Curcumin Inhibits Gastric Inflammation Induced by Helicobacter Pylori Infection in a Mouse Model
Abstract
:1. Introduction
2. Experimental Section
2.1. Experimental Infections
2.2. Urea Breath Test (13C-UBT) and Quantitative Real-Time PCR (qPCR) for H. Pylori
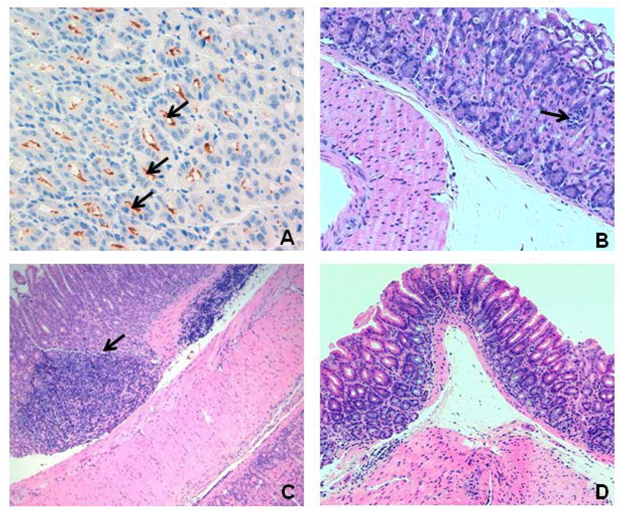
2.3. Immunohistochemistry and Histology
2.4. Real-Time PCR Arrays
2.5. Statistical Analysis
3. Results
3.1. H. Pylori Status
3.2. Histology


3.3. Real-Time PCR Arrays


4. Discussion
5. Conclusions
Supplementary Files
Supplementary File 1Acknowledgments
Author Contributions
Conflicts of Interest
References
- Suarez, G.; Reyes, V.E.; Beswick, E.J. Immune response to H. pylori. World. J. Gastroenterol. 2006, 12, 5593–5598. [Google Scholar] [PubMed]
- IARC Working Group. Schistosomes, liver flukes and Helicobacter pylori. In Proceedings of The International Agency for Research on Cancer Working Group on the Evaluation of Carcinogenic Risks to Humans, Lyon, France, 7–14 June 1994; IARC Monographs on the Evaluation of Carcinogenic Risks to Humans. World Health Organization: Geneva, Switzerland, 1994; Volume 61, pp. 1–241. [Google Scholar]
- Correa, P. Human gastric carcinogenesis: A multistep and multifactorial process—First American Cancer Society Award Lecture on Cancer Epidemiology and Prevention. Cancer Res. 1992, 52, 6735–6740. [Google Scholar] [PubMed]
- Lee, A.; O’Rourke, J.; de Ungria, M.C.; Robertson, B.; Daskalopoulos, G.; Dixon, M.F. A standardized mouse model of Helicobacter pylori infection: Introducing the Sydney strain. Gastroenterology 1997, 112, 1386–1397. [Google Scholar] [CrossRef] [PubMed]
- Verbeke, H.; Geboes, K.; van Damme, J.; Struyf, S. The role of CXC chemokines in the transition of chronic inflammation to esophageal and gastric cancer. Biochim. Biophys. Acta 2012, 1825, 117–129. [Google Scholar] [PubMed]
- Backert, S.; Naumann, M. What a disorder: Proinflammatory signaling pathways induced by Helicobacter pylori. Trends. Microbiol. 2010, 18, 479–486. [Google Scholar] [CrossRef]
- Chuchart, K.; Sukanya, L.; Don, C.; Kriangkrai, C.; Jiraprapa, W. Investigation of the anti-inflammatory effect of Curcuma longa in Helicobacter pylori-infected patients. Int. Immunopharmacol. 2010, 10, 815–818. [Google Scholar] [CrossRef] [PubMed]
- Rad, R.; Brenner, L.; Krug, A.; Voland, P.; Mages, J.; Lang, R.; Schwendy, S.; Reindl, W.; Dossumbekova, A.; Ballhorn, W. Toll-like receptor-dependent activation of antigen-presenting cells affects adaptive immunity to Helicobacter pylori. Gastroenterology 2007, 133, 150–163. [Google Scholar] [CrossRef] [PubMed]
- Bengmark, S.; Mesa, M.D.; Gil, A. Plant-derived health: The effects of turmeric and curcuminoids. Nutr. Hosp. 2009, 24, 273–281. [Google Scholar] [PubMed]
- Balachandran, P.; Govindarajan, R. Cancer—An ayurvedic perspective. Pharmacol. Res. 2005, 51, 19–30. [Google Scholar] [CrossRef]
- Surth, Y.J. Anti-tumor promoting potential of selected spice ingredients with antioxidative and anti-inflammatory activities: A short review. Food Chem. Toxicol. 2002, 40, 1091–1097. [Google Scholar] [CrossRef] [PubMed]
- Kewitz, S.; Volkmer, I.; Staege, M. Curcuma contra cancer? Curcumin and Hodgkin’s Lymphoma. Cancer Growth Metastasis 2013, 6, 35–52. [Google Scholar]
