Thrombolytic Potential of Micromycetes from the Genus Tolypocladium, Obtained from White Sea Soils: Screening of Producers and Exoproteinases Properties
Abstract
1. Introduction
2. Materials and Methods
2.1. Microorganisms and Growth Conditions
2.2. Micromycete Identification
2.3. Radial Growth Rate Determination
2.4. Determination of Enzymatic Index of Micromycetes on Different Substrates
2.5. Obtaining of Proteinase Preparations
2.6. Evaluation of Thrombolytic Effect
2.7. Protein Assay
2.8. Fibrin Zymography
2.9. Determination of Proteolytic Activity
2.10. Determination of Proteolytic Activity toward Particular Proteins of the Hemostasis System
3. Results
3.1. Micromycete Identification
3.2. Radial Growth Rate Determination
3.3. Determination of Enzymatic Index of Micromycetes on Different Substrates
3.4. Determination of Caseinolytic and Fibrinolytic Activity of Tolypocladium-Strain Preparations
3.5. Thrombolytic Effect Evaluation
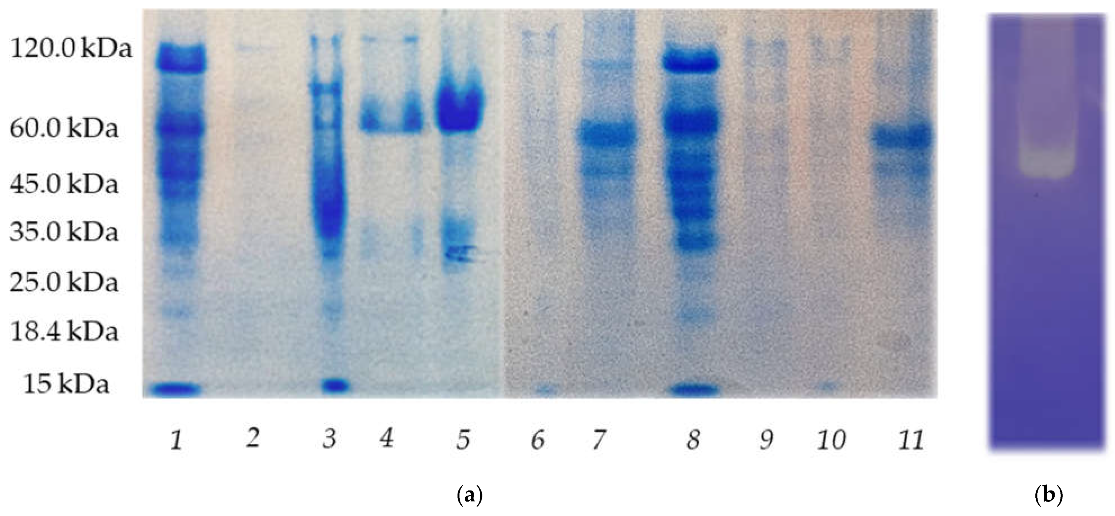
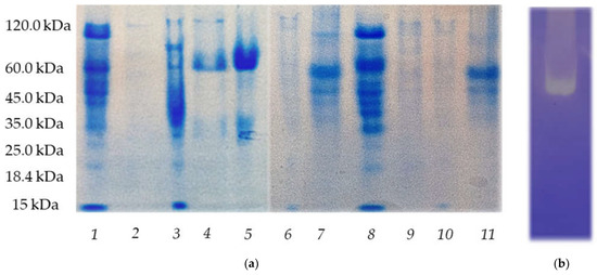
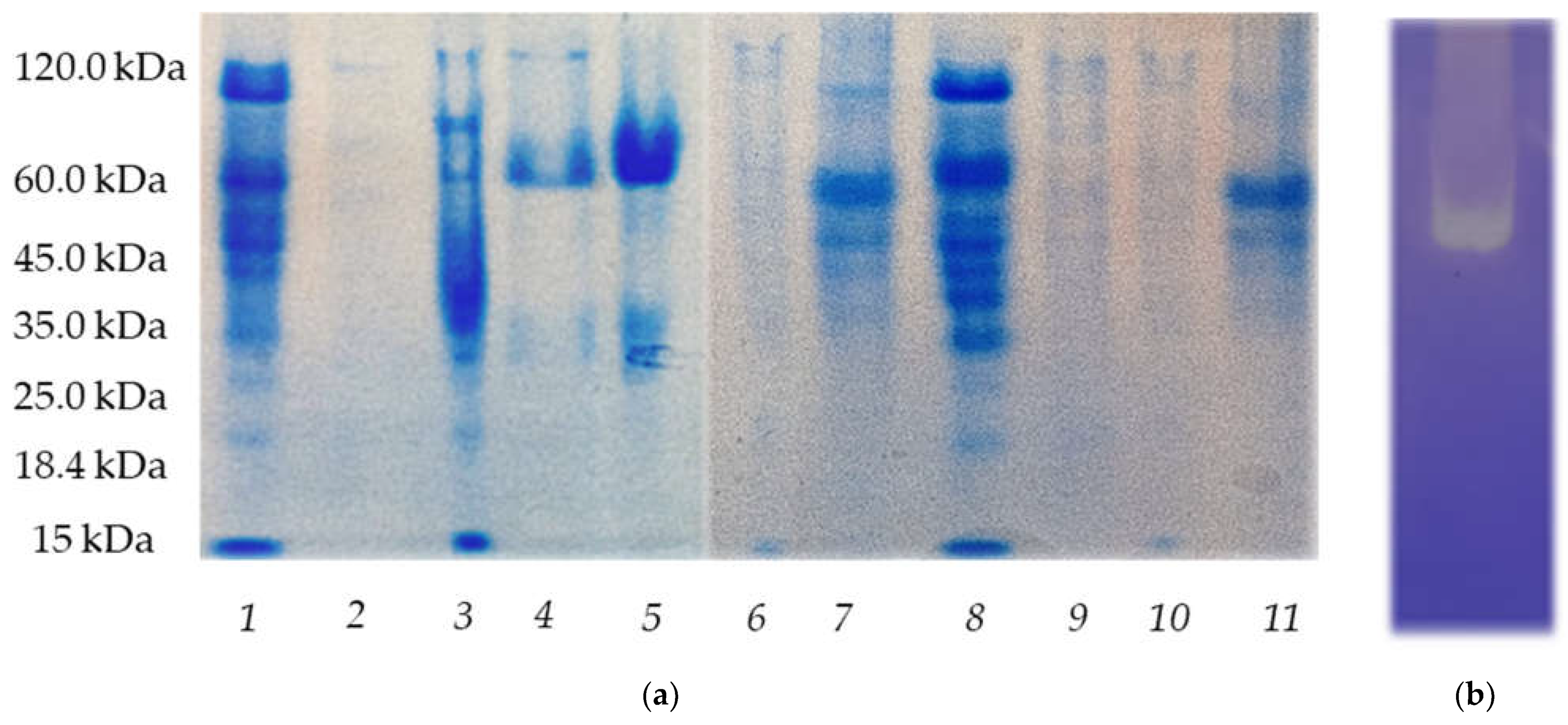
3.6. SDS-PAGE Analysis of Proteinase Preparations and Fibrin Zymography
3.7. Determination of Proteolytic Activity of Tolypocladium inflatum 62a Preparation toward Particular Proteins of the Hemostasis System
4. Discussion
Author Contributions
Funding
Informed Consent Statement
Conflicts of Interest
References
- World Health Organization. Available online: https://www.who.int/data/gho/data/themes/mortality-and-global-health-estimates (accessed on 1 January 2020).
