Clinico-Pathological Features and Immunohistochemical Comparison of p16, p53, and Ki-67 Expression in Muscle-Invasive and Non-Muscle-Invasive Conventional Urothelial Bladder Carcinoma
Abstract
1. Introduction
2. Methods
2.1. Histological Examination
2.2. Immunohistochemical Study
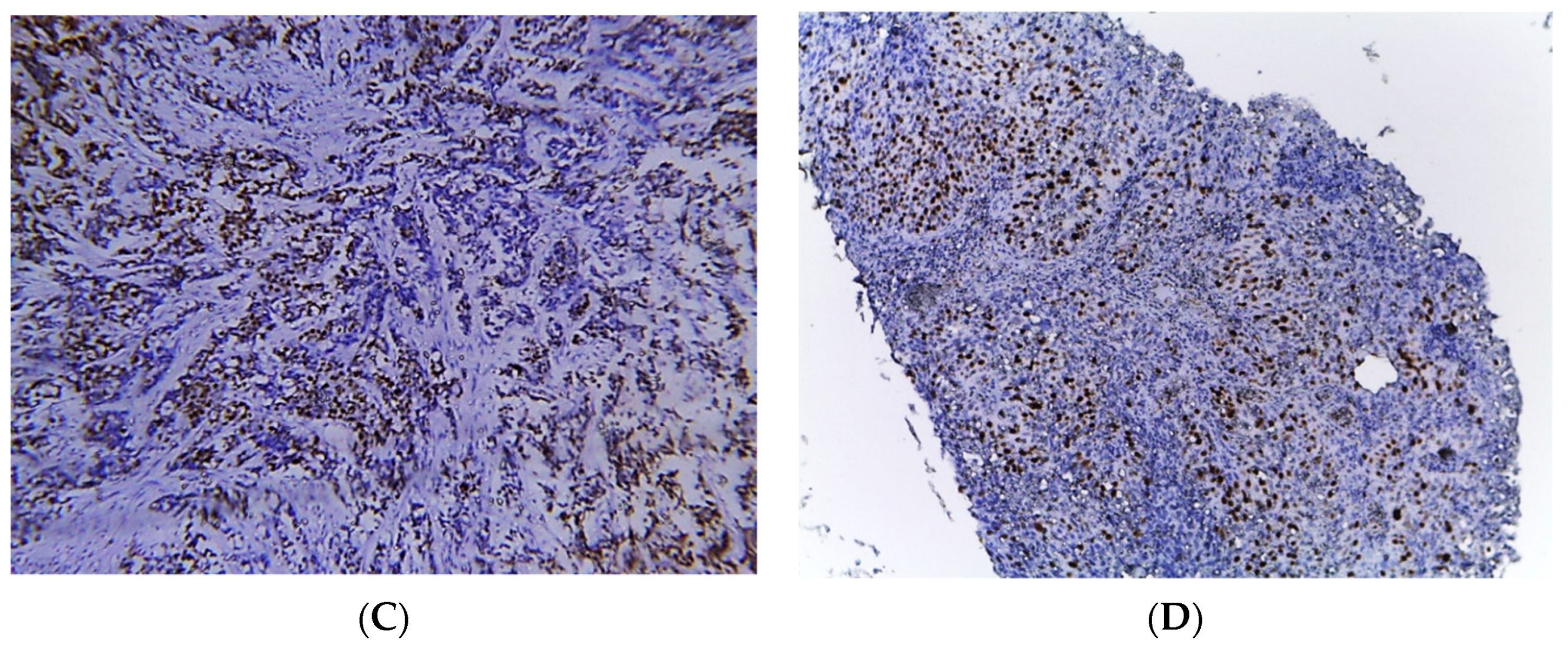
2.2.1. p16(INK4A) Scoring
2.2.2. p53 Staining
2.2.3. Ki-67 Index
2.2.4. Exclusion Criteria
2.2.5. Ethical Approval
2.2.6. Statistical Analysis
3. Results
3.1. Clinico-Histological Features
3.2. Immunohistochemical Expression
4. Discussion
5. Conclusions
Author Contributions
Funding
Institutional Review Board Statement
Informed Consent Statement
Data Availability Statement
Conflicts of Interest
References
- Bilim, V.; Kuroki, H.; Shirono, Y.; Murata, M.; Hiruma, K.; Tomita, Y. Advanced Bladder Cancer: Changing the Treatment Landscape. J. Pers. Med. 2022, 12, 1745. [Google Scholar] [CrossRef]
- WCRF. World Cancer Research Fund International. Available online: https://www.wcrf.org/diet-activity-and-cancer/cancer-types/bladder-cancer/ (accessed on 14 February 2023).
