Exploring Arid Soils as a Source of Bacillus thuringiensis Biocontrol Agents Active Against Dipteran and Lepidopteran Larvae
Abstract
1. Introduction
2. Materials and Methods
2.1. Strain Selection and Identification of Crystal Morphology
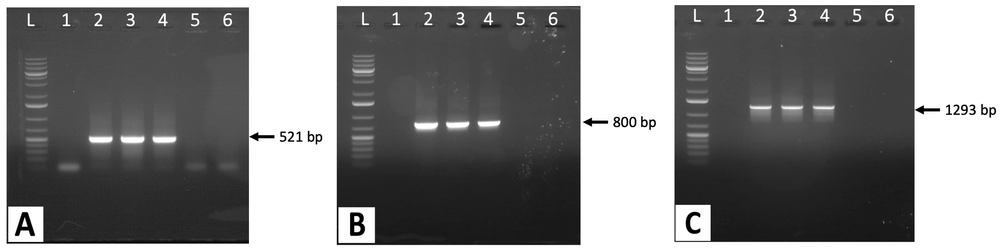
2.2. PCR Amplifications of Insecticidal Genes
2.3. Identification of the Highest δ-Endotoxin-Producing Strains
2.4. Standardized Rearing of Corcyra cephalonica and Culex Pipiens Insect Larvae
2.5. Bioassay and Determining LC50 Analysis
2.6. Statistical Analysis
3. Result
3.1. Exploration of Bt Strains Parasporal Crystals
3.2. Investigation of the Genes Encoding δ-Endotoxins and Vegetative Insecticidal Proteins
3.3. Estimation of δ-Endotoxin Synthesis of Bipyramidal Crystal-Producing Strains
3.4. Estimation of δ-Endotoxin Synthesis of Spherical Crystal-Producing Strains
3.5. Investigation of the Insecticidal Activity of Bt δ-Endotoxins Against Corcyra cephalonica and Culex pipiens Larvae
3.5.1. Bioassay Analysis
3.5.2. Lethal Concentration (LC50) Determination of δ-Endotoxins:
3.5.3. Morphological Changes of Insect Larvae
4. Discussion
5. Conclusions
Author Contributions
Funding
Institutional Review Board Statement
Informed Consent Statement
Data Availability Statement
Acknowledgments
Conflicts of Interest
Abbreviations
| Bt | Bacillus thuringiensis |
| CFU | Colony-Forming Units |
| CI | Confidence Interval |
| Cry | Crystal (δ-endotoxin) protein |
| Cyt | Cytolysin (δ-endotoxin) protein |
| df | Degrees of Freedom |
| LC50 | Lethal Concentration required to kill 50% of the tested organisms |
| QBT | Bacillus thuringiensis strains isolated from Qatar |
| SEM | Scanning Electron Microscopy |
| Vip | Vegetative insecticidal protein |
| χ2 | Chi-square statistical test |
References
- Nath, A.; Bhuyan, P.; Gogoi, N.; Deka, P. Pesticides and chemical fertilizers: Role in soil degradation, groundwater contamination, and human health. In Xenobiotics in Urban Ecosystems: Sources, Distribution and Health Impacts; Springer: Berlin/Heidelberg, Germany, 2023; pp. 131–160. [Google Scholar]
- Ma, C.-S.; Wang, B.-X.; Wang, X.-J.; Lin, Q.-C.; Zhang, W.; Yang, X.-F.; van Baaren, J.; Bebber, D.P.; Eigenbrode, S.D.; Zalucki, M.P.; et al. Crop pest responses to global changes in climate and land management. Nat. Rev. Earth Environ. 2025, 6, 264–283. [Google Scholar] [CrossRef]
- Baker, B.P.; Green, T.A.; Loker, A.J. Biological control and integrated pest management in organic and conventional systems. Biol. Control 2020, 140, 104095. [Google Scholar] [CrossRef]
- Aswathi, N.; Balakrishnan, N.; Srinivasan, T.; Kokiladevi, E.; Raghu, R. Diversity of Bt toxins and their utility in pest management. Egypt. J. Biol. Pest Control 2024, 34, 40. [Google Scholar] [CrossRef]
- Palma, L.; Sauka, D.H.; Ibarra, J.E. Bacillus thuringiensis: A Broader View of Its Biocidal Activity. Toxins 2024, 16, 162. [Google Scholar] [CrossRef]
- Ma, C. Bt in Organic Farming: Benefits and Limitations. Bt Res. 2024, 15, 174–182. [Google Scholar] [CrossRef]
