Hepatoprotective Effect of Opuntia robusta and Opuntia streptacantha Fruits against Acetaminophen-Induced Acute Liver Damage
Abstract
:1. Introduction
2. Experimental Procedures
2.1. Chemicals and Materials
2.2. Animals
2.3. Plant Materials and Extracts Preparation
2.4. Determination of the Main Bioactive Compounds of Fruit Extracts
2.5. Determination of Free Radical Scavenging and Chelating Activities
2.6. Rat Hepatocyte Isolation
2.7. Experimental Design
2.7.1. In Vivo Study
2.7.2. In Vitro Study
2.8. Statistical Analysis of Data
3. Results
3.1. Yields of the Juice Extraction Method
3.2. Bioactive Compounds of Cactus Pear Fruit Extracts
3.3. Free Radical Scavenging and Chelating Activities of Opuntia Extracts
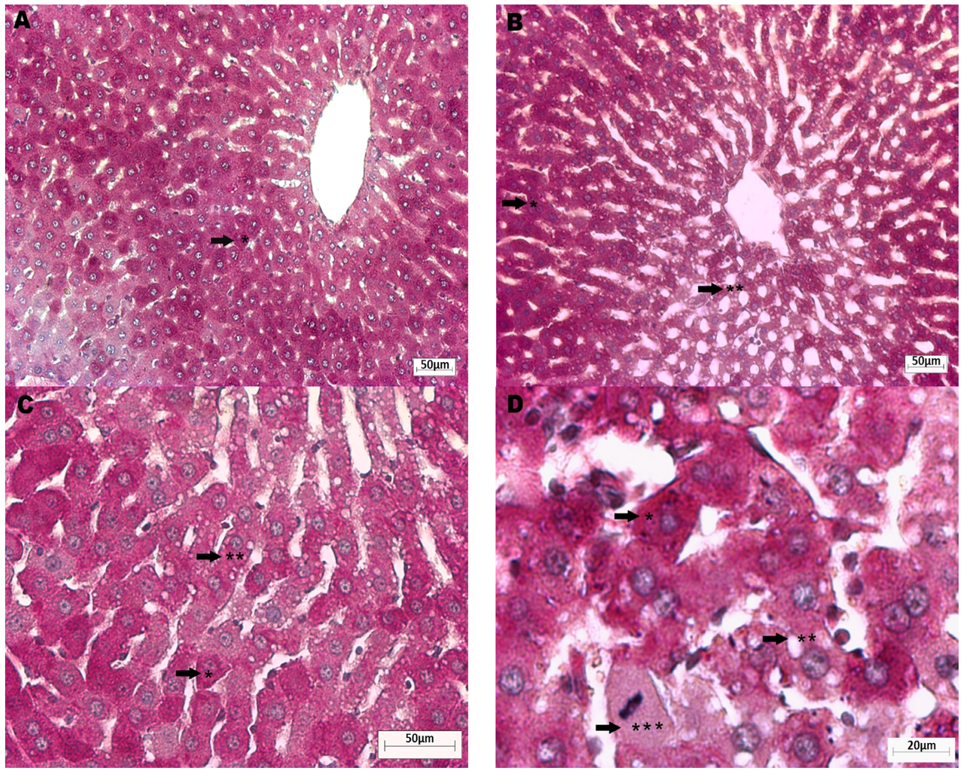
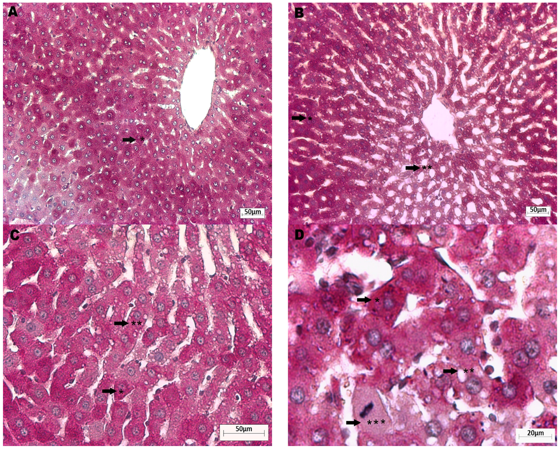
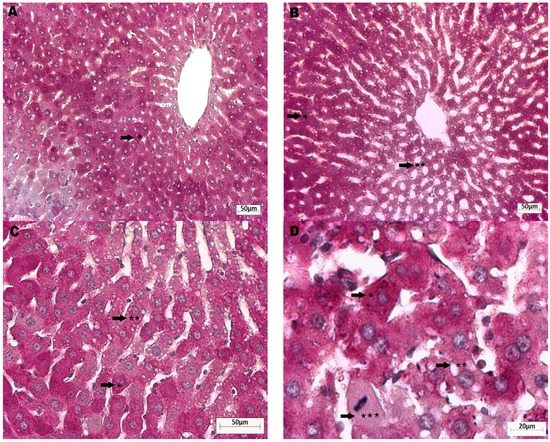
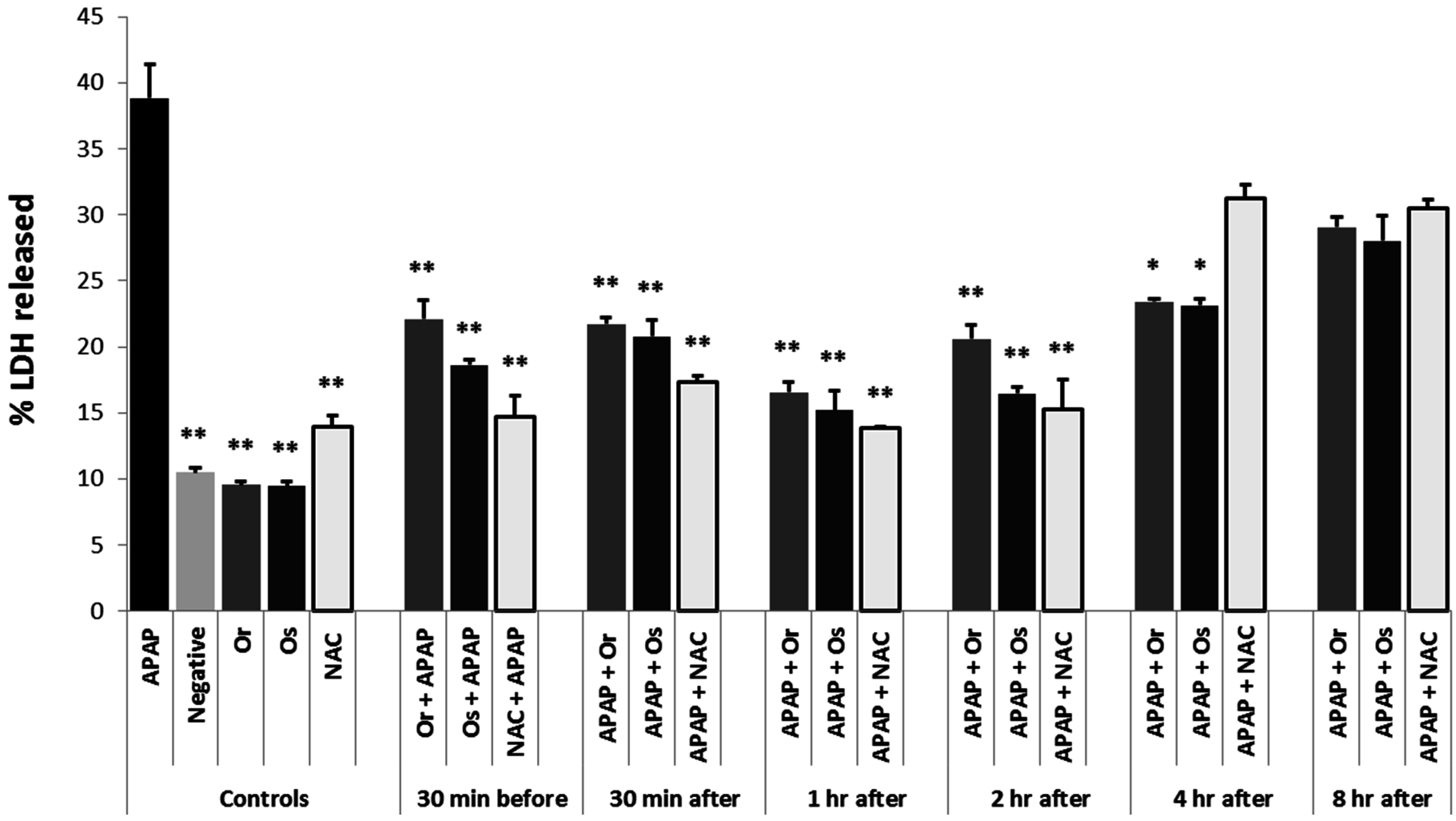
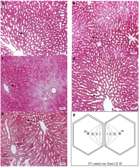
3.4. In Vivo Experiments
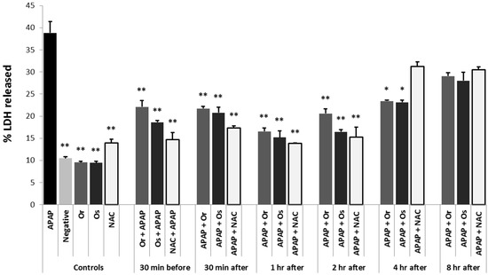
3.5. In Vitro Experiments
4. Discussion
Acknowledgments
Author Contributions
Conflicts of Interest
Abbreviations
| AA | Ascorbic acid |
| ABTS | 2,2′-Azino-bis(3-ethylbenzothiazoline-6-sulphonic acid) |
| ALF | Acute liver failure |
| ALP | Alkaline phosphatase |
| ALT | Alanine aminotransferase |
| ANOVA | Analysis of variance |
| APAP | Acetaminophen |
| AST | Aspartate aminotransferase |
| CAT | Catalase |
| Cu/Zn-SOD | Copper/zinc-superoxide dismutase |
| CYP450 | Cytochrome P-450 |
| CYP2E1 | Cytochrome P-450 isoform 2E1 |
| DNA | Deoxyribonucleic acid |
| DPPH | 2,2-Diphenyl-1-picrylhydrazyl |
| EDTA | Ethylenediaminetetraacetic acid |
| FRAP | Ferric reducing antioxidant power |
| GPx | Glutathione peroxidase |
| GSH | Reduced glutathione |
| LDH | Lactate dehydrogenase |
| Mn-SOD | Manganese-superoxide dismutase |
| NAC | N-acetyl-l-cysteine |
| NAPQI | N-acetyl-p-benzoquinone imine |
| NSAID | Non-steroidal anti-inflammatory drugs |
| OPT | o-phtaldehyde |
| ORAC | Oxygen radical absorbance capacity |
| PAS | Periodic acid Schiff |
| PSF | Penicillin-streptomycin-fungizone |
| ROS | Reactive oxygen species |
| SEM | Standard error of the mean |
| SD | Standard deviation |
References
- Vonkeman, H.E.; van de Laar, M.A. Nonsteroidal Anti-Inflammatory Drugs: Adverse Effects and Their Prevention. Semin. Arthritis Rheum. 2010, 39, 294–312. [Google Scholar] [CrossRef] [PubMed]
- Jones, R. Nonsteroidal anti-inflammatory drug prescribing: Past, present, and future. Am. J. Med. 2001, 110, S4–S7. [Google Scholar] [CrossRef]
- Rumack, B.H. Acetaminophen misconceptions. Hepatology 2004, 40, 10–15. [Google Scholar] [CrossRef] [PubMed]
