Sickle Cell Anemia and Inflammation: A Review of Stones and Landmarks Paving the Road in the Last 25 Years
Abstract
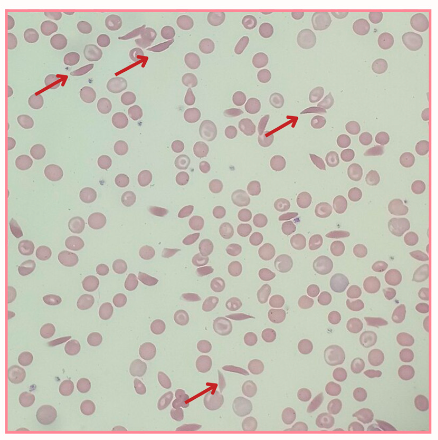
1. Introduction
2. Sickle Cell Disease—Genetics
3. Sickle Cell Disease—Inflammation
4. Chronic Intravascular Hemolysis Driving Inflammation in SCD
5. Inflammatory Cells and Adhesion Molecules in SCD
6. Cytokine Expression in SCD
7. Oxidative Stress in SCD
8. Mannose-Binding Lectin in SCD
9. Final Considerations
Author Contributions
Funding
Data Availability Statement
Conflicts of Interest
References
- Eaton, W.A. Hemoglobin S polymerization and sickle cell disease: A retrospective on the occasion of the 70th anniversary of Pauling’s Science paper. Am. J. Hematol. 2020, 95, 205–211. [Google Scholar] [CrossRef] [PubMed]
- Yonder, S.; Pandey, J. Erythrocyte Inclusions. In StatPearls; StatPearls Publishing: Treasure Island, FL, USA, 2024. [Google Scholar]
- Gong, L.; Parikh, S.; Rosenthal, P.J.; Greenhouse, B. Biochemical and immunological mechanisms by which sickle cell trait protects against malaria. Malar. J. 2013, 12, 317. [Google Scholar] [CrossRef]
- Scourfield, L.E.A.; Nardo-Marino, A.; Williams, T.N.; Rees, D.C. Infections in sickle cell disease. Haematologica 2024. Online ahead of printing. [Google Scholar] [CrossRef] [PubMed]
- Piel, F.B.; Hay, S.I.; Gupta, S.; Weatherall, D.J.; Williams, T.N. Global Burden of Sickle Cell Anaemia in Children under Five, 2010–2050: Modelling Based on Demographics, Excess Mortality, and Interventions. PLoS Med. 2013, 10, e1001484. [Google Scholar] [CrossRef]
- Pauling, L.; Itano, H.A.; Singer, S.J.; Wells, I.C. Sickle Cell Anemia, a Molecular Disease. Science 1949, 110, 543–548. [Google Scholar] [CrossRef]
- Chies, J.A.; Nardi, N.B. Sickle cell disease: A chronic inflammatory condition. Med. Hypotheses 2001, 57, 46–50. [Google Scholar] [CrossRef]
- Conran, N.; Belcher, J.D. Inflammation in sickle cell disease. Clin. Hemorheol. Microcirc. 2018, 68, 263–299. [Google Scholar] [CrossRef]
- Eaton, W.A. Linus Pauling and sickle cell disease. Biophys. Chem. 2002, 100, 109–116. [Google Scholar] [CrossRef]
- Rees, D.C.; Williams, T.N.; Gladwin, M.T. Sickle-cell disease. Lancet 2010, 376, 2018–2031. [Google Scholar] [CrossRef]
- Serjeant, G.R.; Vichinsky, E. Variability of homozygous sickle cell disease: The role of alpha and beta globin chain variation and other factors. Blood Cells Mol. Dis. 2018, 70, 66–77. [Google Scholar] [CrossRef]
- Nader, E.; Romana, M.; Connes, P. The Red Blood Cell—Inflammation Vicious Circle in Sickle Cell Disease. Front. Immunol. 2020, 11, 454. [Google Scholar] [CrossRef]
- Conran, N.; Embury, S.H. Sickle cell vaso-occlusion: The dialectic between red cells and white cells. Exp. Biol. Med. 2021, 246, 1458–1472. [Google Scholar] [CrossRef] [PubMed]
