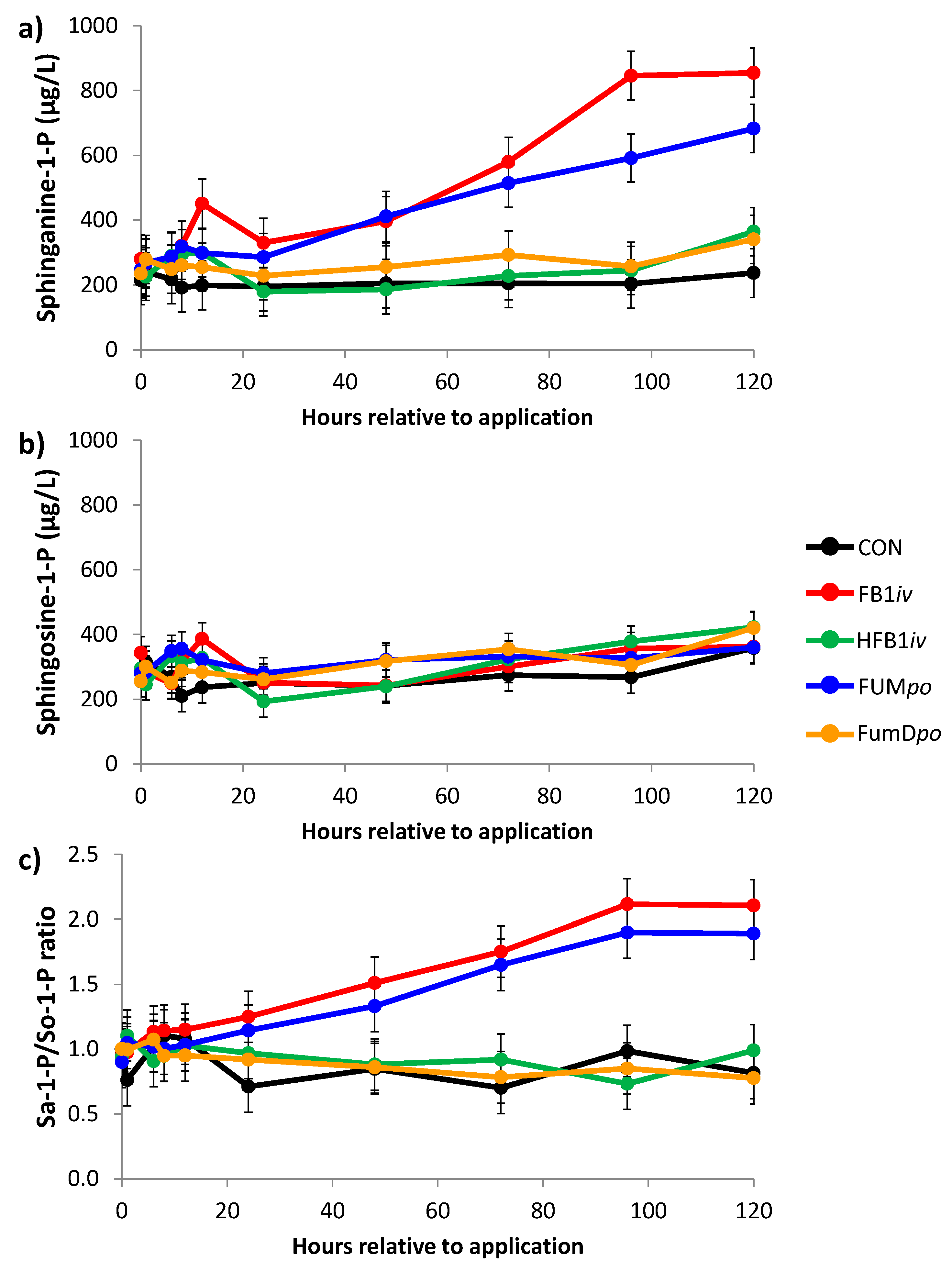
2.1. Sphingoid Bases and Their Ratio in Blood and Cerebrospinal Fluid
2.2. Clinical Examination and Physiology
2.2.1. Respiratory System
2.2.2. Clinical Examination
2.2.3. Red Blood Cell Count (RBCC)
2.2.4. White Blood Cell Count (WBCC)
2.2.5. Clinical Biochemistry
3. Discussion
4. Materials and Methods
4.1. Animals, Housing, and Diets
4.2. Experimental Setup
4.3. Measurements and Analyses
4.3.1. Clinical Examination
4.3.2. Red and White Blood Cell Counts (RBCC, WBCC) and Differential Leukocyte Count
4.3.3. Clinical Biochemistry
4.3.4. Sphinganine and Sphingosine Analysis in Serum and Liquor cerebrospinalis
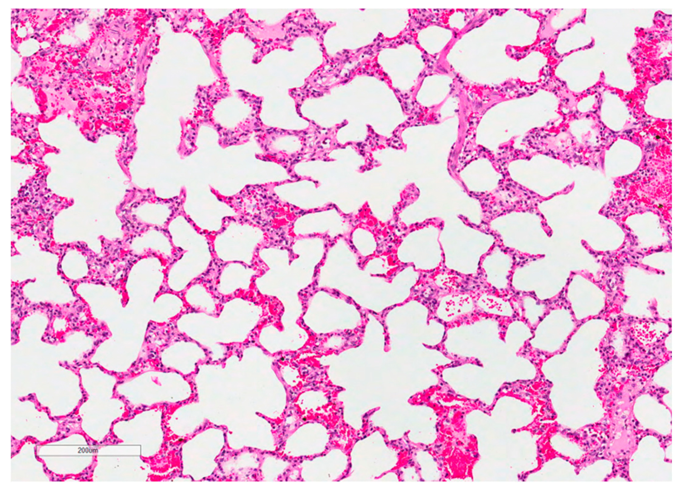
4.3.5. Lung Histopathology
4.4. Statistics
Supplementary Materials
Author Contributions
Funding
Acknowledgments
Conflicts of Interest
References
- Kabak, B.; Dobson, A.D.; Var, I. Strategies to prevent mycotoxin contamination of food and animal feed: A review. Crit. Rev. Food Sci. Nutr. 2006, 46, 593–619. [Google Scholar] [CrossRef] [PubMed]
- Marasas, W.F. Discovery and occurrence of the fumonisins: A historical perspective. Environ. Health Perspect. 2001, 109 (Suppl. 2), 239–243. [Google Scholar] [CrossRef] [PubMed]
- Smith, M.C.; Madec, S.; Coton, E.; Hymery, N. Natural Co-Occurrence of Mycotoxins in Foods and Feeds and Their in vitro Combined Toxicological Effects. Toxins 2016, 8, 94. [Google Scholar] [CrossRef] [PubMed]
- Merrill, A.H., Jr.; Sullards, M.C.; Wang, E.; Voss, K.A.; Riley, R.T. Sphingolipid metabolism: Roles in signal transduction and disruption by fumonisins. Environ. Health Perspect. 2001, 109 (Suppl. 2), 283–289. [Google Scholar] [CrossRef] [PubMed]
- Scott, P.M. Recent research on fumonisins: A review. Food Addit. Contam. Part A Chem. Anal. Control Expo. Risk Assess. 2012, 29, 242–248. [Google Scholar] [CrossRef] [PubMed]
- Stockmann-Juvala, H.; Savolainen, K. A review of the toxic effects and mechanisms of action of fumonisin B1. Hum. Exp. Toxicol. 2008, 27, 799–809. [Google Scholar] [CrossRef] [PubMed]
- Merrill, A.H., Jr.; Wang, E.; Vales, T.R.; Smith, E.R.; Schroeder, J.J.; Menaldino, D.S.; Alexander, C.; Crane, H.M.; Xia, J.; Liotta, D.C.; et al. Fumonisin toxicity and sphingolipid biosynthesis. Adv. Exp. Med. Biol. 1996, 392, 297–306. [Google Scholar] [PubMed]
- Masching, S.; Naehrer, K.; Schwartz-Zimmermann, H.E.; Sarandan, M.; Schaumberger, S.; Dohnal, I.; Nagl, V.; Schatzmayr, D. Gastrointestinal Degradation of Fumonisin B1 by Carboxylesterase FumD Prevents Fumonisin Induced Alteration of Sphingolipid Metabolism in Turkey and Swine. Toxins 2016, 8, 84. [Google Scholar] [CrossRef] [PubMed]