- Globoscan-The Global Cancer Observator. 2020. Available online: https://gco.iarc.fr/today/data/factsheets/populations/818-egypt-fact-sheets.pdf (accessed on 1 December 2022).
- Gluck, G.; Hortopan, M.; Stănculeanu, D.; Chiriță, M.; Stoica, R.; Sinescu, I. Comparative study of conventional urothelial carcinoma, squamous differentiation carcinoma and pure squamous carcinoma in patients with invasive bladder tumors. J. Med. Life 2014, 7, 211–214. [Google Scholar]
- Kaufman, D.S.; Shipley, W.U.; Feldman, A.S. Bladder cancer. Lancet 2009, 374, 239–249. [Google Scholar] [CrossRef]
- Woldu, S.L.; Bagrodia, A.; Lotan, Y. Guideline of guidelines: Non-muscle-invasive bladder cancer. BJU Int. 2017, 119, 371–380. [Google Scholar] [CrossRef]
- Flaig, T.W.; Spiess, P.E.; Agarwal, N.; Bangs, R.; Boorjian, S.A.; Buyyounouski, M.K.; Chang, S.; Downs, T.M.; Efstathiou, J.A.; Friedlander, T.; et al. Bladder Cancer, Version 3.2020, NCCN Clinical Practice Guidelines in Oncology. J. Natl. Compr. Cancer Netw. 2020, 18, 329–354. [Google Scholar] [CrossRef] [PubMed]
- Sanli, O.; Dobruch, J.; Knowles, M.A.; Burger, M.; Alemozaffar, M.; Nielsen, M.E.; Lotan, Y. Bladder cancer. Nat. Rev. Dis. Primers 2017, 3, 17022. [Google Scholar] [CrossRef]
- Helal, N.S.; Omran, Z.; Moussa, M. Assessment of survivin and p27 expression as potential prognostic markers in urothelial cell carcinoma of urinary bladder in Egyptian patients. Afr. J. Urol. 2022, 28, 45. [Google Scholar] [CrossRef]
- March-Villalba, J.A.; Ramos-Soler, D.; Soriano-Sarrió, P.; Hervás-Marín, D.; Martínez-García, L.; Martínez-Jabaloyas, J.M. Immunohistochemical expression of Ki-67, Cyclin D1, p16INK4a, and Survivin as a predictive tool for recurrence and progression-free survival in papillary urothelial bladder cancer pTa/pT1 G2 (WHO 1973). Urol. Oncol. Semin. Orig. Investig. 2019, 37, 158–165. [Google Scholar] [CrossRef]
- Montes-Mojarro, I.A.; Hassas, S.; Staehle, S.; Sander, P.; Harland, N.; Serna-Higuita, L.M.; Bonzheim, I.; Bösmüller, H.; Stenzl, A.; Fend, F. Multiparametric Classification of Non-Muscle Invasive Papillary Urothelial Neoplasms: Combining Morphological, Phenotypical, and Molecular Features for Improved Risk Stratification. Int. J. Mol. Sci. 2022, 23, 8133. [Google Scholar] [CrossRef]
- Shariat, S.F.; Tokunaga, H.; Zhou, J.; Kim, J.; Ayala, G.E.; Benedict, W.F.; Lerner, S.P. p53, p21, pRB, and p16 expression predict clinical outcome in cystectomy with bladder cancer. J. Clin. Oncol. 2004, 22, 1014–1024. [Google Scholar] [CrossRef]
- Yin, M.; Bastacky, S.; Parwani, A.V.; McHale, T.; Dhir, R. p16ink4 immunoreactivity is a reliable marker for urothelial carcinoma in situ. Hum. Pathol. 2008, 39, 527–535. [Google Scholar] [CrossRef]
- Raspollini, M.R.; Luque, R.J.; Menendez, C.L.; Bollito, E.; Brunelli, M.; Martignoni, G.; Montironi, R.; Cheng, L.; Blanca, A.; Baroni, G.; et al. T1 high-grade bladder carcinoma outcome: The role of p16, topoisomerase-IIα, survivin, and Ecadherin. Hum. Pathol. 2016, 57, 78–84. [Google Scholar] [CrossRef]
