Adenovirus-Mediated Expression of Dengue Virus 2 Envelope Ferritin Nanoparticles Induced Virus-Specific Immune Responses in BALB/c Mice
Abstract
1. Introduction
2. Materials and Methods
2.1. Cells and Viruses
2.2. DENV2 Virus Propagation
2.3. Viral RNA Isolation, cDNA Preparation, and qPCR
2.4. Plasmids Construction
2.5. Transfection of Recombinant Plasmids
2.6. Adenovirus Production, Amplification and Purification
2.7. Virus Transduction and Expression Check
2.8. Western Blotting
2.9. Mouse Immunization
2.10. DENV2 Virus-Specific IgG ELISA
3. Results
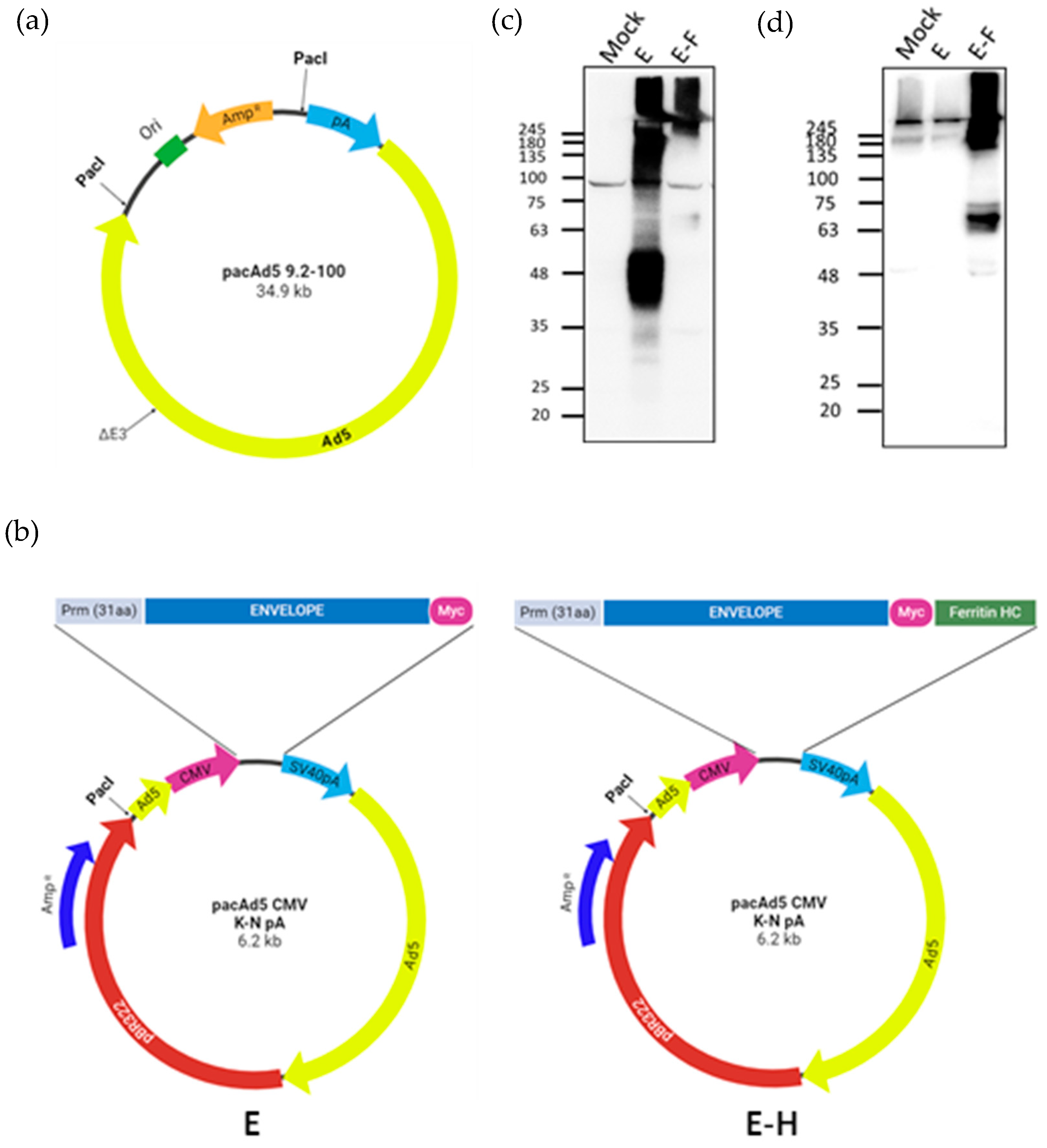
3.1. Plasmid Construction and Expression Confirmation
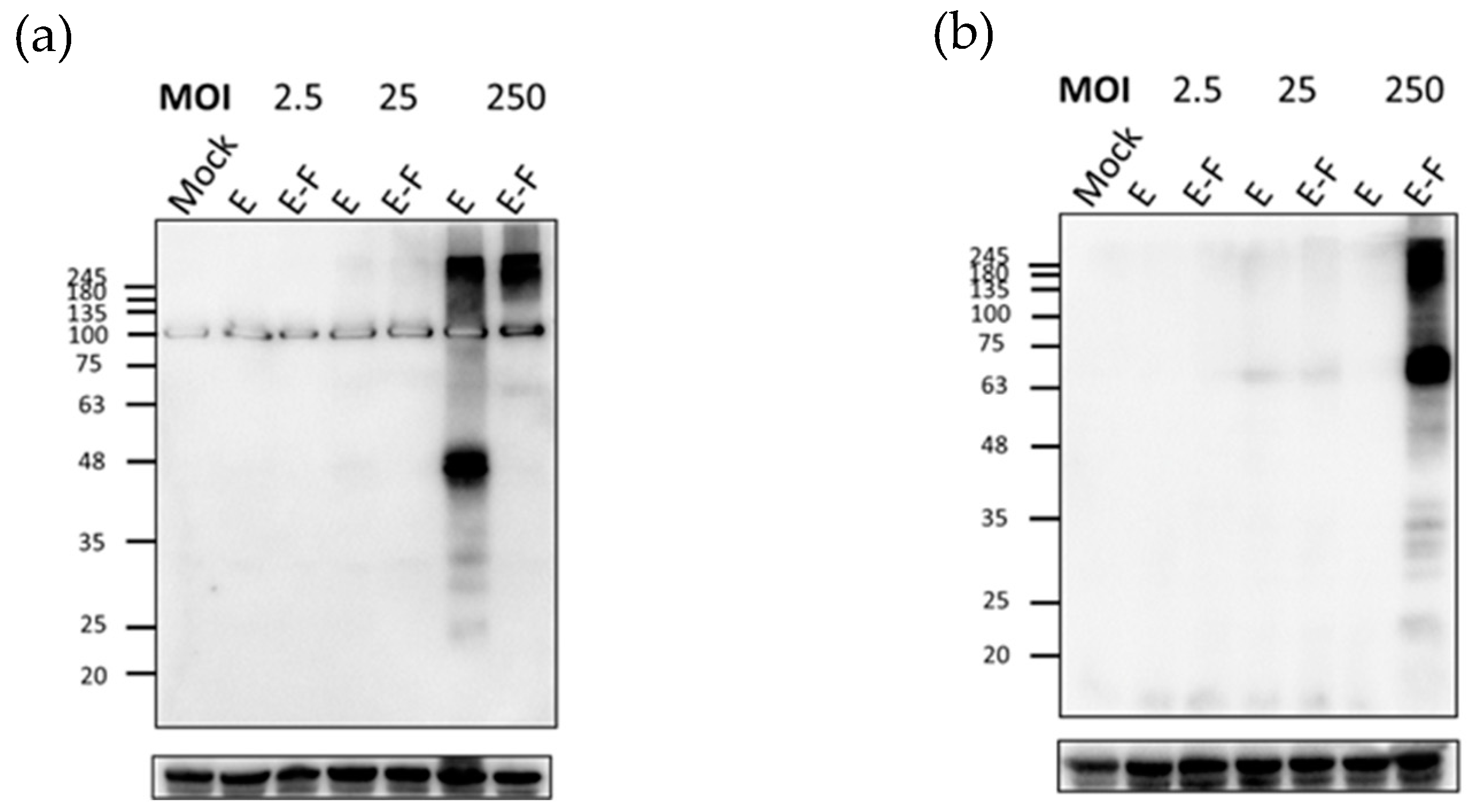
3.2. rAds Generation, Purification, and Detection
3.3. rAds Transduction Efficiency
3.4. Dengue Virus-Specific IgG Response
4. Discussion
Author Contributions
Funding
Institutional Review Board Statement
Informed Consent Statement
Data Availability Statement
Conflicts of Interest
References
- Perera, R.; Kuhn, R.J. Structural proteomics of dengue virus. Curr. Opin. Microbiol. 2008, 11, 369–377. [Google Scholar] [CrossRef] [PubMed]
- Modis, Y.; Ogata, S.; Clements, D.; Harrison, S.C. Structure of the dengue virus envelope protein after membrane fusion. Nature 2004, 427, 313–319. [Google Scholar] [CrossRef] [PubMed]
- Valdés, K.; Alvarez, M.; Pupo, M.; Vázquez, S.; Rodríguez, R.; Guzmán, M.G. Human Dengue Antibodies against Structural and Nonstructural Proteins. Clin. Diagn. Lab. Immunol. 2000, 7, 856–857. [Google Scholar] [CrossRef] [PubMed]
- Alves, A.M.B.; Costa, S.M.; Pinto, P.B.A. Dengue Virus and Vaccines: How Can DNA Immunization Contribute to This Challenge? Front. Med. Technol. 2021, 3, 640964. [Google Scholar] [CrossRef]
- Bauer, K.; Esquilin, I.O.; Cornier, A.S.; Thomas, S.J.; Del Rio, A.I.Q.; Bertran-Pasarell, J.; Ramirez, J.O.M.; Diaz, C.; Carlo, S.; Eckels, K.H.; et al. A Phase II, Randomized, Safety and Immunogenicity Trial of a Re-Derived, Live-Attenuated Dengue Virus Vaccine in Healthy Children and Adults Living in Puerto Rico. Am. Soc. Trop. Med. Hyg. 2015, 93, 441–453. [Google Scholar] [CrossRef]
