Increased Oxidative and Nitrative Stress and Decreased Sex Steroid Relaxation in a Vitamin D-Deficient Hyperandrogenic Rodent Model—And a Validation of the Polycystic Ovary Syndrome Model
Abstract
1. Introduction
2. Materials and Methods
2.1. Animals
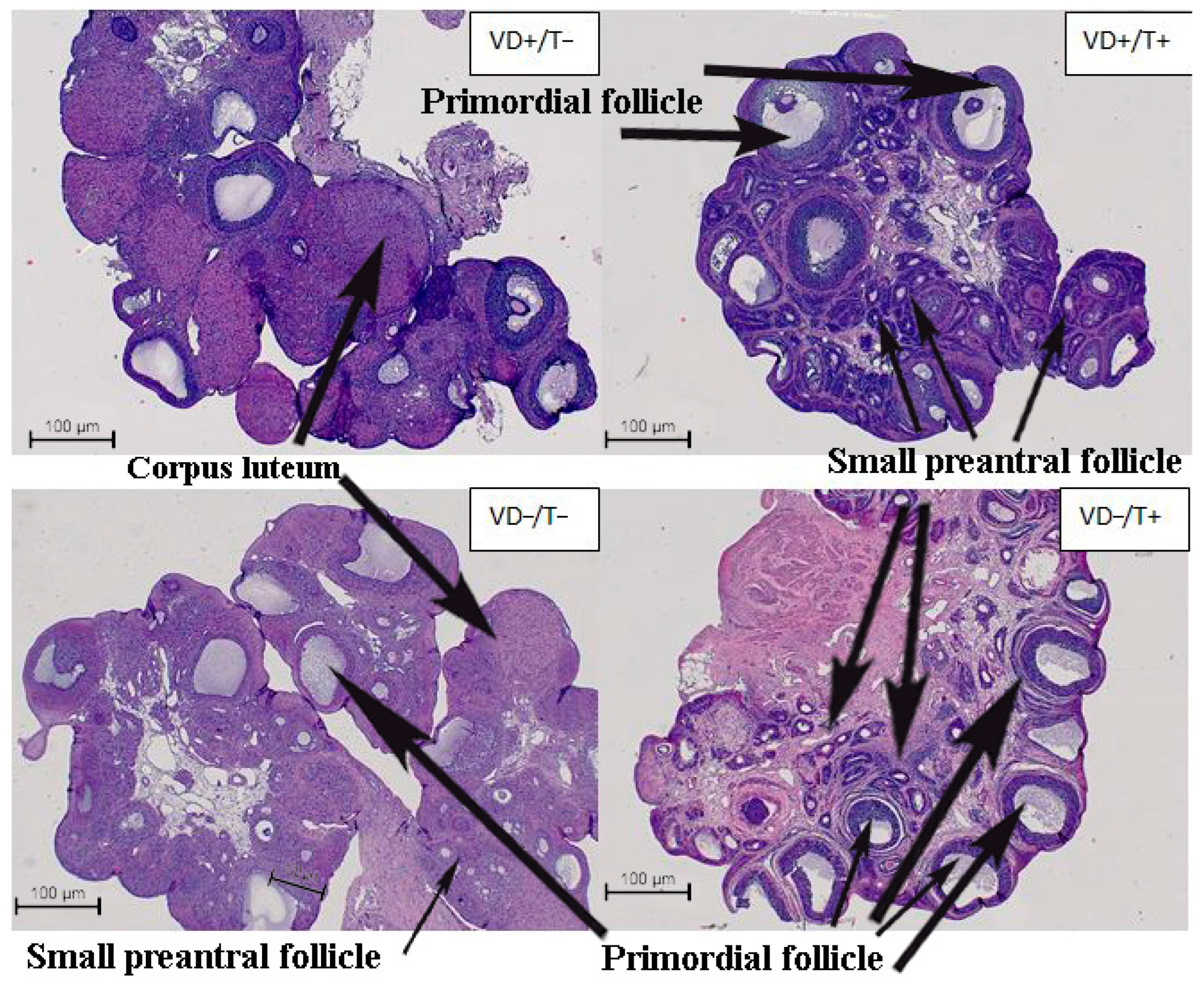
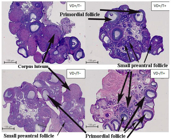
- VD+/T−: Vitamin D3-supplemented (T-naïve);
- VD+/T+: Vitamin D3-supplemented and transdermal testosterone (T)-treated;
- VD−/T−: Vitamin D3-deficient (T-naïve);
- VD−/T+: Vitamin D3-deficient and transdermal testosterone (T)-treated.
