X-Linked Gusher Disease DFNX2 in Children, a Rare Inner Ear Dysplasia with Mixed Hearing and Vestibular Loss
Abstract
1. Introduction
2. Methods
3. Results
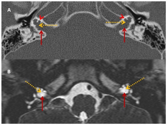
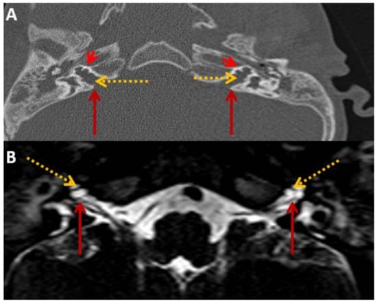
3.1. Sibling A (SA)
3.2. Sibling B (SB)
4. Discussion
5. Conclusions
Author Contributions
Funding
Institutional Review Board Statement
Informed Consent Statement
Data Availability Statement
Acknowledgments
Conflicts of Interest
References
- Nance, W.E.; Setleff, R.; McLedd, A.; Sweeney, A.; Cooper, C.; McDonnell, F. X-linked deafness with congenital fixation of the stapedial footplate and perilymphatic gusher. Birth Defects 1971, 7, 64–69. [Google Scholar]
- Phelps, P.D.; Reardon, W.; Pembrey, M.; Bellman, S.; Luxom, L. X-linked deafness, stapes gushers, and a distinctive defect of the inner ear. Neuroradiology 1991, 33, 326–330. [Google Scholar] [CrossRef] [PubMed]
- Talbot, J.M.; Wilson, D.F. Computed tomographic diagnosis of X-linked congenital mixed deafness, fixation of the stapedial footplate, and perilymphatic gusher. Am. J. Otol. 1994, 15, 177–182. [Google Scholar]
- de Kok, Y.J.M.; van der Maarel, S.M.; Bitner-Glindzicz, M.; Huber, I.; Monaco, A.P.; Malcolm, S.; Pembrey, M.E.; Ropers, H.-H.; Cremers, F.P.M. Association between X-linked mixed deafness and mutations in the POU domain gene POU3F4. Science 1995, 267, 685–688. [Google Scholar] [CrossRef] [PubMed]
- Tekin, A.M.; Matulic, M.; Wuyts, W.; Assadi, M.Z.; Mertens, G.; van Rompaey, V.; Li, Y.; van de Heyning, P.; Topsakal, V. A New Pathogenic Variant in POU3F4 Causing Deafness Due to an Incomplete Partition of the Cochlea Paved the Way for Innovative Surgery. Genes 2021, 12, 613. [Google Scholar] [CrossRef] [PubMed]
- Wallis, C.; Ballo, R.; Wallis, G.; Beighton, P.; Goldblatt, J. X-linked mixed deafness with stapes fixation in a Mauritian kindred: Linkage to Xq probe pDP34. Genomics 1988, 3, 299–301. [Google Scholar] [CrossRef] [PubMed]
- Van Camp, G.; Smith, R.J.H. Hereditary Hearing Loss Homepage. Available online: https://hereditaryhearingloss.org (accessed on 28 June 2023).
- Saylisoy, S.; Incesulu, A.; Gurbuz, M.K.; Adapinar, B. Computed tomographic findings of X-linked deafness: A spectrum from child to mother, from young to old, from boy to girl, from mixed to sudden hearing loss. J. Comput. Assist. Tomogr. 2014, 38, 20–24. [Google Scholar] [CrossRef]
- Papadaki, E.; Prassopoulos, P.; Bizakis, J.; Karampekios, S.; Papadakis, H.; Gourtsoyiannis, N. X-linked deafness with stapes gusher in females. Eur. J. Radiol. 1998, 29, 71–75. [Google Scholar] [CrossRef]
- Petersen, M.; Wang, Q.; Willems, P. Sex-linked deafness. Clin. Genet. 2008, 73, 14–23. [Google Scholar] [CrossRef]
- Dasgupta, S.; Ratnayake, S.; Crunkhorn, R.; Iqbal, J.; Strachan, L.; Avula, S. Audiovestibular Quantification in Rare Third Window Disorders in Children. Front. Neurol. 2020, 11, 954. [Google Scholar] [CrossRef]
- Kumar, S.; Mawby, T.; Sivapathasingam, V.; Humphries, J.; Ramsden, J. X-linked deafness: A review of clinical and radiological findings and current management strategies. World J. Otorhinolaryngol. 2016, 6, 19–22. [Google Scholar] [CrossRef]
- Hong, R.; Du, Q.; Pan, Y. New Imaging Findings of Incomplete Partition Type III Inner Ear Malformation and Literature Review. AJNR Am. J. Neuroradiol. 2020, 41, 1076–1080. [Google Scholar] [CrossRef] [PubMed]
- Ho, M.-L.; Moonis, G.; Halpin, C.; Curtin, H. Spectrum of Third Window Abnormalities: Semicircular Canal Dehiscence and Beyond. AJNR Am. J. Neuroradiol. 2017, 38, 2–9. [Google Scholar] [CrossRef] [PubMed]