- Riley, R.T.; Wang, E.; Merrill, A.H. Liquid-Chromatographic Determination of Sphinganine and Sphingosine—Use of the Free Sphinganine-to-Sphingosine Ratio as a Biomarker for Consumption of Fumonisins. J. AOAC Int. 1994, 77, 533–540. [Google Scholar]
- Soriano, J.M.; Gonzalez, L.; Catala, A.I. Mechanism of action of sphingolipids and their metabolites in the toxicity of fumonisin B1. Prog. Lipid Res. 2005, 44, 345–356. [Google Scholar] [CrossRef] [PubMed]
- Voss, K.A.; Smith, G.W.; Haschek, W.M. Fumonisins: Toxicokinetics, mechanism of action and toxicity. Anim. Feed Sci. Technol. 2007, 137, 299–325. [Google Scholar] [CrossRef]
- Gelderblom, W.C.A.; Marasas, W.F.O. Controversies in fumonisin mycotoxicology and risk assessment. Hum. Exp. Toxicol. 2011, 31, 215–235. [Google Scholar] [CrossRef] [PubMed]
- Chen, C.; Mitchell, N.J.; Gratz, J.; Houpt, E.R.; Gong, Y.; Egner, P.A.; Groopman, J.D.; Riley, R.T.; Showker, J.L.; Svensen, E.; et al. Exposure to aflatoxin and fumonisin in children at risk for growth impairment in rural Tanzania. Environ. Int. 2018, 115, 29–37. [Google Scholar] [CrossRef] [PubMed]
- Kimanya, M.E.; De Meulenaer, B.; Roberfroid, D.; Lachat, C.; Kolsteren, P. Fumonisin exposure through maize in complementary foods is inversely associated with linear growth of infants in Tanzania. Mol. Nutr. Food Res. 2010, 54, 1659–1667. [Google Scholar] [CrossRef] [PubMed]
- Kimanya, M.E.; De Meulenaer, B.; Van Camp, J.; Baert, K.; Kolsteren, P. Strategies to reduce exposure of fumonisins from complementary foods in rural Tanzania. Matern. Child Nutr. 2012, 8, 503–511. [Google Scholar] [CrossRef] [PubMed]
- Guzman, R.E.; Casteel, S.W.; Rottinghaus, G.E.; Turk, J.R. Chronic Consumption of Fumonisins Derived from Fusarium Moniliforme Culture Material: Clinical and Pathologic Effects in Swine. J. Vet. Diagn. Investig. 1997, 9, 216–218. [Google Scholar] [CrossRef] [PubMed]
- Dilkin, P.; Direito, G.; Simas, M.M.; Mallmann, C.A.; Correa, B. Toxicokinetics and toxicological effects of single oral dose of fumonisin B1 containing Fusarium verticillioides culture material in weaned piglets. Chem. Biol. Interact. 2010, 185, 157–162. [Google Scholar] [CrossRef] [PubMed]
- Caloni, F.; Cortinovis, C. Effects of fusariotoxins in the equine species. Vet. J. 2010, 186, 157–161. [Google Scholar] [CrossRef] [PubMed]
- Escriva, L.; Font, G.; Manyes, L. In vivo toxicity studies of fusarium mycotoxins in the last decade: A review. Food. Chem. Toxicol. 2015, 78, 185–206. [Google Scholar] [CrossRef] [PubMed]
