Correction of Malocclusion by Botulinum Neurotoxin Injection into Masticatory Muscles
Abstract
1. Introduction
2. Balanced Muscle Power in the Masticatory System
3. Broken Balance Muscle Function by BTX Injection and Its Effects on Maxillofacial Growth
3.1. The Changes of Maxillofacial Bone Growth by BTX Injection in Masticatory Muscles
3.2. The Effect of BTX on the Growth of the Mandibular Condyle and Condylar Cartilage
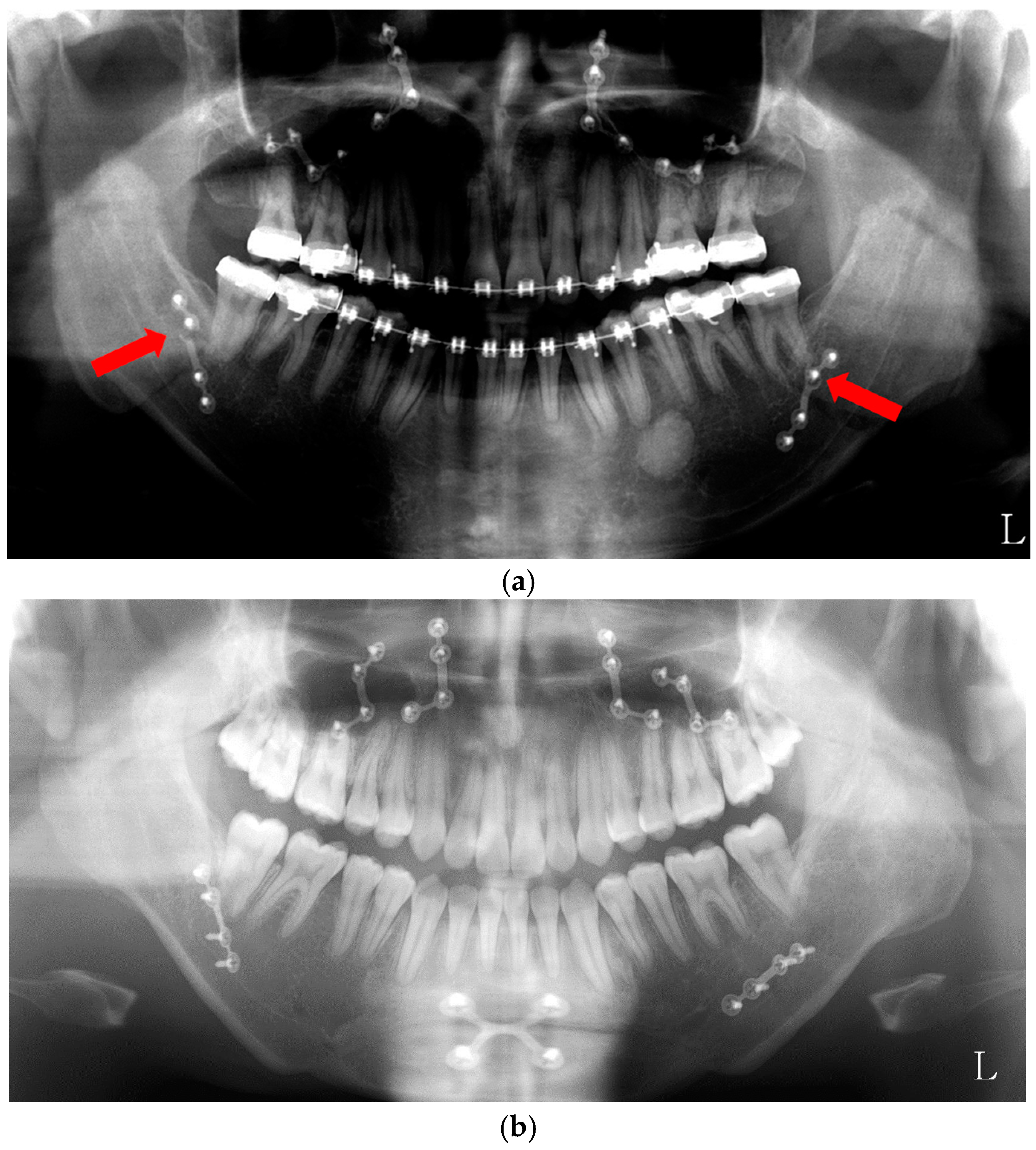
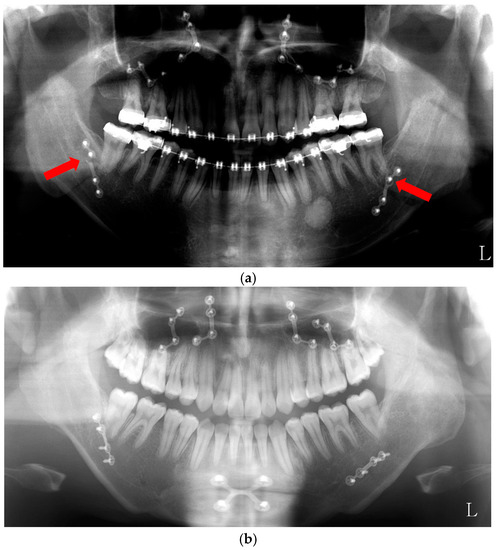
3.3. The Effect of Masticatory Hypofunction by BTX on Dental Occlusion
4. Clinical Application of BTX
5. Conclusions
Acknowledgments
Author Contributions
Conflicts of Interest
References
- Janson, G.; Laranjeira, V.; Rizzo, M.; Garib, D. Posterior tooth angulations in patients with anterior open bite and normal occlusion. Am. J. Orthod. Dentofac. Orthop. 2016, 150, 71–77. [Google Scholar] [CrossRef] [PubMed]
- Mossey, P. The heritability of malocclusion: Part 1—Genetics, principles and terminology. Br. J. Orthod. 1999, 26, 103–113. [Google Scholar] [CrossRef] [PubMed]
- Freeman, C.S.; McNamara, J.A.; Baccetti, T.; Franchi, L.; Graff, T.W. Treatment effects of the bionator and high-pull facebow combination followed by fixed appliances in patients with increased vertical dimensions. Am. J. Orthod. Dentofac. Orthop. 2007, 131, 184–195. [Google Scholar] [CrossRef] [PubMed]
- Tanne, K.; Yoshida, S.; Kawata, T.; Sasaki, A.; Knox, J.; Jones, M. An evaluation of the biomechanical response of the tooth and periodontium to orthodontic forces in adolescent and adult subjects. Br. J. Orthod. 1998, 25, 109–115. [Google Scholar] [CrossRef] [PubMed]
- Sugawara, J.; Baik, U.B.; Umemori, M.; Takahashi, I.; Nagasaka, H.; Kawamura, H.; Mitani, H. Treatment and posttreatment dentoalveolar changes following intrusion of mandibular molars with application of a skeletal anchorage system (SAS) for open bite correction. Int. J. Adult Orthod. Orthognath. Surg. 2002, 17, 243–253. [Google Scholar]
- Baek, M.S.; Choi, Y.J.; Yu, H.S.; Lee, K.J.; Kwak, J.; Park, Y.C. Long-term stability of anterior open-bite treatment by intrusion of maxillary posterior teeth. Am. J. Orthod. Dentofac. Orthop. 2010, 138, 396.e1–396.e9. [Google Scholar] [CrossRef]
- Burford, D.; Noar, J.H. The causes, diagnosis and treatment of anterior open bite. Dent. Update 2003, 30, 235–241. [Google Scholar] [CrossRef] [PubMed]
- Marzouk, E.S.; Kassem, H.E. Evaluation of long-term stability of skeletal anterior open bite correction in adults treated with maxillary posterior segment intrusion using zygomatic miniplates. Am. J. Orthod. Dentofac. Orthop. 2016, 150, 78–88. [Google Scholar] [CrossRef] [PubMed]
- Pearce, L.B.; Borodic, G.E.; First, E.R.; MacCallum, R.D. Measurement of botulinum toxin activity: Evaluation of the lethality assay. Toxicol. Appl. Pharmacol. 1994, 128, 69–77. [Google Scholar] [CrossRef] [PubMed]
