Renewed Concept of Mastoid Cavity Obliteration with the Use of Temporoparietal Fascial Flap Injected by Injectable Platelet-Rich Fibrin after Subtotal Petrosectomy for Cochlear Implant Patients
Abstract
1. Introduction
2. Materials and Methods
3. Results
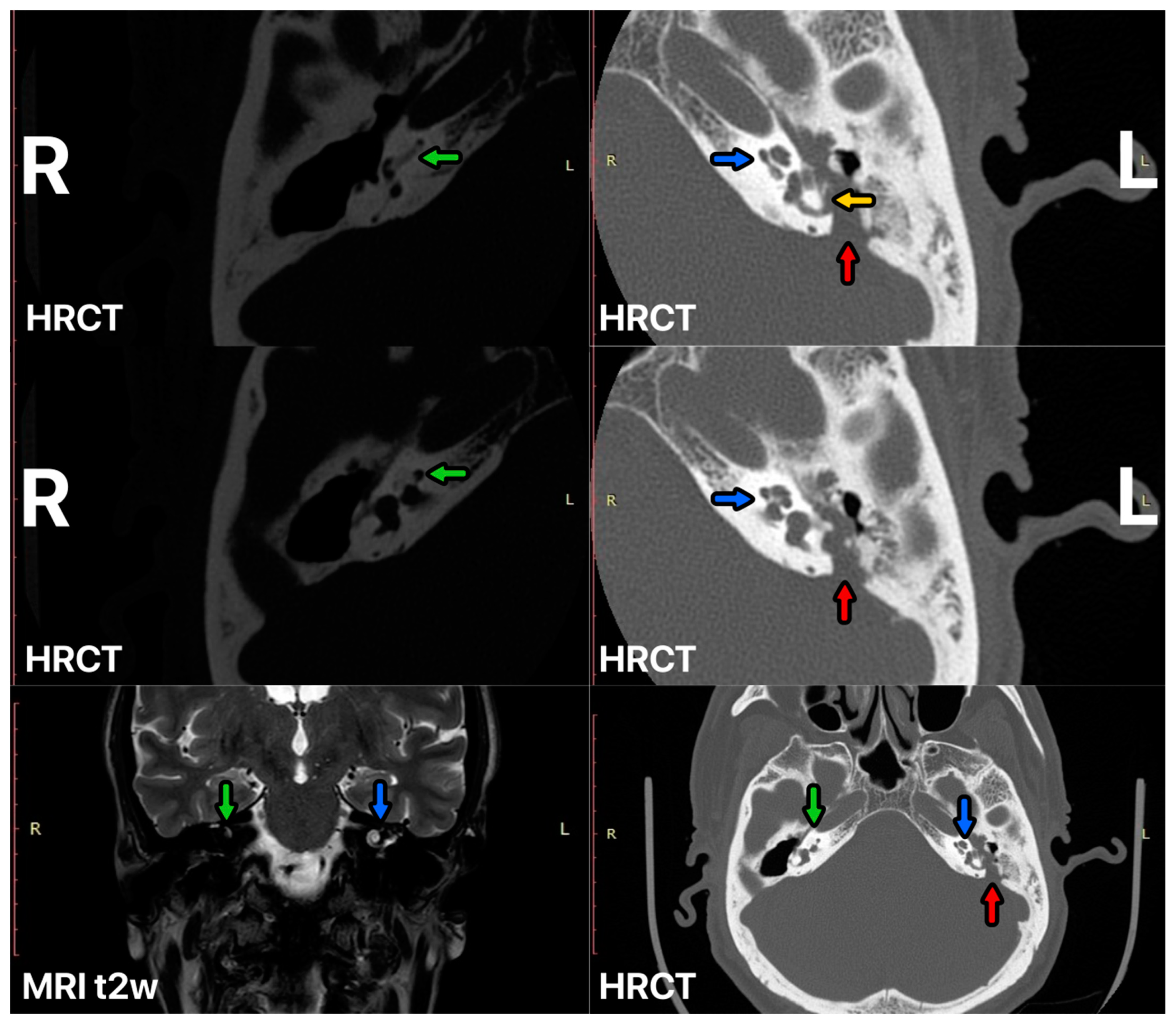
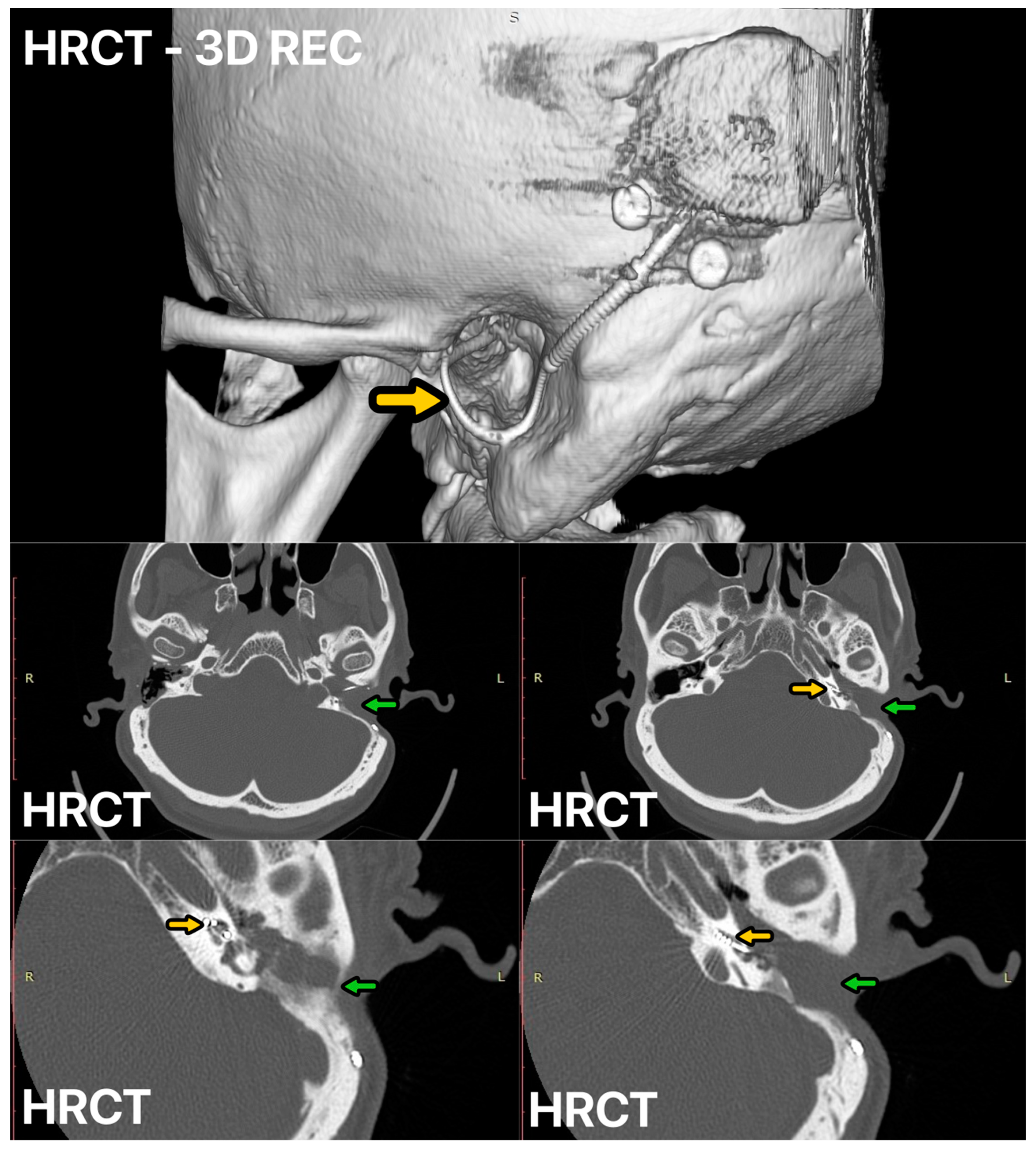
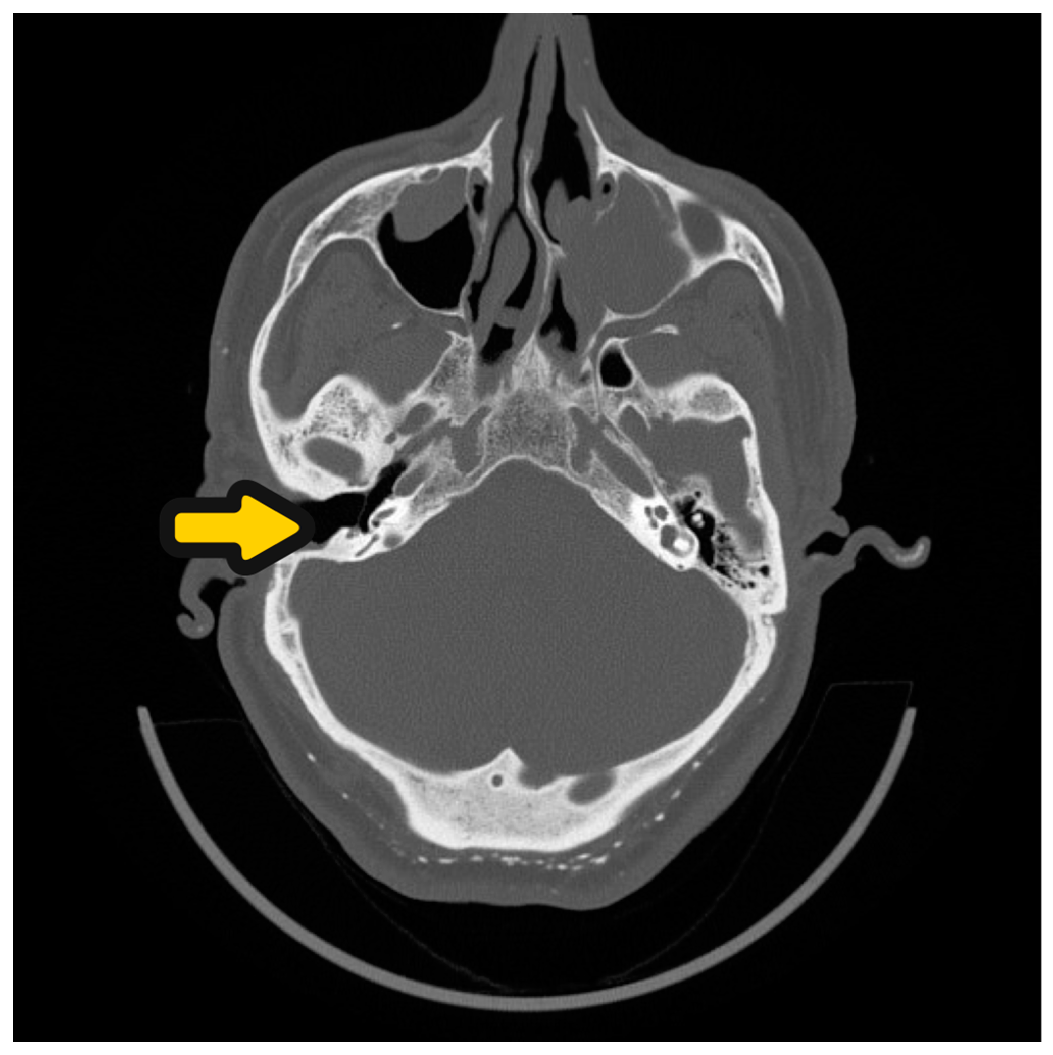
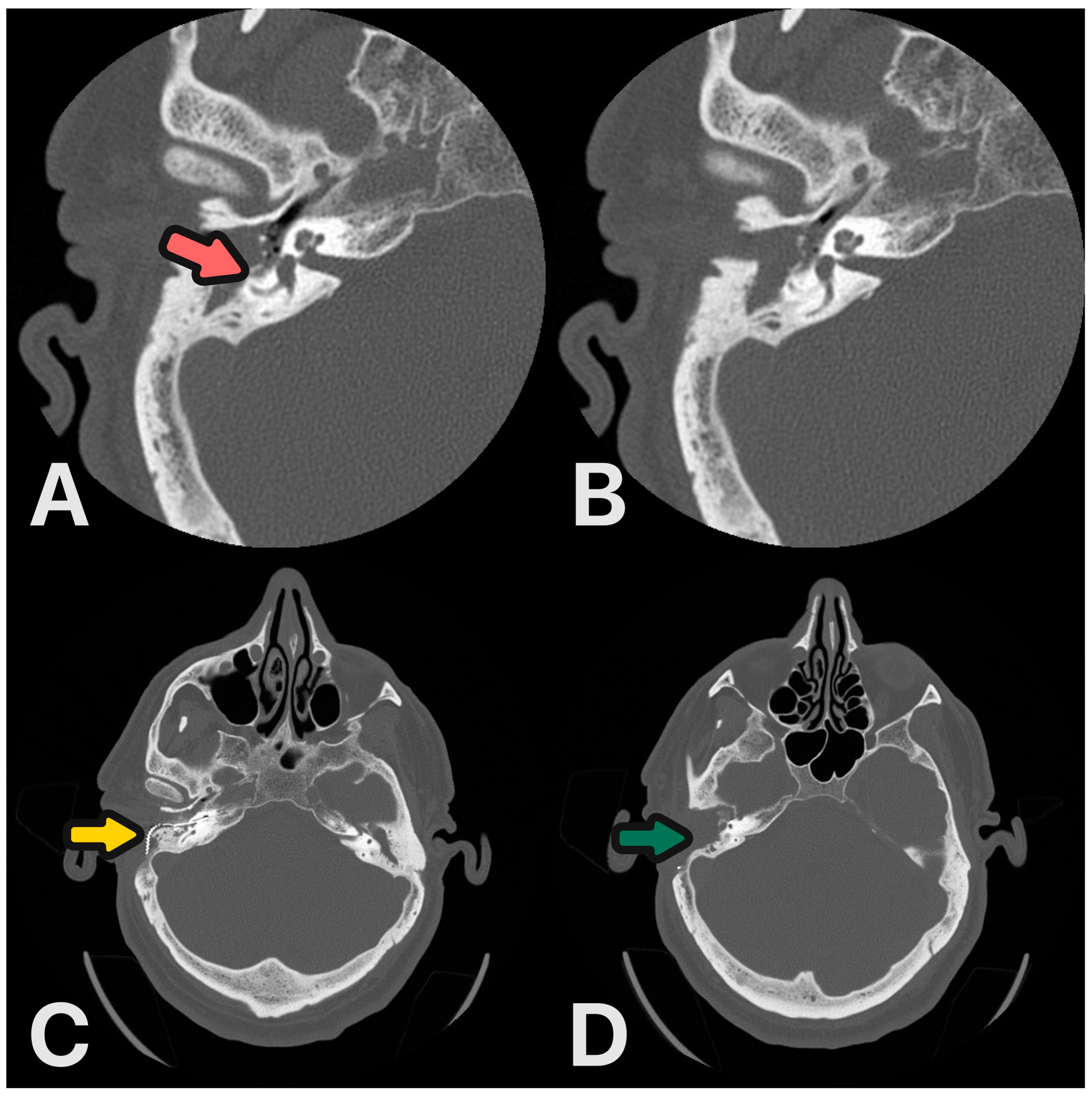
3.1. Case 1
3.2. Case 2
3.3. Case 3
4. Discussion
5. Conclusions
Author Contributions
Funding
Institutional Review Board Statement
Informed Consent Statement
Data Availability Statement
Acknowledgments
Conflicts of Interest
References
- Birzgalis, A.R.; Farrington, W.T.; O’Keefe, L. Reconstruction of Discharging Mastoid Cavities Using the Temporalis Myofascial Flap. Clin. Otolaryngol. Allied Sci. 1994, 19, 70–72. [Google Scholar] [CrossRef]
- Szymański, M.; Ataide, A.; Linder, T. The Use of Subtotal Petrosectomy in Cochlear Implant Candidates with Chronic Otitis Media. Eur. Arch. Otorhinolaryngol. 2016, 273, 363–370. [Google Scholar] [CrossRef]
- Polo, R.; Del Mar Medina, M.; Arístegui, M.; Lassaletta, L.; Gutierrez, A.; Aránguez, G.; Prasad, S.C.; Alonso, A.; Gavilán, J.; Sanna, M. Subtotal Petrosectomy for Cochlear Implantation: Lessons Learned After 110 Cases. Ann. Otol. Rhinol. Laryngol. 2016, 125, 485–494. [Google Scholar] [CrossRef]
- Prasad, S.C.; Roustan, V.; Piras, G.; Caruso, A.; Lauda, L.; Sanna, M. Subtotal Petrosectomy: Surgical Technique, Indications, Outcomes, and Comprehensive Review of Literature. Laryngoscope 2017, 127, 2833–2842. [Google Scholar] [CrossRef]
