6-Gingerol Protects against Nutritional Steatohepatitis by Regulating Key Genes Related to Inflammation and Lipid Metabolism
Abstract
:1. Introduction
2. Materials and Methods
2.1. Materials
2.2. Cell Culture and Treatments
2.3. Oil Red O Staining
2.4. Measurements of TG in HepG2 Cells
2.5. Measurements of Cytokines in HepG2 Cells
2.6. Animal and Experimental Protocols
2.7. Biochemical Analysis
2.8. Measurements of Hepatic Lipids and Cytokines
2.9. Hepatic Histological Analysis
2.10. NF-κB Activity
2.11. Western Blotting
2.12. Hepatic mRNA Expression
2.13. Statistical Analysis
3. Results
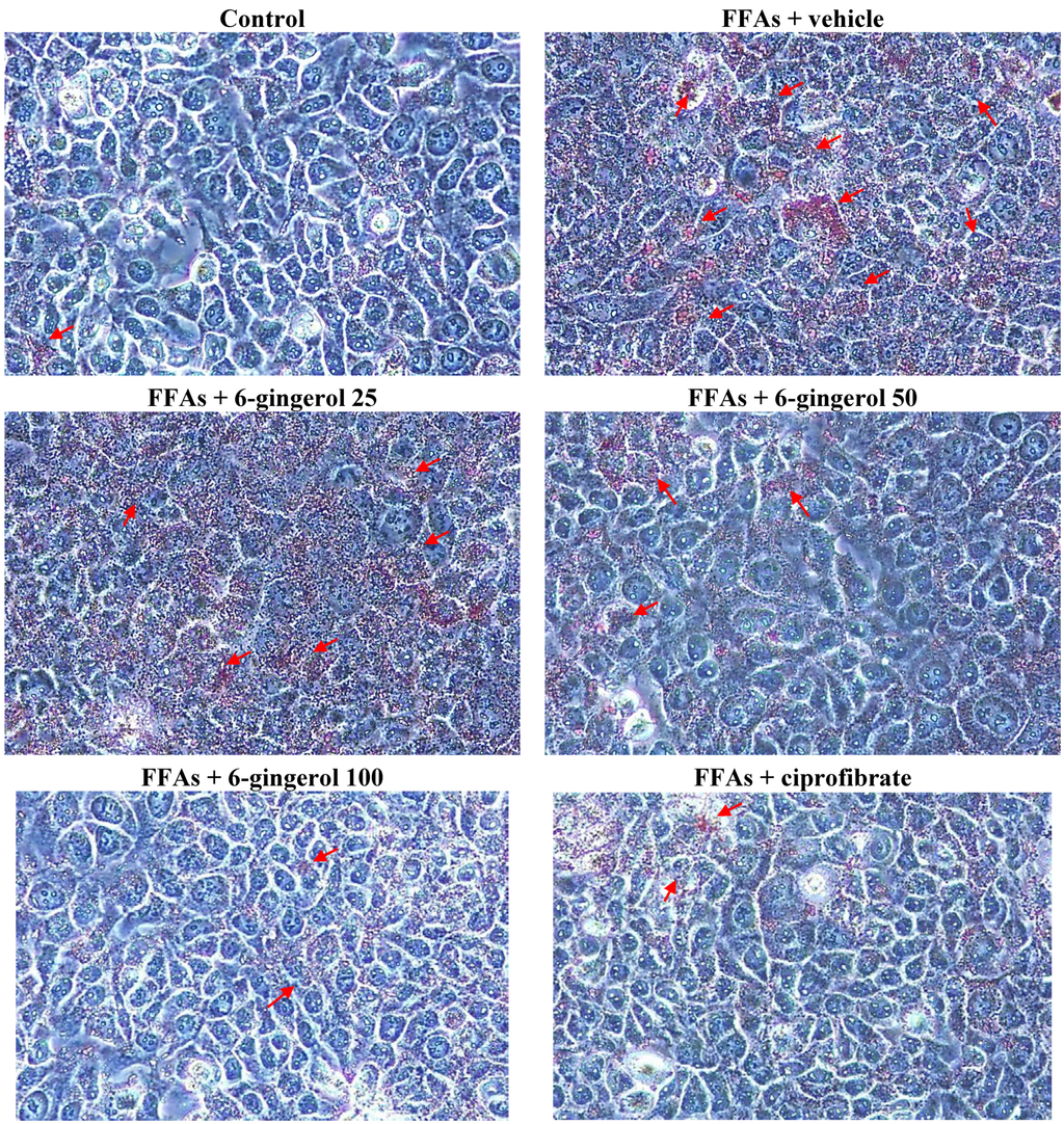
3.1. Effects on Intracellular Lipid Accumulation and Inflammatory Cytokines in FFA Mixture-Treated HepG2 Cells



3.2. Effects on Body Weight and Liver Weight
| Parameter | MCS Diet | MCD Diet | ||||
|---|---|---|---|---|---|---|
| Vehicle | Vehicle | 6-Gingerol (mg/kg/day) | Ciprofibrate | |||
| 25 | 50 | 100 | (10 mg/kg/day) | |||
| Initial body weight (BW) (g) | 21.13 ± 1.54 | 21.09 ± 1.28 | 21.17 ± 1.49 | 21.03 ± 1.37 | 21.14 ± 1.62 | 21.20 ± 1.81 |
| Final BW (g) | 28.47 ± 1.83 | 14.87 ± 1.42 | 15.17 ± 1.68 | 15.47 ± 1.53 | 15.21 ± 1.73 | 15.39 ± 1.84 |
| Liver absolute weight (g) | 1.41 ± 0.12 | 0.49 ± 0.06 | 0.52 ± 0.08 | 0.56 ± 0.06 | 0.58 ± 0.04 | 0.59 ± 0.06 |
| Liver relative weight (%) | 4.91 ± 0.27 c | 3.30 ± 0.31 a | 3.42 ± 0.26 a | 3.62 ± 0.22 a | 3.85 ± 0.25 a | 3.90 ± 0.29 a |
| Plasma glucose (mg/dL) | 95.12 ± 2.64 c | 81.17 ± 4.17 a | 82.24 ± 3.83 a | 84.45 ± 3.26 a | 83.33 ± 3.94 a | 81.26 ± 4.03 a |
| Plasma TC (mg/dL) | 153.90 ± 3.96 d | 25.39 ± 4.28 b | 24.36 ± 4.63 b | 24.26 ± 4.48 b | 25.65 ± 4.12 b | 26.52 ± 3.91 b |
| Plasma TG (mg/dL) | 98.81 ± 3.02 d | 52.36 ± 3.11 b | 57.52 ± 3.73 b | 53.91 ± 3.96 b | 52.49 ± 4.02 b | 56.30 ± 3.24 b |
| Plasma ALT (U/L) | 50.61 ± 6.27 d | 297.14 ± 16.23 b | 248.41 ± 15.78 b,c | 180.44 ± 14.56 b,c | 124.45 ± 12.47 a,d | 94.23 ± 10.87 a,d |
| Plasma AST (U/L) | 115.21 ± 10.91 d | 464.85 ± 17.79 b | 386.03 ± 16.55 b,c | 280.11 ± 17.35 b,c | 207.29 ± 18.40 a,d | 166.25 ± 13.24 a,d |
| Hepatic TC (µmol/g liver) | 12.23 ± 0.62 d | 20.64 ± 1.16 b | 18.82 ± 1.27 b,c | 17.04 ± 1.04 b,c | 15.22 ± 1.17 a,c | 14.56 ± 1.46 a,d |
| Hepatic TG (µmol/g liver) | 9.16 ± 0.82 d | 18.61 ± 1.28 b | 15.52 ± 1.17 b | 13.18 ± 1.51 b,c | 11.77 ± 1.09 a,c | 11.06 ± 1.21 d |
3.3. Effects on Plasma and Hepatic Lipids in Mice
3.4. Effects on Mouse Liver Injury


3.5. Effects on Inflammatory Cytokines in Mice

3.6. Effects on Hepatic IκBα and NF-κB Expression and NF-κB Binding Activity