 - Baker, W.F., Jr. Thrombolytic therapy. Clin. Appl. Thromb. Hemost. 2002, 8, 291–314. [Google Scholar] [CrossRef]
 - Balami, J.S.; Chen, R.; Sutherland, B.A.; Buchan, A.M. Thrombolytic agents for acute ischaemic stroke treatment: The past, present and future. CNS Neurol. Disord. Drug Targets 2013, 12, 145–154. [Google Scholar] [CrossRef]
 - Kotb, E. The biotechnological potential of fibrinolytic enzymes in the dissolution of endogenous blood thrombi. Biotechnol. Prog. 2014, 30, 656–672. [Google Scholar] [CrossRef]
 - Kumar, S.S.; Sabu, A. Fibrinolytic enzymes for thrombolytic therapy. Adv. Exp. Med. Biol. 2019, 1148, 345–381. [Google Scholar]
 - Hao, Q.; Dong, B.R.; Yue, J.; Wu, T.; Liu, G.J. Thrombolytic therapy for pulmonary embolism. Cochrane Database Syst. Rev. 2018, 12, 1–105. [Google Scholar] [CrossRef]
 - Sharkova, T.S.; Matveeva, E.O.; Kreier, V.G.; Osmolovskiy, A.A.; Kurakov, A.V.; Baranova, N.A.; Egorov, N.S. Production of proteinase–plasminogen activators by micromycete tolypocladium inflatum k1. Appl. Biochem. Microbiol. 2016, 52, 31–35. [Google Scholar] [CrossRef]
 - Fokichev, N.S.; Kornienko, E.I.; Sharkova, T.S.; Kreyer, V.G.; Osmolovskiy, A.A. Thrombolytic activity and properties of the proteinase produced by the micromycete tolypocladium inflatum k1. Mycol. Phytopathol. 2021, 55, 449–456. [Google Scholar] [CrossRef]
 - Schwartz, A.; Gams, W. Cephalosporium-artige Schimmelpilze (Hyphomycetes). J. Basic Microbiol. 1973, 13, 280. [Google Scholar] [CrossRef]
 - Kirk, P.W., Jr.; Kohlmeyer, J.; Kohlmeyer, E. Marine Mycology, the Higher Fungi. Mar. Ecol. 1980, 1, 103–104. [Google Scholar] [CrossRef]
 - Bissett, J. Notes on Tolypocladium and related genera. Can. J. Bot. 1983, 5, 1311–1329. [Google Scholar] [CrossRef]
 - Zare, R.; Gams, W. A revision of Verticillium sectionProstrata. IV. The genera Lecanicillium and Simplicillium gen. nov. Nova Hedwig. 2001, 73, 1–50. [Google Scholar] [CrossRef]
 - Klich, M.A. Indentification of Common Aspergillus Species, 1st ed.; Centraalbureau voor Schimmelcultures: Utrecht, The Netherlands, 2002. [Google Scholar] [CrossRef]
 - Rice, A.V.; Currah, R.S. Oidiodendron: A survey of the named species and related anamorphs of Myxotrichum. Stud. Mycol. 2005, 53, 83–120. [Google Scholar] [CrossRef]
 - Crous, P.W.; Braun, U.; Schubert, K.; Groenewald, J.Z. The genus Cladosporium and similar dematiaceous hyphomycetes. Stud. Mycol. 2007, 58, 1–262. [Google Scholar] [CrossRef]
 - Domsch, K.H.; Gams, W.; Anderson, T.H. Compendium of Soil Fungi, 2nd ed.; IHW-Verlag: Eching, Germany, 2007. [Google Scholar] [CrossRef]
 - Seifert, K.A.; Gams, W. The genera of Hyphomycetes—2011 update. Pers. Mol. Phylogeny Evol. Fungi 2011, 27, 119. [Google Scholar] [CrossRef]
