Fusobacterium Species in Osteoarticular Infections in Childhood—A Systematic Review with Data Synthesis and a Case Series in the Acetabular and Hip Joint Regions
Abstract
1. Introduction
2. Methods
2.1. Case Series
2.2. Methods of Systematic Literature Review
2.2.1. Search Strategy
2.2.2. Article Selection
2.2.3. Data Extraction and Synthesis
2.2.4. Statistics
3. Results
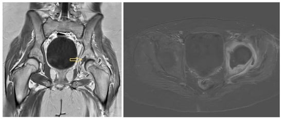
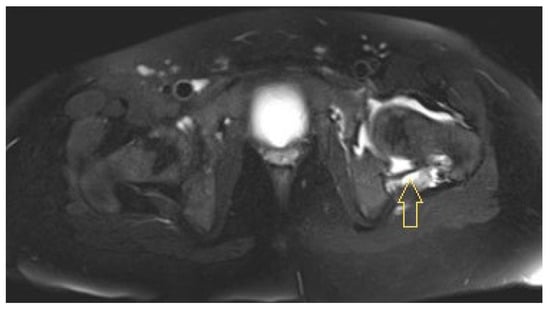
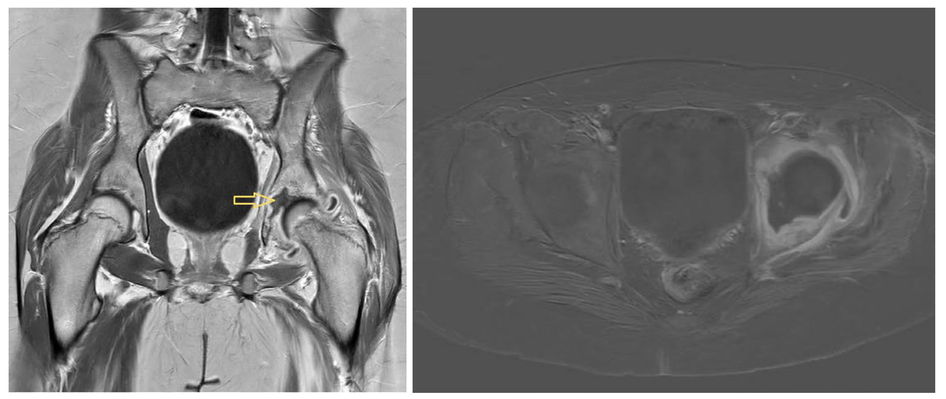
3.1. Presentation of the Cases
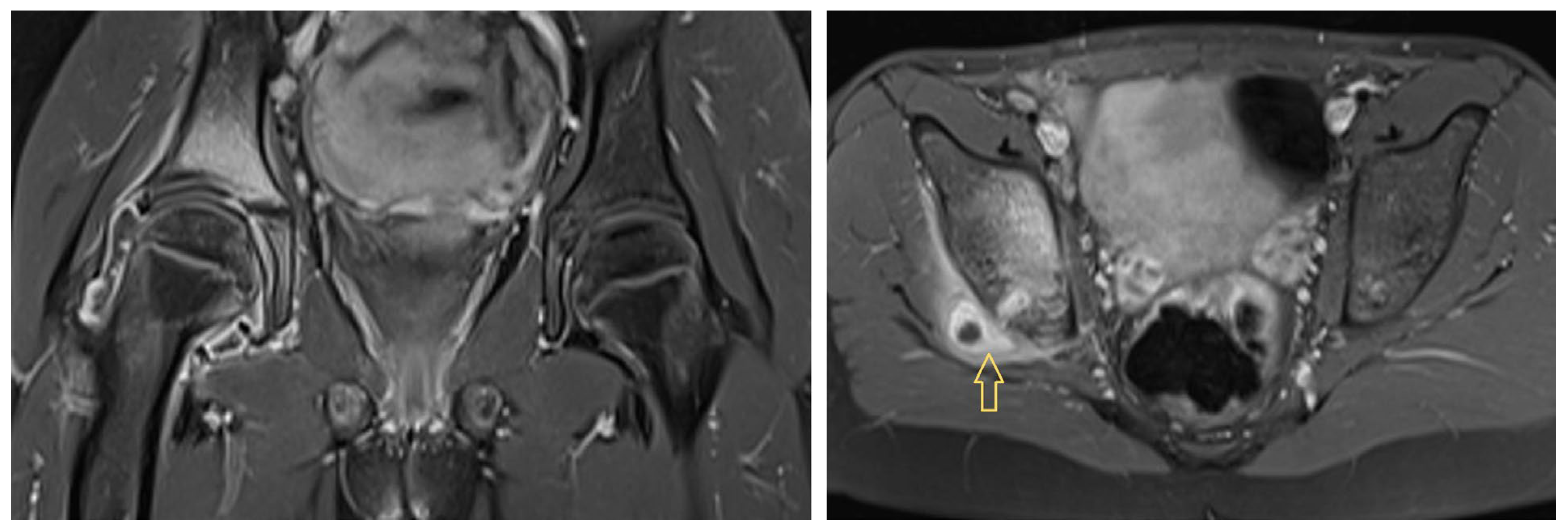
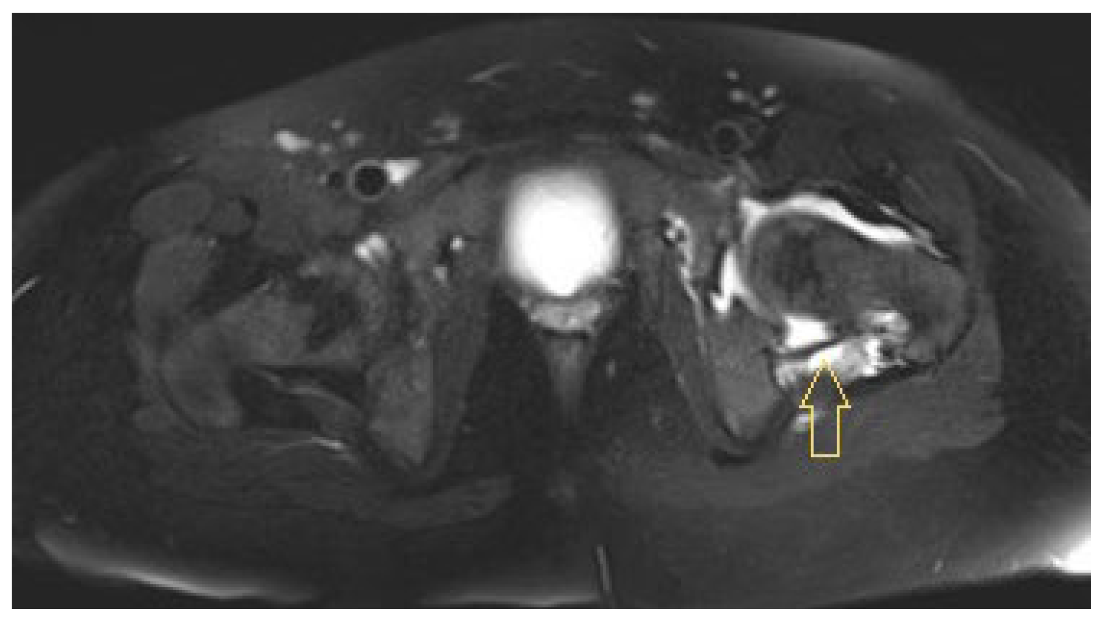
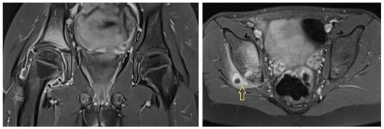
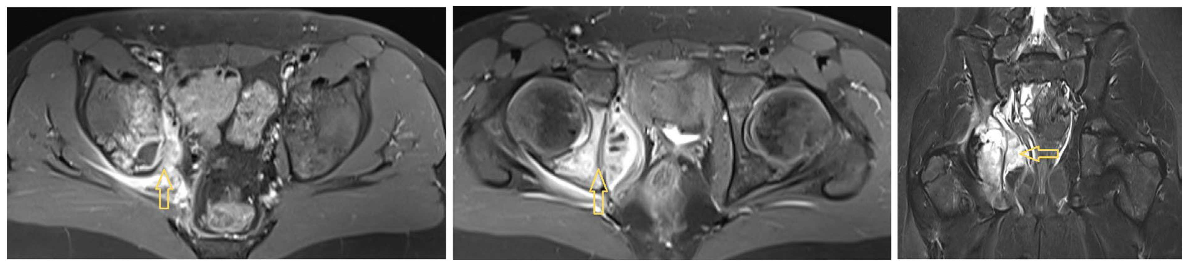
3.1.1. Patient 1
3.1.2. Patient 2
3.1.3. Patient 3
3.2. Results of the Systematic Literature Review
3.2.1. Report Selection
3.2.2. Characteristics of the Reports
3.2.3. Patient and Microorganism Characteristics
3.2.4. Clinical Presentation
3.2.5. Diagnostics
3.2.6. Orthopaedic Surgical Therapy
3.2.7. Antibiotics
3.2.8. Outcome
4. Discussion
4.1. Clinical Course
4.2. Species Detection
4.3. Diagnostic Imaging
4.4. Limitations
5. Conclusions
| Highlights |
|
Supplementary Materials
Author Contributions
Funding
Institutional Review Board Statement
Informed Consent Statement
Data Availability Statement
Conflicts of Interest
Trial Registration
Abbreviations
| BMI | body mass index |
| CRP | C-reactive protein |
| ENT | ear, nose and throat |
| ESR | erythrocyte sedimentation rate |
| EUCLIDS | European Union Childhood Life-threatening Infectious Diseases Study |
| F | female |
| FNE | Fusobacterium necrophorum |
| FNU | Fusobacterium nucleatum |
| FS | Fusobacterium species |
| FU | follow-up |
| HA | hip arthritis |
| HBO | hyperbaric oxygen |
| HD | hospitalisation day |
| IV | intravenous |
| KA | knee arthritis |
| LMS | Lemierre’s syndrome |
| M | male |
| NS | not specified |
| OM | osteomyelitis |
| PCR | polymerase chain reaction |
| PET/CT | positron emission tomography/computed tomography |
| ROM | range of motion |
| SUVmax | maximum standardised uptake value |
References
- Trobisch, A.; Schweintzger, N.A.; Kohlfürst, D.S.; Sagmeister, M.G.; Sperl, M.; Grisold, A.J.; Feierl, G.; Herberg, J.A.; Carrol, E.D.; Paulus, S.C.; et al. Osteoarticular infections in pediatric hospitals in Europe: A prospective cohort study from the EUCLIDS consortium. Front. Pediatr. 2022, 10, 744182. [Google Scholar] [CrossRef] [PubMed]
- Iliadis, A.D.; Ramachandran, M. Paediatric bone and joint infection. EFORT Open Rev. 2017, 2, 7–12. [Google Scholar] [CrossRef] [PubMed]
- Hirschhorn, A.; Averbuch, D.; Michaan, N.; Adler, A.; Grisaru-Soen, G. Invasive fusobacterium infections in children: A retrospective multicenter study. Pediatr. Infect. Dis. J. 2022, 41, 517–523. [Google Scholar] [CrossRef] [PubMed]
- Lemierre, A. On certain septicaemias due to anaerobic organisms. Lancet 1936, 227, 701–703. [Google Scholar] [CrossRef]