- Zwierz, A.; Masna, K. Surgical Outcomes of Using Temporoparietal Fasciocutaneus and Temporoparietal Pedicle Flap for Auricular Reconstruction. J. Int. Adv. Otol. 2022, 15, 426–432. [Google Scholar] [CrossRef]
- Cieslik-Bielecka, A.; Choukroun, J.; Odin, G.; Dohan Ehrenfest, D.M. L-PRP/L-PRF in esthetic plastic surgery, regenerative medicine of the skin and chronic wounds. Curr. Pharm. Biotechnol. 2012, 13, 1266–1277. [Google Scholar] [CrossRef]
- Beaudoin, P.L.; Carles, G. Template for Diced Cartilage with Platelet-Rich Fibrin (PRF) in Rhinoplasty: An Easy Solution for Millimetric Camouflage of the Full Dorsal Esthetic Unit. Facial Plast. Surg. 2023, 39, 707–713. [Google Scholar] [CrossRef]
- Buzalaf, M.A.R.; Levy, F.M. Autologous platelet concentrates for facial rejuvenation. J. Appl. Oral Sci. 2022, 30, e20220020. [Google Scholar] [CrossRef] [PubMed]
- Zhang, T.; Wang, J.; Le, K.; Guo, Y.; Zhu, B. Platelet-rich fibrin accelerates skin wound healing in pressure injuries: A rat model. J. Wound Care 2022, 31, 800–804. [Google Scholar] [CrossRef]
- Tian, K.; Ye, J.; Zhong, Y.; Jia, Z.; Xu, W.; Gao, S.; Cao, S.; Li, K.; Wu, L. Autologous i-PRF promotes healing of radiation-induced skin injury. Wound Repair Regen. 2023, 31, 454–463. [Google Scholar] [CrossRef] [PubMed]
- Straub, A.; Brands, R.; Borgmann, A.; Vollmer, A.; Hohm, J.; Linz, C.; Müller-Richter, U.; Kübler, A.C.; Hartmann, S. Free Skin Grafting to Reconstruct Donor Sites after Radial Forearm Flap Harvesting: A Prospective Study with Platelet-Rich Fibrin (PRF). J. Clin. Med. 2022, 11, 3506. [Google Scholar] [CrossRef]
