Aggressive Primary Cutaneous Anaplastic T-Cell Lymphoma Successfully Treated with Autologous Stem Cell Transplant and Brentuximab Vedotin Consolidation: Case Report and Review of the Literature
Abstract
1. Introduction
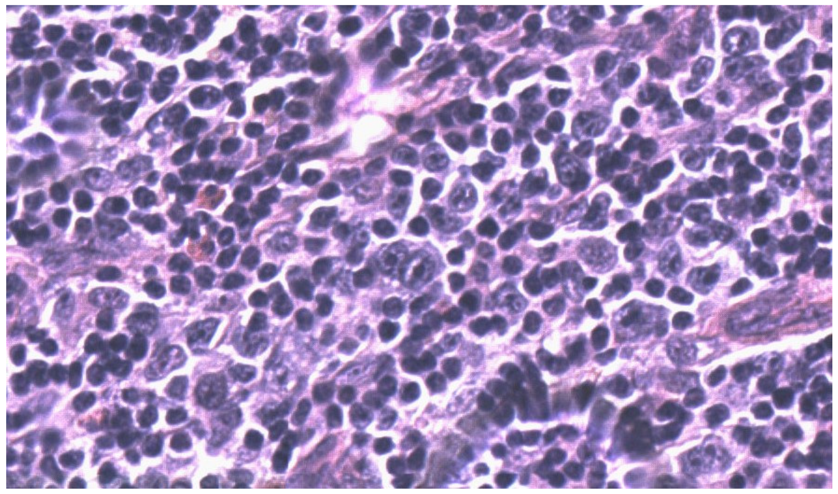
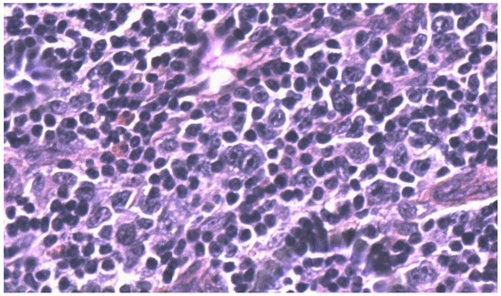
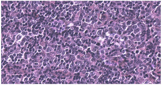
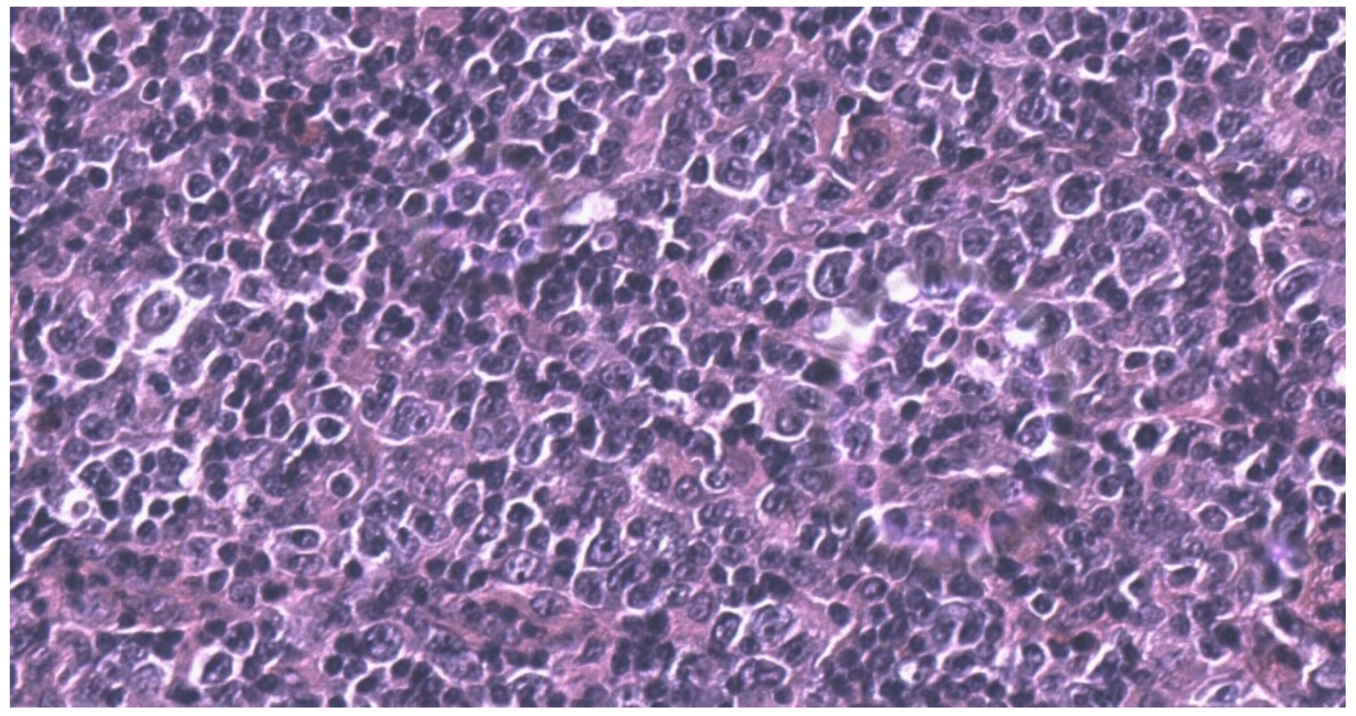
2. Case Report
3. Discussion and Conclusions
Author Contributions
Funding
Institutional Review Board Statement
Informed Consent Statement
Data Availability Statement
Acknowledgments
Conflicts of Interest
References
- Willemze, R.; Hodak, E.; Zinzani, P.L.; Specht, L.; Ladetto, M.; ESMO Guidelines Committee. Primary cutaneous lymphomas: ESMO Clinical Practice Guidelines for diagnosis, treatment and follow up. Ann. Oncol. 2018, 29 (Suppl. S4), iv30–iv40. [Google Scholar] [CrossRef] [PubMed]
- Prieto-Torres, L.; Rodriguez-Pinilla, S.M.; Onaindia, A.; Ara, M.; Requena, L.; Piris, M.Á. CD30-positive Primary Cutaneous Lymphoproliferative Disorders: Molecular Alterations and Targeted Therapies. Haematologica 2019, 104, 226–235. [Google Scholar] [CrossRef] [PubMed]
- Bekkenk, M.W.; Geelen, F.A.; van Voorst Vader, P.C.; Heule, F.; Geerts, M.; van Vloten, W.A.; Meijer, C.J.L.M.; Willemze, R. Primary and Secondary Cutaneous CD30+ Lymphoproliferative Disorders: A Report from the Dutch Cutaneous Lymphoma Group on the Long-Term Follow-Up Data of 219 Patients and Guidelines for Diagnosis and Treatment. Blood 2000, 95, 3653–3661. [Google Scholar] [CrossRef]
- Oschlies, I.; Lisfeld, J.; Lamant, L.; Nakazawa, A.; D’Amore, E.S.G.; Hansson, U.; Hebeda, K.; Simonitsch-Klupp, I.; Maldyk, J.; Müllauer, L.; et al. ALK-positive Anaplastic Large Cell Lymphoma Limited to the Skin: Clinical, Histopathological and Molecular Analysis of 6 Pediatric Cases. A Report from the ALCL99 Study. Haematologica 2013, 98, 50–56. [Google Scholar] [CrossRef] [PubMed]
- Vasmatzis, G.; Johnson, S.H.; Knudson, R.A.; Ketterling, R.P.; Braggio, E.; Fonseca, R.; Viswanatha, D.S.; Law, M.E.; Kip, N.S.; Özsan, N.; et al. Genome-wide analysis reveals recurrent structural abnormalities of TP63 and Other p53-related Genes in Peripheral T-cell Lymphomas. Blood 2012, 120, 2280–2289. [Google Scholar] [CrossRef]
