Moderate Effect of Flavonoids on Vascular and Renal Function in Spontaneously Hypertensive Rats
Abstract
1. Introduction
2. Material and Methods
2.1. Animals
2.2. Experimental Groups
2.3. Experimental Procedures
2.4. Statistical Methods
3. Results
3.1. Blood Pressure and Urinary Variables
3.2. Vascular Function
3.3. Effect of Flavonoid Extracts on Oxidative Stress Status
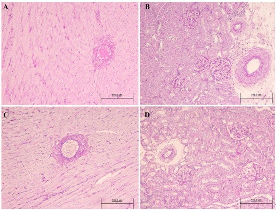
3.4. Histopathology Results
4. Discussion
5. Clinical Perspectives.
Author Contributions
Funding
Acknowledgments
Conflicts of Interest
References
- Duarte, J.; Francisco, V.; Perez-Vizcaino, F. Modulation of nitric oxide by flavonoids. Food Funct. 2014, 5, 1653–1668. [Google Scholar] [CrossRef] [PubMed]
- Miranda, A.M.; Steluti, J.; Fisberg, R.M.; Marchioni, D.M. Association between polyphenol intake and hypertension in adults and older adults: A population-based study in Brazil. PLoS ONE 2016, 11, E0165791. [Google Scholar] [CrossRef] [PubMed]
- Wallace, T.C. Anthocyanins in cardiovascular disease. Adv. Nutr. 2011, 2, 1–7. [Google Scholar] [CrossRef] [PubMed]
- Basu, A.; Rhone, M.; Lyons, T.J. Berries: Emerging impact on cardiovascular health. Nutr. Rev. 2010, 68, 168–177. [Google Scholar] [CrossRef] [PubMed]
- Quiñones, M.; Miguel, M.; Muguerza, B.; Aleixandre, A. Effect of cocoa polyphenol extract in spontaneously hypertensive rats. Food Funct. 2011, 2, 649–653. [Google Scholar] [CrossRef] [PubMed]
- Habauzit, V.; Morand, C. Evidence for a protective effect of polyphenols-containing foods on cardiovascular health: An update for clinicians. Ther. Adv. Chronic. Dis. 2012, 3, 87–106. [Google Scholar] [CrossRef] [PubMed]
- Khurana, S.; Venkataraman, K.; Hollingsworth, A.; Piche, M.; Tai, T.C. Polyphenols: Benefits to the cardiovascular system in health and in aging. Nutrients 2013, 5, 3779–3827. [Google Scholar] [CrossRef] [PubMed]
- Rezende, B.A.; Pereira, A.C.; Cortes, S.F.; Lemos, V.S. Vascular effects of flavonoids. Curr. Med. Chem. 2016, 23, 87–102. [Google Scholar] [CrossRef]
- López-Sepúlveda, R.; Jiménez, R.; Romero, M.; Zarzuelo, M.J.; Sánchez, M.; Gómez-Guzmán, M.; Vargas, F.; O’Valle, F.; Zarzuelo, A.; Pérez-Vizcaíno, F.; et al. Wine polyphenols improve endothelial function in large vessels of female spontaneously hypertensive rats. Hypertension 2008, 51, 1088–1095. [Google Scholar]
- Vargas, F.; Romecín, P.; García-Guillén, A.I.; Wangesteen, R.; Vargas-Tendero, P.; Paredes, M.D.; Atucha, N.M.; García-Estañ, J. Flavonoids in kidney health and disease. Front. Physiol. 2018, 24, 394. [Google Scholar] [CrossRef] [PubMed]