- Narayanaswamy, R.; Patro, B.P.; Jeyaraman, N.; Gangadaran, P.; Rajendran, R.L.; Nallakumarasamy, A.; Jeyaraman, M.; Ramani, P.; Ahn, B.C. Evolution and Clinical Advances of Platelet-Rich Fibrin in Musculoskeletal Regeneration. Bioengineering 2023, 10, 58. [Google Scholar] [CrossRef] [PubMed]
- Meza-Mauricio, J.; Furquim, C.P.; Geldres, A.; Mendoza-Azpur, G.; Retamal-Valdes, B.; Moraschini, V.; Faveri, M. Is the use of platelet-rich fibrin effective in the healing, control of pain, and postoperative bleeding in the palatal area after free gingival graft harvesting? A systematic review of randomized clinical studies. Clin. Oral Investig. 2021, 25, 4239–4249. [Google Scholar] [CrossRef] [PubMed]
- Puri, K.; Khatri, M.; Bansal, M.; Kumar, A.; Rehan, M.; Gupta, A. A novel injectable platelet-rich fibrin reinforced papilla reconstruction technique. J. Indian Soc. Periodontol. 2022, 26, 412–417. [Google Scholar] [CrossRef] [PubMed]
- Straub, A.; Utz, C.; Stapf, M.; Vollmer, A.; Kasper, S.; Kübler, A.C.; Brands, R.C.; Hartmann, S.; Lâm, T.T. Investigation of three common centrifugation protocols for platelet-rich fibrin (PRF) as a bio-carrier for ampicillin/sulbactam: A prospective trial. Clin. Oral Investig. 2023, 27, 5991–5998. [Google Scholar] [CrossRef] [PubMed]
- Bartels, L.J.; Sheehy, J.L. Total Obliteration of the Mastoid, Middle Ear, and External Auditory Canal. A Review of 27 Cases. Laryngoscope 1981, 91, 1100–1108. [Google Scholar] [CrossRef] [PubMed]
- Parmekar, S.; Hazarika, P.; Viswanathan, A.; Balakrishnan, R. Mastoid Obliteration Using Temporo-Parietal Fascia Flap-Our Experience. Indian J. Otolaryngol. Head Neck Surg. 1997, 49, 117–121. [Google Scholar] [CrossRef]