- Tozatto-Maio, K.; Girot, R.; Ly, I.D.; Pinto, A.C.S.; Rocha, V.; Fernandes, F.; Diagne, I.; Benzerara, Y.; Dinardo, C.L.; Soler, J.P.; et al. Polymorphisms in Inflammatory Genes Modulate Clinical Complications in Patients With Sickle Cell Disease. Front. Immunol. 2020, 11, 2041. [Google Scholar] [CrossRef] [PubMed]
- Alayash, A.I. Oxidative Pathways in the Sickle Cell and Beyond. Blood Cells Mol. Dis. 2017, 70, 78. [Google Scholar] [CrossRef] [PubMed]
- Domingos, I.F.; Pereira-Martins, D.A.; Borges-Medeiros, R.L.; Falcao, D.A.; Hatzlhofer, B.L.; Brewin, J.N.; Gardner, K.; Mendonca, T.F.; Cavalcanti, M.S.; Cunha, A.F.; et al. Evaluation of oxidative stress-related genetic variants for predicting stroke in patients with sickle cell anemia. J. Neurol. Sci. 2020, 414, 116839. [Google Scholar] [CrossRef] [PubMed]
- Zhao, L.; He, R.; Long, H.; Guo, B.; Jia, Q.; Qin, D.; Liu, S.-Q.; Wang, Z.; Xiang, T.; Zhang, J.; et al. Late-stage tumors induce anemia and immunosuppressive extramedullary erythroid progenitor cells. Nat. Med. 2018, 24, 1536–1544. [Google Scholar] [CrossRef]
- Li, W.; Acker, J.P. Immunological impact of the CD71+ RBCs: A potential immune mediator in transfusion. Transfus. Apher. Sci. Off. J. World Apher. Assoc. Off. J. Eur. Soc. Haemapheresis 2023, 62, 103721. [Google Scholar] [CrossRef]
- Elahi, S. Neglected Cells: Immunomodulatory Roles of CD71+ Erythroid Cells. Trends Immunol. 2019, 40, 181–185. [Google Scholar] [CrossRef]
- Grzywa, T.M.; Nowis, D.; Golab, J. The role of CD71+ erythroid cells in the regulation of the immune response. Pharmacol. Ther. 2021, 228, 107927. [Google Scholar] [CrossRef]
- Opal, S.M.; DePalo, V.A. Anti-Inflammatory Cytokines. CHEST 2000, 117, 1162–1172. [Google Scholar] [CrossRef]
- Francis, R.B.; Haywood, L.J. Elevated immunoreactive tumor necrosis factor and interleukin-1 in sickle cell disease. J. Natl. Med. Assoc. 1992, 84, 611–615. [Google Scholar] [PubMed]
- Lanaro, C.; Franco-Penteado, C.F.; Albuqueque, D.M.; Saad, S.T.O.; Conran, N.; Costa, F.F. Altered levels of cytokines and inflammatory mediators in plasma and leukocytes of sickle cell anemia patients and effects of hydroxyurea therapy. J. Leukoc. Biol. 2009, 85, 235–242. [Google Scholar] [CrossRef] [PubMed]
- Wun, T.; Paglieroni, T.; Rangaswami, A.; Franklin, P.H.; Welborn, J.; Cheung, A.; Tablin, F. Platelet activation in patients with sickle cell disease. Br. J. Haematol. 1998, 100, 741–749. [Google Scholar] [CrossRef] [PubMed]
- Proença-Ferreira, R.; Brugnerotto, A.F.; Garrido, V.T.; Dominical, V.M.; Vital, D.M.; Ribeiro, M.d.F.R.; dos Santos, M.E.; Traina, F.; Olalla-Saad, S.T.; Costa, F.F.; et al. Endothelial Activation by Platelets from Sickle Cell Anemia Patients. PLoS ONE 2014, 9, e89012. [Google Scholar] [CrossRef]
- Garrido, V.T.; Proença-Ferreira, R.; Dominical, V.M.; Traina, F.; Bezerra, M.A.C.; de Mello, M.R.B.; Colella, M.P.; Araújo, A.S.; Saad, S.T.O.; Costa, F.F.; et al. Elevated plasma levels and platelet-associated expression of the pro-thrombotic and pro-inflammatory protein, TNFSF14 (LIGHT), in sickle cell disease. Br. J. Haematol. 2012, 158, 788–797. [Google Scholar] [CrossRef]