- Jaeschke, H.; Bajt, M.L. Intracellular signaling mechanisms of acetaminophen-induced liver cell death. Toxicol. Sci. 2005, 89, 31–41. [Google Scholar] [CrossRef] [PubMed]
- Craig, D.G.N.; Lee, A.; Hayes, P.C.; Simpson, K.J. The current management of acute liver failure. Aliment. Pharmacol. Ther. 2010, 31, 345–358. [Google Scholar] [CrossRef] [PubMed]
- Jaeschke, H.; McGill, M.R.; Williams, C.D.; Ramachandran, A. Current issues with acetaminophen hepatotoxicity—A clinically relevant model to test the efficacy of natural products. Life Sci. 2011, 88, 737–745. [Google Scholar] [CrossRef] [PubMed]
- McGill, M.R.; Jaeschke, H. Metabolism and disposition of acetaminophen: Recent advances in relation to hepatotoxicity and diagnosis. Pharm. Res. 2013, 30, 2174–2187. [Google Scholar] [CrossRef] [PubMed]
- Jaeschke, H.; Knight, T.R.; Bajt, M.L. The role of oxidant stress and reactive nitrogen species in acetaminophen hepatotoxicity. Toxicol. Lett. 2003, 144, 279–288. [Google Scholar] [CrossRef]
- Arai, T.; Koyama, M.; Kitamura, D.; Mizuta, R. Acrolein, a highly toxic aldehyde generated under oxidative stress in vivo, aggravates the mouse liver damage after acetaminophen overdose. Biomed. Res. 2014, 35, 389–395. [Google Scholar] [CrossRef] [PubMed]
- Das, J.; Ghosh, J.; Manna, P.; Sil, P.C. Acetaminophen induced acute liver failure via oxidative stress and JNK activation: Protective role of taurine by the suppression of cytochrome P450 2E1. Free Radic. Res. 2010, 44, 340–355. [Google Scholar] [CrossRef] [PubMed]
- Mahmoodi, M.; Soleimani Mehranjani, M.; Shariatzadeh, S.M.A.; Eimani, H.; Shahverdi, A. N-acetylcysteine improves function and follicular survival in mice ovarian grafts through inhibition of oxidative stress. Reprod. Biomed. Online 2015, 30, 101–110. [Google Scholar] [CrossRef] [PubMed]
- Boeing, H.; Bechthold, A.; Bub, A.; Ellinger, S.; Haller, D.; Kroke, A.; Watzl, B. Critical review: Vegetables and fruit in the prevention of chronic diseases. Eur. J. Nutr. 2012, 51, 637–663. [Google Scholar] [CrossRef] [PubMed]
- Poljsak, B.; Šuput, D.; Milisav, I. Achieving the Balance between ROS and Antioxidants: When to Use the Synthetic Antioxidants. Oxid. Med. Cell. Longev. 2013, 2013, 956792. [Google Scholar] [CrossRef] [PubMed]
- Crozier, A.; Del Rio, D.; Clifford, M.N. Bioavailability of dietary flavonoids and phenolic compounds. Mol. Asp. Med. 2010, 31, 446–467. [Google Scholar] [CrossRef] [PubMed]
- Heber, D. Vegetables, fruits and phytoestrogens in the prevention of diseases. J. Postgrad. Med. 2004, 50, 145–149. [Google Scholar] [PubMed]
- Brahmi, D.; Bouaziz, C.; Ayed, Y.; Ben Mansour, H.; Zourgui, L.; Bacha, H. Chemopreventive effect of cactus Opuntia ficus indica on oxidative stress and genotoxicity of aflatoxin B1. Nutr. Metab. (Lond.) 2011, 8, 73. [Google Scholar] [CrossRef] [PubMed]
