Critical Intestinal Perforations in Pediatric Immunocompromised Patients: A Case-Based Review
Abstract
1. Introduction
2. Cases
2.1. Case Identification and Selection
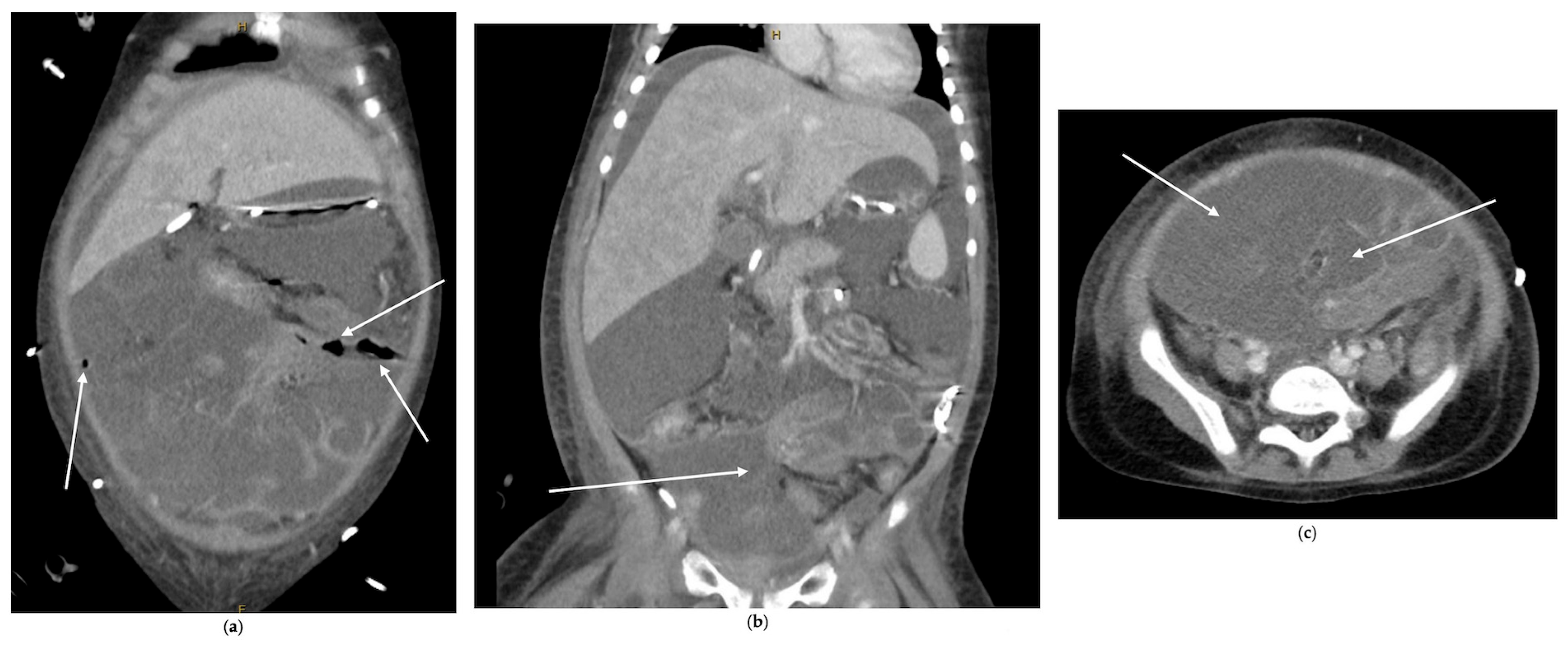
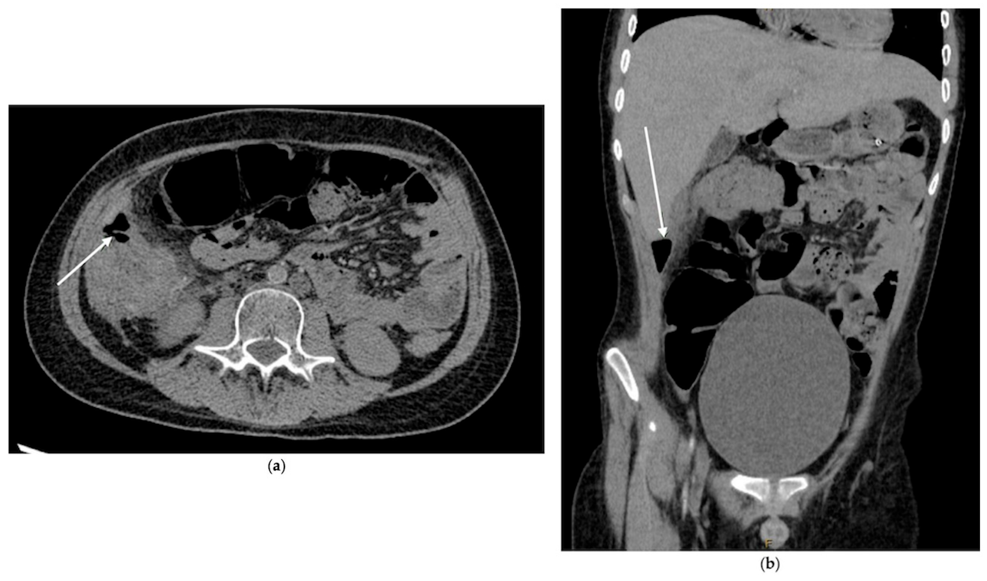
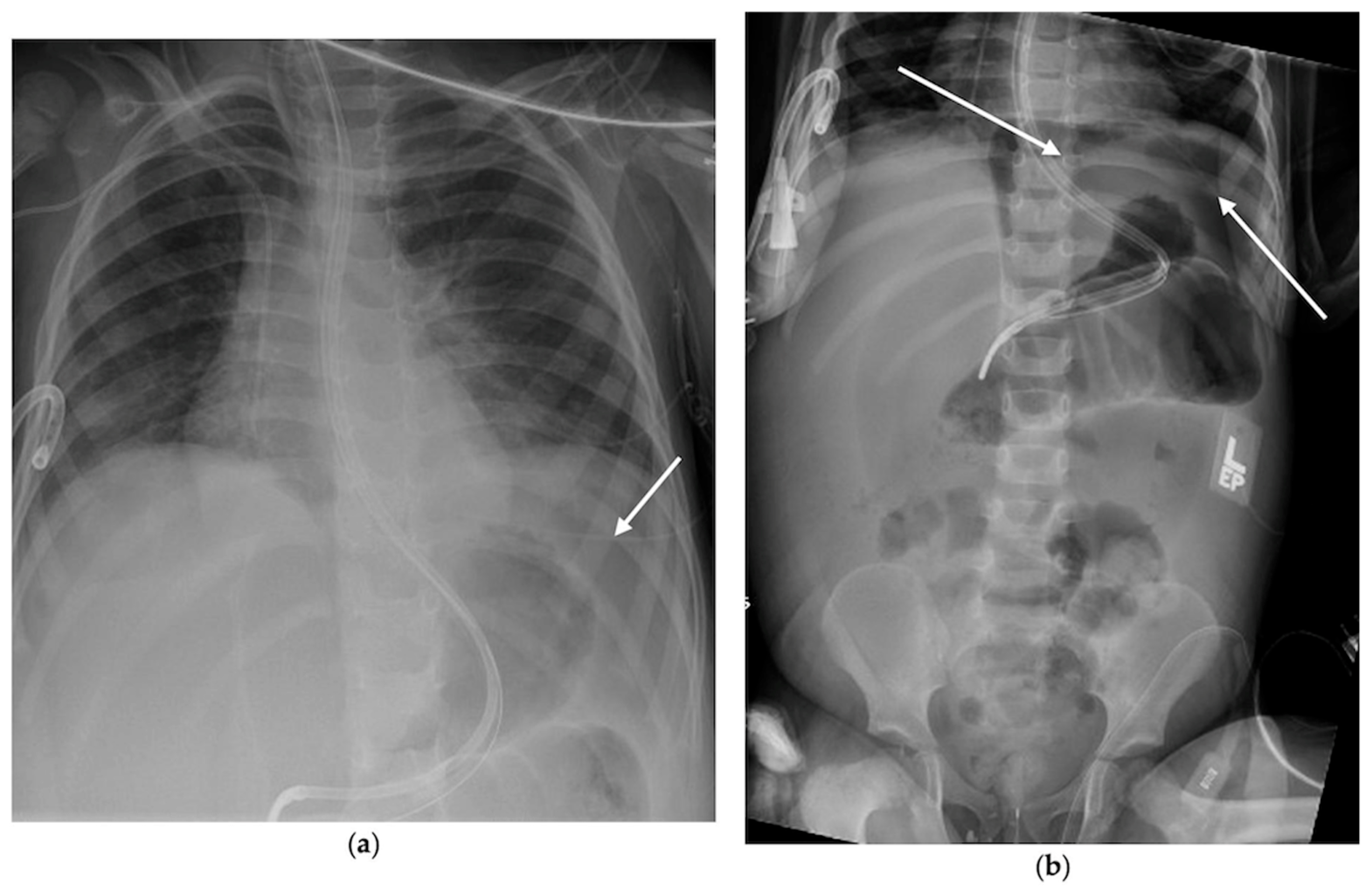
2.1.1. Case 1
2.1.2. Case 2
2.1.3. Case 3
3. Discussion
3.1. The Evolving Challenge of Clinically Silent Catastrophes in High-Risk Pediatric Care
3.2. Blunted Inflammatory Signaling in Injury: Exploring the Role of Advanced Immunomodulation
3.3. Rethinking Risk Factors and Diagnostic Triggers
- Ongoing or unexplained gastrointestinal symptoms: persistent bleeding (Case 1), feeding intolerance without progress (Cases 2 & 3), and persistent abdominal distension (Cases 2 & 3).
- Incidental imaging clues: Retrospective analysis identified free air in two cases, underscoring that radiographic “soft signs” must be taken seriously in this context.