3.7. Effects on Hepatic mRNA Expression of Lipid Metabolism-Associated Genes

4. Discussion
5. Conclusions
Acknowledgments
Author Contributions
Conflicts of Interest
References
- Farrell, G.C.; Larter, C.Z. Nonalcoholic fatty liver disease: From steatosis to cirrhosis. Hepatology 2006, 43, S99–S112. [Google Scholar] [CrossRef] [PubMed]
- Day, C.P.; James, O.F. Steatohepatitis: A tale of two “hits”? Gastroenterology 1998, 114, 842–845. [Google Scholar] [CrossRef] [PubMed]
- Duvnjak, M.; Lerotić, I.; Barsić, N.; Tomasić, V.; Virović Jukić, L.; Velagić, V. Pathogenesis and management issues for non-alcoholic fatty liver disease. World J. Gastroenterol. 2007, 13, 4539–4550. [Google Scholar] [PubMed]
- Guh, J.H.; Ko, F.N.; Jong, T.T.; Teng, C.M. Antiplatelet effect of gingerol isolated from Zingiber officinale. J. Pharm. Pharmacol. 1995, 47, 329–332. [Google Scholar] [CrossRef] [PubMed]
- Young, H.Y.; Luo, Y.L.; Cheng, H.Y.; Hsieh, W.C.; Liao, J.C.; Peng, W.H. Analgesic and anti-inflammatory activities of [6]-gingerol. J. Ethnopharmacol. 2005, 96, 207–210. [Google Scholar] [CrossRef] [PubMed]
- Kim, J.K.; Kim, Y.; Na, K.M.; Surh, Y.J.; Kim, T.Y. [6]-Gingerol prevents UVB-induced ROS production and COX-2 expression in vitro and in vivo. Free Radic. Res. 2007, 41, 603–614. [Google Scholar] [CrossRef] [PubMed]
- Singh, A.B.; Akanksha; Singh, N.; Maurya, R.; Srivastava, A.K. Anti-hyperglycaemic, lipid lowering and anti-oxidant properties of [6]-gingerol in db/db mice. Int. J. Med. Med. Sci. 2009, 1, 536–544. [Google Scholar]
- Chang, W.S.; Chang, Y.H.; Lu, F.J.; Chiang, H.C. Inhibitory effects of phenolics on xanthine oxidase. Anticancer Res. 1994, 14, 501–506. [Google Scholar]
- Li, X.H.; McGrath, K.C.; Tran, V.H.; Li, Y.M.; Duke, C.C.; Roufogalis, B.D.; Heather, A.K. Attenuation of proinflammatory responses by S-[6]-gingerol via inhibition of ROS/NF-κB/COX2 activation in HuH7 cells. Evid. Based Complement. Alternat. Med. 2013, 2013. [Google Scholar] [CrossRef]
- Lionetti, L.; Mollica, M.P.; Lombardi, A.; Cavaliere, G.; Gifuni, G.; Barletta, A. From chronic overnutrition to insulin resistance: The role of fat-storing capacity and inflammation. Nutr. Metab. Cardiovasc. Dis. 2009, 19, 146–152. [Google Scholar] [CrossRef] [PubMed]
- Kwan, H.Y.; Fong, W.F.; Yang, Z.; Yu, Z.L.; Hsiao, W.L. Inhibition of DNA-dependent protein kinase reduced palmitate and oleate-induced lipid accumulation in HepG2 cells. Eur. J. Nutr. 2013, 52, 1621–1630. [Google Scholar] [CrossRef] [PubMed]
- Koteish, A.; Mae Diehl, A. Animal models of steatohepatitis. Best Pract. Res. Clin. Gastroenterol. 2002, 16, 679–690. [Google Scholar] [CrossRef] [PubMed]
