Clear Cell Renal Carcinoma in an Ulcerative Colitis Patient Under Short-Term Immunosuppressive Therapy: A Case Report
Abstract
1. Introduction
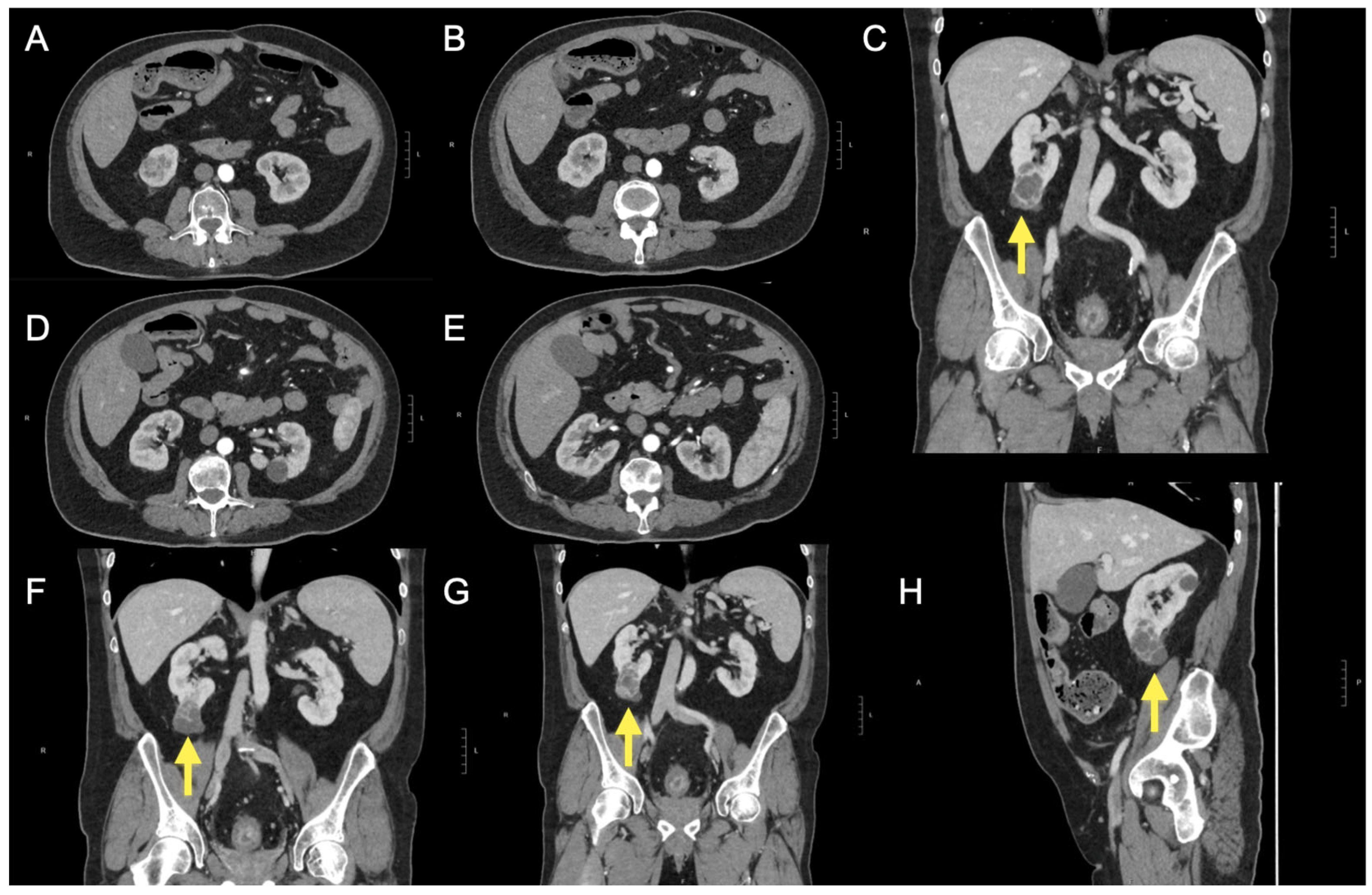
2. Case Presentation
3. Discussion
3.1. What are the Possible Considerations in This Case Report?
3.2. The Risk of Renal Cancer During Immunosuppressive Therapy in IBD
3.3. Case Report Limitations
4. Conclusions
Author Contributions
Funding
Institutional Review Board Statement
Informed Consent Statement
Data Availability Statement
Conflicts of Interest
Appendix A
| Parameter | Value | Normal Values | Unit of Measurement |
|---|---|---|---|
| WBC | 6.28 | 4–11 | 103/µL |
| RBC | 4.61 | 4.5–6 | 106/µL |
| RET | 0.17 | 0.025–0.075 | 106/µL |
| HGB | 7.9 | 13–17.5 | g/dL |
| HCT | 29.8 | 42–51 | % |
| MCV | 64.6 | 82–96 | fL |
| MCH | 17.1 | 27–31 | pg |
| RDW-SD | 43.7 | 36–43 | fL |
| PLT | 384 | 150–450 | 103/µL |
| PT | 10.6 | 9–13 | s |
| INR | 0.92 | 0.8–1.2 | N.A. |
| aPTT | 27.8 | 24–38 | s |
| Fibrinogen | 484 | 200–450 | mg/dL |
| Blood glucose | 92 | 70–100 | mg/dL |
| Urea | 37 | 10–50 | mg/dL |
| Creatinine | 0.84 | 0.67–1.17 | mg/dL |
| Uric acid | 4.6 | 3.4–7 | mg/dL |
| Na+ | 141 | 135–146 | mEq/L |
| K+ | 4.2 | 3.5–5.3 | mEq/L |
| Cl- | 108 | 98–111 | mEq/L |
| Mg2+ | 1.9 | 1.6–2.6 | mg/dL |
| Ca2+ | 9 | 8.6–10.2 | mg/dL |
| ALT | 15 | 5–41 | U/L |
| AST | 16 | 5–40 | U/L |
| Amylase | 94 | 28–100 | U/L |
| Lipase | 34 | 13–78 | U/L |
| Alkaline phosphatase | 58 | 40–129 | U/L |
| CPK | 51 | 60–190 | U/L |
| LDH | 153 | 120–240 | U/L |
| CRP | 1.9 | 0–1 | mg/dL |
| Cholinesterase | 8241 | 5320–12,920 | U/L |
| Total bilirubin | 0.36 | <1.2 | mg/dL |
| Conjugated bilirubin | 0.14 | <0.3 | mg/dL |
| Unconjugated bilirubin | 0.22 | <0.75 | mg/dL |
| Total proteins | 6.9 | 6.6–8.7 | g/dL |
| Albumin | 3.9 | 3.5–5.5 | g/dL |
| Serum iron | 14 | 59–158 | µg/dL |
| Ferritin | 2 | 30–400 | ng/dL |
| Transferrin | 315 | 191–337 | mg/dL |
| ESR | 34 | 2–15 | mm/h |
| IgA | 313 | 70–400 | mg/dL |
| IgG | 1210 | 700–1600 | mg/dL |
| IgM | 138 | 40–230 | mg/dL |
| Anti-endomysial IgA | Absent | Absent | - |
| IgA anti-Tg | 3.2 | <20 | U/mL |
| IgG anti-Tg | 3.2 | <9 | U/mL |
| HBsAg | 0.03 | <0.05 | IU/mL |
| HBsAb | <3 | >9 | mUI/mL |
| HBcAb | Absent | Absent | - |
| HBeAb | Absent | Absent | - |
| HCVAb | Absent | Absent | - |