2.2. Chemicals
2.3. Chronic Treatment
2.4. Pressure Angiography of the Coronary Arterioles and Calculation
- Inner radius (Ri, μm):
- Outer radius (Ro, μm):
- Full vasoconstriction (%):
- 17-beta-estradiol-induced vasorelaxation (%):
- Testosterone-induced vasorelaxation (%)
2.5. Vaginal Smear and Estrous Cycle
2.6. Ovarian Morphology and Quantitative Histomorphometry
2.7. Immunohistochemistry of the Coronary Arterioles and Ovaries
2.8. Statistical Analysis
3. Results
3.1. Estrous Cycle Pattern and Ovary Weight
3.2. Ovarian Morphology and Quantitative Histomorphometry
3.3. Vascular Reactivity of the Coronary Arterioles
3.4. Immunohistochemical Reactivity of the Coronary Arterioles and the Ovaries
4. Discussion
5. Conclusions
Author Contributions
Funding
Institutional Review Board Statement
Informed Consent Statement
Data Availability Statement
Conflicts of Interest
List of Abbreviations
| 25-OH-D3 | 25-hydroxy-vitamin-D3 |
| Akt | Protein kinase B |
| AMH | Anti-Müllerian Hormone |
| ANOVA | Analysis of variance |
| cGMP | Cyclic Guanosine Monophosphate |
| CL | Corpus Luteum |
| DAB | Diamino-Benzidine |
| DHEA | Dehydroepiandrosterone |
| DHEA-S | Dehydroepiandrosterone-sulphate |
| DHT | Dihidro-testosterone |
| eNOS | endothelial nitric oxide synthase |
| ER | Estrogen Receptor |
| GPR30 | G-protein-coupled receptor 30 |
| HA | Hyperandrogenism |
| HDL | High-Density Lipoprotein |
| HE | Hematoxylin–eosin |
| NADPH | Nicotinamide Adenine Dinucleotide Phosphate |
| NO | Nitric Oxide |
| NOX | NADPH oxidase |
| NT | 3-nitrotyrosine |
| PAR | Poly-ADP-ribose |
| PARP | Poly-(ADP-Ribose)-polymerase |
| PCO | Polycystic ovary |
| PCOS | Polycystic Ovary Syndrome |
| PI3 Kinase | Phosphoinositide 3-kinase |
| PKG | Protein Kinase G |
| PNA | Prenatal androgen excess |
| PPA | Prepubertal androgen excess |
| RNS | Reactive Nitrogen Species |
| ROS | Reactive Oxygen Species |
| T | Testosterone |
| TXA2 | Thromboxane-A2 |
| VD−/T− | Vitamin D3-deficient and T-naïve |
| VD−/T+ | Vitamin D3-deficient and transdermal testosterone (T)-treated |
| VD | Vitamin D |
| VD+/T− | Vitamin D3-supplemented and T-naïve |
| VD+/T+ | Vitamin D3-supplemented and transdermal testosterone (T)-treated |
| VDD | Vitamin D Deficiency |
| VDR | Vitamin D Receptor |
| VMSC | Vascular smooth muscle cells |
References
- Teede, H.J.; Tay, C.T.; Laven, J.J.E.; Dokras, A.; Moran, L.J.; Piltonen, T.T.; Costello, M.F.; Boivin, J.; Redman, L.M.; Boyle, J.A.; et al. Recommendations from the 2023 International Evidence-based Guideline for the Assessment and Management of Polycystic Ovary Syndrome. J. Clin. Endocrinol. Metab. 2023, 108, 2447–2469. [Google Scholar] [CrossRef] [PubMed]
- Apridonidze, T.; Essah, P.A.; Iuorno, M.J.; Nestler, J.E. Prevalence and characteristics of the metabolic syndrome in women with polycystic ovary syndrome. J. Clin. Endocrinol. Metab. 2005, 90, 1929–1935. [Google Scholar] [CrossRef]
- Legro, R.S.; Kunselman, A.R.; Dodson, W.C.; Dunaif, A. Prevalence and predictors of risk for type 2 diabetes mellitus and impaired glucose tolerance in polycystic ovary syndrome: A prospective, controlled study in 254 affected women. J. Clin. Endocrinol. Metab. 1999, 84, 165–169. [Google Scholar] [CrossRef] [PubMed]
- Ramezani Tehrani, F.; Amiri, M.; Behboudi-Gandevani, S.; Bidhendi-Yarandi, R.; Carmina, E. Cardiovascular events among reproductive and menopausal age women with polycystic ovary syndrome: A systematic review and meta-analysis. Gynecol. Endocrinol 2020, 36, 12–23. [Google Scholar] [CrossRef]
