Two Age Groups of Adult Pikeperch (Sander lucioperca) as Bioindicators of Aquatic Pollution
Abstract
1. Introduction
2. Material and Methods
2.1. Sampling Location
2.2. Fish Sampling
2.3. Elemental Analysis
2.4. OCPs and PCBs Analysis
2.5. Histopathological (HP) Analysis of Gills and Liver
- (a)
- Reaction index of organ:
- (b)
- HP index of organ:
- (c)
- Total index for each individual fish:
2.6. Statistical Analysis
3. Results
3.1. Size and Condition of Analyzed Fish
3.2. Element, OCPs, and PCBs Analyzes
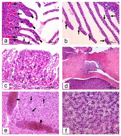
3.3. Histopathological (HP) Analysis
4. Discussion
4.1. Element, OCPs, and PCBs Analyzes
4.2. Histopathological (HP) Analysis
5. Conclusions
Supplementary Materials
Author Contributions
Funding
Institutional Review Board Statement
Informed Consent Statement
Data Availability Statement
Acknowledgments
Conflicts of Interest
References
- Kottelat, M.; Freyhof, J. Handbook of European Freshwater Fishes; Publications Kottelat: Berlin, Germany, 2007; pp. 534–535. [Google Scholar]
- Bousseba, M.; Ferraj, L.; Ouahb, S.; Ouizgane, A.; El Moujtahid, A.; Droussi, M.; Hasnaoui, M. Food preferences of Pike Perch, Sander lucioperca (Linnaeus, 1758) in Morocco. E3S Web Conf. EDP Sci. 2020, 150, 02011. [Google Scholar] [CrossRef]
- Mustamäki, N.; Bergström, U.; Ådjers, K.; Sevastik, A.; Mattila, J. Pikeperch (Sander lucioperca (L.)) in decline: High mortality of three populations in the northern Baltic Sea. Ambio 2014, 43, 325–336. [Google Scholar] [CrossRef] [PubMed]
- Jakubavičiūtė, E.; Arula, T.; Dainys, J.; Tyrell Deweber, J.; Gorfine, H.; Härkönen, L.S.; Hyvärinen, P.; Hommik, K.; Kubecka, J.; Ložys, L.; et al. Status and future perspectives for pikeperch (Sander lucioperca) stocks in Europe. bioRxiv 2022. bioRxiv:12.20.521162. [Google Scholar] [CrossRef]
- Smederevac-Lalic, M. Socio-Ekonomske i Biološke Karakteristike Privrednog Ribolova na Dunavu [Doktorska Disertacija, Univerzitet u Beogradu, 2013]. NaRDuS—National Repository of Dissertations in Serbia. Available online: https://nardus.mpn.gov.rs/handle/123456789/2707 (accessed on 11 June 2023).
- Statistical Office of the Republic of Serbia. Fish Catch in Rivers, Ponds and Channels. Fish Catch, 2000–2022. 2022. Available online: https://www.stat.gov.rs/en-US/oblasti/poljoprivreda-sumarstvo-i-ribarstvo/ribarstvo (accessed on 12 May 2023).