- Ren, Y.; Xiao, L.; Weng, G.; Shi, B. Clinical significance of p16INK4A and p14ARF promoter methylation in renal cell carcinoma: A meta-analysis. Oncotarget 2017, 8, 64385–64394. [Google Scholar] [CrossRef]
- Shigehara, K.; Sasagawa, T.; Doorbar, J.; Kawaguchi, S.; Kobori, Y.; Nakashima, T.; Shimamura, M.; Maeda, Y.; Miyagi, T.; Kitagawa, Y.; et al. Etiological role of human papillomavirus infection for inverted papilloma of the bladder. J. Med. Virol. 2011, 83, 277–285. [Google Scholar] [CrossRef]
- Şen Türk, N.; Aybek, Z.; Düzcan, E. Ki-67, p53, Bcl-2 and bax expression in urothelial carcinomas of urinary bladder. Turk. J. Pathol. 2010, 26, 25–30. [Google Scholar] [CrossRef]
- Chaudry, M.U.; Akhtar, F.; Jamal, N.; Mansur, H.; Sarwar, N.; Saleem, Y. Immunohistochemical expression of P16 in low grade urothelial carcinoma. Pak. Armed Forces Med. J. 2021, 71, 885–888. [Google Scholar] [CrossRef]
- Manini, C.; Angulo, J.C.; López, J.I. Mimickers of Urothelial Carcinoma and the Approach to Differential Diagnosis. Clin. Pract. 2021, 11, 110–123. [Google Scholar] [CrossRef] [PubMed]
- Witjes, J.A.; Lebret, T.; Compérat, E.M.; Cowan, N.C.; De Santis, M.; Bruins, H.M.; Hernández, V.; Espinós, E.L.; Dunn, J.; Rouanne, M.; et al. Updated 2016 EAU Guidelines on Muscle-invasive and Metastatic Bladder Cancer. Eur. Urol. 2016, 71, 462–475. [Google Scholar] [CrossRef]
- Quarles, J.; Richmond, J.; Swamy, V.; Pandey, J. Educational Case: Bladder Urothelial Cell Carcinoma TNM Stage, Prognosis and Management. Acad. Pathol. 2021, 8, 23742895211022256. [Google Scholar] [CrossRef]
- Dawood, G. Urinary system. In Color Atlas of Human Gross Pathology; Springer: Cham, Switzerland, 2022; pp. 75–91. [Google Scholar] [CrossRef]
- Batista, R.; Vinagre, N.; Meireles, S.; Vinagre, J.; Prazeres, H.; Leão, R.; Máximo, V.; Soares, P. Biomarkers for Bladder Cancer Diagnosis and Surveillance: A Comprehensive Review. Diagnostics 2020, 10, 39. [Google Scholar] [CrossRef]
- Mostofi, F.K.; Sobin, L.H.; Torloni, H. (Eds.) Histologic Typing of Urinary Bladder Tumors; World Health Organization: Geneva, Switzerland, 1973. [Google Scholar]
- Epstein, J.I.; Amin, M.B.; Reuter, V.R.; Mostofi, F.K. The world health organization international society of urological pathology consensus classification of urothelial (transitional cell) neoplasms of the urinary bladder. Am. J. Surg. Pathol. 1998, 22, 1435–1448. [Google Scholar] [CrossRef]
- Mostofi, F.K.; Davis, C.J.; Sesterhenn, I.A. (Eds.) Histologic typing of urinary bladder tumors. In World Health Organization International Histologic Classification of Tumours, 14th ed.; Springer: Berlin/Heidelberg, Germany, 1999; pp. 1–29. [Google Scholar]
- Varma, M.; Delahunt, B.; van der Kwast, T. Grading Noninvasive Bladder Cancer: World Health Organisation 1973 or 2004 May Be the Wrong Question. Eur. Urol. 2019, 76, 413–415. [Google Scholar] [CrossRef]
- Compérat, E.; Wasinger, G.; Oszwald, A.; Shariat, S.F. Brief update of the new WHO classification for urothelial carcinoma. Curr. Opin. Urol. 2022, 32, 511–516. [Google Scholar] [CrossRef]
