Abstract
Primary colorectal signet-ring-cell carcinoma of the colon and rectum (PSRCCR) is an extremely rare subtype of mucinous adenocarcinoma with a reported rate of less than 1%. This low rate is mainly because it is generally diagnosed at advanced stages. The most common stage at which it is diagnosed for the first time is III or IV, with a lower median survival than other histological subtypes. To diagnose PSRCCR of the colon, at least half of the tumor must be consistent with a signet-ring-cell pattern. This review aims to provide a comprehensive overview of PSRCCR by synthesizing the existing literature and clinical data. Our objective was to elucidate the clinical features, diagnostic challenges, histopathological characteristics, molecular alterations, treatment modalities, and prognostic factors associated with this carcinoma. Additionally, we highlighted the significance of early detection, accurate diagnosis, and personalized therapeutic approaches in improving outcomes for patients with this challenging malignancy. By presenting a case report on the topic, we aimed to enhance understanding among clinicians, pathologists, and researchers, ultimately contributing to optimized management strategies and improved patient care for PSRCCR.
1. Introduction
Colorectal cancer (CRC) remains the third most common cancer worldwide and the fourth most common cause of death related to cancer. Even though widely accepted screening programs, including tumor markers and colonoscopy, have helped in the decline of the overall incidence of colorectal cancer over the past few years, there are still many patients diagnosed at a later stage of the disease [].
The disease is more common in women than in men []. Overall, CRC has decreased by almost 3% each year. Still, the clinical data show that the incidence in patients over 50 years has increased by about 1.5–1.6% [,].
As the data in the literature are quite discordant about the pathological features, a study attempted to resolve the controversies by examining 34 cases of primary colorectal SRCC []. They found that different applied diagnostic criteria could explain the differences in the literature.
In the late 1990s, the World Health Organization developed a histological classification of colorectal cancers []. The following different subtypes were introduced—classical adenocarcinomas (ACs), which account for the large majority of cases; mucinous adenocarcinomas (MACs); signet-ring-cell carcinomas (SRCCs); and other less common types such as small-cell carcinoma, squamous-cell carcinoma, medullary carcinoma, undifferentiated carcinoma, and primary signet-ring-cell carcinoma of the colon and rectum (PSRCCR). The classification is presented in Figure 1.

Figure 1.
World Health Organization histological classification of colorectal carcinoma: carcinomas (incl. adenosquamous carcinoma, spindle-cell carcinoma, squamous-cell carcinoma, undifferentiated carcinoma, others), adenocarcinomas (i.e., tubular adenocarcinoma, papillary adenocarcinoma, serrated carcinoma, cribriform comedo-type carcinoma, medullary adenocarcinoma, micropapillary carcinoma), mucinous adenocarcinoma, mucinous adenocarcinoma with signet-ring cell, signet-ring-cell carcinoma (i.e., mucinous signet-ring-cell carcinoma, non-mucinous signet-ring-cell carcinoma). Adapted from WHO.
Patients with colorectal cancer exhibit symptoms of abdominal pain, rectal bleeding, weight loss, diarrhea, constipation, blood in the stool, cramping, weakness, episodes of vomiting, etc. [,]. In some cases, additional symptoms are also manifested, which are not characteristic of older patients [,,].
The histological classification complements the widely accepted TNM staging system, adding value to risk assessment and patient prognosis []. It is worth mentioning that colorectal carcinogenesis can occur via the serrated pathway and the adenoma-to-carcinoma sequence. Jass et al. [] identified serrated carcinomas in 1992, and the underlying genetic and epigenetic changes have since been characterized. It was shown that they contain mutations in BRAF, KRAS, PIK3CA, TP53, and APC, where microsatellite instability is also considered a crucial process in cancer development []. In addition to the genetic factors, the other factors involved are inflammation (such as inflammatory bowel disease), young age, and male sex []. No data are available for the association of PSRCCR with alcohol consumption and smoking, as there is an established connection between these risk factors and CRC. However, SRCCs represent a distinct entity in CRCs, among which PSRCCR is one of the rarest.
Our literature review used various databases to identify similar cases that have been published in the last 10 years. We focused on case reports and studies on signet-ring-cell carcinomas (SRCCs) and primary sigmoid ring cell carcinoma (PSRCCR). We aimed to gather the available literature on the problem, including clinical case reports, epidemiologic data, survival analyses, experimental studies, clinical features, prognostic factors, treatment outcomes, and challenges associated with this rare and aggressive form of colorectal cancer.
In addition, we examined in detail PSRCCR of the colon, a rare and aggressive subtype of colorectal cancer. By synthesizing the existing literature and clinical data and providing our experience in the field, our objective was to elucidate the clinical features, diagnostic challenges, histopathological characteristics, molecular alterations, treatment modalities, and prognostic factors associated with this carcinoma.
2. Literature Review on Signet-Ring-Cell Carcinoma (SRCC) and Primary Colorectal Signet-Ring-Cell Carcinoma (PSRCCR)
2.1. Search Strategy
To comprehensively review the topic, we employed an extensive search strategy using various databases, including PubMed, Medline, Scopus, Web of Science, and Google Scholar. Our search strategy aimed to identify the relevant literature on primary signet-ring-cell carcinoma (PSRCCR) in the colon and rectum, focusing on case reports, survival rates, and studies related to this rare and challenging form of colorectal cancer.
We combined medical subject headings (MeSHs) and free-text keywords to enhance the search’s comprehensiveness. The key terms included the following by using Boolean operators: [“primary signet-ring cell carcinoma” OR “PSRCCR” OR “colorectal cancer” OR “colorectal neoplasms” OR “colorectal tumors”] AND [“mucinous adenocarcinoma” OR “mucin-producing adenocarcinoma” OR “case report” OR “case study” OR “survival rate” OR “prognostic factors” OR “treatment outcomes”] AND [“literature review” OR “systematic review” OR “meta-analysis” OR “clinical review].
In addition to electronic searches, we manually scanned the reference lists of the retrieved articles and relevant review papers to identify any additional studies that may contribute valuable insights to our review. We confined our search from January 1900 to March 2024. This comprehensive search strategy aimed to gather a wide range of the literature, including clinical case reports, epidemiological data, survival analyses, and experimental studies related to PSRCCR, as well as clinical characteristics, prognostic factors, treatment outcomes, and challenges associated with this rare and aggressive form of colorectal cancer.