- Diaz, C.; Lin, L.; Martinez, L.J.; Eckels, K.H.; Campos, M.; Jarman, R.G.; De La Barrera, R.; Lepine, E.; Toussaint, J.F.; Febo, I.; et al. Phase I Randomized Study of a Tetravalent Dengue Purified Inactivated Vaccine in Healthy Adults from Puerto Rico. Am. J. Trop. Med. Hyg. 2018, 98, 1435–1443. [Google Scholar] [CrossRef]
- Pintado Silva, J.; Fernandez-Sesma, A. Challenges on the development of a dengue vaccine: A comprehensive review of the state of the art. J. Gen. Virol. 2023, 104, 001831. [Google Scholar] [CrossRef]
- Raviprakash, K.; Wang, D.; Ewing, D.; Holman, D.H.; Block, K.; Woraratanadharm, J.; Chen, L.; Hayes, C.; Dong, J.Y.; Porter, K. A Tetravalent Dengue Vaccine Based on a Complex Adenovirus Vector Provides Significant Protection in Rhesus Monkeys against All Four Serotypes of Dengue Virus. J. Virol. 2008, 82, 6927–6934. [Google Scholar] [CrossRef]
- Sankaradoss, A.; Jagtap, S.; Nazir, J.; Moula, S.E.; Modak, A.; Fialho, J.; Iyer, M.; Shastri, J.S.; Dias, M.; Gadepalli, R.; et al. Immune profile and responses of a novel dengue DNA vaccine encoding an EDIII-NS1 consensus design based on Indo-African sequences. Mol. Ther. 2022, 30, 2058–2077. [Google Scholar] [CrossRef]
- Akter, R.; Tasneem, F.; Das, S.; Soma, M.A.; Georgakopoulos-Soares, I.; Juthi, R.T.; Sazed, S.A. Approaches of dengue control: Vaccine strategies and future aspects. Front. Immunol. 2024, 15, 1362780. [Google Scholar] [CrossRef]
- Travieso, T.; Li, J.; Mahesh, S.; Mello, J.D.F.R.E.; Blasi, M. The use of viral vectors in vaccine development. NPJ Vaccines 2022, 7, 75. [Google Scholar] [CrossRef] [PubMed]
- Tu, Z.; Timashev, P.; Chen, J.; Liang, X. Ferritin-based drug delivery system for tumor therapy. BMEMat 2023, 1, e12022. [Google Scholar] [CrossRef]
