Biomedical Indicators of Patients with Non-Puerperal Mastitis: A Retrospective Study
Abstract
1. Introduction
2. Materials and Methods
2.1. Patients and Data Collection
2.2. Pathological Diagnosis
2.3. Statistical Analysis
3. Results
3.1. Baseline Characteristics and Biomedical Indicators of NPM and Benign Breast Mass Patients
3.2. Baseline Characteristics, Clinical and Ultrasound Features, and Treatment of Non-Puerperal Mastitis Patients
3.3. Univariate and Multivariate Logistic Analysis for Risks between Non-Puerperal Mastitis and Benign Breast Mass
3.4. Biomedical Indicators of MDE and GLM Patients
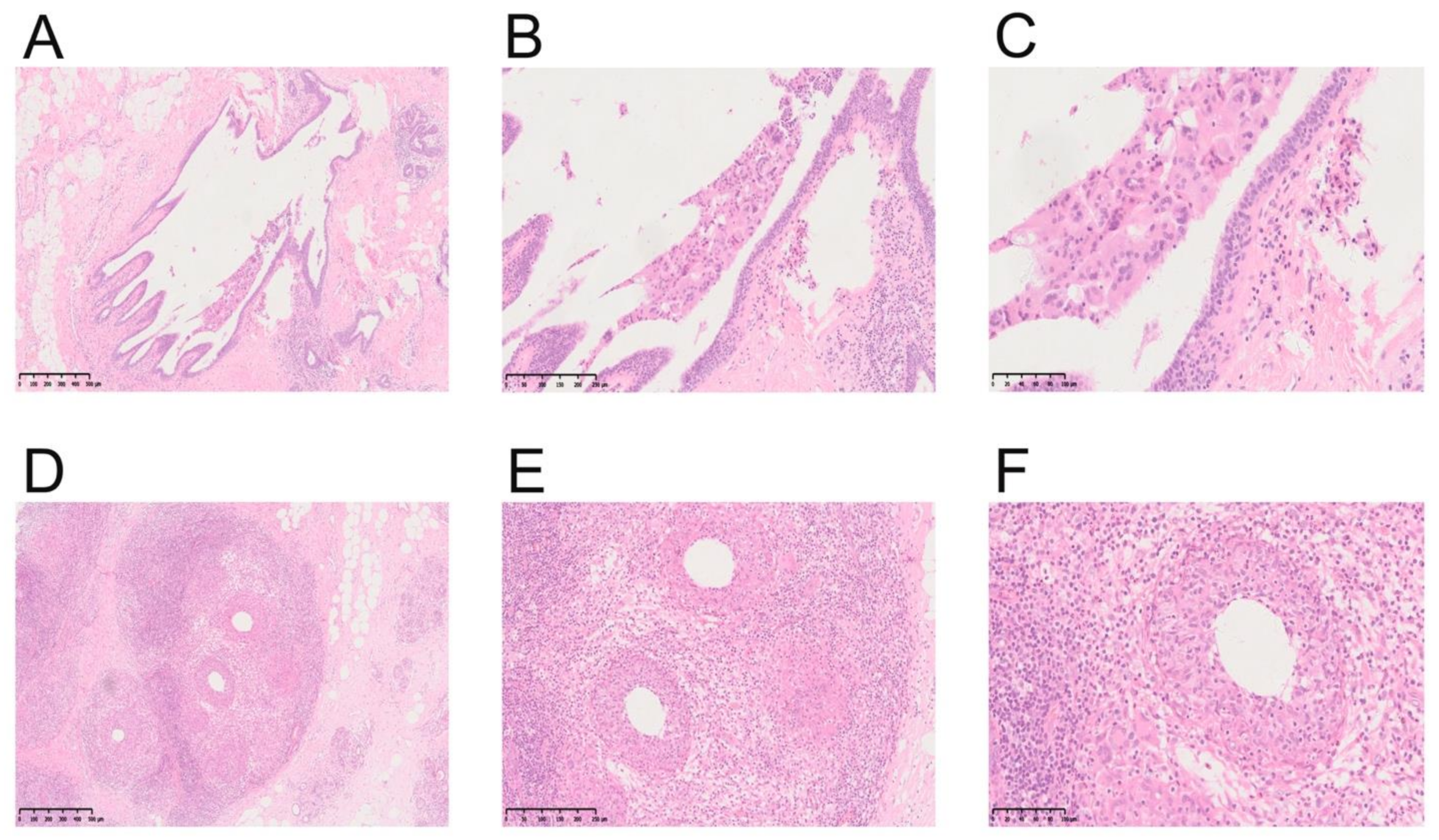
3.5. Pathological Characteristics of Non-Puerperal Mastitis
4. Discussions
5. Conclusions
Supplementary Materials
Author Contributions
Funding
Institutional Review Board Statement
Informed Consent Statement
Data Availability Statement
Acknowledgments
Conflicts of Interest
References
- An, J.K.; Woo, J.J.; Lee, S.A. Non-puerperal mastitis masking pre-existing breast malignancy: Importance of follow-up imaging. Ultrasonography 2016, 35, 159–163. [Google Scholar] [CrossRef] [PubMed]
- Nair, C.G.; Jacob, P.; Menon, R.R. Inflammatory diseases of the non-lactating female breasts. Int. J. Surg. 2015, 13, 8–11. [Google Scholar] [CrossRef] [PubMed]
- Tan, H.; Li, R.; Peng, W.; Liu, H.; Gu, Y.; Shen, X. Radiological and clinical features of adult non-puerperal mastitis. Br. J. Radiol. 2013, 86, 20120657. [Google Scholar] [CrossRef]
- Zuska, J.J.; Crile, G., Jr.; Ayres, W.W. Fistulas of lactifierous ducts. Am. J. Surg. 1951, 81, 312–317. [Google Scholar] [CrossRef]
- Boakes, E.; Woods, A.; Johnson, N.; Kadoglou, N. Breast Infection: A Review of Diagnosis and Management Practices. Eur. J. Breast Health 2018, 14, 136–143. [Google Scholar] [CrossRef] [PubMed]
- Kasales, C.J.; Han, B.; Smith, J.S., Jr.; Chetlen, A.L.; Kaneda, H.J.; Shereef, S. Nonpuerperal mastitis and subareolar abscess of the breast. AJR Am. J. Roentgenol. 2014, 202, W133–W139. [Google Scholar] [CrossRef] [PubMed]
- Leong, P.W.; Chotai, N.C.; Kulkarni, S. Imaging Features of Inflammatory Breast Disorders: A Pictorial Essay. Korean J. Radiol. 2018, 19, 5–14. [Google Scholar] [CrossRef]
- Liu, L.; Zhou, F.; Wang, P.; Yu, L.; Ma, Z.; Li, Y.; Gao, D.; Zhang, Q.; Li, L.; Yu, Z. Periductal Mastitis: An Inflammatory Disease Related to Bacterial Infection and Consequent Immune Responses? Mediat. Inflamm. 2017, 2017, 5309081. [Google Scholar] [CrossRef]