- Macfarlane, D.P.; Zou, X.; Andrew, R.; Morton, N.M.; Livingstone, D.E.; Aucott, R.L.; Nyirenda, M.J.; Iredale, J.P.; Walker, B.R. Metabolic pathways promoting intrahepatic fatty acid accumulation in methionine and choline deficiency: Implications for the pathogenesis of steatohepatitis. Am. J. Physiol. Endocrinol. Metab. 2011, 300, E402–E409. [Google Scholar] [CrossRef] [PubMed]
- Bighetti, E.J.; Patrício, P.R.; Casquero, A.C.; Berti, J.A.; Oliveira, H.C. Ciprofibrate increases cholesteryl ester transfer protein gene expression and the indirect reverse cholesterol transport to the liver. Lipids Health Dis. 2009, 8, 50. [Google Scholar] [CrossRef] [PubMed]
- Koopman, R.; Schaart, G.; Hesselink, M.K. Optimization of oil red O staining permits combination with immunofluorescence and automated quantification of lipids. Histochem. Cell Biol. 2001, 116, 63–68. [Google Scholar] [PubMed]
- Folch, J.; Lees, M.; Sloane-Stanley, G.H. A simple method for the isolation and purification of total lipids from animal tissues. J. Biol. Chem. 1957, 226, 497–506. [Google Scholar] [PubMed]
- Kleiner, D.E.; Brunt, E.M.; van Natta, M.; Behling, C.; Contos, M.J.; Cummings, O.W.; Ferrell, L.D.; Liu, Y.C.; Torbenson, M.S.; Unalp-Arida, A.; et al. Design and validation of a histological scoring system for nonalcoholic fatty liver disease. Hepatology 2005, 41, 1313–1321. [Google Scholar] [CrossRef] [PubMed]
- Livak, K.J.; Schmittgen, T.D. Analysis of relative gene expression data using real-time quantitative PCR and the 2−ΔΔCt method. Methods 2001, 25, 402–408. [Google Scholar] [CrossRef] [PubMed]
- Donnelly, K.L.; Smith, C.I.; Schwarzenberg, S.J.; Jessurun, J.; Boldt, M.D.; Parks, E.J. Sources of fatty acids stored in liver and secreted via lipoproteins in patients with nonalcoholic fatty liver disease. J. Clin. Investig. 2005, 115, 1343–1351. [Google Scholar] [CrossRef] [PubMed]
- Allard, J.P.; Aghdassi, E.; Mohammed, S.; Raman, M.; Avand, G.; Arendt, B.M.; Jalali, P.; Kandasamy, T.; Prayitno, N.; Sherman, M.; et al. Nutritional assessment and hepatic fatty acid composition in non-alcoholic fatty liver disease (NAFLD): A cross-sectional study. J. Hepatol. 2008, 48, 300–307. [Google Scholar] [CrossRef] [PubMed]
- Neuschwander-Tetri, B.A.; Caldwell, S.H. Nonalcoholic steatohepatitis: Summary of an AASLD single topic conference. Hepatology 2003, 37, 1202–1219. [Google Scholar] [CrossRef] [PubMed]
- Itagaki, H.; Shimizu, K.; Morikawa, S.; Ogawa, K.; Ezaki, T. Morphological and functional characterization of non-alcoholic fatty liver disease induced by a methionine-choline-deficient diet in C57BL/6 mice. Int. J. Clin. Exp. Pathol. 2013, 6, 2683–2696. [Google Scholar] [PubMed]
