Effect of Walnut Meal Peptides on Hyperlipidemia and Hepatic Lipid Metabolism in Rats Fed a High-Fat Diet
Abstract
1. Introduction
2. Materials and Methods
2.1. Walnut Meal Protein Isolate Preparation
2.2. Screening of Protease for Polypeptide Hydrolysis of Walnut Meal
2.3. In Vitro Evaluation of Hypolipidemic Activity of Peptides
2.3.1. Inhibition of Cholesterol Micellar Solubility
2.3.2. Pancreatic Lipase Inhibition in Vitro Assay
2.4. Analysis of Amino Acid Composition
2.5. Animal and Experimental Design
2.6. Histological Analysis
2.7. Biochemical Analysis
2.7.1. Serological Analysis
2.7.2. Liver Biochemical Analysis
2.8. Real-Time Quantitative PCR
2.9. Statistical Analysis
3. Results
3.1. Screening of Protease for Polypeptide Hydrolysis of Walnut Meal
3.2. Amino Acid Composition of WMP
3.3. Effect of WMP on the Body Weight and Tissue Weight of Rats
3.4. Antihyperlipidemic Effect of WMP on Hyperlipidemic Rats
3.5. Effects of WMP on Apolipoproteins
3.6. Effects of WMP on the Genes involved in Enzymes Related to Cholesterol Metabolism in Liver
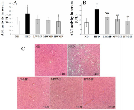
3.7. Effects of WMP on HFD-Induced Hepatic Damage
3.8. Effects of WMP on the Hematoxylin-Eosin (H&E) Staining of Cecum Tissue and Fat Bodies Around the Epididymis
4. Discussion
Author Contributions
Funding
Institutional Review Board Statement
Informed Consent Statement
Data Availability Statement
Acknowledgments
Conflicts of Interest
Appendix A
| Types of Proteases | Substrate Concentration | Volume of Enzyme (U/g) | Temperature (°C) | pH |
|---|---|---|---|---|
| Basic protease | 3% | 5000 | 55 | 8.0 |
| Neutral protease | 3% | 5000 | 45 | 7.0 |
| Papain | 3% | 5000 | 65 | 6.5 |
| Trypsin | 3% | 5000 | 55 | 7.5 |
| Pepsin | 3% | 5000 | 60 | 3.0 |
| Alcalase 2.4L | 3% | 5000 | 62.4 | 7.7 |
| Composition | Normal Feed (g%) | High Fat Feed (g%) |
|---|---|---|
| Corn flour | 40 26 10 10 10 2 1 1 | 20 |
| Wheat flour | 13 | |
| Bran | 5 | |
| Fish meal | 5 | |
| Bean cake | 5 | |
| Mineral | 1 | |
| Coarse | 0.5 | |
| Vitamin complex | 0.5 | |
| Lard | 18 | |
| Sucrose | 10 | |
| Whole milk powder | 10 | |
| Casein | 8 | |
| Animal feed premix | 2 | |
| Calcium bicarbonate | 2 |
| Gene | Forward 5′-3′ Primer Sequence | Reverse 5′-3′ Primer Sequence |
|---|---|---|
| FAS | TTGAAGAGGAGCGTTCGTGA | GGTTGACAGCAAAATGGGC |
| HMGR | AGCGTGGTGTGTCTATTCG | GAGACGGATGTAGAGGTTGC |
| CYP7A1 | AGAGAATCATTAGCCGTGCCAG | TAGGGAGACATTTGAGTGAGCGA |
| LCAT | TGTGCTACCGAAAGACAGAGG | CTTGCCAAAGCCAGGGAC |
| GAPDH | ACAGCAACAGGGTAATGGAC | TTTGAGGGTGCAGCGAACTT |
References
- Hingorani, A.D.; Finan, C.; Schmidt, A.F. Obesity causes cardiovascular diseases: Adding to the weight of evidence. Eur. Hear. J. 2020, 41, 227–230. [Google Scholar] [CrossRef] [PubMed]
- Misra, A.; Khurana, L. Obesity and the Metabolic Syndrome in Developing Countries. J. Clin. Endocrinol. Metab. 2008, 93, s9–s30. [Google Scholar] [CrossRef] [PubMed]
- Sabin, M.A.; Kiess, W. Childhood obesity: Current and novel approaches. Best Pr. Res. Clin. Endocrinol. Metab. 2015, 29, 327–338. [Google Scholar] [CrossRef] [PubMed]