| Vitamin B12 | 275 | 187–883 | pg/mL |
| HDL | 30 | >35 | mg/dL |
| LDL | 94 | 10–129 | mg/dL |
| Total cholesterol | 164 | 60–200 | mg/dL |
| QuantiFERON-TB Gold plus test for Mycobacterium tuberculosis: IFN-γ after stimulation with TB-specific antigens TB1 (CD4) | 0 | <0.35 | UI/mL |
| QuantiFERON-TB Gold plus test for Mycobacterium tuberculosis: IFN-γ after stimulation with TB-specific antigens TB2 (CD4/CD8) | 0 | <0.35 | UI/mL |
| QuantiFERON-TB Gold plus test for Mycobacterium tuberculosis: IFN-γ after stimulation with mitogen | 9.9 | ≥0.5 | UI/mL |
References
- Ungaro, R.; Mehandru, S.; Allen, P.B.; Peyrin-Biroulet, L.; Colombel, J.-F. Ulcerative Colitis. Lancet 2017, 389, 1756–1770. [Google Scholar] [CrossRef] [PubMed]
- Eaden, J.A.; Abrams, K.R.; Mayberry, J.F. The Risk of Colorectal Cancer in Ulcerative Colitis: A Meta-Analysis. Gut 2001, 48, 526–535. [Google Scholar] [CrossRef] [PubMed]
- Feng, D.; Bai, Y.; Liu, S.; Yang, Y.; Han, P.; Wei, W. Risk of Renal Cancer in Patients with Inflammatory Bowel Disease: A Pooled Analysis of Population-Based Studies. Urol. Oncol. 2021, 39, 93–99. [Google Scholar] [CrossRef] [PubMed]
- Piovani, D.; Hassan, C.; Repici, A.; Rimassa, L.; Carlo-Stella, C.; Nikolopoulos, G.K.; Riboli, E.; Bonovas, S. Risk of Cancer in Inflammatory Bowel Diseases: Umbrella Review and Reanalysis of Meta-Analyses. Gastroenterology 2022, 163, 671–684. [Google Scholar] [CrossRef] [PubMed]
- Gao, H.; Zheng, S.; Yuan, X.; Xie, J.; Xu, L. Causal Association between Inflammatory Bowel Disease and 32 Site-Specific Extracolonic Cancers: A Mendelian Randomization Study. BMC Med. 2023, 21, 389. [Google Scholar] [CrossRef] [PubMed]
- Gordon, H.; Biancone, L.; Fiorino, G.; Katsanos, K.H.; Kopylov, U.; Al Sulais, E.; Axelrad, J.E.; Balendran, K.; Burisch, J.; de Ridder, L.; et al. ECCO Guidelines on Inflammatory Bowel Disease and Malignancies. J. Crohns Colitis 2023, 17, 827–854. [Google Scholar] [CrossRef] [PubMed]
- Casellas, F.; Sardi, J.; Malagelada, J.R. [Renal cell carcinoma and ulcerative colitis]. Rev. Esp. Enferm. Dig. 2002, 94, 107–108. [Google Scholar] [PubMed]
- Satsangi, J.; Marshall, J.; Roskell, D.; Jewell, D. Ulcerative Colitis Complicated by Renal Cell Carcinoma: A Series of Three Patients. Gut 1996, 38, 148–150. [Google Scholar] [CrossRef] [PubMed]