- Ullah, R.; Naz, S. LEMIERRE syndrome: A forgotten infection. J. Ayub. Med. Coll. Abbottabad. 2024, 36, 214–216. [Google Scholar] [CrossRef]
- Radovanovic, N.; Dumic, I.; Veselinovic, M.; Burger, S.; Milovanovic, T.; Nordstrom, C.W.; Niendorf, E.; Ramanan, P. Fusobacterium necrophorum subsp. necrophorum liver abscess with pylephlebitis: An abdominal variant of lemierre’s syndrome. Case Rep Infect Dis. 2020, 2020, 9237267. [Google Scholar] [CrossRef]
- Jaber, F.; Alsakarneh, S.; Alsharaeh, T.; Salahat, A.-J.; Elfert, K.; Beran, A.; Gangwani, M.K.; Abboud, Y.; Al-Sayyed, L.; Madi, M.Y.; et al. Gastrointestinal variant of lemierre’s syndrome: A systematic review and comprehensive analysis of 36 case reports. J. Clin. Exp. Hepatol. 2024, 14, 101319. [Google Scholar] [CrossRef]
- Ibrahim, S. Tachdjian’s Pediatric Orthopaedics: From the Texas Scottish Rite Hospital for Children; Herring, J.A., Ed.; Elsevier: Philadelphia, PA, USA, 2022. [Google Scholar]
- Bailhache, M.; Mariani-Kurkdjian, P.; Lehours, P.; Sarlangue, J.; Pillet, P.; Bingen, E.; Faye, A. Fusobacterium invasive infections in children: A retrospective study in two French tertiary care centres. Eur. J. Clin. Microbiol. Infect. Dis. 2013, 32, 1041–1047. [Google Scholar] [CrossRef]
- Kokkonen, M.; Syvänen, J.; Raitio, A.; Ivaska, L.; Peltola, V.; Helenius, I. Fusobacterial pelvic osteomyelitis with brodie’s abscess in a 10-year-old boy requiring surgical evacuation: A case report. J. Bone Jt. Surg. 2021, 11, e21. [Google Scholar] [CrossRef]
- Gagnier, J.J.; Kienle, G.; Altman, D.G.; Moher, D.; Sox, H.; Riley, D. The CARE guidelines: Consensus-based clinical case reporting guideline development. BMJ Case Rep. 2013, 2, 38–43. [Google Scholar] [CrossRef]
- Page, M.J.; McKenzie, J.E.; Bossuyt, P.M.; Boutron, I.; Hoffmann, T.C.; Mulrow, C.D.; Shamseer, L.; Tetzlaff, J.M.; Akl, E.A.; Brennan, S.E.; et al. The PRISMA 2020 statement: An updated guideline for reporting systematic reviews. BMJ 2021, 372, 71. [Google Scholar] [CrossRef] [PubMed]
- Ouzzani, M.; Hammady, H.; Fedorowicz, Z.; Elmagarmid, A. Rayyan—A web and mobile app for systematic reviews. Syst. Rev. 2016, 5, 210. [Google Scholar] [CrossRef] [PubMed]
- Singer, M.; Deutschman, C.S.; Seymour, C.W.; Shankar-Hari, M.; Annane, D.; Bauer, M.; Bellomo, R.; Bernard, G.R.; Chiche, J.-D.; Coopersmith, C.M.; et al. The third international consensus definitions for sepsis and septic shock (sepsis-3). JAMA 2016, 315, 801–810. [Google Scholar] [CrossRef] [PubMed]
- Murad, M.H.; Sultan, S.; Haffar, S.; Bazerbachi, F. Methodological quality and synthesis of case series and case reports. BMJ Evid. Based Med. 2018, 23, 60–63. [Google Scholar] [CrossRef]
- Hiergeist, A.; Reischl, U.; Gessner, A. Multicenter quality assessment of 16S ribosomal DNA-sequencing for microbiome analyses reveals high inter-center variability. Int. J. Med. Microbiol. 2016, 306, 334–342. [Google Scholar] [CrossRef]