- Berni, T.R.; Morgan, C.L.; Rees, D.A. Women With Polycystic Ovary Syndrome Have an Increased Risk of Major Cardiovascular Events: A Population Study. J. Clin. Endocrinol. Metab. 2021, 106, e3369–e3380. [Google Scholar] [CrossRef]
- Zhang, J.; Xu, J.H.; Qu, Q.Q.; Zhong, G.Q. Risk of Cardiovascular and Cerebrovascular Events in Polycystic Ovarian Syndrome Women: A Meta-Analysis of Cohort Studies. Front. Cardiovasc. Med. 2020, 7, 552421. [Google Scholar] [CrossRef]
- Kakoly, N.S.; Moran, L.J.; Teede, H.J.; Joham, A.E. Cardiometabolic risks in PCOS: A review of the current state of knowledge. Expert. Rev. Endocrinol. Metab. 2019, 14, 23–33. [Google Scholar] [CrossRef] [PubMed]
- He, C.; Lin, Z.; Robb, S.W.; Ezeamama, A.E. Serum Vitamin D Levels and Polycystic Ovary syndrome: A Systematic Review and Meta-Analysis. Nutrients 2015, 7, 4555–4577. [Google Scholar] [CrossRef]
- Thomson, R.L.; Spedding, S.; Buckley, J.D. Vitamin D in the aetiology and management of polycystic ovary syndrome. Clin. Endocrinol. 2012, 77, 343–350. [Google Scholar] [CrossRef] [PubMed]
- Wehr, E.; Pilz, S.; Schweighofer, N.; Giuliani, A.; Kopera, D.; Pieber, T.R.; Obermayer-Pietsch, B. Association of hypovitaminosis D with metabolic disturbances in polycystic ovary syndrome. Eur. J. Endocrinol. 2009, 161, 575–582. [Google Scholar] [CrossRef] [PubMed]
- Izzo, M.; Carrizzo, A.; Izzo, C.; Cappello, E.; Cecere, D.; Ciccarelli, M.; Iannece, P.; Damato, A.; Vecchione, C.; Pompeo, F. Vitamin D: Not Just Bone Metabolism but a Key Player in Cardiovascular Diseases. Life 2021, 11, 452. [Google Scholar] [CrossRef]
- Gholami, F.; Moradi, G.; Zareei, B.; Rasouli, M.A.; Nikkhoo, B.; Roshani, D.; Ghaderi, E. The association between circulating 25-hydroxyvitamin D and cardiovascular diseases: A meta-analysis of prospective cohort studies. BMC Cardiovasc. Disord. 2019, 19, 248. [Google Scholar] [CrossRef] [PubMed]
- Kienreich, K.; Tomaschitz, A.; Verheyen, N.; Pieber, T.; Gaksch, M.; Grübler, M.R.; Pilz, S. Vitamin D and cardiovascular disease. Nutrients 2013, 5, 3005–3021. [Google Scholar] [CrossRef]
- Lee, J.H.; O’Keefe, J.H.; Bell, D.; Hensrud, D.D.; Holick, M.F. Vitamin D deficiency an important, common, and easily treatable cardiovascular risk factor? J. Am. Coll. Cardiol. 2008, 52, 1949–1956. [Google Scholar] [CrossRef] [PubMed]
- National Research Council (US) Committee for the Update of the Guide for the Care and Use of Laboratory Animals. The National Academies Collection: Reports funded by National Institutes of Health. In Guide for the Care and Use of Laboratory Animals; National Academies Press: Washington, DC, USA, 2011. [Google Scholar]
- Hadjadj, L.; Várbíró, S.; Horváth, E.M.; Monori-Kiss, A.; Pál, É.; Karvaly, G.B.; Heinzlmann, A.; Magyar, A.; Szabó, I.; Sziva, R.E.; et al. Insulin resistance in an animal model of polycystic ovary disease is aggravated by vitamin D deficiency: Vascular consequences. Diabetes Vasc. Dis. Res. 2018, 15, 294–301. [Google Scholar] [CrossRef]
- Nadasy, G.L.; Szekeres, M.; Dezsi, L.; Varbiro, S.; Szekacs, B.; Monos, E. Preparation of intramural small coronary artery and arteriole segments and resistance artery networks from the rat heart for microarteriography and for in situ perfusion video mapping. Microvasc. Res. 2001, 61, 282–286. [Google Scholar] [CrossRef] [PubMed]
- Ajayi, A.F.; Akhigbe, R.E. Staging of the estrous cycle and induction of estrus in experimental rodents: An update. Fertil. Res. Pr. 2020, 6, 5. [Google Scholar] [CrossRef]
- Cora, M.C.; Kooistra, L.; Travlos, G. Vaginal Cytology of the Laboratory Rat and Mouse: Review and Criteria for the Staging of the Estrous Cycle Using Stained Vaginal Smears. Toxicol. Pathol. 2015, 43, 776–793. [Google Scholar] [CrossRef] [PubMed]
