Diagnostic Challenges in a Young Man with a Suspected Mast Cell Disorder, Dysplastic Bone Marrow Morphology, and a ZRSR2 Mutation
Abstract
1. Introduction
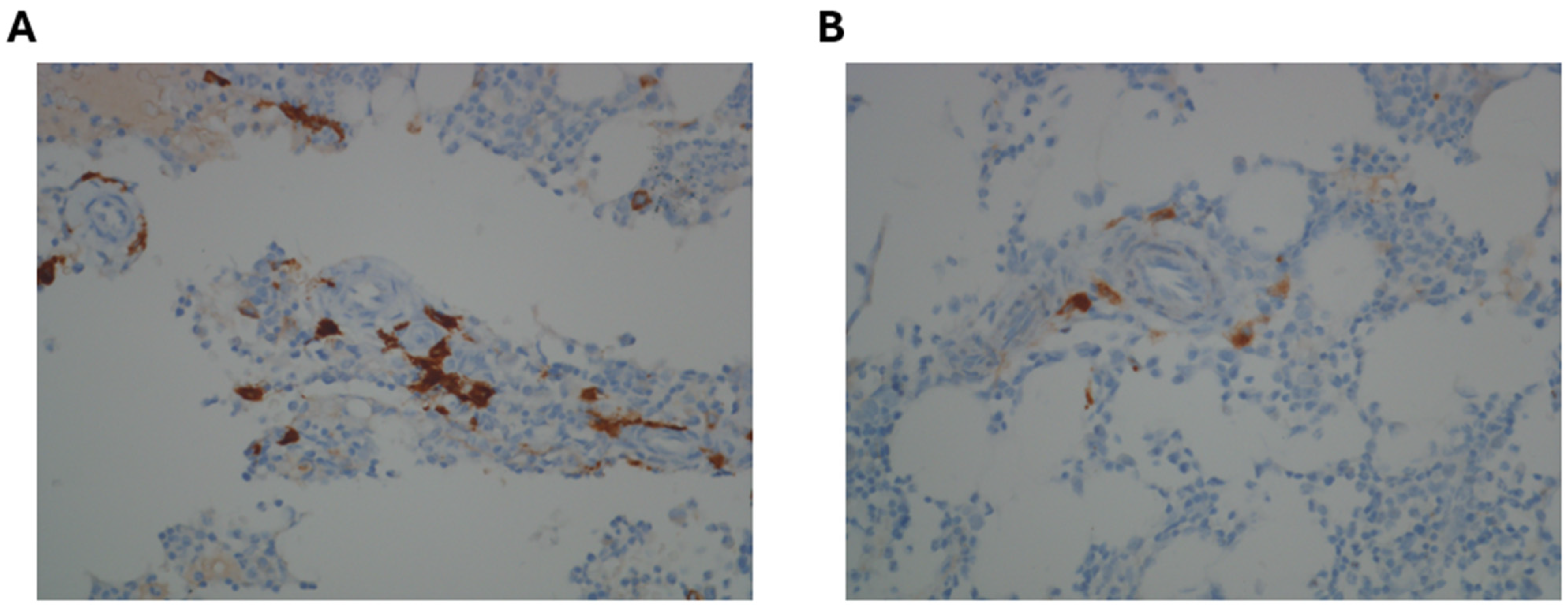
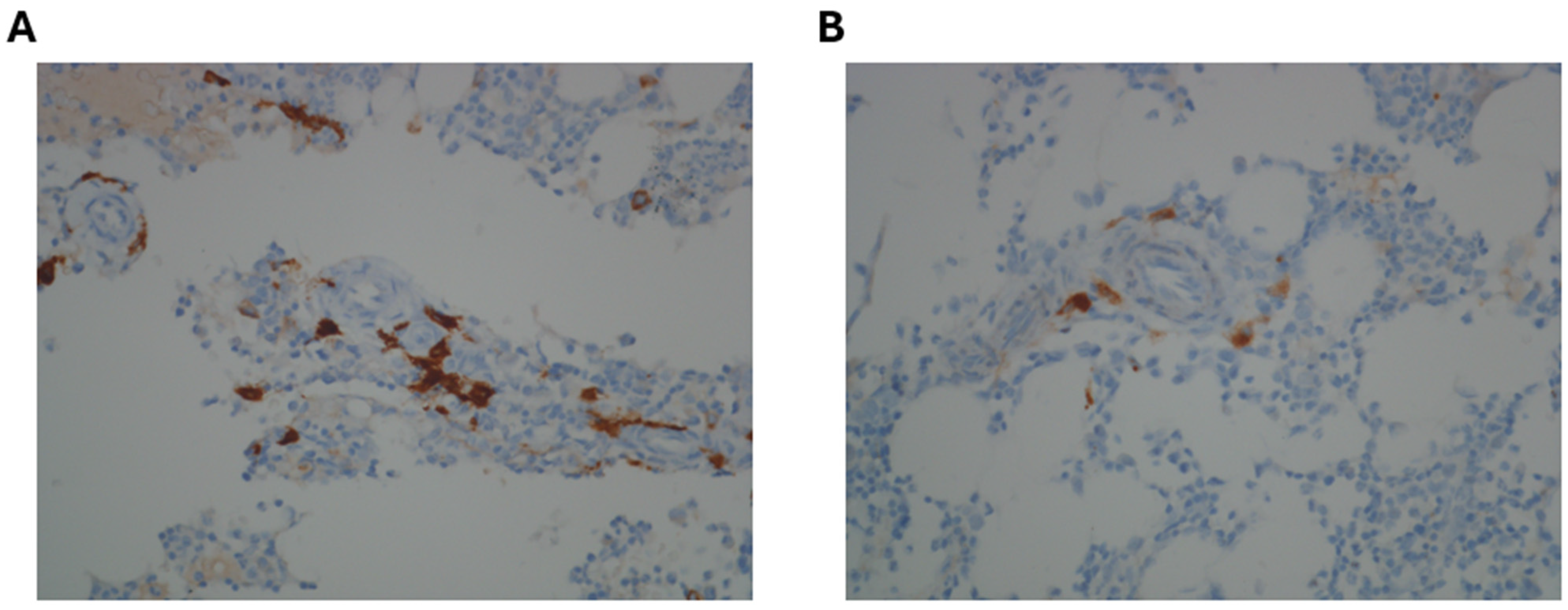
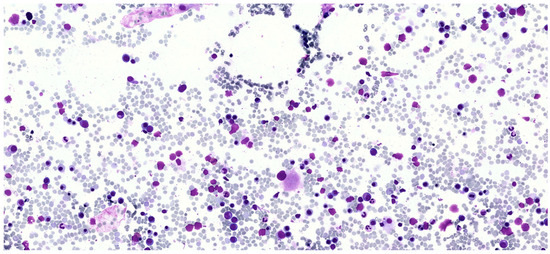
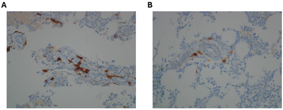
2. Case Report
3. Discussion
4. Conclusions
Author Contributions
Funding
Institutional Review Board Statement
Informed Consent Statement
Data Availability Statement
Acknowledgments
Conflicts of Interest
References
- Leguit, R.J.; Wang, S.A.; George, T.I.; Tzankov, A.; Orazi, A. The international consensus classification of mastocytosis and related entities. Virchows Arch. 2023, 482, 99–112. [Google Scholar] [CrossRef]
- Khoury, J.D.; Solary, E.; Abla, O.; Akkari, Y.; Alaggio, R.; Apperley, J.F.; Bejar, R.; Berti, E.; Busque, L.; Chan, J.K.C.; et al. The 5th edition of the World Health Organization Classification of Haematolymphoid Tumours: Myeloid and Histiocytic/Dendritic Neoplasms. Leukemia 2022, 36, 1703–1719. [Google Scholar] [CrossRef] [PubMed]
- Arber, D.A.; Orazi, A.; Hasserjian, R.P.; Borowitz, M.J.; Calvo, K.R.; Kvasnicka, H.-M.; Wang, S.A.; Bagg, A.; Barbui, T.; Branford, S.; et al. International Consensus Classification of Myeloid Neoplasms and Acute Leukemias: Integrating morphologic, clinical, and genomic data. Blood 2022, 140, 1200–1228. [Google Scholar] [CrossRef] [PubMed]
- Valent, P.; Akin, C.; Metcalfe, D.D. Mastocytosis: 2016 updated WHO classification and novel emerging treatment concepts. Blood 2017, 129, 1420–1427. [Google Scholar] [CrossRef] [PubMed]
- Valent, P.; Hartmann, K.; Bonadonna, P.; Niedoszytko, M.; Triggiani, M.; Arock, M.; Brockow, K. Mast Cell Activation Syndromes: Collegium Internationale Allergologicum Update 2022. Int. Arch. Allergy Immunol. 2022, 183, 693–705. [Google Scholar] [CrossRef] [PubMed]