- Proença-Ferreira, R.; Franco-Penteado, C.F.; Traina, F.; Saad, S.T.O.; Costa, F.F.; Conran, N. Increased adhesive properties of platelets in sickle cell disease: Roles for alphaIIb beta3-mediated ligand binding, diminished cAMP signalling and increased phosphodiesterase 3A activity. Br. J. Haematol. 2010, 149, 280–288. [Google Scholar] [CrossRef]
- Boggs, D.R.; Hyde, F.; Srodes, C. An unusual pattern of neutrophil kinetics in sickle cell anemia. Blood 1973, 41, 59–65. [Google Scholar] [CrossRef]
- Turhan, A.; Weiss, L.A.; Mohandas, N.; Coller, B.S.; Frenette, P.S. Primary role for adherent leukocytes in sickle cell vascular occlusion: A new paradigm. Proc. Natl. Acad. Sci. USA 2002, 99, 3047–3051. [Google Scholar] [CrossRef]
- Conran, N.; Saad, S.T.O.; Costa, F.F.; Ikuta, T. Leukocyte numbers correlate with plasma levels of granulocyte–macrophage colony-stimulating factor in sickle cell disease. Ann. Hematol. 2007, 86, 255–261. [Google Scholar] [CrossRef]
- Miguel, L.I.; Almeida, C.B.; Traina, F.; Canalli, A.A.; Dominical, V.M.; Saad, S.T.O.; Costa, F.F.; Conran, N. Inhibition of phosphodiesterase 9A reduces cytokine-stimulated in vitro adhesion of neutrophils from sickle cell anemia individuals. Inflamm. Res. 2011, 60, 633–642. [Google Scholar] [CrossRef]
- Torres, L.S.; Chweih, H.; Fabris, F.C.Z.; Gotardo, E.M.F.; Leonardo, F.C.; Saad, S.T.O.; Costa, F.F.; Conran, N. TGF-β1 Reduces Neutrophil Adhesion and Prevents Acute Vaso-Occlusive Processes in Sickle Cell Disease Mice. Cells 2022, 11, 1200. [Google Scholar] [CrossRef] [PubMed]
- Canalli, A.A.; Conran, N.; Fattori, A.; Saad, S.T.O.; Costa, F.F. Increased adhesive properties of eosinophils in sickle cell disease. Exp. Hematol. 2004, 32, 728–734. [Google Scholar] [CrossRef] [PubMed]
- Pallis, F.R.; Conran, N.; Fertrin, K.Y.; Olalla Saad, S.T.; Costa, F.F.; Franco-Penteado, C.F. Hydroxycarbamide reduces eosinophil adhesion and degranulation in sickle cell anaemia patients. Br. J. Haematol. 2014, 164, 286–295. [Google Scholar] [CrossRef]
- Vona, R.; Sposi, N.M.; Mattia, L.; Gambardella, L.; Straface, E.; Pietraforte, D. Sickle Cell Disease: Role of Oxidative Stress and Antioxidant Therapy. Antioxidants 2021, 10, 296. [Google Scholar] [CrossRef]
- Bandeira, I.C.J.; Rocha, L.B.S.; Barbosa, M.C.; Elias, D.B.D.; Querioz, J.A.N.; Freitas, M.V.C.; Gonçalves, R.P. Chronic inflammatory state in sickle cell anemia patients is associated with HBB(*)S haplotype. Cytokine 2014, 65, 217–221. [Google Scholar] [CrossRef]
- Pathare, A.; Kindi, S.A.; Daar, S.; Dennison, D. Cytokines in sickle cell disease. Hematol. Amst. Neth. 2003, 8, 329–337. [Google Scholar] [CrossRef]