- EFSA. Opinion of the Scientific Panel on Contaminants in Food Chain on a request from the Commission related to fumonisins as undesirable substances in animal feed. EFSA J. 2005, 235, 1–32. [Google Scholar]
- Haschek, W.M.; Gumprecht, L.A.; Smith, G.; Tumbleson, M.E.; Constable, P.D. Fumonisin toxicosis in swine: An overview of porcine pulmonary edema and current perspectives. Environ. Health Perspect. 2001, 109 (Suppl. 2), 251–257. [Google Scholar] [CrossRef] [PubMed]
- Gumprecht, L.A.; Smith, G.W.; Constable, P.C.; Haschek, W.M. Species and organ specificity of fumonisin-induced endothelial alterations: Potential role in porcine pulmonary edema. Toxicology 2001, 160, 71–79. [Google Scholar] [CrossRef]
- Prelusky, D.B.; Trenholm, H.L.; Savard, M.E. Pharmacokinetic fate of 14C-labelled fumonisin B1 in swine. Nat. Toxins 1994, 2, 73–80. [Google Scholar] [CrossRef] [PubMed]
- Schwartz-Zimmermann, H.E.; Hartinger, D.; Doupovec, B.; Gruber-Dorninger, C.; Aleschko, M.; Schaumberger, S.; Nagl, V.; Hahn, I.; Berthiller, F.; Schatzmayr, D.; et al. Application of biomarker methods to investigate FUMzyme mediated gastrointestinal hydrolysis of fumonisins in pigs. World Mycotoxin J. 2018, 11, 201–214. [Google Scholar] [CrossRef]
- Riley, R.T.; Torres, O.; Matute, J.; Gregory, S.G.; Ashley-Koch, A.E.; Showker, J.L.; Mitchell, T.; Voss, K.A.; Maddox, J.R.; Gelineau-van Waes, J.B. Evidence for fumonisin inhibition of ceramide synthase in humans consuming maize-based foods and living in high exposure communities in Guatemala. Mol. Nutr. Food Res. 2015, 59, 2209–2224. [Google Scholar] [CrossRef] [PubMed]
- Schertz, H.; Kluess, J.; Frahm, J.; Schatzmayr, D.; Dohnal, I.; Bichl, G.; Schwartz-Zimmermann, H.; Breves, G.; Dänicke, S. Oral and Intravenous Fumonisin Exposure in Pigs-A Single-Dose Treatment Experiment Evaluating Toxicokinetics and Detoxification. Toxins 2018, 10, 150. [Google Scholar] [CrossRef] [PubMed]
- Kraft, W. , Dürr, U. Klinische Labordiagnostik in der Tiermedizin, 7th ed.; Schattauer GmbH: Stuttgart, Germany, 2013. [Google Scholar]
- Kixmöller, M. Labordiagnostische Referenzbereiche bei Unterschiedlichen Schweinerassen Sowie Histopathologische und Immunhistochemische Untersuchung von Gehirnen Älterer Sauen und Eber auf Transmissible Spongiforme Enzephalopathie im Rahmen der TSE-Studie. Ph.D. Thesis, Ludwig-Maximilians-Universität München, München, Germany, 2004. [Google Scholar]
- Riley, R.T.; An, N.H.; Showker, J.L.; Yoo, H.S.; Norred, W.P.; Chamberlain, W.J.; Wang, E.; Merrill, A.H., Jr.; Motelin, G.; Beasley, V.R.; et al. Alteration of tissue and serum sphinganine to sphingosine ratio: An early biomarker of exposure to fumonisin-containing feeds in pigs. Toxicol. Appl. Pharmacol. 1993, 118, 105–112. [Google Scholar] [CrossRef] [PubMed]