- Heymsfield, S.B.; Wadden, T.A. Mechanisms, Pathophysiology, and Management of Obesity. N. Engl. J. Med. 2017, 376, 254–266. [Google Scholar] [CrossRef]
- Ference, B.A.; Ginsberg, H.N.; Graham, I.; Ray, K.K.; Packard, C.J.; Bruckert, E.; Hegele, R.A.; Krauss, R.M.; Raal, F.J.; Schunkert, H.; et al. Low-density lipoproteins cause atherosclerotic cardiovascular disease. 1. Evidence from genetic, epidemiologic, and clinical studies. A consensus statement from the European Atherosclerosis Society Consensus Panel. Eur. Heart J. 2017, 38, 2459–2472. [Google Scholar] [CrossRef] [PubMed]
- Kakkar, A.K.; Dahiya, N. Drug treatment of obesity: Current status and future prospects. Eur. J. Intern. Med. 2015, 26, 89–94. [Google Scholar] [CrossRef] [PubMed]
- Khera, R.; Murad, M.H.; Chandar, A.K.; Dulai, P.S.; Wang, Z.; Prokop, L.J.; Loomba, R.; Camilleri, M.; Singh, S. Association of Pharmacological Treatments for Obesity With Weight Loss and Adverse Events. JAMA 2016, 315, 2424–2434. [Google Scholar] [CrossRef] [PubMed]
- Kim, G.W.; Lin, J.E.; Blomain, E.S.; Waldman, S.A. Antiobesity Pharmacotherapy: New Drugs and Emerging Targets. Clin. Pharmacol. Ther. 2013, 95, 53–66. [Google Scholar] [CrossRef]
- Amiot, M.J.; Riva, C.; Vinet, A. Effects of dietary polyphenols on metabolic syndrome features in humans: A systematic review. Obes. Rev. 2016, 17, 573–586. [Google Scholar] [CrossRef]
- Basu, A.; Sanchez, K.; Leyva, M.J.; Wu, M.; Betts, N.M.; E Aston, C.; Lyons, T.J. Green Tea Supplementation Affects Body Weight, Lipids, and Lipid Peroxidation in Obese Subjects with Metabolic Syndrome. J. Am. Coll. Nutr. 2010, 29, 31–40. [Google Scholar] [CrossRef]
- Mulvihill, E.E.; Burke, A.C.; Huff, M.W. Citrus Flavonoids as Regulators of Lipoprotein Metabolism and Atherosclerosis. Annu. Rev. Nutr. 2016, 36, 275–299. [Google Scholar] [CrossRef]
- Burke, A.C.; Sutherland, B.G.; Telford, D.E.; Morrow, M.R.; Sawyez, C.G.; Edwards, J.Y.; Drangova, M.; Huff, M.W. Intervention with citrus flavonoids reverses obesity and improves metabolic syndrome and atherosclerosis in obese Ldlr−/− mice. J. Lipid Res. 2018, 59, 1714–1728. [Google Scholar] [CrossRef]
- Xu, Y.; Zhang, M.; Wu, T.; Dai, S.; Xu, J.; Zhou, Z. The anti-obesity effect of green tea polysaccharides, polyphenols and caffeine in rats fed with a high-fat diet. Food Funct. 2015, 6, 296–303. [Google Scholar] [CrossRef]
- Friedman, M. Mushroom Polysaccharides: Chemistry and Antiobesity, Antidiabetes, Anticancer, and Antibiotic Properties in Cells, Rodents, and Humans. Foods 2016, 5, 80. [Google Scholar] [CrossRef]
- Maestri, E.; Pavlicevic, M.; Montorsi, M.; Marmiroli, N. Meta-Analysis for Correlating Structure of Bioactive Peptides in Foods of Animal Origin with Regard to Effect and Stability. Compr. Rev. Food Sci. Food Saf. 2019, 18, 3–30. [Google Scholar] [CrossRef]
- Chatterjee, C.; Gleddie, S.; Xiao, C.-W. Soybean Bioactive Peptides and Their Functional Properties. Nutrients 2018, 10, 1211. [Google Scholar] [CrossRef]