- Tetreau, G.; Andreeva, E.A.; Banneville, A.-S.; De Zitter, E.; Colletier, J.-P. How does Bacillus thuringiensis crystallize such a large diversity of toxins? Toxins 2021, 13, 443. [Google Scholar] [CrossRef] [PubMed]
- Awad Fahad, A. Modern techniques in integrated pest management to achieve sustainable agricultural development. Int. J. Fam. Stud. Food Sci. Nutr. Health 2023, 4, 1–14. [Google Scholar] [CrossRef]
- Hmida-Sayari, A.; Costa, A.; Leone, A.; Jaoua, S.; Gargouri-Bouzid, R. Identification of salt stress-induced transcripts in potato leaves by cDNA-AFLP. Mol. Biotechnol. 2005, 30, 31–39. [Google Scholar] [CrossRef]
- Ragasruthi, M.; Balakrishnan, N.; Murugan, M.; Swarnakumari, N.; Harish, S.; Sharmila, D.J.S. Bacillus thuringiensis (Bt)-based biopesticide: Navigating success, challenges, and future horizons in sustainable pest control. Sci. Total Environ. 2024, 954, 176594. [Google Scholar] [CrossRef]
- Saadaoui, I.; Rouis, S.; Jaoua, S. A new Tunisian strain of Bacillus thuringiensis kurstaki having high insecticidal activity and δ-endotoxin yield. Arch. Microbiol. 2009, 191, 341–348. [Google Scholar] [CrossRef]
- Das, S.K.; Pradhan, S.K.; Samal, K.C.; Singh, N.R. Structural, functional, and evolutionary analysis of Cry toxins of Bacillus thuringiensis: An in silico study. Egypt. J. Biol. Pest Control 2021, 31, 44. [Google Scholar]
- Pardo-López, L.; Soberón, M.; Bravo, A. Bacillus thuringiensis insecticidal three-domain Cry toxins: Mode of action, insect resistance and consequences for crop protection. FEMS Microbiol. Rev. 2013, 37, 3–22. [Google Scholar]
- Jisha, V.N.; Smitha, R.B.; Benjamin, S. An overview on the crystal toxins from Bacillus thuringiensis. Adv. Microbiol. 2013, 3, 462. [Google Scholar] [CrossRef]
- Otvos, I.S.; Armstrong, H.; Conder, N. Safety of Bacillus thuringiensis var. kurstaki applications for insect control to humans and large mammals. In Proceedings of the 6th Pacific Rim Conference on the Biotechnology of Bacillus thuringiensis and its Environmental Impact, Victoria, BC, Canada, 30 October–3 November 2005. [Google Scholar]
- Land, M.; Bundschuh, M.; Hopkins, R.J.; Poulin, B.; McKie, B.G. What are the effects of control of mosquitoes and other nematoceran Diptera using the microbial agent Bacillus thuringiensis israelensis (Bti) on aquatic and terrestrial ecosystems? A systematic review protocol. Environ. Evid. 2019, 8, 32. [Google Scholar] [CrossRef]
- Koch, M.S.; Ward, J.M.; Levine, S.L.; Baum, J.A.; Vicini, J.L.; Hammond, B.G. The food and environmental safety of Bt crops. Front. Plant Sci. 2015, 6, 283. [Google Scholar] [CrossRef]
- Andreadis, T.G. The contribution of Culex pipiens complex mosquitoes to transmission and persistence of West Nile virus in North America. J. Am. Mosq. Control Assoc. 2012, 28, 137–151. [Google Scholar]
- Michalski, M.L.; Erickson, S.M.; Bartholomay, L.C.; Christensen, B.M. Midgut barrier imparts selective resistance to filarial worm infection in Culex pipiens pipiens. PLoS Neglected Trop. Dis. 2010, 4, e875. [Google Scholar] [CrossRef]