- Rossetto, O.; Pirazzini, M.; Montecucco, C. Botulinum neurotoxins: Genetic, structural and mechanistic insights. Nat. Rev. Microbiol. 2014, 12, 535–549. [Google Scholar] [CrossRef] [PubMed]
- Moon, Y.M.; Kim, M.K.; Kim, S.G.; Kim, T.W. Apoptotic action of botulinum toxin on masseter muscle in rats: Early and late changes in the expression of molecular markers. Springerplus 2016, 5, 1–11. [Google Scholar] [CrossRef] [PubMed]
- Kim, H.S.; Yun, P.Y.; Kim, Y.K. A clinical evaluation of botulinum toxin-A injections in the temporomandibular disorder treatment. Maxillofac. Plast. Reconstr. Surg. 2016, 38, 5. [Google Scholar] [CrossRef] [PubMed]
- Baş, B.; Ozan, B.; Muğlali, M.; Çelebi, N. Treatment of masseteric hypertrophy with botulinum toxin: A report of two cases. Med. Oral Patol. Oral Cir. Bucal 2010, 15, 649–652. [Google Scholar] [CrossRef]
- Mahant, N.; Clouston, P.; Lorentz, I. The current use of botulinum toxin. J. Clin. Neurosci. 2000, 7, 389–394. [Google Scholar] [CrossRef] [PubMed]
- Thexton, A.J. Mastication and swallowing: An overview. Br. Dent. J. 1992, 173, 197–206. [Google Scholar] [CrossRef] [PubMed]
- Park, S.Y.; Park, Y.W.; Ji, Y.J.; Park, S.W.; Kim, S.G. Effects of a botulinum toxin type A injection on the masseter muscle: An animal model study. Maxillofac. Plast. Reconstr. Surg. 2015, 37, 10. [Google Scholar] [CrossRef] [PubMed]
- Tsai, C.Y.; Chiu, W.C.; Liao, Y.H.; Tsai, C.M. Effects on craniofacial growth and development of unilateral botulinum neurotoxin injection into the masseter muscle. Am. J. Orthod. Dentofac. Orthop. 2009, 135, 142.e1–142.e6. [Google Scholar] [CrossRef]
- Babuccu, B.; Babuccu, O.; Yurdakan, G.; Ankaral, H. The effect of the botulinum toxin-A on craniofacial development: An experimental study. Ann. Plast. Surg. 2009, 63, 449–456. [Google Scholar] [CrossRef] [PubMed]
- Tsai, C.Y.; Huang, R.Y.; Lee, C.M.; Hsiao, W.T.; Yang, L.Y. Morphologic and bony structural changes in the mandible after a unilateral injection of botulinum neurotoxin in adult rats. J. Oral Maxillofac. Surg. 2010, 68, 1081–1087. [Google Scholar] [CrossRef] [PubMed]
- Navarrete, A.L.; Rafferty, K.L.; Liu, Z.J.; Ye, W.; Greenlee, G.M.; Herring, S.W. Botulinum neurotoxin type a in the masseter muscle: Effects on incisor eruption in rabbits. Am. J. Orthod. Dentofac. Orthop. 2013, 143, 499–506. [Google Scholar] [CrossRef] [PubMed]
- Ahlgren, J. Mechanism of mastication. Acta Odontol. Scand. 1966, 24, 44–45. [Google Scholar]
- Soboļeva, U.; Lauriņa, L.; Slaidiņa, A. The masticatory system—An overview. Stomatologija 2005, 7, 77–80. [Google Scholar] [PubMed]
- Dellow, P.; Lund, J. Evidence for central timing of rhythmical mastication. J. Physiol. 1971, 215, 1–13. [Google Scholar] [CrossRef] [PubMed]
- Lund, J.P. Mastication and its control by the brain stem. Crit. Rev. Oral Biol. Med. 1991, 2, 33–64. [Google Scholar] [CrossRef] [PubMed]