- Soloway, M.; Khoury, S. Bladder cancer. In International Consultation on Bladder Cancer—Vienna, 2nd ed.; International Consultation on Urological Disease: Bristol, UK, 2012; pp. 23–342. [Google Scholar]
- Morgan, T.M.; Cookson, M.S.; Netto, G.J.; Epstein, J.I. Bladder cancer overview and staging. In The Urinary Tract: A Comprehensive Guide to Patient Diagnosis and Management; Springer: New York, NY, USA, 2012; pp. 83–112. [Google Scholar]
- Xylinas, E.; Rink, M.; Robinson, B.D.; Lotan, Y.; Babjuk, M.; Brisuda, A.; Green, D.A.; Kluth, L.A.; Pycha, A.; Fradet, Y.; et al. Impact of histological variants on oncological outcomes of patients with urothelial carcinoma of the bladder treated with radical cystectomy. Eur. J. Cancer 2013, 49, 1889–1897. [Google Scholar] [CrossRef]
- Gandhi, J.; Chen, J.F.; Al-Ahmadie, H. Urothelial Carcinoma: Divergent Differentiation and Morphologic Subtypes. Surg. Pathol. Clin. 2022, 15, 641–659. [Google Scholar] [CrossRef]
- Taylor, J.M.; Bochner, B.; Amin, M.B.; Hansel, D.E. Muscle-invasive urothelial carcinoma: Conventional and variant subtypes. In The Urinary Tract: A Comprehensive Guide to Patient Diagnosis and Management; Springer: New York, NY, USA, 2012; pp. 143–163. [Google Scholar]
- Weyerer, V.; Eckstein, M.; Compérat, E.; Juette, H.; Gaisa, N.T.; Allory, Y.; Stöhr, R.; Wullich, B.; Rouprêt, M.; Hartmann, A.; et al. Pure large nested variant of urothelial carcinoma (LNUC) is the prototype of an FGFR3 mutated aggressive urothelial carcinoma with luminal-papillary phenotype. Cancers 2020, 12, 763. [Google Scholar] [CrossRef]
- Erck, A.; Li, W.; Movahedi-Lankarani, S.; Chung, S.; Aragon-Ching, J.B. Plasmacytoid variant of urothelial carcinoma: Poor prognostic variant with high expression of CDH1 mutation. Uro 2021, 1, 23–29. [Google Scholar] [CrossRef]
- Bennett, W.P.; Hollstein, M.C.; Hsu, I.C.; Sidransky, D.; Lane, D.P.; Vogelstein, B.; Harris, C.C. Mutational spectra and immunohistochemical analyses of p53 in human cancers. Chest 1992, 101, 19S–20S. [Google Scholar] [CrossRef]
- Chatterjee, S.J.; Datar, R.; Youssefzadeh, D.; George, B.; Goebell, P.J.; Stein, J.P.; Young, L.; Shi, S.-R.; Gee, C.; Groshen, S.; et al. Combined Effects of p53, p21, and pRb Expression in the Progression of Bladder Transitional Cell Carcinoma. JCO 2004, 22, 1007–1013. [Google Scholar] [CrossRef]
- Lorenzo-Romero, J.G.; Salinas-Sanchez, A.S.; Gimenez-Bachs, J.M.; Sánchez-Sánchez, F.; Escribano-Martínez, J.; Segura-Martín, M.; Hernandez-Millán, I.R.; Virseda-Rodríguez, J.A. Prognostic implications of p53 gene mutations in bladder tumors. J. Urol. 2003, 169, 492–499. [Google Scholar] [CrossRef]
- Hodgson, A.; Xu, B.; Downes, M.R. p53 immunohistochemistry in high-grade urothelial carcinoma of the bladder is prognostically significant. Histopathology 2017, 71, 296–304. [Google Scholar] [CrossRef]