- Akin, C.; Valent, P.; Metcalfe, D.D. Mast cell activation syndrome: Proposed diagnostic criteria. J. Allergy Clin. Immunol. 2010, 126, 1099–1104.e4. [Google Scholar] [CrossRef] [PubMed]
- Weiler, C.R.; Austen, K.F.; Akin, C.; Barkoff, M.S.; Bernstein, J.A.; Bonadonna, P.; Butterfield, J.H.; Carter, M.; Fox, C.C.; Maitland, A.; et al. AAAAI Mast Cell Disorders Committee Work Group Report: Mast cell activation syndrome (MCAS) diagnosis and management. J. Allergy Clin. Immunol. 2019, 144, 883–896. [Google Scholar] [CrossRef] [PubMed]
- Garcia-Ruiz, C.; Martínez-Valiente, C.; Cordón, L.; Liquori, A.; Fernández-González, R.; Pericuesta, E.; Sandoval, J.; Cervera, J.; Gutiérrez-Adán, A.; Sanjuan-Pla, A. Concurrent Zrsr2 mutation and Tet2 loss promote myelodysplastic neoplasm in mice. Leukemia 2022, 36, 2509–2518. [Google Scholar] [CrossRef] [PubMed]
- Chiereghin, C.; Travaglino, E.; Zampini, M.; Saba, E.; Saitta, C.; Riva, E.; Bersanelli, M.; Della Porta, M.G. The Genetics of Myelodysplastic Syndromes: Clinical Relevance. Genes 2021, 12, 1144. [Google Scholar] [CrossRef] [PubMed]
- Sprinzl, B.; Greiner, G.; Uyanik, G.; Arock, M.; Haferlach, T.; Sperr, W.R.; Valent, P.; Hoermann, G. Genetic Regulation of Tryptase Production and Clinical Impact: Hereditary Alpha Tryptasemia, Mastocytosis and Beyond. Int. J. Mol. Sci. 2021, 22, 2458. [Google Scholar] [CrossRef] [PubMed]
- Bernard, E.; Hasserjian, R.P.; Greenberg, P.L.; Ossa, J.E.A.; Creignou, M.; Tuechler, H.; Gutierrez-Abril, J.; Domenico, D.; Medina-Martinez, J.S.; Levine, M.; et al. Molecular taxonomy of myelodysplastic syndromes and its clinical implications. Blood 2024, 144, 1617–1632. [Google Scholar] [CrossRef] [PubMed]
- Rossi, M.; Meggendorfer, M.; Zampini, M.; Tettamanti, M.; Riva, E.; Travaglino, E.; Bersanelli, M.; Mandelli, S.; Galbussera, A.A.; Mosca, E.; et al. Clinical relevance of clonal hematopoiesis in persons aged ≥80 years. Blood 2021, 138, 2093–2105. [Google Scholar] [CrossRef] [PubMed]
