The Complex of Phycobiliproteins, Fucoxanthin, and Krill Oil Ameliorates Obesity through Modulation of Lipid Metabolism and Antioxidants in Obese Rats
Abstract
1. Introduction
2. Materials and Methods
2.1. Materials and Chemicals
2.2. Antioxidant Activities In Vitro
2.3. Animal Experiments
2.4. Toxicity Analysis
2.5. Serum Biochemical Analysis
2.6. Parameters to Analyze the Degree of Obesity
2.7. Histopathological Analysis
2.8. Statistic Statement
3. Results
3.1. Antioxidant Activities of PFK Complex In Vitro
3.2. Effects of PFK Complex on Body Weight
3.3. Effects of PFK Complex on Serum Lipids
3.4. Effects of PFK Complex on Lipid Metabolism
3.5. Effects of PFK Complex on Antioxidant Status
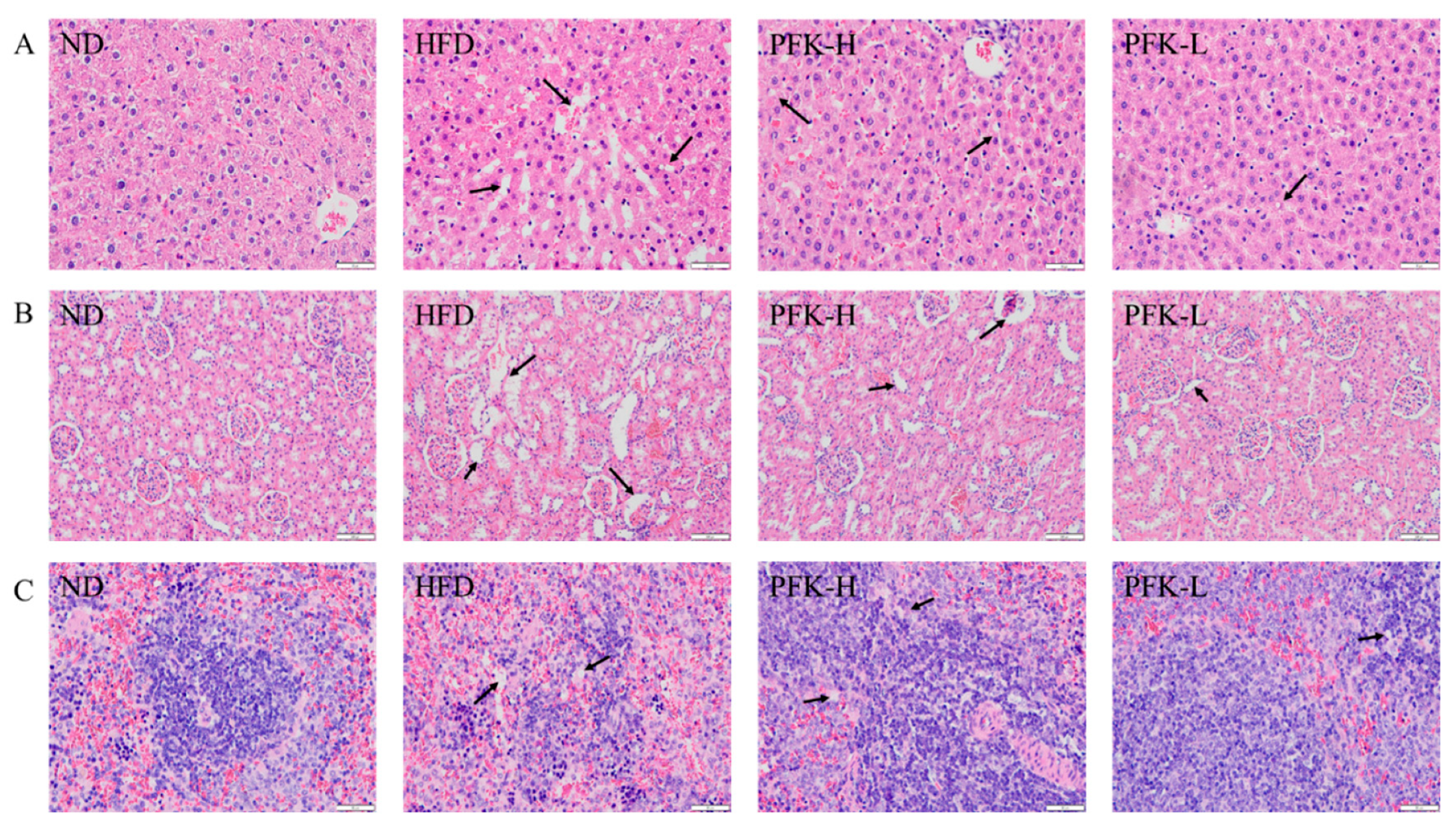
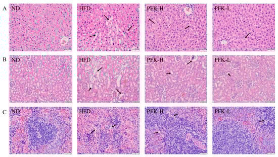
3.6. Histopathological Observations
3.7. Toxicity Analysis
4. Discussion
5. Conclusions
Author Contributions
Funding
Institutional Review Board Statement
Informed Consent Statement
Data Availability Statement
Conflicts of Interest
References
- Pugliese, G.; Liccardi, A.; Graziadio, C.; Barrea, L.; Muscogiuri, G.; Colao, A. Obesity and infectious diseases: Pathophysiology and epidemiology of a double pandemic condition. Int. J. Obes. 2022, 46, 449–465. [Google Scholar] [CrossRef] [PubMed]
- Kopelman, P.G. Obesity as a medical problem. Nature 2000, 404, 635–643. [Google Scholar] [CrossRef] [PubMed]
- Kaye, K.S.; Marchaim, D.; Chen, T.-Y.; Chopra, T.; Anderson, D.J. Predictors of Nosocomial Bloodstream Infections in Older Adults. J. Am. Geriatr. Soc 2011, 59, 622–627. [Google Scholar] [CrossRef] [PubMed]
- Shoshana, Y.; Nunez, N.P.; Patricia, P.; Pnina, B.; Sun, H.; Lucia, F.; Hong, Z.; Louis, S.; Ruslan, N.; Naamit, K. Increased tumor growth in mice with diet-induced obesity: Impact of ovarian hormones. Endocrinology 2006, 147, 5826–5834. [Google Scholar]
- Muto, Y.; Sato, S.; Watanabe, A.; Moriwaki, H.; Suzuki, K.; Kato, A.; Kato, M.; Nakamura, T.; Higuchi, K.; Nishiguchi, S. Overweight and obesity increase the risk for liver cancer in patients with liver cirrhosis and long-term oral supplementation with branched-chain amino acid granules inhibits liver carcinogenesis in heavier patients with liver cirrhosis. Hepatol. Res. Off. J. Jpn. Soc. Hepatol. 2006, 35, 204–214. [Google Scholar] [CrossRef]
- Bray, G.A.; Gema, F.; Ryan, D.H.; Wilding, J. Management of obesity. Lancet 2016, 387, 1947–1956. [Google Scholar] [CrossRef]
- Cignarella, A.; Busetto, L.; Vettor, R. Pharmacotherapy of obesity: An update. Pharmacol. Res. 2021, 169, 105649. [Google Scholar] [CrossRef]