- Marcondes, F.K.; Bianchi, F.J.; Tanno, A.P. Determination of the estrous cycle phases of rats: Some helpful considerations. Braz. J. Biol. 2002, 62, 609–614. [Google Scholar] [CrossRef]
- Masszi, G.; Horvath, E.M.; Tarszabo, R.; Benko, R.; Novak, A.; Buday, A.; Tokes, A.M.; Nadasy, G.L.; Hamar, P.; Benyó, Z.; et al. Reduced estradiol-induced vasodilation and poly-(ADP-ribose) polymerase (PARP) activity in the aortas of rats with experimental polycystic ovary syndrome (PCOS). PLoS ONE 2013, 8, e55589. [Google Scholar] [CrossRef]
- Horváth, E.M.; Benko, R.; Kiss, L.; Murányi, M.; Pék, T.; Fekete, K.; Bárány, T.; Somlai, A.; Csordás, A.; Szabo, C. Rapid ‘glycaemic swings’ induce nitrosative stress, activate poly(ADP-ribose) polymerase and impair endothelial function in a rat model of diabetes mellitus. Diabetologia 2009, 52, 952–961. [Google Scholar] [CrossRef] [PubMed]
- Horvath, E.M.; Zsengellér, Z.K.; Szabo, C. Quantification of PARP activity in human tissues: Ex vivo assays in blood cells and immunohistochemistry in human biopsies. Methods Mol. Biol. 2011, 780, 267–275. [Google Scholar] [CrossRef] [PubMed]
- Lajtai, K.; Tarszabó, R.; Bányai, B.; Péterffy, B.; Gerszi, D.; Ruisanchez, É.; Sziva, R.E.; Korsós-Novák, Á.; Benkő, R.; Hadjadj, L.; et al. Effect of Vitamin D Status on Vascular Function of the Aorta in a Rat Model of PCOS. Oxid. Med. Cell Longev. 2021, 2021, 8865979. [Google Scholar] [CrossRef] [PubMed]
- Hadjadj, L.; Monori-Kiss, A.; Horváth, E.M.; Heinzlmann, A.; Magyar, A.; Sziva, R.E.; Miklós, Z.; Pál, É.; Gál, J.; Szabó, I.; et al. Geometric, elastic and contractile-relaxation changes in coronary arterioles induced by Vitamin D deficiency in normal and hyperandrogenic female rats. Microvasc Res. 2019, 122, 78–84. [Google Scholar] [CrossRef]
- Mannerås, L.; Cajander, S.; Holmäng, A.; Seleskovic, Z.; Lystig, T.; Lönn, M.; Stener-Victorin, E. A new rat model exhibiting both ovarian and metabolic characteristics of polycystic ovary syndrome. Endocrinology 2007, 148, 3781–3791. [Google Scholar] [CrossRef] [PubMed]
- Astapova, O.; Minor, B.M.N.; Hammes, S.R. Physiological and Pathological Androgen Actions in the Ovary. Endocrinology 2019, 160, 1166–1174. [Google Scholar] [CrossRef]
- Sara, L.; Antal, P.; Masszi, G.; Buday, A.; Horvath, E.M.; Hamar, P.; Monos, E.; Nadasy, G.L.; Varbiro, S. Arteriolar insulin resistance in a rat model of polycystic ovary syndrome. Fertil. Steril. 2012, 97, 462–468. [Google Scholar] [CrossRef] [PubMed]
- van Houten, E.L.; Kramer, P.; McLuskey, A.; Karels, B.; Themmen, A.P.; Visser, J.A. Reproductive and metabolic phenotype of a mouse model of PCOS. Endocrinology 2012, 153, 2861–2869. [Google Scholar] [CrossRef]
- Sucquart, I.E.; Coyle, C.; Rodriguez Paris, V.; Prescott, M.; Glendining, K.A.; Potapov, K.; Begg, D.P.; Gilchrist, R.B.; Walters, K.A.; Campbell, R.E. Investigating GABA Neuron-Specific Androgen Receptor Knockout in two Hyperandrogenic Models of PCOS. Endocrinology 2024, 165, bqae060. [Google Scholar] [CrossRef] [PubMed]
- Bakhshalizadeh, S.; Amidi, F.; Alleyassin, A.; Soleimani, M.; Shirazi, R.; Shabani Nashtaei, M. Modulation of steroidogenesis by vitamin D3 in granulosa cells of the mouse model of polycystic ovarian syndrome. Syst. Biol. Reprod. Med. 2017, 63, 150–161. [Google Scholar] [CrossRef]
- Palomba, S.; Piltonen, T.T.; Giudice, L.C. Endometrial function in women with polycystic ovary syndrome: A comprehensive review. Hum. Reprod. Update 2021, 27, 584–618. [Google Scholar] [CrossRef] [PubMed]