- Yoshikawa, M.; Fujita, H.; Matoba, N.; Takenaka, Y.; Yamamoto, T.; Yamauchi, R.; Tsuruki, H.; Takahata, K. Bioactive peptides derived from food proteins preventing lifestyle-related diseases. BioFactors 2000, 12, 143–146. [Google Scholar] [CrossRef]
- Zhong, F.; Liu, J.; Ma, J.; Shoemaker, C.F. Preparation of hypocholesterol peptides from soy protein and their hypocholesterolemic effect in mice. Food Res. Int. 2007, 40, 661–667. [Google Scholar] [CrossRef]
- Zhang, H.; Bartley, G.E.; Mitchell, C.R.; Zhang, H.; Yokoyama, W. Lower Weight Gain and Hepatic Lipid Content in Hamsters Fed High Fat Diets Supplemented with White Rice Protein, Brown Rice Protein, Soy Protein, and their Hydrolysates. J. Agric. Food Chem. 2011, 59, 10927–10933. [Google Scholar] [CrossRef]
- Liu, L.; Liu, L.; Lu, B.; Xia, D.; Zhang, Y. Evaluation of Antihypertensive and Antihyperlipidemic Effects of Bamboo Shoot Angiotensin Converting Enzyme Inhibitory Peptide in Vivo. J. Agric. Food Chem. 2012, 60, 11351–11358. [Google Scholar] [CrossRef]
- Marques, M.R.; Freitas, R.A.M.S.; Carlos, A.C.C.; Siguemoto, É.S.; Fontanari, G.G.; Arêas, J.A.G. Peptides from cowpea present antioxidant activity, inhibit cholesterol synthesis and its solubilisation into micelles. Food Chem. 2015, 168, 288–293. [Google Scholar] [CrossRef] [PubMed]
- Cofán, M.; Rajaram, S.; Sala-Vila, A.; Valls-Pedret, C.; Serra-Mir, M.; Roth, I.; Freitas-Simoes, T.M.; Bitok, E.; Sabaté, J.; Ros, E. Effects of 2-Year Walnut-Supplemented Diet on Inflammatory Biomarkers. J. Am. Coll. Cardiol. 2020, 76, 2282–2284. [Google Scholar] [CrossRef] [PubMed]
- Ma, Y.; Njike, V.Y.; Millet, J.; Dutta, S.; Doughty, K.; Treu, J.A.; Katz, D.L. Effects of Walnut Consumption on Endothelial Function in Type 2 Diabetic Subjects: A randomized controlled crossover trial. Diabetes Care 2009, 33, 227–232. [Google Scholar] [CrossRef] [PubMed]
- Nagel, J.M.; Brinkoetter, M.; Magkos, F.; Liu, X.; Chamberland, J.P.; Shah, S.; Zhou, J.; Blackburn, G.; Mantzoros, C.S. Dietary walnuts inhibit colorectal cancer growth in mice by suppressing angiogenesis. Nutrients 2012, 28, 67–75. [Google Scholar] [CrossRef]
- Becerra-Tomás, N.; Paz-Graniel, I.; Kendall, C.W.; Kahleova, H.; Rahelić, D.; Sievenpiper, J.L.; Salas-Salvadó, J. Nut consumption and incidence of cardiovascular diseases and cardiovascular disease mortality: A meta-analysis of prospective cohort studies. Nutr. Rev. 2019, 77, 691–709. [Google Scholar] [CrossRef]
- Guasch-Ferré, M.; Li, J.; Hu, F.B.; Salas-Salvadó, J.; Tobias, D.K. Effects of walnut consumption on blood lipids and other cardiovascular risk factors: An updated meta-analysis and systematic review of controlled trials. Am. J. Clin. Nutr. 2018, 108, 174–187. [Google Scholar] [CrossRef]
- Jamdar, S.; Rajalakshmi, V.; Pednekar, M.; Juan, F.; Yardi, V.; Sharma, A. Influence of degree of hydrolysis on functional properties, antioxidant activity and ACE inhibitory activity of peanut protein hydrolysate. Food Chem. 2010, 121, 178–184. [Google Scholar] [CrossRef]