2.2. Epidemiology of PSRCCR
The PSRCCR tumor was first described in 1951, with an estimated total incidence of 0.1–2.4% [,,]. Therefore, according to the literature, colorectal signet-ring-cell carcinoma (SRCC) is uncommon. It comprises only 0.1–1% of all colorectal neoplasms, with no difference between Western and Eastern countries [,]. PSRCCR is a scarce variety of tumors with characteristically histologic features. The largest number of described cases of this type of neoplasia are adult patients [,,], with a mean age of 54.3 years at diagnosis. According to the literature, patients with poorly differentiated adenocarcinoma with intracellular mucin production (signet-ring-cell type) and mucinous adenocarcinomas metastasize primarily to the peritoneum and ovary (75 and 56% of metastatic cases, respectively) and rarely to the liver/lung. In contrast, colorectal adenocarcinoma without mucinous or signet-ring components mainly affects the liver/lungs and rarely the peritoneum/ovaries (12.5%) []. These patients usually have a dismal prognosis [,,], mainly because of delayed diagnosis. This is the case, particularly in our patient case described below.
Usually, the tumor is found in most patients in the right colon. At the time of primary diagnosis, the patients have already demonstrated more advanced clinical stages, lymphovascular invasion, and lymph node metastases [,]. Compared with signet-ring-cell carcinomas, mucinous adenocarcinomas were characterized by less frequent vascular invasion and lymph node metastasis [].
2.3. Histopathology
PSRCCR tumor cells typically contain mucin that pushes the nucleus to the periphery, giving the distinctive signet-ring morphology. The main group of SRCCs represents a highly malignant adenocarcinoma with an aggressive course of disease. The name of SRCC is related to the resemblance to signet rings, which result from the formation of large mucin vacuoles that displace the nucleus to the cell’s periphery. SRCC is defined by the presence of >50% of signet cells []. Macroscopically, the SRCC most often appears as a linitis plastica—a diffuse thickening of the bowel wall.
SRCC is commonly found in the stomach (95%) but can also be seen in the colon, rectum, ovary, peritoneum, breast, and gallbladder [,,]. More than 90% of colorectal carcinomas are adenocarcinomas originating from epithelial cells of the colorectal mucosa, followed by other rarer types of colorectal carcinomas, including neuroendocrine, squamous, adenosquamous, spindle cells, and undifferentiated carcinomas []. Classical adenocarcinoma is characterized by the formation of glands, which is the basis of the histological classification of the tumor. In well-differentiated adenocarcinoma > 90% of the tumor is composed of acinar (glandular) structures; in moderately differentiated adenocarcinoma, the acinar structures are in 50–90%, while poorly differentiated adenocarcinoma is mostly solid, and acinar structures are found <50% [,]. In practice, about 70% of colorectal adenocarcinomas are diagnosed primarily as moderately differentiated. Only 10 and 20% of cases are revealed to be well and poorly differentiated, respectively [].
In addition, establishing the diagnosis does not present a particular difficulty to pathologists; however, additional immunohistological (IHC) examination is required in a small part of cases. The IHC includes a panel of several antibodies, with positive expression detected in CK20, CDX2, MUC2, and MUC5AC, and negative expression for CK7. The epithelial marker CK20 is usually positive in colon adenocarcinomas, especially at an early stage, but is less sensitive for poorly differentiated colon carcinomas. In contrast, positive expression in mucinous colon adenocarcinomas is found in about 79% of cases [,,]. CDX2, also called caudal-related homeobox gene 2, caudal type homeobox transcription factor 2, is a specific marker of GI origin for adenocarcinomas and is less specific if the adenocarcinoma is poorly differentiated []. In line with this, MUC2 is an epithelial mucin expressed in intestinal goblet cells and airway epithelium. MUC5AC, also known as MUC5, in the majority of cases, is positive in mucinous adenocarcinomas of the ovary and diffuse-type gastric carcinomas (83%) [].
From this perspective, it is clear that these antibodies are not highly specific for SRCC of the colon, but they are positive for ordinary adenocarcinoma of the colon. This is precisely the reason why the diagnosis is placed based on the histological characteristics of the tumor. At the same time, IHC is used only in cases of metastases with an unclear primary focus.
2.4. Genetics
SRCC may be associated with genetic mutations in the CDH 1 gene, which is responsible for maintaining E-cadherin integrity []. Mutations in this gene cause a loss of cohesiveness of the epithelial lining of the transformed cells, increasing the chances of early metastasis. Specific molecular characteristics of the adenocarcinoma may help to stratify and select patients who might benefit from a certain therapy. Currently, there are only three therapeutically relevant, routinely tested biomarkers in adenocarcinoma (HER 2 expression, PDL1 expression, and deficient mismatch repair) [].
Other molecular signatures of SRCC are linked to an increased frequency of BRAF and CIMP (CpG island methylator phenotype) mutations, decreased expression of p16 and p53, and lower prevalence of KRAS and NRAS mutations []. However, the E-cadherin adhesion protein, which forms a compound with catenin proteins to preserve the polarity of epithelial cells, has been found to be substantially less expressed in SRCC. Because there is less expression of E-cadherin molecules, the cells have acquired motility, contributing to the invasive phenotype of SRCC [].
In this instance, no mutations in the KRAS, NRAS, or BRAF genes were found. The molecular underpinnings of colorectal SRCC and non-signet-ring conventional colorectal adenocarcinoma differ in that the former is typically richer in SRCC-specific genes that lead to epithelial–mesenchymal transition (EMT) and stem cell upregulation, which enhances the invasiveness of such tumors, according to a recent whole-exome and RNA sequencing study [].
Korphaisarn et al. demonstrated that SRCC contains specific molecular characteristics, including low KRAS, PIK3CA, and APC mutations []. However, more research into activation pathways and potential treatment targets is required, especially regarding its unique clinical features and association with early age of disease onset.
In Figure 2, we present the mechanism of cellular changes during the development of signet-ring-cell carcinoma of the stomach.

Figure 2.