- Cottis, S.; Blisnick, A.A.; Failloux, A.-B.; Vernick, K.D. Determinants of chikungunya and O’nyong-Nyong virus specificity for infection of Aedes and Anopheles mosquito vectors. Viruses 2023, 15, 589. [Google Scholar]
- Gonzales-Wartz, K.K.; Sá, J.M.; Lee, K.; Gebremicale, Y.; Deng, B.; Long, C.A.; Pascini, T.V.; Laughinghouse, A.; Moretz, S.E.; Ortega-Villa, A.M. Infectivity of Plasmodium parasites to Aedes aegypti and Anopheles stephensi mosquitoes maintained on blood-free meals of SkitoSnack. Parasites Vectors 2024, 17, 290. [Google Scholar] [CrossRef]
- Vincent, A.; Singh, D.; Mathew, I.L. Corcyra cephalonica: A serious pest of stored products or a factitious host of biocontrol agents? J. Stored Prod. Res. 2021, 94, 101876. [Google Scholar] [CrossRef]
- Jones, R.W.; Bernal, J.S.; del Val de Gortari, E.; Sánchez-Reyes, U.J. Origins and coadaptation of insect pests from wild to domesticated host plants: Examples from maize, cotton, and prickly pear cactus. In Mexican Fauna in the Anthropocene; Springer: Berlin/Heidelberg, Germany, 2023; pp. 549–567. [Google Scholar]
- Schlum, K.; Lamour, K.; Tandy, P.; Emrich, S.J.; de Bortoli, C.P.; Rao, T.; Viteri Dillon, D.M.; Linares-Ramirez, A.M.; Jurat-Fuentes, J.L. Genetic screening to identify candidate resistance alleles to Cry1F corn in fall armyworm using targeted sequencing. Insects 2021, 12, 618. [Google Scholar] [CrossRef]
- Wang, J.; Xu, D.; Wang, L.; Cong, S.; Wan, P.; Lei, C.; Fabrick, J.A.; Li, X.; Tabashnik, B.E.; Wu, K. Bt resistance alleles in field populations of pink bollworm from China: Similarities with the United States and decreased frequency from 2012 to 2015. Pest Manag. Sci. 2020, 76, 527–533. [Google Scholar]
- Nagaraj, S.; Rajasekaran, R.; Palaniappan, J.; Rangasamy, S.; Narayanasamy, C.; Narayanan, M.B. Emerging technological developments to address pest resistance in Bt cotton. J. Cotton Res. 2024, 7, 30. [Google Scholar] [CrossRef]
- Pinheiro, D.H.; Valicente, F.H. Identification of Bacillus thuringiensis strains for the management of lepidopteran pests. Neotrop. Entomol. 2021, 50, 804–811. [Google Scholar]
- Unzue, A.; Caballero, C.J.; Villanueva, M.; Fernández, A.B.; Caballero, P. Multifunctional properties of a Bacillus thuringiensis strain (BST-122): Beyond the parasporal crystal. Toxins 2022, 14, 768. [Google Scholar] [CrossRef]
- Ejaz, M.R.; Badr, K.; Hassan, Z.U.; Al-Thani, R.; Jaoua, S. Metagenomic approaches and opportunities in arid soil research. Sci. Total Environ. 2024, 953, 176173. [Google Scholar]
- Mawar, R.; Ranawat, M.; Sharma, S.K.; Sayyed, R. Exploring microbial diversity of arid regions of globe for agricultural sustainability: A revisit. In Plant Growth Promoting Microorganisms of Arid Region; Springer: Berlin/Heidelberg, Germany, 2023; pp. 1–25. [Google Scholar]
- Sayed, A.M.; Hassan, M.H.; Alhadrami, H.A.; Hassan, H.M.; Goodfellow, M.; Rateb, M.E. Extreme environments: Microbiology leading to specialized metabolites. J. Appl. Microbiol. 2020, 128, 630–657. [Google Scholar] [PubMed]
- Zhao, X.; Bai, S.; Lyu, L.; Zhang, X. Research progress in isolation strategies and bioactive substances of microorganisms in extreme environments. Sheng Wu Gong Cheng Xue Bao = Chin. J. Biotechnol. 2024, 40, 3407–3426. [Google Scholar]