- Increased Clinical Suspicion: For any child on high-dose steroids or advanced immunomodulators (such as JAK inhibitors or cytokine blockers) with unexplained problems, including ongoing gastrointestinal bleeding, ascites, feeding difficulties, or persistent abdominal swelling, doctors should consider bowel perforation, even if the child appears stable.
- Quick and Thorough Imaging: Be ready to order detailed abdominal imaging (such as a CT scan) for any concerning gastrointestinal symptom. A team of specialists should carefully review the images, as subtle signs, such as tiny pockets of air or changes in the bowel wall, can be missed.
- Team-Based Decisions: Treatment decisions should incorporate real-time input from oncology, critical care, surgery, and radiology teams. It is important to clearly share details of the patient’s immunosuppressive medications so that everyone can correctly interpret the clinical and imaging findings.
3.4. Limitations
4. Conclusions
Author Contributions
Funding
Institutional Review Board Statement
Informed Consent Statement
Data Availability Statement
Conflicts of Interest
Abbreviations
| HSCT | Hematopoietic stem cell transplant |
| GVHD | Graft-versus-host disease |
| TMA | Thrombotic microangiopathy |
| CT | Computed tomography |
| HLH | Hemophagocytic lymphohistiocytosis |
| MRSA | Methicillin-resistant staphylococcus aureus |
References
- National Cancer Institute. Childhood Cancers: Child and Adolescent Cancer Fact Sheet; National Cancer Institute: Bethesda, MD, USA, 2025. Available online: https://www.cancer.gov/types/childhood-cancers/child-adolescent-cancers-fact-sheet (accessed on 1 October 2025).
