Ultrasound-Guided Percutaneous Drainage of Abdominal Collections—An Analysis over 5 Years
Abstract
1. Introduction
2. Aim and Objectives
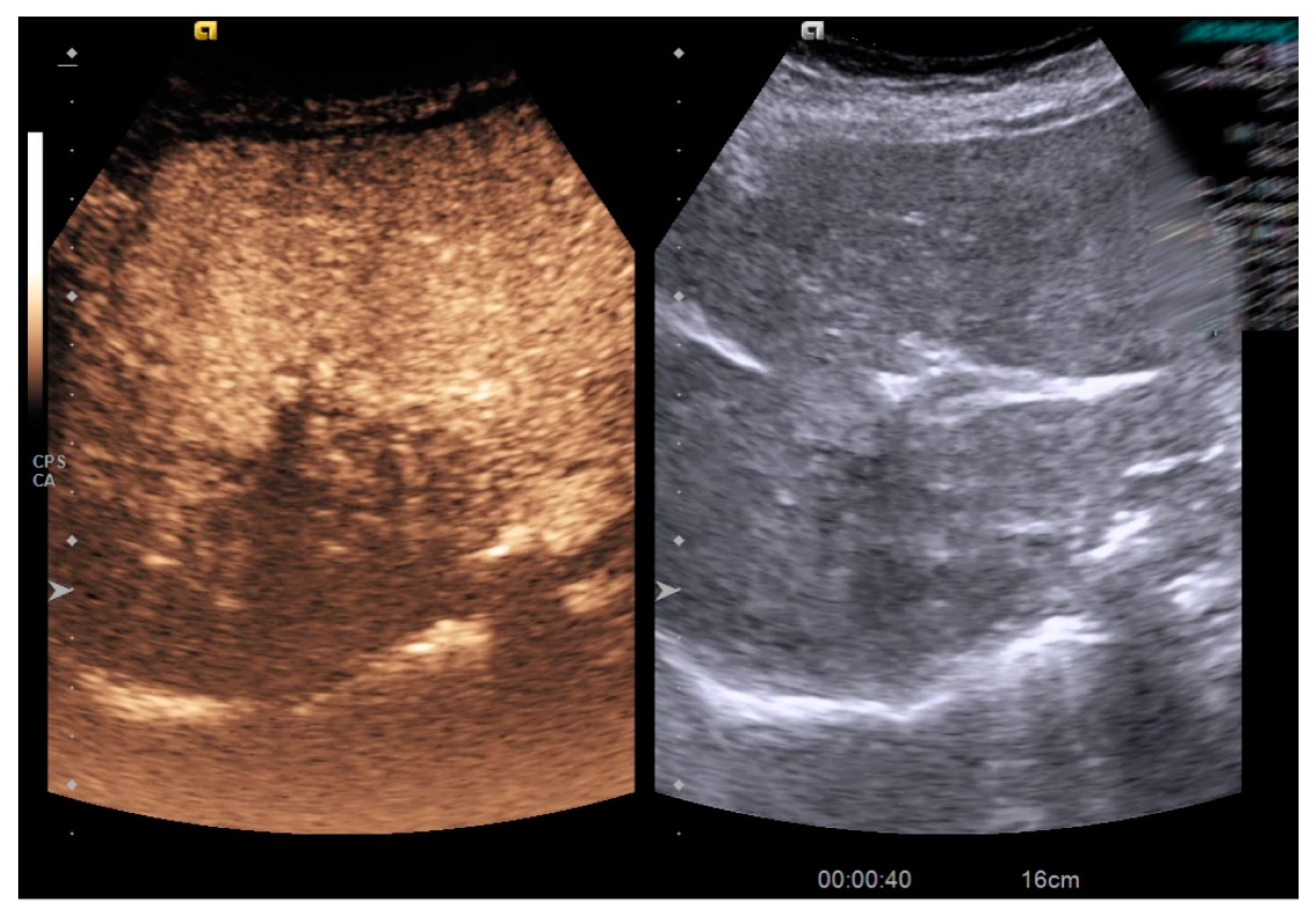
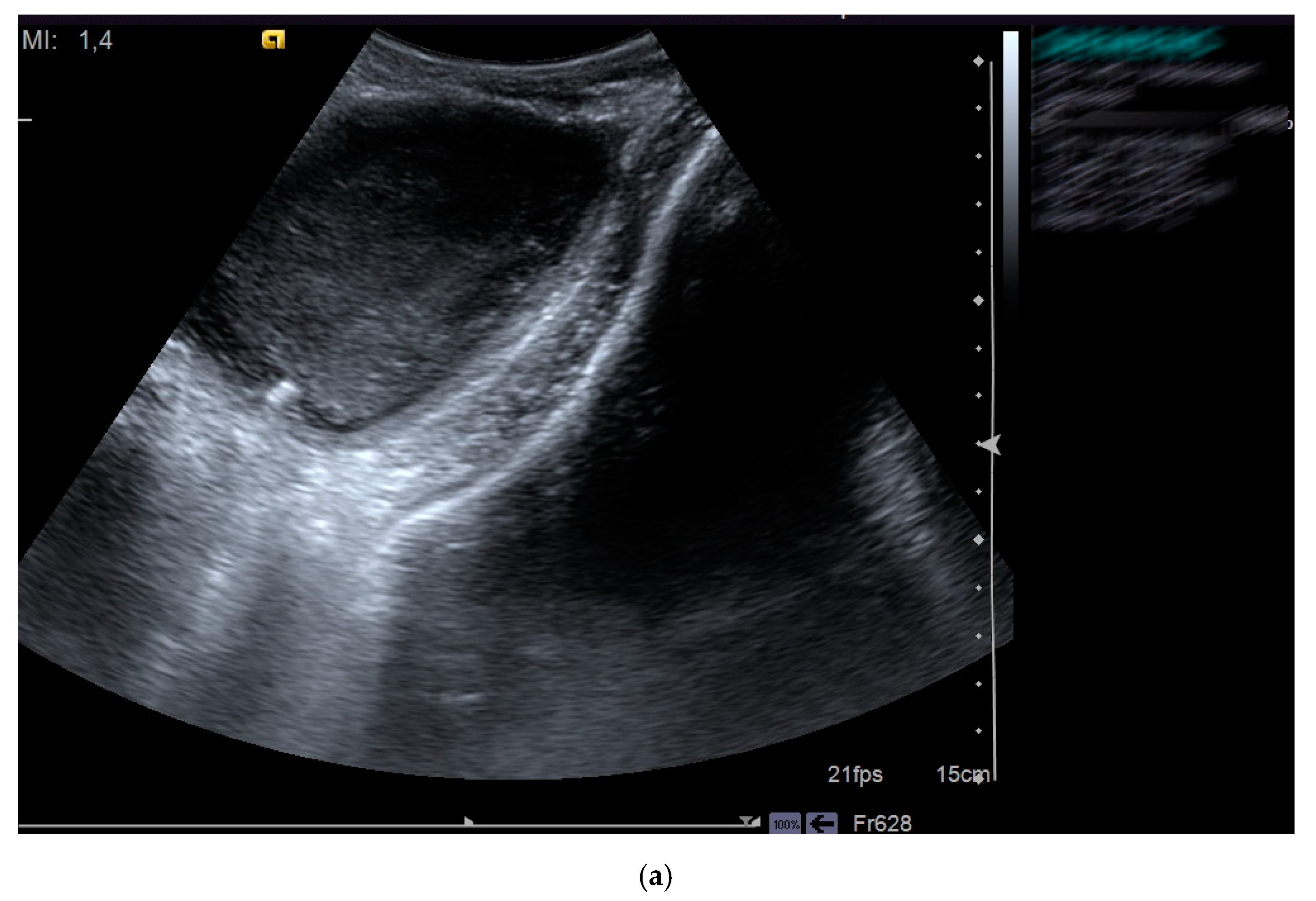
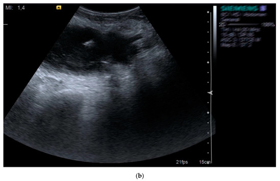
3. Materials and Methods
4. Results
5. Discussion
6. Conclusions
Author Contributions
Funding
Institutional Review Board Statement
Informed Consent Statement
Data Availability Statement
Conflicts of Interest
References
- Téllez-Ávila, F.; Carmona-Aguilera, G.J.; Valdovinos-Andraca, F.; Sanchez, L.E.C.; González-Aguirre, A.; Casanovasanchez, I.E.; Elizondo-Rivera, J.; Ramírez-Luna, M. Postoperative abdominal collections drainage: Percutaneous versus guided by endoscopic ultrasound. Dig. Endosc. 2015, 27, 762–766. [Google Scholar] [CrossRef] [PubMed]
- Men, S.; Akhan, O.; Köroğlu, M. Percutaneous drainage of abdominal abcess. Eur. J. Radiol. 2002, 43, 204–218. [Google Scholar] [CrossRef]
- Menichetti, F.; Sganga, G. Definition and classification of intra-abdominal infections. J. Chemother. 2009, 21 (Suppl. 1), 3–4. [Google Scholar] [CrossRef]
- Eid, A.I.; Mueller, P.; Thabet, A.; Fernandez-del Castillo, C.; Fagenholz, P. A Step-Up Approach to Infected Abdominal Fluid Collections: Not Just for Pancreatitis. Surg. Infect. 2019. [Google Scholar] [CrossRef]
- Gnannt, R.; Fischer, M.A.; Baechler, T.; Clavien, P.-A.; Karlo, C.; Seifert, B.; Lesurtel, M.; Alkadhi, H. Distinguishing infected from noninfected abdominal fluid collections after surgery: An imaging, clinical, and laboratory-based scoring system. Investig. Radiol. 2015, 50, 17–23. [Google Scholar] [CrossRef] [PubMed]
- Cinat, M.E.; Wilson, S.E.; Din, A.M. Determinants for successful percutaneous image-guided drainage of intra-abdominal abscess. Arch. Surg. 2002, 137, 845–849. [Google Scholar] [CrossRef]