- Paredes, M.D.; Romecín, P.; Atucha, N.M.; O’Valle, F.; Castillo, J.; Ortiz, M.C.; García-Estañ, J. Beneficial effects of different flavonoids on vascular and renal function in L-NAME hypertensive rats. Nutrients 2018, 10, 484. [Google Scholar] [CrossRef] [PubMed]
- Pechánová, O.; Rezzani, R.; Babál, P.; Bernátová, I.; Andriantsitohaina, R. Beneficial effects of Provinols: Cardiovascular system and kidney. Physiol. Res. 2006, S17–S30. [Google Scholar]
- Fu, J.Y.; Qian, L.B.; Zhu, L.G.; Liang, H.T.; Tan, Y.N.; Lu, H.T.; Lu, J.F.; Wang, H.P.; Xia, Q. Betulinic acid ameliorates endothelium-dependent relaxation in L-NAME-induced hypertensive rats by reducing oxidative stress. Eur. J. Pharm. Sci. 2011, 44, 385–391. [Google Scholar] [CrossRef] [PubMed]
- Duarte, J.; Jiménez, R.; O’Valle, F.; Galisteo, M.; Pérez-Palencia, R.; Vargas, F.; Pérez-Vizcaíno, F.; Zarzuelo, A.; Tamargo, J. Protective effects of the flavonoid quercetin in chronic nitric oxide deficient rats. J. Hypertens. 2002, 20, 1843–1854. [Google Scholar] [CrossRef] [PubMed]
- Jiménez, R.; Duarte, J.; Pérez-Vizcaíno, F. Epicatechin: Endothelial function and blood pressure. J. Agric. Food Chem. 2012, 60, 8823–8830. [Google Scholar] [CrossRef] [PubMed]
- Trippodo, N.C.; Frohlich, E.D. Similarities of genetic (spontaneous) hypertension. Man and rat. Circ. Res. 1981, 48, 309–319. [Google Scholar] [CrossRef] [PubMed]
- Zhou, X.; Frohlich, E.D. Analogy of cardiac and renal complications in essential hypertension and aged SHR or L-NAME/SHR. Med. Chem. 2007, 3, 61–65. [Google Scholar] [CrossRef] [PubMed]
- Grisk, O.; Kloting, I.; Exner, J.; Spiess, S.; Schmidt, R.; Junghans, D.; Lorenz, G.; Rettig, R. Long-term arterial pressure in spontaneously hypertensive rats is set by the kidney. J. Hypertens. 2002, 20, 131–138. [Google Scholar] [CrossRef] [PubMed]
- Giudicelli, J.F.; Freslon, J.L.; Glasson, S.; Richer, C. Captopril and hypertension development in the SHR. Clin. Exp. Hypertens. 1980, 2, 1083–1096. [Google Scholar] [CrossRef] [PubMed]
- Ahmeda, A.F.; Alzoghaibi, M. Factors regulating the renal circulation in spontaneously hypertensive rats. Saudi J. Biol. Sci. 2016, 23, 441–451. [Google Scholar] [CrossRef] [PubMed]
- Antonaccio, M.J.; Rubin, B.; Horovitz, Z.P. Effects of captopril in animal models of hypertension. Clin. Exp. Hypertens. 1980, 2, 613–637. [Google Scholar] [CrossRef] [PubMed]
- Chillon, J.M.; Capdeville-Atkinson, C.; Lartaud, I.; Guillou, J.; Mertès, P.M.; Atkinson, J. Chronic antihypertensive treatment with captopril plus hydrochlorothiazide improves aortic distensibility in the spontaneously hypertensive rat. Br. J. Pharmacol. 1992, 107, 710–714. [Google Scholar] [CrossRef] [PubMed]