- Premkumar, K.; Kavitha, S.; Santhiya, S.T.; Ramesh, A.R.; Suwanteerangkul, J. Interactive effects of saffron with garlic and curcumin against cyclophosphamide induced genotoxicity in mice. Asia Pac. J. Clin. Nutr. 2004, 13, 292–294. [Google Scholar] [PubMed]
- Anand, P.; Kunnumakkara, A.B.; Newman, R.A.; Aggarwal, B.B. Bioavailability of curcumin: Problems and promises. Mol. Pharm. 2007, 4, 807–818. [Google Scholar] [CrossRef] [PubMed]
- Santos, A.; Lopes, T.; Oleastro, M.; Chaves, P.; Cordeiro, R.; Ferreira, M.; Pereira, T.; Machado, J.; Guerreiro, A. Role of 13C-urea breath test in experimental model of Helicobacter pylori infection in mice. Helicobacter 2011, 16, 320–326. [Google Scholar] [CrossRef] [PubMed]
- Oleastro, M.; Ménard, A.; Santos, A.; Lamouliatte, H.; Monteiro, L.; Barthélémy, P.; Mégraud, F. Real-time PCR assay for rapid and accurate detection of point mutations conferring resistance to clarithromycin in Helicobacter pylori. J. Clin. Microbiol. 2003, 41, 397–402. [Google Scholar] [CrossRef] [PubMed]
- Ferrand, J.; Lehours, P.; Schmid-Alliana, A.; Mégraud, F.; Varon, C. Helicobacter pylori infection of gastrointestinal epithelial cells in vitro induces mesenchymal stem cell migration through an NF-κB-dependent pathway. PLoS One 2011, 6. [Google Scholar] [CrossRef] [PubMed]
- Jones, N.L.; Day, A.S.; Jennings, H.; Patrick, T.; Shannon, P.T.; Galindo-Mata, E.; Sherman, P.M. Enhanced disease severity in Helicobacter pylori-infected mice deficient in Fas signaling. Infect. Immun. 2002, 70, 2591–2597. [Google Scholar] [CrossRef] [PubMed]
- Sintara, K.; Duangporn, T.-N.; Suthiluk, P.; Naruemon, K.; Tanittha, C. Curcumin suppresses gastric NF-kappaB activation and macromolecular leakage in Helicobacter pylori-infected rats. World. J. Gastroenterol. 2010, 16, 4039–4046. [Google Scholar] [CrossRef] [PubMed]
- Di Mario, F.; Cavallaro, L.G.; Nouvenne, A.; Stefani, N.; Cavestro, G.M.; Iori, V.; Maino, M.; Comparato, G.; Fanigliulo, L.; Morana, E. A curcumin-based 1-week triple therapy for eradication of Helicobacter pylori infection: Something to learn from failure? Helicobacter 2007, 12, 238–243. [Google Scholar] [CrossRef]
- Kundu, P.; de, R.; Pal, I.; Mukhopadhyay, A.K.; Saha, D.R.; Swarnakar, S. Curcumin alleviates matrix metalloproteinase-3 and -9 activities during eradication of Helicobacter pylori infection in cultured cells and mice. PLoS One 2011, 6. [Google Scholar] [CrossRef] [PubMed]
- Goel, A.; Kunnumakkara, A.; Aggarwal, B. Curcumin as “Curecumin”: From kitchen to clinic. Biochem. Pharmacol. 2008, 75, 787–809. [Google Scholar] [CrossRef] [PubMed]
- Bodger, K.; Crabtree, J. Helicobacter pylori and gastric inflammation. Br. Med. Bull. 1998, 54, 139–150. [Google Scholar] [CrossRef] [PubMed]
- Wu, Y.; Tsai, H.; Lin, W.; Hsu, P.; Shun, C.; Wu, M.; Hsu, P. Upregulation of CCL20 and recruitment of CCR6+ gastric infiltrating lymphocytes in Helicobacter pylori gastritis. Infect. Immun. 2007, 75, 4357–4363. [Google Scholar] [CrossRef]
- Yoshida, A.; Isomoto, H.; Hisatsune, J.; Nakayama, M.; Nakashima, Y.; Matsushima, K.; Mizuta, Y.; Hayashi, T.; Yamaoka, Y.; Azuma, T. Enhanced expression of CCL20 in human Helicobacter pylori-associated gastritis. Clin. Immunol. 2009, 130, 290–297. [Google Scholar] [CrossRef] [PubMed]
- Eck, M.; Schmausser, B.; Scheller, K.; Toksoy, A.; Kraus, M.; Menzel, T.; Müller-Hermelink, H.; Gillitzer, R. CXC chemokines Gro/IL-8 and IP-10/MIG in Helicobacter pylori gastritis. Clin. Exp. Immunol. 2000, 122, 192–199. [Google Scholar] [CrossRef] [PubMed]