- Yang, C.H.; Weng, W.C.; Ou, Y.C.; Lin, Y.S.; Huang, L.H.; Lu, C.H.; Tsao, T.Y.; Hsu, C.Y.; Tung, M.C. Diffusive Ki67 and vimentin are associated with worse recurrence-free survival of upper tract urothelial carcinoma: A retrospective cohort study from bench to bedside. Urol. Oncol. Semin. Orig. Investig. 2022, 40, 109.e21–109.e30. [Google Scholar] [CrossRef]
- Liao, Y.; Tang, H.; Wang, M.; Wang, K.; Wang, Y.; Jiang, N. The potential diagnosis role of TP53 mutation in advanced bladder cancer: A meta-analysis. J. Clin. Lab. Anal. 2021, 35, e23765. [Google Scholar] [CrossRef]
- Saint, F.; Belda, M.-A.L.F.; Quintela, R.; Hoznek, A.; Patard, J.-J.; Bellot, J.; Popov, Z.; Zafrani, E.S.; Abbou, C.C.; Chopin, D.K.; et al. Pretreatment p53 nuclear overexpression as a prognostic marker in superficial bladder cancer treated with bacillus calmette-guérin (BCG). Eur. Urol. 2004, 45, 475–482. [Google Scholar] [CrossRef]
- Du, J.; Wang, S.-H.; Yang, Q.; Chen, Q.-Q.; Yao, X. p53 status correlates with the risk of progression in stage T1 bladder cancer: A meta-analysis. World J. Surg. Oncol. 2016, 14, 137. [Google Scholar] [CrossRef]
- Shiina, H.; Igawa, M.; Shigeno, K.; Yamasaki, Y.; Urakami, S.; Yoneda, T.; Wada, Y.; Honda, S.; Nagasaki, M. Clinical significance of mdm2 and p53 expression in bladder cancer: A comparison with cell proliferation and apoptosis. Oncology 1999, 56, 239–247. [Google Scholar] [CrossRef]
- Toll, A.D.; Epstein, J.I. Invasive low-grade papillary urothelial carcinoma: A clinicopathologic analysis of 41 cases. Am. J. Surg. Pathol. 2012, 36, 1081–1086. [Google Scholar] [CrossRef]
- Wang, F.; Dong, X.; Yang, F.; Xing, N. Comparative Analysis of Differentially Mutated Genes in Non-Muscle and Muscle-Invasive Bladder Cancer in the Chinese Population by Whole Exome Sequencing. Front. Genet. 2022, 13, 831146. [Google Scholar] [CrossRef]
- Tian, W.; Epstein, J.I. Invasive low-grade papillary urothelial carcinoma: An immunohistochemical study of 26 cases. Hum. Pathol. 2015, 46, 1836–1841. [Google Scholar] [CrossRef]
- Enache, M.; Simionescu, C.; Lascu, L.C. Ki67 and Bcl-2 immunoexpression in primitive urothelial bladder carcinoma. Rom. J. Morphol. Embryol. 2012, 53, 521–525. [Google Scholar]
- Quintero, A.; Alvarez-Kindelan, J.; Luque, R.J.; Gonzalez-Campora, R.; Requena, M.J.; Montironi, R.; Lopez-Beltran, A. Ki-67 MIB1 labelling index and the prognosis of primary TaT1 urothelial cell carcinoma of the bladder. J. Clin. Pathol. 2006, 59, 83–88. [Google Scholar] [CrossRef] [PubMed]
- Helpap, B.; Köllermann, J. Assessment of basal cell status and proliferative patterns in flat and papillary urothelial lesions: A contribution to the new WHO classification of urothelial tumors of the urinary bladder. Hum. Pathol. 2000, 31, 745–750. [Google Scholar] [CrossRef] [PubMed]
- Tsai, M.-Y.; Chiang, P.-C.; Chen, C.-H.; Sung, M.-T.; Huang, S.-C.; Suen, J.-L.; Tsai, E.-M.; Chiang, P.-H. Comparison of the Prognostic Value of Ki-67 and Programmed Cell Death Ligand-1 in Patients with Upper Tract Urothelial Carcinoma. J. Clin. Med. 2021, 10, 3728. [Google Scholar] [CrossRef]