- Liu, M.; Du, M.; Zhang, Y.; Xu, W.; Wang, C.; Wang, K.; Zhang, L.W. Purification and Identification of an ACE Inhibitory Peptide from Walnut Protein. J. Agric. Food Chem. 2013, 61, 4097–4100. [Google Scholar] [CrossRef]
- Gu, X.; Hou, Y.-K.; Li, D.; Wang, J.-Z.; Wang, F.-J. Separation, Purification, and Identification of Angiotensin I–Converting Enzyme Inhibitory Peptides from Walnut (Juglans regia L.) Hydrolyzate. Int. J. Food Prop. 2015, 18, 266–276. [Google Scholar] [CrossRef]
- Beriat, N.C.; Ertan, A.A.; Yilmaz, Z.; Gulay, G.; Sahin, C. Effects of different luting cements and light curing units on the sealing ability and bond strength of fiber posts. Dent. Mater. J. 2012, 31, 575–582. [Google Scholar] [CrossRef][Green Version]
- Mao, X.Y. Studies on the Structure Characterization and PRODUCTS’ modification of Walnut Protein; University of Jiang Nan: Wuxi, China, 2012. [Google Scholar]
- Nagaoka, S.; Futamura, Y.; Miwa, K.; Awano, T.; Yamauchi, K.; Kanamaru, Y.; Tadashi, K.; Kuwata, T. Identification of Novel Hypocholesterolemic Peptides Derived from Bovine Milk β-Lactoglobulin. Biochem. Biophys. Res. Commun. 2001, 281, 11–17. [Google Scholar] [CrossRef]
- Prados, I.M.; Marina, M.L.; García, M.C. Isolation and identification by high resolution liquid chromatography tandem mass spectrometry of novel peptides with multifunctional lipid-lowering capacity. Food Res. Int. 2018, 111, 77–86. [Google Scholar] [CrossRef]
- Chen, H.-L.; Lai, Y.-W.; Chen, C.-S.; Chu, T.-W.; Lin, W.; Yen, C.-C.; Lin, M.-F.; Tu, M.-Y.; Chen, C.-M. Probiotic Lactobacillus casei Expressing Human Lactoferrin Elevates Antibacterial Activity in the Gastrointestinal Tract. BioMetals 2010, 23, 543–554. [Google Scholar] [CrossRef]
- Schenck, M. Über die Einwirkung von naszierender Salpetriger Säure auf verschiedene stickstoffhaltige organische Verbindungen. (Zur van Slykeschen Aminostickstoffbestimmung). Hoppe-Seyler´s Zeitschrift für Physiologische Chemie 1951, 286, 270–284. [Google Scholar] [CrossRef]
- Kayashita, J.; Shimaoka, I.; Nakajyoh, M. Hypocholesterolemic effect of buckwheat protein extract in rats fed cholesterol enriched diets. Nutr. Res. 1995, 15, 691–698. [Google Scholar] [CrossRef]
- Sun, X.; Chen, R.; Yan, G.; Chen, Z.; Yuan, H.; Huang, W.; Lu, Y. Gender-specific associations between apolipoprotein A1 and arterial stiffness in patients with nonalcoholic fatty liver disease. PeerJ 2020, 8, e9757. [Google Scholar] [CrossRef]
- Yanai, H.; Katsuyama, H.; Hamasaki, H.; Abe, S.; Tada, N.; Sako, A. Effects of Dietary Fat Intake on HDL Metabolism. J. Clin. Med. Res. 2015, 7, 145–149. [Google Scholar] [CrossRef]
- Gil Choe, Y.; Jin, W.; Cho, Y.K.; Gil Chung, W.; Kim, H.J.; Jeon, W.K.; Kim, B.I. Apolipoprotein B/AI ratio is independently associated with non-alcoholic fatty liver disease in nondiabetic subjects. J. Gastroenterol. Hepatol. 2013, 28, 678–683. [Google Scholar] [CrossRef]