- Nair, K.; Al-Thani, R.; Al-Thani, D.; Al-Yafei, F.; Ahmed, T.; Jaoua, S. Diversity of Bacillus thuringiensis strains from Qatar as shown by crystal morphology, δ-endotoxins and cry gene content. Front. Microbiol. 2018, 9, 708. [Google Scholar] [CrossRef] [PubMed]
- Nair, K.; Al-Thani, R.; Ginibre, C.; Chandre, F.; Alsafran, M.; Jaoua, S. Bacillus thuringiensis strains isolated from Qatari soil, synthesizing δ-endotoxins highly active against the disease vector insect Aedes aegypti Bora Bora. Heliyon 2020, 6, e05003. [Google Scholar] [CrossRef] [PubMed]
- Sambrook, J. Molecular Cloning: A Laboratory Manual; Cold Spring Habor Laboratory: Cold Spring Habor, NY, USA, 1989. [Google Scholar]
- Jaoua, S.; Zouari, N.; Tounsi, S.; Ellouz, R. Study of the δ-endotoxins produced by three recently isolated strains of Bacillus thuringiensis. FEMS Microbiol. Lett. 1996, 145, 349–354. [Google Scholar] [CrossRef]
- Carozzi, N.B.; Kramer, V.C.; Warren, G.W.; Evola, S.; Koziel, M.G. Prediction of insecticidal activity of Bacillus thuringiensis strains by polymerase chain reaction product profiles. Appl. Environ. Microbiol. 1991, 57, 3057–3061. [Google Scholar] [CrossRef]
- Jain, D.; Sunda, S.D.; Sanadhya, S.; Nath, D.J.; Khandelwal, S.K. Molecular characterization and PCR-based screening of cry genes from Bacillus thuringiensis strains. 3 Biotech 2017, 7, 4. [Google Scholar] [CrossRef]
- Kalman, S.; Kiehne, K.L.; Cooper, N.; Reynoso, M.S.; Yamamoto, T. Enhanced production of insecticidal proteins in Bacillus thuringiensis strains carrying an additional crystal protein gene in their chromosomes. Appl. Environ. Microbiol. 1995, 61, 3063–3068. [Google Scholar] [CrossRef]
- Shin, B.-S.; Park, S.-H.; Choi, S.-K.; Koo, B.-T.; Lee, S.-T.; Kim, J.-i. Distribution of cryV-type insecticidal protein genes in Bacillus thuringiensis and cloning of cryV-type genes from Bacillus thuringiensis subsp. kurstaki and Bacillus thuringiensis subsp. entomocidus. Appl. Environ. Microbiol. 1995, 61, 2402–2407. [Google Scholar] [CrossRef]
- Mesrati, L.A.; Tounsi, S.; Jaoua, S. Characterization of a novel vip3-type gene from Bacillus thuringiensis and evidence of its presence on a large plasmid. FEMS Microbiol. Lett. 2005, 244, 353–358. [Google Scholar] [CrossRef] [PubMed]
- Amadou, L.; Baoua, I.; Ba, M.N.; Muniappan, R. Development of an optimum diet for mass rearing of the rice moth, Corcyra cephalonica (Lepidoptera: Pyralidae), and production of the parasitoid, Habrobracon hebetor (Hymenoptera: Braconidae), for the control of pearl millet head miner. J. Insect Sci. 2019, 19, 1. [Google Scholar] [CrossRef]
- Dey, P.; Goyary, D.; Chattopadhyay, P.; Kishor, S.; Karmakar, S.; Verma, A. Evaluation of larvicidal activity of Piper longum leaf against the dengue vector, Aedes aegypti, malarial vector, Anopheles stephensi and filariasis vector, Culex quinquefasciatus. S. Afr. J. Bot. 2020, 132, 482–490. [Google Scholar]
