The Major Fusarium Species Causing Maize Ear and Kernel Rot and Their Toxigenicity in Chongqing, China
Abstract
:1. Introduction
2. Results
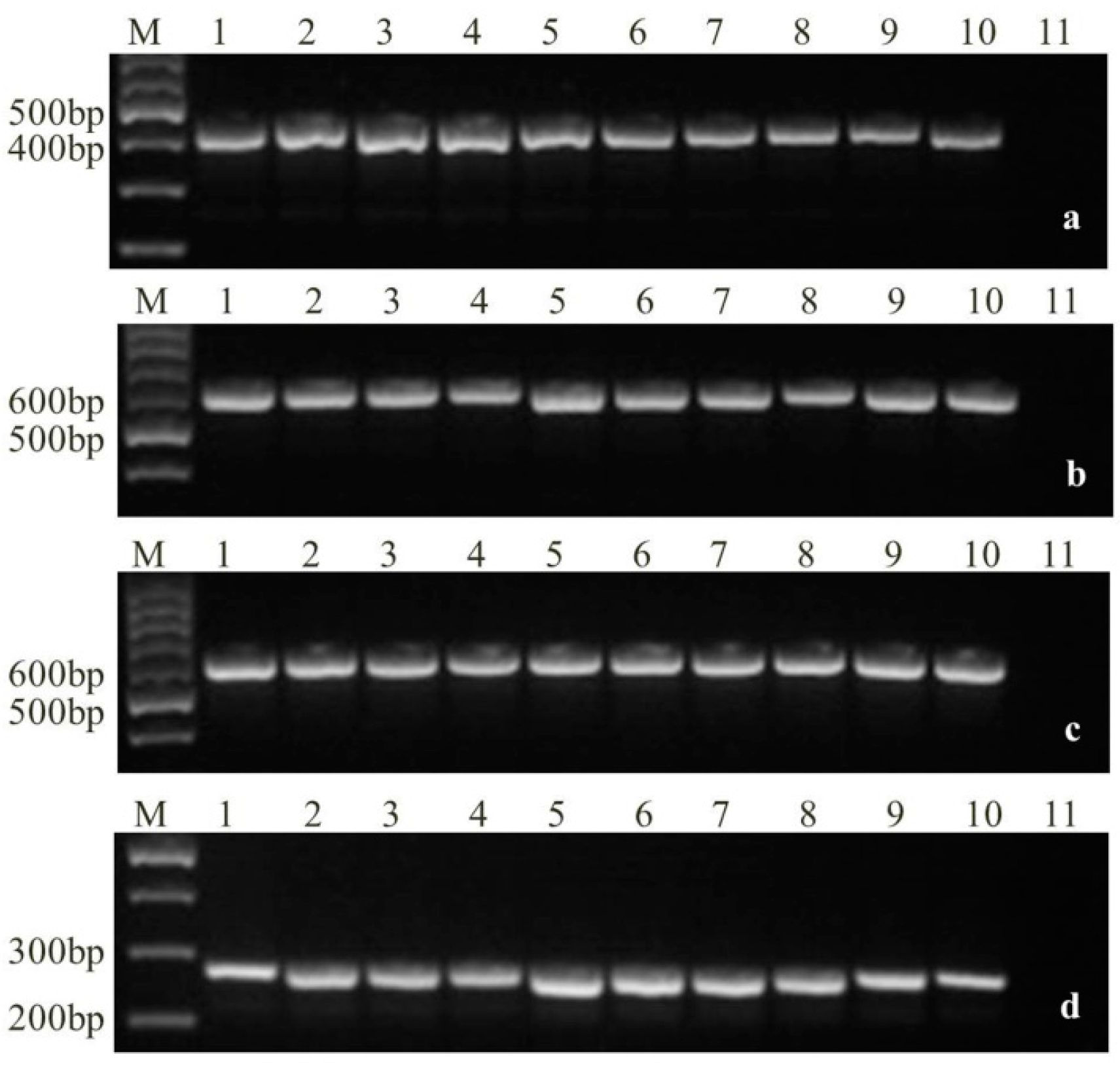
2.1. Identification of Fusarium spp.
2.2. Detection of Toxigenic Genes and Chemotypes
2.3. Analysis of FBs
2.4. Determination of the Toxigenicity of FGSC
3. Discussion
4. Materials and Methods
4.1. Sample Collection and Isolation and Identification of Pathogenic Fungi
4.2. Identification of Pathogenic Fungi
4.3. Molecular Identification of Toxigenic Genes
4.4. Detection of Mycotoxin Production
Supplementary Materials
Acknowledgments
Author Contributions
Conflicts of Interest
Abbreviations
| 3-ADON | 3-acetyl-deoxynivalenol |
| 15-ADON | 15-deoxynivalenol |
| DON | deoxynivalenol |
| FB | fumonisin B |
| HPLC | high performance liquid chromatography |
| NIV | nivalenol |
| OPA | O-phthaldialdehyde |
| PCR | polymerase chain reactions |
| PDA | potato dextrose agar |
| PDB | potato dextrose broth |
| SNA | Spezieller Nährstoffarmer agar |
| TEF | translation elongation factor |
| UHPLC-MS/MS | ultra-high performance liquid chromatography-mass spectrometry |
| ZEN | zearalenone |
References
- Andreas, G.; Erich-Christian, O.; Ulrike, S.; Cees, W.; Ineke, V.; Heinz-Wilhelm, D. Biodiversity of Fusarium species causing ear rot of maize in Germany. Cereal Res. Commun. 2008, 36, 617–622. [Google Scholar]
- Qin, Z.H.; Ren, X.; Jiang, K.; Wu, X.F.; Yang, Z.H.; Wang, X.M. Identification of Fusarium species and F. graminearum species complex causing maize ear rot in China. Acta Phytophysiol. Sin. 2014, 41, 589–596. [Google Scholar]
- Ammar, M.; Merfat, A.; Walid, N.; Paul, H.V.; Mohammad, H. Morphological and Molecular Characterization of Fusarium isolated from maize in Syria. J. Phytopathol. 2013, 161, 452–458. [Google Scholar]
- Rahjoo, V.; Zad, J.; Javan-Nikkhah, A.; Mirzadi, G.A.; Okhovvat, S.M.; Bihamta, M.R.; Razzaghian, J.; Klemsdal, S.S. Morphological and molecular identification of Fusarium isolated from maize ears in Iran. J. Plant Pathol. 2008, 90, 463–468. [Google Scholar]
- Mukanga, M.; Derera, J.; Tongoona, P.; Laing, M.D. A survey of pre-harvest ear rot diseases of maize and associated mycotoxins in south and central Zambia. Int. J. Food Microbiol. 2010, 141, 213–221. [Google Scholar] [CrossRef] [PubMed]
- Strange, R.N.; Scott, P.R. Plant disease: A threat to global food security. Phytopathology 2005, 43, 83–116. [Google Scholar] [CrossRef] [PubMed]
- Sánchez-Rangel, D.; Plasencia, J. The role of sphinganine analog mycotoxins on the virulence of plant pathogenic fungi. Toxin Rev. 2010, 29, 73–86. [Google Scholar] [CrossRef]
- Bottalico, A. Fusarium diseases of cereals: Species complex and related mycotoxin profiles, in Europe. J. Plant Pathol. 1998, 80, 85–103. [Google Scholar]
- Proctor, R.H.; Plattner, R.D.; Desjardins, A.E.; Busman, M.; Butchko, R.A. Fumonisin production in the maize pathogen Fusarium verticillioides: genetic basis of naturally occurring chemical variation. J. Agric. Food Chem. 2006, 54, 2424–2430. [Google Scholar] [CrossRef] [PubMed]