- Palombarini, F.; Masciarelli, S.; Incocciati, A.; Liccardo, F.; Di Fabio, E.; Iazzetti, A.; Fabrizi, G.; Fazi, F.; Macone, A.; Bonamore, A.; et al. Self-assembling ferritin-dendrimer nanoparticles for targeted delivery of nucleic acids to myeloid leukemia cells. J. Nanobiotechnol. 2021, 19, 172. [Google Scholar] [CrossRef] [PubMed]
- Tang, P.; Cui, E.; Cheng, J.; Li, B.; Tao, J.; Shi, Y.; Jiao, J.; Du, E.; Wang, J.; Liu, H. A ferritin nanoparticle vaccine based on the hemagglutinin extracellular domain of swine influenza A (H1N1) virus elicits protective immune responses in mice and pigs. Front. Immunol. 2024, 15, 1361323. [Google Scholar] [CrossRef]
- Sliepen, K.; Ozorowski, G.; Burger, J.A.; van Montfort, T.; Stunnenberg, M.; LaBranche, C.; Montefiori, D.C.; Moore, J.P.; Ward, A.B.; Sanders, R.W.; et al. Presenting native-like HIV-1 envelope trimers on ferritin nanoparticles improves their immunogenicity. Retrovirology 2015, 12, 82. [Google Scholar] [CrossRef] [PubMed]
- Joyce, M.G.; Chen, W.H.; Sankhala, R.S.; Hajduczki, A.; Thomas, P.V.; Choe, M.; Martinez, E.J.; Chang, W.C.; Peterson, C.E.; Morrison, E.B.; et al. SARS-CoV-2 ferritin nanoparticle vaccines elicit broad SARS coronavirus immunogenicity. Cell Rep. 2021, 37, 110143. [Google Scholar] [CrossRef]
- Sun, W.; He, L.; Zhang, H.; Tian, X.; Bai, Z.; Sun, L.; Yang, L.; Jia, X.; Bi, Y.; Luo, T.; et al. The self-assembled nanoparticle-based trimeric RBD mRNA vaccine elicits robust and durable protective immunity against SARS-CoV-2 in mice. Signal Transduct. Target. Ther. 2021, 6, 340. [Google Scholar] [CrossRef]
- Weidenbacher, P.A.B.; Sanyal, M.; Friedland, N.; Tang, S.; Arunachalam, P.S.; Hu, M.; Kumru, O.S.; Morris, M.K.; Fontenot, J.; Shirreff, L.; et al. A ferritin-based COVID-19 nanoparticle vaccine that elicits robust, durable, broad-spectrum neutralizing antisera in non-human primates. Nat. Commun. 2023, 14, 2149. [Google Scholar] [CrossRef]
- Hills, R.A.; Tan, T.K.; Cohen, A.A.; Keeffe, J.R.; Keeble, A.H.; Gnanapragasam, P.N.P.; Storm, K.N.; Rorick, A.V.; West, A.P.; Hill, M.L.; et al. Proactive vaccination using multiviral Quartet Nanocages to elicit broad anti-coronavirus responses. Nat. Nanotechnol. 2024, 19, 1216–1223. [Google Scholar] [CrossRef]