- Yung, M. The Use of Temporoparietal Fascial Flap to Eliminate Wound Breakdown in Subtotal Petrosectomy for Chronic Discharging Ears. Otol. Neurotol. 2016, 37, 248–251. [Google Scholar] [CrossRef]
- Bernardeschi, D.; Nguyen, Y.; Smail, M.; Bouccara, D.; Meyer, B.; Ferrary, E.; Sterkers, O.; Mosnier, I. Middle Ear and Mastoid Obliteration for Cochlear Implant in Adults: Indications and Anatomical Results. Otol. Neurotol. 2015, 36, 604–609. [Google Scholar] [CrossRef]
- D’Angelo, G.; Donati, G.; Bacciu, A.; Guida, M.; Falcioni, M. Subtotal Petrosectomy and Cochlear Implantation. Acta Otorhinolaryngol. Ital. 2020, 40, 450–456. [Google Scholar] [CrossRef] [PubMed]
- Cheney, M.L.; Megerian, C.A.; Brown, M.T.; McKenna, M.J. Mastoid Obliteration and Lining Using the Temporoparietal Fascial Flap. Laryngoscope 1995, 105 Pt 1, 1010–1013. [Google Scholar] [CrossRef]
- East, C.A.; Brough, M.D.; Grant, H.R. Mastoid Obliteration with the Temporoparietal Fascia Flap. J. Laryngol. Otol. 1991, 105, 417–420. [Google Scholar] [CrossRef]
- Haginomori, S.; Nonaka, R.; Takenaka, H.; Ueda, K. Canal Wall-Down Tympanoplasty with Soft-Wall Reconstruction Using the Pedicled Temporoparietal Fascial Flap: Technique and Preliminary Results. Ann. Otol. Rhinol. Laryngol. 2008, 117, 719–726. [Google Scholar] [CrossRef]
- Shashank, B.; Bhushan, M. Injectable Platelet-Rich Fibrin (PRF): The Newest Biomaterial and Its Use in Various Dermatological Conditions in Our Practice: A Case Series. J. Cosmet. Dermatol. 2021, 20, 1421–1426. [Google Scholar] [CrossRef]