- Illoldi-Rangel, P.; Ciarleglio, M.; Sheinvar, L.; Linaje, M.; Sánchez-Cordero, V.; Sarkar, S. Opuntia in México: Identifying Priority Areas for Conserving Biodiversity in a Multi-Use Landscape. PLoS ONE 2012, 7, e36650. [Google Scholar] [CrossRef] [PubMed]
- Zou, D.; Brewer, M.; Garcia, F.; Feugang, J.M.; Wang, J.; Zang, R.; Zou, C. Cactus pear: A natural product in cancer chemoprevention. Nutr. J. 2005, 4, 25. [Google Scholar] [CrossRef] [PubMed]
- Zorgui, L.; Ayed-Boussema, I.; Ayed, Y.; Bacha, H.; Hassen, W. The antigenotoxic activities of cactus (Opuntia ficus-indica) cladodes against the mycotoxin zearalenone in Balb/c mice: Prevention of micronuclei, chromosome aberrations and DNA fragmentation. Food Chem. Toxicol. 2009, 47, 662–667. [Google Scholar] [CrossRef] [PubMed]
- Serra, A.T.; Poejo, J.; Matias, A.A.; Bronze, M.R.; Duarte, C.M.M. Evaluation of Opuntia spp. derived products as antiproliferative agents in human colon cancer cell line (HT29). Food Res. Int. 2013, 54, 892–901. [Google Scholar] [CrossRef]
- Díaz Medina, E.M.; Rodríguez Rodríguez, E.M.; Díaz Romero, C. Chemical characterization of Opuntia dillenii and Opuntia ficus indica fruits. Food Chem. 2007, 103, 38–45. [Google Scholar] [CrossRef]
- Moussa-Ayoub, T.E.; El-Samahy, S.K.; Rohn, S.; Kroh, L.W. Flavonols, betacyanins content and antioxidant activity of cactus Opuntia macrorhiza fruits. Food Res. Int. 2011, 44, 2169–2174. [Google Scholar] [CrossRef]
- Yahia, E.M.; Mondragon-Jacobo, C. Nutritional components and anti-oxidant capacity of ten cultivars and lines of cactus pear fruit (Opuntia spp.). Food Res. Int. 2011, 44, 2311–2318. [Google Scholar] [CrossRef]
- Coria Cayupán, Y.S.; Ochoa, M.J.; Nazareno, M.A. Health-promoting substances and antioxidant properties of Opuntia sp. fruits. Changes in bioactive-compound contents during ripening process. Food Chem. 2011, 126, 514–519. [Google Scholar] [CrossRef]
- Kuti, J.O. Antioxidant compounds from four Opuntia cactus pear fruit varieties. Food Chem. 2004, 85, 527–533. [Google Scholar] [CrossRef]
- Sumaya-Martínez, M.T.; Cruz-Jaime, S.; Madrigal-Santillán, E.; García-Paredes, J.D.; Cariño-Cortés, R.; Cruz-Cansino, N.; Alanís-García, E. Betalain, Acid Ascorbic, Phenolic Contents and Antioxidant Properties of Purple, Red, Yellow and White Cactus Pears. Int. J. Mol. Sci. 2011, 12, 6452–6468. [Google Scholar] [CrossRef] [PubMed]
- Kaur, M. Pharmacological actions of Opuntia ficus indica: A Review. J. App. Pharm. Sci. 2012, 2, 15–18. [Google Scholar] [CrossRef]