- Krabbe, L.M.; Bagrodia, A.; Haddad, A.Q.; Kapur, P.; Khalil, D.; Hynan, L.S.; Wood, C.G.; Karam, J.A.; Weizer, A.Z.; Raman, J.D.; et al. Multi-institutional validation of the predictive value of Ki-67 in patients with high grade urothelial carcinoma of the upper urinary tract. J. Urol. 2015, 193, 1486–1493. [Google Scholar] [CrossRef]
- Lopez-Beltran, A.; Luque, R.J.; Alvarez-Kindelan, J.; Quintero, A.; Merlo, F.; Requena, M.J.; Montironi, R. Prognostic factors in survival of patients with stage Ta and T1 bladder urothelial tumors: The role of G1-S modulators (p53, p21Waf1, p27Kip1, cyclin D1, and cyclin D3), proliferation index, and clinicopathologic parameters. Am. J. Clin. Pathol. 2004, 122, 444–452. [Google Scholar] [CrossRef] [PubMed]
- Ko, K.; Jeong, C.W.; Kwak, C.; Kim, H.H.; Ku, J.H. Significance of Ki-67 in non-muscle invasive bladder cancer patients: A systematic review and meta-analysis. Oncotarget 2017, 8, 100614–100630. [Google Scholar] [CrossRef]
- Rodríguez-Alonso, A.; Pita-Fernández, S.; González-Carreró, J.; Nogueira-March, J.L. p53 and ki67 expression as prognostic factors for cancer-related survival in stage T1 transitional cell bladder carcinoma. Eur. Urol. 2002, 41, 182–189. [Google Scholar] [CrossRef]
- Wahab, A.H.; Mohammed, M.A. Homozygous deletion of p16 gene in primary bladder and breast carcinomas in Egyptian cancer patients. J. Egypt. Nat. Cancer Inst. 2000, 12, 23–28. [Google Scholar]
- Mao, X.; Li, B.; Liang, Y.; Li, S.; Zhou, J.; He, Q.; Jiang, N.; Chen, Y.; Sun, Y.; Cui, Y.; et al. Auxiliary diagnostic value of p16 amplification combined with the detection of heterozygous and homozygous loss for urothelial carcinoma. Oncol. Lett. 2018, 15, 6533–6540. [Google Scholar] [CrossRef]
- Hashmi, A.A.; Hussain, Z.F.; Irfan, M.; Hashmi, S.K.; Asif, H.; Faridi, N. Prognostic significance of p16 immunohistochemical expression in urothelial carcinoma. Surg. Exp. Pathol. 2019, 2, 3. [Google Scholar] [CrossRef]
- Pu, X.; Zhu, L.; Fu, Y.; Fan, Z.; Zheng, J.; Zhang, B.; Yang, J.; Guan, W.; Wu, H.; Ye, Q.; et al. Companied P16 genetic and protein status together providing useful information on the clinical outcome of urinary bladder cancer. Medicine 2018, 9, e0353. [Google Scholar] [CrossRef] [PubMed]
- Hafez, F.S.; Meckawy, G.R.; Alorabi, M.; Shakweer, M.M. Interpretation of P16 expression as a marker of HPV in colorectal cancer. Histol. Histopathol. 2022, 37, 475–481. [Google Scholar] [CrossRef] [PubMed]
- Hasan, A.; Kandil, A.M.; Al-Ghamdi, H.S.; Alghamdi, M.A.; Nasr, M.; Naeem, S.A.; Abd-Elhay, W.M.; Mohamed, O.K.E.; Ibrahim, H.S.A.; Ahmed, E.M.; et al. Sun-Exposed versus Sun-Protected Cutaneous Basal Cell Carcinoma: Clinico-Pathological Profile and p16 Immunostaining. Diagnostics 2023, 13, 1271. [Google Scholar] [CrossRef] [PubMed]
- Hosny, G.; Ahmed, O.A.; Ahmed, R.M.; Fadel, S.A. Expression of p16 Tumor Suppressor Protein in Malignant Ovarian Germ Cell Tumors; Immunohistochemical Study. Int. J. Surg. Pathol. 2023, 11, 10668969231168358. [Google Scholar] [CrossRef]
- El Sokkary, H.H.; Sheta, E. Prevalence of P16 Immunohistochemistry Positive Staining and Its Correlation to Clinical and Radiological Staging of Squamous Cell Carcinoma of the Cervix. J. Obstet. Gynecol. India 2023. [Google Scholar] [CrossRef]