 - Rogers, S.O.; Bendich, A.J. Extraction of DNA from milligram amounts of fresh, herbarium and mummified plant tissues. Plant Mol. Biol. 1985, 5, 69–76. [Google Scholar] [CrossRef]
 - White, T.J.; Bruns, T.D.; Lee, S.B.; Taylor, J.W. Amplification and Direct Sequencing of Fungal Ribosomal RNA Genes for Phylogenetics PCR-Protocols and Applications—A Laboratory Manual, 1st ed.; Academic Press: Cambridge, MA, USA, 1990; pp. 315–322. [Google Scholar]
 - Panikov, N.S. Kinetics of Microorganisms Growth, 1st ed.; Nauka: Moscow, Russia, 1991; p. 309. [Google Scholar]
 - Batomunkueva, B.P.; Egorov, N.S. Isolation, Purification, and Resolution of the Extracellular Proteinase Complex of Aspergillus ochraceus513 with Fibrinolytic and Anticoagulant Activities. Microbiology 2001, 70, 519–522. [Google Scholar] [CrossRef]
 - Kotb, E.; Helal, G.E.-D.A.; Edries, F.M. Screening for fibrinolytic filamentous fungi and enzymatic properties of the most potent producer, Aspergillus brasiliensis AUMC 9735. Biologia 2015, 70, 1565–1574. [Google Scholar] [CrossRef]
 - Smith, P.K.; Krohn, R.I.; Hermanson, G.T.; Mallia, A.K.; Gartner, F.H.; Provenzano, M.D.; Fujimoto, E.K.; Goeke, N.M.; Olson, B.J.; Klenk, D.C. Measurement of protein using bicinchoninic acid. Anal. Biochem. 1985, 150, 76–85. [Google Scholar] [CrossRef]
 - Chung, D.-M.; Choi, N.S.; Maeng, P.J.; Chun, H.K.; Kim, S.-H. Purification and characterization of a novel fibrinolytic enzyme from chive (Allium tuberosum). Food Sci. Biotechnol. 2012, 126, 349–355. [Google Scholar] [CrossRef]
 - Hu, Y.; Yu, D.; Wang, Z.; Hou, J.; Tyagi, R.; Liang, Y.; Hu, Y. Purification and characterization of a novel, highly potent fibrinolytic enzyme from Bacillus subtilis DC27 screened from Douchi, a traditional Chinese fermented soybean food. Sci. Rep. 2019, 9, 9235. [Google Scholar] [CrossRef]
 - Osmolovskiy, A.A.; Popova, E.A.; Kreyer, V.G.; Baranova, N.A.; Egorov, N.S. Fibrinolytic and collagenolytic activity of extracellular proteinases of the strains of micromycetes Aspergillus ochraceus L-1 and Aspergillus ustus 1. Mosc. Univ. Biol. Sci. Bull. 2016, 71, 62–66. [Google Scholar] [CrossRef]
 - Osmolovskiy, A.A.; Zvonareva, E.S.; Kreyer, V.G.; Baranova, N.A.; Egorov, N.S. The effect of micromycete extracellular proteases of the Aspergillus genus on the proteins of haemostatic system. Russ. J. Bioorg. Chem. 2014, 40, 634–639. [Google Scholar] [CrossRef]
 - Khaldi, N.; Seifuddin, F.T.; Turner, G.; Haft, D.; Nierman, W.C.; Wolfe, K.H.; Fedorova, N.D. SMURF: Genomic mapping of fungal secondary metabolite clusters. Fungal Genet. Biol. 2010, 47, 736–741. [Google Scholar] [CrossRef] [PubMed]