- Lee, H.; Jayawardena, T.U.; Song, K.; Choi, Y.; Jeon, Y.; Kang, M. Dietary fucoidan from a brown marine algae (Ecklonia cava) attenuates lipid accumulation in differentiated 3T3-L1 cells and alleviates high-fat diet-induced obesity in mice. Food Chem. Toxicol 2022, 162, 112862. [Google Scholar] [CrossRef]
- Yuan, L.W. Research on medicinal algae in Zhoushan islands. J. Ningbo Univ. 2005, 18, 540–544. [Google Scholar]
- Xi, Q.; Lijun, W.; Jianfeng, N.; Xangzhong, G.; Guangce, W. Phycobiliprotein as fluorescent probe and photosensitizer: A systematic review. Int. J. Biol. Macromol. 2021, 193, 1910–1917. [Google Scholar]
- Ichimura, M.; Kato, S.; Tsuneyama, K.; Matsutake, S.; Kamogawa, M.; Hirao, E.; Miyata, A.; Mori, S.; Yamaguchi, N.; Suruga, K. Phycocyanin prevents hypertension and low serum adiponectin level in a rat model of metabolic syndrome. Nutr. Res. 2013, 33, 397–405. [Google Scholar] [CrossRef] [PubMed]
- Young-Jin, S.; Kui-Jin, K.; Jia, C.; Eun-Jeong, K.; Boo-Yong, L. Spirulina maxima Extract Reduces Obesity through Suppression of Adipogenesis and Activation of Browning in 3T3-L1 Cells and High-Fat Diet-Induced Obese Mice. Nutrients. 2018, 10, 712. [Google Scholar]
- Song, W.; Sha, W.; Guanpin, Y.; Kehou, P.; Lulu, W.; Zhangli, H. A review on the progress, challenges and prospects in commercializing microalgal fucoxanthin. Biotechnol. Adv. 2021, 53, 107865. [Google Scholar]
- Méresse, S.; Fodil, M.; Fleury, F.; Chénais, B. Fucoxanthin, a Marine-Derived Carotenoid from Brown Seaweeds and Microalgae: A Promising Bioactive Compound for Cancer Therapy. Int. J. Mol. Sci. 2020, 21, 9273. [Google Scholar] [CrossRef] [PubMed]
- Van, C.H.; Jong-Bang, E. Marine carotenoids: Bioactivities and potential benefits to human health. Crit. Rev. Food Sci. 2017, 57, 2600–2610. [Google Scholar]
- Loureno-Lopes, C.; Corral, M.F.; Jiménez-López, C.; Rodríguez, M.C.; Moldes, S.A. Biological action mechanisms of fucoxanthin extracted from algae for application in food and cosmetic industries. Trends Food Sci. Technol. 2021, 57, 2600–2610. [Google Scholar]
- Abidov, M.; Ramazanov, Z.; Seifulla, R.; Grachev, S. The effects of Xanthigen in the weight management of obese premenopausal women with non-alcoholic fatty liver disease and normal liver fat. Diabetes Obes. Metab. 2010, 12, 72–81. [Google Scholar] [CrossRef]
- Ferramosca, A.; Conte, L.; Zara, V. A krill oil supplemented diet reduces the activities of the mitochondrial tricarboxylate carrier and of the cytosolic lipogenic enzymes in rats. J. Anim. Physiol. Anim. Nutr. 2012, 96, 295–306. [Google Scholar] [CrossRef] [PubMed]
- Lena, B.; Kjetil, B.; Karin, W.; Berge, R.K.; Barger, J.L. Differential Effects of Krill Oil and Fish Oil on the Hepatic Transcriptome in Mice. Front. Genet. 2011, 2, 45. [Google Scholar]