- Plaisier, P.W. Ulcerative Colitis and Renal Cell Carcinoma. Gut 1996, 38, 936. [Google Scholar] [CrossRef] [PubMed]
- Derikx, L.A.A.P.; Nissen, L.H.C.; Drenth, J.P.H.; van Herpen, C.M.; Kievit, W.; Verhoeven, R.H.A.; Mulders, P.F.A.; Hulsbergen-van de Kaa, C.A.; Boers-Sonderen, M.J.; van den Heuvel, T.R.A.; et al. Better Survival of Renal Cell Carcinoma in Patients with Inflammatory Bowel Disease. Oncotarget 2015, 6, 38336–38347. [Google Scholar] [CrossRef] [PubMed]
- Kukulska, M.; Smola, I.; Halon, A.; Paradowski, L.; Poniewierka, E.; Kempinski, R.; Annabhani, A. A Case of Severe Ulcerative Colitis with Colonic Dilatation Caused by Renal Mucinous Tubular and Spindle Cell Carcinoma. Euroasian J. Hepatogastroenterol. 2016, 6, 190–193. [Google Scholar] [CrossRef] [PubMed]
- Zarur, F.P.; d’Almeida, L.F.V.; Mafort, M.S.P.; de Gusmão, P.R.; Avelleira, J.C.R. Two Cases of Renal Cell Cancer during Immunobiologic Therapy for Psoriasis. An. Bras. Dermatol. 2014, 89, 1017–1018. [Google Scholar] [CrossRef] [PubMed]
- Williams, C.J.M.; Peyrin-Biroulet, L.; Ford, A.C. Systematic Review with Meta-Analysis: Malignancies with Anti-Tumour Necrosis Factor-α Therapy in Inflammatory Bowel Disease. Aliment. Pharmacol. Ther. 2014, 39, 447–458. [Google Scholar] [CrossRef] [PubMed]
- Olivera, P.A.; Lasa, J.S.; Bonovas, S.; Danese, S.; Peyrin-Biroulet, L. Safety of Janus Kinase Inhibitors in Patients with Inflammatory Bowel Diseases or Other Immune-Mediated Diseases: A Systematic Review and Meta-Analysis. Gastroenterology 2020, 158, 1554–1573.e12. [Google Scholar] [CrossRef] [PubMed]
- Chen, L.; Su, C.; Ding, H.; Mei, Q. Small Molecules for Inflammatory Bowel Disease and the Risk of Infection and Malignancy: A Systematic Review and Meta-Analysis. Dig. Liver Dis. 2024, 56, 1828–1838. [Google Scholar] [CrossRef] [PubMed]
- Muller, M.; D’Amico, F.; Bonovas, S.; Danese, S.; Peyrin-Biroulet, L. TNF Inhibitors and Risk of Malignancy in Patients with Inflammatory Bowel Diseases: A Systematic Review. J. Crohns Colitis 2021, 15, 840–859. [Google Scholar] [CrossRef] [PubMed]
- Byun, J.M.; Baek, S.K.; Yoon, H.-J.; Kim, S.-Y.; Maeng, C.H.; Park, T.S.; Kim, H.-J.; Choi, Y.Y.; Um, Y.J. Thyroid Cancer and T Lymphoblastic Leukemia in Crohn Disease: A Case Report and Literature Review. Lab. Med. 2015, 46, 140–145. [Google Scholar] [CrossRef] [PubMed]