- Almuzam, S.; Howard-Jones, A.R.; Birke, O.; Doyle, H.; Kesson, A.M.; Marais, B.J. Subacute osteomyelitis caused by Fusobacterium nucleatum in a healthy child. J. Paediatr. Child Health 2021, 57, 2010–2011. [Google Scholar] [CrossRef]
- Beauchamp, R.D.; Cimolai, N. Osteomyelitis of the pelvis due to Fusobacterium nucleatum. Can. J. Surg. 1991, 34, 618–620. [Google Scholar]
- Beldman, T.F.J.; Teunisse, H.A.; Schouten, T.J. Septic arthritis of the hip by Fusobacterium necrophorum after tonsillectomy: A form of Lemierre syndrome? Eur. J. Pediatr. 1997, 156, 856–857. [Google Scholar] [CrossRef]
- Brook, I. Two cases of diskitis attributable to anaerobic bacteria in children. Pediatrics 2001, 107, E26. [Google Scholar] [CrossRef]
- Budd, E.; Johnson, D.S.; Thomas, E.; Sadarangani, M. Subacute osteomyelitis of the femur due to Fusobacterium Nucleatum in a 7-year-old boy. Pediatr. Infect. Dis. J. 2016, 34, 324–326. [Google Scholar] [CrossRef]
- Cubero, C.C.; Red, P.Z.; Maestrojuan, J.J.S.; Prieto, M.D.L. Artritis séptica por Fusobacterium nucleatum en paciente inmunocompetente. Reum. Clin. 2012, 8, 98–99. [Google Scholar] [CrossRef] [PubMed]
- Chen, K.W.K.; Chen, M.R.; Liu, S.C.; Chiu, N.C. Fusobacterium osteomyelitis of the femur in a patient with chronic hypoxemia due to pulmonary arteriovenous malformation: A case report. Pediatr. Neonatol. 2020, 61, 125–126. [Google Scholar] [CrossRef] [PubMed]
- Chryssagi, A.-M.; Brusselmans, C.B.; Rombouts, J.J. Septic arthritis of the hip due to Fusobacterium nucleatum. Clin. Rheumatol. 2001, 20, 229–231. [Google Scholar] [CrossRef]
- Clark, J.R.; Trautwein, L.M.; Campbell, J.R. An unusual cause of refusal to walk. Semin. Pediatr. Infect. Dis. 2003, 14, 257. [Google Scholar] [CrossRef]
- Dehority, W.; Leake, J.A. Fever, Hip Pain, and Headache in a 12-Year-Old Girl. Clin. Pediatr. 2008, 47, 962–965. [Google Scholar] [CrossRef]
- Dufillot, D.; Germaneau, J.; Taieb, A.; Fontan, D.; Guillard, J.M. Septicémie post-angineuse à Fusobacterium necrophorum chez un enfant de 7 ans. [Post-angina septicemia caused by Fusobacterium necrophorum in a 7-year-old child]. Arch. Fr. Pediatr. 1986, 43, 719–721. [Google Scholar]
- Epstein, M.; Pearson, A.D.; Hudson, S.J.; Bray, R.; Taylor, M.; Beesley, J. Necrobacillosis with pancytopenia. Arch. Dis. Child. 1992, 67, 958–959. [Google Scholar] [CrossRef]
- Goyal, M.; Sharma, R.; Jain, Y.; Gupta, A.; Berry, M. Unusual radiological manifestations of Lemierre’s syndrome: A case report. Pediatr. Radiol. 1995, 25, S105–S106. [Google Scholar] [CrossRef]
- Gröschel, D. Akute anaerobier-osteomyelitis nach extraktion von milchzähnen. [Acute anaerobes-osteomyelities following extraction of deciduous teeth]. ZWR 1972, 81, 488–489. [Google Scholar]
- Harris, T.; Ludwig, K.L. Fusobacterium necrophorum pelvic abscess in an adolescent male. J. Investig. Med. 2019, 39, 455. [Google Scholar] [CrossRef]