- Miquel, R.; Gisbert, R.; Serna, E.; Perez-Vizcaino, F.; Anselmi, E.; Noguera, M.A.; Ivorra, M.D.; D’Ocon, M.P. Acute and chronic captopril, but not prazosin or nifedipine, normalize alterations in adrenergic intracellular Ca2+ handling observed in the mesenteric arterial tree of spontaneously hypertensive rats. J. Pharmacol. Exp. Ther. 2005, 313, 359–367. [Google Scholar] [CrossRef] [PubMed]
- Bogucka-Kocka, A.; Woźniak, M.; Feldo, M.; Kockic, J.; Szewczyk, K. Diosmin--isolation techniques, determination in plant material and pharmaceutical formulations, and clinical use. Nat. Prod. Commun. 2013, 8, 545–550. [Google Scholar] [PubMed]
- García-Estañ, J.; Ortiz, M.C.; O´Valle, F.; Alcaraz, A.; Navarro, E.G.; Vargas, F.; Evangelista, S.; Atucha, N.M. Effects of angiotensin-converting-enzyme inhibitors in combination with diuretics on blood pressure and renal injury in nitric oxide-deficiency-induced hypertension in rats. Clin. Sci. 2006, 110, 227–233. [Google Scholar] [CrossRef] [PubMed]
- Fortepiani, L.A.; Rodrigo, E.; Ortíz, M.C.; Cachofeiro, V.; Atucha, N.M.; Ruilope, L.M.; Lahera, V.; García-Estañ, J. Pressure natriuresis in nitric oxide-deficient hypertensive rats: Effect of antihypertensive treatments. J. Am. Soc. Nephrol. 1999, 10, 21–27. [Google Scholar] [PubMed]
- Alcaraz, A.; Hernández, D.; Iyú, D.; Mota, R.; Atucha, N.M.; Ortiz, A.J.; García-Estañ, J.; Ortiz, M.C. Effects of chronic L-NAME on nitrotyrosine expression and renal vascular reactivity in rats with chronic bile-duct ligation. Clin. Sci. 2008, 115, 57–68. [Google Scholar] [CrossRef] [PubMed]
- Vargas, F.; Romecín, P.; García-Guillén, A.I.; Wangesteen, R.; Vargas-Tendero, P.; Paredes, M.D.; Atucha, N.M.; García-Estañ, J. Flavonoids in Kidney Health and Disease. Front. Physiol. 2018, 24, 394. [Google Scholar] [CrossRef] [PubMed]
- Litterio, M.C.; Jaggers, G.; Celep, G.S.; Adamo, A.M.; Costa, M.A.; Oteiza, P.I.; Fraga, C.G.; Galleano, M. Blood pressure-lowering effect of dietary (−)-epicatechin administration in L-NAME-treated rats is associated with restored nitric oxide levels. Free Radical Biol. Med. 2012, 53, 1894–1902. [Google Scholar] [CrossRef] [PubMed]
- Zhang, Y.H.; Park, Y.S.; Kim, T.J.; Fang, L.H.; Ahn, H.Y.; Hong, J.T.; Kim, Y.; Lee, C.K.; Yun, Y.P. Endothelium-dependent vasorelaxant and antiproliferative effects of apigenin. Gen. Pharmacol. 2000, 35, 341–347. [Google Scholar] [CrossRef]