- Schröder-Heurich, B.; Springer, C.J.; von Versen-Höynck, F. Vitamin D Effects on the Immune System from Periconception through Pregnancy. Nutrients 2020, 12, 1432. [Google Scholar] [CrossRef]
- Halloran, B.P.; DeLuca, H.F. Effect of vitamin D deficiency on fertility and reproductive capacity in the female rat. J. Nutr. 1980, 110, 1573–1580. [Google Scholar] [CrossRef] [PubMed]
- Kwiecinksi, G.G.; Petrie, G.I.; DeLuca, H.F. 1,25-Dihydroxyvitamin D3 restores fertility of vitamin D-deficient female rats. Am. J. Physiol. 1989, 256, E483–E487. [Google Scholar] [CrossRef]
- Ozkan, S.; Jindal, S.; Greenseid, K.; Shu, J.; Zeitlian, G.; Hickmon, C.; Pal, L. Replete vitamin D stores predict reproductive success following in vitro fertilization. Fertil. Steril. 2010, 94, 1314–1319. [Google Scholar] [CrossRef] [PubMed]
- Kinuta, K.; Tanaka, H.; Moriwake, T.; Aya, K.; Kato, S.; Seino, Y. Vitamin D is an important factor in estrogen biosynthesis of both female and male gonads. Endocrinology 2000, 141, 1317–1324. [Google Scholar] [CrossRef] [PubMed]
- Dicken, C.L.; Israel, D.D.; Davis, J.B.; Sun, Y.; Shu, J.; Hardin, J.; Neal-Perry, G. Peripubertal vitamin D(3) deficiency delays puberty and disrupts the estrous cycle in adult female mice. Biol. Reprod. 2012, 87, 51. [Google Scholar] [CrossRef] [PubMed]
- Berry, S.; Seidler, K.; Neil, J. Vitamin D deficiency and female infertility: A mechanism review examining the role of vitamin D in ovulatory dysfunction as a symptom of polycystic ovary syndrome. J. Reprod. Immunol. 2022, 151, 103633. [Google Scholar] [CrossRef] [PubMed]
- Yildizhan, R.; Kurdoglu, M.; Adali, E.; Kolusari, A.; Yildizhan, B.; Sahin, H.G.; Kamaci, M. Serum 25-hydroxyvitamin D concentrations in obese and non-obese women with polycystic ovary syndrome. Arch. Gynecol. Obstet. 2009, 280, 559–563. [Google Scholar] [CrossRef] [PubMed]
- Parikh, G.; Varadinova, M.; Suwandhi, P.; Araki, T.; Rosenwaks, Z.; Poretsky, L.; Seto-Young, D. Vitamin D regulates steroidogenesis and insulin-like growth factor binding protein-1 (IGFBP-1) production in human ovarian cells. Horm. Metab. Res. 2010, 42, 754–757. [Google Scholar] [CrossRef]
- Chang, E.M.; Kim, Y.S.; Won, H.J.; Yoon, T.K.; Lee, W.S. Association Between Sex Steroids, Ovarian Reserve, and Vitamin D Levels in Healthy Nonobese Women. J. Clin. Endocrinol. Metab. 2014, 99, 2526–2532. [Google Scholar] [CrossRef] [PubMed]
- Hong, S.-H.; Lee, J.-E.; An, S.-M.; Shin, Y.Y.; Hwang, D.Y.; Yang, S.Y.; Cho, S.-K.; An, B.-S. Effect of Vitamin D3 on Biosynthesis of Estrogen in Porcine Granulosa Cells via Modulation of Steroidogenic Enzymes. Toxicol. Res. 2017, 33, 49–54. [Google Scholar] [CrossRef]
- Azadi-Yazdi, M.; Nadjarzadeh, A.; Khosravi-Boroujeni, H.; Salehi-Abargouei, A. The Effect of Vitamin D Supplementation on the Androgenic Profile in Patients with Polycystic Ovary Syndrome: A Systematic Review and Meta-Analysis of Clinical Trials. Horm. Metab. Res. 2017, 49, 174–179. [Google Scholar] [CrossRef] [PubMed]
- Karadağ, C.; Yoldemir, T.; Yavuz, D.G. Effects of vitamin D supplementation on insulin sensitivity and androgen levels in vitamin-D-deficient polycystic ovary syndrome patients. J. Obs. Gynaecol. Res. 2018, 44, 270–277. [Google Scholar] [CrossRef] [PubMed]
- Wehr, E.; Pieber, T.R.; Obermayer-Pietsch, B. Effect of vitamin D3 treatment on glucose metabolism and menstrual frequency in polycystic ovary syndrome women: A pilot study. J. Endocrinol. Investig. 2011, 34, 757–763. [Google Scholar] [CrossRef]