- Tiwari, S.; Siddiqi, S.A. Intracellular Trafficking and Secretion of VLDL. Arter. Thromb. Vasc. Biol. 2012, 32, 1079–1086. [Google Scholar] [CrossRef]
- Li, W.; Zhang, K.; Yang, H. Pectin Alleviates High Fat (Lard) Diet-Induced Nonalcoholic Fatty Liver Disease in Mice: Possible Role of Short-Chain Fatty Acids and Gut Microbiota Regulated by Pectin. J. Agric. Food Chem. 2018, 66, 8015–8025. [Google Scholar] [CrossRef]
- Cao, Y.; Zou, L.; Li, W.; Song, Y.; Zhao, G.; Hu, Y. Dietary quinoa (Chenopodium quinoa Willd.) polysaccharides ameliorate high-fat diet-induced hyperlipidemia and modulate gut microbiota. Int. J. Biol. Macromol. 2020, 163, 55–65. [Google Scholar] [CrossRef] [PubMed]
- Saiga, A.; Tanabe, A.S.; Nishimura, T. Antioxidant Activity of Peptides Obtained from Porcine Myofibrillar Proteins by Protease Treatment. J. Agric. Food Chem. 2003, 51, 3661–3667. [Google Scholar] [CrossRef] [PubMed]
- Ren, J.; Zhao, M.; Shi, J.; Wang, J.; Jiang, Y.; Cui, C.; Kakuda, Y.; Xue, S.J. Purification and identification of antioxidant peptides from grass carp muscle hydrolysates by consecutive chromatography and electrospray ionization-mass spectrometry. Food Chem. 2008, 108, 727–736. [Google Scholar] [CrossRef] [PubMed]
- Shazly, A.B.; He, Z.; El-Aziz, M.A.; Zeng, M.; Zhang, S.; Qin, F.; Chen, J. Fractionation and identification of novel antioxidant peptides from buffalo and bovine casein hydrolysates. Food Chem. 2017, 232, 753–762. [Google Scholar] [CrossRef]
- Uchida, K.; Kawakishi, S. Sequence-dependent reactivity of histidine-containing peptides with copper(II)/ascorbate. J. Agric. Food Chem. 1992, 40, 13–16. [Google Scholar] [CrossRef]
- Zhao, Y.-X.; Tong, L.; Zhang, G.-M.; Zhao, X.-H.; Sa, Y.-P.; Liu, Y.; Lu, D.-X.; Ga, Q.; Wu, P. L-Arginine Supplementation Improves Vascular Endothelial Dysfunction Induced by High-Fat Diet in Rats Exposed to Hypoxia. Wilderness Environ. Med. 2020, 31, 400–406. [Google Scholar] [CrossRef]
- Mattson, F.; Beck, L. The digestion in vitro of triglycerides by pancreatic lipase. J. Biol. Chem. 1955, 214, 115–125. [Google Scholar] [CrossRef]
- Panchal, S.K.; Poudyal, H.; Iyer, A.; Nazer, R.; Alam, A.; Diwan, V.; Kauter, K.; Sernia, C.; Campbell, F.; Ward, L.; et al. High-carbohydrate, High-fat Diet–induced Metabolic Syndrome and Cardiovascular Remodeling in Rats: Erratum. J. Cardiovasc. Pharmacol. 2011, 57, 610–624. [Google Scholar] [CrossRef]
- Wang, G.; Zhang, Y.; Zhang, R.; Pan, J.; Qi, D.; Wang, J.; Yang, X. The protective effects of walnut green husk polysaccharide on liver injury, vascular endothelial dysfunction and disorder of gut microbiota in high fructose-induced mice. Int. J. Biol. Macromol. 2020, 162, 92–106. [Google Scholar] [CrossRef]
- Jing, N.; Liu, X.; Jin, M.; Yang, X.; Hu, X.; Li, C.; Zhao, K. Fubrick tea attenuates high-fat diet induced fat deposition and metabolic disorder by regulating gut microbiota and caffeine metabolism. Food Funct. 2020, 11, 6971–6986. [Google Scholar] [CrossRef]