- Gibbs, C.H.; Messerman, T.; Reswick, J.B.; Derda, H.J. Functional movements of the mandible. J. Prosthet. Dent. 1971, 26, 604–620. [Google Scholar] [CrossRef]
- Morquette, P.; Lavoie, R.; Fhima, M.D.; Lamoureux, X.; Verdier, D.; Kolta, A. Generation of the masticatory central pattern and its modulation by sensory feedback. Prog. Neurobiol. 2012, 96, 340–355. [Google Scholar] [CrossRef] [PubMed]
- Nakamura, Y.; Yanagawa, Y.; Morrison, S.F.; Nakamura, K. Medullary reticular neurons mediate neuropeptide Y-induced metabolic inhibition and mastication. Cell Metab. 2017, 25, 322–334. [Google Scholar] [CrossRef] [PubMed]
- Nozaki, S.; Iriki, A.; Nakamura, Y. Localization of central rhythm generator involved in cortically induced rhythmical masticatory jaw-opening movement in the guinea pig. J. Neurophysiol. 1986, 55, 806–825. [Google Scholar] [CrossRef] [PubMed]
- Neeman, H.; McCall, W.; Plesh, O.; Bishop, B. Analysis of jaw movements and masticatory muscle activity. Comput. Methods Programs Biomed. 1990, 31, 19–32. [Google Scholar] [CrossRef]
- Wood, W.; Takada, K.; Hannam, A. The electromyographic activity of the inferior part of the human lateral pterygoid muscle during clenching and chewing. Arch. Oral Biol. 1986, 31, 245–253. [Google Scholar] [CrossRef]
- Horio, T.; Kawamura, Y. Effects of texture of food on chewing patterns in the human subject. J. Oral Rehabilit. 1989, 16, 177–183. [Google Scholar] [CrossRef]
- Kiliaridis, S. Masticatory muscle influence on craniofacial growth. Acta Odontol. Scand. 1995, 53, 196–202. [Google Scholar] [CrossRef] [PubMed]
- Cho, J.W.; Park, J.H.; Kim, J.W.; Kim, S.J. The sequential management of recurrent temporomandibular joint ankylosis in a growing child: A case report. Maxillofac. Plast. Reconstr. Surg. 2016, 38, 39. [Google Scholar] [CrossRef] [PubMed]
- Choi, J.W.; Kim, B.H.; Kim, H.S.; Yu, T.H.; Kim, B.C.; Lee, S.H. Three-dimensional functional unit analysis of hemifacial microsomia mandible—A preliminary report. Maxillofac. Plast. Reconstr. Surg. 2015, 37, 28. [Google Scholar] [CrossRef] [PubMed]
- Moss, M.L.; Rankow, R.M. The role of the functional matrix in mandibular growth. Angle Orthod. 1968, 38, 95–103. [Google Scholar] [PubMed]
- Chen, Z.; Chen, Z.; Zhao, N.; Shen, G. An animal model for inducing deviation of the mandible. J. Oral Maxillofac. Surg. 2015, 73, 2207–2218. [Google Scholar] [CrossRef] [PubMed]
- Ulgen, M.; Baran, S.; Kaya, H.; Karadede, I. The influence of the masticatory hypofunction on the craniofacial growth and development in rats. Am. J. Orthod. Dentofac. Orthop. 1997, 111, 189–198. [Google Scholar] [CrossRef]
- Kim, J.H.; Lee, S.C.; Kim, C.H.; Kim, B.J. Facial asymmetry: A case report of localized linear scleroderma patient with muscular strain and spasm. Maxillofac. Plast. Reconstr. Surg. 2015, 37, 29. [Google Scholar] [CrossRef] [PubMed]