- Ajay, M.; Gilani, A.U.; Mustafa, M.R. Effects of flavonoids on vascular smooth muscle of the isolated rat thoracic aorta. Life Sci. 2003, 74, 603–612. [Google Scholar] [CrossRef] [PubMed]
- Martínez-Fernández, L.; Pons, Z.; Margalef, M.; Arola-Arnal, A.; Muguerza, B. Regulation of vascular endothelial genes by dietary flavonoids: Structure-expression relationship studies and the role of the transcription factor KLF-2. J. Nutr. Biochem. 2015, 26, 277–284. [Google Scholar] [CrossRef] [PubMed]
- Benavente-García, O.; Castillo, J.; Lorente, J.; Ortuño, A.; Rio, J. Antioxidant activity of phenolics extracted from Olea europaea. L. leaves. Food Chem. 2000, 68, 457–462. [Google Scholar]
- Mali, V.R.; Mohan, V.; Bodhankar, S.L. Antihypertensive and cardioprotective effects of the Lagenaria siceraria fruit in NG-nitro-L-arginine methyl ester (L-NAME) induced hypertensive rats. Pharm. Biol. 2012, 50, 1428–1435. [Google Scholar] [CrossRef] [PubMed]
- Klahr, S. The role of nitric oxide in hypertension and renal disease progression. Nephrol. Dial. Transplant. 2001, 16, 60–62. [Google Scholar] [CrossRef] [PubMed]
- Kristek, F.; Gerova, M.; Devat, L.; Varga, I. Cardiac hypertrophy and vascular remodelling in NO-deficient hypertension. Endothelium 1995, 3, S94. [Google Scholar]
- Numaguchi, K.; Egashira, K.; Takemoto, M.; Kadokami, T.; Shimokawa, H.; Sueishi, K.; Takeshita, A. Chronic inhibition of nitric oxide synthesis causes coronary microvascular remodeling in rats. Hypertension 1995, 26, 957–962. [Google Scholar] [CrossRef] [PubMed]






| Extract | Main Active Products |
|---|---|
| Apigenin | Apigenin: 93.7%; Other minor flavonoids (all): 3.5% |
| Lemon extract | Eriocitrin: 35.0%; Hesperidin: 1.5%; Other minor flavonoids (all): 3.5% |
| Grapefruit + bitter orange extract | Naringin: 54.3%; Neohesperidin: 10.9%; Other minor flavonoids (all): 4.8% |
| Cocoa extract | Epicatechin: 6.84%; Catechin: 0.86%; Procyanidins (dímers): 4.88%; Other flavan-3-ols (trimers to decamers, all): 18.42% |
| Diosmin | Diosmin: 93.20%; Other minor flavonoids (all): 4.7% |
| SHR6 | MAP (mmHg) | HR (bpm) | SHR12 | MAP (mmHg) | HR (bpm) |
|---|---|---|---|---|---|
| WKY | 112.0 ± 3.7 | 363.6 ± 7.5 | WKY | 97.0 ± 7.1 | 313.6 ± 17.1 |
| SHR | 162.3 ± 5.7 * | 384.9 ± 12.8 | SHR | 175.1 ± 5.4 * | 395.3 ± 10.1 * |
| A | 151.0 ± 6.9 * | 379.2 ± 16.7 | A | 157.5 ± 9.2 * | 399.8 ± 8.3 * |
| LE | 152.7 ± 2.1 * | 358.9 ± 10.8 | LE | 163.3 ± 5.9 * | 369.2 ± 11.8 * |
| GBO | 136.7 ± 6.3 *† | 392.4 ± 12.9 | GBO | 167.8 ± 11.3 * | 367.0 ± 5.6 *† |
| COE | 153.3 ± 6.4 * | 378.6 ± 12.9 | COE | 163.7 ± 9.4 * | 363.8 ± 12.9 † |