Mechanism of signet-ring-cell carcinoma development in the gastrointestinal tract. MUC4 and ErbB2 interact and trigger an activation loop of ERBB2/ERBB3-MUC4-ERBB2/ERBB3. This signaling pathway becomes activated and has the potential to disrupt adherent junctions, resulting in the loss of cell–cell contacts. MUC4, mucin 4; ERBB2, human epidermal growth factor-like receptor 2; ERBB3, human epidermal growth factor-like receptor 3; PI3K, phosphatidylinositol 3-kinase; p38 MAP, p38 mitogen-activated protein kinases; RAC1, Rac family small GTPase 1. The image was created with BioRender (https://biorender.com/ accessed on 25 July 2024).
2.5. Diagnosis
The diagnostic methods for signet-ring colorectal cancer are those used for conventional adenocarcinomas, with upper or lower gastrointestinal endoscopy, barium enema, and computed tomography []. The above methods may be helpful in differentiating SRCC from Crohn’s disease. Texture analysis is a novel method assessing the heterogeneity in the acquired CT images and may be valuable as a new non-invasive imaging biomarker. Until now, this type of analysis has been applied in various tumors, including colorectal cancer and lung cancer, as a promising tool for tumor treatment response and disease prognosis evaluation []. The described method analyzes the distribution and relationship of voxel gray levels, which accounts for tumor heterogeneity. A study compared the CT imaging texture features between patients with SRCC and adenocarcinoma and found promising data that may be used as a foundation for future research []. Importantly, due to its advanced and aggressive course of disease, the first manifestation of SRCC may be an emergent laparotomy if the tumor obstructs the bowels and causes an acute surgical abdomen [].
Weng et al., in their experience of 18 patients with PSRCCR identified from among 11,515 patients with CRC, revealed that most patients with non-SRCC CRC were diagnosed by colonoscopy. In contrast, over one-third of patients with PSRCCR were diagnosed with either surgery or non-colon site biopsy (p < 0.001) []. Furthermore, patients with PSRCCR had higher levels of CEA and lower levels of albumin than patients with non-SRCC [].
PSRCCR is usually associated with higher lymphovascular invasion, distant metastases, and more malignant biological behavior than ordinary colorectal adenocarcinoma. Meanwhile, signet-ring-cell carcinoma strongly predicts poor overall survival. All studies reported that delayed diagnosis reflects the poor outcomes of the patients along with poor prognosis. Compared to non-SRCC colorectal cancer, signet-cell adenocarcinoma occurs at a younger age []. According to the literature, patients with SRCC were more frequently diagnosed at an advanced stage (75.2–91%) [] than patients with colon adenocarcinoma (43.6–48%) and, therefore, had a poorer prognosis.
Interestingly, despite the advanced technology methods and detailed diagnostic workup, often, the primary site of origin for about 3–5% of metastatic tumors could not be determined. The most commonly reported metastasis of unknown primary origin is with characteristics of adenocarcinoma [].
2.6. Clinical Course and Prognosis
PSRCCR has an aggressive course, and most cases are diagnosed at advanced stages. The symptoms of SRCC may include but are not limited to body weight loss, changes in the rhythm and consistency of defecation, abdominal or lower back pain, and bloody stool []. Unfortunately, symptoms usually appear at a late stage. This underlines the importance of the accurate diagnosis of the specific type of colorectal cancer and patients’ risk stratification.
A study assessing the long-term clinical outcomes of patients with colorectal cancer reports a worse five-year survival for SRCC (58.1%) than for mucinous or adenocarcinoma []. Furthermore, when evaluating outcomes based on tumor location, SRCC subtypes located in the colon had significantly better survival than those in the rectum.
In their analysis, Makino et al., who included 154 patients, revealed that the 5-year survival rate of patients with T2 disease was 75.0%. In contrast, patients with T3 or T4 had 5.1% and 0% survival rates, respectively []. In addition, Sung et al. reported that a higher TNM stage and the T4 stage are independent predictors of poor outcomes. Their observations strongly suggest that pathologists should document the percentage of signet-ring-cell components in colorectal mucinous adenocarcinomas. This is because of the biological behavior of signet-ring-cell adenocarcinomas, which differs from that of pure mucinous adenocarcinoma without signet-ring-cell components [].
Weng et al. demonstrated that poor differentiation grade, lymphovascular invasion, advanced cancer stage, high CEA level, and histological SRCC subtype were all linked to higher death rates (all p < 0.05) in the univariable analysis of overall survival in all patients with CRC []. The results of an additional multivariate analysis using an adjusted Cox proportional hazard model showed that the histological SRCC subtype (HR, 8.333; 95% CI, 1.42–50; p = 0.005) and CEA level (HR, 1.003; 95% CI, 1.000–1.005; p = 0.03) were independent predictors of overall survival []. Weng et al. [] also confirmed the poor survival rate estimated by other authors. Patients with PSRCCR had an estimated survival time of 26.9 months, significantly less than those without SRCC (162.7 months). Using the Cox proportional hazard regression model, the SRCC subtype and high CEA were found to be independent predictors of overall survival. Patients with PSRCCR were more likely to experience lymphovascular invasion, poorly differentiated carcinoma, invasion of the visceral peritoneum, lymph node, and distant metastases as compared to those without SRCC [].
This suggested that PSRCCR was acting in a more hostile manner. The study conducted by Huang et al. [] found that patients under the age of 35 had worse cancer-specific survival rate than those above the age of 35. The 5-year cancer-specific survival rates for these patient groups were 31.1% and 54.9%, respectively. Five of the eighteen patients in their series had an age below 35. In this cohort, the average survival duration was 20.6 months. There was no discernible difference in the survival time between these two groups. However, due to the small number of cases, care should be taken when interpreting the data [].
2.7. Treatment Approaches
As for the therapeutic approach, surgical excision of the tumor formation is almost always recommended at different therapeutic stages. When SRCC is diagnosed, radical surgical resection and systemic preoperative radiotherapeutic treatment should be performed []. The most commonly used technique is right hemicolectomy, which involves resectioning the primary tumor and removing the regional lymph nodes.
Poor prognosis after radical surgery for colorectal SRCC remains a significant clinical problem when compared with the prognosis after resection for adenocarcinoma. A retrospective study of 22 patients with signet-ring colorectal carcinoma reports mean overall survival and mean progression-free survival times to be 33.3 ± 7.1 months (95% CI, 19.4–47.2 months) and 11.8 ± 3.5 months (95% CI, 4.9–18.7 months) for curative and palliative resections, respectively [].