- Madrigal-Santillán, E.; García-Melo, F.; Morales-González, J.; Vázquez-Alvarado, P.; Muñoz-Juárez, S.; Zuñiga-Pérez, C.; Hernández-Ceruelos, A. Antioxidant and Anticlastogenic Capacity of Prickly Pear Juice. Nutrients 2013, 5, 4145–4158. [Google Scholar] [CrossRef] [PubMed]
- Alimi, H.; Hfaeidh, N.; Bouoni, Z.; Sakly, M.; Ben Rhouma, K. Protective effect of Opuntia ficus indica f. inermis prickly pear juice upon ethanol-induced damages in rat erythrocytes. Alcohol 2012, 46, 235–243. [Google Scholar] [CrossRef] [PubMed]
- Kim, S.H.; Jeon, B.J.; Kim, D.H.; Kim, T.I.; Lee, H.K.; Han, D.S.; Sung, S.H. Prickly Pear Cactus (Opuntia ficus indica var. saboten) Protects Against Stress-Induced Acute Gastric Lesions in Rats. J. Med. Food 2012, 15, 968–973. [Google Scholar] [CrossRef] [PubMed]
- Wolfram, R.; Budinsky, A.; Efthimiou, Y.; Stomatopoulos, J.; Oguogho, A.; Sinzinger, H. Daily prickly pear consumption improves platelet function. Prostaglandins Leukot. Essent. Fat. Acids 2003, 69, 61–66. [Google Scholar] [CrossRef]
- Jaeschke, H.; Williams, C.D.; McGill, M.R.; Xie, Y.; Ramachandran, A. Models of drug-induced liver injury for evaluation of phytotherapeutics and other natural products. Food Chem. Toxicol. 2013, 55, 279–289. [Google Scholar] [CrossRef] [PubMed]
- Jia, Z.; Tang, M.; Wu, J. The determination of flavonoid contents in mulberry and their scavenging effects on superoxide radicals. Food Chem. 1999, 64, 555–559. [Google Scholar]
- Stintzing, F.C.; Herbach, K.M.; Mosshammer, M.R.; Carle, R.; Yi, W.; Sellappan, S.; Akoh, C.C.; Bunch, R.; Felker, P. Color, Betalain Pattern, and Antioxidant Properties of Cactus Pear (Opuntia spp.) Clones. J. Agric. Food Chem. 2005, 53, 442–451. [Google Scholar] [CrossRef] [PubMed]
- Dürüst, N.; Sümengen, D.; Dürüst, Y. Ascorbic acid and element contents of foods of Trabzon (Turkey). J. Agric. Food Chem. 1997, 45, 2085–2087. [Google Scholar] [CrossRef]
- Georgé, S.; Brat, P.; Alter, P.; Amiot, M.J. Rapid Determination of Polyphenols and Vitamin C in Plant-Derived Products. J. Agric. Food Chem. 2005, 53, 1370–1373. [Google Scholar] [CrossRef] [PubMed]
- Morales, F.J.; Jiménez-Pérez, S. Free radical scavenging capacity of Maillard reaction products as related to colour and fluorescence. Food Chem. 2001, 72, 119–125. [Google Scholar] [CrossRef]
- Re, R.; Pellegrini, N.; Proteggente, A.; Pannala, A.; Yang, M.; Rice-Evans, C. Antioxidant activity applaying an improved ABTS radicalcation decolorization assay. Free Radic. Biol. Med. 1999, 26, 1231–1237. [Google Scholar] [CrossRef]
- Kuskoski, E.M.; Asuero, A.G.; García-Parilla, M.C.; Troncoso, A.M.; Fett, R. Actividad antioxidante de pigmentos antociánicos. Braz. J. Food Technol. 2004, 24, 691–693. [Google Scholar] [CrossRef]