- Yacout, M.; Katamesh, B.; Jabban, Y.; He, R.; Viswanatha, D.; Jevremovic, D.; Greipp, P.; Bessonen, K.; Palmer, J.; Foran, J.; et al. Characterisation and prognostic impact Of ZRSR2 mutations in myeloid neoplasms. Leukemia 2024, 38, 2727–2730. [Google Scholar] [CrossRef] [PubMed]
- Uddin, M.M.; Saadatagah, S.; Niroula, A.; Yu, B.; Hornsby, W.E.; Ganesh, S.; Lannery, K.; Schuermans, A.; Honigberg, M.C.; Bick, A.G.; et al. Long-term longitudinal analysis of 4,187 participants reveals insights into determinants of clonal hematopoiesis. Nat. Commun. 2024, 15, 7858. [Google Scholar] [CrossRef] [PubMed]
- Damm, F.; Kosmider, O.; Gelsi-Boyer, V.; Renneville, A.; Carbuccia, N.; Hidalgo-Curtis, C.; Della Valle, V.; Couronné, L.; Scourzic, L.; Chesnais, V.; et al. Mutations affecting mRNA splicing define distinct clinical phenotypes and correlate with patient outcome in myelodysplastic syndromes. Blood 2012, 119, 3211–3218. [Google Scholar] [CrossRef] [PubMed]
- Togami, K.; Chung, S.S.; Madan, V.; Booth, C.A.; Kenyon, C.M.; Cabal-Hierro, L.; Taylor, J.; Kim, S.S.; Griffin, G.K.; Ghandi, M.; et al. Sex-Biased ZRSR2 Mutations in Myeloid Malignancies Impair Plasmacytoid Dendritic Cell Activation and Apoptosis. Cancer Discov. 2022, 12, 522–541. [Google Scholar] [CrossRef] [PubMed]



| First Sample | Second Sample | ||
|---|---|---|---|
| WBC | 6320/μL | WBC | 5670/μL |
| ANC | 3120/μL | ANC | 2190/μL |
| Hemoglobin | 15.6 g/dL | Hemoglobin | 14.9 g/dL |
| Platelets | 329.000/μL | Platelets | 288.000/μL |
| LDH | 352 U/L (ULN 450 U/L) | LDH | 310 U/L (ULN 450 U/L) |
| Tryptase | 17.8 ng/mL (ULN 15 ng/mL) | Tryptase | 19.2 ng/mL (ULN 15 ng/mL) |
| The diagnosis of systemic mastocytosis can be made when the major criterion and at least 1 minor criterion are present, or when ≥3 minor criteria are present. |
| Major criterion: |
| Multifocal dense infiltrates of mast cells (≥15 mast cells in aggregates) detected in sections of bone marrow and/or other extracutaneous organ(s). |
| Minor criteria: |
