Joint Pain and Arthritis as First Clinical Manifestation of Systemic Amyloidosis and Multiple Myeloma: Case Report and Brief Literature Review
Abstract
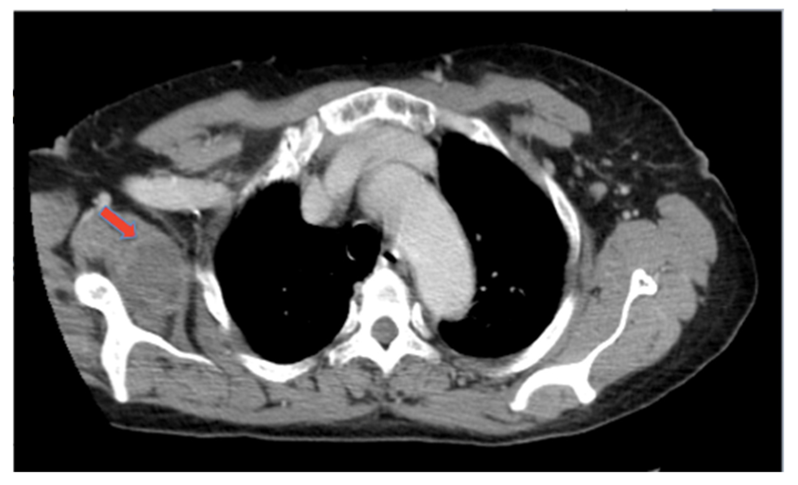
:1. Introduction
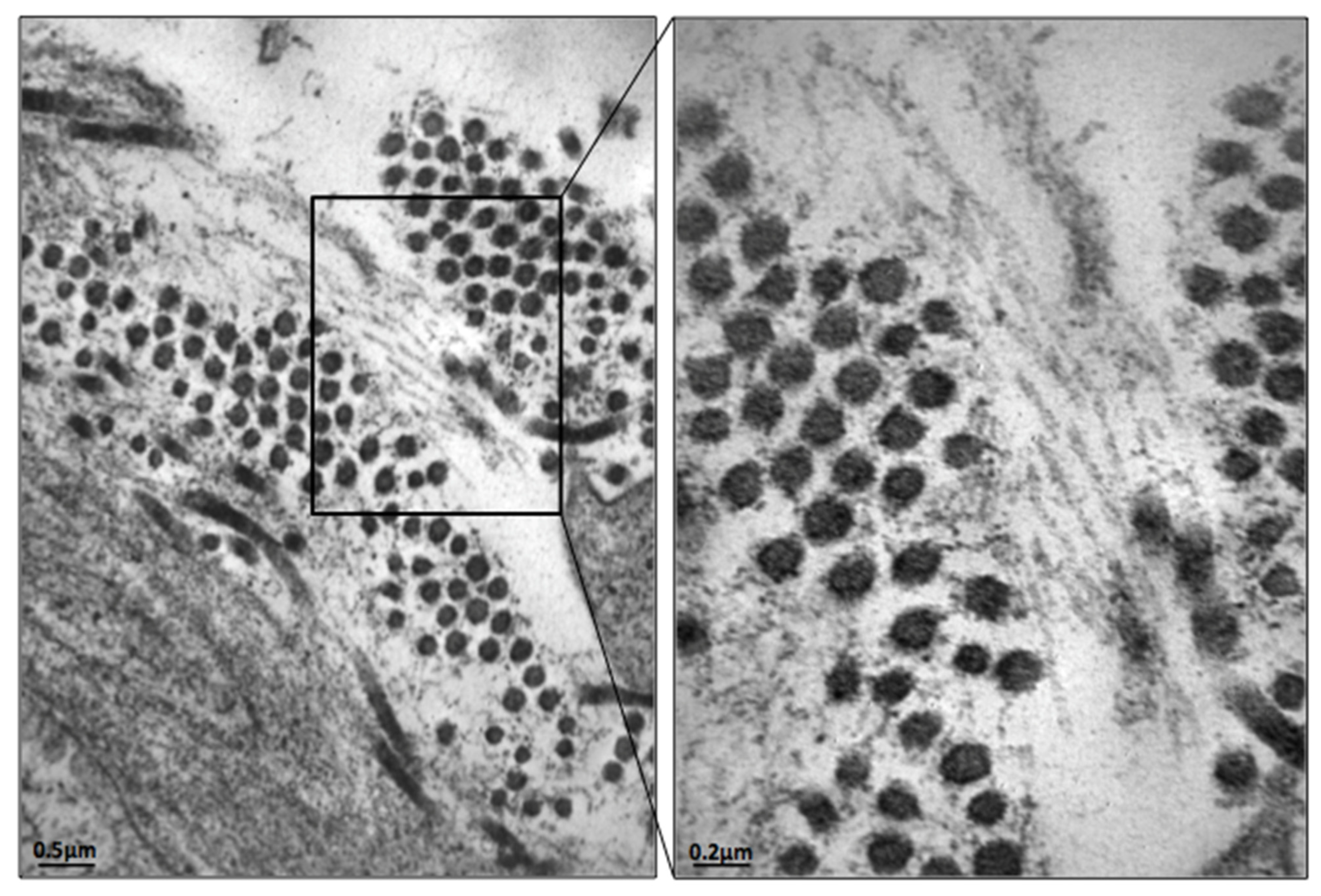
2. Discussion
3. Conclusions
Author Contributions
Funding
Institutional Review Board Statement
Informed Consent Statement
Conflicts of Interest
References
- Palladini, G.; Merlini, G. What is new in diagnosis and management of light chain amyloidosis? Blood 2016, 128, 159–168. [Google Scholar] [CrossRef] [PubMed]
- Merlini, G.; Wechalekar, A.D.; Palladini, G. Systemic light chain amyloidosis: An update for treating physicians. Blood 2013, 121, 5124–5130. [Google Scholar] [CrossRef] [PubMed] [Green Version]
- Fernández de Larrea, C.; Verga, L.; Morbini, P.; Klersy, C.; Lavatelli, F.; Foli, A.; Obici, L.; Milani, P.; Capello, G.L.; Paulli, M.; et al. A practical approach to the diagnosis of systemic amyloidoses. Blood 2015, 125, 2239–2244. [Google Scholar] [CrossRef] [PubMed] [Green Version]
- Palladini, G.; Campana, C.; Klersy, C.; Balduini, A.; Vadacca, G.; Perfetti, V.; Perlini, S.; Obici, L.; Ascari, E.; D’Eril, G.M.; et al. Serum N-Terminal Pro-Brain Natriuretic Peptide Is a Sensitive Marker of Myocardial Dysfunction in AL Amyloidosis. Circulation 2003, 107, 2440–2445. [Google Scholar] [CrossRef] [PubMed]
- Howie, A.J. “Green (or apple-green) birefringence” of Congo red-stained amyloid. Amyloid 2015, 22, 205–206. [Google Scholar] [CrossRef] [PubMed]
- Gras, S.L.; Waddington, L.J.; Goldie, K.N. Transmission Electron Microscopy of Amyloid Fibrils. Program. Necrosis 2011, 752, 197–214. [Google Scholar] [CrossRef]
- Moreau, P.; Hulin, C.; Macro, M.; Caillot, D.; Chaleteix, C.; Roussel, M.; Garderet, L.; Royer, B.; Brechignac, S.; Tiab, M.; et al. VTD is superior to VCD prior to intensive therapy in multiple myeloma: Results of the prospective IFM2013-04 trial. Blood 2016, 127, 2569–2574. [Google Scholar] [CrossRef] [PubMed]
- Elsaman, A.M.; Radwan, A.R.; Akmatov, M.K.; Della Beffa, C.; Walker, A.; Mayer, C.T.; Dai, L.; Nativ, S.; Rygg, M.; Atsali, E.; et al. Amyloid arthropathy associated with multiple myeloma: A systematic analysis of 101 reported cases. Semin. Arthritis Rheum. 2013, 43, 405–412. [Google Scholar] [CrossRef] [PubMed]