- Selimoglu, H.; Duran, C.; Kiyici, S.; Ersoy, C.; Guclu, M.; Ozkaya, G.; Tuncel, E.; Erturk, E.; Imamoglu, S. The effect of vitamin D replacement therapy on insulin resistance and androgen levels in women with polycystic ovary syndrome. J. Endocrinol. Investig. 2010, 33, 234–238. [Google Scholar] [CrossRef]
- Mosca, L.; Benjamin, E.J.; Berra, K.; Bezanson, J.L.; Dolor, R.J.; Lloyd-Jones, D.M.; Newby, L.K.; Pina, I.L.; Roger, V.L.; Shaw, L.J.; et al. Effectiveness-based guidelines for the prevention of cardiovascular disease in women--2011 update: A guideline from the American Heart Association. J. Am. Coll. Cardiol. 2011, 57, 1404–1423. [Google Scholar] [CrossRef] [PubMed]
- Zittermann, A. Vitamin D and disease prevention with special reference to cardiovascular disease. Prog. Biophys. Mol. Biol. 2006, 92, 39–48. [Google Scholar] [CrossRef] [PubMed]
- Sader, M.A.; Celermajer, D.S. Endothelial function, vascular reactivity and gender differences in the cardiovascular system. Cardiovasc. Res. 2002, 53, 597–604. [Google Scholar] [CrossRef] [PubMed]
- Hayashi, T.; Yamada, K.; Esaki, T.; Kuzuya, M.; Satake, S.; Ishikawa, T.; Hidaka, H.; Iguchi, A. Estrogen Increases Endothelial Nitric Oxide by a Receptor Mediated System. Biochem. Biophys. Res. Commun. 1995, 214, 847–855. [Google Scholar] [CrossRef]
- Subbiah, M.T.; Kessel, B.; Agrawal, M.; Rajan, R.; Abplanalp, W.; Rymaszewski, Z. Antioxidant potential of specific estrogens on lipid peroxidation. J. Clin. Endocrinol. Metab. 1993, 77, 1095–1097. [Google Scholar] [CrossRef]
- Wellman, G.C.; Bonev, A.D.; Nelson, M.T.; Brayden, J.E. Gender differences in coronary artery diameter involve estrogen, nitric oxide, and Ca(2+)-dependent K+ channels. Circ. Res. 1996, 79, 1024–1030. [Google Scholar] [CrossRef] [PubMed]
- Venkov, C.D.; Rankin, A.B.; Vaughan, D.E. Identification of authentic estrogen receptor in cultured endothelial cells. A potential mechanism for steroid hormone regulation of endothelial function. Circulation 1996, 94, 727–733. [Google Scholar] [CrossRef] [PubMed]
- Prossnitz, E.R.; Arterburn, J.B.; Sklar, L.A. GPR30: A G protein-coupled receptor for estrogen. Mol. Cell. Endocrinol. 2007, 265–266, 138–142. [Google Scholar] [CrossRef] [PubMed]
- Chambliss, K.L.; Shaul, P.W. Estrogen Modulation of Endothelial Nitric Oxide Synthase. Endocr. Rev. 2002, 23, 665–686. [Google Scholar] [CrossRef]
- Otter, D.; Austin, C. Effects of 17beta-oestradiol on rat isolated coronary and mesenteric artery tone: Involvement of nitric oxide. J. Pharm. Pharmacol. 1998, 50, 531–538. [Google Scholar] [CrossRef] [PubMed]
- Tarszabó, R.; Bányai, B.; Ruisanchez, É.; Péterffy, B.; Korsós-Novák, Á.; Lajtai, K.; Sziva, R.E.; Gerszi, D.; Hosszú, Á.; Benkő, R.; et al. Influence of Vitamin D on the Vasoactive Effect of Estradiol in a Rat Model of Polycystic Ovary Syndrome. Int. J. Mol. Sci. 2021, 22, 9404. [Google Scholar] [CrossRef] [PubMed]
- Kim, D.H.; Meza, C.A.; Clarke, H.; Kim, J.S.; Hickner, R.C. Vitamin D and Endothelial Function. Nutrients 2020, 12, 575. [Google Scholar] [CrossRef] [PubMed]
- Araujo, A.B.; Dixon, J.M.; Suarez, E.A.; Murad, M.H.; Guey, L.T.; Wittert, G.A. Clinical review: Endogenous testosterone and mortality in men: A systematic review and meta-analysis. J. Clin. Endocrinol. Metab. 2011, 96, 3007–3019. [Google Scholar] [CrossRef]
- Finkle, W.D.; Greenland, S.; Ridgeway, G.K.; Adams, J.L.; Frasco, M.A.; Cook, M.B.; Fraumeni, J.F., Jr.; Hoover, R.N. Increased risk of non-fatal myocardial infarction following testosterone therapy prescription in men. PLoS ONE 2014, 9, e85805. [Google Scholar] [CrossRef]
- Barone, B.; Napolitano, L.; Abate, M.; Cirillo, L.; Reccia, P.; Passaro, F.; Turco, C.; Morra, S.; Mastrangelo, F.; Scarpato, A.; et al. The Role of Testosterone in the Elderly: What Do We Know? Int. J. Mol. Sci. 2022, 23, 3535. [Google Scholar] [CrossRef]