- Frisk, M.; Skov, P.V.; Steffensen, J.F. Thermal optimum for pikeperch (Sander lucioperca) and the use of ventilation frequency as a predictor of metabolic rate. Aquaculture 2012, 324, 151–157. [Google Scholar] [CrossRef]
- Steenfeldt, S.; Fontaine, P.; Overton, J.L.; Policar, T.; Toner, D.; Falahatkar, B.; Horváth, Á.; Khemis, I.B.; Hamza, N.; Mhetli, M. Current status of Eurasian percid fishes aquaculture. In Biology and Culture of Percid Fishes; Kestemont, P., Dabrowski, K., Summerfelt, R., Eds.; Springer: Dordrecht, The Netherlands, 2015; pp. 817–841. [Google Scholar] [CrossRef]
- Stejskal, I.; Tran, H.Q.; Prokesová, M.; Zare, M.; Gebauer, T.; Policar, T.; Caimi, C.; Gai, F.; Gasco, L. Defatted black soldier fly (Hermetia illucens) in pikeperch (Sander lucioperca) diets: Effects on growth performance, nutrient digestibility, fillet quality, economic and environmental sustainability. Anim. Nutr. 2023, 12, 7–19. [Google Scholar] [CrossRef]
- Policar, T.; Schaefer, F.J.; Panana, E.; Meyer, S.; Teerlinck, S.; Damien Toner, D.; Żarski, D. Recent progress in European percid fish culture production technology—Tackling bottlenecks. Aquac. Int. 2019, 27, 1151–1174. [Google Scholar] [CrossRef]
- Marković, Z.; Stanković, M.; Dulić, Z.; Živić, I.; Rašković, B.; Spasić, M.; Poleksić, V. Aquaculture and fishery in Serbia-status and potentials. In Proceedings of the V International Conference “Aquaculture & Fishery” Faculty of Agriculture, Belgrade-Zemun, Serbia, 1–3 June 2011; pp. 36–40. [Google Scholar]
- Nikolić, D.; Skorić, S.; Poleksić, V.; Rašković, B. Sex-specific elemental accumulation and histopathology of pikeperch (Sander lucioperca) from Garaši reservoir (Serbia) with human health risk assessment. Environ. Sci. Pollut. Res. 2021, 28, 53700–53711. [Google Scholar] [CrossRef]
- Nikolić, D.; Skorić, S.; Mićković, B.; Nikčević, M.; Smederevac-Lalić, M.; Djikanović, V. Accumulation of 25 elements in gills, liver, gonads, and muscle of European chub (Squalius cephalus), Cactus roach (Rutilus virgo), and pikeperch (Sander lucioperca) from Zlatar reservoir (Serbia). Environ. Sci. Pollut. Res. 2022, 29, 50271–50280. [Google Scholar] [CrossRef]
- Khemis, I.B.; Besbes Aridh, N.; Hamza, N.; M’Hetli, M.; Sadok, S. Heavy metals and minerals contents in pikeperch (Sander lucioperca), carp (Cyprinus carpio) and flathead grey mullet (Mugil cephalus) from Sidi Salem Reservoir (Tunisia): Health risk assessment related to fish consumption. Environ. Sci. Pollut. Res. 2017, 24, 19494–19507. [Google Scholar] [CrossRef]
- Walker, C.H.; Sibly, R.M.; Hopkin, S.P.; Peakall, D.B. Principles of Ecotoxicology, 4th ed.; CRC Press: Boca Raton, FL, USA; Taylor & Francis Group: Abingdon, UK, 2012; pp. 1–352. [Google Scholar]
- Darnerud, P.O.; Atuma, S.; Aune, M.; Bjerselius, R.; Glynn, A.; Petersson Grawé, K.; Becker, W. Dietary intake estimations of organohalogen contaminants (dioxins, PCB, PBDE and chlorinated pesticides, e.g., DDT) based on Swedish market basket data. Food Chem. Toxicol. 2006, 44, 1597–1606. [Google Scholar] [CrossRef] [PubMed]
- Milardi, M.; Lappalainen, J.; Malinen, T.; Vinni, M.; Ruuhijärvi, J. Problems in managing a slow-growing pikeperch (Sander lucioperca (L.)) population in Southern Finland. Knowl. Manag. Aquat. Ecosyst. 2011, 400, 8. [Google Scholar] [CrossRef]
- Karadžić, V.; Subakov-Simić, G.; Krizmanić, J.; Natić, D. Phytoplankton and eutrophication development in the water supply reservoirs Garaši and Bukulja (Serbia). Desalination 2010, 255, 91–96. [Google Scholar] [CrossRef]
- Official Gazette of the Republic of Serbia No. 56/2015 & 94/2018 (2018a). Naredba o Merama za Očuvanje i Zaštitu Ribljeg Fonda. [Order on Measures for Conservation and Protection of Fish Stocks]. [In Serbian]. Available online: http://www.pravno-informacioni-sistem.rs/SlGlasnikPortal/eli/rep/sgrs/ministarstva/naredba/2015/56/1/reg (accessed on 11 June 2023).