- Choukroun, J.; Diss, A.; Simonpieri, A.; Girard, M.O.; Schoeffler, C.; Dohan, S.L.; Dohan, A.J.; Mouhyi, J.; Dohan, D.M. Platelet-Rich Fibrin (PRF): A Second-Generation Platelet Concentrate. Part V: Histologic Evaluations of PRF Effects on Bone Allograft Maturation in Sinus Lift. Oral Surg. Oral Med. Oral Pathol. Oral Radiol. Endod. 2006, 101, 299–303. [Google Scholar] [CrossRef]
- Abd El Raouf, M.; Wang, X.; Miusi, S.; Chai, J.; Mohamed Abdel-Aal, A.B.; Nefissa Helmy, M.M.; Ghanaati, S.; Choukroun, J.; Choukroun, E.; Zhang, Y.; et al. Injectable-Platelet Rich Fibrin Using the Low Speed Centrifugation Concept Improves Cartilage Regeneration When Compared to Platelet-Rich Plasma. Platelets 2019, 30, 213–221. [Google Scholar] [CrossRef]
- Zhang, J.; Yin, C.; Zhao, Q.; Zhao, Z.; Wang, J.; Miron, R.J.; Zhang, Y. Anti-Inflammation Effects of Injectable Platelet-Rich Fibrin via Macrophages and Dendritic Cells. J. Biomed. Mater. Res. A 2020, 108, 61–68. [Google Scholar] [CrossRef]
- Bendet, E.; Cerenko, D.; Linder, T.E.; Fisch, U. Cochlear Implantation After Subtotal Petrosectomies. Eur. Arch. Otorhinolaryngol. 1998, 255, 169–174. [Google Scholar] [CrossRef] [PubMed]
- Issing, P.R.; Schönermark, M.P.; Winkelmann, S.; Kempf, H.G.; Ernst, A. Cochlear Implantation in Patients with Chronic Otitis: Indications for Subtotal Petrosectomy and Obliteration of the Middle Ear. Skull Base Surg. 1998, 8, 127–131. [Google Scholar] [CrossRef] [PubMed]
- Leung, R.; Briggs, R.J. Indications for and Outcomes of Mastoid Obliteration in Cochlear Implantation. Otol. Neurotol. 2007, 28, 330–334. [Google Scholar] [CrossRef] [PubMed]