Even with the advances in current chemotherapy and targeted therapy, these therapies appear to have a limited effect in improving the survival of patients with PSRCCR [].
2.8. Pharmacological Treatments
The treatment for PSRCCR mainly involves surgical resection, neoadjuvant radiotherapy, and adjuvant radio-chemotherapy [].
Cetuximab and bevacizumab were prescribed as target therapies for PSRCCR, with bevacizumab administered to all patients with non-SRCC CRC. Patients with non-SRCC had a better outcome than patients with PSRCCR, regardless of the specific therapy chosen. However, target therapy, whether treated or untreated, did not increase the overall survival of patients with PSRCCR []. Therefore, for patients with PSRCCR, novel therapy, such as chemotherapy or target therapy, remains an unmet need [].
A comprehensive table of published similar cases follows (Table 1).

Table 1.
Case reports describing signet-ring-cell carcinomas (SRCCs).
3. Case Presentation
The presented case concerns a 69-year-old woman with an uneventful previous medical history. The background of the patient and her parental and sibling histories were unavailable. She was admitted to the surgery department with progressive pains in the abdomen, accompanied by nausea and general weakness, which started a few days prior to her visit.
Physical examination revealed a blood pressure of 150/90 mm Hg and a heart rate of 108 beats per minute. The Blumberg sign was found to be positive. Blood test examinations showed leukocytosis and low hemoglobin levels. Native X-ray of the abdominal area showed no evidence of air–fluid levels of free gas under the diaphragm domes. Emergency surgery was performed because of acute appendicitis, and the acute abdomen was clinically suspected. The subsequent operation detected irregular thickening of the cecum with complete obstruction of the colon and pericecal fat infiltration. A right hemicolectomy with lymphadenectomy was performed.
Histological analysis of the resected tissues was performed using the automatic tissue processor “DIAPATHEN ISO 9001:2000”, and 4–5 μm formalin-fixed, paraffin-embedded tissue sections underwent routine staining with hematoxylin–eosin (H&E). A complete morphological examination of the material revealed, in over 50% of the tumor population, a diffuse tissue proliferation of signet-ring cells with intracellular mucin that displaced the nucleus to the periphery. Pools of extracellular mucin were present in the remainder of the tumor tissue. The tumor invaded the lymphatic vessels and the visceral peritoneum. These histological features give grounds for establishing the diagnosis of invasive, poorly differentiated PSRCCR of the ileocecal junction stage pT4a, N1, M0 (AJCC 7th edition TNM classification).
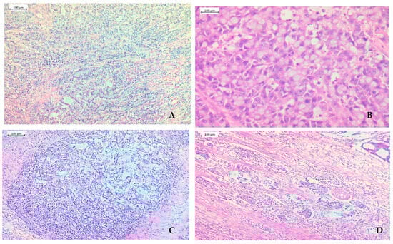
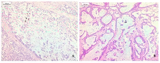
In Figure 3, we present the histological imaging of the patient, visualizing the poorly differentiated colorectal adenocarcinoma, where the signet-ring-cell pattern is presented in more than 50% of the tumors with multiple lymphatic embolisms. Additional histological images of the poorly differentiated signet-ring-cell carcinoma of the colon with abundant extracellular mucin are seen in Figure 4.

Figure 3.
Poorly differentiated colorectal adenocarcinoma. The signet-ring-cell pattern is visualized in more than 50% of the tumors (A–D). A well-expressed stromal immune reaction composed of rich lymphocyte infiltration is clearly visible in all slides. Additionally, multiple lymphatic embolisms were observed (D). H&E, ×100.

Figure 4.
Poorly differentiated signet-ring-cell carcinoma of the colon with mucinous adenocarcinoma (A) with abundant extracellular mucin comprising less than 30%, with strips of epithelial cells that seem to float in the mucin (B). H&E, ×100.
Our patient presented with no typical CRC symptoms, such as blood in stools, unintentional weight loss, and changes in bowel habits [], but severe abdominal pain and general weakness. Additionally, our case and a few other cases of SRCC did not adopt the usual presentation of CRC and instead mainly involved episodes of general weakness and abdominal pain [,,]. Our patient was also not a young adult, being diagnosed with SRCC at the age of 69. The patient did not undergo extended examination, such as a CT colonoscopy with biopsy at the time of hospital admission, due to the emergency and need for surgery (for acute appendicitis). After the appendectomy and surgical resection of the tumor, the patient recovered well and underwent one course of adjunct chemotherapy as per recommendations according to the improvement of survival rate and did not manage to take more standard-for-the-condition chemotherapeutic regimens [] on account of being deceased.
4. Discussion
Our case of PSRCCR of the ileocecal junction in a 69-year-old woman, stage pT4a, N1, M0 (AJCC 7th edition TNM classification) demonstrated that, when neoplasia with a morphological feature of signet-ring-cell carcinoma is detected, clinical and/or immunohistochemical exclusion of the possibility of metastatic spread of the primary tumor in the stomach is mandatory.
The therapeutic landscape for PSRCCR in the colorectum faces several constraints that limit the effectiveness and availability of treatments. One major constraint is the aggressive nature and rarity of PSRCCR, making it difficult to develop standardized treatment protocols []. The heterogeneity of the disease, with its varying degrees of progression and response to treatment, necessitates personalized treatment regimens that are not always feasible with current therapies. Additionally, the long-term safety and efficacy of many chemotherapeutic and targeted agents remain uncertain, constraining their widespread use []. Financial constraints also play a significant role, as advanced therapies, including novel targeted treatments and immunotherapies, are often prohibitively expensive, limiting access for many patients.
Additionally, several challenges hinder the effective management of PSRCCRs. Early and accurate diagnosis is a primary challenge, as symptoms such as abdominal pain, weight loss, and bowel changes are non-specific and can overlap with other conditions, leading to a delayed diagnosis or a misdiagnosis []. Another significant challenge is the limited availability of effective biomarkers for predicting disease progression and treatment response, complicating clinical decision-making. The side effects and potential toxicities associated with the long-term use of aggressive chemotherapy regimens pose additional challenges, requiring careful monitoring and often leading to the discontinuation of treatment []. Furthermore, the complexity of conducting large-scale, multicenter clinical trials in a relatively rare and aggressive disease like PSRCCR limits the generation of robust clinical evidence to guide treatment protocols.