- Held, M.R.; Kotler, H.; Sneller, H.; Sullivan, C.B. Lemierre’s Syndrome Presenting as Multifocal Pyomyositis in a Young Child. Pediatr. Infect. Dis. J. 2018, 37, e142–e144. [Google Scholar] [CrossRef] [PubMed]
- Henry, S.; DeMaria, A.; McCabe, W.R. Bacteremia due to Fusobacterium species. Am. J. Med. 1983, 75, 225–231. [Google Scholar] [CrossRef] [PubMed]
- Klinge, L.; Vester, U.; Schaper, J.; Hoyer, P.F. Severe Fusobacteria infections (Lemierre syndrome) in two boys. Eur. J. Pediatr. 2002, 161, 616–618. [Google Scholar] [CrossRef]
- Koornstra, J.J.; Veenendaal, D.; A Bruyn, G.; de Graaf, H. Septic arthritis due to Fusobacterium nucleatum. Rheumatology 1998, 37, 1249. [Google Scholar] [CrossRef]
- Kroon, E.; Arents, N.A.; Halbertsma, F.J. Septic arthritis and osteomyelitis in a 10-year-old boy, caused by Fusobacterium nucleatum, diagnosed with PCR/16S ribosomal bacterial DNA amplification. BMJ Case Rep. 2012, 2012, bcr1220115335. [Google Scholar] [CrossRef]
- de la Hoz, J.A.; del Río, P.G.; García, M.d.M.B.; Artuch, N.M.; Martín, M.J.R. Osteomielitis por anaerobios. Una Entid. Poco Frec. Pediatr. 2021, 28, 309–311. [Google Scholar] [CrossRef]
- Luey, C.; Tooley, D.; Briggs, S. Emphysematous osteomyelitis: A case report and review of the literature. Int. J. Infect. Dis. 2012, 16, e216–e220. [Google Scholar] [CrossRef]
- Litterio, M.; Soto, A.; Aguirre, C.; Uranga, M.; Rubeglio, E. Lemierre’s syndrome: Case report in a pediatric patient. Anaerobe 2004, 10, 151–154. [Google Scholar] [CrossRef]
- Liu, A.C.; Argent, J.D. Necrobacillosis—A Resurgence? Clin. Radiol. 2002, 57, 332–338. [Google Scholar] [CrossRef]
- Lovse, L.J.; Coupal, S.A.; Tice, A.D.W.; Le Saux, N.; Carsen, S.P. Pediatric Acetabular Osteomyelitis Treated with Hip Arthroscopy. JAAOS Glob. Res. Rev. 2021, 5, e21.00011. [Google Scholar] [CrossRef]
- Masterson, T.; El-Hakim, H.; Magnus, K.; Robinson, J. A case of the otogenic variant of Lemierre’s syndrome with atypical sequelae and a review of pediatric literature. Int. J. Pediatr. Otorhinolaryngol. 2005, 69, 117–122. [Google Scholar] [CrossRef] [PubMed]
- Murray, S.J.; Lieberman, J.M. Fusobacterium osteomyelitis in a child with sickle cell disease. Pediatr. Infect. Dis. J. 2002, 21, 979–981. [Google Scholar] [CrossRef] [PubMed]
- Naylor, A.R.; Briggs, M.S.; Kegelmeyer, D.K.; Kloos, A.D. Rehabilitation and functional outcomes after extensive surgical debridement of a knee infected by fusobacterium necrophorum: A case report. Int. J. Sports Phys. Ther. 2013, 8, 311. [Google Scholar] [PubMed]
- Rojo-Martin, M.D.; Miranda, C.; Torres, E.; Sabalete, T.; Mazuelas, P. Septic arthritis caused by anaerobic bacteria. Clin. Microbiol. Infect. 2009, 15, S431. [Google Scholar] [CrossRef]
- Schubiner, H.; Letourneau, M.; Murray, D. Pyogenic Osteomyelitis Versus Pseudo-Osteomyelitis in Gaucher’s Disease. Clin. Pediatr. 1981, 20, 667–669. [Google Scholar] [CrossRef]
- Seidenfeld, S.M.; Sutker, W.L.; Luby, J.P. Fusobacterium necrophorum septicemia following oropharyngeal infection. JAMA 1982, 248, 1348–1350. [Google Scholar] [CrossRef]