- Laharanne, E.; Chevret, E.; Idrissi, Y.; Gentil, C.; Longy, M.; Ferrer, J.; Dubus, P.; Jouary, T.; Vergier, B.; Beylot-Barry, M.; et al. CDKN2A-CDKN2B Deletion Defines an Aggressive Subset of Cutaneous T-cell Lymphoma. Mod. Pathol. 2010, 23, 547–558. [Google Scholar] [CrossRef]
- Magro, C.M.; Dyrsen, M.E. Cutaneous Lymphocyte Antigen Expression in Benign and Neoplastic Cutaneous B- And T-cell Lymphoid Infiltrates. J. Cutan. Pathol. 2008, 35, 1040–1049. [Google Scholar] [CrossRef]
- Noorduyn, L.A.; Beljiaards, R.C.; Pals, S.T.; Van Heerde, P.; Radaszkiewicz, T.; Willemze, R.; Meijer, C. Differential Expression of the HECA-452 Antigen (Cutaneous Lymphocyte Associated Antigen, CLA) in Cutaneous and Non-Cutaneous T-cell Lymphomas. Histopathology 1992, 21, 59–64. [Google Scholar] [CrossRef]
- Felgar, R.E.; Macon, W.R.; Kinney, M.C.; Roberts, S.; Pasha, T.; E Salhany, K. TIA-1 Expression in Lymphoid Neoplasms. Identification of Subsets with Cytotoxic T Lymphocyte or Natural Killer Cell Differentiation. Am. J. Pathol. 1997, 150, 1893–1900. [Google Scholar]
- Fung, M.A.; Murphy, M.J.; Hoss, D.M.; Grant-Kels, J.M. Practical evaluation and management of cutaneous lymphoma. J. Am. Acad. Dermatol. 2002, 46, 325–357; quiz 358–360. [Google Scholar] [CrossRef][Green Version]
- Mehta-Shah, N.; Horwitx, S.M.; Ansell, S.; Ai, W.Z.; Barnes, J.; Barta, S.K.; Clemens, M.W.; Dogan, A.; Fisher, K.; Goodman, A.M.; et al. NCCN Guidelines Insights: Primary Cutaneous Lymphomas, Version 2.2020. J. Natl. Compr. Canc. Netw. 2020, 18, 522–536. [Google Scholar] [CrossRef] [PubMed]
- d’Amore, F.; Gaulard, P.; Trümper, L.; Corradini, P.; Kim, W.S.; Specht, L.; Bjerregaard Pedersen, M.; Ladetto, M.; ESMO Guidelines Committee. Peripheral T-cell lymphomas: ESMO Clinical Practice Guidelines for diagnosis, treatment and follow-up. Ann Oncol. 2015, 26 (Suppl. S5), v108–v115. [Google Scholar] [CrossRef] [PubMed]
- Younes, A.; Bartlett, N.L.; Leonard, J.P.; Kennedy, D.A.; Lynch, C.M.; Sievers, E.L.; Forero-Torres, A. Brentuximab vedotin (SGN-35) for relapsed CD30-positive lymphomas. N. Engl. J. Med. 2010, 363, 1812–1821. [Google Scholar] [CrossRef] [PubMed]
- Fernandez-De-Misa, R.; Hernandez-Machin, B.; Combalia, A.; Muret, M.G.; Servitje, O.; Muniesa, C.; Gallardo, F.; Pujol, R.; Marti, R.M.; Ortiz-Brugués, A.; et al. Prognostic Factors in Patients with Primary Cutaneous Anaplastic Large Cell Lymphoma: A Multicentric, Retrospective Analysis of the Spanish Group of Cutaneous Lymphoma. J. Eur. Arcad. Dermatol. Venerol. 2020, 34, 762–768. [Google Scholar] [CrossRef]