- Ricker, W.E. Computation and Interpretation of Biological Statistics of Fish Populations; Reprint; Department of the Environment, Fisheries and Marine Service, Bulletin Fisheries Research Board Canada, University of Michigan: Ann Arbor, MI, USA, 1975; Volume 191, pp. 1–382. [Google Scholar]
- Nikolić, D.; Poleksić, V.; Skorić, S.; Tasić, A.; Stanojević, S.; Rašković, B. The European Chub (Squalius cephalus) as an Indicator of Reservoirs Pollution and Human Health Risk Assessment Associated with Its Consumption. Environ. Pollut. 2022, 310, 119871. [Google Scholar] [CrossRef] [PubMed]
- Official Gazette of the Republic of Serbia No. 22/2018 & 90/2018 (2018b). Regulation on the Maximum Permitted Residue Levels of Pesticides in Food and Animal Feed and Feed and Animal Feed for Which Maximum Quantities of Residues of Pesticides Are Permitted. Annex 5—Regulation on Maximum Allowed Amounts of Certain Contaminants in Food and Feed for Animals of Plant and Animal Origin. (In Serbian). Available online: www.pravno-informacioni-sistem.rs/SlGlasnikPortal/prilozi/5.html&doctype=reg&abc=cba&eli=true&eliActId=427071®actid=427071 (accessed on 11 June 2023).
- European Commission Regulation (EC) No 1881/2006 of 19 December 2006 Setting Maximum Levels for Certain Contaminants in Foodstuffs (Text with EEA relevance). Official Journal of the European Union No. 1881/2006 364:5-24. Available online: https://eurlex.europa.eu/eli/reg/200-6/1881/oj (accessed on 23 January 2022).
- Usero, J.; Gonzalez-Regalado, E.; Gracia, I. Trace metals in the bivalve molluscs Ruditapes decussatus and Ruditapes philippinarum from the Atlantic Coast of Southern Spain. Environ. Int. 1997, 23, 291–298. [Google Scholar] [CrossRef]
- European Commission (EC) SANTE 11312/2021-Analytical Quality Control and Method Validation Procedures for Pesticide Residues Analysis in Food and Feed. 2021. Available online: https://food.ec.europa.eu/system/files/2022-02/pesticides_mrl_guidelines_wrkdoc_2021-11312.pdf (accessed on 11 June 2023).
- Official Gazette of the Republic of Serbia Nos. 32/2002, 25/2010 & 28/2011 2011. Regulation on the Quantities of Pesticides, Metals and Metalloids and Other Toxic Substances, Chemotherapeutics, Anabolics and Other Substances That Can Be Found in Food. (In Serbian). Available online: https://www.pravno-informacioni-sistem.rs/SlGlasnikPortal/eli/rep/slsrj/ministarstva/pravilnik/1992/5/1/reg (accessed on 11 June 2023).
- Esmaeilbeigi, M.; Kalbassi, M.R.; Seyedi, J.; Tayemeh, M.B.; Moghaddam, J.A. Intra and extracellular effects of benzo [α] pyrene on liver, gill and blood of Caspian White fish (Rutilus frissi kutum): Cyto-genotoxicity and histopathology approach. Mar. Pollut. Bull. 2021, 163, 111942. [Google Scholar] [CrossRef] [PubMed]
- Kostić-Vuković, J.; Kolarević, S.; Kračun-Kolarević, M.; Višnjić-Jeftić, Ž.; Rašković, B.; Poleksić, V.; Gačić, Z.; Lenhardt, M.; Vuković-Gačić, B. Temporal variation of biomarkers in common bream Abramis brama (L., 1758) exposed to untreated municipal wastewater in the Danube River in Belgrade, Serbia. Environ. Monit. Assess. 2021, 193, 465. [Google Scholar] [CrossRef] [PubMed]