- Hinneburg, I.; Damien Dorman, H.J.; Hiltunen, R. Antioxidant activities of extracts from selected culinary herbs and spices. Food Chem. 2006, 97, 122–129. [Google Scholar] [CrossRef]
- Gulcin, İ.; Buyukokuroglu, M.E.; Kufrevioglu, O.I. Metal chelating and hydrogen peroxide scavenging effects of melatonin. J. Pineal Res. 2003, 34, 278–281. [Google Scholar] [CrossRef] [PubMed]
- Huang, D.; Ou, B.; Hampsch-Woodill, M.; Flanagan, J.A.; Prior, R.L. High-Throughput Assay of Oxygen Radical Absorbance Capacity (ORAC) Using a Multichannel Liquid Handling System Coupled with a Microplate Fluorescence Reader in 96-Well Format. J. Agric. Food Chem. 2002, 50, 4437–4444. [Google Scholar] [CrossRef] [PubMed]
- Conde de la Rosa, L.; Schoemaker, M.H.; Vrenken, T.E.; Buist-Homan, M.; Havinga, R.; Jansen, P.L.M.; Moshage, H. Superoxide anions and hydrogen peroxide induce hepatocyte death by different mechanisms: Involvement of JNK and ERK MAP kinases. J. Hepatol. 2006, 44, 918–929. [Google Scholar] [CrossRef] [PubMed]
- Vrenken, T.E.; Buist-Homan, M.; Kalsbeek, A.J.; Faber, K.N.; Moshage, H. The active metabolite of leflunomide, A77 1726, protects rat hepatocytes against bile acid-induced apoptosis. J. Hepatol. 2008, 49, 799–809. [Google Scholar] [CrossRef] [PubMed]
- Zhou, G.; Chen, Y.; Liu, S.; Yao, X.; Wang, Y. In vitro and in vivo hepatoprotective and antioxidant activity of ethanolic extract from Meconopsis integrifolia (Maxim.) Franch. J. Ethnopharmacol. 2013, 148, 664–670. [Google Scholar] [CrossRef] [PubMed]
- Hissin, P.J.; Hilf, R. A fluorometric method for determination of oxidized and reduced glutathione in tissues. Anal. Biochem. 1976, 74, 214–226. [Google Scholar] [CrossRef]
- Maeda, K.; Kimura, M.; Hayashi, S. Cellular mechanism of U78517F in the protection of porcine coronary artery endothelial cells from oxygen radical-induced damage. Br. J. Pharmacol. 1993, 108, 1077–1082. [Google Scholar] [CrossRef] [PubMed]
- Woudenberg-Vrenken, T.E.; Buist-Homan, M.; Conde de la Rosa, L.; Faber, K.N.; Moshage, H. Anti-oxidants do not prevent bile acid-induced cell death in rat hepatocytes. Liver Int. 2010, 30, 1511–1521. [Google Scholar] [CrossRef] [PubMed]
- Gu, J.; Gui, Y.; Chen, L.; Yuan, G.; Lu, H.-Z.; Xu, X. Use of Natural Products as Chemical Library for Drug Discovery and Network Pharmacology. PLoS ONE 2013, 8, e62839. [Google Scholar] [CrossRef] [PubMed]
- Bankova, V. Chemical diversity of propolis and the problem of standardization. J. Ethnopharmacol. 2005, 100, 114–117. [Google Scholar] [CrossRef] [PubMed]
- Kujumgiev, A.; Tsvetkova, I.; Serkedjieva, Y.; Bankova, V.; Christov, R.; Popov, S. Antibacterial, antifungal and antiviral activity of propolis of different geographic origin. J. Ethnopharmacol. 1999, 64, 235–240. [Google Scholar] [CrossRef]