| CPT | 125.0 ± 1.8 *† | 314.3 ± 9.1 *† | D | 162.5 ± 5.8 * | 356.4 ± 12.6 † |
| SHR6 | Body Weight (g) | Hematocrit (%) | Food Intake (g/24 h) | Water Intake (mL/24 h) | Diuresis (mL/24 h) | Natriuresis (mEq/24 h) | Sodium Balance (mEq/24 h/100 g) |
|---|---|---|---|---|---|---|---|
| WKY | 317.2 ± 12.4 | 47.5 ± 0.6 | 20.9 ± 1.1 | 41.6 ± 4.4 | 11.2 ± 1.9 | 0.36 ± 0.03 | 0.57 ± 0.03 |
| SHR | 305.5 ± 4.7 | 55.0 ± 1.06 * | 19.4 ± 0.4 | 28.4 ± 0,8 * | 11.7 ± 0.9 | 0.41 ± 0.03 | 0.53 ± 0.02 |
| A | 304.8 ± 4.4 | 53.0 ± 0.5 * | 22.4 ± 0 7 † | 30.0 ± 1.7 | 10.6 ± 1.8 | 0.51 ± 0.06 | 0.6 ± 0.04 |
| LE | 309.2 ± 4.3 | 54.1 ± 0.8 * | 18.2 ± 0.4 *† | 28.8 ± 1.8 * | 13.3 ± 1.3 | 0.71 ± 0.09 *† | 0.38 ± 0.03 *† |
| GBO | 302.4 ± 4.6 | 54.7 ± 1.3 * | 19.8 ± 1.4 | 26.9 ± 0.9 * | 9.7 ± 0.5 | 0.46 ± 0.05 | 0.53 ± 0.06 |
| COE | 302.9 ± 6.9 | 51.5 ± 0.7 *† | 19.9 ± 0.7 | 33.1 ± 1.8 | 14.8 ± 1.7 | 0.57 ± 0.04 | 0.5 ± 0.03 |
| CPT | 322.2 ± 9.2 | 49.7 ± 1.9 † | 18.5 ± 0.9 | 39.8 ± 4.2 | 20.5 ± 3.4 * | 0.7 ± 0.14 *† | 0.38 ± 0.04 *† |
| SHR12 | |||||||
| WKY | 354.5 ± 7.7 | 45.5 ± 0.6 | 17.7 ± 0.8 | 33.9 ± 1.8 | 9.0 ± 1.2 | 0.15 ± 0.02 | 0.48 ± 0.02 |
| SHR | 359.1 ± 5.9 | 50.5 ± 0.9 * | 18.2 ± 0.8 | 29.0 ± 1.6 | 11.8 ± 1.1 | 0.34 ± 0.04 | 0.41 ± 0.02 |
| A | 351.2 ± 8.7 | 52.2 ± 1.1 * | 19.4 ± 0.8 | 28.3 ± 1.5 | 11.7 ± 0.9 | 0.53 ± 0.08 | 0.42 ± 0.03 |
| LE | 330.8 ± 11.8 | 49.5 ± 0.4 * | 18.7 ± 0.6 | 28.9 ± 4.5 | 13.2 ± 3.4 | 0.35 ± 0.04 | 0.49 ± 0.04 |
| GBO | 342.4 ± 4.6 † | 48.4 ± 0.4 * | 20.1 ± 0.6 * | 33.7 ± 2.0 * | 12.6 ± 1.1 | 0.21 ± 0.04 | 0.55 ± 0.02 *† |
| COE | 320.7 ± 16.3 | 50.4 ± 1.0 * | 18.6 ± 0.7 | 25.7 ± 1.1 | 7.2 ± 1.0 † | 0.19 ± 0.03 | 0.54 ± 0.02 *† |
| D | 351.8 ± 8.0 | 50.6 ± 0.8 * | 17.4 ± 0.5 | 20.6 ± 1.0 | 8.2 ± 0.8 † | 0.36 ± 0.05 | 0.41 ± 0.02 |
| Phenylephrine | Acetylcholine | SNP | |||
|---|---|---|---|---|---|
| SHR6 | pEC50 (mol/L) | Maximal Contraction (g) | Maximal Relaxation (%) | After Acute L-NAME | Maximal Relaxation (%) |
| WKY | −6.07 ± 0.05 | 2.71 ± 0.17 | 85.87 ± 2.67 | 34.17 ± 5.45 | 99.58 ± 0.99 |
| SHR | −6.69 ± 0.11 * | 2.13 ± 0.10 * | 46.90 ± 3.72 * | 3.70 ± 1.46 * | 77.22 ± 3.19 * |
| A | −6.80 ± 0.07 * | 1.94 ± 0.10 * | 64.97 ± 1.63 *† | 1.39 ± 2.76 * | 88.43 ± 1.47 *† |
| LE | −6.60 ± 0.05 * | 2.13 ± 0.11 * | 55.97 ± 2.38 *† | 3.47 ± 1.43 * | 88.54 ± 1.86 *† |
| GBO | −6.60 ± 0.06 * | 2.17 ± 0.13 * | 60.56 ± 2.72 *† | 1.56 ± 0.65 * | 90.09 ± 2.18 *† |
| COE | −6.77 ± 0.03 * | 2.13 ± 0.13 * | 49.86 ± 4.86 * | 0.86 ± 0.61 *† | 91.07 ± 1.49 *† |