- Li, L.; Guo, W.-L.; Zhang, W.; Xu, J.-X.; Qian, M.; Bai, W.-D.; Zhang, Y.-Y.; Rao, P.-F.; Ni, L.; Lv, X.-C. Grifola frondosapolysaccharides ameliorate lipid metabolic disorders and gut microbiota dysbiosis in high-fat diet fed rats. Food Funct. 2019, 10, 2560–2572. [Google Scholar] [CrossRef]
- Musso, G.; Gambino, R.; Cassader, M. Cholesterol metabolism and the pathogenesis of non-alcoholic steatohepatitis. Prog. Lipid Res. 2013, 52, 175–191. [Google Scholar] [CrossRef]
- Chen, H.; Zeng, F.; Li, S.; Liu, Y.; Gong, S.; Lv, X.; Zhang, J.; Liu, B. Spirulina active substance mediated gut microbes improve lipid metabolism in high-fat diet fed rats. J. Funct. Foods 2019, 59, 215–222. [Google Scholar] [CrossRef]
- Kuivenhoven, J.A.; Stalenhoef, A.F.; Hill, J.S.; Demacker, P.N.; Errami, A.; Kastelein, J.J.; Pritchard, P.H. Two Novel Molecular Defects in theLCATGene Are Associated With Fish Eye Disease. Arter. Thromb. Vasc. Biol. 1996, 16, 294–303. [Google Scholar] [CrossRef]
- Tian, W.-X. Inhibition of Fatty Acid Synthase by Polyphenols. Curr. Med. Chem. 2006, 13, 967–977. [Google Scholar] [CrossRef]
- Oh, S.; Lee, M.-S.; Jung, S.; Kim, S.; Park, H.; Park, S.; Kim, S.-Y.; Kim, C.-T.; Jo, Y.-H.; Kim, I.-H.; et al. Ginger extract increases muscle mitochondrial biogenesis and serum HDL-cholesterol level in high-fat diet-fed rats. J. Funct. Foods 2017, 29, 193–200. [Google Scholar] [CrossRef]
- Huang, K.; Yu, W.; Li, S.; Guan, X.; Liu, J.; Song, H.; Liu, D.; Duan, R. Effect of embryo-remaining oat rice on the lipid profile and intestinal microbiota in high-fat diet fed rats. Food Res. Int. 2020, 129, 108816. [Google Scholar] [CrossRef]
- Li, T.; Teng, H.; An, F.; Huang, Q.; Chen, L.; Song, H. The beneficial effects of purple yam (Dioscorea alata L.) resistant starch on hyperlipidemia in high-fat-fed hamsters. Food Funct. 2019, 10, 2642–2650. [Google Scholar] [CrossRef]
- Attene-Ramos, M.S.; Nava, G.M.; Muellner, M.G.; Wagner, E.D.; Plewa, M.J.; Gaskins, H.R. DNA damage and toxicogenomic analyses of hydrogen sulfide in human intestinal epithelial FHs 74 Int cells. Environ. Mol. Mutagen. 2010, 51, 304–314. [Google Scholar] [CrossRef]
- Samanya, M.; Yamauchi, K.-E. Histological alterations of intestinal villi in chickens fed dried Bacillus subtilis var. natto. Comp. Biochem. Physiol. Part A Mol. Integr. Physiol. 2002, 133, 95–104. [Google Scholar] [CrossRef]
- Li, Y.; Ma, Q.; Wang, J.; Li, P.; Cheng, L.; An, Y.; Duan, Y.; Dai, H.; Wang, T.; Zhao, B. Relationship between hyperlipidemia and the gut microbiome of rats, characterized using high-throughput sequencing. J. Tradit. Chin. Med Sci. 2020, 7, 154–161. [Google Scholar] [CrossRef]
- Si, X.; Strappe, P.; Blanchard, C.; Zhou, Z. Enhanced anti-obesity effects of complex of resistant starch and chitosan in high fat diet fed rats. Carbohydr. Polym. 2017, 157, 834–841. [Google Scholar] [CrossRef] [PubMed]






| Amino Acid | Hydrophobicity (kJ /mol) | Walnut Protein Isolate (mg/100 g) | Walnut Meal Peptides (mg/100 g) |
|---|---|---|---|
| Asp | 2.25 | 9.43 ± 0.07 a | 12.21 ± 0.09 b |
| Thr | 1.85 | 3.58 ± 0.10 a | 4.36 ± 0.12 b |