- Bouvier, M.; Hylander, W.L. The effect of dietary consistency on gross and histologic morphology in the craniofacial region of young rats. Am. J. Anat. 1984, 170, 117–126. [Google Scholar] [CrossRef] [PubMed]
- Navarro, M.; Delgado, E.; Monje, F. Changes in mandibular rotation after muscular resection. Experimental study in rats. Am. J. Orthod. Dentofac. Orthop. 1995, 108, 367–379. [Google Scholar] [CrossRef]
- Phillips, C.; Shapiro, P.A.; Luschei, E.S. Morphologic alterations in macaca mulatta following destruction of the motor nucleus of the trigeminal nerve. Am. J. Orthod. 1982, 81, 292–298. [Google Scholar] [CrossRef]
- Tsai, C.; Yang, L.; Chen, K.; Chiu, W. The influence of masticatory hypofunction on developing rat craniofacial structure. Int. J. Oral Maxillofac. Surg. 2010, 39, 593–598. [Google Scholar] [CrossRef] [PubMed]
- Matic, D.B.; Yazdani, A.; Wells, R.G.; Lee, T.Y.; Gan, B.S. The effects of masseter muscle paralysis on facial bone growth. J. Surg. Res. 2007, 139, 243–252. [Google Scholar] [CrossRef] [PubMed]
- Bresin, A.; Kiliaridis, S.; Strid, K.G. Effect of masticatory function on the internal bone structure in the mandible of the growing rat. Eur. J. Oral Sci. 1999, 107, 35–44. [Google Scholar] [CrossRef] [PubMed]
- Rafferty, K.L.; Liu, Z.J.; Ye, W.; Navarrete, A.L.; Nguyen, T.T.; Salamati, A.; Herring, S.W. Botulinum toxin in masticatory muscles: Short-and long-term effects on muscle, bone, and craniofacial function in adult rabbits. Bone 2012, 50, 651–662. [Google Scholar] [CrossRef] [PubMed]
- Tsai, C.Y.; Shyr, Y.M.; Chiu, W.C.; Lee, C.M. Bone changes in the mandible following botulinum neurotoxin injections. Eur. J. Orthod. 2010, 33, 132–138. [Google Scholar] [CrossRef] [PubMed]
- Raadsheer, M.; Kiliaridis, S.; Van Eijden, T.; Van Ginkel, F.; Prahl-Andersen, B. Masseter muscle thickness in growing individuals and its relation to facial morphology. Arch. Oral Biol. 1996, 41, 323–332. [Google Scholar] [CrossRef]
- Kim, J.Y.; Kim, S.T.; Cho, S.W.; Jung, H.S.; Park, K.T.; Son, H.K. Growth effects of botulinum toxin type a injected into masseter muscle on a developing rat mandible. Oral Dis. 2008, 14, 626–632. [Google Scholar] [CrossRef] [PubMed]
- Forwood, M.; Turner, C. Skeletal adaptations to mechanical usage: Results from tibial loading studies in rats. Bone 1995, 17, S197–S205. [Google Scholar] [CrossRef]
- Poliachik, S.L.; Bain, S.D.; Threet, D.; Huber, P.; Gross, T.S. Transient muscle paralysis disrupts bone homeostasis by rapid degradation of bone morphology. Bone 2010, 46, 18–23. [Google Scholar] [CrossRef] [PubMed]
- Ausk, B.J.; Huber, P.; Srinivasan, S.; Bain, S.D.; Kwon, R.Y.; McNamara, E.A.; Poliachik, S.L.; Sybrowsky, C.L.; Gross, T.S. Metaphyseal and diaphyseal bone loss in the tibia following transient muscle paralysis are spatiotemporally distinct resorption events. Bone 2013, 57, 413–422. [Google Scholar] [CrossRef] [PubMed]