- Fast, D.G.; Vance, D.E. Nascent VLDL phospholipid composition is altered when phosphatidylcholine biosynthesis is inhibited: Evidence for a novel mechanism that regulates VLDL secretion. Biochim. Biophys. Acta 1995, 1258, 159–168. [Google Scholar] [CrossRef] [PubMed]
- Marcolin, E.; Forgiarini, L.F.; Tieppo, J.; Dias, A.S.; Freitas, L.A.; Marroni, N.P. Methionine- and choline-deficient diet induces hepatic changes characteristic of non-alcoholic steatohepatitis. Arq. Gastroenterol. 2011, 48, 72–79. [Google Scholar] [PubMed]
- Fraser, A.; Longnecker, M.P.; Lawlor, D.A. Prevalence of elevated alanine aminotransferase among US adolescents and associated factors: NHANES 1999–2004. Gastroenterology 2007, 133, 1814–1820. [Google Scholar] [CrossRef] [PubMed]
- Harmon, R.C.; Tiniakos, D.G.; Argo, C.K. Inflammation in nonalcoholic steatohepatitis. Expert Rev. Gastroenterol. Hepatol. 2011, 5, 189–200. [Google Scholar] [CrossRef] [PubMed]
- Marcu, K.B.; Otero, M.; Olivotto, E.; Borzi, R.M.; Goldring, M.B. NF-kappaB signaling: Multiple angles to target OA. Curr. Drug Targets 2010, 11, 599–613. [Google Scholar] [CrossRef] [PubMed]
- DiDonato, J.A.; Hayakawa, M.; Rothwarf, D.M.; Zandi, E.; Karin, M. A cytokine-responsive IkappaB kinase that activates the transcription factor NF-kappaB. Nature 1997, 388, 548–554. [Google Scholar] [CrossRef] [PubMed]
- Miyashita, T.; Toyoda, Y.; Tsuneyama, K.; Fukami, T.; Nakajima, M.; Yokoi, T. Hepatoprotective effect of tamoxifen on steatosis and non-alcoholic steatohepatitis in mouse models. J. Toxicol. Sci. 2012, 37, 931–942. [Google Scholar] [CrossRef] [PubMed]
- Tanaka, N.; Takahashi, S.; Fang, Z.Z.; Matsubara, T.; Krausz, K.W.; Qu, A.; Gonzalez, F.J. Role of white adipose lipolysis in the development of NASH induced by methionine- and choline-deficient diet. Biochim. Biophys. Acta 2014, 1841, 1596–1607. [Google Scholar] [CrossRef] [PubMed]
- Stone, S.J.; Myers, H.M.; Watkins, S.M.; Brown, B.E.; Feingold, K.R.; Elias, P.M.; Farese, R.V., Jr. Lipopenia and skin barrier abnormalities in DGAT2-deficient mice. J. Biol. Chem. 2004, 279, 11767–11776. [Google Scholar] [CrossRef] [PubMed]
- Reddy, J.K.; Lalwani, N.D.; Qureshi, S.A.; Reddy, M.K.; Moehle, C.M. Induction of hepatic peroxisome proliferation in nonrodent species, including primates. Am. J. Pathol. 1984, 114, 171–183. [Google Scholar]
- Corton, J.C.; Anderson, S.P.; Stauber, A. Central role of peroxisome proliferator-activated receptors in the actions of peroxisome proliferators. Annu. Rev. Pharmacol. Toxicol. 2000, 40, 491–518. [Google Scholar] [CrossRef] [PubMed]