- Scarpa, A.; Ralli, M.; Cassandro, C.; Gioacchini, F.M.; Greco, A.; Di Stadio, A.; Cavaliere, M.; Troisi, D.; De Vincentiis, M.; Cassandro, E. Inner-Ear Disorders Presenting with Air-Bone Gaps: A Review. J. Int. Adv. Otol. 2020, 16, 111–116. [Google Scholar] [CrossRef]
- Du, W.; Han, M.-K.; Wang, D.-Y.; Han, B.; Zong, L.; Lan, L.; Yang, J.; Shen, Q.; Xie, L.-Y.; Yu, L.; et al. A POU3F4 Mutation Causes Nonsyndromic Hearing Loss in a Chinese X-linked Recessive Family. Chin. Med. J. 2017, 130, 88–92. [Google Scholar] [CrossRef]
- Phippard, D.; Heydemann, A.; Lechner, M.; Lu, L.; Lee, D.; Kyin, T.; Crenshaw, E. Changes in the subcellular localization of the Brn4 gene product precede mesenchymal remodeling of the otic capsule. Hear. Res. 1998, 120, 77–85. [Google Scholar] [CrossRef]
- Sennaroğlu, L.; Bajin, M.D. Classification and Current Management of Inner Ear Malformations. Balk. Med. J. 2017, 34, 397–411. [Google Scholar] [CrossRef]
- Gong, W.X.; Gong, R.Z.; Zhao, B. HRCT and MRI findings in X-linked non-syndromic deafness patients with a POU3F4 mutation. Int. J. Pediatr. Otorhinolaryngol. 2014, 78, 1756–1762. [Google Scholar] [CrossRef]
- Matifoll, J.-A.P.; Wilson, M.; Goetti, R.; Birman, C.; Bennett, B.; Peadon, E.; Prats-Uribe, A.; Prelog, K. A Case Series of X-Linked Deafness-2 with Sensorineural Hearing Loss, Stapes Fixation, and Perilymphatic Gusher: MR Imaging and Clinical Features of Hypothalamic Malformations. AJNR Am. J. Neuroradiol. 2020, 41, 1087–1093. [Google Scholar] [CrossRef]
- Snik, A.F.; Hombergen, G.C.; Mylanus, E.A.; Cremers, C.W. Air-bone gap in patients with X-linked stapes gusher syndrome. Am. J. Otol. 1995, 16, 241–246. [Google Scholar]
- Tang, A.; Parnes, L.S. X-linked progressive mixed hearing loss: Computed tomography findings. Ann. Otol. Rhinol. Laryngol. 1994, 103, 655–657. [Google Scholar] [CrossRef]
- Minor, L.B.; Solomon, D.; Zinreich, J.S.; Zee, D.S. Sound- and/or pressure-induced vertigo due to bone dehiscence of the superior semicircular canal. Arch. Otolaryngol. Head Neck Surg. 1998, 124, 249–258. [Google Scholar] [CrossRef] [PubMed]
- Merchant, S.N.; Rosowski, J.J. Conductive hearing loss caused by third-window lesions of the inner ear. Otol. Neurotol. 2008, 29, 282–289. [Google Scholar] [CrossRef]
- Hong, R.S.; Metz, C.M.; Bojrab, D.I.; Babu, S.C.; Zappia, J.; Sargent, E.W.; Chan, E.Y.; Naumann, I.C.; LaRouere, M.J. Acoustic Reflex Screening of Conductive Hearing Loss for Third Window Disorders. Otolaryngol. Head Neck Surg. 2016, 154, 343–348. [Google Scholar] [CrossRef] [PubMed]
- Wackym, P.A.; Agrawal, Y.; Ikezono, T.; Balaban, C.D. Editorial: Third Window Syndrome. Front. Neurol. 2021, 12, 704095. [Google Scholar] [CrossRef] [PubMed]
- Tikka, T.; Slim, M.A.M.; Gaggini, M.; Kontorinis, G. Video Head Impulse Test (vHIT) Findings in Patients With Superior Semicircular Canal Dehiscence: A Case-Control Study. J. Int. Adv. Otol. 2021, 17, 103–108. [Google Scholar] [CrossRef] [PubMed]
- Wackym, P.A.; Balaban, C.D.; Zhang, P.; Siker, D.A.; Hundal, J.S. Third window syndrome: Surgical management of cochlea-facial nerve dehiscence. Front. Neurol. 2019, 10, 1281. [Google Scholar] [CrossRef]
- Bulck, P.V.; Leupe, P.J.; Forton, G.E.J. Children with posterior semicircular canal dehiscence: A case series. Int. J. Pediatr. Otorhinolaryngol. 2019, 123, 51–56. [Google Scholar] [CrossRef]