- Park, Y.W.; Kim, S.G.; Jo, Y.Y. S100 and p65 expression are increased in the masseter muscle after botulinum toxin-A injection. Maxillofac. Plast. Reconstr. Surg. 2016, 38, 33. [Google Scholar] [CrossRef] [PubMed]
- Kün-Darbois, J.D.; Libouban, H.; Chappard, D. Botulinum toxin in masticatory muscles of the adult rat induces bone loss at the condyle and alveolar regions of the mandible associated with a bone proliferation at a muscle enthesis. Bone 2015, 77, 75–82. [Google Scholar] [CrossRef] [PubMed]
- Kün-Darbois, J.D.; Manero, F.; Rony, L.; Chappard, D. Contrast enhancement with uranyl acetate allows quantitative analysis of the articular cartilage by microct: Application to mandibular condyles in the BTX rat model of disuse. Micron 2017, 97, 35–40. [Google Scholar] [CrossRef] [PubMed]
- Dutra, E.H.; O’Brien, M.H.; Lima, A.; Kalajzic, Z.; Tadinada, A.; Nanda, R.; Yadav, S. Cellular and matrix response of the mandibular condylar cartilage to botulinum toxin. PLoS ONE 2016, 11, e0164599. [Google Scholar] [CrossRef] [PubMed]
- Matthys, T.; Dang, H.A.H.; Rafferty, K.L.; Herring, S.W. Bone and cartilage changes in rabbit mandibular condyles after 1 injection of botulinum toxin. Am. J. Orthod. Dentofac. Orthop. 2015, 148, 999–1009. [Google Scholar] [CrossRef] [PubMed]
- Ahn, K.Y.; Kim, S.T. The change of maximum bite force after botulinum toxin type A injection for treating masseteric hypertrophy. Plast. Reconstr. Surg. 2007, 120, 1662–1666. [Google Scholar] [CrossRef] [PubMed]
- Kwon, T.G.; Park, H.S.; Ryoo, H.M.; Lee, S.H. A comparison of craniofacial morphology in patients with and without facial asymmetry—A three-dimensional analysis with computed tomography. Int. J. Oral Maxillofac. Surg. 2006, 35, 43–48. [Google Scholar] [CrossRef] [PubMed]
- Kiliaridis, S.; Mejersjö, C.; Thilander, B. Muscle function and craniofacial morphology: A clinical study in patients with myotonic dystrophy. Eur. J. Orthod. 1989, 11, 131–138. [Google Scholar] [CrossRef] [PubMed]
- Mücke, T.; Löffel, A.; Kanatas, A.; Karnezi, S.; Rana, M.; Fichter, A.; Haarmann, S.; Wolff, K.D.; Loeffelbein, D.J. Botulinum toxin as a therapeutic agent to prevent relapse in deep bite patients. J. Craniomaxillofac. Surg. 2016, 44, 584–589. [Google Scholar] [CrossRef] [PubMed]
- Carlson, D.S.; Ellis, E.; Dechow, P.C.; Nemeth, P.A. Short-term stability and muscle adaptation after mandibular advancement surgery with and without suprahyoid myotomy in juvenile macaca mulatta. Oral Surg. Oral Med. Oral Pathol. 1989, 68, 135–149. [Google Scholar] [CrossRef]
- Carlson, D.S.; Ellis, E.; Dechow, P.C. Adaptation of the suprahyoid muscle complex to mandibular advancement surgery. Am. J. Orthod. Dentofac. Orthop. 1987, 92, 134–143. [Google Scholar] [CrossRef]
- Haskell, R. Applied surgical anatomy. In Rowe and Williams’ Maxillofacial Injuries, 2nd ed.; Wiliams, J.L., Rowe, N.L., Eds.; Churchill Livingstone: Edinburgh, UK, 1994; pp. 12–14. [Google Scholar]