- Zhang, Y.; Zhou, Y.; Mao, F.; Guan, J.; Sun, Q. Clinical characteristics, classification and surgical treatment of periductal mastitis. J. Thorac. Dis. 2018, 10, 2420–2427. [Google Scholar] [CrossRef]
- Gollapalli, V.; Liao, J.; Dudakovic, A.; Sugg, S.L.; Scott-Conner, C.E.; Weigel, R.J. Risk factors for development and recurrence of primary breast abscesses. J. Am. Coll. Surg. 2010, 211, 41–48. [Google Scholar] [CrossRef]
- Liu, Y.; Zhang, J.; Zhou, Y.H.; Jiang, Y.N.; Zhang, W.; Tang, X.J.; Ren, Y.; Han, S.P.; Liu, P.J.; Xu, J.; et al. IL-6/STAT3 signaling pathway is activated in plasma cell mastitis. Int. J. Clin. Exp. Pathol. 2015, 8, 12541–12548. [Google Scholar] [PubMed]
- Calis, H.; Kilitci, A. Granulomatous Mastitis Concurrence with Breast Cancer. Eur. J. Breast Health 2018, 14, 58–60. [Google Scholar] [CrossRef] [PubMed]
- Mahmodlou, R.; Dadkhah, N.; Abbasi, F.; Nasiri, J.; Valizadeh, R. Idiopathic granulomatous mastitis: Dilemmas in diagnosis and treatment. Electron. Physician 2017, 9, 5375–5379. [Google Scholar] [CrossRef] [PubMed]
- Altintoprak, F.; Kivilcim, T.; Ozkan, O.V. Aetiology of idiopathic granulomatous mastitis. World J. Clin. Cases 2014, 2, 852–858. [Google Scholar] [CrossRef]
- Co, M.; Cheng, V.C.C.; Wei, J.; Wong, S.C.Y.; Chan, S.M.S.; Shek, T.; Kwong, A. Idiopathic granulomatous mastitis: A 10-year study from a multicentre clinical database. Pathology 2018, 50, 742–747. [Google Scholar] [CrossRef]
- Fazzio, R.T.; Shah, S.S.; Sandhu, N.P.; Glazebrook, K.N. Idiopathic granulomatous mastitis: Imaging update and review. Insights Imaging 2016, 7, 531–539. [Google Scholar] [CrossRef]
- Gurleyik, G.; Aktekin, A.; Aker, F.; Karagulle, H.; Saglamc, A. Medical and surgical treatment of idiopathic granulomatous lobular mastitis: A benign inflammatory disease mimicking invasive carcinoma. J. Breast Cancer 2012, 15, 119–123. [Google Scholar] [CrossRef]
- Kok, K.Y.; Telisinghe, P.U. Granulomatous mastitis: Presentation, treatment and outcome in 43 patients. Surgeon 2010, 8, 197–201. [Google Scholar] [CrossRef]
- Zhang, L.; Hu, J.; Guys, N.; Meng, J.; Chu, J.; Zhang, W.; Liu, A.; Wang, S.; Song, Q. Diffusion-weighted imaging in relation to morphology on dynamic contrast enhancement MRI: The diagnostic value of characterizing non-puerperal mastitis. Eur. Radiol. 2018, 28, 992–999. [Google Scholar] [CrossRef]
- Yanai, A.; Hirabayashi, S.; Ueda, K.; Okabe, K. Treatment of recurrent subareolar abscess. Ann. Plast. Surg. 1987, 18, 314–318. [Google Scholar] [CrossRef]