- Saletta, F.; Seng, M.S.; Lau, L.M. Advances in paediatric cancer treatment. Transl. Pediatr. 2014, 3, 156–182. [Google Scholar] [PubMed]
- Sultan, I.; Alfaar, A.S.; Sultan, Y.; Salman, Z.; Qaddoumi, I. Trends in childhood cancer: Incidence and survival analysis over 45 years of SEER data. PLoS ONE 2025, 20, e0314592. [Google Scholar] [CrossRef]
- Yan, J.; Duan, Y.; Liu, T.; Guo, J.; Peng, C.; Pang, W.; Zhang, D.; Peng, Y.; Chen, Y. Clinical features and outcomes of bowel perforation in primary pediatric gastrointestinal lymphoma. BMC Pediatr. 2021, 21, 548. [Google Scholar] [CrossRef]
- Nematolahi, S.; Amanati, A.; Vardanjani, H.M.; Pourali, M.; Bensenjan, M.H.; Nozari, F.; Vali, M.; Mehrian, S.R.A.; Nabavizadeh, S.A.; Safari, F. Investigating neutropenic enterocolitis: A systematic review of case reports and clinical insights. BMC Gastroenterol. 2025, 25, 17. [Google Scholar] [CrossRef]
- Canedo, G.O.; Fahy, A.S.; Krol, E.L.; Abla, O.; Chiu, P.P.L. Outcomes for pediatric acute lymphoblastic leukemia patients with intestinal perforation. Pediatr. Blood Cancer 2024, 71, e30899. [Google Scholar] [CrossRef]
- Sassi, C.; Pasquali, M.; Facchini, G.; Bazzocchi, A.; Battista, G. Pneumatosis intestinalis in oncologic patients: When should the radiologist not be afraid? BJR|Case Rep. 2017, 3, 20160017. [Google Scholar] [CrossRef]
- Lee, J.-H.; Lim, G.-Y.; Im, S.A.; Chung, N.-G.; Hahn, S.-T. Gastrointestinal complications following hematopoietic stem cell transplantation in children. Korean J. Radiol. 2008, 9, 449–457. [Google Scholar] [CrossRef]
- Young, J.A.; Pallas, C.R.; Knovich, M.A. Transplant-associated thrombotic microangiopathy: Theoretical considerations and a practical approach to an unrefined diagnosis. Bone Marrow Transplant. 2021, 56, 1805–1817. [Google Scholar] [CrossRef]
- Goldman, A.; Raschi, E.; Druyan, A.; Sharif, K.; Lahat, A.; Ben-Zvi, I.; Ben-Horin, S. Gastrointestinal Perforations Associated With JAK Inhibitors: A Disproportionality Analysis of the FDA Adverse Event Reporting System. United Eur. Gastroenterol. J. 2025, 13, 566–575. [Google Scholar] [CrossRef]
- Bulte, J.P.; Postma, N.; Beukema, M.; Inberg, B.; Stegeman, A.G.; van der Hoeven, H. COVID 19 and the risk of gastro-intestinal perforation: A case series and literature review. J. Crit. Care 2022, 67, 100–103. [Google Scholar] [CrossRef] [PubMed]
- Menardi, G.; Castellino, A.; Castellino, C.; Bersia, M.E.; Grande, E.; Fraternali, G.; Massaia, M.; Fruttero, C. Management of chimeric antigen receptor T-cell-related toxicity of a patient affected by cytokine release syndrome and immune effector cell-associated neurotoxicity syndrome, followed by an intestinal perforation: A case report. J. Med. Case Rep. 2025, 19, 27. [Google Scholar] [CrossRef]
- Cornejo, A.; Bohnenblust, M.; Harris, C.; Abrahamian, G.A. Intestinal perforation associated with rituximab therapy for post-transplant lymphoproliferative disorder after liver transplantation. Cancer Chemother. Pharmacol. 2009, 64, 857–860. [Google Scholar] [CrossRef]
- Brambilla, B.; Barbosa, A.M.; Scholze, C.d.S.; Riva, F.; Freitas, L.; Balbinot, R.A.; Balbinot, S.; Soldera, J. Hemophagocytic Lymphohistiocytosis and Inflammatory Bowel Disease: Case Report and Systematic Review. Inflamm. Intest. Dis. 2020, 5, 49–58. [Google Scholar] [CrossRef]
- Bahabri, S.; Al Rikabi, A.C.; O Alshammari, A.; I Alturkestany, S. Hemophagocytic lymphohistiocytosis associated with Epstein–Barr virus infection: Case report and literature review. J. Surg. Case Rep. 2019, 2019, rjy096. [Google Scholar] [CrossRef] [PubMed]