- Kwon, O.S.; Sandberg, J.A.; Slikker, W., Jr. Effects of fumonisin B1 treatment on blood-brain barrier transfer in developing rats. Neurotoxicol. Teratol. 1997, 19, 151–155. [Google Scholar] [CrossRef]
- Fodor, J.; Balogh, K.; Weber, M.; Miklos, M.; Kametler, L.; Posa, R.; Mamet, R.; Bauer, J.; Horn, P.; Kovacs, F.; et al. Absorption, distribution and elimination of fumonisin B1 metabolites in weaned piglets. Food Addit. Contam. 2008, 25, 88–96. [Google Scholar] [CrossRef] [PubMed]
- Osuchowski, M.F.; Edwards, G.L.; Sharma, R.P. Fumonisin B1-Induced Neurodegeneration in Mice after Intracerebroventricular Infusion is Concurrent with Disruption of Sphingolipid Metabolism and Activation of Proinflammatory Signaling. NeuroToxicology 2005, 26, 211–221. [Google Scholar] [CrossRef] [PubMed]
- Wang, E.; Ross, P.F.; Wilson, T.M.; Riley, R.T.; Merrill, A.H., Jr. Increases in serum sphingosine and sphinganine and decreases in complex sphingolipids in ponies given feed containing fumonisins, mycotoxins produced by Fusarium moniliforme. J. Nutr. 1992, 122, 1706–1716. [Google Scholar] [CrossRef] [PubMed]
- Hernandez-Corbacho, M.J.; Salama, M.F.; Canals, D.; Senkal, C.E.; Obeid, L.M. Sphingolipids in mitochondria. Biochim. Biophys. Acta 2017, 1862, 56–68. [Google Scholar] [CrossRef] [PubMed]
- Blaho, V.A.; Hla, T. Regulation of Mammalian Physiology, Development, and Disease by the Sphingosine 1-Phosphate and Lysophosphatidic Acid Receptors. Chem. Rev. 2011, 111, 6299–6320. [Google Scholar] [CrossRef] [PubMed]
- Blaho, V.A.; Hla, T. An update on the biology of sphingosine 1-phosphate receptors. J. Lipid Res. 2014, 55, 1596–1608. [Google Scholar] [CrossRef] [PubMed]
- Fodor, J.; Meyer, K.; Riedlberger, M.; Bauer, J.; Horn, P.; Kovacs, F.; Kovacs, M. Distribution and elimination of fumonisin analogues in weaned piglets after oral administration of Fusarium verticillioides fungal culture. Food Addit. Contam. 2006, 23, 492–501. [Google Scholar] [CrossRef] [PubMed]
- Colvin, B.M.; Cooley, A.J.; Beaver, R.W. Fumonisin toxicosis in swine: Clinical and pathologic findings. J. Vet. Diagn. Investig. 1993, 5, 232–241. [Google Scholar] [CrossRef] [PubMed]
- Motelin, G.K.; Haschek, W.M.; Ness, D.K.; Hall, W.F.; Harlin, K.S.; Schaeffer, D.J.; Beasley, V.R. Temporal and dose-response features in swine fed corn screenings contaminated with fumonisin mycotoxins. Mycopathologia 1994, 126, 27–40. [Google Scholar] [CrossRef] [PubMed]