- Langsted, A.; Kamstrup, P.R.; Nordestgaard, B.G. High lipoprotein(a) and high risk of mortality. Eur. Heart J. 2019, 40, 2760–2770. [Google Scholar] [CrossRef] [PubMed]
- Klingel, R.; Heibges, A.; Fassbender, C. Lipoprotein(a) and mortality-a high risk relationship. Clin. Res. Cardiol. Suppl. 2019, 14, 13–19. [Google Scholar] [CrossRef] [PubMed]
- Brandao, J.A.M.; Meireles-Brandao, L.R.; Coelho, R.; Rocha-Goncalves, F. Lipoprotein(a) as a key target in combined therapeutic approaches for cardiovascular disease. Rev. Port. Cardiol. 2019, 38, 485–493. [Google Scholar] [CrossRef] [PubMed]
- Langsted, A.; Nordestgaard, B.G.; Kamstrup, P.R. Elevated Lipoprotein(a) and Risk of Ischemic Stroke. J. Am. Coll. Cardiol. 2019, 74, 54–66. [Google Scholar] [CrossRef]
- Rye, K.A. High density lipoprotein structure, function, and metabolism: A new Thematic Series. J. Lipid Res. 2013, 54, 2031–2033. [Google Scholar] [CrossRef]
- Jia, C.; Anderson, J.L.C.; Gruppen, E.G.; Lei, Y.; Bakker, S.J.L.; Dullaart, R.P.F.; Tietge, U.J.F. High-Density Lipoprotein Anti-Inflammatory Capacity and Incident Cardiovascular Events. Circulation 2021, 143, 1935–1945. [Google Scholar] [CrossRef]
- Hu, J.; Xi, D.; Zhao, J.; Luo, T.; Liu, J.; Lu, H.; Li, M.; Xiong, H.; Guo, Z. High-density Lipoprotein and Inflammation and Its Significance to Atherosclerosis. Am. J. Med. Sci. 2016, 352, 408–415. [Google Scholar] [CrossRef]
- Risager, R.; Bentzon, N. [Smoking and increased risk of mastitis]. Ugeskr Laeger 2010, 172, 2218–2221. [Google Scholar]
- Oltean, H.N.; Soliman, A.S.; Omar, O.S.; Youssef, T.F.; Karkouri, M.; Abdel-Aziz, A.; Hablas, A.; Blachley, T.; Tahri, A.; Merajver, S.D. Risk factors for chronic mastitis in morocco and egypt. Int. J. Inflam. 2013, 2013, 184921. [Google Scholar] [CrossRef]
- Ramalingam, K.; Srivastava, A.; Vuthaluru, S.; Dhar, A.; Chaudhry, R. Duct Ectasia and Periductal Mastitis in Indian Women. Indian J. Surg. 2015, 77, 957–962. [Google Scholar] [CrossRef]
- Dixon, J.M. Periductal mastitis/duct ectasia. World J. Surg. 1989, 13, 715–720. [Google Scholar] [CrossRef] [PubMed]
- Kim, B.S.; Lee, J.H.; Kim, W.J.; Kim, D.C.; Shin, S.; Kwon, H.J.; Park, J.S.; Park, Y.M. Periductal mastitis mimicking breast cancer in a male breast. Clin. Imaging 2013, 37, 574–576. [Google Scholar] [CrossRef] [PubMed]