- Mandar, S.; Muller, M.; Kersten, S. Peroxisome proliferator-activated receptor alpha target genes. Cell Mol. Life Sci. 2004, 61, 393–416. [Google Scholar] [CrossRef] [PubMed]
- Ip, E.; Farrell, G.; Hall, P.; Robertson, G.; Leclercq, I. Administration of the potent PPARalpha agonist, Wy-14 643, reverses nutritional fibrosis and steatohepatitis in mice. Hepatology 2004, 39, 1286–1296. [Google Scholar] [CrossRef] [PubMed]
- Abdelmegeed, M.A.; Yoo, S.H.; Henderson, L.E.; Gonzalez, F.J.; Woodcroft, K.J.; Song, B.J. PPARalpha expression protects male mice from high fat-induced nonalcoholic fatty liver. J. Nutr. 2011, 141, 603–610. [Google Scholar] [CrossRef] [PubMed]
- Espinosa, R.A.; Rodríguez-Roa, E.; Nagy, E.; Mijares, M.E.; Rodríguez-Larralde, A.; Gil, A.; Lundberg, U.; Carvajal, Z.; Castillo, L.; Arocha-Piñango, C.L. Changes in serum lipids, plasma fibrinogen and other haemostatic parameters induced by ciprofibrate action in hyperlipidemic patients with and without coronary artery disease. Investig. Clin. 2006, 47, 35–48. [Google Scholar]
- Wu, J.; Song, Y.; Li, H.; Chen, J. Rhabdomyolysis associated with fibrate therapy: Review of 76 published cases and a new case report. Eur. J. Clin. Pharmacol. 2009, 65, 1169–1174. [Google Scholar] [CrossRef] [PubMed]
© 2015 by the authors; licensee MDPI, Basel, Switzerland. This article is an open access article distributed under the terms and conditions of the Creative Commons Attribution license (http://creativecommons.org/licenses/by/4.0/).
Share and Cite
Tzeng, T.-F.; Liou, S.-S.; Chang, C.J.; Liu, I.-M. 6-Gingerol Protects against Nutritional Steatohepatitis by Regulating Key Genes Related to Inflammation and Lipid Metabolism. Nutrients 2015, 7, 999-1020. https://doi.org/10.3390/nu7020999
Tzeng T-F, Liou S-S, Chang CJ, Liu I-M. 6-Gingerol Protects against Nutritional Steatohepatitis by Regulating Key Genes Related to Inflammation and Lipid Metabolism. Nutrients. 2015; 7(2):999-1020. https://doi.org/10.3390/nu7020999
Chicago/Turabian StyleTzeng, Thing-Fong, Shorong-Shii Liou, Chia Ju Chang, and I-Min Liu. 2015. "6-Gingerol Protects against Nutritional Steatohepatitis by Regulating Key Genes Related to Inflammation and Lipid Metabolism" Nutrients 7, no. 2: 999-1020. https://doi.org/10.3390/nu7020999
APA StyleTzeng, T.-F., Liou, S.-S., Chang, C. J., & Liu, I.-M. (2015). 6-Gingerol Protects against Nutritional Steatohepatitis by Regulating Key Genes Related to Inflammation and Lipid Metabolism. Nutrients, 7(2), 999-1020. https://doi.org/10.3390/nu7020999