- Pessler, F.; Ogdie, A.R.; Mayer, C.T.; Kretzschmar, W.W.; Dai, L.; Elsaman, A.M.; Einhorn, E.; Krenn, V.; Schumacher, H.R. Amyloid arthropathy associated with multiple myeloma: Polyarthritis without synovial infiltration of CD20+ or CD38+ cells. Amyloid 2013, 21, 28–34. [Google Scholar] [CrossRef] [PubMed] [Green Version]




Publisher’s Note: MDPI stays neutral with regard to jurisdictional claims in published maps and institutional affiliations. |
© 2022 by the authors. Licensee MDPI, Basel, Switzerland. This article is an open access article distributed under the terms and conditions of the Creative Commons Attribution (CC BY) license (https://creativecommons.org/licenses/by/4.0/).
Share and Cite
Mazziotta, F.; Buda, G.; Del Giudice, M.L.; Orciuolo, E.; Benedetti, E.; Masini, M.; De Tata, V.; Galimberti, S.; Petrini, M. Joint Pain and Arthritis as First Clinical Manifestation of Systemic Amyloidosis and Multiple Myeloma: Case Report and Brief Literature Review. Hematol. Rep. 2022, 14, 19-23. https://doi.org/10.3390/hematolrep14010004
Mazziotta F, Buda G, Del Giudice ML, Orciuolo E, Benedetti E, Masini M, De Tata V, Galimberti S, Petrini M. Joint Pain and Arthritis as First Clinical Manifestation of Systemic Amyloidosis and Multiple Myeloma: Case Report and Brief Literature Review. Hematology Reports. 2022; 14(1):19-23. https://doi.org/10.3390/hematolrep14010004
Chicago/Turabian StyleMazziotta, Francesco, Gabriele Buda, Maria Livia Del Giudice, Enrico Orciuolo, Edoardo Benedetti, Matilde Masini, Vincenzo De Tata, Sara Galimberti, and Mario Petrini. 2022. "Joint Pain and Arthritis as First Clinical Manifestation of Systemic Amyloidosis and Multiple Myeloma: Case Report and Brief Literature Review" Hematology Reports 14, no. 1: 19-23. https://doi.org/10.3390/hematolrep14010004
APA StyleMazziotta, F., Buda, G., Del Giudice, M. L., Orciuolo, E., Benedetti, E., Masini, M., De Tata, V., Galimberti, S., & Petrini, M. (2022). Joint Pain and Arthritis as First Clinical Manifestation of Systemic Amyloidosis and Multiple Myeloma: Case Report and Brief Literature Review. Hematology Reports, 14(1), 19-23. https://doi.org/10.3390/hematolrep14010004