- Santos, R.M.B.; Monteiro, S.M.V.; Cortes, R.M.V.; Pacheco, F.A.L.; Fernandes, L.F.S. Seasonal differences in water pollution and liver histopathology of Iberian barbel (Luciobarbus bocagei) and Douro nase (Pseudochondrostoma duriense) in an agricultural watershed. Water 2022, 14, 444. [Google Scholar] [CrossRef]
- Bernet, D.; Schmidt, H.; Meier, W.; Burkhardt-Holm, P.; Wahli, T. Histopathology in fish: Proposal for a protocol to assess aquatic pollution. J. Fish Dis. 1999, 22, 25–34. [Google Scholar] [CrossRef]
- Hamilton, P.B.; Rolshausen, G.; Uren Webster, T.M.; Tyler, C.R. Adaptive capabilities and fitness consequences associated with pollution exposure in fish. Phil. Trans. R. Soc. B 2017, 372, 20160042. [Google Scholar] [CrossRef]
- Cerveny, D.; Zlabek, V.; Velisek, J.; Turek, J.; Grabic, R.; Grabicova, K.; Fedorova, G.; Rosmus, J.; Lepic, P.; Randak, T. Contamination of fish in important fishing grounds of the Czech Republic. Ecotoxicol. Environ. Saf. 2014, 109, 101–109. [Google Scholar] [CrossRef]
- Ivanović, J.; Janjić, J.; Baltić, M.; Milanov, R.; Bošković, M.; Marković, R.V.; Glamočlija, N. Metal concentrations in water, sediment and three fish species from the Danube River, Serbia: A cause for environmental concern. Environ. Sci. Pollut. Res. 2016, 23, 17105–17112. [Google Scholar] [CrossRef]
- Kopp, D.; Cucherousset, J.; Syväranta, J.; Martino, A.; Céréghino, R.; Santoul, F. Trophic ecology of the pikeperch (Sander lucioperca) in its introduced areas: A stable isotope approach in southwestern France. Comptes Rendus Biol. 2009, 332, 741–746. [Google Scholar] [CrossRef]
- Nikolić, D.; Skorić, S.; Đikanović, V.; Mićković, B.; Hegediš, A.; Lenhardt, M.; Krpo-Ćetković, J. Toxic elements in water and sediment from six reservoirs in Serbia. Water Res. Manag. 2020, 10, 13–18. [Google Scholar]
- IARC Monographs on the Evaluation of Carcinogenic Risks to Humans Beryllium, Cadmium, Mercury and Exposures in the Glass Manufacturing Industry; IARC Scientific Publications WHO International Agency for Research on Cancer: Lyon, France, 1993; Volume 58, pp. 119–237.
- Bertin, G.; Averbeck, D. Cadmium: Cellular effects, modifications of biomolecules, modulation of DNA repair and genotoxic consequences (a review). Biochimie 2006, 88, 1549–1559. [Google Scholar] [CrossRef]
- Waalkes, M.P. Cadmium carcinogenesis. Mutat. Res. 2003, 533, 107–120. [Google Scholar] [CrossRef] [PubMed]
- Tchounwou, P.B.; Ayensu, W.K.; Ninashvili, N.; Sutton, D. Environmental exposure to mercury and its toxicopathologic implications for public health. Environ. Toxicol. 2003, 18, 149–175. [Google Scholar] [CrossRef]
- Gochfeld, M. Cases of mercury exposure, bioavailability, and absorption. Ecotoxicol. Environ. Saf. 2003, 56, 174–179. [Google Scholar] [CrossRef] [PubMed]
- Davidson, P.W.; Myers, G.J.; Weiss, B. Mercury exposure and child development outcomes. Pediatrics 2004, 113, 1023–1029. [Google Scholar] [CrossRef] [PubMed]