- Corona, G.; Rastrelli, G.; Monami, M.; Guay, A.; Buvat, J.; Sforza, A.; Forti, G.; Mannucci, E.; Maggi, M. Hypogonadism as a risk factor for cardiovascular mortality in men: A meta-analytic study. Eur. J. Endocrinol. 2011, 165, 687–701. [Google Scholar] [CrossRef] [PubMed]
- Kloner, R.A.; Carson, C.; Dobs, A.; Kopecky, S.; Mohler, E.R. Testosterone and Cardiovascular Disease. J. Am. Coll. Cardiol. 2016, 67, 545–557. [Google Scholar] [CrossRef] [PubMed]
- Cooper, B.C.; Gokina, N.I.; Osol, G. Testosterone replacement increases vasodilatory reserve in androgen-deficient female rats. Fertil. Steril. 2007, 87, 422–425. [Google Scholar] [CrossRef]
- Chou, T.M.; Sudhir, K.; Hutchison, S.J.; Ko, E.; Amidon, T.M.; Collins, P.; Chatterjee, K. Testosterone induces dilation of canine coronary conductance and resistance arteries in vivo. Circulation 1996, 94, 2614–2619. [Google Scholar] [CrossRef] [PubMed]
- Deenadayalu, V.P.; White, R.E.; Stallone, J.N.; Gao, X.; Garcia, A.J. Testosterone relaxes coronary arteries by opening the large-conductance, calcium-activated potassium channel. Am. J. Physiol. Heart Circ. Physiol. 2001, 281, H1720–H1727. [Google Scholar] [CrossRef]
- English, K.M.; Jones, R.D.; Jones, T.H.; Morice, A.H.; Channer, K.S. Testosterone acts as a coronary vasodilator by a calcium antagonistic action. J. Endocrinol. Investig. 2002, 25, 455–458. [Google Scholar] [CrossRef] [PubMed]
- Yue, P.; Chatterjee, K.; Beale, C.; Poole-Wilson, P.A.; Collins, P. Testosterone relaxes rabbit coronary arteries and aorta. Circulation 1995, 91, 1154–1160. [Google Scholar] [CrossRef]
- Deenadayalu, V.; Puttabyatappa, Y.; Liu, A.T.; Stallone, J.N.; White, R.E. Testosterone-induced relaxation of coronary arteries: Activation of BKCa channels via the cGMP-dependent protein kinase. Am. J. Physiol. Heart Circ. Physiol. 2012, 302, H115–H123. [Google Scholar] [CrossRef] [PubMed]
- Yu, J.; Akishita, M.; Eto, M.; Ogawa, S.; Son, B.K.; Kato, S.; Ouchi, Y.; Okabe, T. Androgen receptor-dependent activation of endothelial nitric oxide synthase in vascular endothelial cells: Role of phosphatidylinositol 3-kinase/akt pathway. Endocrinology 2010, 151, 1822–1828. [Google Scholar] [CrossRef] [PubMed]
- Haynes, M.P.; Sinha, D.; Russell, K.S.; Collinge, M.; Fulton, D.; Morales-Ruiz, M.; Sessa, W.C.; Bender, J.R. Membrane estrogen receptor engagement activates endothelial nitric oxide synthase via the PI3-kinase-Akt pathway in human endothelial cells. Circ. Res. 2000, 87, 677–682. [Google Scholar] [CrossRef] [PubMed]
- Pisoschi, A.M.; Pop, A. The role of antioxidants in the chemistry of oxidative stress: A review. Eur. J. Med. Chem. 2015, 97, 55–74. [Google Scholar] [CrossRef]
- Phaniendra, A.; Jestadi, D.B.; Periyasamy, L. Free radicals: Properties, sources, targets, and their implication in various diseases. Indian J. Clin. Biochem. 2015, 30, 11–26. [Google Scholar] [CrossRef]
- Renke, G.; Starling-Soares, B.; Baesso, T.; Petronio, R.; Aguiar, D.; Paes, R. Effects of Vitamin D on Cardiovascular Risk and Oxidative Stress. Nutrients 2023, 15, 769. [Google Scholar] [CrossRef] [PubMed]
- Zeber-Lubecka, N.; Ciebiera, M.; Hennig, E.E. Polycystic Ovary Syndrome and Oxidative Stress-From Bench to Bedside. Int. J. Mol. Sci. 2023, 24, 14126. [Google Scholar] [CrossRef] [PubMed]
- Chignalia, A.Z.; Oliveira, M.A.; Debbas, V.; Dull, R.O.; Laurindo, F.R.; Touyz, R.M.; Carvalho, M.H.; Fortes, Z.B.; Tostes, R.C. Testosterone induces leucocyte migration by NADPH oxidase-driven ROS- and COX2-dependent mechanisms. Clin. Sci. 2015, 129, 39–48. [Google Scholar] [CrossRef] [PubMed]