| Mean | ±SD | Range | p-Value | |
|---|---|---|---|---|
| Grade | ||||
| -Low grade | 9.1 | 9.6 | 1–30 | <0.005 |
| -High grade | 17.6 | 12.8 | 5–65 | |
| Stage | ||||
| -T1 (NMIBC) | 8.8 | 6.4 | 2–30 | <0.005 |
| -T2 (MIBC) | 23.9 | 16.3 | 3–65 | |
| Pattern | ||||
| -Papillary | 9.8 | 6.7 | 1–30 | <0.005 |
| -Non-papillary | 17.7 | 15.3 | 2–65 |
| Total N (%) | p16 | p Value | p53 | Ki-67 | p Value | ||||||||
|---|---|---|---|---|---|---|---|---|---|---|---|---|---|
| Negative, N (%) | Weak, N (%) | Moderate, N (%) | Strong, N (%) | Negative, N (%) | Positive, N (%) | p Value | Low Index, N (%) | High Index, N (%) | |||||
| Diagnosis | Papillary UC | 30 (48.4%) | 13 (21.0%) | 1 (1.6%) | 7 (11.3%) | 9 (14.5%) | 26 (41.9%) | 4 (6.5%) | 23 (37.1%) | 7 (11.3%) | |||
| Non-papillary UC | 32 (51.6%) | 15 (24.2%) | 2 (3.2%) | 4 (6.5%) | 11 (17.7%) | 27 (43.5%) | 5 (8.1%) | 18 (29.0%) | 14 (22.6%) | ||||
| Total | 62 (100%) | 28 (45.2%) | 3 (4.8%) | 11 (17.7%) | 20 (32.3%) | 0.69 | 53 (85.5%) | 9 (14.5%) | 0.54 | 41 (66.1%) | 21 (33.9%) | 0.07 | |
| Grade | High grade | 34 (54.8%) | 14 (22.6%) | 1 (1.6%) | 10 (16.1%) | 9 (14.5%) | 29 (46.8%) | 5 (8.1%) | 25 (40.3%) | 9 (14.5%) | |||
| Low grade | 28 (45.2%) | 14 (22.6%) | 2 (3.2%) | 1 (1.6%) | 11 (17.7%) | 24 (38.7%) | 4 (6.5%) | 16 (25.8%) | 12 (19.4%) | ||||
| Total | 62 (100.0%) | 28 (45.2%) | 3 (4.8%) | 11 (17.7%) | 20 (32.3%) | 0.24 | 53 (85.5%) | 9 (14.5%) | 0.06 | 41 (66.1%) | 21 (33.9%) | 0.69 | |
| Stage | Stage pT1 | 32 (51.6%) | 15 (24.2%) | 0 (0.0%) | 8 (12.9%) | 9 (14.5%) | 27 (43.5%) | 5 (8.1%) | 24 (38.7%) | 8 (12.9%) | |||
| Stage pT2 | 30 (48.4%) | 13 (21.0%) | 3 (4.8%) | 3 (4.8%) | 11 (17.7%) | 26 (41.9%) | 4 (6.5%) | 17 (27.4%) | 13 (21.0%) | ||||
| Total | 62 (100.0%) | 28 (45.2%) | 3 (4.8%) | 11 (17.7%) | 20 (32.3%) | 0.13 | 53 (85.5%) | 9 (14.5%) | 0.54 | 41 (66.1%) | 21 (33.9%) | 0.1 | |
| p16 | Total | ||||||
|---|---|---|---|---|---|---|---|
| Negative | Weak Nuclear | Moderate Nuclear | Strong Nuclear | ||||
| Grade | High grade | Count | 9 | 0 | 7 | 3 | 19 |
| % within Grade | 47.4% | 0.0% | 36.8% | 15.8% | 100.0% | ||
| % within p16 | 69.2% | 0.0% | 100.0% | 33.3% | 63.3% | ||
| % of papillary | 30.0% | 0.0% | 23.3% | 10.0% | 63.3% | ||
| Low grade | Count | 4 | 1 | 0 | 6 | 11 | |
| % within Grade | 36.4% | 9.1% | 0.0% | 54.5% | 100.0% | ||
| % within p16 | 30.8% | 100.0% | 0.0% | 66.7% | 36.7% | ||
| % of papillary | 13.3% | 3.3% | 0.0% | 20.0% | 36.7% | ||
| Total | Count | 13 | 1 | 7 | 9 | 30 | |
| % within Grade | 43.3% | 3.3% | 23.3% | 30.0% | 100.0% | ||
| % within p16 | 100.0% | 100.0% | 100.0% | 100.0% | 100.0% | ||
| % of papillary | 43.3% | 3.3% | 23.3% | 30.0% | 100.0% | ||
| p16 | Total | ||||||
|---|---|---|---|---|---|---|---|
| Negative | Weak Nuclear | Moderate Nuclear | Strong Nuclear | ||||
| Stage | Stage pT1 | Count | 12 | 0 | 7 | 6 | 25 |
| % within Stage | 48.0% | 0.0% | 28.0% | 24.0% | 100.0% | ||