And, finally, despite these constraints and challenges, the prospects for managing PSRCCR appear promising. Molecular and genetic research advances are paving the way for personalized-medicine approaches, which could tailor treatments based on individual patient profiles, improving efficacy and reducing adverse effects [,]. The development of novel targeted agents and immunotherapies that specifically address the unique biological characteristics of PSRCCR holds the potential for more effective interventions. Additionally, ongoing research into biomarkers for early detection and disease monitoring is expected to enhance early diagnosis and improve treatment outcomes. Integrating advanced imaging techniques and artificial intelligence in clinical practice could further refine diagnostic accuracy and treatment planning. With continued investment in research and innovation, there is hope for significantly improved therapeutic strategies and patient outcomes in the near future.
5. Conclusions
In conclusion, PSRCCR represents a formidable challenge in colorectal oncology due to its aggressive nature and diagnostic complexities. Despite advancements in treatment modalities, the prognosis remains poor, necessitating further research into novel therapeutic approaches and prognostic markers. Early detection, accurate histopathological diagnosis, and multidisciplinary management are paramount in optimizing patient outcomes. Additionally, collaborative efforts in genetic profiling and targeted therapy development hold promise for improving survival rates and quality of life for individuals afflicted with this rare malignancy. Continued research endeavors and clinical vigilance are imperative to address the unmet needs of patients with this carcinoma.
We also emphasize that PSRCCR adenocarcinoma of the colon is an independent, rare type of colorectal cancer with highly aggressive biological behavior regardless of the clinical stage at presentation. Early diagnosis and personalized therapy are the only way to achieve a favorable prognosis.
Author Contributions
Conceptualization, M.G. and D.D.; methodology, M.G.; software, D.M.; validation, D.D. and T.V.; formal analysis, M.G.; investigation, D.M.; resources, N.M.; data curation, D.M.; writing—original draft preparation, M.G., N.M., and T.V.; writing—review and editing, T.V. and D.D.; visualization, M.G.; supervision, T.V.; project administration, T.V.; funding acquisition, T.V. All authors have read and agreed to the published version of the manuscript.
Funding
This study is financed by the European Union—NextGenerationEU, through the National Recovery and Resilience Plan of the Republic of Bulgaria, project No. BG-RRP-2.004-0008.
Institutional Review Board Statement
The case report was described in accordance with the Declaration of Helsinki and approved by the Ethics Committee of the University of Plovdiv, Department of General and Clinical Pathology, with protocol No. 67/16.12.2022.
Informed Consent Statement
Informed consent was obtained from the subject involved in this study. None of the provided details of the patient could lead to the identification of the patient.
Data Availability Statement
Data are available if required.
Conflicts of Interest
The authors declare no conflicts of interest. The funders had no role in the design of the study; in the collection, analyses, or interpretation of data; in the writing of the manuscript; or in the decision to publish the results.
References
- Laufman, H.; Saphir, O. Primary linitis plastica type of carcinoma of the colon. AMA Arch. Surg. 1951, 62, 79–91. [Google Scholar] [CrossRef] [PubMed]
- She, K.M.; Wang, H.M.; Chen, J.B.; Chou, D.S.; Mar, H.F.; Chen, C.C.; Chiang, F.F.; Chen, M.C.; Chen, Y.H. Colorectal cancer in younger than 30 years old group is not associated with poor prognosis. J. Soc. Colon Rectal Surg. 2011, 22, 93–98. [Google Scholar]
- Wang, R.; Wang, M.J.; Ping, J. Clinicopathological features and survival outcomes of colorectal cancer in young versus elderly: A population-based cohort study of SEER 9 registries data (1988–2011). Medicine 2015, 94, e1402. [Google Scholar] [CrossRef] [PubMed]
- Menon, G.; Recio-Boiles, A.; Lotfollahzadeh, S.; Cagir, B. Colon Cancer. In StatPearls; StatPearls Publishing: Treasure Island, FL, USA, 2024. Available online: https://www.ncbi.nlm.nih.gov/books/NBK470380 (accessed on 25 July 2024).
- Messerini, L.; Palomba, A.; Zampi, G. Primary signet-ring cell carcinoma of the colon and rectum. Dis. Colon Rectum 1995, 38, 1189–1192. [Google Scholar] [CrossRef] [PubMed]
- Morson, B.C. International histological classification of tumours. In Histological Typing of Intestinal Tumours; World Health Organization: Geneva, Switzerland, 1976. [Google Scholar]
- Holtedahl, K.; Borgquist, L.; Donker, G.A.; Buntinx, F.; Weller, D.; Campbell, C.; Månsson, J.; Hammersley, V.; Braaten, T.; Parajuli, R. Symptoms and signs of colorectal cancer, with differences between proximal and distal colon cancer: A prospective cohort study of diagnostic accuracy in primary care. BMC Fam. Pract. 2021, 22, 148. [Google Scholar] [CrossRef] [PubMed] [PubMed Central]
- Duan, B.; Zhao, Y.; Bai, J.; Wang, J.; Duan, X.; Luo, X.; Zhang, R.; Pu, Y.; Kou, M.; Lei, J.; et al. Colorectal Cancer: An Overview. In Gastrointestinal Cancers; Morgado-Diaz, J.A., Ed.; Exon Publications: Brisbane, Australia, 2022. Available online: https://www.ncbi.nlm.nih.gov/books/NBK586003/ (accessed on 25 July 2024).