- Kim, S.A.; Lee, Y.; Ko, Y.; Kim, S.; Kim, G.B.; Lee, N.K.; Ahn, W.; Kim, N.; Nam, G.H.; Lee, E.J.; et al. Protein-based nanocages for vaccine development. J. Control. Release 2023, 353, 767–791. [Google Scholar] [CrossRef]
- López-Sagaseta, J.; Malito, E.; Rappuoli, R.; Bottomley, M.J. Self-assembling protein nanoparticles in the design of vaccines. Comput. Struct. Biotechnol. J. 2016, 14, 58–68. [Google Scholar] [CrossRef] [PubMed]
- Vu, M.N.; Pilkington, E.H.; Lee, W.S.; Tan, H.; Davis, T.P.; Truong, N.P.; Kent, S.J.; Wheatley, A.K. Engineered Ferritin Nanoparticle Vaccines Enable Rapid Screening of Antibody Functionalization to Boost Immune Responses. Adv. Healthc. Mater. 2023, 12, 2202595. [Google Scholar] [CrossRef]
- Rodrigues, M.Q.; Alves, P.M.; Roldão, A. Functionalizing Ferritin Nanoparticles for Vaccine Development. Pharmaceutics 2021, 13, 1621. [Google Scholar] [CrossRef]
- Qu, Y.; Zhang, B.; Wang, Y.; Yin, S.; Sun, Y.; Middelberg, A.; Bi, J. Immunogenicity and Vaccine Efficacy Boosted by Engineering Human Heavy Chain Ferritin and Chimeric Hepatitis B Virus Core Nanoparticles. ACS Appl. Bio Mater. 2021, 4, 7147–7156. [Google Scholar] [CrossRef]
- Neeraja, M.; Lakshmi, V.; Lavanya, V.; Priyanka, E.; Parida, M.; Dash, P.; Sharma, S.; Rao, P.L.; Reddy, G. Rapid detection and differentiation of dengue virus serotypes by NS1 specific reverse transcription loop-mediated isothermal amplification (RT-LAMP) assay in patients presenting to a tertiary care hospital in Hyderabad, India. J. Virol. Methods 2015, 211, 22–31. [Google Scholar] [CrossRef] [PubMed]
- Ramakrishnan, M.A. Determination of 50% endpoint titer using a simple formula. World J. Virol. 2016, 5, 85–86. [Google Scholar] [CrossRef]