- Pellegrino, R.; Palladino, G.; Pagliuca, F.; Lucà, S.; Federico, A.; Gravina, A.G. Cutaneous Kaposi’s Sarcoma Following Long-Term Infliximab Treatment in a Patient with HIV-Negative Antibiotic-Dependent Chronic Pouchitis: Considerations on an Exceptional Finding. Gastrointest. Disord. 2024, 6, 984–992. [Google Scholar] [CrossRef]
- Goral, V.; Unsal, B.; Nermin Sivrikoz, O. A Case of Breast Cancer Following Infliximab Treatment for Treatment-Refractory Crohn’s Disease. Euroasian J. Hepatogastroenterol. 2014, 4, 104–106. [Google Scholar] [CrossRef] [PubMed]
- Ilham, S.; Willis, C.; Kim, K.; Chung, K.C.; Wood, B.M.; Tan, M.S.; Tan, C.J.; Nguyen, D.T.; Brixner, D.I.; Stenehjem, D.D. Cancer Incidence in Immunocompromised Patients: A Single-Center Cohort Study. BMC Cancer 2023, 23, 33. [Google Scholar] [CrossRef] [PubMed]
- Goh, A.; Vathsala, A. Native Renal Cysts and Dialysis Duration Are Risk Factors for Renal Cell Carcinoma in Renal Transplant Recipients. Am. J. Transplant. 2011, 11, 86–92. [Google Scholar] [CrossRef] [PubMed]
- Hurst, F.P.; Jindal, R.M.; Fletcher, J.J.; Dharnidharka, V.; Gorman, G.; Lechner, B.; Nee, R.; Agodoa, L.Y.; Abbott, K.C. Incidence, Predictors and Associated Outcomes of Renal Cell Carcinoma in Long-Term Dialysis Patients. Urology 2011, 77, 1271–1276. [Google Scholar] [CrossRef] [PubMed]
- Engels, E.A.; Pfeiffer, R.M.; Fraumeni, J.F.; Kasiske, B.L.; Israni, A.K.; Snyder, J.J.; Wolfe, R.A.; Goodrich, N.P.; Bayakly, A.R.; Clarke, C.A.; et al. Spectrum of Cancer Risk among US Solid Organ Transplant Recipients. JAMA 2011, 306, 1891–1901. [Google Scholar] [CrossRef] [PubMed]
- Ilvemark, J.F.K.F.; Hansen, T.; Goodsall, T.M.; Seidelin, J.B.; Al-Farhan, H.; Allocca, M.; Begun, J.; Bryant, R.V.; Carter, D.; Christensen, B.; et al. Defining Transabdominal Intestinal Ultrasound Treatment Response and Remission in Inflammatory Bowel Disease: Systematic Review and Expert Consensus Statement. J. Crohns Colitis 2022, 16, 554–580. [Google Scholar] [CrossRef] [PubMed]
- Xu, C.; Jiang, W.; Wang, L.; Mao, X.; Ye, Z.; Zhang, H. Intestinal Ultrasound for Differentiating Fibrotic or Inflammatory Stenosis in Crohn’s Disease: A Systematic Review and Meta-Analysis. J. Crohns Colitis 2022, 16, 1493–1504. [Google Scholar] [CrossRef] [PubMed]