- Auriti, C.; Prencipe, G.; Moriondo, M.; Bersani, I.; Bertaina, C.; Mondì, V.; Inglese, R. Mannose-Binding Lectin: Biologic Characteristics and Role in the Susceptibility to Infections and Ischemia-Reperfusion Related Injury in Critically Ill Neonates. J. Immunol. Res. 2017, 2017, 7045630. [Google Scholar] [CrossRef]
- Neonato, M.-G.; Lu, C.Y.; Guilloud-Bataille, M.; Lapouméroulie, C.; Nabeel-Jassim, H.; Dabit, D.; Girot, R.; Krishnamoorthy, R.; Feingold, J.; Besmond, C.; et al. Genetic polymorphism of the mannose-binding protein gene in children with sickle cell disease: Identification of three new variant alleles and relationship to infections. Eur. J. Hum. Genet. EJHG 1999, 7, 679–686. [Google Scholar] [CrossRef][Green Version]
- Medeiros, F.S.; de Mendonça, T.F.; Lopes, K.A.d.M.; França, L.M.d.C.; da Silva, A.S.; Vasconcelos, L.R.S.; De Oliveira, M.D.C.V.C.; Dos Anjos, A.C.M.; Hatzlhofer, B.L.D.; Bezerra, M.A.C.; et al. Combined genotypes of the MBL2 gene related to low mannose-binding lectin levels are associated with vaso-occlusive events in children with sickle cell anemia. Genet. Mol. Biol. 2017, 40, 600. [Google Scholar] [CrossRef]
- Tsutsumi, A.; Takahashi, R.; Sumida, T. Mannose binding lectin: Genetics and autoimmune disease. Autoimmun. Rev. 2005, 4, 364–372. [Google Scholar] [CrossRef]
- Sastry, K.; Herman, G.; Day, L.; Deignan, E.; Bruns, G.; Morton, C.C.; Ezekowitz, R. The human mannose-binding protein gene. Exon structure reveals its evolutionary relationship to a human pulmonary surfactant gene and localization to chromosome 10. J. Exp. Med. 1989, 170, 1175–1189. [Google Scholar] [CrossRef] [PubMed]
- Taylor, M.E.; Brickell, P.M.; Craig, R.K.; Summerfield, J.A. Structure and evolutionary origin of the gene encoding a human serum mannose-binding protein. Biochem. J. 1989, 262, 763–771. [Google Scholar] [CrossRef] [PubMed]
- Madsen, H.O.; Garred, P.; Thiel, S.; Kurtzhals, J.A.; Lamm, L.U.; Ryder, L.P.; Svejgaard, A. Interplay between promoter and structural gene variants control basal serum level of mannan-binding protein. J. Immunol. 1995, 155, 3013–3020. [Google Scholar] [CrossRef] [PubMed]
- Lipscombe, R.J.; Sumiya, M.; Hill, A.V.S.; Lau, Y.L.; Levinsky, R.J.; Summerfield, J.A.; Turner, M.W. High frequencies in African and non-African populations of independent mutations in the mannose binding protein gene. Hum. Mol. Genet. 1992, 1, 709–715. [Google Scholar] [CrossRef]
- Dossou-Yovo, O.P.; Lapoumeroulie, C.; Hauchecorne, M.; Zaccaria, I.; Ducrocq, R.; Krishnamoorthy, R.; Rahimy, M.C.; Elion, J. Variants of the Mannose-Binding Lectin Gene in the Benin Population: Heterozygosity for the p.G57E Allele May Confer a Selective Advantage. Hum. Biol. 2009, 81, 899–909. [Google Scholar] [CrossRef]
- Zachariah, M.; Zadjali, S.A.; Bashir, W.; Ambusaidi, R.A.; Misquith, R.; Wali, Y.; Pathare, A. Impact of Mannose-Binding Protein Gene Polymorphisms in Omani Sickle Cell Disease Patients. Mediterr. J. Hematol. Infect. Dis. 2016, 8, e2016013. [Google Scholar] [CrossRef]