- Abels, J.P.; Ludescher, R.D. Native fluorescence from juvenile stages of common food storage insects. J. Agric. Food Chem. 2003, 51, 544–549. [Google Scholar]
- Kauffman, E.; Payne, A.; Franke, M.A.; Schmid, M.A.; Harris, E.; Kramer, L.D. Rearing of Culex spp. and Aedes spp. mosquitoes. Bio-Protoc. 2017, 7, e2542. [Google Scholar] [CrossRef] [PubMed]
- Li JuLin, L.J.; Zhu GuoDing, Z.G.; Zhou HuaYun, Z.H.; Tang JianXia, T.J.; Cao Jun, C.J. Experimental observation of toxic effect of Bacillus thuringiensis var. israelensis against Aedes, Culex and Anopheles larvae. Chin. J. Schistosomiasis Control 2014, 26, 67–68. [Google Scholar]
- Singh, D.; Mathew, I. Evaluation of acute lethal response of Corcyra cephalonica to Bacillus thuringiensis Berliner var kurstaki, strain ABTS-351 an isolate of strain HD-1. WJARR 2019, 3, 58–61. [Google Scholar]
- Saad, A.M.; El-Saadony, M.T.; El-Tahan, A.M.; Sayed, S.; Moustafa, M.A.; Taha, A.E.; Taha, T.F.; Ramadan, M.M. Polyphenolic extracts from pomegranate and watermelon wastes as substrate to fabricate sustainable silver nanoparticles with larvicidal effect against Spodoptera littoralis. Saudi J. Biol. Sci. 2021, 28, 5674–5683. [Google Scholar] [CrossRef]
- Caballero, J.; Jiménez-Moreno, N.; Orera, I.; Williams, T.; Fernández, A.B.; Villanueva, M.; Ferré, J.; Caballero, P.; Ancín-Azpilicueta, C. Unraveling the composition of insecticidal crystal proteins in Bacillus thuringiensis: A proteomics approach. Appl. Environ. Microbiol. 2020, 86, e00476-20. [Google Scholar] [CrossRef]
- López-Molina, S.; do Nascimento, N.A.; Silva-Filha, M.H.N.L.; Guerrero, A.; Sánchez, J.; Pacheco, S.; Gill, S.S.; Soberón, M.; Bravo, A. In vivo nanoscale analysis of the dynamic synergistic interaction of Bacillus thuringiensis Cry11Aa and Cyt1Aa toxins in Aedes aegypti. PLoS Pathog. 2021, 17, e1009199. [Google Scholar] [CrossRef]
- Elleuch, J.; Tounsi, S.; Hassen, N.B.B.; Lacoix, M.N.; Chandre, F.; Jaoua, S.; Zghal, R.Z. Characterisation of novel Bacillus thuringiensis isolates against Aedes aegypti (Diptera: Culicidae) and Ceratitis capitata (Diptera: Tephridae). J. Invertebr. Pathol. 2015, 124, 90–97. [Google Scholar] [CrossRef] [PubMed]
- Gothandaraman, R.; Venkatasamy, B.; Thangavel, T.; Eswaran, K.; Subbarayalu, M. Molecular characterization and toxicity evaluation of indigenous Bacillus thuringiensis isolates against key lepidopteran insect pests. Egypt. J. Biol. Pest Control 2022, 32, 143. [Google Scholar]
- Rashki, M.; Maleki, M.; Torkzadeh-Mahani, M.; Shakeri, S.; Nezhad, P.S. Isolation of Iranian Bacillus thuringiensis strains and characterization of lepidopteran-active cry genes. Egypt. J. Biol. Pest Control 2021, 31, 87. [Google Scholar] [CrossRef]
- Castro, B.M.d.C.e.; Martinez, L.C.; Barbosa, S.G.; Serrão, J.E.; Wilcken, C.F.; Soares, M.A.; da Silva, A.A.; de Carvalho, A.G.; Zanuncio, J.C. Toxicity and cytopathology mediated by Bacillus thuringiensis in the midgut of Anticarsia gemmatalis (Lepidoptera: Noctuidae). Sci. Rep. 2019, 9, 6667. [Google Scholar] [CrossRef]