- Richer, V.; Bouffard, D.; Provost, N. Signet-ring cell colon cancer in a 19-year-old patient with giant congenital cellular blue nevus of the scalp. Int. J. Dermatol. 2013, 52, 1021–1023. [Google Scholar] [CrossRef] [PubMed]
- Prabhu, R.; Kumar, N.; Krishna, S.; Shenoy, R. Primary colonic signet ring cell carcinoma in a young patient. Case Rep. 2014, 2014, bcr2013200587. [Google Scholar] [CrossRef] [PubMed]
- Khan, M.; Korphaisarn, K.; Saif, A.; Foo, W.C.; Kopetz, S. Early-onset signet-ring cell adenocarcinoma of the colon: A case report and review of the literature. Case Rep. Oncol. Med. 2017, 2017, 2832180. [Google Scholar] [CrossRef] [PubMed]
- Verhulst, J.; Ferdinande, L.; Demetter, P.; Ceelen, W. Mucinous subtype as prognostic factor in colorectal cancer: A systematic review and meta-analysis. J. Clin. Pathol. 2012, 65, 381–388. [Google Scholar] [CrossRef] [PubMed]
- Jass, J.R.; Smith, M. Sialic acid and epithelial differentiation in colorectal polyps and cance—A morphological, mucin and lectin histochemical study. Pathology 1992, 24, 233–242. [Google Scholar] [CrossRef]
- Peruhova, M.; Peshevska-Sekulovska, M.; Krastev, B.; Panayotova, G.; Georgieva, V.; Konakchieva, R.; Nikolaev, G.; Velikova, T.V. What could microRNA expression tell us more about colorectal serrated pathway carcinogenesis? World J. Gastroenterol. 2020, 26, 6556–6571. [Google Scholar] [CrossRef] [PubMed] [PubMed Central]
- Nuytens, F.; Drubay, V.; Eveno, C.; Renaud, F.; Piessen, G. Systematic review of risk factors, prognosis, and management of colorectal signet-ring cell carcinoma. World J. Gastrointest. Oncol. 2024, 16, 2141–2158. [Google Scholar] [CrossRef] [PubMed]
- Mora-Guzmán, I.; Di Martino, M.; Muñoz de Nova, J.L.; Viamontes Ugalde, F.E.; Rodríguez Sánchez, A. Primary signet ring cell carcinoma of the colon: A rare condition with a poor prognosis. A report on two cases. Rev. Gastroenterol. Mex. 2018, 83, 358–360. [Google Scholar] [CrossRef] [PubMed]
- Benedix, F.; Kuester, D.; Meyer, F.; Lippert, H. Einfluss des muzinösen und siegelringzelligen Subtyps auf epidemiologische, histologische und molekularbiologische Eigenschaften sowie auf die Prognose des kolorektalen Karzinoms [Influence of mucinous and signet-ring cell differentiation on epidemiological, histological, molecular biological features, and outcome in patients with colorectal carcinoma]. Zentralbl Chir. 2013, 138, 427–433. [Google Scholar] [CrossRef] [PubMed]
- Stanley, R.H. World Health Organization Classification of Tumours. Pathology and Genetics of Tumours of the Digestive System; IARC Press: Lyon, France, 2000. [Google Scholar]
- Pozos-Ochoa, L.I.; Lino-Silva, L.S.; León-Takahashi, A.M.; Salcedo-Hernández, R.A. Prognosis of Signet Ring Cell Carcinoma of the Colon and Rectum and their Distinction of Mucinous Adenocarcinoma with Signet Ring Cells. A Comparative Study. Pathol. Oncol. Res. 2018, 24, 609–616. [Google Scholar] [CrossRef] [PubMed]
- Matkovčík, Z.; Hlad, J. Kolorektální karcinom z prstenčitých buněk—Kazuistika [Signet ring cell colorectalarcinomam—Case report]. Rozhl. Chir. 2015, 94, 333–336. [Google Scholar] [PubMed]
- Makino, T.; Tsujinaka, T.; Mishima, H.; Ikenaga, M.; Sawamura, T.; Nakamori, S.; Fujitani, K.; Hirao, M.; Kashiwazaki, M.; Masuda, N.; et al. Primary signet-ring cell carcinoma of the colon and rectum: Report of eight cases and review of 154 Japanese cases. Hepatogastroenterology 2006, 53, 845–849. [Google Scholar] [PubMed]
- Pande, R.; Sunga, A.; LeVea, C.; Wilding, G.E.; Bshara, W.; Reid, M.; Fakih, M.G. Significance of Signet-Ring Cells in Patients with Colorectal Cancer. Dis. Colon Rectum 2008, 51, 50–55. [Google Scholar] [CrossRef]
- Belli, S.; Aytac, H.O.; Karagulle, E.; Yabanoglu, H.; Kayaselcuk, F.; Yildirim, S. Outcomes of surgical treatment of primary signet ring cell carcinoma of the colon and rectum: 22 cases reviewed with literature. Int. Surg. 2014, 99, 691–698. [Google Scholar] [CrossRef] [PubMed] [PubMed Central]
- Thota, R.; Fang, X.; Subbiah, S. Clinicopathological features and survival outcomes of primary signet ring cell and mucinous adenocarcinoma of colon: Retrospective analysis of VACCR database. J. Gastrointest. Oncol. 2014, 5, 18–24. [Google Scholar] [CrossRef] [PubMed] [PubMed Central]
- Sung, C.O.; Seo, J.W.; Kim, K.M.; Do, I.G.; Kim, S.W.; Park, C.K. Clinical significance of signet-ring cells in colorectal mucinous adenocarcinoma. Mod. Pathol. 2008, 21, 1533–1541. [Google Scholar] [CrossRef] [PubMed]
- Sim, H.L.; Tan, K.Y.; Poon, P.L.; Cheng, A. Primary rectal signet ring cell carcinoma with peritoneal dissemination and gastric secondaries. World J. Gastroenterol. 2008, 14, 2118–2120. [Google Scholar] [CrossRef] [PubMed] [PubMed Central]
- Hamilton, S.R.; Bosman, F.T.; Boffetta, P.; Ilyas, M.; Morreau; Nakamura, S.I. Carcinoma of the colon and rectum. In WHO Classification of Tumours of the Digestive System; Bosman, F.T., Carneiro, F., Hruban, R.H., Theise, N.D., Eds.; IARC Press: Lyon, France, 2010; pp. 134–146. [Google Scholar]