- Zhou, G.; Gopen, Q. Characteristics of vestibular evoked myogenic potentials in children with enlarged vestibular aqueduct. Laryngoscope 2011, 121, 220–225. [Google Scholar] [CrossRef]
- Zhou, G.; Gopen, Q.; Poe, D.S. Clinical and diagnostic characterisation of canal dehiscence syndrome: A great otologic mimicker. Otol. Neurotol. 2007, 28, 920–926. [Google Scholar] [CrossRef]
- Rosengren, S.M.; Colebatch, J.G.; Young, A.S.; Govender, S.; Welgampola, M.S. Vestibular evoked myogenic potentials in practice: Methods, pitfalls and clinical applications. Clin. Neurophysiol. Pract. 2019, 4, 47–68. [Google Scholar] [CrossRef] [PubMed]
- Halmagyi, G.M.; Chen, L.; MacDougall, H.G.; Weber, K.P.; McGarvie, L.A.; Curthoys, I.S. The video head impulse test. Front. Neurol. 2017, 8, 258. [Google Scholar] [CrossRef] [PubMed]
- Bachmann, K.; Sipos, K.; Lavender, V.; Hunter, L.L. Video head impulse testing in a pediatric population: Normative findings. J. Am. Acad. Audiol. 2018, 29, 417–426. [Google Scholar] [CrossRef] [PubMed]
- Curthoys, I.S.; Manzari, L. Clinical application of the head impulse test of semicircular canal function. Hear. Balance Commun. 2017, 15, 113–126. [Google Scholar] [CrossRef]
- Perez-Fernandez, N.; Eza-Nunez, P. Normal gain of VOR with refixation saccades in patients with unilateral vestibulopathy. J. Int. Adv. Otol. 2015, 11, 133–137. [Google Scholar] [CrossRef]
- Korsager, L.E.H.; Faber, C.E.; Schmidt, J.H.; Wanscher, J.H. Refixation saccades with normal gain values: A diagnostic problemin the video head impulse test: A case report. Front. Neurol. 2017, 8, 81. [Google Scholar] [CrossRef]
- Dasgupta, S.; Ratnayake, S.A.B. Functional and objective audiovestibular evaluation of children with apparent semicircular canal dehiscence–a case series in a pediatric vestibular center. Front. Neurol. 2019, 10, 306. [Google Scholar] [CrossRef]
- Fu, W.; He, F.; Wei, D.; Bai, Y.; Shi, Y.; Wang, X.; Han, J. Recovery Pattern of High-Frequency Acceleration Vestibulo-Ocular Reflex in Unilateral Vestibular Neuritis: A Preliminary Study. Front. Neurol. 2019, 10, 85. [Google Scholar] [CrossRef]
- MacDougall, H.G.; McGarvie, L.A.; Halmagyi, G.M.; Rogers, S.J.; Manzari, L.; Burgess, A.M.; Curthoys, I.S.; Weber, K.P. A new saccadic indicator of peripheral vestibular function based on the video head impulse test. Neurology 2016, 87, 410–418. [Google Scholar] [CrossRef]
- Nguyen, J.; Berger, J.; Curthoys, I.; Held, V.; Zaubitzer, L.; Hülse, R.; Rotter, N.; Schell, A. Vestibular testing in children–The suppression head impulse (SHIMP) test. Int. J. Pediatr. Otorhinolaryngol. 2021, 151, 110921. [Google Scholar] [CrossRef]
- Yoshinaga-Itano, C. Principles and Guidelines for Early Intervention After Confirmation That a Child Is Deaf or Hard of Hearing. J. Deaf. Stud. Deaf. Educ. 2014, 19, 143–175. [Google Scholar] [CrossRef] [PubMed]
- Wright, B.; Hargate, R.; Garside, M.; Carr, G.; Wakefield, T.; Swanwick, R.; Noon, I.; Simpson, P. A systematic scoping review of early interventions for parents of deaf infants. BMC Pediatr. 2021, 21, 467. [Google Scholar] [CrossRef] [PubMed]








| Symptoms | Tymp/AR/OAE/ST | Age (Years) | AC R/L | BC | AB |
|---|---|---|---|---|---|
| Hearing difficulties; speech delay | Normal tymp ART absent L OAE absent bil; ST with Manchester Junior Word—in quiet86% at 60 dBA; 76% at 50 dBA; in noise (class babble) 83% at V60/N55. | 18 | 75/NT | 52.5 | 27.5 |
| 14 | 76.25/NT | 51.25 | 25 | ||
| 10 | 75/NT | 50 | 25 | ||
| 6 | 81.25/100 | 48.75 | 35 |
| Symptoms | VNG/VST/SVV, Age 12 and 15 Years | cVEMP AA/RA R μV | cVEMP AA/RA L μV | Asymmetry | cVEMP Threshold dBnHL Age 15 Years |