- Gelderblom, W.C.; Smuts, C.M.; Abel, S.; Snyman, S.D.; Van der Westhuizen, L.; Huber, W.W.; Swanevelder, S. Effect of fumonisin B1 on the levels and fatty acid composition of selected lipids in rat liver in vivo. Food Chem. Toxicol. 1997, 35, 647–656. [Google Scholar] [CrossRef]
- Rotter, B.A.; Prelusky, D.B.; Fortin, A.; Miller, J.D.; Savard, M.E. Impact of pure fumonisin B-1 on various metabolic parameters and carcass quality of growing-finishing swine—Preliminary findings. Can. J. Anim. Sci. 1997, 77, 465–470. [Google Scholar] [CrossRef]
- Loiseau, N.; Polizzi, A.; Dupuy, A.; Therville, N.; Rakotonirainy, M.; Loy, J.; Viadere, J.L.; Cossalter, A.M.; Bailly, J.D.; Puel, O.; et al. New insights into the organ-specific adverse effects of fumonisin B1: Comparison between lung and liver. Arch. Toxicol. 2015, 89, 1619–1629. [Google Scholar] [CrossRef] [PubMed]
- Alberts, B.J.A.; Lewis, J.; Raff, M.; Roberts, K.; Walter, P. Molekularbiologie der Zelle, 5th ed.; Wiley-VCH Verlag & Co. KGaA: Weinheim, Germany, 2011. [Google Scholar]
- Tesch, T.; Bannert, E.; Kluess, J.; Frahm, J.; Kersten, S.; Breves, G.; Renner, L.; Kahlert, S.; Rothkötter, H.J.; Dänicke, S. Does Dietary Deoxynivalenol Modulate the Acute Phase Reaction in Endotoxaemic Pigs?—Lessons from Clinical Signs, White Blood Cell Counts, and TNF-Alpha. Toxins 2015, 8, 3. [Google Scholar] [CrossRef] [PubMed]
- Hahn, I.; Nagl, V.; Schwartz-Zimmermann, H.E.; Varga, E.; Schwarz, C.; Slavik, V.; Reisinger, N.; Malachova, A.; Cirlini, M.; Generotti, S.; et al. Effects of orally administered fumonisin B1 (FB1), partially hydrolysed FB1, hydrolysed FB1 and N-(1-deoxy-D-fructos-1-yl) FB1 on the sphingolipid metabolism in rats. Food Chem. Toxicol. 2015, 76, 11–18. [Google Scholar] [CrossRef] [PubMed]
- Grenier, B.; Schwartz-Zimmermann, H.E.; Caha, S.; Moll, W.D.; Schatzmayr, G.; Applegate, T.J. Dose-dependent effects on sphingoid bases and cytokines in chickens fed diets prepared with fusarium verticillioides culture material containing fumonisins. Toxins 2015, 7, 1253–1272. [Google Scholar] [CrossRef] [PubMed]








| Time after Toxin Application (h) | Group | Respiratory Rate (Breaths∙min−1) | Heart Rate (Beats∙min−1) | Rectal Temperature (°C) |
|---|---|---|---|---|
| …. | CON | 33 | 82 | 39.3 |
| …. | FB1iv | 39 | 78 | 39.2 |
| …. | HFB1iv | 35 | 75 | 39.3 |
| …. | FUMpo | 32 | 76 | 39.2 |
| …. | FumDpo | 34 | 68 | 39.2 |
| 0 | …. | 27 | 78 | 38.7 |
| 24 | …. | 32 | 73 | 39.2 |
| 48 | …. | 35 | 76 | 39.4 |
| 72 | …. | 38 | 82 | 39.3 |
| 96 | …. | 41 | 77 | 39.5 |
| 120 | …. | 35 | 69 | 39.3 |
| Main effects, p-values (F-test) | ||||
| Group | 0.053 | 0.093 | 0.349 | |