- Prince, H.M.; Kim, Y.H.; Horwitz, S.M.; Dummer, R.; Scarisbrick, J.; Quaglino, P.; Zinzani, P.L.; Wolter, P.; Sanches, J.A.; Ortiz-Romero, P.L.; et al. Brentuximab Vedotin or Physician’s Choice in CD30-positive Cutaneous T-cell Lymphoma (ALCANZA): An International, Open-Label, Randomised, Phase 3, Multicentre Trial. Lancet 2017, 390, 555–566. [Google Scholar] [CrossRef]
- Liu, H.L.; Hoppe, R.T.; Kohler, S.; Harvell, J.D.; Reddy, S.; Kim, Y.H. D30+ Cutaneous Lymphoproliferative Disorders: The Stanford Experience in Lymphomatoid Papulosis and Primary Cutaneous Anaplastic Large Cell Lymphoma. J. Am. Acad. Dermatol. 2003, 49, 1049–1058. [Google Scholar] [CrossRef]
- Xing, X.; Feldman, A.L. Anaplastic large cell lymphomas: ALK positive, ALK negative, and primary cutaneous. Adv. Anat. Pathol. 2015, 22, 29–49. [Google Scholar] [CrossRef]
- Isogai, R.; Fukao, M.; Kawada, A. Successful Treatment for Recurrence of Primary Cutaneous Anaplastic Large-Cell Lymphoma in Elderly Patient with Etoposide, Mitoxantrone, Cyclophosphamide, Vincristine, Prednisolone and Bleomycin (VNCOP-B) Therapy. J. Dermatol. 2007, 34, 556–560. [Google Scholar] [CrossRef]
- Yi, J.H.; Kim, S.J.; Kim, W.S. Brentuximab Vedotin: Cinical updates and practical guidance. Blood 2017, 52, 243–253. [Google Scholar] [CrossRef]
- André, R.; Ram-Wolff, C.; Battistella, M.; De Latour, R.P.; Petit, A.; Bouaziz, J.; Brice, P.; Bagot, M.; De Masson, A. Effectiveness of brentuximab vedotin before and after allogeneic stem-cell transplantation in the management of transformed mycosis fungoides. Br. J. Dermatol. 2020, 182, 1503–1504. [Google Scholar] [CrossRef]
- Duvic, M.; Tetzlaff, M.T.; Gangar, P.; Clos, A.L.; Sui, D.; Talpur, R. Results of a Phase II Trial of Brentuximab Vedotin for CD30+ Cutaneous T-Cell Lymphoma and Lymphomatoid Papulosis. J. Clin. Oncol. 2015, 33, 3759–3765. [Google Scholar] [CrossRef] [PubMed]
- Duvic, M.; Reddy, S.A.; Pinter-Brown, L.; Korman, N.J.; Zic, J.; Kennedy, D.A.; Lorenz, J.; Sievers, E.; Kim, Y.H. A Phase II Study of SGN-30 in Cutaneous Anaplastic Large Cell Lymphoma and Related Lymphoproliferative Disorders. Clin. Cancer Res. 2009, 15, 6217–6224. [Google Scholar] [CrossRef] [PubMed]