| CPT | −6.70 ± 0.07 * | 1.46 ± 0.04 *† | 95.57 ± 0.77 *† | 19.43 ± 4.47 † | 101.89 ± 1.34 † |
| SHR12 | |||||
| WKY | −6.84 ± 0.06 | 2.62 ± 0.11 | 68.41 ± 2.80 | 11.26 ± 2.14 | 93.94 ± 2.21 |
| SHR | −6.66 ± 0.05 | 2.03 ± 0.08 * | 24.00 ± 2.68 * | 1.47 ± 0.94 * | 64.66 ± 3.04 * |
| A | −6.74 ± 0.05 | 2.25 ± 0.09 * | 43.13 ± 3.45 *† | 0.22 ± 0.23 * | 80.28 ± 2.80 *† |
| LE | −6.75 ± 0.13 | 2.33 ± 0.15 | 26.50 ± 2.58 * | 2.49 ± 1.07 * | 70.64 ± 2.60 *† |
| GBO | −6.73 ± 0.1 | 2.27 ± 0.10 * | 35.00 ± 8.44 * | 2.45 ± 0.65 * | 80.63 ± 5.48 *† |
| COE | −6.60 ± 0.11 | 1.94 ± 0.16 * | 32.74 ± 6.39 * | 3.07 ± 1.32 * | 77.69 ± 5.82 *† |
| D | −6.68 ± 0.09 | 2.11 ± 0.14 * | 21.38 ± 2.02 * | 6.22 ± 2.24 *† | 79.44 ± 3.78 *† |
| SHR6 | Plasma TBARS (nmol/mL) | Kidney TBARS (nmol/mg prot) | Urine TBARS (nmol/mg prot 24 h) | Plasma Nitrite (µg/mL) | Urinary Excretion of Nitrite (µg/24 h) | Urinary Protein Excretion (mg/24 h/Kg bw) |
|---|---|---|---|---|---|---|
| WKY | 6.3 ± 0.2 | 6.4 ± 0.4 | 252 ± 42 | 0.91 ± 0.02 | 11.6 ± 2.7 | 168.3 ± 50.4 |
| SHR | 7.6 ± 0.3 * | 7.5 ± 0.4 | 559 ± 45 * | 0.82 ± 0.02 * | 13.9 ± 2.8 | 614.9 ± 28.8 * |
| A | 11.8 ± 1.1 *† | 6.7 ± 0.8 | 474 ± 35 * | 0.95 ± 0.02 † | 8.7 ± 1.8 † | 563.6 ± 53.7 * |
| LE | 10.2 ± 0.7 *† | 5.8 ± 0.4 † | 491 ± 37 * | 0.89 ± 0.01 † | 23.3 ± 5.3 | 540.7 ± 16.5 *† |
| GBO | 7.2 ± 0.5 | 6.0 ± 0.3 † | 335 ± 34 † | 0.90 ± 0.03 † | 15.7 ± 1.8 * | 544.9 ± 26.2 * |
| COE | 9.6 ± 1.5 * | 4.4 ± 0.3 *† | 473 ± 9 * | 0.88 ± 0.03 | 23.3 ± 7.8 | 606.6 ± 50.7 * |
| CPT | 6.0 ± 0.4 † | 5.3 ± 0.4 † | 615 ± 81 * | 0.92 ± 0.03 † | 23.7 ± 1.7 *† | 551.6 ± 86.3 * |
| SHR12 | ||||||
| WKY | 3.9 ± 0.4 | 8.3 ± 1.0 | 207 ± 22 | 1.13 ± 0.09 | 54.9 ± 11.2 | 213.3 ± 13.7 |
| SHR | 7.3 ± 0.4 * | 11.1 ± 1.4 | 723 ± 32 * | 1.01 ± 0.12 | 44.6 ± 3.3 | 547.5 ± 27.0 * |
| A | 8.0 ± 0.4 * | 6.9 ± 0.8 † | 587 ± 17 *† | 0.85 ± 0.02 * | 37.6 ± 3.2 | 499.7 ± 25.2 * |
| LE | 6.8 ± 1.2 | 7.3 ± 1.2 | 359 ± 27 *† | 1.16 ± 0.02 | 44.7 ± 1.7 | 314.6 ± 47.1 † |
| GBO | 6.7 ± 2.1 | 8.1 ± 0.4 | 336 ± 21 *† | 1.28 ± 0.07 | 73.0 ± 10.6 † | 306.4 ± 40.7 † |
| COE | 4.6 ± 0.6 † | 10.8 ± 2.5 | 331 ± 41 *† | 1.28 ± 0.02 | 33.0 ± 4.3 | 353.1 ± 20.2 *† |
| D | 3.1 ± 0.2 † | 8.0 ± 0.6 | 339 ± 20 *† | 1.36 ± 0.17 | 31.9 ± 2.8 † | 451.0 ± 20.3 *† |
| SHR6 | Coronary LWR | Heart IVS | Thoracic AT | Abdominal AT | Renal LWR | Renal HA | Renal TC |
|---|---|---|---|---|---|---|---|
| WKY | 2.27 ± 0.21 | 2.36 ± 0.14 | 107.2 ± 5.9 | 110.3 ± 7.5 | 1.69 ± 0.10 | 0.00 | 0.00 |
| SHR | 1.59 ± 0.03 * | 2.95 ± 0.18 * | 131.0 ± 5.6 * | 138.8 ± 3.4 * | 1.18 ± 0.08 * | 0.00 | 0.00 |