- Sonsale, P.D.; Philipson, M.R.; Bowskill, J. Septic Arthritis of the Knee Due to Fusobacterium necrophorum. J. Clin. Microbiol. 2004, 42, 3369–3370. [Google Scholar] [CrossRef]
- Stahlman, G.C.; DeBoer, D.K.; Green, N.E. Fusobacterium Osteomyelitis and Pyarthrosis: A Classic Case of Lemierre’s Syndrome. J. Pediatr. Orthop. 1996, 16, 529–532. [Google Scholar] [CrossRef]
- Trapp, C.M.; Tamai, J.; Schleiss, M.R. Septic arthritis secondary to fusobacterium necrophorum in a 4-year-old girl: Case report and review of the literature. Pediatr. Infect. Dis. J. 2005, 24, 846–847. [Google Scholar] [CrossRef]
- Trutner, Z.; Hwang, R.; Bowen, R. Pediatric Septic Arthritis of the Knee due to Fusobacterium necrophorum in a Patient with Down Syndrome. J. Bone Jt. Surg. 2022, 12, e22. [Google Scholar] [CrossRef]
- Van Dyke, D.C.; Alexander, R.C.; Perlman, S.; Smith, W.J.; Dekowski, S.A. Fusiform Bacterial Sepsis. Clin. Pediatr. 1989, 28, 423–425. [Google Scholar] [CrossRef] [PubMed]
- Vogel, L.C.; Boyer, K.M. Metastatic Complications of Fusobacterium necrophorum Sepsis. Am. J. Dis. Child. 1980, 134, 356–358. [Google Scholar] [CrossRef] [PubMed]
- Gregory, S.W.; Boyce, T.G.; Larson, A.N.; Patel, R.; Jackson, M.A. Fusobacterium nucleatum Osteomyelitis in 3 Previously Healthy Children: A Case Series and Review of the Literature. J. Pediatr. Infect. Dis. Soc. 2015, 4, e155–e159. [Google Scholar] [CrossRef][Green Version]
- Rathore, M.H.; Barton, L.L.; Dunkle, L.M. The spectrum of fusobacterial infections in children. Pediatr. Infect. Dis. J. 1990, 9, 505–508. [Google Scholar] [CrossRef]
- Sabella, C.; Kuivila, T.; Andrish, J.; Hall, G.; Goldfarb, J. Fusobacterial Pyogenic Arthritis in Two School-Aged Children. Infect. Dis. Clin. Pr. 2001, 10, 445–447. [Google Scholar] [CrossRef]
- Abbati, G.; Abu Rumeileh, S.; Perrone, A.; Galli, L.; Resti, M.; Trapani, S. Pelvic Pyomyositis in Childhood: Clinical and Radiological Findings in a Tertiary Pediatric Center. Children 2022, 9, 685. [Google Scholar] [CrossRef]
- Reigosa, B.A.; López, I.M.C.; Marcos, E.S.; Galán-Olleros, M.; Olivier, M.S.; Gero, L.C.; García, R.J. Hospital at Home Program for the Treatment of Pediatric Osteoarticular Infections. Hosp. Pediatr. 2024, 14, 75–83. [Google Scholar] [CrossRef]
- Ballock, R.T.; Newton, P.O.; Evans, S.J.; Estabrook, M.; Farnsworth, C.L.; Bradley, J.S. A Comparison of Early Versus Late Conversion from Intravenous to Oral Therapy in the Treatment of Septic Arthritis. J. Pediatr. Orthop. 2009, 29, 636–642. [Google Scholar] [CrossRef]
- Brook, I. Msc Anaerobic osteomyelitis in children. Pediatr. Infect. Dis. J. 1986, 5, 550–556. [Google Scholar] [CrossRef]
- Brook, I. Aerobic and anaerobic microbiology of infections after trauma in children. Emerg. Med. J. 1998, 15, 162–167. [Google Scholar] [CrossRef]