- Altuna, X.; García, L.; Martínez, Z.; de Pinedo, M.F. The Role of Subtotal Petrosectomy in Cochlear Implant Recipients. Eur. Arch. Otorhinolaryngol. 2017, 274, 4149–4153. [Google Scholar] [CrossRef]
- Free, R.H.; Falcioni, M.; Di Trapani, G.; Giannuzzi, A.L.; Russo, A.; Sanna, M. The Role of Subtotal Petrosectomy in Cochlear Implant Surgery—A Report of 32 Cases and Review on Indications. Otol. Neurotol. 2013, 34, 1033–1040. [Google Scholar] [CrossRef]
- Kurkure, R.; Rayamajhi, P.; Castellino, A.; Dharmarajan, S.; Dham, R.; Natarajan, K.; Kameswaran, M. Subtotal Petrosectomy in Cochlear Implant Surgery: Our Experience. Indian J. Otolaryngol. Head Neck Surg. 2020, 72, 320–325. [Google Scholar] [CrossRef]
- Hernández, S.; Ospina, J.C.; Gutiérrez-Gómez, E.; Rodríguez-Ruiz, M.T.; Trujillo, J.G. Alternative Techniques in Cochlear Implant Surgery: Subtotal Petrosectomy. Am. J. Otolaryngol. 2020, 41, 102338. [Google Scholar] [CrossRef]
- Muzaffar, J.; Metcalfe, C.; Colley, S.; Coulson, C. Diffusion-weighted magnetic resonance imaging for residual and recurrent cholesteatoma: A systematic review and meta-analysis. Clin Otolaryngol. 2017, 42, 536–543. [Google Scholar] [CrossRef]








Disclaimer/Publisher’s Note: The statements, opinions and data contained in all publications are solely those of the individual author(s) and contributor(s) and not of MDPI and/or the editor(s). MDPI and/or the editor(s) disclaim responsibility for any injury to people or property resulting from any ideas, methods, instructions or products referred to in the content. |