- Anderson, E.F. The Cactus Family; Timber Press: Portland, OR, USA, 2001; p. 776. [Google Scholar]
- Vinson, J.A.; Su, X.; Zubik, L.; Bose, P. Phenol antioxidants quantity and quality in foods: Fruits. J. Agric. Food Chem. 2001, 49, 5315–5321. [Google Scholar] [CrossRef] [PubMed]
- Van Acker, S.A.; de Groot, M.J.; van den Berg, D.-J.; Tromp, M.N.; Donné-Op den Kelder, G.; van der Vijgh, W.J.; Bast, A. A quantum chemical explanation of the antioxidant activity of flavonoids. Chem. Res. Toxicol. 1996, 9, 1305–1312. [Google Scholar] [CrossRef] [PubMed]
- Nimse, S.B.; Pal, D. Free radicals, natural antioxidants, and their reaction mechanisms. RSC Adv. 2015, 5, 27986–28006. [Google Scholar] [CrossRef]
- Russo, M.; Spagnuolo, C.; Tedesco, I.; Bilotto, S.; Russo, G.L. The flavonoid quercetin in disease prevention and therapy: Facts and fancies. Biochem. Pharmacol. 2012, 83, 6–15. [Google Scholar] [CrossRef] [PubMed]
- Kumar, S.; Pandey, A.K. Chemistry and Biological Activities of Flavonoids: An Overview. Sci. World J. 2013, 2013, 162750. [Google Scholar] [CrossRef] [PubMed]
- Pan, M.-H.; Lai, C.-S.; Ho, C.-T. Anti-inflammatory activity of natural dietary flavonoids. Food Funct. 2010, 1, 15–31. [Google Scholar] [CrossRef] [PubMed]
- Frémont, L.; Gozzélino, M.T.; Franchi, M.P.; Linard, A. Dietary flavonoids reduce lipid peroxidation in rats fed polyunsaturated or monounsaturated fat diets. J. Nutr. 1998, 128, 1495–1502. [Google Scholar] [PubMed]
- Fouad, A.A.; Albuali, W.H.; Zahran, A.; Gomaa, W. Protective effect of naringenin against gentamicin-induced nephrotoxicity in rats. Environ. Toxicol. Pharmacol. 2014, 38, 420–429. [Google Scholar] [CrossRef] [PubMed]
- Yokozawa, T.; Dong, E.; Kawai, Y.; Gemba, M.; Shimizu, M. Protective effects of some flavonoids on the renal cellular membrane. Exp. Toxicol. Pathol. 1999, 51, 9–14. [Google Scholar] [CrossRef]
- Nakayama, M.; Aihara, M.; Chen, Y.-N.; Araie, M.; Tomita-Yokotani, K.; Iwashina, T. Neuroprotective effects of flavonoids on hypoxia-, glutamate-, and oxidative stress-induced retinal ganglion cell death. Mol. Vis. 2011, 17, 1784. [Google Scholar] [PubMed]
- Wu, Y.; Wang, F.; Zheng, Q.; Lu, L.; Yao, H.; Zhou, C.; Wu, X.; Zhao, Y. Hepatoprotective effect of total flavonoids from Laggera alata against carbon tetrachloride-induced injury in primary cultured neonatal rat hepatocytes and in rats with hepatic damage. J. Biomed. Sci. 2006, 13, 569–578. [Google Scholar] [CrossRef] [PubMed]
- Pandey, K.B.; Rizvi, S.I. Plant polyphenols as dietary antioxidants in human health and disease. Oxid. Med. Cell. Longev. 2009, 2, 270–278. [Google Scholar] [CrossRef] [PubMed]