- Filleron, A.; Laurens, M.E.; Marin, G.; Marchandin, H.; Prodhomme, O.; Alkar, F.; Godreuil, S.; Nagot, N.; Cottalorda, J.; L’kaissi, M.; et al. Short-course antibiotic treatment of bone and joint infections in children: A retrospective study at Montpellier University Hospital from 2009 to 2013. J. Antimicrob. Chemother. 2019, 74, 3579–3587. [Google Scholar] [CrossRef] [PubMed]
- Jagodzinski, N.A.; Kanwar, R.; Graham, K.; Bache, C.E. Prospective Evaluation of a Shortened Regimen of Treatment for Acute Osteomyelitis and Septic Arthritis in Children. J. Pediatr. Orthop. 2009, 29, 518–525. [Google Scholar] [CrossRef] [PubMed]
- Juchler, C.; Spyropoulou, V.; Wagner, N.; Merlini, L.; Dhouib, A.; Manzano, S.; Tabard-Fougère, A.; Samara, E.; Ceroni, D. The Contemporary Bacteriologic Epidemiology of Osteoarticular Infections in Children in Switzerland. J. Pediatr. 2018, 194, 190–196.e1. [Google Scholar] [CrossRef] [PubMed]
- Li, C.N.; Nakamura, M.M. Utility of Broad-Range PCR Sequencing for Infectious Diseases Clinical Decision Making: A Pediatric Center Experience. J. Clin. Microbiol. 2022, 60, e0243721. [Google Scholar] [CrossRef]
- Ogden, J.A.; Light, T.R. Pediatric osteomyelitis: III. anaerobic microorganisms. Clin. Orthop. Relat. Res. 1979, 145, 230–236. [Google Scholar] [CrossRef]
- Serrano, E.; Ferri, I.; Galli, L.; Chiappini, E. Amoxicillin-clavulanic acid empirical oral therapy for the management of children with acute haematogenous osteomyelitis. Antibiotics 2020, 9, 525. [Google Scholar] [CrossRef]
- Searns, J.B.; Robinson, C.C.; Wei, Q.; Yuan, J.; Hamilton, S.; Pretty, K.; Donaldson, N.; Parker, S.K.; Dominguez, S.R. Validation of a novel molecular diagnostic panel for pediatric musculoskeletal infections: Integration of the cepheid xpert MRSA/SA SSTI and laboratory-developed real-time PCR assays for clindamycin resistance genes and kingella kingae detection. J. Microbiol. Methods 2019, 156, 60–67. [Google Scholar] [CrossRef]
- Kimberlin, D.W.; Banerjee, R.; Barnett, E.D.; Lynfield, R.; Sawyer, M.H. (Eds.) Red Book: 2024–2027 Report of the Committee on Infectious Diseases: Fusobacterium Infections (Including Lemierre Syndrome); American Academy of Pediatrics: Itasca, IL, USA, 2024; pp. 388–390. [Google Scholar]
- Children’s Health Queensland Hospital and Health Service. Paediatric Bone and Joint Infection Management: Guideline. Available online: https://www.childrens.health.qld.gov.au/__data/assets/pdf_file/0029/176915/guide-paed-bone-jnt.pdf (accessed on 29 March 2025).
- Donaldson, N.; Sanders, J.; Child, J.; Parker, S. Acute Hematogenous bacterial osteoarticular infections in children. Pediatr. Rev. 2020, 41, 120–136. [Google Scholar] [CrossRef]
- Aldridge, K.E.; Ashcraft, D.; Cambre, K.; Pierson, C.L.; Jenkins, S.G.; Rosenblatt, J.E. Multicenter survey of the changing in vitro antimicrobial susceptibilities of clinical isolates of Bacteroides fragilis group, Prevotella, Fusobacterium, Porphyromonas, and Peptostreptococcus species. Antimicrob. Agents Chemother. 2001, 45, 1238–1243. [Google Scholar] [CrossRef]