- Nabavi, S.F.; Nabavi, S.M.; Latifi, A.M.; Eslami, S.; Ebrahimzadeh, M.A. Determination of trace elements level of pikeperch collected from the Caspian Sea. Bull. Environ. Contam. Toxicol. 2012, 88, 401–405. [Google Scholar] [CrossRef] [PubMed]
- Subotić, S.; Spasić, S.; Višnjić-Jeftić, Ž.; Hegediš, A.; Krpo-Ćetković, J.; Mićković, B.; Skorić, S.; Lenhardt, M. Heavy metal and trace element bioaccumulation in target tissues of four edible fish species from the Danube River (Serbia). Ecotoxicol. Environ. Saf. 2013, 98, 196–202. [Google Scholar] [CrossRef] [PubMed]
- Jovanović, D.A.; Marković, R.V.; Teodorović, V.B.; Šefer, D.S.; Krstić, M.P.; Radulović, S.B.; Ivanović Ćirić, J.S.; Janjić, J.M.; Baltić, M.Ž. Determination of heavy metals in muscle tissue of six fish species with different feeding habits from the Danube River, Belgrade—Public health and environmental risk assessment. Environ. Sci. Pollut. Res. 2017, 24, 11383–11391. [Google Scholar] [CrossRef] [PubMed]
- Milošković, A.; Branković, S.; Simić, V.; Kovačević, S.; Ćirković, M.; Manojlović, D. The accumulation and distribution of metals in water, sediment, aquatic macrophytes and fishes of the Gruža Reservoir, Serbia. Bull. Environ. Contam. Toxicol. 2013, 90, 563–569. [Google Scholar] [CrossRef] [PubMed]
- Milošković, A.; Dojčinović, B.; Kovačević, S.; Radojković, N.; Radenković, M.; Milošević, D.; Simić, V. Spatial monitoring of heavy metals in the inland waters of Serbia: A multispecies approach based on commercial fish. Environ. Sci. Pollut. Res. 2016, 23, 9918–9933. [Google Scholar] [CrossRef]
- Noël, L.; Chekri, R.; Millour, S.; Merlo, M.; Leblanc, J.C.; Guérin, T. Distribution and relationships of As, Cd, Pb and Hg in freshwater fish from five French fishing areas. Chemosphere 2013, 90, 1900–1910. [Google Scholar] [CrossRef] [PubMed]
- Altındağ, A.; Yiğit, S. Assessment of heavy metal concentrations in the food web of lake Beyşehir, Turkey. Chemosphere 2005, 60, 552–556. [Google Scholar] [CrossRef]
- Mazej, Z.; Sayegh-Petkovšek, A.; Pokorny, B. Heavy metal concentrations in food chain of Lake Velenjsko jezero, Slovenia: An artificial lake from mining. Arch. Environ. 2010, 58, 998–1007. [Google Scholar] [CrossRef]
- Perry, S.F.; Davie, P.S.; Daxboeck, C.; Ellis, A.G.; Smith, D.G. 10 Perfusion methods for the study of gill physiology. In Fish Physiology; Hoar, W.S., Randall, D.J., Eds.; Academic Press: Cambridge, MA, USA, 1984; Volume 10, pp. 325–388. [Google Scholar] [CrossRef]
- Delahaut, V.; Rašković, B.; Salvado, M.S.; Bervoets, L.; Blust, R.; De Boeck, G. Toxicity and bioaccumulation of Cadmium, Copper and Zinc in a direct comparison at equitoxic concentrations in common carp (Cyprinus carpio) juveniles. PLoS ONE 2020, 15, e0220485. [Google Scholar] [CrossRef]
- Olsson, P.E.; Kling, P.; Hogstrand, C. Mechanisms of heavy metal accumulation and toxicity in fish. In Metal Metabolism in Aquatic Environments; Langston, W.J., Bebianno, M.J., Eds.; Springer: Boston, MA, USA, 1998; pp. 321–350. [Google Scholar] [CrossRef]
- Sun, Q.; Li, Y.; Shi, L.; Hussain, R.; Mehmood, K.; Tang, Z.; Zhang, H. Heavy metals induced mitochondrial dysfunction in animals: Molecular mechanism of toxicity. Toxicology 2022, 469, 153136. [Google Scholar] [CrossRef]