- Thiel, P.G.; Shephard, G.S.; Sydenham, E.W.; Marasas, W.F.; Nelson, P.E.; Wilson, T.M. Levels of fumonisins B1 and B2 in feeds associated with confirmed cases of equine leukoencephalomalacia. J. Agric. Food Chem. 1991, 39, 109–111. [Google Scholar] [CrossRef]
- Sun, G.J.; Wang, S.K.; Hu, X.; Su, J.J.; Huang, T.R.; Yu, J.H.; Tang, L.L.; Gao, W.M.; Wang, J.S. Fumonisin B1 contamination of home-grown corn in high-risk areas for esophageal and liver cancer in China. Food Addit. Contam. 2007, 24, 181–185. [Google Scholar] [CrossRef] [PubMed]
- Marasas, W. Discovery and occurrence of the fumonisins: A historical perspective. Environ. Health Perspect. 2001, 109 (Suppl. 2), 239–243. [Google Scholar] [CrossRef] [PubMed]
- Fu, M.; Li, R.; Guo, C.C.; Pang, M.H.; Liu, Y.C.; Dong, J.G. Natural incidence of Fusarium species and fumonisins B1 and B2 associated with maize kernels from nine provinces in China in 2012. Food Addit. Contam. A 2015, 32, 503–511. [Google Scholar] [CrossRef] [PubMed]
- Li, R.J.; Guo, C.C.; Zhang, Q.G.; Pang, M.H.; Liu, Y.C.; Dong, J.G. Fumonisins B1 and B2 in maize harvested in Hebei province, China, during 2011–2013. Food Addit. Contam. B 2015, 8, 1–6. [Google Scholar] [CrossRef] [PubMed]
- Desjardins, A.E.; Plattner, R.D. Fumonisin B1-nonproducing strains of Fusarium verticillioides cause maize (Zea mays) ear infection and ear rot. J. Agric. Food Chem. 2000, 48, 5773–5780. [Google Scholar] [CrossRef] [PubMed]
- Marin, S.; Magan, N.; Serra, J.; Ramos, A.; Canela, R.; Sanchis, V. Fumonisin B1 production and growth of Fusarium moniliforme and Fusarium proliferatum on maize, wheat, and barley grain. J. Food Sci. 1999, 64, 921–924. [Google Scholar] [CrossRef]
- Lanubile, A.; Ferrarini, A.; Maschietto, V.; Delledonne, M.; Marocco, A.; Bellin, D. Functional genomic analysis of constitutive and inducible defense responses to Fusarium verticillioides infection in maize genotypes with contrasting ear rot resistance. BMC Genom. 2014, 15, 710. [Google Scholar] [CrossRef] [PubMed]
- Cendoya, E.; Farnochi, M.C.; Chulze, S.N.; Ramirez, M.L. Two-dimensional environmental profiles of growth and fumonisin production by Fusarium proliferatum on a wheat-based substrate. Int. J. Food Microbiol. 2014, 182, 9–17. [Google Scholar] [CrossRef] [PubMed]
- Lamprecht, S.; Tewoldemedhin, Y.; Botha, W.; Calitz, F. Fusarium graminearum species complex associated with maize crowns and roots in the KwaZulu-Natal province of South Africa. Plant Dis. 2011, 95, 1153–1158. [Google Scholar] [CrossRef]
- O’Donnell, K.; Ward, T.J.; Geiser, D.M.; Kistler, H.C.; Aoki, T. Genealogical concordance between the mating type locus and seven other nuclear genes supports formal recognition of nine phylogenetically distinct species within the Fusarium graminearum clade. Fungal Genet. Biol. 2004, 41, 600–623. [Google Scholar] [CrossRef] [PubMed]
- O’Donnell, K.; Kistler, H.C.; Tacke, B.K.; Casper, H.H. Gene genealogies reveal global phylogeographic structure and reproductive isolation among lineages of Fusarium graminearum, the fungus causing wheat scab. Proc. Natl. Acad. Sci. USA 2000, 97, 7905–7910. [Google Scholar] [CrossRef] [PubMed]