- Appelbaum, P.C.; Spangler, S.K.; Jacobs, M.R. Beta-lactamase production and susceptibilities to amoxicillin, amoxicillin-clavulanate, ticarcillin, ticarcillin-clavulanate, cefoxitin, imipenem, and metronidazole of 320 non-Bacteroides fragilis Bacteroides isolates and 129 fusobacteria from 28 U.S. centers. Antimicrob. Agents Chemother. 1990, 34, 1546–1550. [Google Scholar] [CrossRef]
- Munn, Z.; Barker, T.H.; Moola, S.; Tufanaru, C.; Stern, C.; McArthur, A.; Stephenson, M.; Aromataris, E. Methodological quality of case series studies: An introduction to the JBI critical appraisal tool. JBI Evid. Synth. 2020, 18, 2127–2133. [Google Scholar] [CrossRef]
- Moola, S.; Munn, Z.; Tufanaru, C.; Aromataris, E.; Sears, K.; Sfetcu, R.; Currie, M.; Qureshi, R.; Mattis, P.; Lisy, K.; et al. Systematic reviews of etiology and risk. In JBI Manual for Evidence Synthesis; Aromataris, E., Munn, Z., Eds.; JBI: Miami, FL, USA, 2020. [Google Scholar]








| Criterion | Description |
|---|---|
| Population | Children ≤ 18 years with orthopaedically relevant fusobacterial infections |
| Intervention | Diagnostic measures, as well as orthopaedic surgical and antibiotic treatment |
| Comparison | None |
| Outcome | Presentation of the described cases, duration of the disease, and the consequences of the disease on the musculoskeletal system |
| Health Condition of Interest | Population | |
|---|---|---|
| I (#1) | II (#2) | (#3) |
| Fusobacteri * | arthritis | child * |
| Fusibacteri * | osteomyelitis | infant * |
| osteitis | paediatric | |
| joint infection | paediatric | |
| bone infection | ||
| osseous infection | ||
| abscess | ||
| empyema | ||
| Inclusion Criteria | Exclusion Criteria |
|---|---|
|
|
| Findings at the Initial Presentation | Patients with a Fusobacterium necrophorum Infection | Patients with a Fusobacterium nucleatum Infection | p-Value |
|---|---|---|---|
| Duration of symptoms until first presentation (days) | 9.3 ± 7.8 (n = 18) | 20.4 ± 12.0 (n = 14) | 0.005 |
| Sepsis | 53% (n = 19) | 0% (n = 17) | 0.014 |
| Fever | 100% (n = 19) | 47% (n = 15) | 0.010 |
| C-reactive protein (mg/L) | 202 ± 110 (n = 6) | 88 ± 63 (n = 11) | 0.007 |
| Erythrocyte sedimentation rate (mm/h) | 86 ± 40 (n = 8) | 51 ± 25 (n = 13) | 0.025 |
| Leucocyte count (109/L) | 15.4 ± 8.0 (n = 16) | 9.7 ± 3.0 (n = 13) | 0.025 |
| Additional lesions * | 61% (n = 18) | 0% (n = 15) | 0.0002 |
| Diagnostic Method | Patients with a Fusobacterium necrophorum Infection | Patients with a Fusobacterium nucleatum Infection | p-Value |
|---|---|---|---|
| Blood culture positive/negative (n *) | 10/3 | 0/6 | 0.0031 |
| Local tissue/fluid positive/negative (n *) | 13/1 | 14/2 | 0.582 |
| Polymerase chain reaction | Performed in 5 of 45 cases; positive for F. nucleatum in all cases | ||
| Antibiotic Group | Agent | Used for Intravenous Therapy (n) | Used for Oral Therapy (n) |