- Choi, S.-S.; Rotaru, H.; Kim, S.G. Treatment of post-traumatic open bite by radiofrequency. Br. J. Oral Maxillofac. Surg. 2007, 45, 311–313. [Google Scholar] [CrossRef] [PubMed]
- Seok, H.; Park, Y.T.; Kim, S.G.; Park, Y.W. Correction of post-traumatic anterior open bite by injection of botulinum toxin type A into the anterior belly of the digastric muscle: Case report. J. Korean Assoc. Oral Maxillofac. Surg. 2013, 39, 188–192. [Google Scholar] [CrossRef] [PubMed]
- Zdilla, M.J. Screening for variations in anterior digastric musculature prior to correction of post-traumatic anterior open bite by injection of botulinum toxin type A: A technical note. J. Korean Assoc. Oral Maxillofac. Surg. 2015, 41, 165–167. [Google Scholar] [CrossRef] [PubMed]
- Park, J.H.; Yu, J.; Chae, J.M. Lateral open bite and crossbite correction in a class III patient with missing maxillary first premolars. Am. J. Orthod. Dentofac. Orthop. 2017, 152, 116–125. [Google Scholar] [CrossRef] [PubMed]
- Greenlee, G.M.; Huang, G.J.; Chen, S.S.H.; Chen, J.; Koepsell, T.; Hujoel, P. Stability of treatment for anterior open-bite malocclusion: A meta-analysis. Am. J. Orthod. Dentofac. Orthop. 2011, 139, 154–169. [Google Scholar] [CrossRef] [PubMed]
- Ellis, E.; McNamara, J.A. Components of adult class III open-bite malocclusion. Am. J. Orthod. 1984, 86, 277–290. [Google Scholar] [CrossRef]
- Turkkahraman, H.; Cetin, E. Comparison of two treatment strategies for the early treatment of an anterior skeletal open bite. J. Orofac. Orthop. 2017, 78, 338–347. [Google Scholar] [CrossRef] [PubMed]
- Ismail, I.; Leung, Y. Anterior open bite correction by Le Fort I osteotomy with or without anterior segmentation: Which is more stable? Int. J. Oral Maxillofac. Surg. 2017, 46, 766–773. [Google Scholar] [CrossRef] [PubMed]
- Yoshioka, I.; Khanal, A.; Tominaga, K.; Horie, A.; Furuta, N.; Fukuda, J. Vertical ramus versus sagittal split osteotomies: Comparison of stability after mandibular setback. J. Oral Maxillofac. Surg. 2008, 66, 1138–1144. [Google Scholar] [CrossRef] [PubMed]
- Chen, C.M.; Lai, S.S.T.; Wang, C.H.; Wu, J.H.; Lee, K.T.; Lee, H.E. The stability of intraoral vertical ramus osteotomy and factors related to skeletal relapse. Aesthet. Plast. Surg. 2011, 35, 192–197. [Google Scholar] [CrossRef] [PubMed]
- Nihara, J.; Takeyama, M.; Takayama, Y.; Mutoh, Y.; Saito, I. Postoperative changes in mandibular prognathism surgically treated by intraoral vertical ramus osteotomy. Int. J. Oral Maxillofac. Surg. 2013, 42, 62–70. [Google Scholar] [CrossRef] [PubMed]
- Choi, S.H.; Cha, J.Y.; Park, H.S.; Hwang, C.J. Intraoral vertical ramus osteotomy results in good long-term mandibular stability in patients with mandibular prognathism and anterior open bite. J. Oral Maxillofac. Surg. 2016, 74, 804–810. [Google Scholar] [CrossRef] [PubMed]
- Silva, I.; Suska, F.; Cardemil, C.; Rasmusson, L. Stability after maxillary segmentation for correction of anterior open bite: A cohort study of 33 cases. J. Craniomaxillofac. Surg. 2013, 41, e154–e158. [Google Scholar] [CrossRef] [PubMed]