| A | 2.84 ± 0.22 † | 2.91 ± 0.13 * | 125.3 ± 2.9 * | 100.5 ± 2.1 † | 1.32 ± 0.31 | 0.00 | 0.25 |
| LE | 1.80 ± 0.21 | 2.73 ± 0.05 * | 150.4 ± 4.5 * | 127.0 ± 3.6 † | 1.51 ± 0.04 † | 0.00 | 0.00 |
| GBO | 1.48 ± 0.13 * | 2.50 ± 0.07 | 134.6 ± 2.3 * | 117.5 ± 5.2 † | 1.69 ± 0.10 † | 0.00 | 0.00 |
| COE | 2.80 ± 0.58 † | 2.83 ± 0.07 * | 134.5 ± 3.8 * | 87.1 ± 4.6 † | 1.10 ± 0.24 | 0.00 | 0.00 |
| CPT | 1.78 ± 0.19 | 2.39 ± 0.12 † | 133.3 ± 7.3* | 101.7 ± 4.0 † | 1.26 ± 0.10 * | 0.00 | 0.00 |
| SHR12 | |||||||
| WKY | 3.08 ± 0.13 | 3.22 ± 0.15 | 104.8 ± 4.4 | 86.7 ± 5.8 | 1.76 ± 0.19 | 0.00 | 0.00 |
| SHR | 3.00 ± 0.80 | 3.43 ± 0.09 | 116.3 ± 2.2 | 90.5 ± 5.3 | 1.27 ± 0.26 | 0.25 ± 0.25 | 0.25 ± 0.25 |
| A | 1.97 ± 0.41 | 2.84 ± 0.23 | 126.8 ± 3.2 *† | 94.6 ± 2.7 | 1.61 ± 0.30 | 0.00 | 0.75 ± 0.25 |
| LE | 3.43 ± 0.28 | 3.04 ± 0.29 | 137.5 ± 3.5 *† | 114.8 ± 3.7 *† | 1.67 ± 0.44 | 0.00 | 0.00 |
| GBO | 2.20 ± 0.44 | 3.01 ± 0.09 | 131.4 ± 3.6*† | 107.6 ± 4.0 *† | 1.79 ± 0.32 | 0.00 | 0.00 |
| COE | 3.06 ± 0.40 | 3.40 ± 0.15 | 142.2 ± 3.0 *† | 118.8 ± 3.7 *† | 1.39 ± 0.11 | 0.00 | 0.25 ± 0.25 |
| D | 3.15 ± 0.79 | 3.61 ± 0.09 | 130.8 ± 2.9 *† | 104.6 ± 3.3 *† | 1.43 ± 0.20 | 0.00 | 0.00 |
© 2018 by the authors. Licensee MDPI, Basel, Switzerland. This article is an open access article distributed under the terms and conditions of the Creative Commons Attribution (CC BY) license (http://creativecommons.org/licenses/by/4.0/).
Share and Cite
Paredes, M.D.; Romecín, P.; Atucha, N.M.; O’Valle, F.; Castillo, J.; Ortiz, M.C.; García-Estañ, J. Moderate Effect of Flavonoids on Vascular and Renal Function in Spontaneously Hypertensive Rats. Nutrients 2018, 10, 1107. https://doi.org/10.3390/nu10081107
Paredes MD, Romecín P, Atucha NM, O’Valle F, Castillo J, Ortiz MC, García-Estañ J. Moderate Effect of Flavonoids on Vascular and Renal Function in Spontaneously Hypertensive Rats. Nutrients. 2018; 10(8):1107. https://doi.org/10.3390/nu10081107
Chicago/Turabian StyleParedes, María D., Paola Romecín, Noemí M. Atucha, Francisco O’Valle, Julián Castillo, María Clara Ortiz, and Joaquín García-Estañ. 2018. "Moderate Effect of Flavonoids on Vascular and Renal Function in Spontaneously Hypertensive Rats" Nutrients 10, no. 8: 1107. https://doi.org/10.3390/nu10081107
APA StyleParedes, M. D., Romecín, P., Atucha, N. M., O’Valle, F., Castillo, J., Ortiz, M. C., & García-Estañ, J. (2018). Moderate Effect of Flavonoids on Vascular and Renal Function in Spontaneously Hypertensive Rats. Nutrients, 10(8), 1107. https://doi.org/10.3390/nu10081107