- Velma, V.; Tchounwou, P.B. Chromium-induced biochemical, genotoxic and histopathologic effects in liver and kidney of goldfish, Carassius auratus. Mutat. Res. Genet. Toxicol. Environ. Mutagen. 2010, 698, 43–51. [Google Scholar] [CrossRef]
- Javed, M.; Ahmad, I.; Usmani, N.; Ahmad, M. Studies on biomarkers of oxidative stress and associated genotoxicity and histopathology in Channa punctatus from heavy metal polluted canal. Chemosphere 2016, 151, 210–219. [Google Scholar] [CrossRef]
- Zhu, Q.L.; Li, W.Y.; Zheng, J.L. Life-cycle exposure to cadmium induced compensatory responses towards oxidative stress in the liver of female zebrafish. Chemosphere 2018, 210, 949–957. [Google Scholar] [CrossRef]
- Atamanalp, M.; Sisman, T.; Geyikoglu, F.; Topal, A. The histopathological effects of copper sulphate on rainbow trout liver (Oncorhynchus mykiss). J. Fish. Aquat. Sci. 2008, 3, 291–297. [Google Scholar] [CrossRef]
- Younis, E.M.; Abdel-Warith, A.A.; Al-Asgah, N.A.; Ebaid, H.; Mubarak, M. Histological changes in the liver and intestine of Nile tilapia, Oreochromis niloticus, exposed to sublethal concentrations of cadmium. Pak. J. Zool. 2013, 45, 833–841. [Google Scholar]
- Kostić, J.; Kolarević, S.; Kračun-Kolarević, M.; Aborgiba, M.; Gačić, Z.; Paunović, M.; Višnjić-Jeftić, Ž.; Rašković, B.; Poleksić, V.; Lenhardt, M.; et al. The impact of multiple stressors on the biomarkers response in gills and liver of freshwater breams during different seasons. Sci. Total Environ. 2017, 601, 1670–1681. [Google Scholar] [CrossRef] [PubMed]

| Age | ||||||
|---|---|---|---|---|---|---|
| 3+ | BT | 4+ | BT | BG | ||
| n | 8 | 12 | ||||
| L | 37.4 ± 3.6 | 45.6 ± 3.5 | ||||
| W | 422.6 ± 119.8 | 774.6 ± 157.7 | ||||
| CF | 0.79 ± 0.03 | 0.82 ± 0.12 | ||||
| Tissue | ||||||
| MPI | Muscle | 3.38 | 2.15 | |||
| Gills | 6.29 | 7.60 | ||||
| Liver | 5.60 | 4.08 | ||||
| Ag | Muscle | 0.01 ± 0.01 | 0.01 ± 0.01 | |||
| Gills | 0.04 † | 0.01 † | ||||
| Liver | 0.01 ± 0.01 | 0.01 ± 0.01 | ||||
| Al | Muscle | 55.13 ± 60.40 | 32.09 ± 19.25 | |||
| Gills | 71.11 ± 88.28 | 228.71 ± 321.69 | ||||
| Liver | 83.55 ± 82.00 | 44.23 ± 29.51 | ||||
| As | Muscle | 0.09 ± 0.11 | 0.21 ± 0.23 | |||
| Gills | 0.15 ± 0.15 | 0.16 ± 0.19 | ||||
| Liver | 0.11 ± 0.16 | 0.16 ± 0.26 | ||||
| B | Muscle | 0.58 ± 0.60 | 0.28 ± 0.50 b | |||
| Gills | 0.62 ± 0.27 | 1.91 ± 2.48 a | * | |||
| Liver | 1.36 ± 1.17 | 0.99 ± 1.17 a | ||||
| Ba | Muscle | 1.33 ± 1.11 | 1.56 ± 1.01 | |||
| Gills | 1.53 ± 1.30 | 1.18 ± 1.23 | ||||
| Liver | 1.16 ± 1.08 | 1.25 ± 1.06 | ||||
| Ca | Muscle | 3503.81 ± 3448.33 b | 1474.72 ± 958.03 b | |||
| Gills | 23209.67 ± 5389.49 a | *** | 20661.45 ± 5731.74 a | *** | ||
| Liver | 599.71 ± 379.96 c | 607.64 ± 442.34 c | ||||
| Cd | Muscle | 0.15 ± 0.02 c, A | 0.12 ± 0.02 b, B | * | ||
| Gills | 0.27 ± 0.10 a | *** | 0.24 ± 0.07 a | ** | ||
| Liver | 0.18, 0.12 ‡,b | 0.28 ± 0.48 a | ||||
| Co | Muscle | 0.05 ± 0.01 a | 0.04 ± 0.02 a | |||