- Fleming, M.; Ravula, S.; Tatishchev, S.F.; Wang, H.L. Colorectal carcinoma: Pathologic aspects. J. Gastrointest. Oncol. 2012, 3, 153–173. [Google Scholar] [CrossRef] [PubMed] [PubMed Central]
- Wu, C.Y.; Lee, W.H.; Wang, J.Y.; Chiang, H.; Chang, J.L.; Tsai, W.C.; Sheu, L.F.; Jin, J.S. Tissue microarray-determined expression profiles of cyclooxygenase-2 in colorectal adenocarcinoma: Association with clinicopathological parameters. Chin. J. Physiol. 2006, 49, 298–304. [Google Scholar] [PubMed]
- Vang, R.; Gown, A.M.; Barry, T.S.; Wheeler, D.T.; Yemelyanova, A.; Seidman, J.D.; Ronnett, B.M. Cytokeratins 7 and 20 in primary and secondary mucinous tumors of the ovary: Analysis of coordinate immunohistochemical expression profiles and staining distribution in 179 cases. Am. J. Surg. Pathol. 2006, 30, 1130–1139. [Google Scholar] [CrossRef] [PubMed]
- Hernandez, B.Y.; Frierson, H.F.; Moskaluk, C.A.; Li, Y.J.; Clegg, L.; Cote, T.R.; McCusker, M.E.; Hankey, B.F.; Edwards, B.K.; Goodman, M.T. CK20 and CK7 protein expression in colorectal cancer: Demonstration of the utility of a population-based tissue microarray. Hum. Pathol. 2005, 36, 275–281. [Google Scholar] [CrossRef] [PubMed]
- Werling, R.W.; Yaziji, H.; Bacchi, C.E.; Gown, A.M. CDX2, a highly sensitive and specific marker of adenocarcinoma of intestinal origin, is an immunohistochemical survey of 476 primary and metastatic carcinomas. Am. J. Surg. Pathol. 2003, 27, 303–310. [Google Scholar] [CrossRef] [PubMed]
- Huang, A.; Yang, Y.; Shi, J.Y.; Li, Y.K.; Xu, J.X.; Cheng, Y.; Gu, J. Mucinous adenocarcinoma: A unique clinicopathological subtype in colorectal cancer. World J. Gastrointest. Surg. 2021, 13, 1567–1583. [Google Scholar] [CrossRef] [PubMed] [PubMed Central]
- Pernot, S.; Voron, T.; Perkins, G.; Lagorce-Pages, C.; Berger, A.; Taieb, J. Signet-ring cell carcinoma of the stomach: Impact on prognosis and specific therapeutic challenge. World J. Gastroenterol. 2015, 21, 11428–11438. [Google Scholar] [CrossRef] [PubMed] [PubMed Central]
- Choi, S.; Park, S.; Kim, H.; Kang, S.Y.; Ahn, S.; Kim, K.M. Gastric Cancer: Mechanisms, Biomarkers, and Therapeutic Approaches. Biomedicines 2022, 10, 543. [Google Scholar] [CrossRef] [PubMed] [PubMed Central]
- Gopalan, V.; Smith, R.A.; Ho, Y.H.; Lam, A.K.Y. Signet-ring cell carcinoma of colorectum—Current perspectives and molecular biology. Int. J. Color. Dis. 2011, 26, 127–133. [Google Scholar] [CrossRef] [PubMed]
- Kim, H.C.; Kim, H.J.; Kim, J.C. Reduced E-cadherin expression as a cause of distinctive signet-ring cell variant in colorectal carcinoma. J. Korean Med. Sci. 2002, 17, 23–28. [Google Scholar] [CrossRef] [PubMed]
- Nam, J.Y.; Oh, B.Y.; Hong, H.K.; Bae, J.S.; Kim, T.W.; Ha, S.Y.; Park, D.; Lee, W.Y.; Kim, H.C.; Yun, S.H.; et al. Molecular characterization of colorectal signet-ring cell carcinoma using whole-exome and RNA sequencing. Transl. Oncol. 2018, 11, 836–844. [Google Scholar] [CrossRef] [PubMed]
- Korphaisarn, K.; Morris, V.; Davis, J.S.; Overman, M.J.; Fogelman, D.R.; Kee, B.K.; Dasari, A.; Raghav, K.P.; Shureiqi, I.; Trupti, M.; et al. Signet ring cell colorectal cancer: Genomic insights into a rare subpopulation of colorectal adenocarcinoma. Br. J. Cancer 2019, 121, 505–510. [Google Scholar] [CrossRef] [PubMed]
- Zhang, H.; Graham, C.M.; Elci, O.; Griswold, M.E.; Zhang, X.; Khan, M.A.; Pitman, K.; Caudell, J.J.; Hamilton, R.D.; Ganeshan, B.; et al. Locally advanced squamous cell carcinoma of the head and neck: CT texture and histogram analysis allow independent prediction of overall survival in patients treated with induction chemotherapy. Radiology 2013, 269, 801–809. [Google Scholar] [CrossRef] [PubMed]
- Yue, Y.; Hu, F.; Hu, T.; Sun, Y.; Tong, T.; Gu, Y. Three-Dimensional CT Texture Analysis to Differentiate Colorectal Signet-Ring Cell Carcinoma and Adenocarcinoma. Cancer Manag. Res. 2019, 11, 10445–10453. [Google Scholar] [CrossRef] [PubMed] [PubMed Central]
- Siqueira, M.A.; Hayashi, T.; Yoshinaga, K.; Saisho, S.; Utsunomiya, J.; Sugihara, K. Colon cancer in a 14-year-old female with turner syndrome: Report of a case. Dis. Colon Rectum 2003, 46, 1560–1562. [Google Scholar] [CrossRef] [PubMed]
- Weng, M.T.; Chao, K.H.; Tung, C.C.; Chang, H.C.; Shih, I.L.; Lin, B.R.; Shieh, M.J.; Shun, C.T.; Wong, J.M.; Wei, S.C. Characteristics of primary signet ring cell carcinoma of colon and rectum: A case control study. BMC Gastroenterol. 2022, 22, 173. [Google Scholar] [CrossRef] [PubMed]
- Kang, H.; Connell, J.B.; Maggard, M.A.; Sack, J.; Ko, C.Y. A 10-year outcomes evaluation of mucinous and signet-ring cell carcinoma of the colon and rectum. Dis. Colon Rectum 2005, 48, 1161–1168. [Google Scholar] [CrossRef] [PubMed]
- Nitsche, U.; Zimmermann, A.; Späth, C.; Müller, T.; Maak, M.; Schuster, T.; Slotta-Huspenina, J.; Käser, S.A.; Michalski, C.W.; Janssen, K.P.; et al. Mucinous and signet-ring cell colorectal cancers differ from classical adenocarcinomas in tumor biology and prognosis. Ann. Surg. 2013, 258, 775–782. [Google Scholar] [CrossRef] [PubMed] [PubMed Central]