- Coutinho, A.E.; Chapman, K.E. Chapman, The anti-inflammatory and immunosuppressive effects of glucocorticoids, recent developments and mechanistic insights. Mol. Cell. Endocrinol. 2011, 335, 2–13. [Google Scholar] [CrossRef] [PubMed]
- Monemi, S.; Berber, E.; Sarsour, K.; Wang, J.; Lampl, K.; Bharucha, K.; Pethoe-Schramm, A. Incidence of Gastrointestinal Perforations in Patients with Rheumatoid Arthritis Treated with Tocilizumab 334 from Clinical Trial, Postmarketing, and Real-World Data Sources. Rheumatol. Ther. 2016, 3, 337–352. [Google Scholar] [CrossRef]
- Cofiell, R.; Kukreja, A.; Bedard, K.; Yan, Y.; Mickle, A.P.; Ogawa, M.; Bedrosian, C.L.; Faas, S.J. Eculizumab reduces complement activation, inflammation, endothelial damage, thrombosis, and renal injury markers in aHUS. Blood 2015, 125, 3253–3262. [Google Scholar] [CrossRef]
- Jagpal, A.; Curtis, J.R. Curtis, Gastrointestinal Perforations with Biologics in Patients with Rheumatoid Arthritis: Implications for Clinicians. Drug Saf. 2018, 41, 545–553. [Google Scholar] [CrossRef]
- Nishimoto, N.; Kishimoto, T. Interleukin 6: From bench to bedside. Nat. Clin. Pract. Rheumatol. 2006, 2, 619–626. [Google Scholar] [CrossRef]
- Schäcke, H.; Döcke, W.D.; Asadullah, K. Mechanisms involved in the side effects of glucocorticoids. Pharmacol. Ther. 2002, 96, 23–43. [Google Scholar] [CrossRef]
- Lussana, F.; Cattaneo, M.; Rambaldi, A.; Squizzato, A. Ruxolitinib-associated infections: A systematic review and meta-analysis. Am. J. Hematol. 2018, 93, 339–347. [Google Scholar] [CrossRef] [PubMed]
- Schatz-Jakobsen, J.A.; Zhang, Y.; Johnson, K.; Neill, A.; Sheridan, D.; Andersen, G.R. Structural Basis for Eculizumab-Mediated Inhibition of the Complement Terminal Pathway. J. Immunol. 2016, 197, 337–344. [Google Scholar] [CrossRef] [PubMed]
- Dinarello, C.A.; Simon, A.; van der Meer, J.W. Treating inflammation by blocking interleukin-1 in a broad spectrum of diseases. Nat. Rev. Drug Discov. 2012, 11, 633–652. [Google Scholar] [CrossRef] [PubMed]





Disclaimer/Publisher’s Note: The statements, opinions and data contained in all publications are solely those of the individual author(s) and contributor(s) and not of MDPI and/or the editor(s). MDPI and/or the editor(s) disclaim responsibility for any injury to people or property resulting from any ideas, methods, instructions or products referred to in the content. |
© 2026 by the authors. Licensee MDPI, Basel, Switzerland. This article is an open access article distributed under the terms and conditions of the Creative Commons Attribution (CC BY) license.
Share and Cite
Stafford, W.H.; McArthur, J.; Ghafoor, S. Critical Intestinal Perforations in Pediatric Immunocompromised Patients: A Case-Based Review. Pediatr. Rep. 2026, 18, 30. https://doi.org/10.3390/pediatric18010030
Stafford WH, McArthur J, Ghafoor S. Critical Intestinal Perforations in Pediatric Immunocompromised Patients: A Case-Based Review. Pediatric Reports. 2026; 18(1):30. https://doi.org/10.3390/pediatric18010030
Chicago/Turabian StyleStafford, William Hunt, Jennifer McArthur, and Saad Ghafoor. 2026. "Critical Intestinal Perforations in Pediatric Immunocompromised Patients: A Case-Based Review" Pediatric Reports 18, no. 1: 30. https://doi.org/10.3390/pediatric18010030
APA StyleStafford, W. H., McArthur, J., & Ghafoor, S. (2026). Critical Intestinal Perforations in Pediatric Immunocompromised Patients: A Case-Based Review. Pediatric Reports, 18(1), 30. https://doi.org/10.3390/pediatric18010030