- Lux, C.J.; Dücker, B.; Pritsch, M.; Komposch, G.; Niekusch, U. Occlusal status and prevalence of occlusal malocclusion traits among 9-year-old schoolchildren. Eur. J. Orthod. 2009, 31, 294–299. [Google Scholar] [CrossRef] [PubMed]
- Danz, J.; Greuter, C.; Sifakakis, I.; Fayed, M.; Pandis, N.; Katsaros, C. Stability and relapse after orthodontic treatment of deep bite cases—A long-term follow-up study. Eur. J. Orthod. 2012, 36, 522–530. [Google Scholar] [CrossRef] [PubMed]
- Xi, T.; Schreurs, R.; van Loon, B.; de Koning, M.; Bergé, S.; Hoppenreijs, T.; Maal, T. 3D analysis of condylar remodelling and skeletal relapse following bilateral sagittal split advancement osteotomies. J. Craniomaxillofac. Surg. 2015, 43, 462–468. [Google Scholar] [CrossRef] [PubMed]
- Al Yami, E.A.; Kuijpers-Jagtman, A.M.; van’t Hof, M.A. Stability of orthodontic treatment outcome: Follow-up until 10 years postretention. Am. J. Orthod. Dentofac. Orthop. 1999, 115, 300–304. [Google Scholar] [CrossRef]
- Papageorge, M.B.; Doku, H.C. Postoperative infection following suprahyoid myotomy performed in conjunction with sagittal osteotomy of the mandible: Report of a case. J. Oral Maxillofac. Surg. 1987, 45, 460–462. [Google Scholar] [CrossRef]
- Erkmen, E.; Şimşek, B.; Yücel, E.; Kurt, A. Three-dimensional finite element analysis used to compare methods of fixation after sagittal split ramus osteotomy: Setback surgery-posterior loading. Br. J. Oral Maxillofac. Surg. 2005, 43, 97–104. [Google Scholar] [CrossRef] [PubMed]
- Shin, S.H.; Kim, S.G.; Park, Y.W.; Kim, M.K.; Kweon, K.J. The effect of Botulinum toxin-A injection on patients with orthognathic surgery. In Proceedings of the 56th Congress of the Korean Association of Maxillofacial Plastic and Reconstructive Surgeons, Seoul, Korea, 3–4 November 2017; p. 31. [Google Scholar]
- Allen, D.L.; Roy, R.R.; Edgerton, V.R. Myonuclear domains in muscle adaptation and disease. Muscle Nerve 1999, 22, 1350–1360. [Google Scholar] [CrossRef]
- Smith, H.; Merry, T. Voluntary resistance wheel exercise during post-natal growth in rats enhances skeletal muscle satellite cell and myonuclear content at adulthood. Acta Physiol. 2012, 204, 393–402. [Google Scholar] [CrossRef] [PubMed]
- Janson, G.; Crepaldi, M.V.; de Freitas, K.M.S.; de Freitas, M.R.; Janson, W. Evaluation of anterior open-bite treatment with occlusal adjustment. Am. J. Orthod. Dentofac. Orthop. 2008, 134, 10.e1–10.e9. [Google Scholar] [CrossRef] [PubMed]
- Vela-Hernández, A.; López-García, R.; García-Sanz, V.; Paredes-Gallardo, V.; Lasagabaster-Latorre, F. Nonsurgical treatment of skeletal anterior open bite in adult patients: Posterior build-ups. Angle Orthod. 2016, 87, 33–40. [Google Scholar] [CrossRef] [PubMed]