- Crabtree, J.; Shallcross, R.; Heatley, R.; Wyatt, J. Mucosal tumor necrosis factor-alpha and interleukin-6 in patients with Helicobacter pylori-associated gastritis. Gut 1991, 32, 1473–1477. [Google Scholar] [CrossRef] [PubMed]
- Noach, L.; Bosma, N.; Jansen, J.; Hoek, F.; Deventer, S.; Tytgat, G. Mucosal tumor necrosis factor-alpha, interleukin-1 beta, and interleukin-8 production in patients with Helicobacter pylori infection. Scand. J. Gastroenterol. 1994, 29, 425–429. [Google Scholar] [CrossRef]
- Redecke, V.; Hacker, H.; Datta, S.K.; Fermin, A.; Pitha, P.M.; Broide, D.H. Cutting edge: Activation of Toll-like receptor 2 induces a Th2 immune response and promotes experimental asthma. J. Immunol. 2004, 172, 2739–2743. [Google Scholar] [CrossRef] [PubMed]
- Dillon, S.; Agrawal, A.; Van, D.T.; Landreth, G.; McCauley, L.; Koh, A. A Toll-like receptor 2 ligand stimulates Th2 responses in vivo, via induction of extracellular signal-regulated kinase mitogen-activated protein kinase and c-Fos in dendritic cells. J. Immunol. 2004, 172, 4733–4743. [Google Scholar] [CrossRef]
- Pulendran, B. Variegation of the immune response with dendritic cells and pathogen recognition receptors. J. Immunol. 2005, 174, 2457–2465. [Google Scholar] [CrossRef] [PubMed]
- Rad, R.; Ballhorn, W.; Voland, P.; Eisenächer, K.; Mages, J.; Rad, L.; Ferstl, R.; Lang, R.; Wagner, H.; Schmid, R. Extracellular and intracellular pattern recognition receptors cooperate in the recognition of Helicobacter pylori. Gastroenterology 2009, 136, 2247–2257. [Google Scholar] [CrossRef] [PubMed]
- Akira, S.; Uematsu, S.; Takeuchi, O. Pathogen recognition and innate immunity. Cell 2006, 124, 783–801. [Google Scholar] [CrossRef] [PubMed]
- Kabir, S. The role of interleukin-17 in the Helicobacter pylori induced infection and immunity. Helicobacter 2011, 16, 1–8. [Google Scholar] [CrossRef] [PubMed]
- Zhuang, Y.; Shi, Y.; Liu, X.; Zhang, J.; Liu, T.; Fan, X.; Luo, J.; Wu, C.; Yu, S.; Chen, L. Helicobacter pylori-infected macrophages induce Th17 cell differentiation. Immunobiology 2011, 216, 200–207. [Google Scholar] [CrossRef]
- Shi, Y.; Liu, X.; Zhuang, Y.; Zhang, J.; Liu, T.; Yin, Z.; Wu, C.; Mao, X.; Jia, K.; Wang, F. Helicobacter pylori-induced Th17 responses modulate Th1 cell responses, benefit bacterial growth, and contribute to pathology in mice. J. Immunol. 2010, 184, 5121–5129. [Google Scholar] [CrossRef] [PubMed]
- Eaton, K.A.; Mefford, M.; Thevenot, T. The role of T cell subsets and cytokines in the pathogenesis of Helicobacter pylori gastritis in mice. J. Immunol. 2001, 166, 7456–7461. [Google Scholar] [CrossRef] [PubMed]
- Karttunen, R.; Karttunen, T.; Ekre, H.P.; MacDonald, T.T. Interferon gamma and interleukin 4 secreting cells in the gastric antrum in Helicobacter pylori positive and negative gastritis. Gut 1995, 36, 341–345. [Google Scholar] [CrossRef]
- Bamford, K.B.; Fan, X.; Crowe, S.E.; Leary, J.F.; Gourley, W.K.; Luthra, G.K.; Brooks, E.G.; Graham, D.Y.; Reyes, V.E.; Ernst, P.B. Lymphocytes in the human gastric mucosa during Helicobacter pylori have a T helper cell 1 phenotype. Gastroenterology 1998, 114, 482–492. [Google Scholar] [CrossRef]
- Smythies, L.E.; Waites, K.B.; Lindsey, J.R.; Harris, P.R.; Ghiara, P.; Smith, P.D. Helicobacter pylori-induced mucosal inflammation is Th1 mediated and exacerbated in IL-4, but not IFN-gamma, gene-deficient mice. J. Immunol. 2000, 165, 1022–1029. [Google Scholar] [CrossRef] [PubMed]