| Gills | 0.04 ± 0.03 a | *** | 0.03 ± 0.02 a | *** | ||
| Liver | ND b | 0.004 ± 0.01 b | ||||
| Cr | Muscle | 0.19 ± 0.08 a | 0.22 ± 0.09 a | |||
| Gills | 0.16, 0.06 ‡ b | *** | 0.04 ± 0.09 b | *** | ||
| Liver | 0.26 ± 0.08 a | 0.23 ± 0.04 a | ||||
| Cu | Muscle | ND b | 0.10 † b | |||
| Gills | ND b | * | ND b | * | ||
| Liver | 7.46 ± 17.75 a | 1.23 ± 2.00 a | ||||
| Fe | Muscle | 55.16 ± 96.63 c | 26.10 ± 20.01 b | |||
| Gills | 153.20 ± 118.64 b | ** | 324.24 ± 291.66 a | *** | ||
| Liver | 401.10 ± 222.87 a | 373.97 ± 354.04 a | ||||
| Hg | Muscle | 1.49 ± 0.50 a | 1.67 ± 1.02 a | |||
| Gills | 0.43 ± 0.24 b | ** | 0.36 ± 0.31 b | ** | ||
| Liver | 0.90 ± 0.52 b | 1.24 ± 1.00 a | ||||
| K | Muscle | 9457.53 ± 688.14 a | 8466.27 ± 1465.18 a | |||
| Gills | 6075.07 ± 1215.45 b | *** | 6683.34 ± 571.74 b | *** | ||
| Liver | 6744.30 ± 750.41 b | 6968.08 ± 815.62 b | ||||
| Li | Muscle | 0.30 ± 0.32 b | 0.41 ± 0.27 b | |||
| Gills | 1.29 ± 0.77 a | * | 2.07 ± 1.60 a | * | ||
| Liver | 0.56 ± 0.40 ab | 0.50 ± 0.97 b | ||||
| Mg | Muscle | 1246.11 ± 183.56 a | 1075.11 ± 224.32 a | |||
| Gills | 1397.34 ± 379.14 a | ** | 1283.96 ± 451.70 a | *** | ||
| Liver | 659.34 ± 139.46 b | 667.71 ± 131.36 b | ||||
| Mn | Muscle | 0.15 ± 0.24 c | 0.08 ± 0.15 c | |||
| Gills | 16.29 ± 8.08 a | *** | 16.36 ± 7.63 a | *** | ||
| Liver | 4.46 ± 3.79 b | 5.73 ± 2.88 b | ||||
| Mo | Muscle | 0.09 ± 0.10 b | 0.08 ± 0.07 b | |||
| Gills | 0.13 ± 0.04 b | *** | 0.32 ± 0.65 a | *** | ||
| Liver | 0.48 ± 0.22 a | 0.38 ± 0.16 a | ||||
| Na | Muscle | 2065.22 ± 376.42 b, A | 1594.13 ± 269.53 b, B | *** | ||
| Gills | 3575.45 ± 744.28 a | *** | 3282.75 ± 181.35 a | *** | ||
| Liver | 3210.68 ± 391.50 a | 3086.44 ±296.70 a | ||||
| Ni | Muscle | 1.10 ± 0.19 | 1.12 ± 0.17 | |||
| Gills | 1.29 ± 0.38 | 1.16 ± 0.24 | ||||
| Liver | 1.18 ± 0.28 | 1.21 ± 0.14 | ||||
| P | Muscle | 7698.28 ± 1892.31 b, A | 6121.35 ± 1423.87 c, B | * | ||
| Gills | 28431.54 ± 10063.35 a | *** | 22684.94 ± 11497.63 a | *** | ||
| Liver | 8520.23 ± 2069.44 b | 8854.67 ± 1619.43 b | ||||
| Pb | Muscle | 0.10 ± 0.09 | 0.03 ± 0.06 b | |||
| Gills | 0.45 ± 0.48 | 2.74 ± 4.58 a | *** | |||
| Liver | 0.09, 0.08 ‡ | 0.08 ± 0.08 b | ||||
| S | Muscle | 9379.51 ±1935.98 a | 8851.37 ± 2459.50 a | |||
| Gills | 5052.70 ± 455.58 b | ** | 4935.37 ± 1925.17 b | *** | ||
| Liver | 6201.48 ± 1967.55 b | 5418.45 ± 1593.82 b | ||||
| Se | Muscle | 3.06 ± 1.87 b | 2.65 ± 1.43 b | |||
| Gills | 10.13 ± 4.21 a | ** | 7.54 ± 4.97 a | * | ||
| Liver | 5.00 ± 1.75 b | 3.38 ± 2.77 b | ||||
| Si | Muscle | 67.47 ± 86.86 | 49.40 ± 30.82 b | |||
| Gills | 125.52 ± 146.14 | 325.62 ± 412.45 a | * | |||
| Liver | 64.71 ± 71.47 | 41.07 ± 33.61 b | ||||
| Sr | Muscle | ND b | ND b | |||
| Gills | 42.13 ± 26.23 a | *** | 29.94 ± 27.22 a | *** | ||
| Liver | ND b | ND b | ||||
| Zn | Muscle | 17.62 ± 4.32 b | 14.17 ± 2.32 b | |||
| Gills | 64.26 ± 6.97 a | *** | 55.76 ± 10.68 a | *** | ||
| Liver | 59.44 ± 16.00 a | 52.00 ± 12.44 a | ||||
| Age Class | |||
|---|---|---|---|
| Histopathological Alteration | IF | 3+ | 4+ |
| Gills | |||