- Lardière-Deguelte, S.; Ragot, E.; Amroun, K.; Piardi, T.; Dokmak, S.; Bruno, O.; Appere, F.; Sibert, A.; Hoeffel, C.; Sommacale, D.; et al. Hepatic abscess: Diagnosis and management. J. Visc. Surg. 2015, 152, 231–243. [Google Scholar] [CrossRef]
- Robert, B.; Yzet, T.; Regimbeau, J.M. Radiologic drainage of post-operative collections and abscesses. J. Visc. Surg. 2013, 150 (Suppl. 3), S11–S18. [Google Scholar] [CrossRef]
- Ilie, M.; Opriţă, R.; Șandru, V.; Berceanu, D.; Plotogea, O.; Constantinescu, A.; Diaconescu, D.; Negoi, I.; Constantinescu, G. EUS-Guided Transgastric Drainage of Intraabdominal Fluid Collections. Chirurgia 2018, 113, 799–808. [Google Scholar] [CrossRef] [PubMed]
- Al Efishat, M.; Attiyeh, M.A.; Eaton, A.A.; Gönen, M.; Covey, A.M.; D’Angelica, M.I.; DeMatteo, R.P.; Kingham, T.P.; Balachandran, V.; Jarnagin, W.R.; et al. Endoscopic versus percutaneous drainage of post-operative peripancreatic fluid collections following pancreatic resection. HPB 2019, 21, 434–443. [Google Scholar] [CrossRef] [PubMed]
- Holt, B.; Varadarajulu, S. Endoscopic ultrasound-guided pelvic abscess drainage (with video). J. Hepato-Biliary-Pancreat Sci. 2015, 22, 12–15. [Google Scholar] [CrossRef]
- Giovannini, M. Endoscopic Ultrasound-Guided Drainage of Pancreatic Fluid Collections. Gastrointest. Endosc. Clin. N. Am. 2018, 28, 157–169. [Google Scholar] [CrossRef]
- Politano, A.D.; Hranjec, T.; Rosenberger, L.H.; Sawyer, R.G.; Tache Leon, C.A. Differences in morbidity and mortality with percutaneous versus open surgical drainage of postoperative intra-abdominal infections: A review of 686 cases. Am. Surg. 2011, 77, 862–867. [Google Scholar] [CrossRef]
- Akinci, D.; Akhan, O.; Ozmen, M.N.; Karabulut, N.; Ozkan, O.; Cil, B.E.; Karcaaltincaba, M. Percutaneous drainage of 300 intraperitoneal abscesses with long-term follow-up. Cardiovasc. Interv. Radiol. 2005, 28, 744–750. [Google Scholar] [CrossRef]