- Desjardins, A. Fusarium Mycotoxins, Chemistry, Genetics and Biology; The American Phytopathological Society: St. Paul, MN, USA, 2006; p. 260. ISBN 0-89054-335-6. [Google Scholar]
- Ward, T.J.; Bielawski, J.P.; Kistler, H.C.; Sullivan, E.; O’Donnell, K. Ancestral polymorphism and adaptive evolution in the trichothecene mycotoxin gene cluster of phytopathogenic Fusarium. Proc. Natl. Acad. Sci. USA 2002, 99, 9278–9283. [Google Scholar] [CrossRef] [PubMed]
- Suga, H.; Karugia, G.W.; Ward, T.; Gale, L.R.; Tomimura, K.; Nakajima, T.; Miyasaka, A.; Koizumi, S.; Kageyama, K.; Hyakumachi, M. Molecular characterization of the Fusarium graminearum species complex in Japan. Phytopathology 2008, 98, 159–166. [Google Scholar] [CrossRef] [PubMed]
- Ward, T.J.; Clear, R.M.; Rooney, A.P.; O’Donnell, K.; Gaba, D.; Patrick, S.; Starkey, D.E.; Gilbert, J.; Geiser, D.M.; Nowicki, T.W. An adaptive evolutionary shift in Fusarium head blight pathogen populations is driving the rapid spread of more toxigenic Fusarium graminearum in North America. Fungal Genet. Biol. 2008, 45, 473–484. [Google Scholar] [CrossRef] [PubMed]
- Lee, S.H.; Lee, J.K.; Nam, Y.J.; Lee, S.H.; Ryu, J.G.; Lee, T. Population structure of Fusarium graminearum from maize and rice in 2009 in Korea. Plant Pathol. J. 2010, 26, 321–327. [Google Scholar] [CrossRef]
- Zhang, H.; Van der, L.T.; Waalwijk, C.; Chen, W.Q.; Xu, J.; Xu, J.S.; Zhang, Y.; Feng, J. Population analysis of the Fusarium graminearum species complex from wheat in China show a shift to more aggressive isolates. PLoS ONE 2012, 7, e31722. [Google Scholar] [CrossRef] [PubMed]
- Shen, C.M.; Hu, Y.C.; Sun, H.Y.; Li, W.; Guo, J.H.; Chen, H.G. Geographic distribution of trichothecene chemotypes of the Fusarium graminearum species complex in major winter wheat production areas of China. Plant Dis. 2012, 96, 1172–1178. [Google Scholar] [CrossRef]
- Sampietro, D.A.; Ficoseco, M.E.A.; Jimenez, C.M.; Vattuone, M.A.; Catalán, C.A. Trichothecene genotypes and chemotypes in Fusarium graminearum complex strains isolated from maize fields of northwest Argentina. Int. J. Food Microbiol. 2012, 153, 229–233. [Google Scholar] [CrossRef] [PubMed]
- Lee, J.; Kim, H.; Jeon, J.J.; Kim, H.S.; Zeller, K.A.; Carter, L.L.A.; Leslie, J.F.; Lee, Y.W. Population structure of and mycotoxin production by Fusarium graminearum from maize in South Korea. Appl. Environ. Microbiol. 2012, 78, 2161–2167. [Google Scholar] [CrossRef] [PubMed]
- Astolfi, P.; Santos, J.D.; Schneider, L.; Gomes, L.B.; Silva, C.N.; Tessmann, D.J.; Del Ponte, E.M. Molecular survey of trichothecene genotypes of Fusarium graminearum species complex from barley in southern Brazil. Int. J. Food Microbiol. 2011, 148, 197–201. [Google Scholar] [CrossRef] [PubMed]
- Duan, C.X.; Qin, Z.H.; Yang, Z.H.; Li, W.X.; Sun, S.L.; Zhu, Z.D.; Wang, X.M. Identification of pathogenic Fusarium spp. causing maize ear rot and potential mycotoxin production in China. Toxins 2016, 8, 186. [Google Scholar] [CrossRef]