- Sagami, S.; Kobayashi, T.; Aihara, K.; Umeda, M.; Morikubo, H.; Matsubayashi, M.; Kiyohara, H.; Nakano, M.; Ohbu, M.; Hibi, T. Transperineal Ultrasound Predicts Endoscopic and Histological Healing in Ulcerative Colitis. Aliment. Pharmacol. Ther. 2020, 51, 1373–1383. [Google Scholar] [CrossRef] [PubMed]
- Lord, R.; Burr, N.E.; Mohammed, N.; Subramanian, V. Colonic Lesion Characterization in Inflammatory Bowel Disease: A Systematic Review and Meta-Analysis. World J. Gastroenterol. 2018, 24, 1167–1180. [Google Scholar] [CrossRef] [PubMed]

Disclaimer/Publisher’s Note: The statements, opinions and data contained in all publications are solely those of the individual author(s) and contributor(s) and not of MDPI and/or the editor(s). MDPI and/or the editor(s) disclaim responsibility for any injury to people or property resulting from any ideas, methods, instructions or products referred to in the content. |
© 2025 by the authors. Licensee MDPI, Basel, Switzerland. This article is an open access article distributed under the terms and conditions of the Creative Commons Attribution (CC BY) license (https://creativecommons.org/licenses/by/4.0/).
Share and Cite
Pellegrino, R.; Imperio, G.; Izzo, M.; De Costanzo, I.; Landa, F.; Ciamarra, P.; Niosi, M.; Gravina, A.G.; Federico, A. Clear Cell Renal Carcinoma in an Ulcerative Colitis Patient Under Short-Term Immunosuppressive Therapy: A Case Report. Clin. Pract. 2025, 15, 75. https://doi.org/10.3390/clinpract15040075
Pellegrino R, Imperio G, Izzo M, De Costanzo I, Landa F, Ciamarra P, Niosi M, Gravina AG, Federico A. Clear Cell Renal Carcinoma in an Ulcerative Colitis Patient Under Short-Term Immunosuppressive Therapy: A Case Report. Clinics and Practice. 2025; 15(4):75. https://doi.org/10.3390/clinpract15040075
Chicago/Turabian StylePellegrino, Raffaele, Giuseppe Imperio, Michele Izzo, Ilaria De Costanzo, Fabio Landa, Paola Ciamarra, Marco Niosi, Antonietta Gerarda Gravina, and Alessandro Federico. 2025. "Clear Cell Renal Carcinoma in an Ulcerative Colitis Patient Under Short-Term Immunosuppressive Therapy: A Case Report" Clinics and Practice 15, no. 4: 75. https://doi.org/10.3390/clinpract15040075
APA StylePellegrino, R., Imperio, G., Izzo, M., De Costanzo, I., Landa, F., Ciamarra, P., Niosi, M., Gravina, A. G., & Federico, A. (2025). Clear Cell Renal Carcinoma in an Ulcerative Colitis Patient Under Short-Term Immunosuppressive Therapy: A Case Report. Clinics and Practice, 15(4), 75. https://doi.org/10.3390/clinpract15040075