| Time | <0.001 | 0.187 | <0.001 | |
| Group×Time | 0.903 | 0.979 | 0.923 | |
| PSEM § | ±2 | ±4 | ±0.1 | |
| Time after Toxin Application (h) | ALB (g/L) 19–39 † | ALP (U/L) <170 † | BILI (mg/dL) <0.25 † | γGT (U/L) <45 † | AST (U/L) <35 † | UREA (mg/dL) 20–50 † | TRI (mg/dL) <44 † |
|---|---|---|---|---|---|---|---|
| 0 | 36.54 | 127.00 | 0.16 | 33.73 | n.m. ‡ | 15.47 | 19.55 |
| 6 | 37.34 | 113.52 | 0.15 | 32.30 | 24.63 | 16.94 | 29.24 |
| 12 | 36.81 | 108.76 | 0.17 | 30.77 | 21.80 | 16.95 | 24.86 |
| 24 | 35.84 | 105.32 | 0.16 | 32.04 | 22.59 | 15.18 | 26.71 |
| 48 | 36.64 | 102.65 | 0.16 | 34.09 | 22.28 | 16.91 | 27.27 |
| 72 | 37.58 | 109.15 | 0.16 | 33.32 | 22.14 | 16.90 | 31.14 |
| 96 | 36.85 | 108.72 | 0.16 | 34.46 | 25.61 | 17.14 | 30.43 |
| 120 | 39.04 | 107.25 | 0.16 | 37.03 | 26.99 | 17.51 | 28.49 |
| Main effects (F-test p-value) | |||||||
| Group | 0.206 | 0.890 | 0.740 | 0.390 | 0.943 | 0.355 | 0.657 |
| Time | <0.001 | <0.001 | 0.399 | <0.001 | 0.600 | 0.034 | <0.001 |
| Group × Time | 0.055 | 0.271 | 0.631 | 0.263 | 0.130 | 0.919 | 0.901 |
| PSEM § | ±0.50 | ±4.11 | ±0.01 | ±0.92 | ±2.82 | ±0.62 | ±1.58 |
| Ingredients (g/kg) | |
| Barley | 745 |
| Soybean meal | 190 |
| Soybean oil | 25 |
| HCl-lysine | 5 |
| DL-methionine | 3 |
| L-threonine | 2 |
| L-tryptophan | 1 |
| Mineral and vitamin premix 1 | 30 |
| Analyzed composition | |
| Dry matter (DM, %) | 90.1 |
| Crude protein (g/kg DM) | 182.7 |
| Crude fat (g/kg DM) | 42.3 |
| Crude fibre (g/kg DM) | 43.5 |
| Crude ash (g/kg DM) | 65.9 |
| Aflatoxin B1, B2, G1, G2 (LOQ < 0.2 μg/g) 2 | <LOD |
| Fumonisin B1 and B2 (LOQ < 20 μg/g) 2 | <LOD |
| Group | Fumonisin Application | Dose (nmol·kg·BW−1) | Fumonisin Esterase (U/kg Feed) | n |
|---|---|---|---|---|
| CON | 0.9% NaCl iv | - | - | 6 (+1 ‡) |
| FB1iv | 100 µg FB1/kg BW iv ◊ | 139 FB1 | - | 6 |
| HFB1iv | 56.2 µg HFB1/kg BW iv ◊ | 139 HFB1 | - | 6 |
| FUMpo | culture material | 3377 FB1 † | - | 6 |
| on top of morning ration, po | 1367 FB2 † | |||
| (calculated: 120 mg FB1 + 48 mg FB2 + 14 mg FB3/kg diet), 0.9% NaCl iv | 584 FB3 † | |||
| FumDpo | culture material | 3321 FB1 † | 240 | 6 |
| on top of morning ration, po | 1344 FB2 † | |||
| (calculated: 120 mg FB1 + 48 mg FB2 + 14 mg FB3/kg diet), 0.9% NaCl iv | 575 FB3 † |
| Clinical Symptom | Manifestation | Score |
|---|---|---|
| Consciousness | unaltered | 0 |
| slightly limited: listless | 1 | |
| medium limited: somnolent | 2 | |
| highly limited: stupor | 3 | |
| comatose | 4 | |
| Behavior | unaltered | 0 |
| smacking | 1 | |
| retching/vomiting | 2 | |
| gnashing of teeth | 3 | |