- Duan, C.X.; Wang, X.M.; Song, F.J.; Sun, S.L.; Zhou, D.N.; Zhu, Z.D. Advance in Research on Maize Resistance to Ear Rot. Sci. Agric. Sin. 2015, 48, 2152–2164. [Google Scholar]
- Kuppler, A.L.M.; Steiner, U.; Sulyok, M.; Krska, R.; Oerke, E.C. Genotyping and phenotyping of Fusarium graminearum isolates from Germany related to their mycotoxin biosynthesis. Int. J. Food Microbiol. 2011, 151, 78–86. [Google Scholar] [CrossRef] [PubMed]
- Boutigny, A.L.; Ward, T.J.; Ballois, N.; Iancu, G.; Ioos, R. Diversity of the Fusarium graminearum species complex on French cereals. Eur. J. Plant Pathol. 2014, 138, 133–148. [Google Scholar] [CrossRef]
- Ji, L.; Cao, K.; Hu, T.; Wang, S. Determination of deoxynivalenol and nivalenol chemotypes of Fusarium graminearum isolates from China by PCR assay. J. Phytopathol. 2007, 155, 505–512. [Google Scholar] [CrossRef]
- Zhang, J.B.; Li, H.P.; Dang, F.J.; Qu, B.; Xu, Y.B.; Zhao, C.S.; Liao, Y.C. Determination of the trichothecene mycotoxin chemotypes and associated geographical distribution and phylogenetic species of the Fusarium graminearum clade from China. Mycol. Res. 2007, 111, 967–975. [Google Scholar] [CrossRef] [PubMed]
- European Food Safety Authority. Scientific Opinion on risks for animal and public health related to the presence of nivalenol in food and feed. EFSA J. 2013, 11, 3262. [Google Scholar]
- Schothorst, R.C.; Egmond, H.P. Report from SCOOP task 3.2. 10 “collection of occurrence data of Fusarium toxins in food and assessment of dietary intake by the population of EU member states”: Subtask: trichothecenes. Toxicol. Lett. 2004, 153, 133–143. [Google Scholar] [PubMed]
- Leslie, J.F.; Summerell, B.A. The Fusarium Laboratory Manual; Blackwell Publishing: Ames, IA, USA, 2007. [Google Scholar] [CrossRef]
- Bluhm, B.H.; Flaherty, J.E.; Cousin, M.A.; Woloshuk, C.P. Multiplex polymerase chain reaction assay for the differential detection of trichothecene- and fumonisin-producing species of Fusarium in cornmeal. J. Food Prot. 2002, 65, 1955–1961. [Google Scholar] [CrossRef] [PubMed]
- Nicholson, P.; Simpson, D.R.; Weston, G.; Rezanoor, H.N.; Lees, A.K.; Parry, D.W.; Joyce, D. Detection and quantification of Fusarium culmorum and Fusarium graminearumin cereals using PCR assays. Physiol. Mol. Plant Pathol. 1998, 53, 17–37. [Google Scholar] [CrossRef]
- Mishra, P.K.; Fox, R.T.V.; Culham, A. Development of a PCR-based assay for rapid and reliable identification of pathogenic Fusariam. FEMS Microbiol. Lett. 2003, 218, 329–332. [Google Scholar] [CrossRef] [PubMed]
- Mulè, G.; Susca, A.; Stea, G.; Moretti, A. A species-specific PCR assay based on the calmodulin partial gene for identification of Fusarium verticillioides, F. proliferatum and F. subglutinans. Eur. J. Plant Pathol. 2004, 110, 495–502. [Google Scholar] [CrossRef]
- O’Donnell, K.; Kistler, H.C.; Cigelnik, E.; Ploetz, R.C. Multiple evolutionary origins of the fungus causing Panama disease of banana: Concordant evidence from nuclear and mitochondrial gene genealogies. Proc. Natl. Acad. Sci. USA 1998, 95, 2044–2049. [Google Scholar] [CrossRef] [PubMed]