- Sun, D.; Zhang, L.; Chen, H.; Feng, R.; Cao, P.; Liu, Y. Effects of Antarctic krill oil on lipid and glucose metabolism in C57BL/6J mice fed with high fat diet. Lipids Health Dis. 2017, 16, 218. [Google Scholar] [CrossRef]
- Ursoniu, S.; Sahebkar, A.; Serban, M.; Antal, D.; Mikhailidis, D.P.; Cicero, A.; Athyros, V.; Rizzo, M.; Rysz, J.; Banach, M.; et al. Lipid-modifying effects of krill oil in humans: Systematic review and meta-analysis of randomized controlled trials. Nutr. Rev. 2017, 75, 361–373. [Google Scholar] [CrossRef]
- Wang, G.C.; Sun, H.B.; Fan, X.; Tseng, C.K. Large-scale isolation and purification of R-phycoerythrin from red alga Palmaria palmata using the expanded bed adsorption method. Acta Bot. Sin. 2002, 44, 541–546. [Google Scholar]
- Zhou, C.; Hu, J.; Ma, H.; Yagoub, E.G.A.; Yu, X.; Owusu, J.; Ma, H.; Qin, X. Antioxidant peptides from corn gluten meal: Orthogonal design evaluation. Food Chem. 2015, 187, 270–278. [Google Scholar] [CrossRef]
- Ji, B.B.; Zhang, Z.D.; Guo, W.T.; Ma, H.R.; Xu, B.Y.; Mu, W.B. Amat Abdusami, Li.C. Isoliquiritigenin blunts osteoarthritis by inhibition of bone resorption and angiogenesis in subchondral bone. Sci. Rep. 2018, 8, 1721. [Google Scholar] [CrossRef] [PubMed]
- Chen, L.; Yang, X.; Liu, R.; Liu, L.; Zhao, D.; Liu, J.; Guo, Y.; Long, J. Thinned young apple polysaccharide improves hepatic metabolic disorder in high-fat diet-induced obese mice by activating mitochondrial respiratory functions. J. Funct. Foods. 2017, 33, 396–407. [Google Scholar] [CrossRef]
- Wang, W.; Song, X.; Zhang, J.; Li, H.; Jia, L. Antioxidation, hepatic- and renal-protection of water-extractable polysaccharides by Dictyophora indusiata on obese mice. Int. J. Biol. Macromol. 2019, 134, 290–301. [Google Scholar] [CrossRef]
- Santos, V.; Soares, L.A.; Santos, S. Cardiovascular risk index and adequate nutrition índice de riesgo cardiovascular y nutrición adecuada. Rev. Médica De Chile 2010, 138, 652–653. [Google Scholar]
- Zhao, X.; Yang, D.; Wen, W.; Guo, Z. Effect of Irbesartan on Oxidative Stress and Serum Inflammatory Factors in Renal Tissues of Type 2 Diabetic Rats. J. Coll. Physicians Surg. Pak. 2019, 29, 422–425. [Google Scholar] [CrossRef]
- Wan-Loy, C.; Siew-Moi, P. Marine Algae as a Potential Source for Anti-Obesity Agents. Mar. Drugs. 2016, 14, 222. [Google Scholar] [CrossRef]
- Ferramosca, A.; Conte, A.; Burri, L.; Berge, K.; De Nuccio, F.; Giudetti, A.M.; Zara, V.; Aguila, M.B. A krill oil supplemented diet suppresses hepatic steatosis in high-fat fed rats. PLoS ONE 2012, 7, e38797. [Google Scholar] [CrossRef]
- Lee, M.; Lai, C.; Cheng, A.; Hou, J.; Badmaev, V.; Ho, C.; Pan, M. Krill oil and xanthigen separately inhibit high fat diet induced obesity and hepatic triacylglycerol accumulation in mice. J. Funct. Foods. 2015, 19, 913–921. [Google Scholar] [CrossRef]