- Ma, X.; Hu, J.; Ding, C.; Portieles, R.; Xu, H.; Gao, J.; Du, L.; Gao, X.; Yue, Q.; Zhao, L. New native Bacillus thuringiensis strains induce high insecticidal action against Culex pipiens pallens larvae and adults. BMC Microbiol. 2023, 23, 100. [Google Scholar] [CrossRef] [PubMed]
- Lai, L.; Villanueva, M.; Muruzabal-Galarza, A.; Fernández, A.B.; Unzue, A.; Toledo-Arana, A.; Caballero, P.; Caballero, C.J. Bacillus thuringiensis Cyt proteins as enablers of activity of Cry and Tpp toxins against Aedes albopictus. Toxins 2023, 15, 211. [Google Scholar] [CrossRef] [PubMed]
- Azzouz, H.; Kebaili-Ghribi, J.; ben Farhat-Touzri, D.; Daoud, F.; Fakhfakh, I.; Tounsi, S.; Jaoua, S. Selection and characterisation of an HD1-like Bacillus thuringiensis isolate with a high insecticidal activity against Spodoptera littoralis (Lepidoptera: Noctuidae). Pest Manag. Sci. 2014, 70, 1192–1201. [Google Scholar] [CrossRef]
- Temeyer, K.B. Larvicidal activity of Bacillus thuringiensis subsp. israelensis in the dipteran Haematobia irritans. Appl. Environ. Microbiol. 1984, 47, 952–955. [Google Scholar] [CrossRef]
- Bravo, A.; Gill, S.S.; Soberón, M. Mode of action of Bacillus thuringiensis Cry and Cyt toxins and their potential for insect control. Toxicon 2007, 49, 423–435. [Google Scholar] [CrossRef]
- Arsov, A.; Gerginova, M.; Paunova-Krasteva, T.; Petrov, K.; Petrova, P. Multiple cry genes in Bacillus thuringiensis strain BTG suggest a broad-spectrum insecticidal activity. Int. J. Mol. Sci. 2023, 24, 11137. [Google Scholar] [CrossRef]
- Rangeshwaran, R.; Velavan, V.; Kumar, S.; Apoorva, V.; Venugopala, K.; Shylesha, A.; Sivakumar, G. Diversity of cry genes occurring in the North East. J. Biol. Control. 2019, 33, 242–252. [Google Scholar] [CrossRef]
- van Frankenhuyzen, K. Specificity and cross-order activity of Bacillus thuringiensis pesticidal proteins. In Bacillus thuringiensis and Lysinibacillus sphaericus: Characterization and Use in the Field of Biocontrol; Springer: Berlin/Heidelberg, Germany, 2017; pp. 127–172. [Google Scholar]
- Mahadeva Swamy, H.; Asokan, R.; Mahmood, R.; Nagesha, S. Molecular characterization and genetic diversity of insecticidal crystal protein genes in native Bacillus thuringiensis isolates. Curr. Microbiol. 2013, 66, 323–330. [Google Scholar] [PubMed]






| Gene | Primer | Sequences | bp | References |
|---|---|---|---|---|
| cry4B | Dip1A | CAAGCCGCAAATCTTGTGGA | 800 | [37] |
| Dip1B | ATGGCTTGTTTCGCTACATC | |||
| cry4A/4B | Dip2A | GGTGCTTCCTATTCTTTGG | 1293 | [37] |
| Dip2B | TGACCAGGTCCCTTGATTAC | |||
| cyt1A | Cyt1A1 | AACCCCTCAATCAACAGCAAGG | 521 | [38] |
| Cyt1A2 | GGTACACAATACATAACGCCACC | |||
| cry2A | Cry2A | ACTATTTGTGATGCGTATAATGTA | 570 | [39] |
| Cry2B | AATTCCCCATTCATCTGC | |||
| cry5A | Cry5A | ATGAAACTAAAGAATCAAGA | 726 | [40] |
| Cry5B | ACCTGTGCTATACCATTTCA | |||
| cry1A | Lep2A | CCGAGAAAGTCAAACATGCG | 986 | [37] |
| Lep2B | TACATGCCCTTTCACGTTCC | |||
| vip3A | Vip1 | ATGAACAAGAATAATACTA | 419 | [41] |
| Vip2 | TCTATTTGCAGACTTAGCGC | |||
| vip3A | Vip1 | ATGAACAAGAATAATACTA | 2370 | [41] |
| Vip3 | TTACTTAATAGAGACATCGT |