- Proctor, R.H.; Plattner, R.D.; Brown, D.W.; Seo, J.A.; Lee, Y.W. Discontinuous distribution of fumonisin biosynthetic genes in the Gibberella fujikuroi species complex. Mycol. Res. 2004, 108, 815–822. [Google Scholar] [CrossRef] [PubMed]
- Wang, J.H.; Li, H.P.; Qu, B.; Zhang, J.B.; Huang, T.; Chen, F.F.; Liao, Y.C. Development of a Generic PCR Detection of 3-Acetyldeoxynivalenol-, 15-Acetyldeoxynivalenol- and Nivalenol-Chemotypes of Fusarium graminearum clade. Int. J. Mol. Sci. 2008, 9, 2495–2504. [Google Scholar] [CrossRef] [PubMed]
- Krska, R.; Baumgartner, S.; Josephs, R. The state of the art in the analysis of type-A and -B trichothecene mycotoxins in cereals. J. Anal. Chem. 2001, 371, 285–299. [Google Scholar] [CrossRef]
- Escobar, J.; Loran, S.; Gimenez, I.; Ferruz, E.; Herrera, M.; Herrera, A.; Arino, A. Occurrence and exposure assessment of Fusarium mycotoxins in maize germ, refined corn oil and margarine. Food Chem. Toxicol. 2013, 62, 514–520. [Google Scholar] [CrossRef] [PubMed]






| Fusarium spp. | Number of Isolates | Isolation Frequency | Isolate Code |
|---|---|---|---|
| Fusarium verticillioides | 47 | 40.2% | D11, D12-1, D12-2, D13, D15, D17, D22, D25, D30-2, D31, D32, D33, D34, D40-2, D42, D45, D50, D52, D54, D58-1, D60, D61-2, D62-2, D63, D64, D68-1, D68-2, D70, D72, D74-1, D77, D78-2, D79-1, D80-2, D81, D83-1, D83-2, D84, D85-2, D87, D88-1, D92-1, D93-2, D95-1, D96-1, D98-2, D100 |
| F. proliferatum | 19 | 16.4% | D21, D44-2, D56-1, D57-1, D59, D62-1, D65-1, D67, D68-3, D75, D75-2, D78-1, D79-3, D88-2, D89-2, D90-1, D91, D92-2, D93-1 |
| FGSC | 19 | 16.4% | CP1, CP4, CP5, D14, D38, D44-1, D46, D48, D57-2, D58-2, D59-2, D66, D73, D76-1, D82-1, D85-1, D91-2, D92-3, D99 |
| F. oxysporum | 14 | 12.1% | D16, D23, D26, D30-1, D61-1, D61-3, D71-2, D78-3, D79-2, D82-2, D86-2, D93-3, D95-2, D96-2 |
| F. fujikuroi | 8 | 6.9% | CP2AH, CP2AZ, D24, D69-2, D7, D90-22, D94, D97-2 |
| F. equiseti | 4 | 3.4% | D56-2, D80-1, D89-1, D98-1 |
| F. culmorum | 2 | 1.7% | D55, D95-3 |
| F. incarnatum | 1 | 0.9% | D71-3 |
| F. kyushuense | 1 | 0.9% | D40-3 |
| F. solani | 1 | 0.9% | D69-1 |
| Fusarium spp. | Isolation Frequency | ||||
|---|---|---|---|---|---|
| Northeast Chongqing | Southeast Chongqing | Central Chongqing | West Chongqing | The Others | |
| F. verticillioides | 28.57% | 42.86% | 40.00% | 35.48% | 91.67% |
| FGSC | 20.00% | 14.29% | 10.00% | 22.58% | 0.00% |
| F. proliferatum | 20.00% | 10.71% | 20.00% | 19.35% | 0.00% |
| F. oxysporum | 14.14% | 25.00% | 20.00% | 0.00% | 8.33% |
| F. fujikuroi | 5.71% | 7.14% | 10.00% | 9.68% | 0.00% |
| F. equiseti | 5.71% | 3.57% | 0.00% | 3.22% | 0.00% |
| F. culmorum | 2.86% | 0.00% | 0.00% | 3.22% | 0.00% |
| F. kyushuense | 0.00% | 0.00% | 0.00% | 3.22% | 0.00% |
| F. incarnatum | 0.00% | 3.57% | 0.00% | 0.00% | 0.00% |
| No. | Origin of Isolate | FB1 (µg/g) | FB2 (µg/g) | FB3 (µg/g) | FBs (µg/g) |
|---|---|---|---|---|---|
| D100 | Jiulongpo | 148.56 ± 3.51 | 15.32 ± 2.53 | 24.51 ± 2.01 | 188.39 ± 8.33 |
| D11 | Hechuan | 21.13 ± 1.32 | 5.47 ± 1.12 | 7.71 ± 1.56 | 34.31 ± 4.01 |
