Clinical Clues of Pre-Symptomatic Pancreatic Ductal Adenocarcinoma Prior to Its Diagnosis: A Retrospective Review of CT Scans and Laboratory Tests
Abstract
:1. Introduction
2. Materials and Methods
2.1. Study Design
2.2. Study Patients
2.3. Statistical Analyses
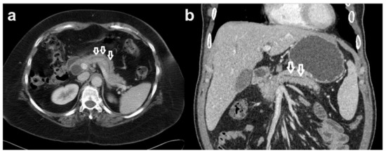
3. Results
4. Discussion
5. Conclusions
Author Contributions
Funding
Institutional Review Board Statement
Informed Consent Statement
Data Availability Statement
Conflicts of Interest
References
- Jemal, A.; Murray, T.; Ward, E.; Samuels, A.; Tiwari, R.C.; Ghafoor, A.; Feuer, E.J.; Thun, M.J. Cancer statistics, 2005. CA Cancer J. Clin. 2005, 55, 10–30. [Google Scholar] [CrossRef] [PubMed]
- Wang, F.; Herrington, M.; Larsson, J.; Permert, J. The relationship between diabetes and pancreatic cancer. Mol. Cancer 2003, 2, 4. [Google Scholar] [CrossRef] [PubMed] [Green Version]
- Chari, S.T.; Leibson, C.L.; Rabe, K.G.; Timmons, L.J.; Ransom, J.; de Andrade, M.; Petersen, G.M. Pancreatic cancer-associated diabetes mellitus: Prevalence and temporal association with diagnosis of cancer. Gastroenterology 2008, 134, 95–101. [Google Scholar] [CrossRef] [PubMed] [Green Version]
- Ogawa, Y.; Tanaka, M.; Inoue, K.; Yamaguchi, K.; Chijiiwa, K.; Mizumoto, K.; Tsutsu, N.; Nakamura, Y. A prospective pancreatographic study of the prevalence of pancreatic carcinoma in patients with diabetes mellitus. Cancer 2002, 94, 2344–2349. [Google Scholar] [CrossRef]
- Damiano, J.; Bordier, L.; Le Berre, J.P.; Margery, J.; Dupuy, O.; Mayaudon, H.; Bauduceau, B. Should pancreas imaging be recommanded in patients over 50 years when diabetes is discovered because of acute symptoms? Diabetes Metab. 2004, 30, 203–207. [Google Scholar] [CrossRef]
- Ahn, S.S.; Kim, M.J.; Choi, J.Y.; Hong, H.S.; Chung, Y.E.; Lim, J.S. Indicative findings of pancreatic cancer in prediagnostic CT. Eur. Radiol. 2009, 19, 2448–2455. [Google Scholar] [CrossRef]
- Gangi, S.; Fletcher, J.G.; Nathan, M.A.; Christensen, J.A.; Harmsen, W.S.; Crownhart, B.S.; Chari, S.T. Time interval between abnormalities seen on CT and the clinical diagnosis of pancreatic cancer: Retrospective review of CT scans obtained before diagnosis. AJR Am. J. Roentgenol. 2004, 182, 897–903. [Google Scholar] [CrossRef]
- American Diabetes, A. Diagnosis and classification of diabetes mellitus. Diabetes Care 2010, 33 (Suppl. S1), S62–S69. [Google Scholar] [CrossRef] [Green Version]
- Pannala, R.; Leirness, J.B.; Bamlet, W.R.; Basu, A.; Petersen, G.M.; Chari, S.T. Prevalence and clinical profile of pancreatic cancer-associated diabetes mellitus. Gastroenterology 2008, 134, 981–987. [Google Scholar] [CrossRef] [Green Version]