- Mu, Z.; Wiehe, K.; Saunders, K.O.; Henderson, R.; Cain, D.W.; Parks, R.; Martik, D.; Mansouri, K.; Edwards, R.J.; Newman, A.; et al. mRNA-encoded HIV-1 Env trimer ferritin nanoparticles induce monoclonal antibodies that neutralize heterologous HIV-1 isolates in mice. Cell Rep. 2022, 38, 110514. [Google Scholar] [CrossRef] [PubMed]
- Dai, H.-Y.; He, R.; Zhang, Y.; Wu, R.-H.; Xiao, Y.-Y. Adenoviral vector mediated ferritin over-expression in mesenchymal stem cells detected by 7T MRI in vitro. PLoS ONE 2017, 12, e0185260. [Google Scholar] [CrossRef]
- Jaiswal, S.; Khanna, N.; Swaminathan, S. Replication-defective adenoviral vaccine vector for the induction of immune responses to dengue virus type 2. J. Virol. 2003, 77, 12907–12913. [Google Scholar] [CrossRef]
- Men, R.H.; Bray, M.; Lai, C.J. Carboxy-terminally truncated dengue virus envelope glycoproteins expressed on the cell surface and secreted extracellularly exhibit increased immunogenicity in mice. J. Virol. 1991, 65, 1400–1407. [Google Scholar] [CrossRef]
- Qu, Y.; Wang, L.; Yin, S.; Zhang, B.; Jiao, Y.; Sun, Y.; Middelberg, A.; Bi, J. Stability of Engineered Ferritin Nanovaccines Investigated by Combined Molecular Simulation and Experiments. J. Phys. Chem. B 2021, 125, 3830–3842. [Google Scholar] [CrossRef] [PubMed]
- Sayedahmed, E.E.; Kumari, R.; Shukla, S.; Hassan, A.O.; Mohammed, S.I.; York, I.A.; Gangappa, S.; Sambhara, S.; Mittal, S.K. Longevity of adenovirus vector immunity in mice and its implications for vaccine efficacy. Vaccine 2018, 36, 6744–6751. [Google Scholar] [CrossRef] [PubMed]
- Shoushtari, M.; Roohvand, F.; Salehi-Vaziri, M.; Arashkia, A.; Bakhshi, H.; Azadmanesh, K. Adenovirus vector-based vaccines as forefront approaches in fighting the battle against flaviviruses. Hum. Vaccines Immunother. 2022, 18, 2079323. [Google Scholar] [CrossRef] [PubMed]




| Primer Sequence (5′ to 3′) | |
|---|---|
| Primer 1 | CAAACAGCAGGACCTTGG |
| Primer 2 | ATCCATCCTCACCTCTGT |
| Primer 3 | GGTACCCTCGAGATGGACTACAAAGACGATGACGACAAGGCAGCAATCCTGGCATAC |
| Primer 4 | GGAATTCCAGATCCTCTTCTGAGATGAGTTTTTGTTCACGCGTTCCTTTCTTGAACCAGTT |