 - Bushley, K.E.; Raja, R.; Jaiswal, P.; Cumbie, J.S.; Nonogaki, M.; Boyd, A.E.; Owensby, C.A.; Knaus, B.J.; Elser, J.; Miller, D.; et al. The genome of tolypocladium inflatum: Evolution, organization, and expression of the cyclosporin biosynthetic gene cluster. PLoS Genet. 2013, 9, e1003496. [Google Scholar] [CrossRef] [PubMed]
 - Sharkova, T.S.; Kornienko, E.I.; Osmolovskiy, A.A.; Kreier, V.G.; Baranova, N.A.; Egorov, N.S. Morphological and Physiological Properties of the Micromycete Arthrobotrys longa, a Producer of Longolytin, a Proteolytic Complex with a Thrombolytic Effect. Mikrobiologiia 2016, 85, 171–176. [Google Scholar] [CrossRef] [PubMed]
 - Podorol’skaya, L.V.; Serebryakova, T.N.; Sharkova, T.S. Experimental thrombosis in rabbit marginal ear vein and evaluation of the thrombolytic action of longolytin. Bull. Exp. Biol. Med. 2007, 143, 577–580. [Google Scholar] [CrossRef]
 





| № | Short Name | Genus | Source | Location | GenBank ID | Identity, % | Query Coverage, % | 
|---|---|---|---|---|---|---|---|
| 1 | 150a | T. cylindrosporum | White Sea soils | WSBS * | MK984581.1 | 97.75 | 97 | 
| 2 | 13a | T. inflatum | White Sea soils | WSBS | MG827334.1 | 99.42 | 96 | 
| 3 | 14a | T. inflatum | White Sea soils | WSBS | OM670142.1 | 99.62 | 98 | 
| 4 | 30a | T. inflatum | White Sea soils | WSBS | MT845990.1 | 99.23 | 98 | 
| 5 | 49a | T. inflatum | White Sea soils | WSBS | MK020177.1 | 99.22 | 98 | 
| 6 | 62a | T. inflatum | White Sea soils | WSBS | MH864514.1 | 99.17 | 92 | 
| 7 | 126a | T. inflatum | White Sea soils | WSBS | MK801343.1 | 99.6 | 99 | 
| Strain | EIfibr (Media with Fibrin) | EIcas (Media with Casein) | EIfg (Media with Fibrinogen) | EIcas/EIfibr | EIcas/EIfg | 
|---|---|---|---|---|---|
| 13a | 2.22 | 2.10 | 2.18 | 0.94 | 1.04 | 
| 14a | 1.43 | 1.48 | 1.39 | 1.03 | 1.06 | 
| 30a | 1.71 | 1.53 | 1.72 | 0.89 | 0.86 | 
| 49a | 2.39 | 2.30 | 2.24 | 0.96 | 0.98 | 
| 62a | 1.88 | 1.65 | 1.80 | 0.87 | 0.92 | 
| 126a | 1.63 | 2.10 | 1.81 | 1.28 | 1.16 | 
| 150a | 1.75 | 1.81 | 1.87 | 1.03 | 0.97 | 
| Strain | Protein Concentration, mg/mL | Caseinolysis, ETyr/mL | Caseinolysis, ETyr/mg of Protein | Fibrinolysis, ETyr/mL | Fibrinolysis, ETyr/mg of Protein | 
|---|---|---|---|---|---|
| 13a (glycerol) | 0.281 | 52.6 | 187.2 | 58.0 | 206.2 | 
| 13a (starch) | 0.242 | 36.6 | 151.5 | 38.0 | 157.3 | 
| 14a (glycerol) | 0.263 | 40.1 | 152.0 | 41.8 | 158.9 | 
| 14a (starch) | 0.199 | 19.8 | 99.4 | 21.9 | 110.0 | 
| 30a (glycerol) | 0.363 | 82.5 | 227.2 | 90.0 | 247.7 | 
| 30a (starch) | 0.270 | 45.9 | 170.0 | 49.8 | 184.6 | 
| 49a (glycerol) | 0.258 | 37.5 | 145.5 | 33.7 | 130.8 | 
| 49a (starch) | 0.191 | 18.9 | 99.1 | 16.4 | 85.9 | 