|---|---|---|---|
| Penicillins | Penicillin G | 12 | 3 |
| Amoxicillin | - | 7 | |
| Methicillin | 1 | - | |
| Nafcillin | 1 | - | |
| Nitroimidazoles | Metronidazole | 13 | 8 |
| Lincosamides | Clindamycin | 10 | 14 |
| Cephalosporins: | |||
| First-generation | Cefalotin and cefazolin | 1 each | - |
| Second generation | Cefuroxime and cefoxitin | 2 each | - |
| Third generation | Ceftriaxone, cefotaxime, and ceftazidime | 1 each | - |
| Cefdinir | - | 1 | |
| Carbapenems | Meropenem Imipenem | 6 2 | - - |
| Glycopeptides | Vancomycin | 5 | - |
| β-Lactam/β-lactamase inhibitor combinations | Amoxicillin-clavulanate Ticarcillin-clavulanate Ampicillin-sulbactam | 1 2 1 | - - - |
| Quinolones | Moxifloxacin Ciprofloxacin | 1 1 | 1 - |
| Aminoglycosides | Gentamycin | 1 | - |
| Amphenicols | Chloramphenicol | 1 | - |
| Sulfonamide | Sulfamethoxazole/trimethoprim | - | 1 |
Disclaimer/Publisher’s Note: The statements, opinions and data contained in all publications are solely those of the individual author(s) and contributor(s) and not of MDPI and/or the editor(s). MDPI and/or the editor(s) disclaim responsibility for any injury to people or property resulting from any ideas, methods, instructions or products referred to in the content. |
© 2025 by the authors. Licensee MDPI, Basel, Switzerland. This article is an open access article distributed under the terms and conditions of the Creative Commons Attribution (CC BY) license (https://creativecommons.org/licenses/by/4.0/).
Share and Cite
Delbrück, H.; Schröder, S.; Stapper, T.; Schacht, S.; Pappa, A.; Hildebrand, F.; Hertwig, M.K. Fusobacterium Species in Osteoarticular Infections in Childhood—A Systematic Review with Data Synthesis and a Case Series in the Acetabular and Hip Joint Regions. Infect. Dis. Rep. 2025, 17, 30. https://doi.org/10.3390/idr17020030
Delbrück H, Schröder S, Stapper T, Schacht S, Pappa A, Hildebrand F, Hertwig MK. Fusobacterium Species in Osteoarticular Infections in Childhood—A Systematic Review with Data Synthesis and a Case Series in the Acetabular and Hip Joint Regions. Infectious Disease Reports. 2025; 17(2):30. https://doi.org/10.3390/idr17020030
Chicago/Turabian StyleDelbrück, Heide, Silvia Schröder, Tom Stapper, Sabine Schacht, Angeliki Pappa, Frank Hildebrand, and Miriam Katharina Hertwig. 2025. "Fusobacterium Species in Osteoarticular Infections in Childhood—A Systematic Review with Data Synthesis and a Case Series in the Acetabular and Hip Joint Regions" Infectious Disease Reports 17, no. 2: 30. https://doi.org/10.3390/idr17020030
APA StyleDelbrück, H., Schröder, S., Stapper, T., Schacht, S., Pappa, A., Hildebrand, F., & Hertwig, M. K. (2025). Fusobacterium Species in Osteoarticular Infections in Childhood—A Systematic Review with Data Synthesis and a Case Series in the Acetabular and Hip Joint Regions. Infectious Disease Reports, 17(2), 30. https://doi.org/10.3390/idr17020030