| Primer 5 | GGAATTCAGCAGCGGCACGACCGCGTCCACCTCGCA |
| Primer 6 | CGTCTAGATTAGCTTTCATTATCACTGTCTC |
Disclaimer/Publisher’s Note: The statements, opinions and data contained in all publications are solely those of the individual author(s) and contributor(s) and not of MDPI and/or the editor(s). MDPI and/or the editor(s) disclaim responsibility for any injury to people or property resulting from any ideas, methods, instructions or products referred to in the content. |
© 2024 by the authors. Licensee MDPI, Basel, Switzerland. This article is an open access article distributed under the terms and conditions of the Creative Commons Attribution (CC BY) license (https://creativecommons.org/licenses/by/4.0/).
Share and Cite
Tennakoon, M.S.B.W.T.M.N.S.; Ryu, J.-H.; Jung, Y.-S.; Qian, Y.; Shin, H.-J. Adenovirus-Mediated Expression of Dengue Virus 2 Envelope Ferritin Nanoparticles Induced Virus-Specific Immune Responses in BALB/c Mice. Microbiol. Res. 2024, 15, 1913-1923. https://doi.org/10.3390/microbiolres15030128
Tennakoon MSBWTMNS, Ryu J-H, Jung Y-S, Qian Y, Shin H-J. Adenovirus-Mediated Expression of Dengue Virus 2 Envelope Ferritin Nanoparticles Induced Virus-Specific Immune Responses in BALB/c Mice. Microbiology Research. 2024; 15(3):1913-1923. https://doi.org/10.3390/microbiolres15030128
Chicago/Turabian StyleTennakoon, M.S.B.W.T.M. Nipuna Sudaraka, Ji-Hoon Ryu, Yong-Sam Jung, Yingjuan Qian, and Hyun-Jin Shin. 2024. "Adenovirus-Mediated Expression of Dengue Virus 2 Envelope Ferritin Nanoparticles Induced Virus-Specific Immune Responses in BALB/c Mice" Microbiology Research 15, no. 3: 1913-1923. https://doi.org/10.3390/microbiolres15030128
APA StyleTennakoon, M. S. B. W. T. M. N. S., Ryu, J.-H., Jung, Y.-S., Qian, Y., & Shin, H.-J. (2024). Adenovirus-Mediated Expression of Dengue Virus 2 Envelope Ferritin Nanoparticles Induced Virus-Specific Immune Responses in BALB/c Mice. Microbiology Research, 15(3), 1913-1923. https://doi.org/10.3390/microbiolres15030128