- Nana, M.; Masashi, H.; Kazuo, M.; Hitoshi, S.; Yoichi, M.I.; Yasuo, K. Reduction of HbA1c levels by fucoxanthin-enriched akamoku oil possibly involves the thrifty allele of uncoupling protein 1 (UCP1): A randomised controlled trial in normal-weight and obese Japanese adults. J. Nutr. Sci. 2017, 6, e5. [Google Scholar]
- Jeong, H.; Vacanti, N.M. Systemic vitamin intake impacting tissue proteomes. Nutr. Metab. 2020, 17, 73. [Google Scholar] [CrossRef] [PubMed]
- Ahyoung, Y.; Min, J.K.; Jiyun, A.; Chang, H.J.; Hyo, D.S.; Sun, Y.L.; Tae, Y.H. Fuzhuan brick tea extract prevents diet-induced obesity via stimulation of fat browning in mice. Food Chem. 2022, 377, 132006. [Google Scholar]
- Momtazi-Borojeni, A.A.; Banach, M.; Majeed, M.; Sahebkar, A. P5330Evaluating lipid-lowering and anti-atherogenic effect of injectable curcumin in a rabbit model of atherosclerosis. Eur. Heart J. 2019, 40 (Suppl. 1), ehz746.0299. [Google Scholar] [CrossRef]
- Speakman, J.R. Measuring Energy Metabolism in the Mouse—Theoretical, Practical, and Analytical Considerations. Front. Physiol. 2013, 4, 34. [Google Scholar] [CrossRef]
- Li, X.; Liu, X.; Cheng, C.; Zhou, J.; Fan, J.; Li, S. 1822-P: Regulation of Trafficking of Lipids from Liver to Fat by ApoA4 in a Mouse Model of Nonalcoholic Steatohepatitis. Diabetes 2020, 69, 1822. [Google Scholar] [CrossRef]
- Liang, Y.; Tian, W.; Ma, X. Inhibitory effects of grape skin extract and resveratrol on fatty acid synthase. BMC Complement. Altern. Med. 2013, 13, 361. [Google Scholar] [CrossRef]
- Ling, H.; Lenz, T.L.; Burns, T.L.; Hilleman, D.E. Reducing the risk of obesity: Defining the role of weight loss drugs. Pharmacotherapy 2013, 33, 1308–1321. [Google Scholar] [CrossRef]
- Trusov, G.A.; Balakina, L.A.; Shipelin, V.A.; Gmoshinski, I.V.; Tutelyan, V.A. Effect of resveratrol, carnitin, quercetin and aromatic amino acids on the xenobiotic metabolising and antioxidant enzymes in the liver during obesity in rats with different genotypes. Vopr. Pitan. 2021, 90, 50–62. [Google Scholar] [CrossRef]
- Neumann, U.; Derwenskus, F.; Flister, V.F.; Schmid-Staiger, U.; Hirth, T.; Bischoff, S.C. Fucoxanthin, A Carotenoid Derived from Phaeodactylum tricornutum Exerts Antiproliferative and Antioxidant Activities In Vitro. Antioxidants 2019, 8, 183. [Google Scholar] [CrossRef] [PubMed]
- Punampalam, R.; Khoo, K.S.; Sit, N.W. Evaluation of antioxidant properties of phycobiliproteins and phenolic compounds extracted from Bangia atropurpurea. Malays. J. Fundam. Appl. Sci. 2018, 14, 289–297. [Google Scholar] [CrossRef]