| Crystal Type | Strain | Protein Concentration (µg/mL) | CFU (cell/mL) 108 | δ-Endotoxins per Cell (µg/cell) 10−6 |
|---|---|---|---|---|
| Bipyramidal | HD1 | 1052.0 ± 11.8 | 5.60 ± 0.74 | 1.88 ± 0.27 |
| QBT542 | 605.1 ± 5.9 | 2.43 ± 0.29 | 2.49 ± 0.32 | |
| QBT552 | 1188.7 ± 5.0 | 4.67 ± 0.46 | 2.55 ± 0.26 | |
| QBT830 | 1149.1 ± 2.6 | 4.80 ± 0.71 | 2.39 ± 0.36 | |
| QBT877 | 1334.4 ± 6.7 | 6.47 ± 0.85 | 2.06 ± 0.28 | |
| Spherical | H14 | 695.1 ± 8.4 | 10.2 ± 4.7 | 6.79 ± 3.2 |
| QBT550 | 889.7 ± 4.7 | 8.03 ± 0.9 | 11.1 ± 1.3 | |
| QBT605 | 706.8 ± 11.5 | 7.33 ± 0.5 | 9.64 ± 0.8 | |
| QBT758 | 577.5 ± 8.4 | 12.0 ± 2.3 | 4.81 ± 1.0 | |
| QBT862 | 567.6 ± 8.4 | 8.93 ± 0.9 | 6.35 ± 0.7 |
| Strain | Target Insect | Mortality (%) | cry1A | cry2A | cry5A | vip3A | cry4B | cyt1A |
|---|---|---|---|---|---|---|---|---|
| HD1 | C. cephalonica | 90 | * + | + | + | + | – | – |
| QBT542 | C. cephalonica | 90 | + | + | + | + | – | – |
| QBT552 | C. cephalonica | 100 | + | + | + | + | – | – |
| QBT830 | C. cephalonica | 90 | + | + | + | + | – | – |
| QBT877 | C. cephalonica | 100 | + | + | + | + | – | – |
| H14 | C. pipiens | 50 | – | – | – | – | + | + |
| QBT758 | C. pipiens | 47 | – | – | – | – | + | + |
| QBT862 | C. pipiens | 70 | – | – | – | – | + | + |
| QBT550 | C. pipiens | NA | – | – | – | – | – | – |
| QBT605 | C. pipiens | NA | – | – | – | – | – | – |
Disclaimer/Publisher’s Note: The statements, opinions and data contained in all publications are solely those of the individual author(s) and contributor(s) and not of MDPI and/or the editor(s). MDPI and/or the editor(s) disclaim responsibility for any injury to people or property resulting from any ideas, methods, instructions or products referred to in the content. |
© 2026 by the authors. Licensee MDPI, Basel, Switzerland. This article is an open access article distributed under the terms and conditions of the Creative Commons Attribution (CC BY) license.
Share and Cite
Badr, K.; Al-Maadeed, F.; Azouz, A.; Hassan, Z.U.; Migheli, Q.; Jaoua, S. Exploring Arid Soils as a Source of Bacillus thuringiensis Biocontrol Agents Active Against Dipteran and Lepidopteran Larvae. Microbiol. Res. 2026, 17, 14. https://doi.org/10.3390/microbiolres17010014
Badr K, Al-Maadeed F, Azouz A, Hassan ZU, Migheli Q, Jaoua S. Exploring Arid Soils as a Source of Bacillus thuringiensis Biocontrol Agents Active Against Dipteran and Lepidopteran Larvae. Microbiology Research. 2026; 17(1):14. https://doi.org/10.3390/microbiolres17010014
Chicago/Turabian StyleBadr, Kareem, Fatima Al-Maadeed, Alaa Azouz, Zahoor Ul Hassan, Quirico Migheli, and Samir Jaoua. 2026. "Exploring Arid Soils as a Source of Bacillus thuringiensis Biocontrol Agents Active Against Dipteran and Lepidopteran Larvae" Microbiology Research 17, no. 1: 14. https://doi.org/10.3390/microbiolres17010014
APA StyleBadr, K., Al-Maadeed, F., Azouz, A., Hassan, Z. U., Migheli, Q., & Jaoua, S. (2026). Exploring Arid Soils as a Source of Bacillus thuringiensis Biocontrol Agents Active Against Dipteran and Lepidopteran Larvae. Microbiology Research, 17(1), 14. https://doi.org/10.3390/microbiolres17010014