| Central nervous system | unaltered | 0 |
| nystagmus | 1 | |
| shivering | 2 | |
| spasms | 3 | |
| Grand Mal seizure | 4 | |
| Coat | unruffled, smooth | 0 |
| ruffled | 1 | |
| Skin | unmodified | 0 |
| skin alterations | 1 | |
| skin surface injured | 2 | |
| Respiratory difficulties | none | 0 |
| mild labored breathing | 1 | |
| medium labored breathing | 2 | |
| severe labored breathing | 3 | |
| open-mouth breathing | 4 | |
| Conjunctivae | physiological (pink) | 0 |
| (rose) red | 1 | |
| red | 2 | |
| cyanosis | 3 | |
| anemic | 4 | |
| Episcleral vessels | physiological | 0 |
| slightly injected | 1 | |
| medium injected | 2 | |
| highly injected | 3 | |
| Intestinal symptoms | none | 0 |
| present | 1 | |
| Maximum CCS per time | 26 | |
| Maximum CCS (5 times×CCS) | 130 | |
© 2018 by the authors. Licensee MDPI, Basel, Switzerland. This article is an open access article distributed under the terms and conditions of the Creative Commons Attribution (CC BY) license (http://creativecommons.org/licenses/by/4.0/).
Share and Cite
Schertz, H.; Dänicke, S.; Frahm, J.; Schatzmayr, D.; Dohnal, I.; Bichl, G.; Schwartz-Zimmermann, H.E.; Colicchia, S.; Breves, G.; Teifke, J.P.; et al. Biomarker Evaluation and Toxic Effects of an Acute Oral and Systemic Fumonisin Exposure of Pigs with a Special Focus on Dietary Fumonisin Esterase Supplementation. Toxins 2018, 10, 296. https://doi.org/10.3390/toxins10070296
Schertz H, Dänicke S, Frahm J, Schatzmayr D, Dohnal I, Bichl G, Schwartz-Zimmermann HE, Colicchia S, Breves G, Teifke JP, et al. Biomarker Evaluation and Toxic Effects of an Acute Oral and Systemic Fumonisin Exposure of Pigs with a Special Focus on Dietary Fumonisin Esterase Supplementation. Toxins. 2018; 10(7):296. https://doi.org/10.3390/toxins10070296
Chicago/Turabian StyleSchertz, Hanna, Sven Dänicke, Jana Frahm, Dian Schatzmayr, Ilse Dohnal, Gerlinde Bichl, Heidi E. Schwartz-Zimmermann, Sonia Colicchia, Gerhard Breves, Jens P. Teifke, and et al. 2018. "Biomarker Evaluation and Toxic Effects of an Acute Oral and Systemic Fumonisin Exposure of Pigs with a Special Focus on Dietary Fumonisin Esterase Supplementation" Toxins 10, no. 7: 296. https://doi.org/10.3390/toxins10070296
APA StyleSchertz, H., Dänicke, S., Frahm, J., Schatzmayr, D., Dohnal, I., Bichl, G., Schwartz-Zimmermann, H. E., Colicchia, S., Breves, G., Teifke, J. P., & Kluess, J. (2018). Biomarker Evaluation and Toxic Effects of an Acute Oral and Systemic Fumonisin Exposure of Pigs with a Special Focus on Dietary Fumonisin Esterase Supplementation. Toxins, 10(7), 296. https://doi.org/10.3390/toxins10070296