|
|
|
|
|
Disclaimer/Publisher’s Note: The statements, opinions and data contained in all publications are solely those of the individual author(s) and contributor(s) and not of MDPI and/or the editor(s). MDPI and/or the editor(s) disclaim responsibility for any injury to people or property resulting from any ideas, methods, instructions or products referred to in the content. |
© 2025 by the authors. Licensee MDPI, Basel, Switzerland. This article is an open access article distributed under the terms and conditions of the Creative Commons Attribution (CC BY) license (https://creativecommons.org/licenses/by/4.0/).
Share and Cite
Dondolin, R.; Maher, N.; Andorno, A.; Sayedi, S.M.; Nawabi, M.R.; Patriarca, A.; Gaidano, G.; Moia, R. Diagnostic Challenges in a Young Man with a Suspected Mast Cell Disorder, Dysplastic Bone Marrow Morphology, and a ZRSR2 Mutation. Hematol. Rep. 2025, 17, 64. https://doi.org/10.3390/hematolrep17060064
Dondolin R, Maher N, Andorno A, Sayedi SM, Nawabi MR, Patriarca A, Gaidano G, Moia R. Diagnostic Challenges in a Young Man with a Suspected Mast Cell Disorder, Dysplastic Bone Marrow Morphology, and a ZRSR2 Mutation. Hematology Reports. 2025; 17(6):64. https://doi.org/10.3390/hematolrep17060064
Chicago/Turabian StyleDondolin, Riccardo, Nawar Maher, Annalisa Andorno, Sayed Masoud Sayedi, Mohammad Reshad Nawabi, Andrea Patriarca, Gianluca Gaidano, and Riccardo Moia. 2025. "Diagnostic Challenges in a Young Man with a Suspected Mast Cell Disorder, Dysplastic Bone Marrow Morphology, and a ZRSR2 Mutation" Hematology Reports 17, no. 6: 64. https://doi.org/10.3390/hematolrep17060064
APA StyleDondolin, R., Maher, N., Andorno, A., Sayedi, S. M., Nawabi, M. R., Patriarca, A., Gaidano, G., & Moia, R. (2025). Diagnostic Challenges in a Young Man with a Suspected Mast Cell Disorder, Dysplastic Bone Marrow Morphology, and a ZRSR2 Mutation. Hematology Reports, 17(6), 64. https://doi.org/10.3390/hematolrep17060064