| D12-1 | Longyu | 18.33 ± 1.41 | 2.58 ± 0.28 | 3.22 ± 0.69 | 24.13 ± 2.11 |
| D12-2 | Longyu | 584.06 ± 8.53 | 81.22 ± 0.89 | 69.98 ± 3.21 | 735.26 ± 10.35 |
| D13 | Suzhou | 35.30 ± 2.30 | 7.88 ± 1.03 | 10.32 ± 1.11 | 53.50 ± 2.36 |
| D15 | Changping | 122.84 ± 4.58 | 10.25 ± 1.55 | 26.13 ± 3.28 | 159.22 ± 5.78 |
| D17 | Bazhong | 20.07 ± 1.11 | 3.72 ± 0.56 | 6.21 ± 0.34 | 30.01 ± 2.15 |
| D22 | Bijie | 211.83 ± 2.12 | 19.45 ± 2.58 | 39.82 ± 2.01 | 271.10 ± 5.38 |
| D25 | Xifeng | 56.23 ± 1.56 | 6.86 ± 1.13 | 15.37 ± 0.88 | 78.46 ± 4.56 |
| D30-2 | Pujiang | 13.20 ± 0.89 | 3.41 ± 0.77 | 6.79 ± 0.67 | 23.40 ± 1.81 |
| D31 | Pujiang | 11.49 ± 1.13 | 2.51 ± 0.56 | 5.82 ± 0.87 | 19.82 ± 1.87 |
| D32 | Pujiang | 3.17 ± 0.33 | 1.07 ± 0.39 | 1.52 ± 0.30 | 5.76 ± 0.68 |
| D33 | Pujiang | 209.67 ± 4.55 | 17.93 ± 2.57 | 47.14 ± 2.56 | 274.74 ± 6.30 |
| D34 | Zizhong | 26.86 ± 1.20 | 4.78 ± 0.46 | 12.28 ± 1.89 | 43.92 ± 2.51 |
| D40-2 | Handan | 968.68 ± 6.38 | 74.51 ± 5.48 | 105.01 ± 5.11 | 1148.19 ± 13.15 |
| D42 | Qinhuangdao | 19.25 ± 1.09 | 5.00 ± 0.77 | 6.34 ± 0.55 | 30.60 ± 2.33 |
| D45 | Luanxian | 9.44 ± 0.55 | 2.17 ± 0.69 | 2.63 ± 0.51 | 14.24 ± 1.26 |
| D50 | Yibin | 90.53 ± 2.37 | 7.91 ± 0.88 | 13.93 ± 2.14 | 112.36 ± 4.23 |
| D52 | Yibin | 35.91 ± 1.22 | 1.80 ± 0.20 | 16.38 ± 1.89 | 54.10 ± 3.18 |
| D54 | Yibin | 1076.93 ± 16.78 | 51.51 ± 4.26 | 356.15 ± 15.11 | 1484.59 ± 17.33 |
| D58-1 | Qijiang | 502.83 ± 6.56 | 51.41 ± 2.21 | 200.92 ± 10.23 | 755.16 ± 7.36 |
| D60 | Dianjiang | 63.20 ± 2.59 | 6.14 ± 0.58 | 10.60 ± 0.95 | 79.95 ± 3.56 |
| D61-1 | Dianjiang | 22.22 ± 1.08 | 8.98 ± 0.39 | 16.02 ± 1.08 | 47.21 ± 2.88 |
| D62-2 | Nanchuan | 270.12 ± 5.02 | 21.35 ± 2.56 | 46.02 ± 2.58 | 337.49 ± 7.77 |
| D63 | Nanchuan | 10.28 ± 0.56 | 8.20 ± 0.77 | 6.83 ± 0.86 | 25.32 ± 2.03 |
| D64 | Changshou | 167.70 ± 4.56 | 8.58 ± 0.95 | 53.40 ± 3.33 | 229.68 ± 5.08 |
| D68-1 | Rongchang | 8.90 ± 0.63 | 1.62 ± 0.19 | 4.88 ± 0.88 | 15.40 ± 1.26 |
| D68-2 | Rongchang | 283.87 ± 5.17 | 32.87 ± 2.15 | 72.44 ± 5.69 | 389.18 ± 7.02 |
| D70 | Rongchang | 233.19 ± 5.31 | 42.68 ± 2.33 | 145.60 ± 8.12 | 421.47 ± 5.59 |
| D72 | Xiushan | 26.26 ± 1.09 | 3.72 ± 0.69 | 14.35 ± 2.99 | 44.33 ± 2.03 |
| D74-1 | Shizhu | 112.39 ± 4.26 | 15.73 ± 0.97 | 57.14 ± 3.11 | 185.26 ± 5.69 |
| D77 | Dazhu | 261.92 ± 4.63 | 25.38 ± 3.33 | 80.67 ± 4.23 | 367.98 ± 5.78 |
| D78-2 | Youyang | 353.08 ± 7.89 | 22.778 ± 2.68 | 129.00 ± 5.55 | 504.86 ± 8.26 |
| D79-1 | Youyang | 848.51 ± 9.97 | 42.33 ± 3.15 | 167.50 ± 6.42 | 1058.35 ± 10.89 |
| D80-2 | Xiushan | 1005.51 ± 10.36 | 86.65 ± 4.13 | 128.81 ± 5.43 | 1220.98 ± 10.29 |
| D81 | Qianjiang | 206.21 ± 5.12 | 19.69 ± 1.22 | 30.37 ± 2.33 | 256.26 ± 5.96 |
| D83-1 | Penshui | 36.09 ± 2.01 | 8.24 ± 0.57 | 10.88 ± 1.46 | 55.20 ± 2.39 |
| D83-2 | Penshui | 44.05 ± 2.25 | 6.39 ± 0.88 | 12.21 ± 1.39 | 62.65 ± 2.54 |
| D84 | Fumeng | 100.87 ± 3.87 | 8.96 ± 1.09 | 31.28 ± 3.11 | 141.11 ± 4.37 |
| D85-2 | Pengshui | 1566.44 ± 12.66 | 156.52 ± 5.55 | 292.22 ± 6.47 | 2015.19 ± 13.89 |