- Andrés, V. Vitamin D puts the brakes on angiotensin II-induced oxidative stress and vascular smooth muscle cell senescence. Atherosclerosis 2014, 236, 444–447. [Google Scholar] [CrossRef]
- Chignalia, A.Z.; Schuldt, E.Z.; Camargo, L.L.; Montezano, A.C.; Callera, G.E.; Laurindo, F.R.; Lopes, L.R.; Avellar, M.C.; Carvalho, M.H.; Fortes, Z.B.; et al. Testosterone induces vascular smooth muscle cell migration by NADPH oxidase and c-Src-dependent pathways. Hypertension 2012, 59, 1263–1271. [Google Scholar] [CrossRef] [PubMed]





| VD+/T− | VD+/T+ | VD−/T− | VD−/T+ | |
| Mean number of estrous cycles (6–8th week of treatment) 1 | 3.63 ± 0.15 | 0.91 ± 0.21 * | 2.00 ± 0.23 *,† | 0.36 ± 0.20 *,‡ |
| Final mean ovarian weight (grams) 1 | 0.25 ± 0.09 | 0.06 ± 0.01 * | 0.07 ± 0.01 * | 0.068 ± 0.02 * |
| Mean number of follicles (pieces) 2 | 13.66 ± 1.72 | 58.50 ± 1.94 * | 35.01 ± 2.68 *,† | 71.33 ± 5.76 *,‡,† |
| Follicle area/total ovarian area ratio × 100 (%) 2 | 19.27 ± 1.29 | 43.99 ± 1.17 * | 29.02 ± 4.49 *,† | 38.29 ± 2.56 * |
| Mean number of corpora lutea (pieces) 2 | 12.67 ± 1.85 | 0.83 ± 0.40 * | 5.16 ± 1.22 *,† | 1.16 ± 0.40 *,‡ |
| Corpus luteum area/total ovarian area ratio × 100 (%) 2 | 48.12 ± 3.19 | 0.68 ± 0.26 * | 11.56 ± 3.26 *,† | 0.82 ± 0.27 *,‡ |
Disclaimer/Publisher’s Note: The statements, opinions and data contained in all publications are solely those of the individual author(s) and contributor(s) and not of MDPI and/or the editor(s). MDPI and/or the editor(s) disclaim responsibility for any injury to people or property resulting from any ideas, methods, instructions or products referred to in the content. |
© 2025 by the authors. Licensee MDPI, Basel, Switzerland. This article is an open access article distributed under the terms and conditions of the Creative Commons Attribution (CC BY) license (https://creativecommons.org/licenses/by/4.0/).
Share and Cite
Sziva, R.E.; Kollarics, R.; Pál, É.; Bányai, B.; Korsós-Novák, Á.; Fontányi, Z.; Magyar, P.; Süli, A.; Nádasy, G.L.; Ács, N.; et al. Increased Oxidative and Nitrative Stress and Decreased Sex Steroid Relaxation in a Vitamin D-Deficient Hyperandrogenic Rodent Model—And a Validation of the Polycystic Ovary Syndrome Model. Nutrients 2025, 17, 201. https://doi.org/10.3390/nu17020201
Sziva RE, Kollarics R, Pál É, Bányai B, Korsós-Novák Á, Fontányi Z, Magyar P, Süli A, Nádasy GL, Ács N, et al. Increased Oxidative and Nitrative Stress and Decreased Sex Steroid Relaxation in a Vitamin D-Deficient Hyperandrogenic Rodent Model—And a Validation of the Polycystic Ovary Syndrome Model. Nutrients. 2025; 17(2):201. https://doi.org/10.3390/nu17020201
Chicago/Turabian StyleSziva, Réka Eszter, Réka Kollarics, Éva Pál, Bálint Bányai, Ágnes Korsós-Novák, Zoltán Fontányi, Péter Magyar, Anita Süli, György L. Nádasy, Nándor Ács, and et al. 2025. "Increased Oxidative and Nitrative Stress and Decreased Sex Steroid Relaxation in a Vitamin D-Deficient Hyperandrogenic Rodent Model—And a Validation of the Polycystic Ovary Syndrome Model" Nutrients 17, no. 2: 201. https://doi.org/10.3390/nu17020201
APA StyleSziva, R. E., Kollarics, R., Pál, É., Bányai, B., Korsós-Novák, Á., Fontányi, Z., Magyar, P., Süli, A., Nádasy, G. L., Ács, N., Horváth, E. M., Hadjadj, L., & Várbíró, S. (2025). Increased Oxidative and Nitrative Stress and Decreased Sex Steroid Relaxation in a Vitamin D-Deficient Hyperandrogenic Rodent Model—And a Validation of the Polycystic Ovary Syndrome Model. Nutrients, 17(2), 201. https://doi.org/10.3390/nu17020201