- Pelaez-Luna, M.; Takahashi, N.; Fletcher, J.G.; Chari, S.T. Resectability of presymptomatic pancreatic cancer and its relationship to onset of diabetes: A retrospective review of CT scans and fasting glucose values prior to diagnosis. Am. J. Gastroenterol. 2007, 102, 2157–2163. [Google Scholar] [CrossRef]
- Chari, S.T.; Leibson, C.L.; Rabe, K.G.; Ransom, J.; de Andrade, M.; Petersen, G.M. Probability of pancreatic cancer following diabetes: A population-based study. Gastroenterology 2005, 129, 504–511. [Google Scholar] [CrossRef]
- Hart, P.A.; Kamada, P.; Rabe, K.G.; Srinivasan, S.; Basu, A.; Aggarwal, G.; Chari, S.T. Weight loss precedes cancer-specific symptoms in pancreatic cancer-associated diabetes mellitus. Pancreas 2011, 40, 768–772. [Google Scholar] [CrossRef] [Green Version]
- Mizuno, S.; Nakai, Y.; Isayama, H.; Yanai, A.; Takahara, N.; Miyabayashi, K.; Yamamoto, K.; Kawakubo, K.; Mohri, D.; Kogure, H.; et al. Risk factors and early signs of pancreatic cancer in diabetes: Screening strategy based on diabetes onset age. J. Gastroenterol. 2013, 48, 238–246. [Google Scholar] [CrossRef]
- Pannala, R.; Basu, A.; Petersen, G.M.; Chari, S.T. New-onset diabetes: A potential clue to the early diagnosis of pancreatic cancer. Lancet Oncol. 2009, 10, 88–95. [Google Scholar] [CrossRef] [Green Version]
- Safi, F.; Roscher, R.; Beger, H.G. Tumor markers in pancreatic cancer. Sensitivity and specificity of CA 19-9. Hepato-Gastroenterol. 1989, 36, 419–423. [Google Scholar]
- Steinberg, W. The clinical utility of the CA 19-9 tumor-associated antigen. Am. J. Gastroenterol. 1990, 85, 350–355. [Google Scholar]
- Pleskow, D.K.; Berger, H.J.; Gyves, J.; Allen, E.; McLean, A.; Podolsky, D.K. Evaluation of a serologic marker, CA19-9, in the diagnosis of pancreatic cancer. Ann. Intern Med. 1989, 110, 704–709. [Google Scholar] [CrossRef]
- Hayakawa, T.; Kondo, T.; Shibata, T.; Hamano, H.; Kitagawa, M.; Sakai, Y.; Ono, H. Sensitive serum markers for detecting pancreatic cancer. Cancer 1988, 61, 1827–1831. [Google Scholar] [CrossRef]
- Schmiegel, W. Tumor markers in pancreatic cancer--current concepts. Hepato-Gastroenterol. 1989, 36, 446–449. [Google Scholar]
- Safi, F.; Beger, H.G.; Bittner, R.; Buchler, M.; Krautzberger, W. CA 19-9 and pancreatic adenocarcinoma. Cancer 1986, 57, 779–783. [Google Scholar] [CrossRef]
- Richter, J.M.; Christensen, M.R.; Rustgi, A.K.; Silverstein, M.D. The clinical utility of the Ca19-9 radioimmunoassay for the diagnosis of pancreatic cancer presenting as pain or weight loss. A cost-effectiveness analysis. Arch. Intern. Med. 1989, 149, 2292–2297. [Google Scholar] [CrossRef]
- Satake, K.; Takeuchi, T.; Homma, T.; Ozaki, H. CA19-9 as a screening and diagnostic tool in symptomatic patients: The Japanese experience. Pancreas 1994, 9, 703–706. [Google Scholar] [CrossRef]