- Giuntini, V.; Franchi, L.; Baccetti, T.; Mucedero, M.; Cozza, P. Dentoskeletal changes associated with fixed and removable appliances with a crib in open-bite patients in the mixed dentition. Am. J. Orthod. Dentofac. Orthop. 2008, 133, 77–80. [Google Scholar] [CrossRef] [PubMed]
- Moimaz, S.A.S.; Garbin, A.J.Í.; Lima, A.M.C.; Lolli, L.F.; Saliba, O.; Garbin, C.A.A.S. Longitudinal study of habits leading to malocclusion development in childhood. BMC Oral Health 2014, 14, 96. [Google Scholar] [CrossRef] [PubMed]
- Feres, M.F.N.; Abreu, L.G.; Insabralde, N.M.; de Almeida, M.R.; Flores-Mir, C. Effectiveness of open bite correction when managing deleterious oral habits in growing children and adolescents: A systematic review and meta-analysis. Eur. J. Orthod. 2017, 39, 31–42. [Google Scholar] [CrossRef] [PubMed]
- Chun, B.Y.; Kim, S.Y. Acute visual loss after botulinum toxin A injection in the masseter muscle. Int. Ophthalmol. 2017, 1–4. [Google Scholar] [CrossRef] [PubMed]
- Korn, B.S.; Seo, S.W.; Levi, L.; Granet, D.B.; Kikkawa, D.O. Optic neuropathy associated with botulinum a toxin in thyroid-related orbitopathy. Ophthalmic Plast. Reconstr. Surg. 2007, 23, 109–114. [Google Scholar] [CrossRef] [PubMed]
- Coté, T.R.; Mohan, A.K.; Polder, J.A.; Walton, M.K.; Braun, M.M. Botulinum toxin type A injections: Adverse events reported to the us food and drug administration in therapeutic and cosmetic cases. J. Am. Acad. Dermatol. 2005, 53, 407–415. [Google Scholar] [CrossRef] [PubMed]
- Tranos, P.G.; Wickremasinghe, S.S.; Stangos, N.T.; Topouzis, F.; Tsinopoulos, I.; Pavesio, C.E. Macular edema. Surv. Ophthalmol. 2004, 49, 470–490. [Google Scholar] [CrossRef]
- Sapra, P.; Demay, S.; Sapra, S.; Khanna, J.; Mraud, K.; Bonadonna, J. A single-blind, split-face, randomized, pilot study comparing the effects of intradermal and intramuscular injection of two commercially available botulinum toxin a formulas to reduce signs of facial aging. J. Clin. Aesthet. Dermatol. 2017, 10, 34. [Google Scholar] [PubMed]





© 2018 by the authors. Licensee MDPI, Basel, Switzerland. This article is an open access article distributed under the terms and conditions of the Creative Commons Attribution (CC BY) license (http://creativecommons.org/licenses/by/4.0/).
Share and Cite
Seok, H.; Kim, S.-G. Correction of Malocclusion by Botulinum Neurotoxin Injection into Masticatory Muscles. Toxins 2018, 10, 27. https://doi.org/10.3390/toxins10010027
Seok H, Kim S-G. Correction of Malocclusion by Botulinum Neurotoxin Injection into Masticatory Muscles. Toxins. 2018; 10(1):27. https://doi.org/10.3390/toxins10010027
Chicago/Turabian StyleSeok, Hyun, and Seong-Gon Kim. 2018. "Correction of Malocclusion by Botulinum Neurotoxin Injection into Masticatory Muscles" Toxins 10, no. 1: 27. https://doi.org/10.3390/toxins10010027
APA StyleSeok, H., & Kim, S.-G. (2018). Correction of Malocclusion by Botulinum Neurotoxin Injection into Masticatory Muscles. Toxins, 10(1), 27. https://doi.org/10.3390/toxins10010027