- Arab, S.; Khazaai, H.; Hambali, Z.; Ahmad, Z. Homocysteine and Malondialdeyde (MDA) Levels Associated with the Occurrence of Cardiovascular Disease (CVD) in Chronic Renal Failure (CRF) in Malaysia. Glob. J. Health Sci. 2011, 3, 119. [Google Scholar] [CrossRef]





| Weight before Modeling/g | Weight before Administration/g | Weight after 6 Weeks/g | Weight Change/g | |
|---|---|---|---|---|
| ND | 169.4 ± 13.2 | 282.9 ± 22.8 | 370.1 ± 37.6 | 87.2 ± 29.6 a |
| HFD | 171.1 ± 13.2 | 296.1 ± 20.2 | 381.4 ± 28.9 | 85.3 ± 15.2 a |
| Orlistat | 170.0 ± 9.8 | 291.1 ± 27.7 | 360.6 ± 41.8 | 69.5 ± 24.8 b |
| PFK-H | 168.6 ± 5.9 | 298.8 ± 28.9 | 382.3 ± 29.0 | 89.8 ± 17.5 a |
| PFK-M | 167.8 ± 10.8 | 298.0 ± 32.2 | 379.1 ± 35.8 | 81.1 ± 28.9 a |
| PFK-L | 169.3 ± 10.6 | 297.1 ± 23.3 | 370.1 ± 34.9 | 73.0 ± 23.0 c |
| Plasma Atherogenic Index | Castelli’s Risk Index (CRI-I) | Castelli’s Risk Index (CRI-II) | |
|---|---|---|---|
| ND | 0.10684 | 1.11565 | 0.29932 |
| HFD | 0.17528 | 1.16201 | 0.35196 |
| Orlistat | 0.02682 | 1.17834 | 0.29936 |
| PFK-H | 0.16815 | 1.42391 | 0.32609 |
| PFK-M | −0.02119 | 1.16931 | 0.30159 |
| PFK-L | 0.04706 | 1.21084 | 0.30723 |
Publisher’s Note: MDPI stays neutral with regard to jurisdictional claims in published maps and institutional affiliations. |
© 2022 by the authors. Licensee MDPI, Basel, Switzerland. This article is an open access article distributed under the terms and conditions of the Creative Commons Attribution (CC BY) license (https://creativecommons.org/licenses/by/4.0/).
Share and Cite
Qiang, X.; Guo, C.; Gu, W.; Song, Y.; Zhang, Y.; Gong, X.; Wang, L.; Wang, G. The Complex of Phycobiliproteins, Fucoxanthin, and Krill Oil Ameliorates Obesity through Modulation of Lipid Metabolism and Antioxidants in Obese Rats. Nutrients 2022, 14, 4815. https://doi.org/10.3390/nu14224815
Qiang X, Guo C, Gu W, Song Y, Zhang Y, Gong X, Wang L, Wang G. The Complex of Phycobiliproteins, Fucoxanthin, and Krill Oil Ameliorates Obesity through Modulation of Lipid Metabolism and Antioxidants in Obese Rats. Nutrients. 2022; 14(22):4815. https://doi.org/10.3390/nu14224815
Chicago/Turabian StyleQiang, Xi, Chuanlong Guo, Wenhui Gu, Yuling Song, Yuhong Zhang, Xiangzhong Gong, Lijun Wang, and Guangce Wang. 2022. "The Complex of Phycobiliproteins, Fucoxanthin, and Krill Oil Ameliorates Obesity through Modulation of Lipid Metabolism and Antioxidants in Obese Rats" Nutrients 14, no. 22: 4815. https://doi.org/10.3390/nu14224815
APA StyleQiang, X., Guo, C., Gu, W., Song, Y., Zhang, Y., Gong, X., Wang, L., & Wang, G. (2022). The Complex of Phycobiliproteins, Fucoxanthin, and Krill Oil Ameliorates Obesity through Modulation of Lipid Metabolism and Antioxidants in Obese Rats. Nutrients, 14(22), 4815. https://doi.org/10.3390/nu14224815