| 62a (glycerol) | 0.333 | 99.4 | 298.5 | 110.6 | 332.3 | 
| 62a (starch) | 0.194 | 32.0 | 165.3 | 34.1 | 176.3 | 
| 126a (glycerol) | 0.263 | 33.7 | 128.0 | 24.7 | 93.9 | 
| 126a (starch) | 0.199 | 19.8 | 99.4 | 7.9 | 39.5 | 
| 150a (glycerol) | 0.325 | 56.0 | 172.3 | 52.8 | 162.4 | 
| 150a (starch) | 0.268 | 40.0 | 149.4 | 35.4 | 132.1 | 
| k1 (glycerol) | 0.272 | 77.9 | 286.2 | 81.0 | 297.6 | 
| k1 (starch) | 0.286 | 65.3 | 228.4 | 73.0 | 255.5 | 
| Chromogenic Substrate | Type of Activity | T. inflatum 62a Activity, U/mL × 10−3 | T. inflatum k1 Activity, U/mL × 10−3 | 
|---|---|---|---|
| pGlu-Gly-Arg-pNA | Urokinase | 1.7 | 3.1 | 
| Tos-Gly-Pro-ArgpNA | Thrombin | 2.42 | 3.36 | 
| H-D-Val-Leu-Lys-pNA | Plasmin | 27.21 | 4.46 | 
| H-D-Ile-Pro-Arg-pNA | t-PA | - | - | 
| Z-D-Arg-Gly-Arg-pNA | Factor Xa | 2.20 | 2.3 | 
| Z-Ala-Ala-Leu-pNA | Subtilisin | 14.01 | 4.77 | 
| Suc-Ala-Ala-Ala-pNA | Elastase | - | 18.5 | 
| Bz-Arg-pNA | Trypsin | - | - | 
| For-Ala-Phe-Lys-pNA | Plasmin | 3.34 | 5.5 | 
Publisher’s Note: MDPI stays neutral with regard to jurisdictional claims in published maps and institutional affiliations.  | 
© 2022 by the authors. Licensee MDPI, Basel, Switzerland. This article is an open access article distributed under the terms and conditions of the Creative Commons Attribution (CC BY) license (https://creativecommons.org/licenses/by/4.0/).
Share and Cite
Fokichev, N.S.; Kokaeva, L.Y.; Popova, E.A.; Kurakov, A.V.; Osmolovskiy, A.A. Thrombolytic Potential of Micromycetes from the Genus Tolypocladium, Obtained from White Sea Soils: Screening of Producers and Exoproteinases Properties. Microbiol. Res. 2022, 13, 898-908. https://doi.org/10.3390/microbiolres13040063
Fokichev NS, Kokaeva LY, Popova EA, Kurakov AV, Osmolovskiy AA. Thrombolytic Potential of Micromycetes from the Genus Tolypocladium, Obtained from White Sea Soils: Screening of Producers and Exoproteinases Properties. Microbiology Research. 2022; 13(4):898-908. https://doi.org/10.3390/microbiolres13040063
Chicago/Turabian StyleFokichev, N. S., L. Yu. Kokaeva, E. A. Popova, A. V. Kurakov, and A. A. Osmolovskiy. 2022. "Thrombolytic Potential of Micromycetes from the Genus Tolypocladium, Obtained from White Sea Soils: Screening of Producers and Exoproteinases Properties" Microbiology Research 13, no. 4: 898-908. https://doi.org/10.3390/microbiolres13040063
APA StyleFokichev, N. S., Kokaeva, L. Y., Popova, E. A., Kurakov, A. V., & Osmolovskiy, A. A. (2022). Thrombolytic Potential of Micromycetes from the Genus Tolypocladium, Obtained from White Sea Soils: Screening of Producers and Exoproteinases Properties. Microbiology Research, 13(4), 898-908. https://doi.org/10.3390/microbiolres13040063
        