- Kim, J.E.; Lee, K.T.; Lee, J.K.; Paik, S.W.; Rhee, J.C.; Choi, K.W. Clinical usefulness of carbohydrate antigen 19-9 as a screening test for pancreatic cancer in an asymptomatic population. J. Gastroenterol. Hepatol. 2004, 19, 182–186. [Google Scholar] [CrossRef]
- Zubarik, R.; Gordon, S.R.; Lidofsky, S.D.; Anderson, S.R.; Pipas, J.M.; Badger, G.; Ganguly, E.; Vecchio, J. Screening for pancreatic cancer in a high-risk population with serum CA 19-9 and targeted EUS: A feasibility study. Gastrointest. Endosc. 2011, 74, 87–95. [Google Scholar] [CrossRef]
- Schmiegel, W.H.; Kreiker, C.; Eberl, W.; Arndt, R.; Classen, M.; Greten, H.; Jessen, K.; Kalthoff, H.; Soehendra, N.; Thiele, H.G. Monoclonal antibody defines CA 19-9 in pancreatic juices and sera. Gut 1985, 26, 456–460. [Google Scholar] [CrossRef] [Green Version]
- Sakahara, H.; Endo, K.; Nakajima, K.; Nakashima, T.; Koizumi, M.; Ohta, H.; Hidaka, A.; Kohno, S.; Nakano, Y.; Naito, A.; et al. Serum CA 19-9 concentrations and computed tomography findings in patients with pancreatic carcinoma. Cancer 1986, 57, 1324–1326. [Google Scholar] [CrossRef]



| Characteristics | PDAC Group (n = 51) | Normal Group (n = 181) | p-Value |
|---|---|---|---|
| Age, years | 66.1 ± 9.8 | 61.5 ± 8.8 | 0.195 |
| Gender | 0.213 | ||
| Male | 32 | 112 | |
| Female | 19 | 69 | |
| Total bilirubin (mg/dL) | 0.8 ± 0.6 | 0.6 ± 0.3 | 0.060 |
| FBS (mg/dL) | 171.8 ± 97.5 | 115.8 ± 34.8 | 0.000 |
| HbA1C (%) | 7.7 ± 2.3 | 6.7 ± 1.6 | 0.086 |
| CEA (ng/mL) | 13.8 ± 70.7 | 1.8 ± 1.2 | 0.294 |
| CA 19-9 (U/mL) | 609.5 ± 2342.5 | 17.0 ± 26.2 | 0.083 |
| Chronic pancreatitis (%) | 8 (15.7) | 42 (23.2) | 0.249 |
| IFG (%) | 5 (17.9) | 23 (12.7) | 0.574 |
| DM (%) | 21 (41.2) | 63 (34.8) | 0.403 |
| DM onset (%) | 21 (41.2) | 56 (30.9) | 0.035 |
| >3 years (%) | 9 (17.6) | 39 (22.4) | |
| <3 years (%) | 12 (23.5) | 17 (9.8) | |
| Smoking (%) | 15 (29.4) | 60 (33.1) | 0.614 |
| Smoking (PY) | 7.5 ± 13.9 | 8.1 ± 14.3 | 0.318 |
| PDAC FHx (%) | 1 (2.0) | 12 (6.6) | 0.200 |
| Presence of subtle density changes on CT | 0.005 | ||
| High-density (%) | 1 (2.0) | 1 (0.6) | 0.244 |
| Low-density (%) | 2 (3.9) | 2 (1.1) | |
| Iso-density (%) | 2 (3.9) | 0 (0.0) | |
| Presence of MPD dilatation on CT (%) | 26 (51.0) | 57 (31.5) | 0.000 |
| Segmental (%) | 15 (29.4) | 9 (5.0) | |
| Diffuse (%) | 11 (21.6) | 46 (25.4) | |
| Presence of cyst (%) | 19 (37.3) | 64 (35.4) | 0.000 |
| Single (%) | 5 (10.0) | 32 (17.7) | |
| Multiple (%) | 6 (12.0) | 11 (6.1) | |
| IPMN-like (%) | 8 (16.0) | 21 (11.6) | |
| Acute pancreatitis (%) | 2 (4.2) | 3 (1.7) | 0.290 |
| PDAC Group (n = 51) | |
|---|---|
| Tumor location | |
| Head | 26 (51.0) |
| Body, Body + tail | 11 (21.6) |
| Tail | 14 (27.5) |
| Stage | |
| Ia + Ib | 4 (7.8) |