| Hyperaemia | 1 | 2.0 ± 3.5 | 1.8 ± 1.8 |
| Edema of primary epithelium | 1 | 4.7 ± 1.2 | 3.0 ± 1.7 |
| Edema of secondary epithelium | 1 | 1.3 ± 2.3 | 1.0 ± 1.1 |
| Hypertrophy of epithelial cells | 1 | 2.0 ± 0.0 | 0.8 ± 1.0 |
| Architectural and structural alterations | 1 | 0.7 ± 1.2 | 0.2 ± 0.6 |
| Presence of eosinophilic granular cell | 1 | 0.7 ± 1.2 | 1.4 ± 1.9 |
| Hyperplasia of epithelial cells | 2 | ND | 0.4 ± 0.8 |
| Leukocyte infiltration | 2 | 0.7 ± 1.2 | 1.4 ± 1.9 |
| Necrosis | 3 | ND | 0.2 ± 0.6 |
| IGP | 2.0 ± 0.0 | 1.6 ± 1.6 | |
| IGC | 6.6 ± 4.6 | 4.8 ± 2.9 | |
| IGR | 2.0 ± 2.0 | 1.8 ± 2.4 | |
| IGI | 2.0 ± 2.0 | 4.2 ± 4.8 | |
| IG | 12.7 ± 7.0 | 12.4 ± 8.0 | |
| Liver | |||
| Sinusoidal congestion | 1 | 4.0 ± 2.4 | 2.0 ± 2.3 |
| Sinusoidal dilation | 1 | 2.8 ± 3.0 | 1.0 ± 2.3 |
| Fatty degeneration | 1 | 2.3 ± 1.7 | 1.7 ± 2.4 |
| Fibrosis of periportal and portal areas | 2 | 0.5 ± 0.9 | 1.2 ± 1.6 |
| Pyknosis of hepatocytes` nuclei | 2 | 1.5 ± 1.8 | 1.3 ± 1.3 |
| Vacuolation of hepatocytes | 2 | 2.5 ± 2.6 | 2.2 ± 2.5 |
| Stasis | 2 | 3.5 ± 3.0 | 1.2 ± 2.3 |
| Leukocyte infiltration | 2 | ND | 1.0 ± 1.8 |
| Necrosis | 3 | 1.8 ± 2.0 | 0.7 ± 1.0 |
| ILP | 1.0 ± 1.9 | 2.3 ± 3.2 | |
| ILC | 7.5 ± 5.3 | 3.2 ± 3.5 | |
| ILR | 18.3 ± 13.4 | 11.7 ± 7.1 | |
| ILI | ND | 2.0 ± 3.6 | |
| IL | 26.8 ± 16.5 | 19.2 ± 12.3 | |
| IT | 31.5 ± 16.2 | 29.5 ± 10.9 | |
Disclaimer/Publisher’s Note: The statements, opinions and data contained in all publications are solely those of the individual author(s) and contributor(s) and not of MDPI and/or the editor(s). MDPI and/or the editor(s) disclaim responsibility for any injury to people or property resulting from any ideas, methods, instructions or products referred to in the content. |
© 2023 by the authors. Licensee MDPI, Basel, Switzerland. This article is an open access article distributed under the terms and conditions of the Creative Commons Attribution (CC BY) license (https://creativecommons.org/licenses/by/4.0/).
Share and Cite
Nikolić, D.; Poleksić, V.; Tasić, A.; Smederevac-Lalić, M.; Djikanović, V.; Rašković, B. Two Age Groups of Adult Pikeperch (Sander lucioperca) as Bioindicators of Aquatic Pollution. Sustainability 2023, 15, 11321. https://doi.org/10.3390/su151411321
Nikolić D, Poleksić V, Tasić A, Smederevac-Lalić M, Djikanović V, Rašković B. Two Age Groups of Adult Pikeperch (Sander lucioperca) as Bioindicators of Aquatic Pollution. Sustainability. 2023; 15(14):11321. https://doi.org/10.3390/su151411321
Chicago/Turabian StyleNikolić, Dušan, Vesna Poleksić, Aleksandra Tasić, Marija Smederevac-Lalić, Vesna Djikanović, and Božidar Rašković. 2023. "Two Age Groups of Adult Pikeperch (Sander lucioperca) as Bioindicators of Aquatic Pollution" Sustainability 15, no. 14: 11321. https://doi.org/10.3390/su151411321
APA StyleNikolić, D., Poleksić, V., Tasić, A., Smederevac-Lalić, M., Djikanović, V., & Rašković, B. (2023). Two Age Groups of Adult Pikeperch (Sander lucioperca) as Bioindicators of Aquatic Pollution. Sustainability, 15(14), 11321. https://doi.org/10.3390/su151411321