- Mendonça, T.F.; Oliveira, M.C.V.C.; Vasconcelos, L.R.S.; Pereira, L.M.M.B.; Moura, P.; Bezerra, M.A.C.; Santos, M.; Araújo, A.; Cavalcanti, M. Association of variant alleles of MBL2 gene with vasoocclusive crisis in children with sickle cell anemia. Blood Cells Mol. Dis. 2010, 44, 224–228. [Google Scholar] [CrossRef]
- Oliveira, M.C.V.C.; Mendonça, T.F.; Vasconcelos, L.R.S.; Moura, P.; Bezerra, M.A.C.; Santos, M.N.N.; Cavalcanti, M. Association of the MBL2 Gene EXON1 Polymorphism and Vasoocclusive Crisis in Patients with Sickle Cell Anemia. Acta Haematol. 2009, 121, 212–215. [Google Scholar] [CrossRef]



| Molecule/Gene | Function |
|---|---|
| P-selectin | Adhesion Molecule |
| Intercellular Adhesion Molecule (ICAM-1) | Adhesion Molecule |
| Vascular Adhesion Molecule (VCAM-1) | Adhesion Molecule |
| Tumor Necrosis Factor (TNF) | Cytokine |
| CD40L (TNFSF5) | Cytokine |
| CD258 (TNFSF14) | Cytokine |
| Tumor Necrosis Factor α (TNF-α) | Cytokine |
| Interleukin-1 (IL-1) | Cytokine |
| Interleukin-6 (IL-6) | Cytokine |
| Interleukin-8 (IL-8) | Cytokine |
| Prostaglandin E2 (PGE2) | Cytokine |
| Interleukin-1β (IL-1β) | Cytokine |
| Granulocyte–Macrophage Colony-Stimulating Factor (GM-CSF) | Cytokine |
| Mannose-Binding Protein (MBL)-Variants associated to low expression | Innate Immune Response |
Disclaimer/Publisher’s Note: The statements, opinions and data contained in all publications are solely those of the individual author(s) and contributor(s) and not of MDPI and/or the editor(s). MDPI and/or the editor(s) disclaim responsibility for any injury to people or property resulting from any ideas, methods, instructions or products referred to in the content. |
© 2025 by the authors. Licensee MDPI, Basel, Switzerland. This article is an open access article distributed under the terms and conditions of the Creative Commons Attribution (CC BY) license (https://creativecommons.org/licenses/by/4.0/).
Share and Cite
Dorneles, J.; de Menezes Mayer, A.; Chies, J.A.B. Sickle Cell Anemia and Inflammation: A Review of Stones and Landmarks Paving the Road in the Last 25 Years. Hematol. Rep. 2025, 17, 2. https://doi.org/10.3390/hematolrep17010002
Dorneles J, de Menezes Mayer A, Chies JAB. Sickle Cell Anemia and Inflammation: A Review of Stones and Landmarks Paving the Road in the Last 25 Years. Hematology Reports. 2025; 17(1):2. https://doi.org/10.3390/hematolrep17010002
Chicago/Turabian StyleDorneles, Jessica, Amanda de Menezes Mayer, and José Artur Bogo Chies. 2025. "Sickle Cell Anemia and Inflammation: A Review of Stones and Landmarks Paving the Road in the Last 25 Years" Hematology Reports 17, no. 1: 2. https://doi.org/10.3390/hematolrep17010002
APA StyleDorneles, J., de Menezes Mayer, A., & Chies, J. A. B. (2025). Sickle Cell Anemia and Inflammation: A Review of Stones and Landmarks Paving the Road in the Last 25 Years. Hematology Reports, 17(1), 2. https://doi.org/10.3390/hematolrep17010002