| Ser | 0.17 | 4.39 ± 0.05 a | 5.49 ± 0.06 b |
| Glu | 2.30 | 17.36 ± 0.35 a | 20.04 ± 0.36 b |
| Gly | 0 | 3.83 ± 0.14 a | 3.95 ± 0.15 a |
| Ala | 3.10 | 7.53 ± 0.09 a | 8.43 ± 0.10 b |
| Cys | 4.20 | 0.00 ± 0.00 a | 0.00 ± 0.00 a |
| Val | 7.05 | 4.99 ± 0.01 a | 5.47 ± 0.01 b |
| Met | 5.45 | 2.27 ± 0.11 a | 2.13 ± 0.10 a |
| Ile | 12.40 | 4.29 ± 0.05 a | 3.78 ± 0.04 b |
| Leu | 10.10 | 5.81 ± 0.15 a | 6.67 ± 0.19 b |
| Tyr | 12.00 | 3.52 ± 0.13 a | 3.80 ± 0.11 a |
| Phe | 11.10 | 3.55 ± 0.03 a | 3.32 ± 0.04 a |
| Lys | 6.25 | 3.06 ± 0.05 a | 2.17 ± 0.03 b |
| His | 2.10 | 2.36 ± 0.08 a | 2.26 ± 0.07 a |
| Arg | 3.10 | 11.18 ± 0.03 a | 15.52 ± 0.02 b |
| Pro | 10.85 | 1.73 ± 0.13 a | 1.92 ± 0.17 a |
| Lys/Arg | 0.27 | 0.14 |
| Parameters | ND | HFD | LWMP | MWMP | HWMP |
|---|---|---|---|---|---|
| Initial body weight (g) | 273.92 ± 5.53 a | 282.29 ± 3.77 a | 282.22 ± 3.56 a | 281.00 ± 7.79 a | 279.50 ± 5.30 a |
| Final body weight (g) | 358.74 ± 12.74 a | 429.25 ± 10.40 b | 402.26 ± 14.08 b | 389.90 ± 10.25 a | 387.77 ± 7.11 a |
| Body weight gain (g) | 89.24 ± 9.28 a | 151.08 ± 13.56 b | 118.12 ± 12.94 c | 108.90 ± 2.94 a,c | 113.44 ± 4.72 a,c |
| Fasting body weight (g) | 345.92 ± 12.63 a | 410.98 ± 16.19 b | 374.23 ± 13.01 a | 368.17 ± 9.24 a | 363.32 ± 6.74 a |
| Total energy intake(kcal) | 8386.24 ± 952.24 a | 9016.60 ± 1061.88 b | 8883.24 ± 1047.42 b | 8796.61 ± 786.81 b | 8712.66 ± 507.61 b |
| Liver weight (g) | 7.72 ± 0.40 a | 9.13 ± 0.34 b | 9.06 ± 0.45 b | 8.83 ± 0.24 b | 8.68 ± 0.16 a,b |
| Epididymis fat (g) | 2.04 ± 0.36 a | 3.76 ± 0.78 b | 3.15 ± 0.79 a | 2.79 ± 0.39 a | 2.67 ± 0.36 a |
Publisher’s Note: MDPI stays neutral with regard to jurisdictional claims in published maps and institutional affiliations. |
© 2021 by the authors. Licensee MDPI, Basel, Switzerland. This article is an open access article distributed under the terms and conditions of the Creative Commons Attribution (CC BY) license (https://creativecommons.org/licenses/by/4.0/).
Share and Cite
Yang, X.-Y.; Zhong, D.-Y.; Wang, G.-L.; Zhang, R.-G.; Zhang, Y.-L. Effect of Walnut Meal Peptides on Hyperlipidemia and Hepatic Lipid Metabolism in Rats Fed a High-Fat Diet. Nutrients 2021, 13, 1410. https://doi.org/10.3390/nu13051410
Yang X-Y, Zhong D-Y, Wang G-L, Zhang R-G, Zhang Y-L. Effect of Walnut Meal Peptides on Hyperlipidemia and Hepatic Lipid Metabolism in Rats Fed a High-Fat Diet. Nutrients. 2021; 13(5):1410. https://doi.org/10.3390/nu13051410
Chicago/Turabian StyleYang, Xiao-Yue, Di-Ying Zhong, Guo-Liang Wang, Run-Guang Zhang, and You-Lin Zhang. 2021. "Effect of Walnut Meal Peptides on Hyperlipidemia and Hepatic Lipid Metabolism in Rats Fed a High-Fat Diet" Nutrients 13, no. 5: 1410. https://doi.org/10.3390/nu13051410
APA StyleYang, X.-Y., Zhong, D.-Y., Wang, G.-L., Zhang, R.-G., & Zhang, Y.-L. (2021). Effect of Walnut Meal Peptides on Hyperlipidemia and Hepatic Lipid Metabolism in Rats Fed a High-Fat Diet. Nutrients, 13(5), 1410. https://doi.org/10.3390/nu13051410