- Moskowtiz, C.H.; Nademanee, A.; Masszi, T.; Agura, E.; Holowiecki, J.; Abidi, M.H.; Chen, A.I.; Stiff, P.; Gianni, A.M.; Carella, A.; et al. Brentuximab vedotin as consolidation therapy after autologous stem-cell transplantation in patients with Hodgkin’s lymphoma at risk of relapse or progression (AETHERA): A randomised, double-blind, placebo-controlled, phase 3 trial. Lancet 2015, 385, 1853–1862. [Google Scholar] [CrossRef]



Publisher’s Note: MDPI stays neutral with regard to jurisdictional claims in published maps and institutional affiliations. |
© 2022 by the authors. Licensee MDPI, Basel, Switzerland. This article is an open access article distributed under the terms and conditions of the Creative Commons Attribution (CC BY) license (https://creativecommons.org/licenses/by/4.0/).
Share and Cite
Guarnera, L.; Meconi, F.; Pocci, M.; Esposito, F.; Rizzo, M.; Rapisarda, V.M.; Zizzari, A.; Di Raimondo, C.; Pupo, L.; Anemona, L.; et al. Aggressive Primary Cutaneous Anaplastic T-Cell Lymphoma Successfully Treated with Autologous Stem Cell Transplant and Brentuximab Vedotin Consolidation: Case Report and Review of the Literature. Hematol. Rep. 2022, 14, 61-66. https://doi.org/10.3390/hematolrep14020010
Guarnera L, Meconi F, Pocci M, Esposito F, Rizzo M, Rapisarda VM, Zizzari A, Di Raimondo C, Pupo L, Anemona L, et al. Aggressive Primary Cutaneous Anaplastic T-Cell Lymphoma Successfully Treated with Autologous Stem Cell Transplant and Brentuximab Vedotin Consolidation: Case Report and Review of the Literature. Hematology Reports. 2022; 14(2):61-66. https://doi.org/10.3390/hematolrep14020010
Chicago/Turabian StyleGuarnera, Luca, Federico Meconi, Marco Pocci, Fabiana Esposito, Manuela Rizzo, Vito Mario Rapisarda, Annagiulia Zizzari, Cosimo Di Raimondo, Livio Pupo, Lucia Anemona, and et al. 2022. "Aggressive Primary Cutaneous Anaplastic T-Cell Lymphoma Successfully Treated with Autologous Stem Cell Transplant and Brentuximab Vedotin Consolidation: Case Report and Review of the Literature" Hematology Reports 14, no. 2: 61-66. https://doi.org/10.3390/hematolrep14020010
APA StyleGuarnera, L., Meconi, F., Pocci, M., Esposito, F., Rizzo, M., Rapisarda, V. M., Zizzari, A., Di Raimondo, C., Pupo, L., Anemona, L., & Cantonetti, M. (2022). Aggressive Primary Cutaneous Anaplastic T-Cell Lymphoma Successfully Treated with Autologous Stem Cell Transplant and Brentuximab Vedotin Consolidation: Case Report and Review of the Literature. Hematology Reports, 14(2), 61-66. https://doi.org/10.3390/hematolrep14020010