- Castellar, R.; Obón, J.M.; Alacid, M.; Fernández-López, J.A. Color Properties and Stability of Betacyanins from Opuntia Fruits. J. Agric. Food Chem. 2003, 51, 2772–2776. [Google Scholar] [CrossRef] [PubMed]
- Gandía-Herrero, F.; Escribano, J.; García-Carmona, F. Biological activities of plant pigments betalains. Crit. Rev. Food Sci. Nutr. 2016, 56, 937–945. [Google Scholar] [CrossRef] [PubMed]
- Livrea, M.A.; Tesoriere, L. Lipoperoxyl Radical Scavenging and Antioxidative Effects of Red Beet Pigments. In Red Beet Biotechnology: Food and Pharmaceutical Applications; Neelwarne, B., Ed.; Springer: Boston, MA, USA, 2013; pp. 105–124. [Google Scholar]
- Wu, L.; Hsu, H.-W.; Chen, Y.-C.; Chiu, C.-C.; Lin, Y.-I.; Ho, J.A. Antioxidant and antiproliferative activities of red pitaya. Food Chem. 2006, 95, 319–327. [Google Scholar] [CrossRef]
- Han, J.; Ma, D.; Zhang, M.; Yang, X.; Tan, D. Natural antioxidant betanin protects rats from paraquat—induced acute lung injury interstitial pneumonia. Biomed. Res. Int. 2015, 2015, 608174. [Google Scholar] [CrossRef] [PubMed]
- Madrigal-Bujaidar, E.; Álvarez-González, I.; Sumaya-Martínez, M.T.; Gutiérrez-Salinas, J.; Bautista, M.; Morales-González, Á.; González-Rubio, M.G.Y.; Aguilar-Faisal, J.L.; Morales-González, J.A. Review of natural products with hepatoprotective effects. World J. Gastroenterol. 2014, 20, 14787–14804. [Google Scholar] [CrossRef] [PubMed]
- Kanner, J.; Harel, S.; Granit, R. Betalains, a new class of dietary cationized antioxidants. J. Agric. Food Chem. 2001, 49, 5178–5185. [Google Scholar] [CrossRef] [PubMed]
- Li, S.; Tan, H.; Wang, N.; Zhang, Z.; Lao, L.; Wong, C.; Feng, Y. The role of oxidative stress and antioxidants in liver diseases. Int. J. Mol. Sci. 2015, 16, 26087–26124. [Google Scholar] [CrossRef] [PubMed]
- Abdelmegeed, M.A.; Moon, K.-H.; Chen, C.; Gonzalez, F.J.; Song, B.-J. Role of cytochrome P450 2E1 in protein nitration and ubiquitin-mediated degradation during acetaminophen toxicity. Biochem. Pharmacol. 2010, 79, 57–66. [Google Scholar] [CrossRef] [PubMed]






| Fruit | Flavonoids (µg eq. Quercetin/mL) | Ascorbic Acid (mg eq. Ascorbic Acid/L) | Total Phenolic Compounds (mg eq. Gallic Acid/L) |
|---|---|---|---|
| Opuntia robusta | 89.19 ± 2.84 * | 328.83 ± 28.47 * | 573.73 ± 24.99 * |
| Opuntia streptacantha | 54.48 ± 0.93 | 65.86 ± 12.33 | 343.12 ± 9.72 |
| Fruit | Betacyanin (mg eq. Betacyanin/L) | Betaxanthin (mg eq. Betaxanthin/L) | Total Betalains (mg eq. Betalains/L) |
|---|---|---|---|
| Opuntia robusta | 333.27 ± 11.46 * | 133.66 ± 4.83 * | 466.93 ± 16.29 * |
| Opuntia streptacantha | 87.24 ± 1.54 | 36.47 ± 1.07 | 123.70 ± 2.61 |