| D87 | Wulong | 215.51 ± 7.01 | 20.83 ± 2.07 | 47.24 ± 2.11 | 283.58 ± 8.09 |
| D88-1 | Tongnan | 37.15 ± 1.17 | 6.62 ± 0.89 | 12.51 ± 1.03 | 56.27 ± 2.15 |
| D92-1 | Chengkou | 206.02 ± 3.56 | 6.37 ± 1.22 | 11.15 ± 1.35 | 223.54 ± 4.23 |
| D93-2 | Chengkou | 89.92 ± 3.43 | 9.18 ± 0.91 | 25.29 ± 2.10 | 124.38 ± 3.89 |
| D95-1 | Wuxi | 749.74 ± 8.01 | 77.64 ± 3.87 | 122.98 ± 5.88 | 950.36 ± 9.52 |
| D96-1 | Yunyang | 968.97 ± 11.12 | 95.69 ± 3.60 | 97.01 ± 4.53 | 1161.67 ± 13.52 |
| D98-2 | Wanzhou | 330.59 ± 5.23 | 41.03 ± 2.11 | 35.68 ± 3.68 | 407.30 ± 6.56 |
| No. | Origin of Isolate | FB1 (µg/g) | FB2 (µg/g) | FB3 (µg/g) | FBs (µg/g) |
|---|---|---|---|---|---|
| D21 | Beibe | 3082.95 ± 30.78 | 231.44 ± 5.22 | 155.25 ± 5.36 | 3469.64 ± 33.69 |
| D44-2 | Fengdu | 5331.14 ± 45.36 | 463.27 ± 5.68 | 204.95 ± 5.21 | 5999.36 ± 47.23 |
| D56-1 | Yongchuan | 157.23 ± 5.23 | 31.16 ± 2.11 | 25.14 ± 1.01 | 213.52 ± 5.89 |
| D57-1 | Qijiang | 194.99 ± 6.12 | 16.01 ± 0.89 | 18.59 ± 1.53 | 229.59 ± 6.57 |
| D59 | Dianjiang | 5947.56 ± 38.12 | 866.02 ± 9.45 | 308.96 ± 9.31 | 7122.54 ± 40.12 |
| D62-1 | Nanchuan | 5666.14 ± 46.25 | 229.35 ± 7.36 | 124.29 ± 5.23 | 6019.77 ± 47.76 |
| D65-1 | Changshou | 4578.41 ± 23.39 | 800.77 ± 9.12 | 316.49 ± 8.01 | 5695.67 ± 26.59 |
| D67 | Wansheng | 1284.52 ± 15.23 | 101.54 ± 2.89 | 231.50 ± 5.34 | 1617.55 ± 17.25 |
| D68-3 | Rongchan | 366.54 ± 6.55 | 34.09 ± 3.11 | 75.35 ± 2.59 | 475.97 ± 7.67 |
| D75 | Zhongxian | 9130.53 ± 52.47 | 867.38 ± 18.12 | 317.26 ± 7.21 | 10,315.17 ± 54.28 |
| D75-2 | Zhongxian | 6357.95 ± 39.58 | 534.06 ± 6.39 | 200.89 ± 6.33 | 7092.89 ± 41.26 |
| D78-1 | Youyang | 5579.13 ± 37.45 | 390.65 ± 8.88 | 258.46 ± 8.77 | 6228.24 ± 38.97 |
| D79-3 | Youyang | 632.89 ± 10.24 | 90.55 ± 3.69 | 141.27 ± 6.37 | 864.71 ± 11.25 |
| D88-2 | Tongnan | 97.74 ± 4.63 | 16.48 ± 1.10 | 9.11 ± 0.78 | 123.33 ± 4.99 |
| D89-2 | Kaixian | 299.31 ± 6.11 | 36.92 ± 3.55 | 19.66 ± 1.25 | 355.89 ± 7.21 |
| D90-1 | Kaixian | 936.56 ± 11.56 | 66.04 ± 2.01 | 44.61 ± 3.21 | 1047.21 ± 14.22 |
| D91 | Shizhu | 2813.66 ± 22.37 | 881.77 ± 10.56 | 250.86 ± 6.78 | 3946.29 ± 26.85 |
| D92-2 | Chenkou | 11,100.99 ± 56.79 | 431.62 ± 9.23 | 293.84 ± 10.57 | 11,826.45 ± 58.76 |
| D93-1 | Chenkou | 5466.50 ± 35.76 | 1554.83 ± 16.37 | 381.40 ± 9.78 | 7402.72 ± 38.83 |
| Fusarium spp. | FB1 (µg/g) | FB2 (µg/g) | FB3 (µg/g) | FBs (µg/g) |
|---|---|---|---|---|
| F. verticillioides | 263.94 ± 4.01 A | 24.70 ± 3.75 A | 56.1 8 ± 2.95 A | 344.81 ± 6.51 A |
| F. proliferatum | 3632.88 ± 23.70 B | 402.31 ± 6.02 B | 177.78 ± 4.51 B | 4212.97 ± 25.89 B |
| No. | Species 2 | Origin | Genotype | NIV (µg/g) | DON (µg/g) | 15-ADON (µg/g) | 3-ADON (µg/g) | ZEN (µg/g) |
|---|---|---|---|---|---|---|---|---|
| CP1 | F. m. | Fuling | NIV | 699.55 ± 11.23 | 19.43 ± 1.56 | 0.00 | 0.00 | 0.00 |
| CP4 | F. m. | Jiangjin | NIV | 1254.86 ± 18.68 | 3.77 ± 0.38 | 0.00 | 0.00 | 0.00 |
| D14 | F. m. | Wanzhou | NIV | 2597.34 ± 25.48 | 33.41 ± 2.69 | 0.00 | 0.00 | 8.35 ± 0.67 |
| D38 | F. m. | Jiangjin | NIV | 143.52 ± 5.36 | 0.00 | 7.90 ± 0.89 | 7.81 ± 0.57 | 12.72 ± 1.03 |