- Bang, J.Y.; Varadarajulu, S. Endoscopic ultrasonography-guided drainage of postoperative abdominal fluid collections: What should we do to improve outcomes? Dig. Endosc. 2015, 27, 726–727. [Google Scholar] [CrossRef]
- Lorenz, J.M.; Al-Refaie, W.B.; Cash, B.D.; Gaba, R.C.; Gervais, D.A.; Gipson, M.G.; Kolbeck, K.J.; Kouri, B.E.; Marshalleck, F.E.; Nair, A.V.; et al. ACR appropriateness criteria radiologic management of infected fluid collections. J. Am. Coll. Radiol. 2015, 12, 791–799. [Google Scholar] [CrossRef]
- Hope, W.W.; Vrochides, D.V.; Newcomb, W.L.; Mayo-Smith, W.W.; Iannitti, D.A. Optimal treatment of hepatic abscess. Am. Surg. 2008, 74, 178–182. [Google Scholar] [CrossRef] [PubMed]
- Bamberger, D.M. Outcome of medical treatment of bacterial abscesses without therapeutic drainage: Review of cases reported in the literature. Clin. Infect. Dis. 1996, 23, 592–603. [Google Scholar] [CrossRef] [PubMed]
- Dulku, G.; Mohan, G.; Samuelson, S.; Ferguson, J.; Tibballs, J. Percutaneous aspiration versus catheter drainage of liver abscess: A retrospective review. Australas. Med. J. 2015, 8, 7–18. [Google Scholar] [CrossRef] [PubMed]
- Yu, S.C.; Ho, S.S.; Lau, W.Y.; Yeung, D.T.; Yuen, E.H.; Lee, P.S.; Metreweli, C. Treatment of pyogenic liver abscess: Prospective randomized comparison of catheter drainage and needle aspiration. Hepatology 2004, 39, 932–938. [Google Scholar] [CrossRef] [PubMed]
- Kumar, R.R.; Kim, J.T.; Haukoos, J.S.; Macias, L.H.; Dixon, M.R.; Stamos, M.J.; Konyalian, V.R. Factors affecting the successful management of intra-abdominal abscesses with antibiotics and the need for percutaneous drainage. Dis. Colon Rectum. 2006, 49, 183–189. [Google Scholar] [CrossRef] [PubMed]