| Fruit | DPPH (mmol eq. Trolox®/L) | FRAP (mg eq. Ascorbic Acid/100 mL) | ABTS (mg eq. Ascorbic Acid/100 mL) | ORAC (mmol eq. Trolox®/L) |
|---|---|---|---|---|
| Opuntia robusta | 5.77 ± 0.33 * | 73.24 ± 3 * | 92.62 ± 5 * | 41.78 ± 1.89 * |
| Opuntia streptacantha | 1.31 ± 0.94 | 28.82 ± 2 | 61.69 ± 3 | 31.42 ± 0.43 |
| Fruit | Ferrous Ion Scavenging (mol eq. EDTA/L) |
|---|---|
| Opuntia robusta | 3.69 ± 0.9 |
| Opuntia streptacantha | 6.09 ± 0.8 * |
| Group | ALT (IU/L) | AST (IU/L) | ALP (IU/L) | GSH (µg/g) |
|---|---|---|---|---|
| Control | 37.9 ± 0.7 * | 79.5 ± 4.2 * | 319 ± 15.4 * | 1797 ± 28 * |
| APAP | 82.4 ± 8.8 | 320 ± 48.0 | 512 ± 36.6 | 198 ± 4 |
| Or | 37.3 ± 3.8 * | 75.2 ± 2.8 * | 285 ± 36.2 * | 1709 ± 23 * |
| Os | 39.9 ± 3.3 * | 84.5 ± 5.8 * | 251 ± 35.2 * | 1519 ± 101 * |
| Or + APAP | 41.9 ± 3.3 * | 129 ± 10.3 * | 246 ± 11.2 * | 1608 ± 31 * |
| Os + APAP | 58.1 ± 6.1 * | 151 ± 33.3 * | 459 ± 28.6 | 666 ± 47 * |
| GSH + APAP | 69.8 ± 5.5 | 289 ± 42.2 | 309 ± 15.4 * | 604 ± 26 * |
© 2016 by the authors; licensee MDPI, Basel, Switzerland. This article is an open access article distributed under the terms and conditions of the Creative Commons Attribution (CC-BY) license (http://creativecommons.org/licenses/by/4.0/).
Share and Cite
González-Ponce, H.A.; Martínez-Saldaña, M.C.; Rincón-Sánchez, A.R.; Sumaya-Martínez, M.T.; Buist-Homan, M.; Faber, K.N.; Moshage, H.; Jaramillo-Juárez, F. Hepatoprotective Effect of Opuntia robusta and Opuntia streptacantha Fruits against Acetaminophen-Induced Acute Liver Damage. Nutrients 2016, 8, 607. https://doi.org/10.3390/nu8100607
González-Ponce HA, Martínez-Saldaña MC, Rincón-Sánchez AR, Sumaya-Martínez MT, Buist-Homan M, Faber KN, Moshage H, Jaramillo-Juárez F. Hepatoprotective Effect of Opuntia robusta and Opuntia streptacantha Fruits against Acetaminophen-Induced Acute Liver Damage. Nutrients. 2016; 8(10):607. https://doi.org/10.3390/nu8100607
Chicago/Turabian StyleGonzález-Ponce, Herson Antonio, María Consolación Martínez-Saldaña, Ana Rosa Rincón-Sánchez, María Teresa Sumaya-Martínez, Manon Buist-Homan, Klaas Nico Faber, Han Moshage, and Fernando Jaramillo-Juárez. 2016. "Hepatoprotective Effect of Opuntia robusta and Opuntia streptacantha Fruits against Acetaminophen-Induced Acute Liver Damage" Nutrients 8, no. 10: 607. https://doi.org/10.3390/nu8100607
APA StyleGonzález-Ponce, H. A., Martínez-Saldaña, M. C., Rincón-Sánchez, A. R., Sumaya-Martínez, M. T., Buist-Homan, M., Faber, K. N., Moshage, H., & Jaramillo-Juárez, F. (2016). Hepatoprotective Effect of Opuntia robusta and Opuntia streptacantha Fruits against Acetaminophen-Induced Acute Liver Damage. Nutrients, 8(10), 607. https://doi.org/10.3390/nu8100607