- Al-Taee, A.; Almukhtar, R.; Lai, J.; Jallad, B. Metastatic signet ring cell carcinoma of unknown primary origin: A case report and review of the literature. Ann. Transl. Med. 2016, 4, 283. [Google Scholar] [CrossRef] [PubMed] [PubMed Central]
- Tung, S.Y.; Wu, C.S.; Chen, P.C. Primary signet ring cell carcinoma of colorectum: An age- and sex-matched controlled study. Am. J. Gastroenterol. 1996, 91, 2195–2199. [Google Scholar] [PubMed]
- Huang, B.; Ni, M.; Chen, C.; Feng, Y.; Cai, S. Younger age is associated with poorer survival in patients with signet-ring cell carcinoma of the colon without distant metastasis. Gastroenterol. Res. Pract. 2016, 2016, 2913493. [Google Scholar] [CrossRef] [PubMed]
- Hyngstrom, J.R.; Hu, C.Y.; Xing, Y.; You, Y.N.; Feig, B.W.; Skibber, J.M.; Rodriguez-Bigas, M.A.; Cormier, J.N.; Chang, G.J. Clinicopathology and outcomes for mucinous and signet ring colorectal adenocarcinoma: Analysis from the National Cancer Data Base. Ann. Surg. Oncol. 2012, 19, 2814–2821. [Google Scholar] [CrossRef] [PubMed] [PubMed Central]
- Shimaoka, S.; Niihara, T.; Tashiro, K.; Matsuda, A.; Nioh, T.; Ohi, H.; Nishimata, Y.; Nishimata, H.; Fujita, H.; Ohkura, Y.; et al. Signet-ring cell carcinoma of the colon 7mm in size with peritonitis carcinomatosa. J. Gastroenterol. 2002, 37, 550–555. [Google Scholar] [CrossRef] [PubMed]
- Law, J.; Singh, S. Rings Round the Colon: An Early Diagnosis of Signet Ring Cell Carcinoma of the Colon. In Proceedings of UCLA Health, 2020; Volume 24. Available online: https://www.proceedings.med.ucla.edu/wp-content/uploads/2020/08/Singh-A200420SS-2-cc-rko-final-BLM-formatted.pdf (accessed on 25 July 2024).
- Hugen, N.; Verhoeven, R.H.; Lemmens, V.E.; van Aart, C.J.; Elferink, M.A.; Radema, S.A.; Nagtegaal, I.D.; de Wilt, J.H. Colorectal signet-ring cell carcinoma: Benefit from adjuvant chemotherapy but a poor prognostic factor. Int. J. Cancer 2015, 136, 333–339. [Google Scholar] [CrossRef] [PubMed]
- Farraj, F.A.; Sabbagh, H.; Aridi, T.; Fakhruddin, N.; Farhat, F. Signet Ring Cell Carcinoma of the Colon in Young Adults: A Case Report and Literature Review. Case Rep. Oncol. Med. 2019, 2019, 3092674. [Google Scholar] [CrossRef] [PubMed] [PubMed Central]
- Chen, B.; Liu, B.; Yuan, Z.; Sun, K.; Chung, H.; Zheng, B.; Cordeiro, C.; Virmani, C.; Shapsis, A. Colorectal Signet Ring Cell Carcinoma Presenting as Ulcerating Rectosigmoid Stricture. ACG Case Rep. J. 2023, 10, e01130. [Google Scholar] [CrossRef] [PubMed] [PubMed Central]
- Gaskin, D.A.; Reid, A.; Shea, M.; Gaskin, P.S. A Rare Case of Signet Ring Cell Colon Cancer Presenting as Adult Colorectal Intussusceptio. Case Rep. Pathol. 2022, 2022, 5271611. [Google Scholar] [CrossRef]
- Seog, W.J.; Dhruv, S.; Atodaria, K.P.; Polavarapu, A. An Extremely Rare Case of Rectal Signet Ring Cell Carcinoma. Gastroenterol. Res. 2022, 15, 106–111. [Google Scholar] [CrossRef] [PubMed] [PubMed Central]
- Marone, J.; Patel, S.; Page, M.; Cheriyath, P. Signet cell carcinoma of the colon in a 17 year old child. J. Surg. Case Rep. 2012, 2012, 3. [Google Scholar] [CrossRef] [PubMed][Green Version]
- Anas, D.; Tarik, D.; Yassine, M.M.; Haitam, S.; Ayoub, M.; Magouri, O.; Rachid, J.; Mohammed, B. Primary signet-ring cell carcinoma of the cecum: A rare case report. Int. J. Surg. Case Rep. 2022, 98, 107466. [Google Scholar] [CrossRef] [PubMed] [PubMed Central]
- Park, P.Y.; Goldin, T.; Chang, J.; Markman, M.; Kundranda, M.N. Signet-Ring Cell Carcinoma of the Colon: A Case Report and Review of the Literature. Case Rep. Oncol. 2015, 8, 466–471. [Google Scholar] [CrossRef] [PubMed]
- Pamukçu, O.; Selcukbiricik, F.; Bilici, A.; Sakız, D.; Ozdoğan, O.; Borlu, F. Signet cell carcinoma of colon in a nineteen-year-old patient: A case report. Case Rep. Oncol. Med. 2013, 2013, 695450. [Google Scholar] [CrossRef] [PubMed] [PubMed Central][Green Version]
- Simon, S. Signs and Symptoms of Colorectal Cancer. 2018. Available online: https://www.cancer.org/latest-news/signs-and-symptoms-of-colon-cancer.html (accessed on 25 July 2024).
- Sun, J.; Wang, X.; Gao, P.; Song, Y.; Chen, X.; Sun, Y.; Yu, D.; Lv, X.; Wang, Z. Prognosis and efficiency of adjuvant therapy in resected colon signet-ring cell carcinoma. Transl. Cancer Res. 2018, 7, 1006–1025. [Google Scholar] [CrossRef]
Disclaimer/Publisher’s Note: The statements, opinions and data contained in all publications are solely those of the individual author(s) and contributor(s) and not of MDPI and/or the editor(s). MDPI and/or the editor(s) disclaim responsibility for any injury to people or property resulting from any ideas, methods, instructions or products referred to in the content. |
© 2024 by the authors. Licensee MDPI, Basel, Switzerland. This article is an open access article distributed under the terms and conditions of the Creative Commons Attribution (CC BY) license (https://creativecommons.org/licenses/by/4.0/).