© 2024 by the authors. Licensee MDPI, Basel, Switzerland. This article is an open access article distributed under the terms and conditions of the Creative Commons Attribution (CC BY) license (https://creativecommons.org/licenses/by/4.0/).
Share and Cite
Zwierz, A.; Masna, K.; Burduk, P.; Hackenberg, S.; Scheich, M. Renewed Concept of Mastoid Cavity Obliteration with the Use of Temporoparietal Fascial Flap Injected by Injectable Platelet-Rich Fibrin after Subtotal Petrosectomy for Cochlear Implant Patients. Audiol. Res. 2024, 14, 280-292. https://doi.org/10.3390/audiolres14020025
Zwierz A, Masna K, Burduk P, Hackenberg S, Scheich M. Renewed Concept of Mastoid Cavity Obliteration with the Use of Temporoparietal Fascial Flap Injected by Injectable Platelet-Rich Fibrin after Subtotal Petrosectomy for Cochlear Implant Patients. Audiology Research. 2024; 14(2):280-292. https://doi.org/10.3390/audiolres14020025
Chicago/Turabian StyleZwierz, Aleksander, Krystyna Masna, Paweł Burduk, Stephan Hackenberg, and Matthias Scheich. 2024. "Renewed Concept of Mastoid Cavity Obliteration with the Use of Temporoparietal Fascial Flap Injected by Injectable Platelet-Rich Fibrin after Subtotal Petrosectomy for Cochlear Implant Patients" Audiology Research 14, no. 2: 280-292. https://doi.org/10.3390/audiolres14020025
APA StyleZwierz, A., Masna, K., Burduk, P., Hackenberg, S., & Scheich, M. (2024). Renewed Concept of Mastoid Cavity Obliteration with the Use of Temporoparietal Fascial Flap Injected by Injectable Platelet-Rich Fibrin after Subtotal Petrosectomy for Cochlear Implant Patients. Audiology Research, 14(2), 280-292. https://doi.org/10.3390/audiolres14020025