- Song, L.; Li, L.; Liu, B.; Yu, D.; Sun, F.; Guo, M.; Ruan, Z.; Zhang, F. Diagnostic evaluations of ultrasound and magnetic resonance imaging in mammary duct ectasia and breast cancer. Oncol. Lett. 2018, 15, 1698–1706. [Google Scholar] [CrossRef] [PubMed]
- Liu, Y.; Zhang, J.; Zhou, Y.H.; Zhang, H.M.; Wang, K.; Ren, Y.; Jiang, Y.N.; Han, S.P.; He, J.J.; Tang, X.J. Activation of the IL-6/JAK2/STAT3 pathway induces plasma cell mastitis in mice. Cytokine 2018, 110, 150–158. [Google Scholar] [CrossRef] [PubMed]
- Kessler, E.; Wolloch, Y. Granulomatous mastitis: A lesion clinically simulating carcinoma. Am. J. Clin. Pathol. 1972, 58, 642–646. [Google Scholar] [CrossRef] [PubMed]
- Shin, Y.D.; Park, S.S.; Song, Y.J.; Son, S.M.; Choi, Y.J. Is surgical excision necessary for the treatment of Granulomatous lobular mastitis? BMC Womens Health 2017, 17, 49. [Google Scholar] [CrossRef]
- Liu, L.; Zhou, F.; Zhang, X.; Liu, S.; Liu, L.; Xiang, Y.; Guo, M.; Yu, L.; Wang, F.; Ma, Z.; et al. Granulomatous Lobular Mastitis: Antituberculous Treatment and Outcome in 22 Patients. Breast Care 2018, 13, 359–363. [Google Scholar] [CrossRef]


| Variable | Non-Puerperal Mastitis (284) | Benign Breast Mass (1128) | p-Value |
|---|---|---|---|
| ALT (U/L) M (25%, 75%) | 13.7 (11.8, 18.8) | 15.6 (12.0, 21.4) | 0.366 |
| AST (U/L) M (25%, 75%) | 18.9 (15.1, 24.0) | 19.6 (16.2, 23.6) | 0.36 |
| GGT (U/L) M (25%, 75%) | 19.8 (15.0, 25.1) | 14.9 (11.3, 21.6) | 0.455 |
| LDH (U/L) M (25%, 75%) | 174 (158, 198) | 168 (149,189) | 0.156 |
| CK (U/L) M (25%, 75%) | 62.6 (52.0, 80.0) | 69.0 (53.6, 91.2) | 0.355 |
| TC (mmol/L) M (25%, 75%) | 4.5 (4.1, 4.9) | 4.46 (3.85, 5.07) | 0.964 |
| TG (mmol/L) M (25%, 75%) | 1.15 (0.78, 1.62) | 0.94 (0.70, 1.35) | 0.081 |
| HDL-C (mmol/L) M (25%, 75%) | 1.25 (1.08, 1.44) | 1.4 (1.2, 1.6) | 0.002 |
| LDL-C (mmol/L) M (25%, 75%) | 2.81 (2.50, 3.20) | 2.65 (2.18, 3.21) | 0.287 |
| Lp(a) (mg/L) M (25%, 75%) | 159 (59, 398) | 125 (59, 246) | 0.022 |
| GLU (mmol/L) M (25%, 75%) | 5.18 (4.85, 5.46) | 4.93 (4.60, 5.39) | 0.023 |
| Urea (mmol/L) M (25%, 75%) | 4.0 (3.6, 4.9) | 4.6 (3.8, 5.5) | 0.009 |
| Cr (μmol/L) M (25%, 75%) | 50.4 (46.3, 57.1) | 55.0 (46.0, 62.0) | 0.002 |
| Variable | Non-Puerperal Mastitis (284) | Benign Breast Mass (1128) | OR | p-Value | 95% CI |
|---|---|---|---|---|---|
| Age (years) | 35.6 ± 9.8 | 44.3 ± 12.3 | 1.073 | <0.001 | 1.059–1.088 |
| High blood pressure | 2.221 | 0.003 | 1.318–3.741 | ||
| Yes | 17 | 39 | |||
| No | 267 | 1082 | |||
| AST (U/L) M (25%, 75%) | 18.9 (15.1, 24.0) | 19.6 (16.2, 23.6) | 0.991 | 0.36 | 0.971–1.011 |