- Siewert, B.; Tye, G.; Kruskal, J.; Sosna, J.; Opelka, F. Impact of CT-guided drainage in the treatment of diverticular abscesses: Size matters. AJR Am. J. Roentgenol. 2006, 186, 680–686. [Google Scholar] [CrossRef] [PubMed]
- Abusedera, M.A.; Magdy, K.; Ali, A.M.A.; Hassan, A.E. Percutaneous image-guided aspiration versus catheter drainage of abdominal and pelvic collections. Egypt. J. Radiol. Nucl. Med. 2013, 44, 223–230. [Google Scholar] [CrossRef][Green Version]
- Lorenz, J.; Thomas, J.L. Complications of percutaneous fluid drainage. Semin. Interv. Radiol. 2006, 23, 194–204. [Google Scholar] [CrossRef] [PubMed]





| Age, years | 64.03 ± 13.87 (23–87) |
| Gender | |
| Male | 37 (56.1%) |
| Female | 29 (43.9%) |
| Collection size (mm) | 88.26 ± 30.85 (40–200) |
| Catheter diameter (Fr) | 11.89 ± 1.906 (8–20) |
| Collection type | |
| Visceral | 39 (59.09%) |
| Non-visceral | 27 (41.91%) |
| Microbiological analysis | |
| Aseptic | 8 (12.1%) |
| Monomicrobial | 36 (54.5%) |
| Polymicrobial | 22 (33.3%) |
| Microbiological Analysis | Collection Type | |
|---|---|---|
| Visceral | Non-Visceral | |
| Aseptic | 3 | 5 |
| Monomicrobial | 24 | 12 |
| Polymicrobial | 12 | 10 |
| Collection Type | Reintervention | Mortality |
|---|---|---|
| Hepatic abscess | 3 | 2 |
| Infected splenic hematoma | 0 | 1 |
| Peripancreatic walled-off necrosis | 2 | 0 |
| Postsurgery bilioma | 1 | 0 |
| Total | 6 | 3 |
| Variables | Resolution | Reintervention | Mortality | p Value |
|---|---|---|---|---|
| Age (years) | 63.35 ± 14.21 | 67.67 ± 11.62 | 69.67 ± 12.5 | 0.600 |
| Collection size (mm) | 88.33 ± 30.56 | 98.33 ± 36.56 | 66.67 ± 20.81 | 0.354 |
| Catheter diameter (Fr) | 11.98 ± 1.85 | 11 ± 1.09 | 12 ± 4 | 0.491 |
| Microbiological analysis | 0.231 | |||
| aseptic | 8 (100%) | - | - | |
| monomicrobial | 33 (91.7%) | 2 (5.6%) | 1 (2.8%) | |