- Brandt, S.; Kwok, T.; Hartig, R.; König, W.; Backert, S. NF-κB activation and potentiation of proinflammatory responses by the Helicobacter pylori CagA protein. Proc. Natl. Acad. Sci. USA 2005, 102, 9300–9305. [Google Scholar] [CrossRef]
- Ghosh, S.; Karin, M. Missing pieces in the NF-κB puzzle. Cell 2002, 109, 81–96. [Google Scholar] [CrossRef]
- Li, Q.; Verma, I.M. NF-κB regulation in the immune system. Nat. Rev. Immunol. 2002, 2, 725–734. [Google Scholar] [CrossRef]
- Singh, S.; Aggarwal, B.B. Activation of transcription factor NF-κB is suppressed by curcumin (diferuloylmethane). J. Biol. Chem. 1995, 270, 24995–25000. [Google Scholar] [CrossRef] [PubMed]
- Kumar, A.; Dhawan, S.; Hardegen, N.J.; Aggarwal, B.B. Curcumin (diferuloylmethane) inhibition of tumor necrosis factor (TNF)-mediated adhesion of monocytes to endothelial cells by suppression of cell surface expression of adhesion molecules and of nuclear factor-kappaB activation. Biochem. Pharmacol. 1998, 55, 775–783. [Google Scholar] [CrossRef] [PubMed]
- Jobin, C.; Bradham, C.A.; Russo, M.P.; Juma, B.; Narula, A.S.; Brenner, D.A.; Sartor, R.B. Curcumin blocks cytokine-mediated NF-κB activation and proinflammatory gene expression by inhibiting inhibitory factor I-κB kinase activity. J. Immunol. 1999, 163, 3474–3483. [Google Scholar] [PubMed]
- Foryst-Ludwig, A.; Neumann, M.; Schneider-Brachert, W.; Naumann, M. Curcumin blocks NF-κB and the motogenic response in Helicobacter pylori-infected epithelial cells. Biochem. Biophys. Res. Commun. 2004, 316, 1065–1072. [Google Scholar] [CrossRef]
- Lambert, J.D.; Hong, J.; Yang, G.; Liao, J.; Yang, C.S. Inhibition of carcinogenesis by polyphenols: Evidence from laboratory investigations. Am. J. Clin. Nutr. 2005, 81, 284–291. [Google Scholar]
© 2015 by the authors; licensee MDPI, Basel, Switzerland. This article is an open access article distributed under the terms and conditions of the Creative Commons Attribution license (http://creativecommons.org/licenses/by/4.0/).
Share and Cite
Santos, A.M.; Lopes, T.; Oleastro, M.; Gato, I.V.; Floch, P.; Benejat, L.; Chaves, P.; Pereira, T.; Seixas, E.; Machado, J.; et al. Curcumin Inhibits Gastric Inflammation Induced by Helicobacter Pylori Infection in a Mouse Model. Nutrients 2015, 7, 306-320. https://doi.org/10.3390/nu7010306
Santos AM, Lopes T, Oleastro M, Gato IV, Floch P, Benejat L, Chaves P, Pereira T, Seixas E, Machado J, et al. Curcumin Inhibits Gastric Inflammation Induced by Helicobacter Pylori Infection in a Mouse Model. Nutrients. 2015; 7(1):306-320. https://doi.org/10.3390/nu7010306
Chicago/Turabian StyleSantos, António M., Teresa Lopes, Mónica Oleastro, Inês Vale Gato, Pauline Floch, Lucie Benejat, Paula Chaves, Teresa Pereira, Elsa Seixas, Jorge Machado, and et al. 2015. "Curcumin Inhibits Gastric Inflammation Induced by Helicobacter Pylori Infection in a Mouse Model" Nutrients 7, no. 1: 306-320. https://doi.org/10.3390/nu7010306
APA StyleSantos, A. M., Lopes, T., Oleastro, M., Gato, I. V., Floch, P., Benejat, L., Chaves, P., Pereira, T., Seixas, E., Machado, J., & Guerreiro, A. S. (2015). Curcumin Inhibits Gastric Inflammation Induced by Helicobacter Pylori Infection in a Mouse Model. Nutrients, 7(1), 306-320. https://doi.org/10.3390/nu7010306