| GGT (U/L) M (25%, 75%) | 19.8 (15.0, 25.1) | 14.9 (11.3, 21.6) | 0.999 | 0.455 | 0.996–1.002 |
| LDH (U/L) M (25%, 75%) | 174 (158, 198) | 168 (149, 189) | 0.997 | 0.156 | 0.992–1.001 |
| CK (U/L) M (25%, 75%) | 62.6 (52, 80) | 69 (53.6, 91.2) | 1.004 | 0.355 | 0.996–1.012 |
| TC (mmol/L) M (25%, 75%) | 4.5 (4.1, 4.9) | 4.46 (3.85, 5.07) | 1.007 | 0.964 | 0.754–1.343 |
| TG (mmol/L) M (25%, 75%) | 1.15 (0.78, 1.62) | 0.94 (0.70, 1.35) | 0.761 | 0.081 | 0.560–1.034 |
| HDL-C (mmol/L) (25%, 75%) | 1.25 (1.08, 1.44) | 1.4 (1.2, 1.6) | 4.514 | 0.002 | 1.735–11.746 |
| LDL-C (mmol/L) M (25%, 75%) | 2.81 (2.5, 3.2) | 2.65 (2.18, 3.21) | 0.837 | 0.287 | 0.603–1.161 |
| Lp(a) (mg/L) M (25%, 75%) | 159 (59, 398) | 125 (59, 246) | 0.999 | 0.022 | 0.998–1.000 |
| GLU (mmol/L) M (25%, 75%) | 5.18 (4.85, 5.46) | 4.93 (4.6, 5.39) | 0.845 | 0.023 | 0.732–0.977 |
| Urea (mmol/L) M (25%, 75%) | 4.0 (3.6, 4.9) | 4.6 (3.8, 5.5) | 1.375 | 0.009 | 1.081–1.748 |
| Cr (μmol/L) M (25%, 75%) | 50.4 (46.3, 57.1) | 55 (46, 62) | 1.051 | 0.002 | 1.019–1.084 |
| Variable | Non-Puerperal Mastitis (284) | Benign Breast Mass (1128) | OR | p-Value | 95% CI |
|---|---|---|---|---|---|
| Age (years) | 35.6 ± 9.8 | 44.3 ± 12.3 | 1.065 | 0.003 | 1.021–1.110 |
| High blood pressure | 6.036 | 0.108 | 0.674–54.081 | ||
| Yes | 17 | 39 | |||
| No | 267 | 1082 | |||
| HDL-C (mmol/L) M (25%, 75%) | 1.25 (1.08, 1.44) | 1.4 (1.2, 1.6) | 4.386 | 0.025 | 1.206–15.946 |
| Lp(a) (mg/L) M (25%, 75%) | 159 (59, 398) | 125 (59, 246) | 0.998 | 0.021 | 0.997–1.000 |
| GLU (mmol/L) M (25%, 75%) | 5.18 (4.85, 5.46) | 4.93 (4.6, 5.39) | 0.567 | 0.008 | 0.373–0.862 |
| Urea (mmol/L) M (25%, 75%) | 4.0 (3.6, 4.9) | 4.6 (3.8, 5.5) | 1.159 | 0.37 | 0.840–1.600 |
| Cr (μmol/L) M (25%, 75%) | 50.4 (46.3, 57.1) | 55 (46, 62) | 1.037 | 0.081 | 0.995–1.080 |
| Variable | Mammary Duct Ectasia (150) | Granulomatous Mastitis (38) | p-Value |
|---|---|---|---|
| AST (U/L) M (25%, 75%) | 18.5 (14.8, 23.4) | 19.8 (15.6, 48.9) | 0.5177 |
| ALP (U/L) M (25%, 75%) | 74.3 (59.4, 91.0) | 68.0 (57.0, 88.0) | 0.6894 |
| GGT (U/L) M (25%, 75%) | 19.7 (14.1, 27.7) | 17.7 (14.1, 28.8) | 0.9848 |
| LDH (U/L) M (25%, 75%) | 174.5 (159.5, 204.5) | 156.5 (141.0, 168.0) | 0.03 |
| CK (U/L) M (25%, 75%) | 77.0 (52.5, 87.9) | 53.5 (40.5, 63.5) | 0.0346 |
| TC (mmol/L) M (25%, 75%) | 4.7 (4.5, 5.4) | 4.1 (3.6, 4.5) | 0.0102 |
| TG (mmol/L) M (25%, 75%) | 0.93 (0.68, 1.61) | 1.30 (0.90, 1.77) | 0.4242 |