| % within p16 | 92.3% | 0.0% | 100.0% | 66.7% | 83.3% | ||
| % of Total | 40.0% | 0.0% | 23.3% | 20.0% | 83.3% | ||
| Stage pT2 | Count | 1 | 1 | 0 | 3 | 5 | |
| % within Stage | 20.0% | 20.0% | 0.0% | 60.0% | 100.0% | ||
| % within p16 | 7.7% | 100.0% | 0.0% | 33.3% | 16.7% | ||
| % of Total | 3.3% | 3.3% | 0.0% | 10.0% | 16.7% | ||
| Total | Count | 13 | 1 | 7 | 9 | 30 | |
| % within Stage | 43.3% | 3.3% | 23.3% | 30.0% | 100.0% | ||
| % within p16 | 100.0% | 100.0% | 100.0% | 100.0% | 100.0% | ||
| % of Total | 43.3% | 3.3% | 23.3% | 30.0% | 100.0% | ||
Disclaimer/Publisher’s Note: The statements, opinions and data contained in all publications are solely those of the individual author(s) and contributor(s) and not of MDPI and/or the editor(s). MDPI and/or the editor(s) disclaim responsibility for any injury to people or property resulting from any ideas, methods, instructions or products referred to in the content. |
© 2023 by the authors. Licensee MDPI, Basel, Switzerland. This article is an open access article distributed under the terms and conditions of the Creative Commons Attribution (CC BY) license (https://creativecommons.org/licenses/by/4.0/).
Share and Cite
Hasan, A.; Mohammed, Y.; Basiony, M.; Hanbazazh, M.; Samman, A.; Abdelaleem, M.F.; Nasr, M.; Abozeid, H.; Mohamed, H.I.; Faisal, M.; et al. Clinico-Pathological Features and Immunohistochemical Comparison of p16, p53, and Ki-67 Expression in Muscle-Invasive and Non-Muscle-Invasive Conventional Urothelial Bladder Carcinoma. Clin. Pract. 2023, 13, 806-819. https://doi.org/10.3390/clinpract13040073
Hasan A, Mohammed Y, Basiony M, Hanbazazh M, Samman A, Abdelaleem MF, Nasr M, Abozeid H, Mohamed HI, Faisal M, et al. Clinico-Pathological Features and Immunohistochemical Comparison of p16, p53, and Ki-67 Expression in Muscle-Invasive and Non-Muscle-Invasive Conventional Urothelial Bladder Carcinoma. Clinics and Practice. 2023; 13(4):806-819. https://doi.org/10.3390/clinpract13040073
Chicago/Turabian StyleHasan, Abdulkarim, Yasien Mohammed, Mostafa Basiony, Mehenaz Hanbazazh, Abdulhadi Samman, Mohamed Fayek Abdelaleem, Mohamed Nasr, Hesham Abozeid, Hassan Ismail Mohamed, Mahmoud Faisal, and et al. 2023. "Clinico-Pathological Features and Immunohistochemical Comparison of p16, p53, and Ki-67 Expression in Muscle-Invasive and Non-Muscle-Invasive Conventional Urothelial Bladder Carcinoma" Clinics and Practice 13, no. 4: 806-819. https://doi.org/10.3390/clinpract13040073
APA StyleHasan, A., Mohammed, Y., Basiony, M., Hanbazazh, M., Samman, A., Abdelaleem, M. F., Nasr, M., Abozeid, H., Mohamed, H. I., Faisal, M., Mohamed, E., Ashmawy, D., Tharwat, M., Morsi, D. F., Farag, A. S., Ahmed, E. M., Aly, N. M., Abdel-Hamied, H. E., Salama, D. E. A., & Mandour, E. (2023). Clinico-Pathological Features and Immunohistochemical Comparison of p16, p53, and Ki-67 Expression in Muscle-Invasive and Non-Muscle-Invasive Conventional Urothelial Bladder Carcinoma. Clinics and Practice, 13(4), 806-819. https://doi.org/10.3390/clinpract13040073