| IIa | 16 (31.4) |
| IIb | 14 (27.5) |
| III | 3 (5.9) |
| IV | 14 (27.5) |
| Time interval between CT scan and the diagnosis of PDAC (months) | 15.96 ± 7.95 |
| Overall survival (months) | 21.4 ± 20.8 |
| Variables | Univariate | Multivariate | ||
|---|---|---|---|---|
| OR (95% CI) | p -Value | OR (95% CI ) | p-Value | |
| Age (year) | 1.06 (1.02–1.10) | 0.195 | 1.04 (0.99–1.09) | 0.122 |
| Gender | 1.21 (0.53–2.31) | 0.213 | 1.15 (0.43–3.07) | 0.788 |
| Female | ||||
| Male | ||||
| CA 19-9 (U/mL) | 1.02 (1.01–1.04) | 0.000 | 1.02 (1.01–1.03) | 0.000 |
| Chronic pancreatitis | 0.62 (0.27–1.41) | 0.252 | ||
| DM and IFG | ||||
| No | 1 | 0.666 | ||
| IFG | 0.83 (0.29–2.39) | 0.725 | ||
| DM | 1.27 (0.65–2.46) | 0.484 | ||
| DM onset | ||||
| No | 1 | 0.043 | 0.038 | |
| >3 years | 0.91 (0.40–2.08) | 0.819 | 0.81 (0.24–2.75) | 0.735 |
| <3 years | 2.78 (1.20–6.44) | 0.017 | 4.60 (1.32–16.06) | 0.017 |
| Smoking | 0.84 (0.43-1.65) | 0.614 | ||
| Family history | 0.28 (0.04–2.22) | 0.229 | ||
| Presence of subtle density change | 6.45 (1.49–27.98) | 0.013 | 1.10 (0.08–15.25) | 0.942 |
| MPD dilatation | 1 | 0.000 | 0.019 | |
| Segmental | 8.40 (3.31–21.3) | 0.000 | 6.68 (1.76–25.41) | 0.005 |
| Diffuse | 1.21 (0.55–2.64) | 0.641 | 1.22 (0.41–3.65) | 0.718 |
Publisher’s Note: MDPI stays neutral with regard to jurisdictional claims in published maps and institutional affiliations. |
© 2022 by the authors. Licensee MDPI, Basel, Switzerland. This article is an open access article distributed under the terms and conditions of the Creative Commons Attribution (CC BY) license (https://creativecommons.org/licenses/by/4.0/).
Share and Cite
Chung, H.H.; Lim, K.S.; Park, J.K. Clinical Clues of Pre-Symptomatic Pancreatic Ductal Adenocarcinoma Prior to Its Diagnosis: A Retrospective Review of CT Scans and Laboratory Tests. Clin. Pract. 2022, 12, 70-77. https://doi.org/10.3390/clinpract12010008
Chung HH, Lim KS, Park JK. Clinical Clues of Pre-Symptomatic Pancreatic Ductal Adenocarcinoma Prior to Its Diagnosis: A Retrospective Review of CT Scans and Laboratory Tests. Clinics and Practice. 2022; 12(1):70-77. https://doi.org/10.3390/clinpract12010008
Chicago/Turabian StyleChung, Hwe Hoon, Kyung Sook Lim, and Joo Kyung Park. 2022. "Clinical Clues of Pre-Symptomatic Pancreatic Ductal Adenocarcinoma Prior to Its Diagnosis: A Retrospective Review of CT Scans and Laboratory Tests" Clinics and Practice 12, no. 1: 70-77. https://doi.org/10.3390/clinpract12010008
APA StyleChung, H. H., Lim, K. S., & Park, J. K. (2022). Clinical Clues of Pre-Symptomatic Pancreatic Ductal Adenocarcinoma Prior to Its Diagnosis: A Retrospective Review of CT Scans and Laboratory Tests. Clinics and Practice, 12(1), 70-77. https://doi.org/10.3390/clinpract12010008