| HDL-C (mmol/L) M (25%, 75%) | 1.36 (1.15, 1.64) | 1.07 (1.04, 1.15) | 0.0026 |
| LDL-C (mmol/L) M (25%, 75%) | 0.93 (2.62, 3.44) | 2.64 (2.11, 2.91) | 0.0355 |
| Lp(a) (mg/L) M (25%, 75%) | 246 (96, 456) | 111 (48, 159) | 0.0771 |
| GLU (mmol/L) M (25%, 75%) | 5.23 (4.87, 5.43) | 4.92 (4.66, 5.66) | 0.7533 |
| Urea (mmol/L) M (25%, 75%) | 4.0 (3.5, 4.9) | 3.8 (3.4, 4.3) | 0.4436 |
| Cr (μmol/L) M (25%, 75%) | 49.4 (46.2, 57.6) | 43.6 (42.2, 50.4) | 0.0648 |
| Variable | Mammary Duct Ectasia (150) | Granulomatous Mastitis (38) | p-Value |
|---|---|---|---|
| Duct and lobular | <0.001 | ||
| No | 76 | 6 | |
| Duct | 46 | 4 | |
| Lobular | 7 | 17 | |
| Duct and lobular | 21 | 11 | |
| Plasma cell | <0.001 | ||
| Yes | 146 | 24 | |
| No | 4 | 14 | |
| Lymphocyte | |||
| Yes | 137 | 23 | <0.001 |
| No | 13 | 15 | |
| Neutrophil | |||
| Yes | 122 | 21 | 0.002 |
| No | 28 | 17 | |
| Eosinophil | 1.00 | ||
| Yes | 1 | 0 | |
| No | 149 | 38 | |
| Histocyte response | <0.001 | ||
| Yes | 66 | 5 | |
| No | 84 | 33 | |
| Multicenter giant cell response | 0.579 | ||
| Yes | 60 | 13 | |
| No | 90 | 25 | |
| Granulomatous inflammation | <0.001 | ||
| Yes | 74 | 32 | |
| No | 76 | 6 |
Publisher’s Note: MDPI stays neutral with regard to jurisdictional claims in published maps and institutional affiliations. |
© 2022 by the authors. Licensee MDPI, Basel, Switzerland. This article is an open access article distributed under the terms and conditions of the Creative Commons Attribution (CC BY) license (https://creativecommons.org/licenses/by/4.0/).
Share and Cite
Shi, L.; Wu, J.; Hu, Y.; Zhang, X.; Li, Z.; Xi, P.-W.; Wei, J.-F.; Ding, Q. Biomedical Indicators of Patients with Non-Puerperal Mastitis: A Retrospective Study. Nutrients 2022, 14, 4816. https://doi.org/10.3390/nu14224816
Shi L, Wu J, Hu Y, Zhang X, Li Z, Xi P-W, Wei J-F, Ding Q. Biomedical Indicators of Patients with Non-Puerperal Mastitis: A Retrospective Study. Nutrients. 2022; 14(22):4816. https://doi.org/10.3390/nu14224816
Chicago/Turabian StyleShi, Liang, Jing Wu, Yue Hu, Xu Zhang, Zhi Li, Pei-Wen Xi, Ji-Fu Wei, and Qiang Ding. 2022. "Biomedical Indicators of Patients with Non-Puerperal Mastitis: A Retrospective Study" Nutrients 14, no. 22: 4816. https://doi.org/10.3390/nu14224816
APA StyleShi, L., Wu, J., Hu, Y., Zhang, X., Li, Z., Xi, P.-W., Wei, J.-F., & Ding, Q. (2022). Biomedical Indicators of Patients with Non-Puerperal Mastitis: A Retrospective Study. Nutrients, 14(22), 4816. https://doi.org/10.3390/nu14224816