| polymicrobial | 16 (72.7%) | 4 (18.2%) | 2 (9.1%) | |
Publisher’s Note: MDPI stays neutral with regard to jurisdictional claims in published maps and institutional affiliations. |
© 2021 by the authors. Licensee MDPI, Basel, Switzerland. This article is an open access article distributed under the terms and conditions of the Creative Commons Attribution (CC BY) license (https://creativecommons.org/licenses/by/4.0/).
Share and Cite
Stan-Ilie, M.; Plotogea, O.-M.; Rinja, E.; Sandru, V.; Butuc, A.; Gheorghe, G.; Diaconu, C.C.; Macovei Oprescu, A.; Popa, B.; Scafa-Udriste, A.; et al. Ultrasound-Guided Percutaneous Drainage of Abdominal Collections—An Analysis over 5 Years. Gastroenterol. Insights 2021, 12, 366-375. https://doi.org/10.3390/gastroent12030035
Stan-Ilie M, Plotogea O-M, Rinja E, Sandru V, Butuc A, Gheorghe G, Diaconu CC, Macovei Oprescu A, Popa B, Scafa-Udriste A, et al. Ultrasound-Guided Percutaneous Drainage of Abdominal Collections—An Analysis over 5 Years. Gastroenterology Insights. 2021; 12(3):366-375. https://doi.org/10.3390/gastroent12030035
Chicago/Turabian StyleStan-Ilie, Madalina, Oana-Mihaela Plotogea, Ecaterina Rinja, Vasile Sandru, Andreea Butuc, Gina Gheorghe, Camelia Cristina Diaconu, Anca Macovei Oprescu, Bogdan Popa, Alexandru Scafa-Udriste, and et al. 2021. "Ultrasound-Guided Percutaneous Drainage of Abdominal Collections—An Analysis over 5 Years" Gastroenterology Insights 12, no. 3: 366-375. https://doi.org/10.3390/gastroent12030035
APA StyleStan-Ilie, M., Plotogea, O.-M., Rinja, E., Sandru, V., Butuc, A., Gheorghe, G., Diaconu, C. C., Macovei Oprescu, A., Popa, B., Scafa-Udriste, A., & Constantinescu, G. (2021). Ultrasound-Guided Percutaneous Drainage of Abdominal Collections—An Analysis over 5 Years. Gastroenterology Insights, 12(3), 366-375. https://doi.org/10.3390/gastroent12030035