| D44-1 | F. m. | Fengdu | NIV | 1004.84 ± 13.89 | 0.00 | 0.00 | 0.00 | 14.57 ± 1.25 |
| D46 | F. m. | Chengkou | NIV | 450.11 ± 8.37 | 3.38 ± 0.56 | 0.00 | 0.00 | 0.00 |
| D48 | F. m. | Chengkou | NIV | 89.25 ± 3.21 | 0.00 | 0.00 | 0.00 | 78.57 ± 3.89 |
| D58-2 | F. m. | Qijiang | NIV | 0.00 | 0.00 | 0.00 | 5.83 ± 0.67 | 56.40 ± 4.25 |
| D59-2 | F. m. | Dianjiang | NIV | 123.29 ± 5.87 | 0.00 | 0.00 | 0.00 | 0.00 |
| D66 | F. m. | Wansheng | NIV | 0.00 | 0.00 | 0.00 | 0.00 | 0.00 |
| D73 | F. m. | Shizhu | NIV | 0.00 | 0.00 | 0.00 | 0.00 | 49.06 ± 3.58 |
| D76-1 | F. m. | Dazhu | NIV | 90.89 ± 4.21 | 0.00 | 0.00 | 0.00 | 71.68 ± 3.79 |
| D82-1 | F. m. | Qianjiang | NIV | 17.40 ± 1.56 | 0.00 | 0.00 | 0.00 | 51.65 ± 2.87 |
| D85-1 | F. m. | Wulong | NIV | 0.00 | 0.00 | 0.00 | 3.10 ± 0.22 | 38.95 ± 3.19 |
| D91-2 | F. m. | Shizhu | NIV | 0.00 | 0.00 | 0.00 | 0.00 | 31.57 ± 2.45 |
| D92-3 | F. m. | Chengkou | NIV | 61.87 ± 3.05 | 0.00 | 0.00 | 0.00 | 42.38 ± 2.71 |
| D99 | F. a. | Wanzhou | NIV | 0.00 | 0.00 | 0.00 | 0.00 | 0.00 |
| CP5 | F. a. | Tongliang | NIV | 0.00 | 4.50 ± 0.55 | 0.00 | 0.00 | 0.00 |
| D57-2 | F. a. | Qijiang | NIV | 0.00 | 0.00 | 0.00 | 0.00 | 0.00 |
| Fungi | Primer | Sequences (5′–3′) | Product Size (bp) | Tm (°C) | Reference |
|---|---|---|---|---|---|
| Fusarium spp. | ItsF | AACTCCCAAACCCCTGTGAACATA | 431 | 58 | [41] |
| ItsR | TTTAACGGCGTGGCCGC | ||||
| FGSC | Fg16NF | ACAGATGACAAGATTCAGGCACA | 280 | 57 | [42] |
| Fg16NR | TTCTTTGACATCTGTTCAACCCA | ||||
| F. oxysporum | FoF1 | ACATACCACTTGTTGCCTCG | 340 | 58 | [43] |
| FoR1 | CGCCAATCAATTTGAGGAACG | ||||
| F. verticillioides | VER1 | CTTCCTGCGATGTTTCTCC | 578 | 56 | [44] |
| VER2 | AATTGGCCATTGGTATTATATATCTA | ||||
| F. proliferatum | PRO1 | CTTTCCGCCAAGTTTCTTC | 585 | 56 | [44] |
| PRO2 | TGTCAGTAACTCGACGTTGTTG |
© 2018 by the authors. Licensee MDPI, Basel, Switzerland. This article is an open access article distributed under the terms and conditions of the Creative Commons Attribution (CC BY) license (http://creativecommons.org/licenses/by/4.0/).
Share and Cite
Zhou, D.; Wang, X.; Chen, G.; Sun, S.; Yang, Y.; Zhu, Z.; Duan, C. The Major Fusarium Species Causing Maize Ear and Kernel Rot and Their Toxigenicity in Chongqing, China. Toxins 2018, 10, 90. https://doi.org/10.3390/toxins10020090
Zhou D, Wang X, Chen G, Sun S, Yang Y, Zhu Z, Duan C. The Major Fusarium Species Causing Maize Ear and Kernel Rot and Their Toxigenicity in Chongqing, China. Toxins. 2018; 10(2):90. https://doi.org/10.3390/toxins10020090
Chicago/Turabian StyleZhou, Danni, Xiaoming Wang, Guokang Chen, Suli Sun, Yang Yang, Zhendong Zhu, and Canxing Duan. 2018. "The Major Fusarium Species Causing Maize Ear and Kernel Rot and Their Toxigenicity in Chongqing, China" Toxins 10, no. 2: 90. https://doi.org/10.3390/toxins10020090
APA StyleZhou, D., Wang, X., Chen, G., Sun, S., Yang, Y., Zhu, Z., & Duan, C. (2018). The Major Fusarium Species Causing Maize Ear and Kernel Rot and Their Toxigenicity in Chongqing, China. Toxins, 10(2), 90. https://doi.org/10.3390/toxins10020090