|---|---|---|---|---|---|
| Delayed motor development; unsteadiness; postural instability; difficult ambulation in darkness; difficulty in reading; difficulty in playground activities; absent Tullio’s or Hennebert’s phenomenon | Normal; abnormal VST | 92.5/2.9 | Nil | 100% | 75 (R) |
| Year | VOR L/R ASCC | VOR L/R LSCC | VOR L/R PSCC | Saccades | SHIMP |
|---|---|---|---|---|---|
| Age 12 years | 0.41/0.3 | 0.72/0.88 | 0.54/0.64 | All canals dispersed | |
| Age 15 years | 0.5/0.69 | 0.7/0.84 | 0.87/0.59 | Only in left lateral and right anterior, some clustering | 241–266°/s PSV L and 243–306°/s PSV R; 5% asymmetry |
| Symptoms | Tymp/AR/OAE/ST | Age (Years) | AC R/L | BC | AB |
|---|---|---|---|---|---|
| Hearing difficulties; speech delay | Normal tymp ART present bil OAE absent bil ST with Manchester Junior Word—in quiet 86% at 50 dBA; 40% at 40 dBA; 60 dBA speech with 50 dBA; in noise (class babble) 83% at V60/N55 | 16 | 81.25/83.3 | 51.25 | 27.5 |
| 12 | 78.75/78.75 | 53.75 | 22.5 | ||
| 8 | 76.25/75 | 48.75 | 27.5 | ||
| 4 | 87.5/85 | 27.5 | 56.25 |
| Symptoms | VNG/VST/SVV Age 10 and 13 Years | cVEMP AA/RA R μV | cVEMP AA/RA L μV | Asymmetry | cVEMP Threshold dBnHL Age 13 Years |
|---|---|---|---|---|---|
| Delayed motor development; unsteadiness; postural instability; autophony but absent Tullio’s or Hennebert’s phenomenon | Normal; abnormal VST | 57.3/1.1 | 58.8/0.8 | 15% | 75 (R + L) |
| Age in Years | VOR L/R ASCC | VOR L/R LSCC | VOR L/R PSCC | Saccades | SHIMP |
|---|---|---|---|---|---|
| 10 | 0.66/0.59 | 0.88/0.92 | 0.65/0.72 | Only laterals dispersed | |
| 13 | 0.68/0.8 | 1.07/0.95 | 0.95/0.69 | Only lateral R clustered | 287–358°/s PSV L and 342–414°/s PSV R; 4% asymmetry |
Disclaimer/Publisher’s Note: The statements, opinions and data contained in all publications are solely those of the individual author(s) and contributor(s) and not of MDPI and/or the editor(s). MDPI and/or the editor(s) disclaim responsibility for any injury to people or property resulting from any ideas, methods, instructions or products referred to in the content. |
© 2023 by the authors. Licensee MDPI, Basel, Switzerland. This article is an open access article distributed under the terms and conditions of the Creative Commons Attribution (CC BY) license (https://creativecommons.org/licenses/by/4.0/).
Share and Cite
Dasgupta, S.; Hong, J.; Morris, R.; Iqbal, J.; Lennox-Bowley, A.; Saniasiaya, J. X-Linked Gusher Disease DFNX2 in Children, a Rare Inner Ear Dysplasia with Mixed Hearing and Vestibular Loss. Audiol. Res. 2023, 13, 600-614. https://doi.org/10.3390/audiolres13040052
Dasgupta S, Hong J, Morris R, Iqbal J, Lennox-Bowley A, Saniasiaya J. X-Linked Gusher Disease DFNX2 in Children, a Rare Inner Ear Dysplasia with Mixed Hearing and Vestibular Loss. Audiology Research. 2023; 13(4):600-614. https://doi.org/10.3390/audiolres13040052
Chicago/Turabian StyleDasgupta, Soumit, James Hong, Rhyanna Morris, Javed Iqbal, Amy Lennox-Bowley, and Jeyasakthy Saniasiaya. 2023. "X-Linked Gusher Disease DFNX2 in Children, a Rare Inner Ear Dysplasia with Mixed Hearing and Vestibular Loss" Audiology Research 13, no. 4: 600-614. https://doi.org/10.3390/audiolres13040052
APA StyleDasgupta, S., Hong, J., Morris, R., Iqbal, J., Lennox-Bowley, A., & Saniasiaya, J. (2023). X-Linked Gusher Disease DFNX2 in Children, a Rare Inner Ear Dysplasia with Mixed Hearing and Vestibular Loss. Audiology Research, 13(4), 600-614. https://doi.org/10.3390/audiolres13040052

